Next Article in Journal
Design and Evaluation of Noise Simulation Algorithm Using MATLAB Ray Tracing Engine for Noise Assessment and Prediction
Next Article in Special Issue
Prosthodontic Considerations for Customized Subperiosteal Implants: A Consensus Report
Previous Article in Journal
Unveiling the Utilization of Grape and Winery By-Products in Cosmetics with Health Promoting Properties
 
 
Font Type:
Arial Georgia Verdana
Font Size:
Aa Aa Aa
Line Spacing:
Column Width:
Background:
Article

Deep Circumflex Iliac Artery (DCIA) Free-Flap Mandibular Reconstruction Using Patient-Specific Surgical Guides and Customized Plates: A Preliminary Study

Department of Oral and Maxillofacial Surgery, Chosun University Dental Hospital, Gwangju 61452, Republic of Korea
*
Author to whom correspondence should be addressed.
Appl. Sci. 2025, 15(3), 1010; https://doi.org/10.3390/app15031010
Submission received: 24 December 2024 / Revised: 15 January 2025 / Accepted: 17 January 2025 / Published: 21 January 2025
(This article belongs to the Special Issue Novel Technologies in Oral and Maxillofacial Surgery)

Abstract

Background: Mandibular reconstruction remains challenging in oral and maxillofacial surgery due to its complex anatomy and functional requirements. While Deep Circumflex Iliac Artery (DCIA) flaps offer advantages in bone height and natural contour, their application with computer-aided surgical planning remains limited. Aim: This preliminary study aimed to evaluate the accuracy and clinical outcomes of mandibular reconstruction using DCIA free flaps with patient-specific surgical guides and customized plates. Materials and Methods: A pilot study of five patients who underwent mandibular reconstruction using DCIA free flaps was conducted. Virtual surgical planning was performed using Cone-Beam Computed Tomography (CBCT) and pelvic Computed Tomography (CT) data to design patient-specific cutting guides and reconstruction plates. All surgeries were performed by a single experienced surgeon using standardized techniques. Results: The mean deviation between the virtual planning and actual surgical outcomes was 0.73 ± 0.23 mm, with maximum deviations ranging from 3.87 to 7.83 mm. All flaps achieved 100% survival, with one case (20%) experiencing screw loosening that required plate removal. This complication led to the modification of the plate design to include six or more holes in subsequent cases. Conclusions: Despite limitations including the small sample size and short follow-up period, our preliminary results demonstrate that computer-aided surgical planning with patient-specific devices can significantly improve the accuracy and predictability of DCIA flap mandibular reconstruction, even in challenging revision cases. Further studies with larger patient cohorts are needed to validate these findings.

1. Introduction

Mandibular reconstruction in oral and maxillofacial surgery remains one of the most challenging procedures due to the anatomical complexity and functional significance of the mandible [1]. Mandibular defects can arise from various causes, including benign and malignant tumor resection, severe trauma, congenital deformities, infections [2], and failed previous reconstruction attempts. The mandible plays a crucial role in forming the lower facial structure and is essential for fundamental functions such as mastication, speech, breathing, and swallowing. Therefore, mandibular reconstruction must consider the restoration of these functions while ensuring sufficient resistance to repetitive physical forces generated during various functional activities. Furthermore, since the mandible significantly influences facial aesthetics, the aesthetic outcome must also be carefully considered. Due to this functional and aesthetic importance, mandibular reconstruction surgery is essential for restoring patients’ quality of life [3].
The optimal approach to restoring both the functional and aesthetic elements of the mandible is to reconstruct it as close as possible to its original or normal anatomical structure. Traditionally, this has been accomplished using autogenous bone and flap transplantation along with mandibular reconstruction plates [4]. However, a major limitation of these conventional reconstruction methods is the inherent difficulty in achieving a perfect mandibular alignment and contour when relying solely on intraoperative assessment [5]. This challenge particularly arises from the mandible’s complex anatomical structure, which includes two temporomandibular joints capable of rotational and sliding movements connecting it to the maxilla, allowing free movement, along with its three-dimensional curved form following the dental arch, and its intricate interactions with various masticatory and deglutition muscles [6].
These methods heavily depend on the expertise of the oral and maxillofacial surgeon and the intraoperative decision making [7]. Surgical outcomes can vary significantly based on the surgeon’s skill level, and discrepancies between preoperative plans and actual surgical results are common. Such discrepancies can lead to various complications, including malocclusion, facial asymmetry, plate fatigue fracture, screw loosening, and the non-union of transplanted autogenous bone. Additional surgeries may be required to address these issues, prolonging the recovery period and impacting the patient’s quality of life.
Recent advances in medical technology, particularly computer-aided patient-specific surgical simulation and 3D-printing technology, have transformed the approach to mandibular reconstruction surgery [8,9,10,11,12,13]. Computer-aided surgical simulation enables not only precise lesion resection but also planning for ideal anatomical structure restoration. Based on this, patient-specific surgical guides and fixation plates can be manufactured using 3D-printing technology, offering the potential to significantly enhance the surgical precision. The use of these patient-specific devices allows surgeons to plan and execute reconstruction more accurately, reducing the uncertainties inherent in conventional approaches and achieving more predictable results [14].
This surgical approach has shown particularly promising results in mandibular reconstruction using fibular free flaps [15,16,17]. Recent studies have demonstrated reduced operation times and predictable outcomes through accurate bone harvesting using cutting guides and precise positioning with customized plates [18,19,20]. The Deep Circumflex Iliac Artery (DCIA) flap with internal oblique muscle, which can provide sufficient bone comparable to the original mandibular contour and restore the natural mandibular morphology with minimal or no osteotomy, is also frequently used as a donor site for mandibular reconstruction [21]. However, research on reconstruction using DCIA flaps with surgical guides and customized plates remains limited due to the complexity of the donor site bone morphology, limited pedicle length, and restrictions in the musculoskeletal-free-flap form during harvesting, which require various surgical considerations during surgical planning [22,23]. This represents a significant gap in our knowledge, as DCIA flaps offer unique advantages that could potentially benefit from precise computer-aided planning.
This study aims to address this gap by evaluating the preoperative and postoperative accuracy and utility of mandibular reconstruction using DCIA musculoskeletal free flaps with the aid of patient-specific surgical guides and customized plates. Our innovative approach integrates virtual surgical planning with specifically designed cutting guides and plates that account for the unique anatomical considerations of DCIA flaps, potentially offering a new standard for improving the surgical precision in these complex cases.

2. Materials and Methods

(1)
Study Design
This clinical trial was conducted with the approval of the Institutional Review Board of Chosun University Dental Hospital. From March 2024, patients who visited Chosun University Dental Hospital and were in need of mandibular reconstruction and wished to apply for this clinical trial were enrolled.
The following inclusion criteria were applied: (1) adults aged 19–74 years with completed skeletal growth; (2) patients with clear mandibular defects requiring reconstruction as determined by the investigator and willing to undergo the procedure; (3) women of childbearing potential who agreed to use contraception during the clinical trial period; and (4) patients who voluntarily consented to participate and were willing to comply with the study protocol.
The exclusion criteria were as follows: (1) uncontrolled metabolic diseases; (2) current or planned use of medications affecting bone metabolism; (3) severe cardiac disease or severe hepatic dysfunction; (4) infectious diseases with risk of recurrence; (5) hematologic disorders (leukemia, hemophilia, sepsis, etc.); (6) history of radiation therapy to the surgical site; (7) drug abuse or alcoholism; (8) current pregnancy or planning pregnancy during the trial period; and (9) any other condition deemed inappropriate for trial participation by the investigator based on ethical considerations or potential impacts on the study results.
A total of five patients who required mandibular reconstruction surgery were enrolled in this study. These patients presented with diverse clinical needs ranging from primary reconstruction following tumor resection to revision procedures for failed previous reconstructions. All clinical trial procedures were conducted with the approval of the Institutional Review Board, and all patients signed informed consent forms;
(2)
Virtual Surgical Planning (VSP)
Virtual surgical planning was performed by the surgeon and surgical team. All patients underwent preoperative Cone-Beam Computed Tomography (CBCT) and pelvic Computed Tomography (CT) scans. DICOM files were acquired with a slice thickness of 0.3 mm for CBCT and 0.5 mm for pelvic CT. The obtained DICOM files were processed using Mimics software 18.0 (Materialise, Leuven, Belgium) to segment the mandible, iliac bone, and lesion areas. For patients undergoing revision surgery due to failed previous reconstructions, additional mandibular models from before the initial surgery were obtained. Preoperative simulation was performed using 3-Matic software 13.0 (Materialise, Leuven, Belgium), and mandibular osteotomy lines were designed considering the characteristics of each lesion, the remaining teeth, and the anatomical structures. The position and size of the iliac crestal bone for the reconstruction of mandibular defects were planned, and reconstruction plates were designed for ideal positioning. When additional osteotomy or trimming was required for the iliac donor site where the reconstruction plate would be positioned, osteotomy or trimming planes were planned;
(3)
Surgical Guides and Customized Plate Design and Fabrication
Surgical guides and patient-specific plates were designed based on the VSP by Anymedi Solution (Anymedi Inc., Seoul, Republic of Korea). The surgeon delivered the results of the VSP to Anymedi Solution’s engineer, provided feedback on the design of the surgical guide and customized plate, and performed the final confirmation. The plates were customized with varying thicknesses ranging from 2 mm to 3 mm to match the anatomical contours while maintaining adequate strength. Each plate was designed with 2.4 mm diameter holes to accommodate 2.3 mm reconstruction screws, ensuring the secure fixation of both the native mandible and the DCIA flap. The plates were manufactured using medical-grade titanium alloy (Ti6Al4V) through selective laser melting (SLM) technology (Cusmedi©, Sungnam, Republic of Korea). The design focused on achieving the optimal adaptation to both the native mandible and the planned DCIA flap position while maintaining a low profile to minimize soft tissue irritation. The final plates were sterilized using standard autoclave protocols before surgical use;
(4)
Surgical Technique
All surgeries were performed by the same experienced surgeon specializing in tumor resection and reconstruction. Based on the size and location of the lesion, either an intraoral approach or submandibular approach was utilized. Lesion resection was performed using the mandible resection guide. The internal oblique muscle and DCIA were harvested, and the iliac crestal bone was harvested using the iliac resection guide. The bone flap was appropriately shaped using osteotomy and trimming guides, followed by microvascular anastomosis with the facial artery and vein. The mandibular reconstruction site was fixed using customized plates, and donor site defects were augmented using titanium mesh and allogenic bone chips (ReadiGRAFT Cancellous Chips, LifeNet Health, Virginia Beach, VA, USA);
(5)
Data Analysis
Postoperative CT scans were harvested from all patients, and the reconstructed mandible was segmented using Mimics software following the same method as that of the preoperative analysis. Using 3-Matic software, the preoperative planned model and postoperative model were superimposed, and average and maximum errors were analyzed.

3. Results

(1)
Representative Case
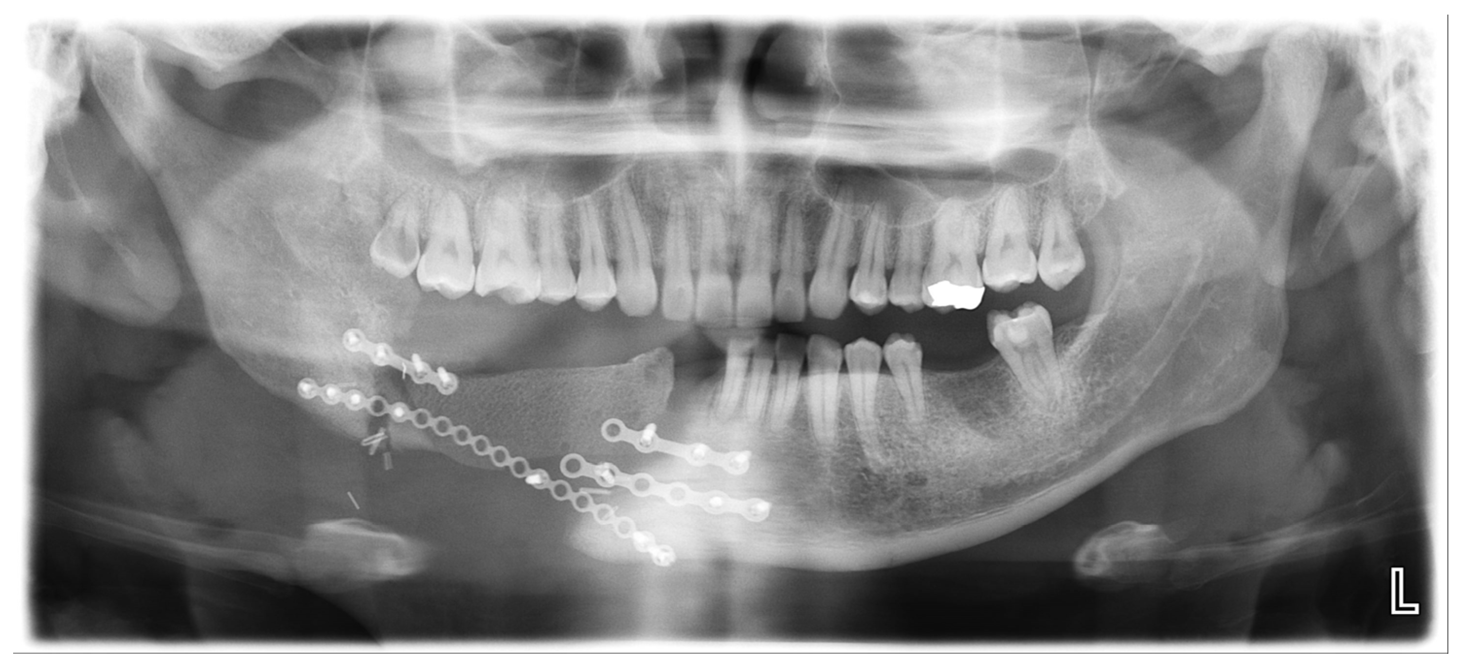
A 31-year-old male patient who underwent segmental mandibulectomy and DCIA iliac crestal free-flap reconstruction for a mandibular defect presented with plate exposure and non-union at the reconstruction site due to the infection of the reconstruction site (Figure 1).
Based on the preoperative mandibular CT from the initial lesion, the ideal mandibular form was determined (Figure 2).
Reconstruction with a bicortical DCIA flap was planned for the corresponding mandibular position (Figure 3).
Surgical guides and customized plates were manufactured according to the preoperative plan, and the reconstruction was performed using these surgical guides and customized plates (Figure 4 and Figure 5).
An accuracy analysis was performed using postoperative CT scans (Figure 6). Reconstruction of the mandible was successful, and no unusual findings were observed during the 6-month follow-up (Figure 7).
(2)
Patient Demographics and Clinical Characteristics (Table 1)
A total of five patients were included in this study. The mean age of the patients was 49.6 ± 20.5 years (range: 25–73 years), with a gender distribution of three males and two females. The most common diagnosis was ameloblastoma (three cases), followed by an odontogenic keratocyst (one case) and ossifying fibroma (one case) (Table 1).
The surgical procedures performed included segmental mandibulectomy (two cases), surgical enucleation and peripheral ostectomy (two cases), and marginal mandibulectomy (one case). For reconstruction, a bicortical DCIA flap was used in three cases and a monocortical DCIA flap in two cases. The mean span length of the defects was 53.4 ± 20.5 mm (range: 29–84 mm). Postoperative complications occurred in one case (20%), which presented with screw loosening, while the remaining four cases showed no complications. All DCIA flaps achieved successful reconstruction with a 100% survival rate, and no cases of flap failure or vascular complications were observed.
The mean operation time was 506.8 ± 112.8 min, with the estimated blood loss averaging 430.0 ± 218.2 mL. The average hospital stay was 23.2 ± 7.8 days. Notably, cases 4 and 5 showed shorter operation times, which might be attributed to the increased surgical experience with this technique (Table 2).
(3)
Accuracy Results of VSP Compared to Actual Surgical Outcomes
The accuracy of the mandibular reconstruction was evaluated by comparing the preoperative VSP with postoperative CT data using color-coded discrepancy mapping. The mean surface deviation between the virtual plan and the actual surgical outcome was 0.73 ± 0.23 mm across all cases, with individual values ranging from 0.32 mm to 0.97 mm (Table 3). The maximum deviation observed ranged from 3.87 mm to 7.83 mm, with a mean maximum error of 5.41 ± 1.35 mm.
The lowest average error was observed in Case 5 (0.32 mm), while Case 1 showed the highest average error (0.97 mm). Regarding the maximum deviations, Case 1 exhibited the highest value at 7.83 mm, though its average error remained relatively low at 0.97 mm. The standard deviation of the surface measurements ranged from 0.52 to 1.33, indicating consistent precision across different regions of the reconstructed mandible.
(4)
Complications and Management
One patient (Case 3) developed screw loosening at 3 months postoperatively. The patient presented with mobility of the plate with infection. CT imaging revealed loosening of the posterior screws. The plate was removed under local anesthesia, and the underlying DCIA flap showed satisfactory bone union. This complication led to the modification of the plate design from four holes to six or more holes in subsequent cases.

4. Discussion

This preliminary study investigated the application of computer-aided surgical planning with patient-specific devices in DCIA free-flap mandibular reconstruction. Our primary objectives were to evaluate the accuracy of this approach and assess the clinical outcomes in a series of five patients. The results demonstrated promising accuracy with a mean deviation of 0.73 ± 0.23 mm between the VSP and actual outcomes, along with a 100% flap survival rate. Though we encountered one case of hardware complication requiring plate removal, this led to valuable modifications in the plate design for subsequent cases. Our findings, while preliminary, suggest that this technique can achieve precise outcomes in both primary and revision cases, addressing a significant challenge in mandibular reconstruction.
While mandibular reconstruction using DCIA flaps offers advantages such as a sufficient bone height and natural mandibular contour reproduction, meticulous surgical planning is required due to the complex donor site bone morphology and limited pedicle length. In particular, Case 1, our representative case, required the use of the contralateral iliac crestal bone due to a previous failed DCIA flap reconstruction. This resulted in the internal oblique muscle attachment site being positioned on the buccal aspect, where the reconstruction plate needed to be fixed. Consequently, the iliac bone trimming had to accommodate the muscle tissue, making it impossible to pre-plan the trimming area. This factor likely contributed to Case 1 showing the highest average and maximum errors, though the accuracy achieved can be considered satisfactory given these circumstances.
The lowest average error was observed in Case 5 (0.32 mm), while Case 1 showed the highest average error (0.97 mm). Regarding the maximum deviations, Case 1 exhibited the highest value at 7.83 mm, though its average error remained relatively low at 0.97 mm. The standard deviation of the surface measurements ranged from 0.52 to 1.33, indicating consistent precision across different regions of the reconstructed mandible. Notably, Case 5 demonstrated the highest accuracy, which can be attributed to its unique characteristics as a marginal mandibulectomy case where the mandibular inferior border was preserved, and the reconstruction span was the shortest at 29 mm. This patient also showed the most favorable clinical parameters, including a shorter operation time, minimal blood loss, and a reduced hospital stay, suggesting that the preservation of the mandibular continuity and smaller defect size may contribute to both improved surgical accuracy and better clinical outcomes.
During the study, one case developed screw loosening during the three-month follow-up period, necessitating the removal of the one plate. Concluding that four-hole reconstruction plates provided insufficient stability, we modified subsequent designs to include more holes (Figure 8), after which no additional complications occurred.
The use of patient-specific surgical guides and plates significantly improved both the operative time efficiency and surgical predictability. As demonstrated in Case 1, successful reconstruction was achievable even in cases of previous reconstruction failure, validating the reliability of this approach. Furthermore, the use of surgical guides enhanced the accuracy of the DCIA flap harvesting, minimizing donor site defects and enabling ideal bone segment acquisition.
According to Cornelius et al., patient-specific mandibular reconstruction plates are superior to hand-molded plates and can provide the missing link in the virtual workflow of computer-assisted mandibular free-fibula-flap reconstruction [24]. The plates eliminated the need for plate bending either preoperatively or intraoperatively, reducing the potential for fatigue fracture while enabling precise reconstruction.
Steybe et al. conducted a landmark-based error analysis of 26 patients who underwent mandibular reconstruction using VSP-derived cutting and drilling jigs with patient-specific plates, reporting an average error of approximately 2 mm at key anatomical points, including the condyle and gonion [25]. In contrast, our study population included both segmental and marginal mandibulectomy cases, making landmark-based analysis less suitable. Therefore, we analyzed the accuracy through the direct comparison of the preoperative plans with the postoperative results, achieving higher accuracy with an average error of 0.73 mm. Furthermore, our cases involved shorter average defect lengths (53.4 mm compared to 64.92 mm in Steybe et al.’s study [25]) and were exclusively benign lesions, which likely contributed to the improved accuracy. In a comparable study, Wang et al. analyzed 17 patients who underwent mandibular reconstruction using VSP-guided surgical templates and pre-bent reconstruction plates, employing a similar overlay analysis method to ours [26]. They reported a mean error of 1.11 mm, which aligns closely with our accuracy findings. Moreover, Bhandari et al. performed error analysis through overlapping in mandibular reconstruction for category 1 and reported a mean error of 1.43 mm [27].
However, this study has several important limitations that need to be carefully considered. First, our small sample size (five cases) and the absence of a control group significantly limit the statistical significance and generalizability of our findings. This prevents us from drawing definitive conclusions about the superiority of our approach compared to conventional techniques. Second, the relatively short follow-up period (maximum 6 months) makes it difficult to evaluate the long-term stability and potential complications, particularly regarding the plate durability, the bone union, and potential late-onset complications. Third, the heterogeneity of our cases presents a significant limitation. Our study included various types of defects (segmental and marginal mandibulectomy) and different flap designs (monocortical and bicortical DCIA flaps), making it challenging to draw specific conclusions about the technique’s efficacy in particular clinical scenarios. Fourth, while our accuracy measurements are promising, the lack of standardized measurement protocols across studies makes direct comparisons with other techniques challenging.
Additionally, practical limitations must be considered in the clinical implementation of this technique. The additional time and costs associated with manufacturing patient-specific devices could impact the accessibility of this approach, particularly in resource-limited settings. The learning curve associated with VSP and the need for specialized expertise in both the planning and execution phases may also limit widespread adoption. Furthermore, the current inability to modify SLM-printed customized plates intraoperatively presents a significant challenge when unexpected anatomical variations or complications are encountered during surgery.
Looking towards future perspectives, several key areas warrant further investigation. Future studies should focus on larger patient cohorts with longer follow-up periods to validate our preliminary findings. Multicenter randomized controlled trials comparing this technique with conventional approaches would be particularly valuable in establishing its clinical efficacy and cost-effectiveness. More homogeneous patient groups with specific defect types and standardized flap designs would help establish clearer guidelines for different clinical scenarios. The standardization of VSP protocols is needed to minimize errors and improve reproducibility across different centers [28]. Additionally, research into optimal customized plate designs should continue, with a particular focus on strategies to prevent hardware complications, as evidenced by our modification following the screw-loosening incident.
Another important aspect that needs to be discussed is the potential for the automation of the VSP process, including through artificial intelligence and machine learning algorithms [29,30]. While the current approaches rely heavily on manual planning and human expertise, AI-assisted planning could optimize the plate design, predict potential complications, and suggest ideal cutting planes based on accumulated case data. This would not only improve the accuracy but also reduce the planning time and associated costs.

5. Conclusions

The use of patient-specific surgical guides and plates in mandibular reconstruction using DCIA free flaps proves to be a valuable method for improving the surgical accuracy and predictability. Our results demonstrate that digital approaches to mandibular reconstruction can be effectively applied to DCIA free flaps. Further research in this area will contribute to achieving more aesthetic and functionally successful mandibular reconstructions.

Author Contributions

Conceptualization, S.-Y.M. and H.-J.K.; methodology, H.-J.K.; software, S.-Y.M. and H.-J.K.; validation, J.-S.O. and H.-J.K.; formal analysis, H.-J.K.; investigation, H.-J.K.; resources, S.-Y.M.; data curation, H.-J.K.; writing—original draft preparation, H.-J.K.; writing—review and editing, S.-Y.M., and J.-S.O.; visualization, H.-J.K.; supervision, S.-Y.M. and J.-S.O.; project administration, S.-Y.M.; funding acquisition, S.-Y.M. All authors have read and agreed to the published version of the manuscript.

Funding

This work was supported by a Korea Institute for Advancement of Technology grant funded by the Ministry of Trade, Industry and Energy in 2023 (Project: Support for Musculoskeletal Human Body Simulation Convergence Technology Based on Clinical Data).

Institutional Review Board Statement

This study was conducted in accordance with the Declaration of Helsinki and was approved by the Institutional Review Board of Chosun University Dental Hospital (CUDHIRB 2311 004 and 22 November 2023).

Informed Consent Statement

Informed consent was obtained from all subjects involved in the study.

Data Availability Statement

The raw data supporting the conclusions of this article will be made available by the authors on request.

Conflicts of Interest

The authors declare no conflicts of interest.

References

  1. Kumar, B.P.; Venkatesh, V.; Kumar, K.J.; Yadav, B.Y.; Mohan, S.R. Mandibular reconstruction: Overview. J. Maxillofac. Oral Surg. 2016, 15, 425–441. [Google Scholar] [CrossRef]
  2. Lawson, W.; Loscalzo, L.J.; Baek, S.M.; Biller, H.F.; Krespi, Y.P. Experience with immediate and delayed mandibular reconstruction. Laryngoscope 1982, 92, 5–10. [Google Scholar] [CrossRef]
  3. Brown, J.; Lowe, D.; Kanatas, A.; Schache, A. Mandibular reconstruction with vascularised bone flaps: A systematic review over 25 years. Br. J. Oral Maxillofac. Surg. 2017, 55, 113–126. [Google Scholar] [CrossRef] [PubMed]
  4. Wolff, J. Reconstruction of the Craniomaxillo-Mandibular Skeleton: Problems and Solutions. Ph.D. Thesis, Vrije Universiteit Amsterdam, Amsterdam, The Netherlands, 2016. [Google Scholar]
  5. Bartier, S.; Mazzaschi, O.; Benichou, L.; Sauvaget, E. Computer-assisted versus traditional technique in fibular free-flap mandibular reconstruction: A CT symmetry study. Eur. Ann. Otorhinolaryngol. Head Neck Dis. 2021, 138, 23–27. [Google Scholar] [CrossRef]
  6. Ferreira, J.J.; Zagalo, C.M.; Oliveira, M.L.; Correia, A.M.; Reis, A.R. Mandible reconstruction: History, state of the art and persistent problems. Prosthet. Orthot. Int. 2015, 39, 182–189. [Google Scholar] [CrossRef] [PubMed]
  7. Wang, Y.; Zhang, H.; Fan, S.; Zhang, D.; Huang, Z.; Chen, W.; Ye, J.; Li, J. Mandibular reconstruction with the vascularized fibula flap: Comparison of virtual planning surgery and conventional surgery. Int. J. Oral Maxillofac. Surg. 2016, 45, 1400–1405. [Google Scholar] [CrossRef] [PubMed]
  8. Nilsson, J.; Hindocha, N.; Thor, A. Time matters—Differences between computer-assisted surgery and conventional planning in cranio-maxillofacial surgery: A systematic review and meta-analysis. J. Craniomaxillofac. Surg. 2020, 48, 132–140. [Google Scholar] [CrossRef] [PubMed]
  9. Kirke, D.N.; Owen, R.P.; Carrao, V.; Miles, B.A.; Kass, J.I. Using 3D computer planning for complex reconstruction of mandibular defects. Cancers Head Neck 2016, 1, 17. [Google Scholar] [CrossRef] [PubMed][Green Version]
  10. Huang, J.W.; Shan, X.F.; Lu, X.G.; Cai, Z.G. Preliminary clinic study on computer assisted mandibular reconstruction: The positive role of surgical navigation technique. Maxillofac. Plast. Reconstr. Surg. 2015, 37, 20. [Google Scholar] [CrossRef]
  11. Dupret-Bories, A.; Vergez, S.; Meresse, T.; Brouillet, F.; Bertrand, G. Contribution of 3D printing to mandibular reconstruction after cancer. Eur. Ann. Otorhinolaryngol. Head Neck Dis. 2018, 135, 133–136. [Google Scholar] [CrossRef] [PubMed]
  12. Dell’Aversana Orabona, G.; Abbate, V.; Maglitto, F.; Bonavolonta, P.; Salzano, G.; Romano, A.; Reccia, A.; Committeri, U.; Iaconetta, G.; Califano, L. Low-cost, self-made CAD/CAM-guiding system for mandibular reconstruction. Surg. Oncol. 2018, 27, 200–207. [Google Scholar] [CrossRef] [PubMed]
  13. Crosetti, E.; Tos, P.; Berrone, M.; Battiston, B.; Arrigoni, G.; Succo, G. Long-Term Follow-Up of Computer-Assisted Microvascular Mandibular Reconstruction: A Retrospective Study. J. Clin. Med. 2024, 13, 3899. [Google Scholar] [CrossRef] [PubMed]
  14. Mascha, F.; Winter, K.; Pietzka, S.; Heufelder, M.; Schramm, A.; Wilde, F. Accuracy of computer-assisted mandibular reconstructions using patient-specific implants in combination with CAD/CAM fabricated transfer keys. J. Craniomaxillofac. Surg. 2017, 45, 1884–1897. [Google Scholar] [CrossRef] [PubMed]
  15. Lai, Y.; Wang, C.; Mao, C.; Lu, M.; Ouyang, Q.; Fang, Y.; Cai, Z.; Chen, W. Mandible reconstruction with free fibula flaps: Accuracy of a cost-effective modified semicomputer-assisted surgery compared with computer-assisted surgery—A retrospective study. J. Craniomaxillofac. Surg. 2022, 50, 274–280. [Google Scholar] [CrossRef] [PubMed]
  16. Ince, B.; Ismayilzade, M.; Dadaci, M.; Zuhal, E. Computer-Assisted versus Conventional Freehand Mandibular Reconstruction with Fibula Free Flap: A Systematic Review and Meta-Analysis. Plast. Reconstr. Surg. 2020, 146, 686e–687e. [Google Scholar] [CrossRef]
  17. Hwang, B.-Y.; Lee, J.-Y.; Jung, J.; Ohe, J.-Y.; Eun, Y.-G.; Lee, Y.; Lee, J.-W. Computer-Assisted Preoperative Simulations and 3D Printed Surgical Guides Enable Safe and Less-Invasive Mandibular Segmental Resection: Tailor-Made Mandibular Resection. Appl. Sci. 2020, 10, 1325. [Google Scholar] [CrossRef]
  18. Deek, N.; Wei, F.C. Computer-Assisted Surgery for Segmental Mandibular Reconstruction with the Osteoseptocutaneous Fibula Flap: Can We Instigate Ideological and Technological Reforms? Plast. Reconstr. Surg. 2016, 137, 963–970. [Google Scholar] [CrossRef] [PubMed]
  19. Chan, A.; Sambrook, P.; Munn, Z.; Boase, S. Effectiveness of computer-assisted virtual planning, cutting guides and pre-engineered plates on outcomes in mandible fibular free flap reconstructions: A systematic review protocol. JBI Database Syst. Rev. Implement. Rep. 2019, 17, 2136–2151. [Google Scholar] [CrossRef] [PubMed]
  20. Battaglia, S.; Ricotta, F.; Maiolo, V.; Savastio, G.; Contedini, F.; Cipriani, R.; Bortolani, B.; Cercenelli, L.; Marcelli, E.; Marchetti, C.; et al. Computer-assisted surgery for reconstruction of complex mandibular defects using osteomyocutaneous microvascular fibular free flaps: Use of a skin paddle-outlining guide for soft-tissue reconstruction. A technical report. J. Craniomaxillofac. Surg. 2019, 47, 293–299. [Google Scholar] [CrossRef] [PubMed]
  21. Taylor, I.G.; Townsend, P.; Corlett, R. Superiority of the deep circumflex iliac vessels as the supply for free groin flaps: Experimental work. Plast. Reconstr. Surg. 1979, 64, 595–604. [Google Scholar] [CrossRef]
  22. Modabber, A.; Mohlhenrich, S.C.; Ayoub, N.; Hajji, M.; Raith, S.; Reich, S.; Steiner, T.; Ghassemi, A.; Holzle, F. Computer-Aided Mandibular Reconstruction With Vascularized Iliac Crest Bone Flap and Simultaneous Implant Surgery. J. Oral Implantol. 2015, 41, e189–e194. [Google Scholar] [CrossRef]
  23. Maurer, P.; Eckert, A.W.; Kriwalsky, M.S.; Schubert, J. Scope and limitations of methods of mandibular reconstruction: A long-term follow-up. Br. J. Oral Maxillofac. Surg. 2010, 48, 100–104. [Google Scholar] [CrossRef] [PubMed]
  24. Cornelius, C.P.; Smolka, W.; Giessler, G.A.; Wilde, F.; Probst, F.A. Patient-specific reconstruction plates are the missing link in computer-assisted mandibular reconstruction: A showcase for technical description. J. Craniomaxillofac. Surg. 2015, 43, 624–629. [Google Scholar] [CrossRef]
  25. Steybe, D.; Poxleitner, P.; Metzger, M.C.; Schmelzeisen, R.; Russe, M.F.; Fuessinger, M.A.; Brandenburg, L.S.; Voss, P.J.; Schlager, S. Analysis of the accuracy of computer-assisted DCIA flap mandibular reconstruction applying a novel approach based on geometric morphometrics. Head Neck 2022, 44, 2810–2819. [Google Scholar] [CrossRef] [PubMed]
  26. Wang, L.-d.; Ma, W.; Fu, S.; Zhang, C.-b.; Cui, Q.-y.; Peng, C.-b.; Wang, S.-h.; Li, M. Application of digital guide plate with drill-hole sharing technique in the mandible reconstruction. J. Dent. Sci. 2023, 18, 1604–1611. [Google Scholar] [CrossRef] [PubMed]
  27. Bhandari, K.; Lin, C.-H.; Liao, H.-T. Secondary mandible reconstruction with computer-assisted-surgical simulation and patient-specific pre-bent plates: The algorithm of virtual planning and limitations revisited. Appl. Sci. 2022, 12, 4672. [Google Scholar] [CrossRef]
  28. Hagmann, A.; Schappacher, R.; Pietzka, S.; Sakkas, A.; Scheurer, M.; Schramm, A.; Wilde, F.; Ebeling, M. Comparison of Laser-Sintered and Milled Patient-Specific Reconstruction Plates for Complications and Outcomes in Mandibular Defects—Comparative Analysis of a Single-Center Cohort. J. Pers. Med. 2023, 13, 648. [Google Scholar] [CrossRef] [PubMed]
  29. Raith, S.; Pankert, T.; de Souza Nascimento, J.; Jaganathan, S.; Peters, F.; Wien, M.; Hölzle, F.; Modabber, A. Segmentation of the iliac crest from CT-data for virtual surgical planning of facial reconstruction surgery using deep learning. Sci. Rep. 2025, 15, 1097. [Google Scholar] [CrossRef]
  30. Hidaka, T.; Miyamoto, S.; Furuse, K.; Fukunaga, Y.; Oshima, A.; Matsuura, K.; Higashino, T. Evaluation of aesthetic outcomes of mandibular reconstruction using artificial intelligence. Head Neck 2024, 46, 2699–2708. [Google Scholar] [CrossRef]
Figure 1. Preoperative panoramic radiograph.
Figure 1. Preoperative panoramic radiograph.
Applsci 15 01010 g001
Figure 2. Mandible registration for preoperative planning: (a) segmented preoperative mandible; (b) alignment of the position of the mandibular segment using the initial lesion model.
Figure 2. Mandible registration for preoperative planning: (a) segmented preoperative mandible; (b) alignment of the position of the mandibular segment using the initial lesion model.
Applsci 15 01010 g002
Figure 3. Virtual surgical planning (VSP): (a) alignment of the iliac crestal bone in the mandibular defect; (b) design of customized plates.
Figure 3. Virtual surgical planning (VSP): (a) alignment of the iliac crestal bone in the mandibular defect; (b) design of customized plates.
Applsci 15 01010 g003
Figure 4. 3D-printed customized plates: (a) plate for distal segment; (b) plate for mesial segment.
Figure 4. 3D-printed customized plates: (a) plate for distal segment; (b) plate for mesial segment.
Applsci 15 01010 g004
Figure 5. Intraoperative photo: (a) application of iliac bone guide; (b) mandible reconstruction with customized plate; (c) donor site reconstruction with titanium mesh and allobone chip graft (ReadiGRAFT Cancellous Chips; LifeNet Health, Virginia Beach, VA, USA); (d) application of fibrin glue (Greenplast; Green Cross, Yongin, Republic of Korea) after suturing using the internal oblique muscle flap.
Figure 5. Intraoperative photo: (a) application of iliac bone guide; (b) mandible reconstruction with customized plate; (c) donor site reconstruction with titanium mesh and allobone chip graft (ReadiGRAFT Cancellous Chips; LifeNet Health, Virginia Beach, VA, USA); (d) application of fibrin glue (Greenplast; Green Cross, Yongin, Republic of Korea) after suturing using the internal oblique muscle flap.
Applsci 15 01010 g005
Figure 6. Post-OP analysis: (a) segmented post-OP mandible; (b) accuracy results of VSP compared to actual surgical outcomes.
Figure 6. Post-OP analysis: (a) segmented post-OP mandible; (b) accuracy results of VSP compared to actual surgical outcomes.
Applsci 15 01010 g006
Figure 7. (a) Panoramic radiograph 6 months postoperatively; (b) clinical photograph 6 months after surgery with complete epithelialization of the internal oblique muscle flap.
Figure 7. (a) Panoramic radiograph 6 months postoperatively; (b) clinical photograph 6 months after surgery with complete epithelialization of the internal oblique muscle flap.
Applsci 15 01010 g007
Figure 8. Modified patient-specific customized reconstruction plate (Case 5).
Figure 8. Modified patient-specific customized reconstruction plate (Case 5).
Applsci 15 01010 g008
Table 1. Patient demographics and clinical characteristics.
Table 1. Patient demographics and clinical characteristics.
Age/SexDiagnosisOP NameDonor SiteVSP and Customized Plate DesignSpan Length (mm)Complications
131/MAmeloblastomaSegmental
mandibulectomy
Bicortical
DCIA flap
Applsci 15 01010 i00162-
262/MAmeloblastomaSurgical enucleation and
peripheral ostectomy
Monocortical
DCIA flap
Applsci 15 01010 i00284-
325/FAmeloblastomaSegmental
mandibulectomy
Bicortical
DCIA flap
Applsci 15 01010 i00332Screw
loosening
473/MOdontogenic keratocystSurgical enucleation and
peripheral ostectomy
Monocortical
DCIA flap
Applsci 15 01010 i00460-
557/FOssifying fibromaMarginal
mandibulectomy
Bicortical
DCIA flap
Applsci 15 01010 i00529-
Table 2. Clinical parameters and operative details.
Table 2. Clinical parameters and operative details.
Operation Time (min)Blood Loss (mL)Hospital Stay (days)
158050034
256975027
364050017
435530026
539010012
Mean ± SD506.8 ± 112.8430.0 ± 218.223.2 ± 7.8
Operation time was measured from initial incision to final closure. Blood loss was estimated from suction volume and surgical sponge count.
Table 3. Accuracy results of VSP compared to actual surgical outcomes.
Table 3. Accuracy results of VSP compared to actual surgical outcomes.
Avg. Error (mm)Max. Error (mm)SD
10.977.830.86
20.873.871.33
30.654.450.96
40.855.541.22
50.325.340.52
0.73 ± 0.235.41 ± 1.35
Disclaimer/Publisher’s Note: The statements, opinions and data contained in all publications are solely those of the individual author(s) and contributor(s) and not of MDPI and/or the editor(s). MDPI and/or the editor(s) disclaim responsibility for any injury to people or property resulting from any ideas, methods, instructions or products referred to in the content.

Share and Cite

MDPI and ACS Style

Kim, H.-J.; Oh, J.-S.; Moon, S.-Y. Deep Circumflex Iliac Artery (DCIA) Free-Flap Mandibular Reconstruction Using Patient-Specific Surgical Guides and Customized Plates: A Preliminary Study. Appl. Sci. 2025, 15, 1010. https://doi.org/10.3390/app15031010

AMA Style

Kim H-J, Oh J-S, Moon S-Y. Deep Circumflex Iliac Artery (DCIA) Free-Flap Mandibular Reconstruction Using Patient-Specific Surgical Guides and Customized Plates: A Preliminary Study. Applied Sciences. 2025; 15(3):1010. https://doi.org/10.3390/app15031010

Chicago/Turabian Style

Kim, Hyo-Joon, Ji-Su Oh, and Seong-Yong Moon. 2025. "Deep Circumflex Iliac Artery (DCIA) Free-Flap Mandibular Reconstruction Using Patient-Specific Surgical Guides and Customized Plates: A Preliminary Study" Applied Sciences 15, no. 3: 1010. https://doi.org/10.3390/app15031010

APA Style

Kim, H.-J., Oh, J.-S., & Moon, S.-Y. (2025). Deep Circumflex Iliac Artery (DCIA) Free-Flap Mandibular Reconstruction Using Patient-Specific Surgical Guides and Customized Plates: A Preliminary Study. Applied Sciences, 15(3), 1010. https://doi.org/10.3390/app15031010

Note that from the first issue of 2016, this journal uses article numbers instead of page numbers. See further details here.

Article Metrics

Back to TopTop