An Innovative Approach to Managing Temporomandibular Disorders Through the Combined Use of Two Oral Devices: A Case Report
Abstract
1. Introduction
2. Materials and Methods
2.1. Ethical Aspect
2.2. Demographics
2.3. Chief Complaint
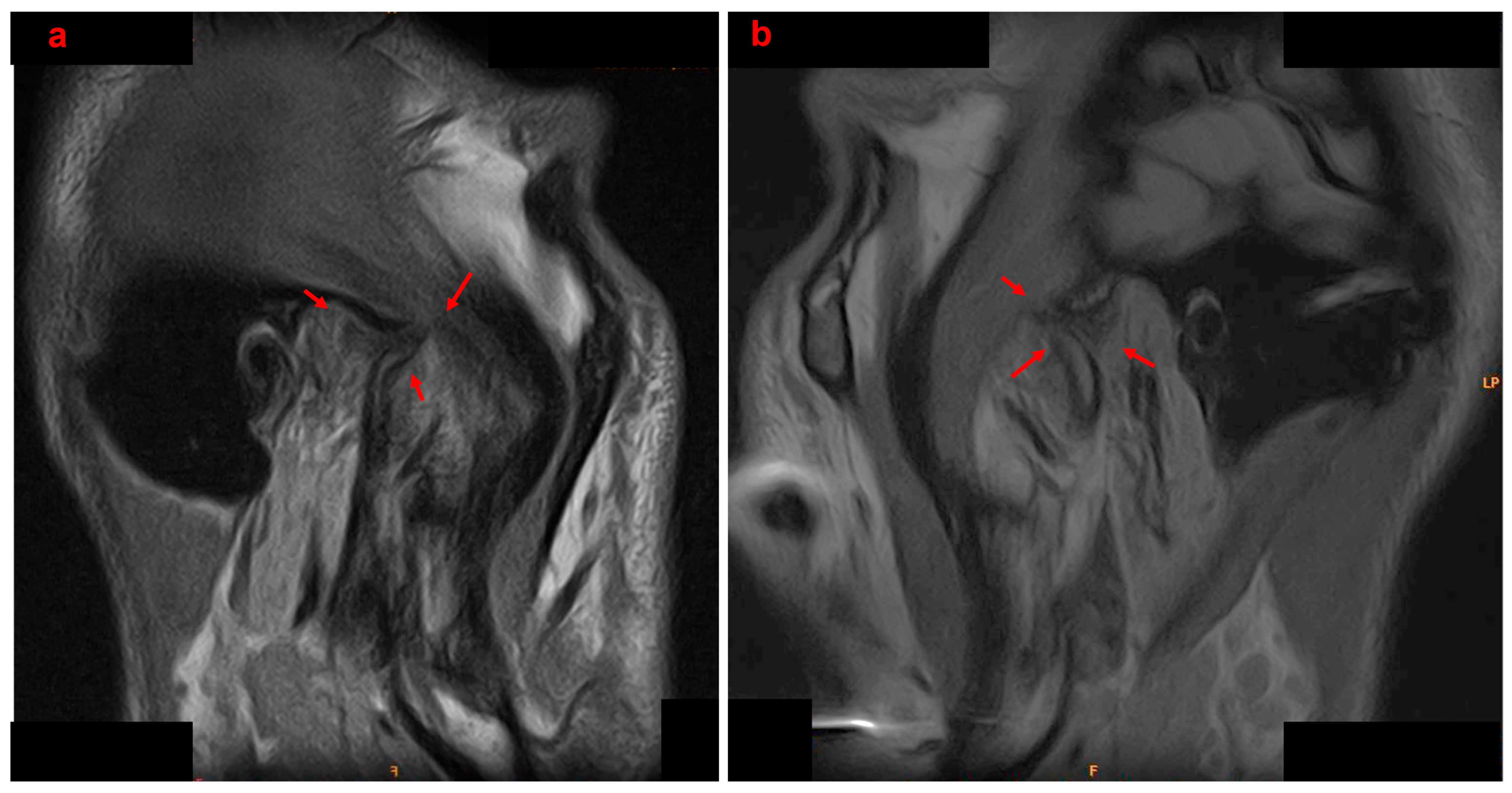
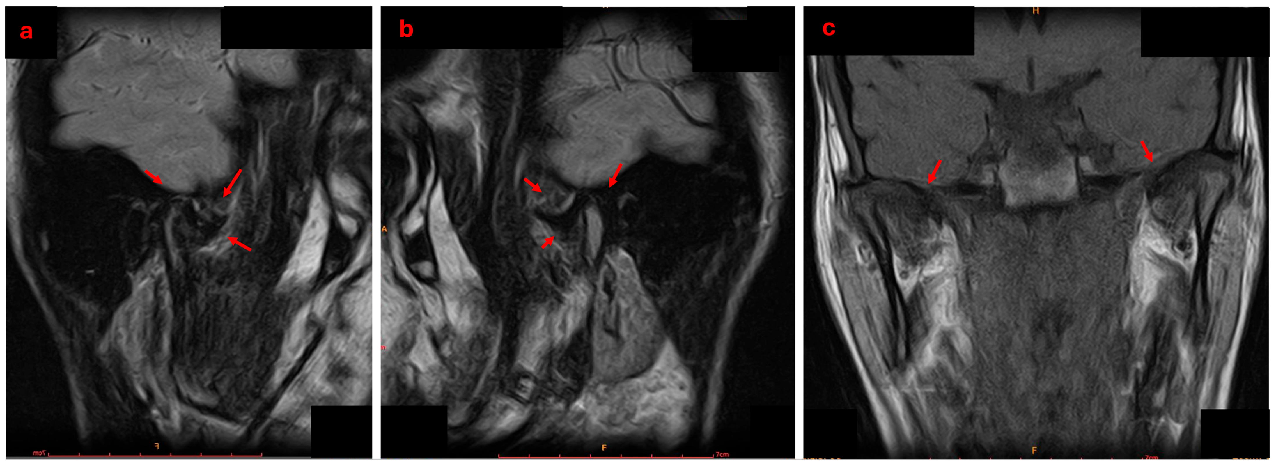
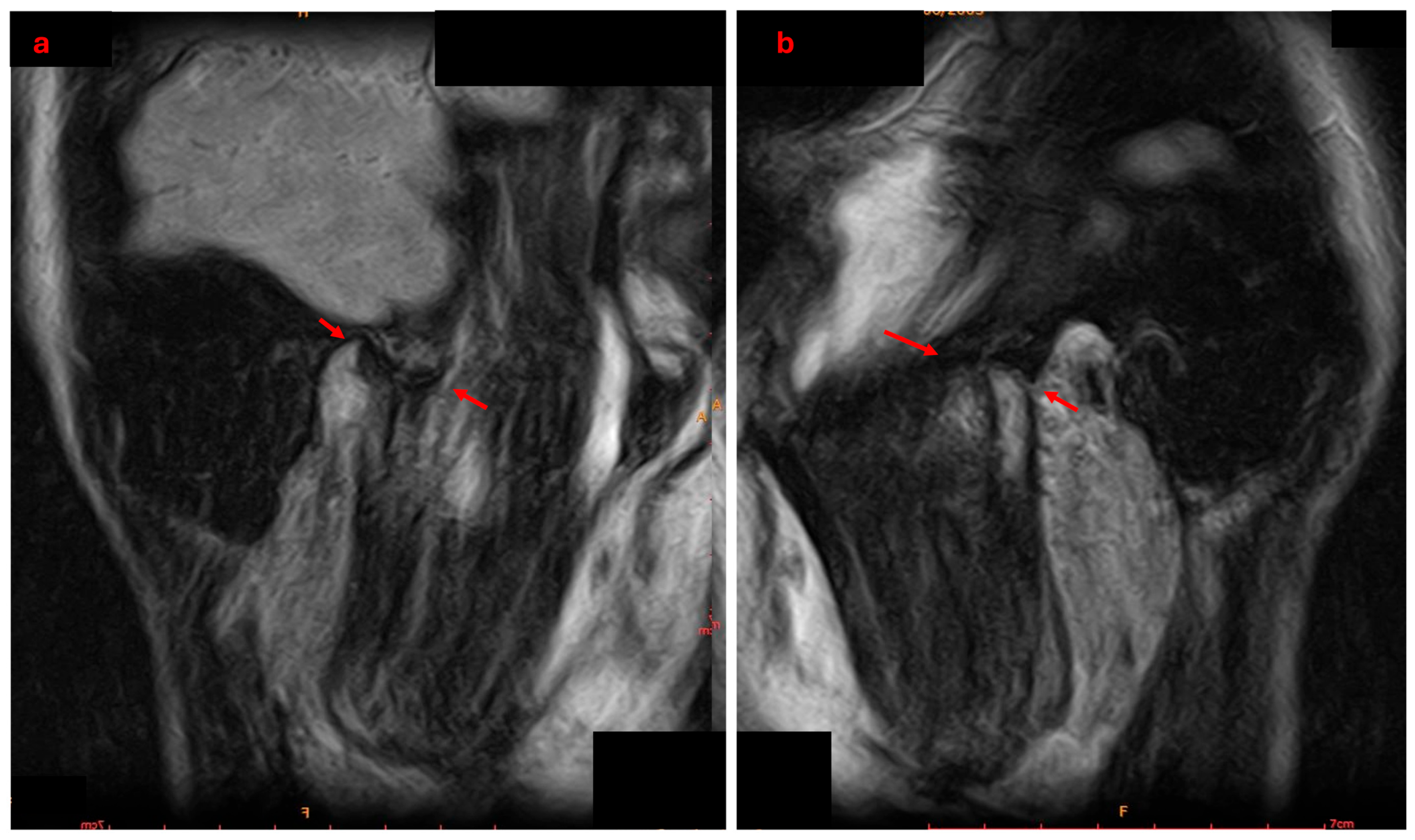
2.4. Diagnosis and Treatment Planning
- -
- at the end of the mouth opening (bilaterally),
- -
- at the beginning of mouth closing (bilaterally),
- -
- during protrusion (bilaterally),
- -
- during laterality movements (bilaterally), particularly on the right side during left laterotrusion.
2.5. The RA.DI.CA Device
2.6. The By-Te ® Reali Device
2.7. Therapeutic Protocol, Exercises, and Follow-Up
- -
- daily for the first 12 months,
- -
- twice a week between months 12 and 16,
- -
- once a week during the final 2 months of treatment.
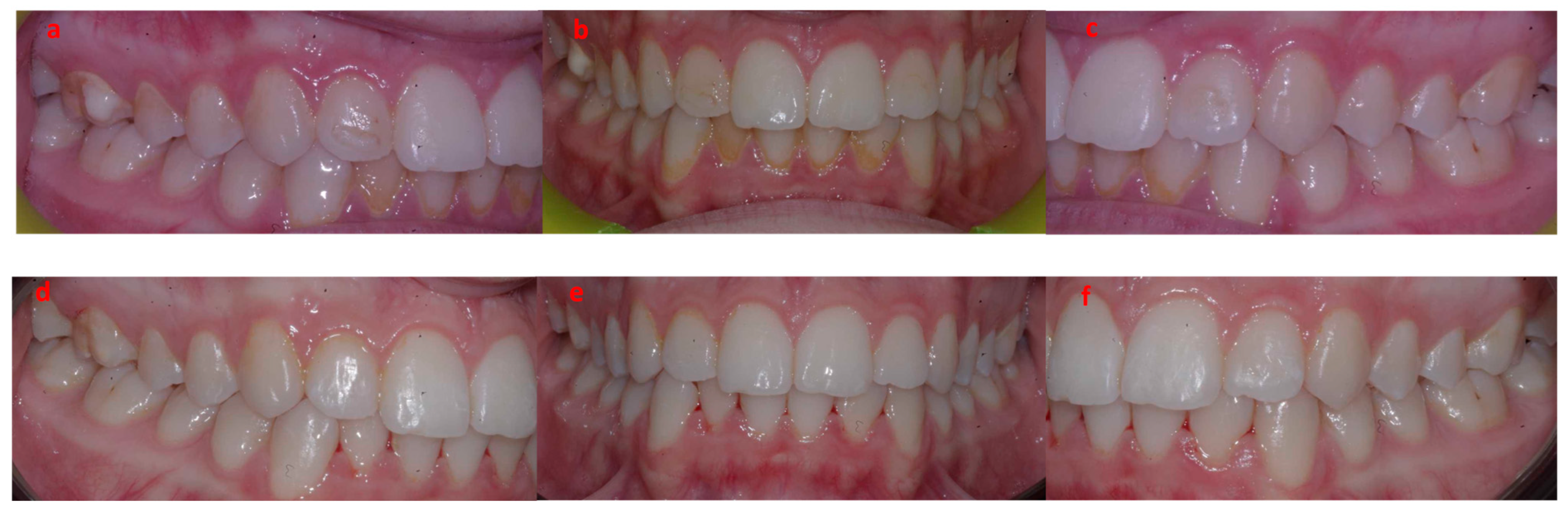
3. Results and Discussion
4. Conclusions
Author Contributions
Funding
Institutional Review Board Statement
Informed Consent Statement
Data Availability Statement
Conflicts of Interest
Abbreviations
| TMD | Temporomandibular disorders |
| TMJ | Temporomandibular joints |
| ID | Internal derangement |
References
- Matsuka, Y.; Yatani, H.; Kuboki, T.; Yamashita, A. Temporomandibular disorders in the adult population of Okayama City, Japan. Cranio 1996, 14, 158–162. [Google Scholar] [CrossRef]
- de Godoi Gonçalves, D.A.; Dal Fabbro, A.L.; Campos, J.A.D.B.; Bigal, M.E.; Speciali, J.G. Symptoms of temporomandibular disorders in the population: An epidemiological study. J. Orofac. Pain 2010, 24, 270–278. [Google Scholar]
- Di Paolo, C.; Cascone, P. Diagnosis and management of TMJ disorders: Gnathological issues. Dent. Cadmos 2016, 84, 352–363. [Google Scholar] [CrossRef]
- Schiffman, E.; Ohrbach, R.; Truelove, E.; Look, J.; Anderson, G.; Goulet, J.P.; List, T.; Svensson, P.; Gonzalez, Y.; Lobbezoo, F.; et al. Diagnostic criteria for temporomandibular disorders (DC/TMD) for clinical and research applications: Recommendations of the International RDC/TMD Consortium Network and Orofacial Pain Special Interest Group. J. Oral Facial Pain Headache 2014, 28, 6. [Google Scholar] [PubMed]
- List, T.; Jensen, R.H. Temporomandibular disorders: Old ideas and new concepts. Cephalalgia 2017, 37, 692–704. [Google Scholar] [CrossRef] [PubMed]
- Zhang, C.; Wu, J.Y.; Deng, D.L.; He, B.Y.; Tao, Y.; Niu, Y.M.; Deng, M.H. Efficacy of splint therapy for the management of temporomandibular disorders: A meta-analysis. Oncotarget 2016, 7, 84043. [Google Scholar] [CrossRef] [PubMed]
- Bitiniene, D.; Zamaliauskiene, R.; Kubilius, R.; Leketas, M.; Gailius, T.; Smirnovaite, K. Quality of life in patients with temporomandibular disorders. A systematic review. Stomatologija 2018, 20, 3–9. [Google Scholar]
- Greene, C.S. Managing the care of patients with temporomandibular disorders. J. Am. Dent. Assoc. 2010, 141, 1086–1088. [Google Scholar] [CrossRef]
- Durham, J.; Aggarwal, V.; Davies, S.J.; Harrison, S.D.; Jagger, R.G.; Leeson, R.; Lloyd, R.; Thayer, T.; Underhill, H.; Wassell, R.W.; et al. Temporomandibular Disorders (TMDs): An Update and Management Guidance for Primary Care from the UK Specialist Interest Group in Orofacial Pain and TMDs (USOT); Royal College of Surgeons of England: London, UK, 2013. [Google Scholar]
- Santilli, V.; Cardarola, A.; Colonnelli, P.; Di Paolo, C. Cap.25 Linee guida ed evidenze scientifiche nella riabilitazione delle disfunzioni dell’articolazione temporo-mandibolare. In Linee Guida ed Evidenze Scientifiche in Medicina Fisica e Riabilitativa; Rome Rehabilitation, Centro Stampa Università: Rome, Italy, 2017. [Google Scholar]
- De Boever, J.A.; Nilner, M.; Orthlieb, J.D.; Steenks, M.H. Recommendations by the EACD for examination, diagnosis, and management of patients with temporomandibular disorders and orofacial pain by the general dental practitioner. J. Orofac. Pain 2008, 22, 268–278. [Google Scholar]
- Annibali, S.; Arcuri, C.; Barbato, E.; Barone, A.; Bassi, F.; Benedicenti, A.; Berruti, E.; Bertelli, E.; Bonanini, M.; Braga, G.; et al. Raccomandazioni Cliniche in Odontostomatologia; Ministero della Salute: Faenza, Italy, 2014. [Google Scholar]
- Mauro, G.; Verdecchia, A.; Suárez-Fernández, C.; Nocini, R.; Mauro, E.; Zerman, N. Temporomandibular Disorders Management—What’s New? A Scoping Review. Dent. J. 2024, 12, 157. [Google Scholar] [CrossRef]
- Wieckiewicz, M.; Boening, K.; Wiland, P.; Shiau, Y.Y.; Paradowska-Stolarz, A. Reported concepts for the treatment modalities and pain management of temporomandibular disorders. J. Headache Pain 2015, 16, 1–12. [Google Scholar] [CrossRef] [PubMed]
- Dimitroulis, G. Management of temporomandibular joint disorders: A surgeon’s perspective. Aust. Dent. J. 2018, 63, S79–S90. [Google Scholar] [CrossRef]
- Ghodsi, S.; Jannati, P.; Vakili, F. Occlusal Appliance Therapy in Temporomandibular Disorder Pain Management: A Literature Review: Occlusal Appliance Therapy. Regen. Reconstr. Restor. 2024, 9, 1–9. [Google Scholar]
- Montiel, R.R.R.; Gordillo-Renteria, G.A.; Ramos, L.P.; Palmas, S.O.; Campoverde, L.A.G.; Padrón, M.I.C.; Cumbicus, J.Y.R.; Barreto, F.G.C. Effectiveness of Oral Splints in Temporomandibular Disorders. In Dental Trauma—Expert Strategies; IntechOpen: London, UK, 2024. [Google Scholar]
- Meshkova, D.T.; Di Giacomo, P.; Panti, F.; D’Urso, A.; Serritella, E.; Di Paolo, C. Application of a systematic protocol in the treatment of TMDs with occlusal appliances: Effectiveness and efficiency in a longitudinal retrospective study with medium-term follow-up. J. Int. Soc. Prev. Community Dent. 2019, 9, 372–382. [Google Scholar]
- Bielajew, B.J.; Donahue, R.P.; Espinosa, M.G.; Arzi, B.; Wang, D.; Hatcher, D.C.; Paschos, N.K.; Wong, M.E.; Hu, J.C.; Athanasiou, K.A. Knee orthopedics as a template for the temporomandibular joint. Cell Rep. Med. 2021, 2, 100241. [Google Scholar] [CrossRef]
- Di Paolo, C.; D’Ambrosio, F.; Panti, F.; Papa, M.; Mancini, P. The condyle-fossa relationship in temporomandibular disorders. Considerations on the pathogenetic role of the disc. Minerva Stomatol. 2006, 55, 409–422. [Google Scholar]
- Lai, L.; Huang, C.; Zhou, F.; Xia, F.; Xiong, G. Finite elements analysis of the temporomandibular joint disc in patients with intra-articular disorders. BMC Oral Health 2020, 20, 93. [Google Scholar] [CrossRef]
- Zhang, Q.; Ye, Z.; Wu, Y.; Zhu, Y.; Liu, J.; Yang, W.; Ye, C.; Lau Rui Han, S.; Wang, J.; Xiong, X. Nonlinear relationship between temporomandibular joint disc displacement distance and disc length: A magnetic resonance imaging analysis. J. Clin. Med. 2022, 11, 7160. [Google Scholar] [CrossRef]
- Radej, I.; Dargiewicz, E.; Sawczuk-Siemieniuk, M.; Ferrando Cascales, R.; Ferrando Cascales, Á.; Agustín-Panadero, R.; Szarmach, I. The Role of Maxillofacial Structure and Malocclusion on Condylar Displacement in Maximum Intercuspation and Centric Relation in Patients Seeking Orthodontic Treatment—A Scoping Review. J. Clin. Med. 2023, 12, 689. [Google Scholar] [CrossRef]
- Espinoza, S.; Varela, D.; Richter, C.; Sepúlveda, G.; Marfull, N. Reproducibility of the Rocabado pain map. Cranio 2023, 41, 112–118. [Google Scholar] [CrossRef] [PubMed]
- Di Paolo, C.; Falisi, G.; Panti, F.; Di Giacomo, P.; Rampello, A. “RA. DI. CA.” splint for the management of the mandibular functional limitation: A retrospective study on patients with anterior disc displacement without reduction. Int. J. Environ. Res. Public Health 2020, 17, 9057. [Google Scholar] [CrossRef]
- Di Paolo, C.; Qorri, E.; Falisi, G.; Gatto, R.; Tari, S.R.; Scarano, A.; Rastelli, S.; Inchingolo, F.; Di Giacomo, P. RA. DI. CA. Splint Therapy in the Management of Temporomandibular Joint Displacement without Reduction. J. Pers. Med. 2023, 13, 1095. [Google Scholar] [CrossRef]
- Reali, M.; Corti, S. Riprogrammazione Motoria: Trattamento dei Disfunzionali con By-Te Reali, 2nd ed.; Editrice Pliniana: Selci-Lama, Italy, 2018; ISBN 978-88-9044-218-6. [Google Scholar]
- Yap, A.U.; Lei, J.; Liu, C.; Fu, K.Y. Comparison of painful temporomandibular disorders, psychological characteristics, sleep quality, and oral health-related quality of life of patients seeking care before and during the COVID-19 pandemic. BMC Oral Health 2023, 23, 438. [Google Scholar] [CrossRef]
- Minervini, G.; Franco, R.; Marrapodi, M.M.; Mehta, V.; Fiorillo, L.; Badnjević, A.; Cervino, G.; Cicciu, M. The association between COVID-19 related anxiety, stress, depression, temporomandibular disorders, and headaches from childhood to adulthood: A systematic review. Brain Sci. 2023, 13, 481. [Google Scholar] [CrossRef]
- Foger, D.; Peralta-Mamani, M.; Santos, P.S.D.S. Impact of temporomandibular disorders on quality of life. Fisioter. Mov. 2020, 33, e003320. [Google Scholar] [CrossRef]
- Sá, M.; Faria, C.; Pozza, D.H. Conservative versus Invasive Approaches in Temporomandibular Disc Displacement: A Systematic Review of Randomized Controlled Clinical Trials. Dent. J. 2024, 12, 244. [Google Scholar] [CrossRef]
- Hasan, N.M.A.; Abdelrahman, T.E.F. MRI evaluation of TMJ internal derangement: Degree of anterior disc displacement correlated with other TMJ soft tissue and osseous abnormalities. Egypt. J. Radiol. Nucl. Med. 2014, 45, 735–744. [Google Scholar] [CrossRef]
- Karaca, S.K.; Hekimoglu, C.; Akca, K. Digital occlusal analysis of bite registration with anteroposterior inclined head positions. J. Prosthodont. Res. 2025, 69, 562–568. [Google Scholar] [CrossRef]
- Yoda, T.; Sakamoto, I.; Imai, H.; Honma, Y.; Shinjo, Y.; Takano, A.; Tsukahara, H.; Morita, S.; Miyamura, J.; Yoda, Y.; et al. A randomized controlled trial of therapeutic exercise for clicking due to disk anterior displacement with reduction in the temporomandibular joint. Cranio 2003, 21, 10–16. [Google Scholar] [CrossRef]








Disclaimer/Publisher’s Note: The statements, opinions and data contained in all publications are solely those of the individual author(s) and contributor(s) and not of MDPI and/or the editor(s). MDPI and/or the editor(s) disclaim responsibility for any injury to people or property resulting from any ideas, methods, instructions or products referred to in the content. |
© 2025 by the authors. Licensee MDPI, Basel, Switzerland. This article is an open access article distributed under the terms and conditions of the Creative Commons Attribution (CC BY) license.
Share and Cite
Spagnuolo, A.; Iacono, R.; Liberatore, G.M.; Di Paolo, C. An Innovative Approach to Managing Temporomandibular Disorders Through the Combined Use of Two Oral Devices: A Case Report. Appl. Sci. 2026, 16, 273. https://doi.org/10.3390/app16010273
Spagnuolo A, Iacono R, Liberatore GM, Di Paolo C. An Innovative Approach to Managing Temporomandibular Disorders Through the Combined Use of Two Oral Devices: A Case Report. Applied Sciences. 2026; 16(1):273. https://doi.org/10.3390/app16010273
Chicago/Turabian StyleSpagnuolo, Antonio, Roberta Iacono, Gian Mauro Liberatore, and Carlo Di Paolo. 2026. "An Innovative Approach to Managing Temporomandibular Disorders Through the Combined Use of Two Oral Devices: A Case Report" Applied Sciences 16, no. 1: 273. https://doi.org/10.3390/app16010273
APA StyleSpagnuolo, A., Iacono, R., Liberatore, G. M., & Di Paolo, C. (2026). An Innovative Approach to Managing Temporomandibular Disorders Through the Combined Use of Two Oral Devices: A Case Report. Applied Sciences, 16(1), 273. https://doi.org/10.3390/app16010273

