Production of Dictyostelium discoideum Hybrid Type Enzyme SteelyA in the Diatom Phaeodactylum tricornutum
Abstract
1. Introduction
2. Materials and Methods
2.1. Microbial Strains and Growth Conditions
2.2. Plasmid Constructions
2.3. Phaeodactylum tricornutum Conjugation and Screening
2.4. Growth Kinetic Strains and Growth Conditions
2.5. Plasmid Rescue
2.6. Western Blot Analysis
2.7. Phaeodactylum tricornutum Metabolite Extraction
2.8. SteelyA In Vitro Enzymatic Assay
2.9. HPLC-MS Analysis
3. Results
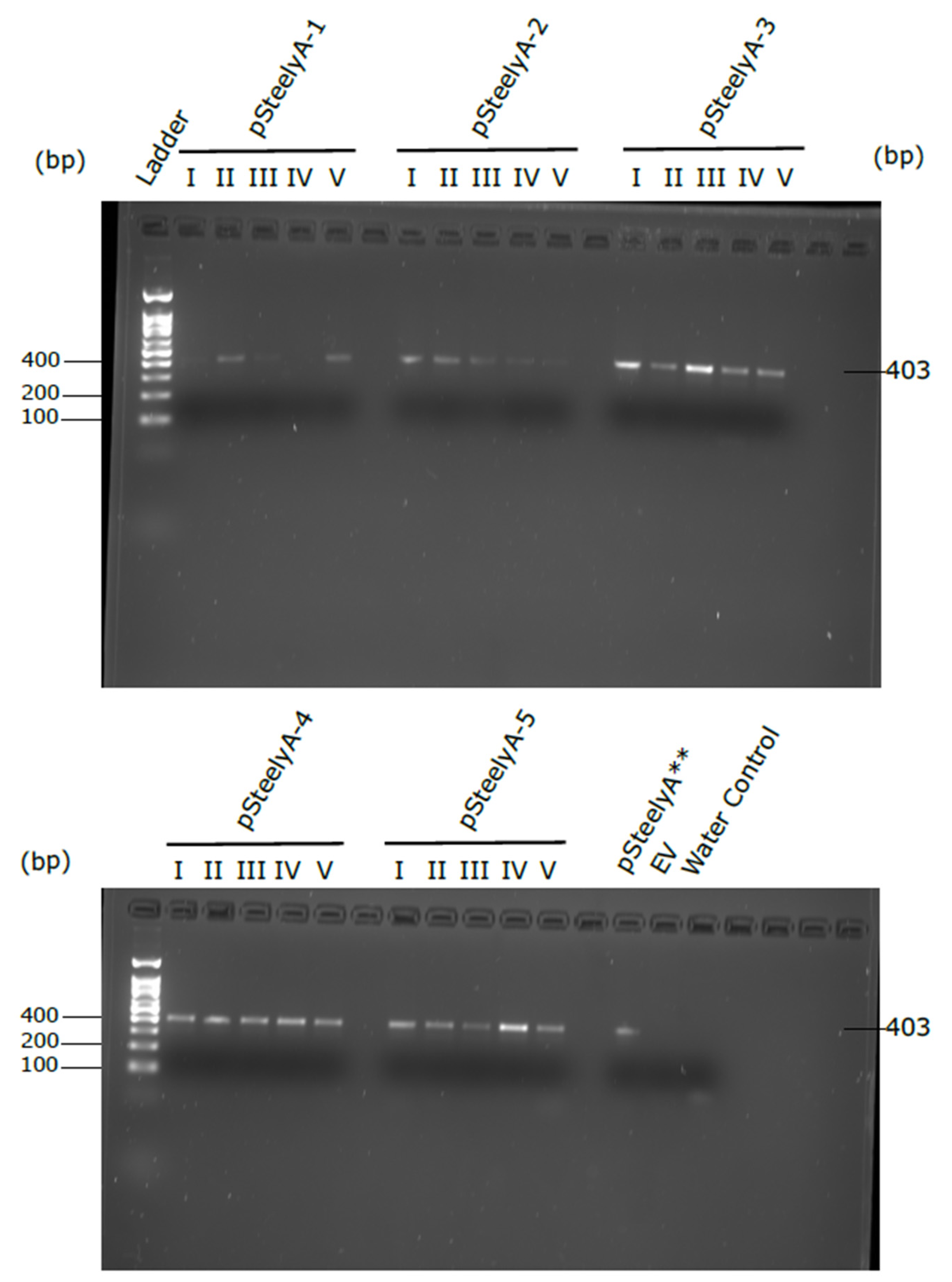
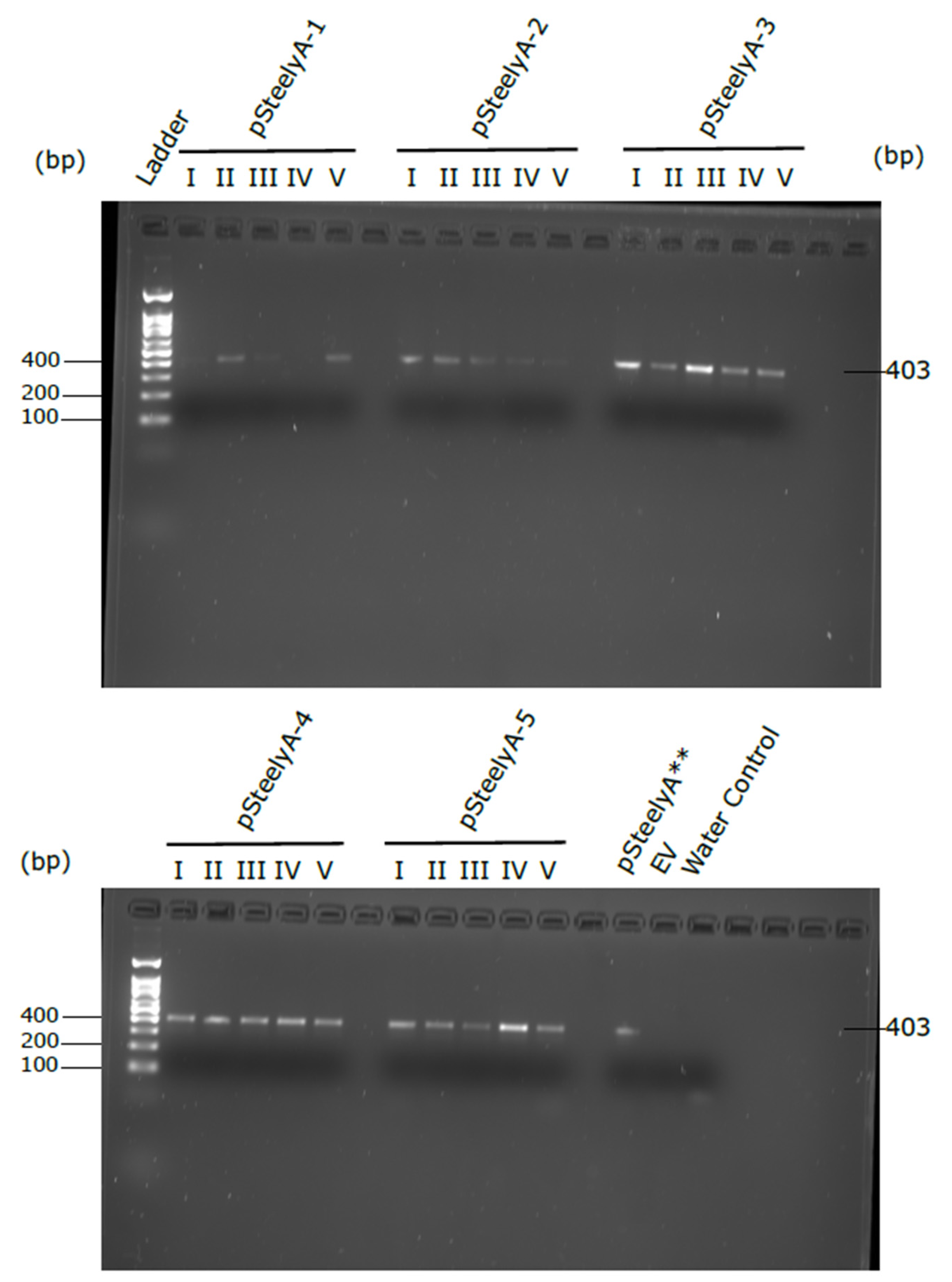
3.1. Engineering P. tricornutum Strains to Produce SteelyA and Screening of Strains
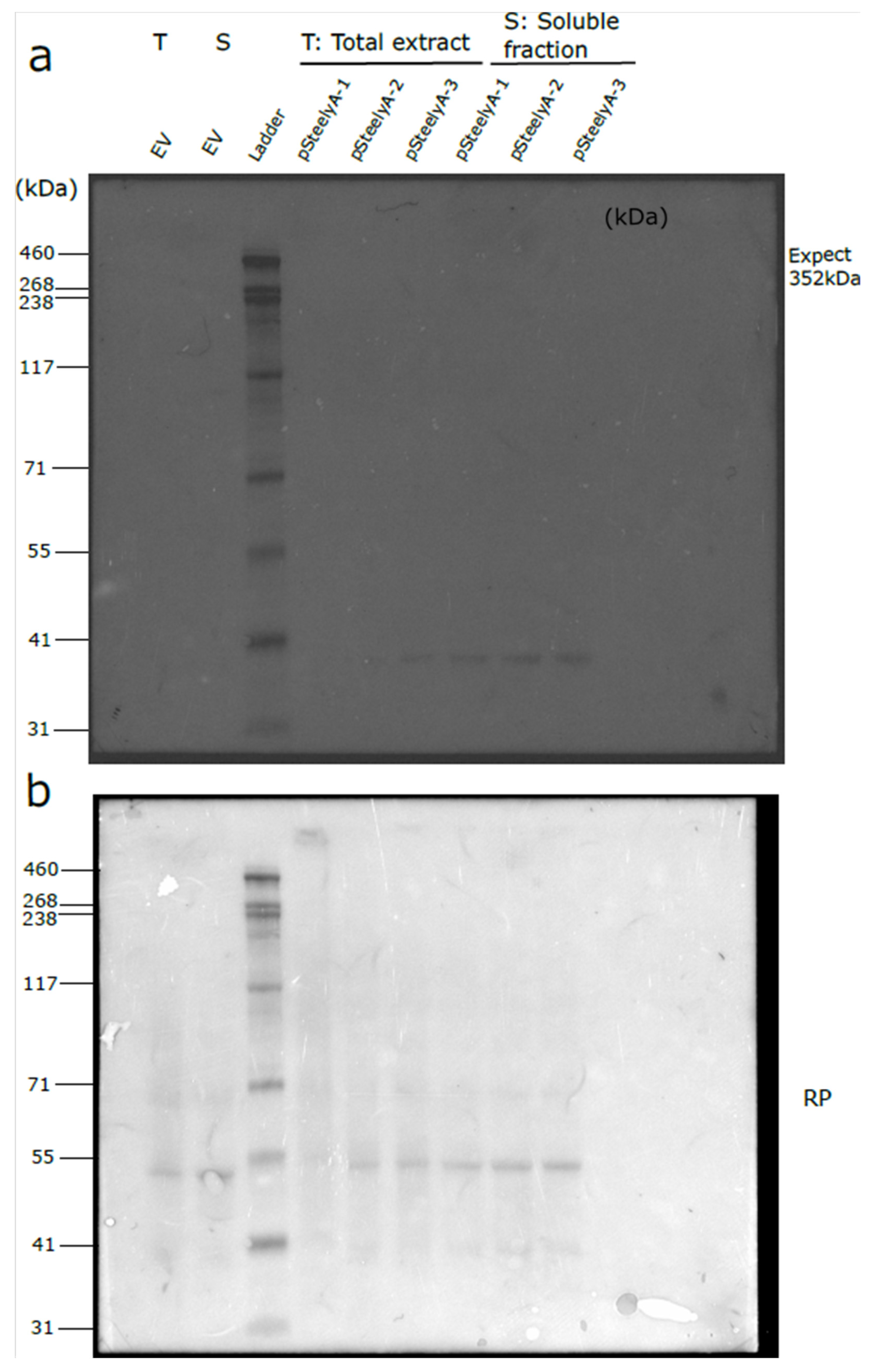
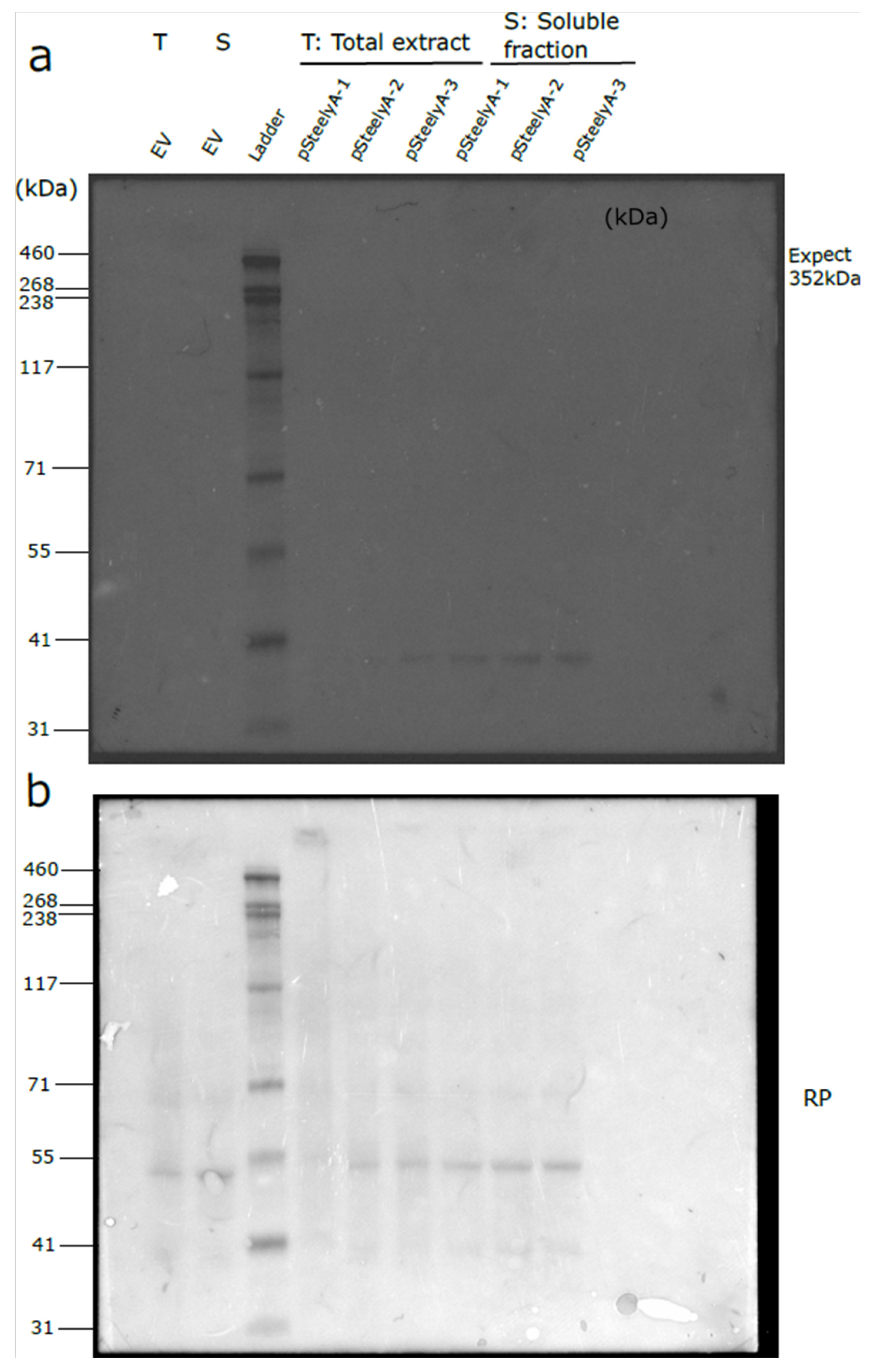
3.2. SteelyA Production and Activity
4. Discussion
Author Contributions
Funding
Institutional Review Board Statement
Informed Consent Statement
Data Availability Statement
Acknowledgments
Conflicts of Interest
Appendix A


| Primer | Sequences | 
|---|---|
| E30-Stshble-F | TCATTAGTTGCAGTCACTCCGCTTTGGTTTCGTAACTATAACGGTCCTAAGGTAGCGAAC | 
| E30-Stshble-R | GTTCGCTACCTTAGGACCGTTATAGTTACGAAACCAAAGCGGAGTGACTGCAACTAATGA | 
| Steely-E30-F | AGGTGTTCTTATGTAGTTTTACACAGGAGTCTGGACTTGACATACAGTGAATGTAACTTT | 
| Steely-E30-R | TAAGAAGAGCACATACCTCAGTCACTTATTATCACTAGCGAAACCAAAGCGGAGTGACTG | 
| F-St-met-seq | GAGAAAAGAGGGTGTTCAGA | 
| R-St-met-seq | GACTTAGGTTCAATACACAA | 
| StlP1-R | CAATTTGTTGATTGGCGTAAACGTGAGTAGCAGACAAATC | 
| StlP2-F | TCTAATTTCAAGTCCTTGAGATCCTTCGGTAGATTGATTG | 
| StlP1-R 30 | ATTGGCGTAAACGTGAGTAGCAGACAAATC | 
| StlP2-F 30 | AGTCCTTGAGATCCTTCGGTAGATTGATTG | 
| St-E30shble-F | TCATTAGTTGCAGTCACTCCGCTTTGGTTTCATACAGTGAATGTAACTTTCGAATTGACA | 
| St-E30shble-R | GTTCGCTACCTTAGGACCGTTATAGTTACGAAACCAAAGCGGAGTGACTGCAACTAATGA | 
| DNA Sequence | |
|---|---|
| Genewiz  fragment 1 (1MN)  | CATACAGTGAATGTAACTTTCGAATTGACAGTATTAGTAGTCGTATTGACAGTGAGGCACGCCCCTCAATGTGCGAGGTGGAAAATATACCAGCATGACAATGAATCTTGGAGATTCTTTTGCTGTCATCAAGATTCACCGCCAAATCTTCAGGAACCTATCACGTCCACAGGCGATGTTAATTCTTGAGTCGTCAAAACAAAGTCCTGTCCTACCTGTAGAAGTTGACAGCGAGCAATTGTATGCAAACTTCTGACTTTGTTATAATAACATTAAAGGTAATTAAGTATCTTCAATTAGGCATTTTGTCACTGTCAGTCCGTTCCGACAATATAGGTAGATTTGGAATGAATCTTTTCTATGCTGCTGCGAATCTTGTACACCTTTGAGGCCGTAGATTCTGTCCGACGAAGCGATAATTATTGCAAAATACATGGACTCATTATTTTGATTCGATTTCTTTTTGGTATCCGACTCGAAAAGATCCATCACGGCGAGCGCCACCATGAACAAGAACTCCAAAATCCAGTCCCCAAACTCTTCTGATGTTGCTGTTATTGGTGTTGGTTTTAGATTCCCAGGTAACTCTAATGACCCAGAATCTTTGTGGAACAACTTGTTGGATGGTTTCGATGCTATTACCCAAGTCCCAAAAGAAAGATGGGCTACTTCTTTTAGAGAGATGGGTTTGATCAAGAACAAGTTCGGTGGTTTCTTGAAGGATTCTGAATGGAAGAATTTCGACCCTTTGTTCTTTGGTATCGGTCCAAAAGAAGCTCCATTCATTGATCCACAACAAAGGTTGTTGTTGTCCATCGTTTGGGAATCTTTGGAAGATGCTTACATCAGACCAGATGAATTGAGAGGTTCTAACACTGGTGTTTTCATCGGTGTTTCTAACAACGATTACACCAAGTTGGGTTTCCAAGACAACTACTCTATTTCTCCATACACTATGACCGGCTCTAACTCTTCATTGAACTCCAACAGAATTTCCTACTGCTTCGATTTTAGAGGTCCATCCATTACTGTTGATACCGCTTGTTCTTCTTCCTTGGTTTCTGTTAATTTGGGTGTCCAATCCATCCAAATGGGTGAATGTAAGATTGCTATTTGCGGTGGTGTTAACGCTTTGTTTGATCCATCTACATCTGTTGCCTTTTCCAAGTTGGGTGTTTTGTCTGAAAATGGCAGATGCAACTCTTTTAGTGATCAAGCCTCTGGTTACGTTAGATCTGAAGGTGCTGGTGTTGTTGTTTTGAAGTCTTTGGAACAAGCTAAGTTGGATGGTGATAGAATCTACGGTGTTATCAAGGGTGTTTCCTCTAATGAAGATGGTGCTTCTAATGGTGACAAGAACTCTTTGACTACTCCATCTTGTGAAGCCCAATCCATTAACATTTCTAAGGCTATGGAAAAGGCCTCCTTGTCTCCATCTGATATCTATTACATTGAAGCCCATGGTACTGGTACTCCAGTTGGTGATCCAATTGAAGTTAAGGCCTTGTCCAAGATCTTCTCCAACTCTAACAACAACCAGTTGAACAACTTCTCTACCGATGGTAATGATAACGATGATGATGATGACGATAACACCTCTCCAGAACCATTATTGATTGGCTCATTCAAGTCCAACATCGGTCATTTGGAATCTGCTGCTGGTATTGCTTCTTTGATTAAGTGTTGCTTGATGTTGAAGAACAGGATGTTGGTTCCATCCATTAACTGCTCTAATTTGAACCCATCCATTCCATTCGATCAGTACAACATCTCCGTTATCAGAGAAATCAGACAATTCCCAACCGATAAGTTGGTTAACATCGGTATCAATTCTTTCGGTTTCGGTGGTTCTAACTGCCATTTGATTATTCAAGAGTACAACAACAACTTCAAGAACAACTCTACCATCTGCAATAACAACAACAACAACAATAACAACATCGACTACTTGATCCCAATCTCCTCTAAGACTAAGAAGTCCTTGGATAAGTACTTGATTTTGATCAAGACCAACTCCAACTACCACAAGGATATTTCTTTCGATGACTTCGTCAAGTTCCAAATCAAGTCTAAGCAGTACAACTTGTCCAACAGAATGACTACCATTGCTAACGATTGGAACTCCTTCATTAAGGGTTCTAACGAATTCCACAACTTGATCGAATCTAAGGATGGTGAAGGTGGTTCTTCATCTTCTAACAGAGGTATTGATTCCGCCAATCAAATCAACACTACTACTACCTCTACCATCAACGATATCGAACCTTTGTTGGTTTTCGTTTTCTGTGGTCAAGGTCCACAATGGAATGGTATGATTAAGACCTTGTACAACTCCGAGAACGTTTTCAAGAACACCGTTGATCATGTTGACAGCATCTTGTACAAGTACTTCGGTTACTCCATTTTGAACGTCTTGTCTAAGATCGATGATAACGACGATTCCATCAACCATCCAATAGTTGCTCAACCATCTTTGTTCTTGTTGCAAATTGGTTTGGTCGAGTTGTTTAAGTACTGGGGTATCTACCCATCTATCTCTGTTGGTCATTCTTTCGGTGAAGTCTCTTCTTATTACTTGTCCGGTATCATCTCTTTGGAAACCGCTTGTAAAATCGTCTACGTCAGATCCTCTAATCAGAACAAAACTATGGGTTCCGGTAAGATGTTGGTTGTTTCTATGGGTTTTAAGCAATGGAACGATCAATTCTCTGCTGAATGGTCCGATATTGAAATTGCTTGTTACAACGCTCCAGATTCCATAGTTGTTACTGGTAACGAAGAAAGATTGAAAGAATTGTCCATCAAGTTGTCCGACGAATCCAATCAAATTTTCAACACCTTCTTGAGGTCCCCATGTTCTTTTCATTCTTCCCATCAAGAAGTCATCAAGGGTTCTATGTTCGAAGAGTTGTCTAACTTGCAATCTACTGGTGAAACCGAAATCCCTTTGTTCTCTACTGTTACTGGTAGACAAGTTTTGTCTGGTCATGTTACTGCTCAACACATCTACGATAATGTTAGAGAACCAGTCTTGTTCCAAAAGACGATTGAATCCATTACCTCCTACATCAAGTCTCACTACCCATCCAATCAAAAGGTTATCTACGTTGAAATTGCTCCACACCCAACCTTGTTTTCATTGATCAAAAAGTCCATCCCATCCTCCAACAAGAATTCCTCTTCTGTTTTGTGTCCATTGAACAGAAAAGAAAACTCCAACAACTCCTACAAGAAGTTCGTTTCTCAGTTGTACTTCAACGGTGTTAACGTTGACTTCAACTTCCAGTTGAACTCCATTTGCGATAACGTTAACAACGATCACCATTTGAACAACGTCAAGCAAAACTCCTTCAAAGAGACTACCAATTCCTTGCCAAGATACCAATGGGAACAAGATGAATATTGGTCCGAACCATTGATCTCCAGAAAGAATAGATTGGAAGGTCCAACTACTTCCTTGTTGGGTCATAGAATTATCTACAGCTTCCCAGTTTTCCAATCCGTTTTGGACTTGCAATCTGACAACTACAAATACTTGTTGGACCACTTGGTTAACGGTAAGCCAGTTTTTCCAGGTGCTGGTTATTTGGATATCATCATCGAATTCTTCGACTACCAAAAGCAGCAGTTGAATTCCTCTGATTCCTCTAACTCCTACATCATCAACGTTGACAAGATCCAATTCTTGAACCCAATTCACTTGACCGAAAACAAGTTGCAAACCTTGCAATCTTCTTTCGAACCTATCGTTACTAAGAAGTCTGCCTTCTCTGTTAACTTCTTCATCAAGGATACCGTCGAGGATCAATCTAAGGTTAAGTCTATGTCTGACGAAACTTGGACTAACACTTGTAAGGCTACCATTTCCTTGGAACAACAACAGCCATCTCCATCTTCTACTTTGACTTTGTCTAAGAAGCAAGACTTGCAGATCTTGAGAAACAGATGCGATATTAGCAAGCTAGACAAGTTTGAGTTGTACGACAAGATCTCTAAGAATTTGGGCTTGCAGTACAACTCCTTGTTTCAAGTTGTTGATACCATCGAAACTGGTAAGGATTGCTCTTTTGCTACTTTGTCTTTGCCAGAAGATACTTTGTTCACCACCATTTTGAACCCATGCTTGTTGGATAACTGTTTCCATGGTTTGTTGACCTTGATCAACGAAAAGGGTTCTTTCGTTGTCGAGTCCATTTCTTCTGTTTCTATCTACTTGGAGAACATCGGTTCCTTCAATCAAACTTCTGTTGGTAACGTCCAGTTCTACTTGTACACCACTATTTCTAAAGCCACCTCCTTTAGTTCTGAAGGTACTTGTAAGTTGTTCACCAAGGATGGTTCCTTGATTTTGTCTATCGGTAAGTTCATCATCAAGTCCACCAATCCAAAGTCTACTAAGACCAACGAAACTATCGAATCTCCATTGGACGAAACCTTCTCTATTGAATGGCAATCTAAGGATTCTCCAATTCCAACCCCACAACAAATCCAACAACAATCTCCATTGAACTCTAACCCATCCTTCATTAGATCTACCATCTTGAAGGACATCCAGTTCGAACAATACTGCTCCTCCATTATCCACAAAGAATTGATCAACCACGAAAAGTACAAGAACCAGCAATCCTTCGATATCAACTCCTTGGAAAACCACTTGAACGATGACCAATTGATGGAATCCTTGTCCATCTCCAAAGAATACTTGAGATTCTTCACCAGGATCATCTCCATCATTAAGCAATACCCAAAGATCTTGAACGAAAAAGAGCTAAAAGAATTGAAAGAAATCATCGAATTGAAGTACCCATCCGAAGTTCAGTTGTTGGAATTCGAAGTTATCGAGAAGGTGTCCATGATTATCCCAAAGTTGTTGTTCGAAAACGACAAGCAATCTTCCATGACCTTGTTCCAAGATAACTTGTTGACCAGGTTCTACTCCAATTCTAACTCTACCAGATTCTACTTGGAAAGGGTTTCCGAAATGGTCTTGGAATCTATTAGACCAATCGTCAGAGAAAAGAGGGTGTTCAGAATTTTGGAAATTGGTGCTGATACAGCCTCTTTGTCTAATGTTGTTTTGACTAAGTTGAACACCTACTTGTCCACCTTGAATTCTAATGGTGGTTCTGGTTACAACATCATCATTGAGTACACCTTCACCGATATTTCCGCCAACTTCATTATTGGTGAAATCCAAGAAACCATGTGCAACTTGTACCCAAACGTTACTTTCAAGTTCTCCGTCTTGGACTTGGAGAAAGAGATTATTAACTCCTCCGATTTCTTGATGGGTGATTACGATATAGTTTTGATGGCCTACGTTATCCATGCCGTTTCTAACATTAAGTTCTCCATCGAACAGTTGTACAAGTTGTTGTCTCCAAGAGGTTGGTTGTTGTGTATTGAACCTAAGTCCAACGTTGTGTTCTCCGATTTGGTTTTCGGTTGTTTTAATCAGTGGTGGAACTACTACGATGATATTAGAACTACCCACTGCTCCTTGTCTGAATCTCAATGGAATCAGTTGTTGTTGAACCAGTCCTTGAACAACGAATCCTCTTCTTCTTCTAACTGTTACGGTGGTTTCTCCAACGTTTCTTTTATTGGTGGTGAAAAGGATGTCGACTCCCATTCTTTCATATTGCACTGCCAAAAAGAATCCATCTCCCAAATGAAGTTAGCCACCACTATTAACAACGGTTTGTCATCTGGTTCCATCGTTATCGTTTTGAACTCTCAACAATTGACCAACATGAAGTCCTACCCAAAGGTTATTGAGTATATTCAAGAGGCTACCTCTTTGTGCAAGACCATTGAAATTATCGATTCCAAGGACGTCTTGAACTCTACCAATTCAGTTTTGGAAAAGATCCAAAAGTCCTTGTTGGTGTTCTGTTTGTTGGGTTATGACTTGTTGGAGAACAACTACCAAGAACAGTCTTTCGAATACGTTAAGTTGTTGAACTTGATCTCTACTACCGCCTCTTCATCTAATGATAAGAAACCACCAAAGGTCTTGTTGATCACCAAGCAATCTGAAAGAATCTCCAGGTCTTTCTACTCCAGATCCTTGATTGGTATTTCCAGAACCTCTATGAACGAGTACCCAAATTTGTCCATTACCTCTATCGATTTGGATACCAACGACTACTCATTGCAGTCTTTGTTGAAGCCAATCTTCAGCAACTCTAAGTTTTCCGACAACGAGTTCATCTTCAAAAAGGGCTTGATGTTCGTGTCCAGGATCTTTAAGAACAAGCAGTTGCTAGAATCCTCCAACGCTTTTGAAACTGACTCTTCTAACTTGTACTGTAAGGCCTCTTCTGACTTGTCTTACAAGTACGCTATTAAGCAGTCTATGTTGACCGAAAATCAGATCGAAATCAAGGTTGAATGCGTCGGTATTAACTTCAAGGACAACCTATTCTACAAGGGCTTGTTGCCACAAGAAATTTTCAGAATGGGTGACATCTACAATCCACCATATGGTTTGGAATGCTCTGGTGTTATTACCAGAATTGGTTCTAACGTCACCGAATACTCAGTTGGTCAAAATGTTTTTGGTTTCGCCAGACATTCTTTGGGTTCTCATGTTGTTACCAACAAGGATTTGGTTATCTTGAAGCCAGATACCATCTCATTTTCTGAAGCTGCTTCTATCCCAGTTGTTTACTGTACTGCTTGGTACTCCTTGTTCAACATTGGTCAGTTGTCTAACGAAGAATCCATCCTAATTCATTCTGCTACTGGTGGTGTAGGTTTGGCTTCTTTGAATTTGTTGAAAATGAAGAATCAGCAACAGCAACCATTGACCAATGTTTATGCTACTGTTGGCTCTAACGAGAAGAAGAAGTTCTTGATCGATAACTTCAACAACTTGTTCAAAGAGGACGGCGAAAACATTTTCTCTACCAGAGACAAAGAATACTCCAACCAGTTGGAATCCAAGATCGATGTTATTTTGAACACCTTGTCCGGTGAATTCGTCGAATCTAATTTCAAGTCCTTGAGATCCTTCGGTAGATTGATTGATTTGTCTGCTACTCACGTTTGGATCCGGAAC | 
| Genewiz Fragment 2 (1Q) | ATCCTTCGGTAGATTGATTGATTTGTCTGCTACTCACGTTTACGCCAATCAACAAATTGGTCTAGGTAACTTCAAGTTCGACCACTTGTATTCTGCTGTTGACTTGGAAAGATTGATCGACGAAAAACCTAAGTTGTTGCAGTCCATCTTGCAAAGAATTACCAACTCTATCGTCAACGGTTCCTTGGAAAAAATTCCAATTACCATCTTCCCATCCACCGAAACTAAGGATGCTATCGAATTATTGTCCAAGAGATCCCATATCGGTAAAGTTGTTGTAGATTGCACCGATATCTCTAAGTGTAATCCTGTTGGTGATGTGATCACCAACTTCTCTATGAGATTGCCAAAGCCAAACTACCAGTTGAATTTGAACTCCACCTTGTTGATTACTGGTCAGTCTGGTTTGTCTATCCCTTTGTTGAATTGGTTGTTGTCTAAGTCTGGTGGTAACGTTAAGAACGTTGTCATCATTTCTAAGTCCACCATGAAGTGGAAGTTGCAGACTATGATTTCCCATTTCGTTTCCGGTTTCGGTATCCATTTTAACTACGTTCAAGTCGACATCTCCAACTACGATGCTTTGTCTGAAGCTATTAAGCAATTGCCATCTGATTTGCCACCAATCACCTCTGTTTTTCATTTGGCTGCTATCTACAACGATGTTCCAATGGATCAAGTTACCATGTCTACCGTTGAATCTGTTCATAACCCTAAAGTTTTGGGTGCCGTTAACTTGCATAGAATCTCTGTTTCTTTTGGTTGGAAGTTGAACCACTTCGTCTTGTTCTCTTCTATTACTGCTATTACCGGTTACCCAGACCAATCTATCTACAATTCTGCCAACTCTATTTTGGACGCTTTGTCCAACTTTAGAAGGTTTATGGGTTTGCCATCCTTCTCCATTAACTTGGGTCCAATGAAGGATGAAGGTAAGGTTTCTACCAACAAGAGCATCAAGAAGCTATTCAAGTCTAGAGGTTTGCCAAGCCTATCCTTGAACAAGTTATTTGGTTTGTTGGAGGTCGTCATCAACAACCCATCTAATCATGTTATCCCATCCCAATTGATTTGCTCCCCAATCGATTTCAAGACCTACATCGAATCTTTCTCAACTATGAGGCCAAAGTTGTTACACTTGCAACCTACCATTTCCAAGCAGCAATCTTCTATCATTAACGATTCTACCAAGGCTTCCTCCAACATTTCATTGCAAGATAAGATCACCTCCAAGGTGTCTGATTTGTTGTCCATTCCAATCTCCAAGATCAACTTCGATCATCCATTGAAACACTACGGCTTGGATTCTTTGTTGACCGTTCAATTCAAATCCTGGATCGACAAAGAATTCGAAAAGAACTTGTTCACCCATATCCAATTGGCCACCATCTCTATTAACTCATTCTTGGAAAAGGTGAACGGCTTGTCTACAAACAATAACAACAACAACAATTCCAACGTCAAGTCCTCTCCATCCATTGTCAAAGAAGAAATCGTTACCTTGGACAAGGATCAACAACCATTGCTATTGAAAGAACACCAGCACATTATCATCTCCCCAGATATTAGAATCAACAAGCCAAAGAGGGAATCCTTGATTAGAACCCCAATCTTGAACAAATTCAACCAGATCACCGAATCCATTATCACTCCATCTACACCATCTTTGTCCCAATCCGATGTTTTGAAAACTCCACCAATCAAGTCTTTGAACAACACTAAGAACTCCAGCTTGATTAACACCCCACCAATTCAATCTGTCCAACAACATCAAAAGCAACAACAAAAGGTCCAAGTCATCCAACAACAGCAACAACCATTATCCAGATTGTCCTACAAGAGCAACAACAACTCTTTCGTTTTGGGTATCGGTATTTCTGTTCCAGGTGAACCTATTTCCCAACAATCCTTGAAAGACTCCATCTCCAATGACTTTTCTGATAAGGCTGAAACTAACGAGAAGGTCAAGAGAATCTTTGAGCAATCTCAAATCAAGACCAGACACTTGGTTAGAGATTACACTAAGCCAGAGAACTCCATCAAGTTCAGACATTTGGAAACCATTACCGATGTGAACAACCAGTTCAAGAAAGTTGTTCCAGATTTGGCTCAACAAGCCTGTTTGAGAGCTTTGAAAGATTGGGGTGGTGATAAGGGTGATATTACCCATATAGTTTCTGTTACCTCCACCGGTATTATCATCCCAGATGTTAATTTCAAGTTGATCGACTTGTTGGGCTTGAACAAGGATGTTGAAAGAGTGTCTTTGAACCTAATGGGTTGTTTGGCTGGTTTGAGTTCTTTGAGAACTGCTGCTTCTTTGGCTAAGGCTTCTCCAAGAAATAGAATTTTGGTTGTCTGTACCGAAGTCTGCTCCTTGCATTTTTCTAATACTGATGGTGGTGATCAAATGGTCGCCTCTTCTATTTTTGCTGATGGTTCTGCTGCTTACATTATTGGTTGTAACCCAAGAATTGAAGAAACCCCATTATACGAAGTCATGTGCTCCATTAACAGATCTTTCCCAAATACCGAAAACGCCATGGTTTGGGATTTGGAAAAAGAAGGTTGGAACTTGGGTTTGGATGCTTCTATTCCAATTGTCATTGGTTCTGGTATTGAAGCCTTCGTTGATACTTTGTTGGATAAGGCTAAGTTGCAAACTTCCACTGCTATTTCTGCTAAGGATTGCGAATTCTTGATTCATACTGGTGGCAAGTCCATCTTGATGAACATCGAAAATTCCTTGGGTATCGACCCAAAGCAAACTAAGAATACTTGGGATGTTTACCATGCCTACGGCAATATGTCATCTGCCTCTGTTATTTTCGTTATGGATCATGCCAGAAAGTCCAAGTCTTTGCCAACTTACTCAATTTCTTTGGCTTTTGGTCCAGGTTTGGCTTTTGAAGGTTGTTTCTTGAAGAACGTCGTCGAACAGAAGCTCATTTCCGAAGAGGACTTGTAACCGCAACAACTACCTCGACTTTGGCTGGGACACTTTCAGTGAGGACAAGAAGCTTCAGAAGCGTGCTATCGAACTCAACCAGGGACGTGCGGCACAAATGGGCATCCTTGCTCTCATGGTGCACGAACAGTTGGGAGTCTCTATCCTTCCTTAAAAATTTAATTTTCATTAGTTGCAGTCACTCCGCTTTGGTTT | 
| pPTGE30  sequencing  | ACTAAGGGTACTGTTGACATTGCGAAGAGCGACAAAGATTTTGTTATCGGCTTTATTGCTCAAAGAGACATGGGTGGAAGAGATGAAGGTTACGATTGGTTGATTATGACACCCGGTGTGGGTTTAGATGACAAGGGAGACGCATTGGGTCAACAGTATAGAACCGTGGATGATGTGGTCTCTACAGGATCTGACATTATTATTGTTGGAAGAGGACTATTTGCAAAGGGAAGGGATGCTAAGGTAGAGGGTGAACGTTACAGAAAAGCAGGCTGGGAAGCATATTTGAGAAGATGCGGCCAGCAAAACTAAAAAACTGTATTATAAGTAAATGCATGTATACTAAACTCACAAATTAGAGCTTCAATTTAATTATATCAGTTATTACCCGGCCGGGAATCTCGGTCGTAATGATTTTTATAATGACGAAAAAAAAAAAAATTGGAAAGAAAACCCCCCCCCCCCCCGCAGCGTTGGGTCCTGGCCACGGGTGCGCATGATCGTGCTCCTGTCGTTGAGGACCCGGCTAGGCTGGCGGGGTTGCCTTACTGGTTAGCAGAATGAATCACCGATACGCGAGCGAACGTGAAGCGACTGCTGCTGCAAAACGTCTGCGACCTGAGCAACAACATGAATGGTCTTCGGTTTCCGTGTTTCGTAAAGTCTGGAAACGCGGAAGTCAGCGCCCTGCACCATTATGTTCCGGATCTGCATCGCAGGATGCTGCTGGCTACCCTGTGGAACACCTACATCTGTATTAACGAAGCGCTGGCATTGACCCTGAGTGATTTTTCTCTGGTCCCGCCGCATCCATACCGCCAGTTGTTTACCCTCACAACGTTCCAGTAACCGGGCATGTTCATCATCAGTAACCCGTATCGTGAGCATCCTCTCTCGTTTCATCGAGTTACGCTAGGGATAACAGGGTAATATAGATCTTCCGCTGCATAACCCTGCTTCGGGGTCATTATAGCGATTTTTTCGGTATATCCATCCTTTTTCGCACGATATACAGGATTTTGCCAAAGGGTTCGTGTAGACTTTCCTTGGTGTATCCAACGGCGTCAGCCGGGCAGGATAGGTGAAGTAGGCCCACCCGCGAGCGGGTGTTCCTTCTTCACTGTCCCTTATTCGCACCTGGCGGTGCTCAACGGGAATCCTGCTCTGCGAGGCTGGCCGGCTACCGCCGGCGTAACAGATGAGGGCAAGCGGATGGCTGATGAAACCAAGCCAACCAGGAAGGGCAGCCCACCTATCAAGGTGTACTGCCTTCCAGACGAACGAAGAGCGATTGAGGAAAAGGCGGCGGCGGCCGGCATGAGCCTGTCGGCCTACCTGCTGGCCGTCGGCCAGGGCTACAAAATCACGGGCGTCGTGGACTATGAGCACGTCCGCGAGCTGGCCCGCATCAATGGCGACCTGGGCCGCCTGGGCGGCCTGCTGAAACTCTGGCTCACCGACGACCCGCGCACGGCGCGGTTCGGTGATGCCACGATCCTCGCCCTGCTGGCGAAGATCGAAGAGAAGCAGGACGAGCTTGGCAAGGTCATGATGGGCGTGGTCCGCCCGAGGGCAGAGCCATGACTTTTTTAGCCGCTAAAACGGCCGGGGGGTGCGCGTGATTGCCAAGCACGTCCCCATGCGCTCCATCAAGAAGAGGCACTTCGAGCTGTAAGTACATCACCGACGAGCAAGGCAAGACGATCCGCGCCTGTTTTATTGAGAACGTTGTTCGTGTTGGCCTCAATGGTAGCGATGCGTCATTCAGCGAAGTTCTGGTGCTGATGATGTGGTTCGCTTTGCCACTGGTCAATGTGGTAAGCCCGTGTAATGTCAGTAACCTTTTTACTGATCTCAGCTTGAGCACGGTCGCTGATGAGCTTATCCATGGCCCCACGGTAACGGATATGATCCTCTAGGGCGTTGACAAATTCTTTGTCGGTTTTCATGGGGTAGACGTCAGTGACCAGGGAACGTCTCCCTACAAAAAGTTGCGCATACTTTGCTCCGTTGTCGACGGCAGGGGTGTCGGACCAGATTGTATCTGTGGCAACGGCCTCATTGCGTCAATGGACCTTTAAAGCCGGGAAACGAGACTTGAAATGTTTACGTAGAGGTGCATTATAGACCTCACGCGCATATTGAGTGGTTGCAAAAATGGTTTTGCGAACGGTATCACTGGAGACCCATGCCAGGCAAGGACGGAGGGCATCATAATCATGTTCATTGCGTTGGACAGCATGCTTGTTACACGTAAGTATACGGTCGAGAGCATCGTGACGTTGAGAATTACAGATGGCAACGTGTCGGTGCATGTATTGGCCGAGATTGTCAAATCGTGGCTCAATATATGGCATGCCAGGTAAGTCATGGATGTCGGTATGCCATTCAGCCTTCATGTCGATTTCGTTGTCGAGAACTGATGGGTCCCAGTCAACGTCAGAAGTAAGAACAACATGGGGAAGGGAATGAAGTTCATGACTGGTGGGTGCGCGCATATCCATGTACGGAAGACCCTGTCGTATGTTTAGTGGGATGATGTAATCATCCAGGGTAACAATACGTTGGTTGCCGCCCACGGTACGAGACCGATCTTGAACACAATTGTGGCAATGTTCAAGTTGGGCGCTGGAATGGATGGTTTTACCTTTACCAAGATGCGCGTATTGATGCATGATAACAACAATGGGCCCTCGTTGCGATTCGACAAGACCGGCAGCCGTGACAATGTCTAGATTGGACAAGGTATGTTCATTTATACCGGTTATGTTGGCTGAACGTCCAGTTTTGTGCAGTACGGTAACATCACTCCCCGCAAGTCCACCGTTGGCACCGCGATCGACAAGTGCAGATGTGGTATTTTGTACTGTGTGTCGGGAGACTTGGTACTGTAACACATTTGACTGAAGTGACTTGGTGGTACCATGAGGACGGAGGGAACCCGTTGATACGGTGTTGCGTGACGCTGCAAGTACCTTACGTATGTCGCCTGGATCCATACGTCCAACCCGATCAGAAAGATGTGCTAGGAGTTCCGTTTCTGGTGCACAATCATGAAAGGTATCCACGGGAGTTCCATTGTTGTCGTCCGGGGCTGCGTCGCGACTGCCAGTTGCATGTACATGCGCCATCAAGGGACGTGCCAATCCATTACTAACCGGGAGAACCTTAGCTGGGGCAGCCAATCCCTGAAGTATAGCCTTAGCATCATCTGAGAGCTGGTTCCACATATCTCTAGGGATATAAGGTCGTTCACGGTTAGTGGGCGTACTATGATGTCGGTTATTAGTACAATTCTCCCTGCGGGCATGCGCATTGGCTTCATAGAGTACGGAAGGTGACAAGTCAATATTGTAGTTAACATCCGGATCAGTGTCAAAGTCTGTAGGATGGTAAGAAAGATCAGTAGAATGAATACTACGCTTTTCCTTGGGACTACGGGAATTAGAGAAGTTGTTTCCTTTATTGTAGAGTGACGCTGAAGCAAGTAGAAGACTAAGGTAACTCTCGTAGCTAATAGGATTACCTCCTTTGGCTAGGTCAAGAGTGGCTGTGATCTTCACTTGACAAAGTTCCGGTACATTGTGGACAGCATTCTCCAAAAGACTAAGACACAGTTGCTTTGGGAGTTGCTCAGCCATTGGTACAGTATTGTGGTAGATACAAAGGTGGTTCTTCCAATGAAGGATAAATCCTTCTGCTGTGCCTGTCCATGAGGATCCATATTTCGCCGTAGTTAGGTAACCAAGCGTGGTGGCTGAACTGATCTTCGCACTTGCTGATTCCGTATAGTGTTTGACAACTTTACAAAACACTTCTTGCGCAGTTCGCTCTAGCCTGGACAGAGAAGGGACAATCTTCGTCGTTAAGACTCGTGCGAATAGCAAAAGATCACAAAATAGCACATCGGCACCGACCAACGATTATTTCCAAGGAAAAAAAGAATGCTTCACTACAAGAAATTGTGTCATCCCTATACAGAGTCTTGTTACTGTGACAGAAAATTGATGGAAGATGTGGCGGATTGCCTTTACACTAGCCAACTTGTTCGACTAATTGCAGCTTCTTCTGAGAGGCTTCACCGAGTAACGCGAAGAACACCGGTGTCTCGTACATGCTCGTCGGTGAACGCTCGTCCAATGACACCCCCCACTTTGTATCAATATCCCAACTTGGTAGTGAACTGGAATGATACATGCAATTTCGCGCCGCATCAACAGCCACGGGCACCATCGACGAATAGACTCGGTCGAGCTGGTTGCCCTCGCCGCTGGGCTGGCGGCCGTCTATGGCCCTGCAAACGCGCCAGAAACGCCGTCGAAGCCGTGTGCGAGACACCGCGGCCGGCCGCCGGCGTTGTGGATACCTCGCGGAAAACTTGGCCCTCACTGACAGATGAGGGGCGGACGTTGACACTTGAGGGGCCGACTCACCCGGCGCGGCGTTGACAGATGAGGGGCAGGCTCGATTTCGGCCGGCGACGTGGAGCTGGCCAGCCTCGCAAATCGGCGAAAACGCCTGATTTTACGCGAGTTTCCCACAGATGATGTGGACAAGCCTGGGGATAAGTGCCCTGCGGTATTGACACTTGAGGGGCGCGACTACTGACAGATGAGGGGCGCGATCCTTGACACTTGAGGGGCAGAGTGCTGACAGATGAGGGGCGCACCTATTGACATTTGAGGGGCTGTCCACAGGCAGAAAATCCAGCATTTGCAAGGGTTTCCGCCCGTTTTTCGGCCACCGCTAACCTGTCTTTTAACCTGCTTTTAAACCAATATTTATAAACCTTGTTTTTAACCAGGGCTGCGCCCTGTGCGCGTGACCGCGCACGCCGAAGGGGGGTGCCCCCCCTTCTCGAACCCTCCCGGTCGAGTGAGCGAGGAAGCACCAGGGAACAGCACTTATATATTCTGCTTACACACGATGCCTGAAAAAACTTCCCTTGGGGTTATCCACTTATCCACGGGGATATTTTTATAATTATTTTTTTTATAGTTTTTAGATCTTCTTTTTTAGAGCGCCTTGTAGGCCTTTATCCATGCTGGTTCTAGAGAAGGTGTTGTGACAAATTGCCCTTTCAGTGTGACAAATCACCCTCAAATGACAGTCCTGTCTGTGACAAATTGCCCTTAACCCTGTGACAAATTGCCCTCAGAAGAAGCTGTTTTTTCACAAAGTTATCCCTGCTTATTGACTCTTTTTTATTTAGTGTGACAATCTAAAAACTTGTCACACTTCACATGGATCTGTCATGGCGGAAACAGCGGTTATCAATCACAAGAAACGTAAAAATAGCCCGCGAATCGTCCAGTCAAACGACCTCACTGAGGCGGCATATAGTCTCTCCCGGGATCAAAAACGTATGCTGTATCTGTTCGTTGACCAGATCAGAAAATCTGATGGCACCCTACAGGAACATGACGGTATCTGCGAGATCCATGTTGCTAAATATGCTGAAATATTCGGATTGACCTCTGCGGAAGCCAGTAAGGATATACGGCAGGCATTGAAGAGTTTCGCGGGGAAGGAAGTGGTTTTTTATCGCCCTGAAGAGGATGCCGGCGATGAAAAAGGCTATGAATCTTTTCCTTGGTTTATCAAACGTGCGCACAGTCCATCCAGAGGGCTTTACAGTGTACATATCAACCCATATCTCATTCCCTTCTTTATCGGGTTACAGAACCGGTTTACGCAGTTTCGGCTTAGTGAAACAAAAGAAATCACCAATCCGTATGCCATGCGTTTATACGAATCCCTGTGTCAGTATCGTAAGCCGGATGGCTCAGGCATCGTCTCTCTGAAAATCGACTGGATCATAGAGCGTTACCAGCTGCCTCAAAGTTACCAGCGTATGCCTGACTTCCGCCGCCGCTTCCTGCAGGTCTGTGTTAATGAGATCAACAGCAGAACTCCAATGCGCCTCTCATACATTGAGAAAAAGAAAGGCCGCCAGACGACTCATATCGTATTTTCCTTCCGCGATATCACTTCCATGACGACAGGATAGTCTGAGGGTTATCTGTCACAGATTTGAGGGTGGTTCGTCACATTTGTTCTGACCTACTGAGGGTAATTTGTCACAGTTTTGCTGTTTCCTTCAGCCTGCATGGATTTTCTCATACTTTTTGAACTGTAATTTTTAAGGAAGCCAAATTTGAGGGCAGTTTGTCACAGTTGATTTCCTTCTCTTTCCCTTCGTCATGTGACCTGATATCGGGGGTTAGTTCGTCATCATTGATGAGGGTTGATTATCACAGTTTATTACTCTGAATTGGCTATCCGCGTGTGTACCTCTACCTGGAGTTTTTCCCACGGTGGATATTTCTTCTTGCGCTGAGCGTAAGAGCTATCTGACAGAACAGTTCTTCTTTGCTTCCTCGCCAGTTCGCTCGCTATGCTCGGTTACACGGCTGCGGCGAGCATCACGTGCTATAAAAATAATTATAATTTAAATTTTTTAATATAAATATATAAATTAAAAATAGAAAGTAAAAAAAGAAATTAAAGAAAAAATAGTTTTTGTTTTCCGAAGATGTAAAAGACTCTAGGGGGATCGCCAACAAATACTACCTTTTACCTTGCTCTTCCTGCTCTCAGGTATTAATGCCGAATTGTTTCATCTTGTCTGTGTAGAAGACCACACACGAAAATCCTGTGATTTTACATTTTACTTATCGTTAATCGAATGTATATCTATTTAATCTGCTTTTCTTGTCTAATAAATATATATGTAAAGTACGCTTTTTGTTGAAATTTTTTAAACCTTTGTTTATTTTTTTTTCTTCATTCCGTAACTCTTCTACCTTCTTTATTTACTTTCTAAAATCCAAATACAAAACATAAAAATAAATAAACACAGAGTAAATTCCCAAATTATTCCATCATTAAAAGATACGAGGCGCGTGTAAGTTACAGGCAAGCGATCCTAGTACACTCTATATTTTTTTATGCCTCGGTAATGATTTTCATTTTTTTTTTCCACCTAGCGGATGACTCTTTTTTTTTCTTAGCGATTGGCATTATCACATAATGAATTATACATTATATAAAGTAATGTGATTTCTTCGAAGAATATACTAAAAAATGAGCAGGCAAGATAAACGAAGGCAAAGATGACAGAGCAGAAAGCCCTAGTAAAGCGTATTACAAATGAAACCAAGATTCAGATTGCGATCTCTTTAAAGGGTGGTCCCCTAGCGATAGAGCACTCGATCTTCCCAGAAAAAGAGGCAGAAGCAGTAGCAGAACAGGCCACACAATCGCAAGTGATTAACGTCCACACAGGTATAGGGTTTCTGGACCATATGATACATGCTCTGGCCAAGCATTCCGGCTGGTCGCTAATCGTTGAGTGCATTGGTGACTTACACATAGACGACCATCACACCACTGAAGACTGCGGGATTGCTCTCGGTCAAGCTTTTAAAGAGGCCCTAGGGGCCGTGCGTGGAGTAAAAAGGTTTGGATCAGGATTTGCGCCTTTGGATGAGGCACTTTCCAGAGCGGTGGTAGATCTTTCGAACAGGCCGTACGCAGTTGTCGAACTTGGTTTGCAAAGGGAGAAAGTAGGAGATCTCTCTTGCGAGATGATCCCGCATTTTCTTGAAAGCTTTGCAGAGGCTAGCAGAATTACCCTCCACGTTGATTGTCTGCGAGGCAAGAATGATCATCACCGTAGTGAGAGTGCGTTCAAGGCTCTTGCGGTTGCCATAAGAGAAGCCACCTCGCCCAATGGTACCAACGATGTTCCCTCCACCAAAGGTGTTCTTATGTAGTTTTACACAGGAGTCTGGACTTGACGCTAGTGATAATAAGTGACTGAGGTATGTGCTCTTCTTATCTCCTTTTGTAGTGTTGCTCTTATTTTAAACAACTTTGCGGTTTTTTGATGACTTTGCGATTTTGTTGTTGCTTTGCAGTAAATTGCAAGATTTAATAAAAAAACGCAAAGCAATGATTAAAGGATGTTCAGAATGAAACTCATGGAAACACTTAACCAGTGCATAAACGCTGGTCATGAAATGACGAAGGCTATCGCCATTGCACAGTTTAATGATGACAGCCCGGAAGCGAGGAAAATAACCCGGCGCTGGAGAATAGGTGAAGCAGCGGATTTAGTTGGGGTTTCTTCTCAGGCTATCAGAGATGCCGAGAAAGCAGGGCGACTACCGCACCCGGATATGGAAATTCGAGGACGGGTTGAGCAACGTGTTGGTTATACAATTGAACAAATTAATCATATGCGTGATGTGTTTGGTACGCGATTGCGACGTGCTGAAGACGTATTTCCACCGGTGATCGGGGTTGCTGCCCATAAAGGTGGCGTTTACAAAACCTCAGTTTCTGTTCATCTTGCTCAGGATCTGGCTCTGAAGGGGCTACGTGTTTTGCTCGTGGAAGGTAACGACCCCCAGGGAACAGCCTCAATGTATCACGGATGGGTACCAGATCTTCATATTCATGCAGAAGACACTCTCCTGCCTTTCTATCTTGGGGAAAAGGACGATGTCACTTATGCAATAAAGCCCACTTGCTGGCCGGGGCTTGACATTATTCCTTCCTGTCTGGCTCTGCACCGTATTGAAACTGAGTTAATGGGCAAATTTGATGAAGGTAAACTGCCCACCGATCCACACCTGATGCTCCGACTGGCCATTGAAACTGTTGCTCATGACTATGATGTCATAGTTATTGACAGCGCGCCTAACCTGGGTATCGGCACGATTAATGTCGTATGTGCTGCTGATGTGCTGATTGTTCCCACGCCTGCTGAGTTGTTTGACTACACCTCCGCACTGCAGTTTTTCGATATGCTTCGTGATCTGCTCAAGAACGTTGATCTTAAAGGGTTCGAGCCTGATGTACGTATTTTGCTTACCAAATACAGCAATAGCAATGGCTCTCAGTCCCCGTGGATGGAGGAGCAAATTCGGGATGCCTGGGGAAGCATGGTTCTAAAAAATGTTGTACGTGAAACGGATGAAGTTGGTAAAGGTCAGATCCGGATGAGAACTGTTTTTGAACAGGCCATTGATCAACGCTCTTCAACTGGTGCCTGGAGAAATGCTCTTTCTATTTGGGAACCTGTCTGCAATGAAATTTTCGATCGTCTGATTAAACCACGCTGGGAGATTAGATAATGAAGCGTGCGCCTGTTATTCCAAAACATACGCTCAATACTCAACCGGTTGAAGATACTTCGTTATCGACACCAGCTGCCCCGATGGTGGATTCGTTAATTGCGCGCGTAGGAGTAATGGCTCGCGGTAATGCCATTACTTTGCCTGTATGTGGTCGGGATGTGAAGTTTACTCTTGAAGTGCTCCGGGGTGATAGTGTTGAGAAGACCTCTCGGGTATGGTCAGGTAATGAACGTGACCAGGAGCTGCTTACTGAGGACGCACTGGATGATCTCATCCCTTCTTTTCTACTGACTGGTCAACAGACACCGGCGTTCGGTCGAAGAGTATCTGGTGTCATAGAAATTGCCGATGGGAGTCGCCGTCGTAAAGCTGCTGCACTTACCGAAAGTGATTATCGTGTTCTGGTTGGCGAGCTGGATGATGAGCAGATGGCTGCATTATCCAGATTGGGTAACGATTATCGCCCAACAAGTGCTTATGAACGTGGTCAGCGTTATGCAAGCCGATTGCAGAATGAATTTGCTGGAAATATTTCTGCGCTGGCTGATGCGGAAAATATTTCACGTAAGATTATTACCCGCTGTATCAACACCGCCAAATTGCCTAAATCAGTTGTTGCTCTTTTTTCTCACCCCGGTGAACTATCTGCCCGGTCAGGTGATGCACTTCAAAAAGCCTTTACAGATAAAGAGGAATTACTTAAGCAGCAGGCATCTAACCTTCATGAGCAGAAAAAAGCTGGGGTGATATTTGAAGCTGAAGAAGTTATCACTCTTTTAACTTCTGTGCTTAAAACGTCATCTGCATCAAGAACTAGTTTAAGCTCACGACATCAGTTTGCTCCTGGAGCGACAGTATTGTATAAGGGCGATAAAATGGTGCTTAACCTGGACAGGTCTCGTGTTCCAACTGAGTGTATAGAGAAAATTGAGGCCATTCTTAAGGAACTTGAAAAGCCAGCACCCTGATGCGACCTCGTTTTAGTCTACGTTTATCTGTCTTTACTTAATGTCCTTTGTTACAGGCCAGAAAGCATAACTGGCCTGAATATTCTCTCTGGGCCCACTGTTCCACTTGTATCGTCGGTCTGATAATCAGACTGGGACCACGGTCCCACTCGTATCGTCGGTCTGATTATTAGTCTGGGACCATGGTCCCACTCGTATCGTCGGTCTGATTATTAGTCTGGGACCACGGTCCCACTCGTATCGTCGGTCTGATTATTAGTCTGGAACCACGGTCCCACTCGTATCGTCGGTCTGATTATTAGTCTGGGACCACGGTCCCACTCGTATCGTCGGTCTGATTATTAGTCTGGGACCACGATCCCACTCGTGTTGTCGGTCTGATTATCGGTCTGGGACCACGGTCCCACTTGTATTGTCGATCAGACTATCAGCGTGAGACTACGATTCCATCAATGCCTGTCAAGGGCAAGTATTGACATGTCGTCGTAACCTGTAGAACGGAGTAACCTCGGTGTGCGGTTGTATGCCTGCTGTGGATTGCTGCTGTGTCCTGCTTATCCACAACATTTTGCGCACGGTTATGTGGACAAAATACCTGGTTACCCAGGCCGTGCCGGCACGTTAACCGGGCTGCATCCGATGCAAGTGTGTCGCTGTCGACGAGCTCGCGAGCTCGGACATGAGGTTGCCCCGTATTCAGTGTCGCTGATTTGTATTGTCTGAAGTTGTTTTTACGTTAAGTTGATGCAGATCAATTAATACGATACCTGCGTCATAATTGATTATTTGACGTGGTTTGATGGCCTCCACGCACGTTGTGATATGTAGATGATAATCATTATCACTTTACGGGTCCTTTCCGGTGATCCGACAGGTTACGGGGCGGCGACCTCGCGGGTTTTCGCTATTTATGAAAATTTTCCGGTTTAAGGCGTTTCCGTTCTTCTTCGTCATAACTTAATGTTTTTATTTAAAATACCCTCTGAAAAGAAAGGAAACGACAGGTGCTGAAAGCGAGCTTTTTGGCCTCTGTCGTTTCCTTTCTCTGTTTTTGTCCGTGGAATGAACAATGGAAGTCCGAGCTCATCGCTAATAACTTCGTATAGCATACATTATACGAAGTTATATTCGATGCGGCCGCAAGGGGTTCGCGTCAGCGGGTGTTGGCGGGTGTCGGGGCTGGCTTAACTATGCGGCATCAGAGCAGATTGTACTGAGAGTGCACCATATGCGGTGTGAAATACCACACAGATGCGTAAGGAGAAAATACCGCATCAGGCGCCATTCGCCATTCAGCTGCGCAACTGTTGGGAAGGGCGATCGGTGCGGGCCTCTTCGCTATTACGCCAGCTGGCGAAAGGGGGATGTGCTGCAAGGCGATTAAGTTGGGTAACGCCAGGGTTTTCCCAGTCACGACGTTGTAAAACGACGGCCAGTGAATTGTAATACGACTCACTATAGGGCGAATTCGAGCTCGGTACCCGGGGATCCTCTAGAGTCGACCTGCAGGCATGCAAGCTTGAGTATTCTATAGTCTCACCTAAATAGCTTGGCGTAATCATGGTCATAGCTGTTTCCTGTGTGAAATTGTTATCCGCTCACAATTCCACACAACATACGAGCCGGAAGCATAAAGTGTAAAGCCTGGGGTGCCTAATGAGTGAGCTAACTCACATTAATTGCGTTGCGCTCACTGCCCGCTTTCCAGTCGGGAAACCTGTCGTGCCAGCTGCATTAATGAATCGGCCAACGCGAACCCCTTGCGGCCGCCCGGGCCGTCGACCAATTCTCATGTTTGACAGCTTATCATCGAATTTCTGCCATTCATCCGCTTATTATCACTTATTCAGGCGTAGCAACCAGGCGTTTAAGGGCACCAATAACTGCCTTAAAAAAATTACGCCCCGCCCTGCCACTCATCGCAGTACTGTTGTAATTCATTAAGCATTCTGCCGACATGGAAGCCATCACAAACGGCATGATGAACCTGAATCGCCAGCGGCATCAGCACCTTGTCGCCTTGCGTATAATATTTGCCCATGGTGAAAACGGGGGCGAAGAAGTTGTCCATATTGGCCACGTTTAAATCAAAACTGGTGAAACTCACCCAGGGATTGGCTGAGACGAAAAACATATTCTCAATAAACCCTTTAGGGAAATAGGCCAGGTTTTCACCGTAACACGCCACATCTTGCGAATATATGTGTAGAAACTGCCGGAAATCGTCGTGGTATTCACTCCAGAGCGATGAAAACGTTTCAGTTTGCTCATGGAAAACGGTGTAACAAGGGTGAACACTATCCCATATCACCAGCTCACCGTCTTTCATTGCCATACGAAATTCCGGATGAGCATTCATCAGGCGGGCAAGAATGTGAATAAAGGCCGGATAAAACTTGTGCTTATTTTTCTTTACGGTCTTTAAAAAGGCCGTAATATCCAGCTGAACGGTCTGGTTATAGGTACATTGAGCAACTGACTGAAATGCCTCAAAATGTTCTTTACGATGCCATTGGGATATATCAACGGTGGTATATCCAGTGATTTTTTTCTCCATTTTAGCTTCCTTAGCTCCTGAAAATCTCGATAACTCAAAAAATACGCCCGGTAGTGATCTTATTTCATTATGGTGAAAGTTGGAACCTCTTACGTGCCGATCAACGTCTCATTTTCGCCAAAAGTTGGCCCAGGGCTTCCCGGTATCAACAGGGACACCAGGATTTATTTATTCTGCGAAGTGATCTTCCGTCACAGGTATTTATTCGCGATAAGCTCATGGAGCGGCGTAACCGTCGCACAGGAAGGACAGAGAAAGCGCGGATCTGGGAAGTGACGGACAGAACGGTCAGGACCTGGATTGGGGAGGCGGTTGCCGCCGCTGCTGCTGACGGTGTGACGTTCTCTGTTCCGGTCACACCACATACGTTCCGCCATTCCTATGCGATGCACATGCTGTATGCCGGTATACCGCTGAAAGTTCTGCAAAGCCTGATGGGACATAAGTCCATCAGTTCAACGGAAGTCTACACGAAGGTTTTTGCGCTGGATGTGGCTGCCCGGCACCGGGTGCAGTTTGCGATGCCGGAGTCTGATGCGGTTGCGATGCTGAAACAATTATCCTGAGAATAAATGCCTTGGCCTTTATATGGAAATGTGGAACTGAGTGGATATGCTGTTTTTGTCTGTTAAACAGAGAAGCTGGCTGTTATCCACTGAGAAGCGAACGAAACAGTCGGGAAAATCTCCCATTATCGTAGAGATCCGCATTATTAATCTCAGGAGCCTGTGTAGCGTTTATAGGAAGTAGTGTTCTGTCATGATGCCTGCAAGCGGTAACGAAAACGATTTGAATATGCCTTCAGGAACAATAGAAATCTTCGTGCGGTGTTACGTTGAAGTGGAGCGGATTATGTCAGCAATGGACAGAACAACCTAATGAACACAGAACCATGATGTGGTCTGTCCTTTTACAGCCAGTAGTGCTCGCCGCAGTCGAGCGACAGGGCGAAGCCCATCGATACTAGCTTGATTGGGATATCTCGCTCGTGCTTGTCGCGTGCTATGTCTTTTTAGGGTACTTTGAACCTACGTTCGTACTTGTGTAATATGATCATCGTCGTCATCGTATTATCGTTTTTCATCCGTCCAGCGCAAAATGCATTAGCAGCTAGTCCTAGCGTGCGGAGCTACCTGTACAGGTGCATGACGGATGCGTGTCCTTAAGTGAGTTTCTAATTAACAGTAACTTCTTTACTTATGTTTCAGTTTGTAAGAAGCGGGATGCGCTCGTCGCTTGACATCTGATTGGACTGCGTCGGCACGTGAAAACTACATTGTGAAATCTGCTAAAACTCCGGGTATCTCTGACACAAAACGATTCGGCTTCGCAATTTCAACATTACGGTCAAGGCTAACGTATCTTTCTCGGTCAACTTCAGATTATGCCGATTAAATTGTCGTAGCTTTCAAGGCGTTTTGAGTACTGCGGCAGTTGTTGAACCTGCAAGGAGAAGATCTCGACAACAGAATAAAGCGAAAAATGGGTCTCATGCACTAACACTCAGGCCTCCCTCATAATCTCTGTTTGAGTTTACCAACAACACATATATACATTTCGACAAAATGGCCAAGTTGACCAGTGCCGTTCCGGTGCTCACCGCGCGCGACGTCGCCGGAGCGGTCGAGTTCTGGACCGACCGGCTCGGGTTCTCCCGGGACTTCGTGGAGGACGACTTCGCCGGTGTGGTCCGGGACGACGTGACCCTGTTCATCAGCGCGGTCCAGGACCAGGTGGTGCCAGACAACACCCTGGCCTGGGTGTGGGTGCGCGGCCTGGACGAGCTGTACGCCGAGTGGTCGGAGGTCGTGTCCACGAACTTCCGGGACGCCTCCGGGCCGGCCATGACCGAGATCGGCGAGCAGCCGTGGGGGCGGGAGTTCGCCCTGCGCGACCCGGCCGGCAACTGCGTGCACTTCGTGGCCGAGGAGCAGGACTGACCGACGCCGACCAACACCGCCGGTCCGACGCGGCCCGACGGGTCCGAGGCCTCGGAGATCTGGGCCCATGCGGCCGCAACAACTACCTCGACTTTGGCTGGGACACTTTCAGTGAGGACAAGAAGCTTCAGAAGCGTGCTATCGAACTCAACCAGGGACGTGCGGCACAAATGGGCATCCTTGCTCTCATGGTGCACGAACAGTTGGGAGTCTCTATCCTTCCTTAAAAATTTAATTTTCATTAGTTGCAGTCACTCCGCTTTGGTTTCGTAACTATAACGGTCCTAAGGTAGCGAACGTTGCAGGCCATGCTGTCCAGGCAGGTAGATGACGACCATCAGGGACAGCTTCAAGGATCGCTCGCGGCTCTTACCAGCCTAACTTCGATCATTGGACCGCTGATCGTCACGGCGATTTATGCCGCCTCGGCGAGCACATGGAACGGGTTGGCATGGATTGTAGGCGCCGCCCTATACCTTGTCTGCCTCCCCGCGTTGCGTCGCGGTGCATGGAGCCGGGCCACCTCGACCTGAATGGAAGCCGGCGGCACCTCGCTAACGGATTCACCACTCCAAGAATTGGAGCCAATCAATTCTTGCGGAGAACTGTGAATGCGCAAACCAACCCTTGGCAGAACATATCCATCGCGTCCGCCATCTCCAGCAGCCGCACGCGGCGCATCGGGGGGGGGGGGGTTTCAATTCATCATTTTTTTTTTATTCTTTTTTTTGATTTCGGTTTCCTTGAAATTTTTTTGATTCGGTAATCTCCGAACAGAAGGAAGAACGAAGGAAGGAGCACAGACTTAGATTGGTATATATACGCATATGTAGTGTTGAAGAAACATGAAATTGCCCAGTATTCTTAACCCAACTGCACAGAACAAAAACCTGCAGGAAACGAAGATAAATCATGTCGAAAGCTACATATAAGGAACGTGCTGCTACTCATCCTAGTCCTGTTGCTGCCAAGCTATTTAATATCATGCACGAAAAGCAAACAAACTTGTGTGCTTCATTGGATGTTCGTACCACCAAGGAATTACTGGAGTTAGTTGAAGCATTAGGTCCCAAAATTTGTTTACTAAAAACACATGTGGATATCTTGACTGATTTTTCCATGGAGGGCACAGTTAAGCCGCTAAAGGCATTATCCGCCAAGTACAATTTTTTACTCTTCGAAGACAGAAAATTTGCTGACATTGGTAATACAGTCAAATTGCAGTACTCTGCGGGTGTATACAGAATAGCAGAATGGGCAGACATTACGAATGCACACGGTGTGGTGGGCCCAGGTATTGTTAGCGGTTTGAAGCAGGCGGCGGAAGAAGTAACAAAGGAACCTAGAGGCCTTTTGATGTTAGCAGAATTGTCATGCAAGGGCTCCCTAGCTACTGGAGAATAT | 
| pSteelyA-1  sequencing  | TTCGATGCGGCCGCAAGGGGTTCGCGTCAGCGGGTGTTGGCGGGTGTCGGGGCTGGCTTAACTATGCGGCATCAGAGCAGATTGTACTGAGAGTGCACCATATGCGGTGTGAAATACCACACAGATGCGTAAGGAGAAAATACCGCATCAGGCGCCATTCGCCATTCAGCTGCGCAACTGTTGGGAAGGGCGATCGGTGCGGGCCTCTTCGCTATTACGCCAGCTGGCGAAAGGGGGATGTGCTGCAAGGCGATTAAGTTGGGTAACGCCAGGGTTTTCCCAGTCACGACGTTGTAAAACGACGGCCAGTGAATTGTAATACGACTCACTATAGGGCGAATTCGAGCTCGGTACCCGGGGATCCTCTAGAGTCGACCTGCAGGCATGCAAGCTTGAGTATTCTATAGTCTCACCTAAATAGCTTGGCGTAATCATGGTCATAGCTGTTTCCTGTGTGAAATTGTTATCCGCTCACAATTCCACACAACATACGAGCCGGAAGCATAAAGTGTAAAGCCTGGGGTGCCTAATGAGTGAGCTAACTCACATTAATTGCGTTGCGCTCACTGCCCGCTTTCCAGTCGGGAAACCTGTCGTGCCAGCTGCATTAATGAATCGGCCAACGCGAACCCCTTGCGGCCGCCCGGGCCGTCGACCAATTCTCATGTTTGACAGCTTATCATCGAATTTCTGCCATTCATCCGCTTATTATCACTTATTCAGGCGTAGCAACCAGGCGTTTAAGGGCACCAATAACTGCCTTAAAAAAATTACGCCCCGCCCTGCCACTCATCGCAGTACTGTTGTAATTCATTAAGCATTCTGCCGACATGGAAGCCATCACAAACGGCATGATGAACCTGAATCGCCAGCGGCATCAGCACCTTGTCGCCTTGCGTATAATATTTGCCCATGGTGAAAACGGGGGCGAAGAAGTTGTCCATATTGGCCACGTTTAAATCAAAACTGGTGAAACTCACCCAGGGATTGGCTGAGACGAAAAACATATTCTCAATAAACCCTTTAGGGAAATAGGCCAGGTTTTCACCGTAACACGCCACATCTTGCGAATATATGTGTAGAAACTGCCGGAAATCGTCGTGGTATTCACTCCAGAGCGATGAAAACGTTTCAGTTTGCTCATGGAAAACGGTGTAACAAGGGTGAACACTATCCCATATCACCAGCTCACCGTCTTTCATTGCCATACGAAATTCCGGATGAGCATTCATCAGGCGGGCAAGAATGTGAATAAAGGCCGGATAAAACTTGTGCTTATTTTTCTTTACGGTCTTTAAAAAGGCCGTAATATCCAGCTGAACGGTCTGGTTATAGGTACATTGAGCAACTGACTGAAATGCCTCAAAATGTTCTTTACGATGCCATTGGGATATATCAACGGTGGTATATCCAGTGATTTTTTTCTCCATTTTAGCTTCCTTAGCTCCTGAAAATCTCGATAACTCAAAAAATACGCCCGGTAGTGATCTTATTTCATTATGGTGAAAGTTGGAACCTCTTACGTGCCGATCAACGTCTCATTTTCGCCAAAAGTTGGCCCAGGGCTTCCCGGTATCAACAGGGACACCAGGATTTATTTATTCTGCGAAGTGATCTTCCGTCACAGGTATTTATTCGCGATAAGCTCATGGAGCGGCGTAACCGTCGCACAGGAAGGACAGAGAAAGCGCGGATCTGGGAAGTGACGGACAGAACGGTCAGGACCTGGATTGGGGAGGCGGTTGCCGCCGCTGCTGCTGACGGTGTGACGTTCTCTGTTCCGGTCACACCACATACGTTCCGCCATTCCTATGCGATGCACATGCTGTATGCCGGTATACCGCTGAAAGTTCTGCAAAGCCTGATGGGACATAAGTCCATCAGTTCAACGGAAGTCTACACGAAGGTTTTTGCGCTGGATGTGGCTGCCCGGCACCGGGTGCAGTTTGCGATGCCGGAGTCTGATGCGGTTGCGATGCTGAAACAATTATCCTGAGAATAAATGCCTTGGCCTTTATATGGAAATGTGGAACTGAGTGGATATGCTGTTTTTGTCTGTTAAACAGAGAAGCTGGCTGTTATCCACTGAGAAGCGAACGAAACAGTCGGGAAAATCTCCCATTATCGTAGAGATCCGCATTATTAATCTCAGGAGCCTGTGTAGCGTTTATAGGAAGTAGTGTTCTGTCATGATGCCTGCAAGCGGTAACGAAAACGATTTGAATATGCCTTCAGGAACAATAGAAATCTTCGTGCGGTGTTACGTTGAAGTGGAGCGGATTATGTCAGCAATGGACAGAACAACCTAATGAACACAGAACCATGATGTGGTCTGTCCTTTTACAGCCAGTAGTGCTCGCCGCAGTCGAGCGACAGGGCGAAGCCCATCGATACTAGCTTGATTGGGATATCTCGCTCGTGCTTGTCGCGTGCTATGTCTTTTTAGGGTACTTTGAACCTACGTTCGTACTTGTGTAATATGATCATCGTCGTCATCGTATTATCGTTTTTCATCCGTCCAGCGCAAAATGCATTAGCAGCTAGTCCTAGCGTGCGGAGCTACCTGTACAGGTGCATGACGGATGCGTGTCCTTAAGTGAGTTTCTAATTAACAGTAACTTCTTTACTTATGTTTCAGTTTGTAAGAAGCGGGATGCGCTCGTCGCTTGACATCTGATTGGACTGCGTCGGCACGTGAAAACTACATTGTGAAATCTGCTAAAACTCCGGGTATCTCTGACACAAAACGATTCGGCTTCGCAATTTCAACATTACGGTCAAGGCTAACGTATCTTTCTCGGTCAACTTCAGATTATGCCGATTAAATTGTCGTAGCTTTCAAGGCGTTTTGAGTACTGCGGCAGTTGTTGAACCTGCAAGGAGAAGATCTCGACAACAGAATAAAGCGAAAAATGGGTCTCATGCACTAACACTCAGGCCTCCCTCATAATCTCTGTTTGAGTTTACCAACAACACATATATACATTTCGACAAAATGGCCAAGTTGACCAGTGCCGTTCCGGTGCTCACCGCGCGCGACGTCGCCGGAGCGGTCGAGTTCTGGACCGACCGGCTCGGGTTCTCCCGGGACTTCGTGGAGGACGACTTCGCCGGTGTGGTCCGGGACGACGTGACCCTGTTCATCAGCGCGGTCCAGGACCAGGTGGTGCCAGACAACACCCTGGCCTGGGTGTGGGTGCGCGGCCTGGACGAGCTGTACGCCGAGTGGTCGGAGGTCGTGTCCACGAACTTCCGGGACGCCTCCGGGCCGGCCATGACCGAGATCGGCGAGCAGCCGTGGGGGCGGGAGTTCGCCCTGCGCGACCCGGCCGGCAACTGCGTGCACTTCGTGGCCGAGGAGCAGGACTGACCGACGCCGACCAACACCGCCGGTCCGACGCGGCCCGACGGGTCCGAGGCCTCGGAGATCTGGGCCCATGCGGCCGCAACAACTACCTCGACTTTGGCTGGGACACTTTCAGTGAGGACAAGAAGCTTCAGAAGCGTGCTATCGAACTCAACCAGGGACGTGCGGCACAAATGGGCATCCTTGCTCTCATGGTGCACGAACAGTTGGGAGTCTCTATCCTTCCTTAAAAATTTAATTTTCATTAGTTGCAGTCACTCCGCTTTGGTTTCGTAACTATAACGGTCCTAAGGTAGCGAACGTTGCAGGCCATGCTGTCCAGGCAGGTAGATGACGACCATCAGGGACAGCTTCAAGGATCGCTCGCGGCTCTTACCAGCCTAACTTCGATCATTGGACCGCTGATCGTCACGGCGATTTATGCCGCCTCGGCGAGCACATGGAACGGGTTGGCATGGATTGTAGGCGCCGCCCTATACCTTGTCTGCCTCCCCGCGTTGCGTCGCGGTGCATGGAGCCGGGCCACCTCGACCTGAATGGAAGCCGGCGGCACCTCGCTAACGGATTCACCACTCCAAGAATTGGAGCCAATCAATTCTTGCGGAGAACTGTGAATGCGCAAACCAACCCTTGGCAGAACATATCCATCGCGTCCGCCATCTCCAGCAGCCGCACGCGGCGCATCGGGGGGGGGGGGGGGGTTTCAATTCATCATTTTTTTTTATTCTTTTTTTTGATTTCGGTTTCCTTGAAATTTTTTTGATTCGGTAATCTCCGAACAGAAGGAAGAACGAAGGAAGGAGCACAGACTTAGATTGGTATATATACGCATATGTAGTGTTGAAGAAACATGAAATTGCCCAGTATTCTTAACCCAACTGCACAGAACAAAAACCTGCAGGAAACGAAGATAAATCATGTCGAAAGCTACATATAAGGAACGTGCTGCTACTCATCCTAGTCCTGTTGCTGCCAAGCTATTTAATATCATGCACGAAAAGCAAACAAACTTGTGTGCTTCATTGGATGTTCGTACCACCAAGGAATTACTGGAGTTAGTTGAAGCATTAGGTCCCAAAATTTGTTTACTAAAAACACATGTGGATATCTTGACTGATTTTTCCATGGAGGGCACAGTTAAGCCGCTAAAGGCATTATCCGCCAAGTACAATTTTTTACTCTTCGAAGACAGAAAATTTGCTGACATTGGTAATACAGTCAAATTGCAGTACTCTGCGGGTGTATACAGAATAGCAGAATGGGCAGACATTACGAATGCACACGGTGTGGTGGGCCCAGGTATTGTTAGCGGTTTGAAGCAGGCGGCGGAAGAAGTAACAAAGGAACCTAGAGGCCTTTTGATGTTAGCAGAATTGTCATGCAAGGGCTCCCTAGCTACTGGAGAATATACTAAGGGTACTGTTGACATTGCGAAGAGCGACAAAGATTTTGTTATCGGCTTTATTGCTCAAAGAGACATGGGTGGAAGAGATGAAGGTTACGATTGGTTGATTATGACACCCGGTGTGGGTTTAGATGACAAGGGAGACGCATTGGGTCAACAGTATAGAACCGTGGATGATGTGGTCTCTACAGGATCTGACATTATTATTGTTGGAAGAGGACTATTTGCAAAGGGAAGGGATGCTAAGGTAGAGGGTGAACGTTACAGAAAAGCAGGCTGGGAAGCATATTTGAGAAGATGCGGCCAGCAAAACTAAAAAACTGTATTATAAGTAAATGCATGTATACTAAACTCACAAATTAGAGCTTCAATTTAATTATATCAGTTATTACCCGGCCGGGAATCTCGGTCGTAATGATTTTTATAATGACGAAAAAAAAAAAAATTGGAAAGAAAACCCCCCCCCCCCCCCCGCAGCGTTGGGTCCTGGCCACGGGTGCGCATGATCGTGCTCCTGTCGTTGAGGACCCGGCTAGGCTGGCGGGGTTGCCTTACTGGTTAGCAGAATGAATCACCGATACGCGAGCGAACGTGAAGCGACTGCTGCTGCAAAACGTCTGCGACCTGAGCAACAACATGAATGGTCTTCGGTTTCCGTGTTTCGTAAAGTCTGGAAACGCGGAAGTCAGCGCCCTGCACCATTATGTTCCGGATCTGCATCGCAGGATGCTGCTGGCTACCCTGTGGAACACCTACATCTGTATTAACGAAGCGCTGGCATTGACCCTGAGTGATTTTTCTCTGGTCCCGCCGCATCCATACCGCCAGTTGTTTACCCTCACAACGTTCCAGTAACCGGGCATGTTCATCATCAGTAACCCGTATCGTGAGCATCCTCTCTCGTTTCATCGAGTTACGCTAGGGATAACAGGGTAATATAGATCTTCCGCTGCATAACCCTGCTTCGGGGTCATTATAGCGATTTTTTCGGTATATCCATCCTTTTTCGCACGATATACAGGATTTTGCCAAAGGGTTCGTGTAGACTTTCCTTGGTGTATCCAACGGCGTCAGCCGGGCAGGATAGGTGAAGTAGGCCCACCCGCGAGCGGGTGTTCCTTCTTCACTGTCCCTTATTCGCACCTGGCGGTGCTCAACGGGAATCCTGCTCTGCGAGGCTGGCCGGCTACCGCCGGCGTAACAGATGAGGGCAAGCGGATGGCTGATGAAACCAAGCCAACCAGGAAGGGCAGCCCACCTATCAAGGTGTACTGCCTTCCAGACGAACGAAGAGCGATTGAGGAAAAGGCGGCGGCGGCCGGCATGAGCCTGTCGGCCTACCTGCTGGCCGTCGGCCAGGGCTACAAAATCACGGGCGTCGTGGACTATGAGCACGTCCGCGAGCTGGCCCGCATCAATGGCGACCTGGGCCGCCTGGGCGGCCTGCTGAAACTCTGGCTCACCGACGACCCGCGCACGGCGCGGTTCGGTGATGCCACGATCCTCGCCCTGCTGGCGAAGATCGAAGAGAAGCAGGACGAGCTTGGCAAGGTCATGATGGGCGTGGTCCGCCCGAGGGCAGAGCCATGACTTTTTTAGCCGCTAAAACGGCCGGGGGGTGCGCGTGATTGCCAAGCACGTCCCCATGCGCTCCATCAAGAAGAGGCACTTCGAGCTGTAAGTACATCACCGACGAGCAAGGCAAGACGATCCGCGCCTGTTTTATTGAGAACGTTGTTCGTGTTGGCCTCAATGGTAGCGATGCGTCATTCAGCGAAGTTCTGGTGCTGATGATGTGGTTCGCTTTGCCACTGGTCAATGTGGTAAGCCCGTGTAATGTCAGTAACCTTTTTACTGATCTCAGCTTGAGCACGGTCGCTGATGAGCTTATCCATGGCCCCACGGTAACGGATATGATCCTCTAGGGCGTTGACAAATTCTTTGTCGGTTTTCATGGGGTAGACGTCAGTGACCAGGGAACGTCTCCCTACAAAAAGTTGCGCATACTTTGCTCCGTTGTCGACGGCAGGGGTGTCGGACCAGATTGTATCTGTGGCAACGGCCTCATTGCGTCAATGGACCTTTAAAGCCGGGAAACGAGACTTGAAATGTTTACGTAGAGGTGCATTATAGACCTCACGCGCATATTGAGTGGTTGCAAAAATGGTTTTGCGAACGGTATCACTGGAGACCCATGCCAGGCAAGGACGGAGGGCATCATAATCATGTTCATTGCGTTGGACAGCATGCTTGTTACACGTAAGTATACGGTCGAGAGCATCGTGACGTTGAGAATTACAGATGGCAACGTGTCGGTGCATGTATTGGCCGAGATTGTCAAATCGTGGCTCAATATATGGCATGCCAGGTAAGTCATGGATGTCGGTATGCCATTCAGCCTTCATGTCGATTTCGTTGTCGAGAACTGATGGGTCCCAGTCAACGTCAGAAGTAAGAACAACATGGGGAAGGGAATGAAGTTCATGACTGGTGGGTGCGCGCATATCCATGTACGGAAGACCCTGTCGTATGTTTAGTGGGATGATGTAATCATCCAGGGTAACAATACGTTGGTTGCCGCCCACGGTACGAGACCGATCTTGAACACAATTGTGGCAATGTTCAAGTTGGGCGCTGGAATGGATGGTTTTACCTTTACCAAGATGCGCGTATTGATGCATGATAACAACAATGGGCCCTCGTTGCGATTCGACAAGACCGGCAGCCGTGACAATGTCTAGATTGGACAAGGTATGTTCATTTATACCGGTTATGTTGGCTGAACGTCCAGTTTTGTGCAGTACGGTAACATCACTCCCCGCAAGTCCACCGTTGGCACCGCGATCGACAAGTGCAGATGTGGTATTTTGTACTGTGTGTCGGGAGACTTGGTACTGTAACACATTTGACTGAAGTGACTTGGTGGTACCATGAGGACGGAGGGAACCCGTTGATACGGTGTTGCGTGACGCTGCAAGTACCTTACGTATGTCGCCTGGATCCATACGTCCAACCCGATCAGAAAGATGTGCTAGGAGTTCCGTTTCTGGTGCACAATCATGAAAGGTATCCACGGGAGTTCCATTGTTGTCGTCCGGGGCTGCGTCGCGACTGCCAGTTGCATGTACATGCGCCATCAAGGGACGTGCCAATCCATTACTAACCGGGAGAACCTTAGCTGGGGCAGCCAATCCCTGAAGTATAGCCTTAGCATCATCTGAGAGCTGGTTCCACATATCTCTAGGGATATAAGGTCGTTCACGGTTAGTGGGCGTACTATGATGTCGGTTATTAGTACAATTCTCCCTGCGGGCATGCGCATTGGCTTCATAGAGTACGGAAGGTGACAAGTCAATATTGTAGTTAACATCCGGATCAGTGTCAAAGTCTGTAGGATGGTAAGAAAGATCAGTAGAATGAATACTACGCTTTTCCTTGGGACTACGGGAATTAGAGAAGTTGTTTCCTTTATTGTAGAGTGACGCTGAAGCAAGTAGAAGACTAAGGTAACTCTCGTAGCTAATAGGATTACCTCCTTTGGCTAGGTCAAGAGTGGCTGTGATCTTCACTTGACAAAGTTCCGGTACATTGTGGACAGCATTCTCCAAAAGACTAAGACACAGTTGCTTTGGGAGTTGCTCAGCCATTGGTACAGTATTGTGGTAGATACAAAGGTGGTTCTTCCAATGAAGGATAAATCCTTCTGCTGTGCCTGTCCATGAGGATCCATATTTCGCCGTAGTTAGGTAACCAAGCGTGGTGGCTGAACTGATCTTCGCACTTGCTGATTCCGTATAGTGTTTGACAACTTTACAAAACACTTCTTGCGCAGTTCGCTCTAGCCTGGACAGAGAAGGGACAATCTTCGTCGTTAAGACTCGTGCGAATAGCAAAAGATCACAAAATAGCACATCGGCACCGACCAACGATTATTTCCAAGGAAAAAAAGAATGCTTCACTACAAGAAATTGTGTCATCCCTATACAGAGTCTTGTTACTGTGACAGAAAATTGATGGAAGATGTGGCGGATTGCCTTTACACTAGCCAACTTGTTCGACTAATTGCAGCTTCTTCTGAGAGGCTTCACCGAGTAACGCGAAGAACACCGGTGTCTCGTACATGCTCGTCGGTGAACGCTCGTCCAATGACACCCCCCACTTTGTATCAATATCCCAACTTGGTAGTGAACTGGAATGATACATGCAATTTCGCGCCGCATCAACAGCCACGGGCACCATCGACGAATAGACTCGGTCGAGCTGGTTGCCCTCGCCGCTGGGCTGGCGGCCGTCTATGGCCCTGCAAACGCGCCAGAAACGCCGTCGAAGCCGTGTGCGAGACACCGCGGCCGGCCGCCGGCGTTGTGGATACCTCGCGGAAAACTTGGCCCTCACTGACAGATGAGGGGCGGACGTTGACACTTGAGGGGCCGACTCACCCGGCGCGGCGTTGACAGATGAGGGGCAGGCTCGATTTCGGCCGGCGACGTGGAGCTGGCCAGCCTCGCAAATCGGCGAAAACGCCTGATTTTACGCGAGTTTCCCACAGATGATGTGGACAAGCCTGGGGATAAGTGCCCTGCGGTATTGACACTTGAGGGGCGCGACTACTGACAGATGAGGGGCGCGATCCTTGACACTTGAGGGGCAGAGTGCTGACAGATGAGGGGCGCACCTATTGACATTTGAGGGGCTGTCCACAGGCAGAAAATCCAGCATTTGCAAGGGTTTCCGCCCGTTTTTCGGCCACCGCTAACCTGTCTTTTAACCTGCTTTTAAACCAATATTTATAAACCTTGTTTTTAACCAGGGCTGCGCCCTGTGCGCGTGACCGCGCACGCCGAAGGGGGGTGCCCCCCCTTCTCGAACCCTCCCGGTCGAGTGAGCGAGGAAGCACCAGGGAACAGCACTTATATATTCTGCTTACACACGATGCCTGAAAAAACTTCCCTTGGGGTTATCCACTTATCCACGGGGATATTTTTATAATTATTTTTTTTATAGTTTTTAGATCTTCTTTTTTAGAGCGCCTTGTAGGCCTTTATCCATGCTGGTTCTAGAGAAGGTGTTGTGACAAATTGCCCTTTCAGTGTGACAAATCACCCTCAAATGACAGTCCTGTCTGTGACAAATTGCCCTTAACCCTGTGACAAATTGCCCTCAGAAGAAGCTGTTTTTTCACAAAGTTATCCCTGCTTATTGACTCTTTTTTATTTAGTGTGACAATCTAAAAACTTGTCACACTTCACATGGATCTGTCATGGCGGAAACAGCGGTTATCAATCACAAGAAACGTAAAAATAGCCCGCGAATCGTCCAGTCAAACGACCTCACTGAGGCGGCATATAGTCTCTCCCGGGATCAAAAACGTATGCTGTATCTGTTCGTTGACCAGATCAGAAAATCTGATGGCACCCTACAGGAACATGACGGTATCTGCGAGATCCATGTTGCTAAATATGCTGAAATATTCGGATTGACCTCTGCGGAAGCCAGTAAGGATATACGGCAGGCATTGAAGAGTTTCGCGGGGAAGGAAGTGGTTTTTTATCGCCCTGAAGAGGATGCCGGCGATGAAAAAGGCTATGAATCTTTTCCTTGGTTTATCAAACGTGCGCACAGTCCATCCAGAGGGCTTTACAGTGTACATATCAACCCATATCTCATTCCCTTCTTTATCGGGTTACAGAACCGGTTTACGCAGTTTCGGCTTAGTGAAACAAAAGAAATCACCAATCCGTATGCCATGCGTTTATACGAATCCCTGTGTCAGTATCGTAAGCCGGATGGCTCAGGCATCGTCTCTCTGAAAATCGACTGGATCATAGAGCGTTACCAGCTGCCTCAAAGTTACCAGCGTATGCCTGACTTCCGCCGCCGCTTCCTGCAGGTCTGTGTTAATGAGATCAACAGCAGAACTCCAATGCGCCTCTCATACATTGAGAAAAAGAAAGGCCGCCAGACGACTCATATCGTATTTTCCTTCCGCGATATCACTTCCATGACGACAGGATAGTCTGAGGGTTATCTGTCACAGATTTGAGGGTGGTTCGTCACATTTGTTCTGACCTACTGAGGGTAATTTGTCACAGTTTTGCTGTTTCCTTCAGCCTGCATGGATTTTCTCATACTTTTTGAACTGTAATTTTTAAGGAAGCCAAATTTGAGGGCAGTTTGTCACAGTTGATTTCCTTCTCTTTCCCTTCGTCATGTGACCTGATATCGGGGGTTAGTTCGTCATCATTGATGAGGGTTGATTATCACAGTTTATTACTCTGAATTGGCTATCCGCGTGTGTACCTCTACCTGGAGTTTTTCCCACGGTGGATATTTCTTCTTGCGCTGAGCGTAAGAGCTATCTGACAGAACAGTTCTTCTTTGCTTCCTCGCCAGTTCGCTCGCTATGCTCGGTTACACGGCTGCGGCGAGCATCACGTGCTATAAAAATAATTATAATTTAAATTTTTTAATATAAATATATAAATTAAAAATAGAAAGTAAAAAAAGAAATTAAAGAAAAAATAGTTTTTGTTTTCCGAAGATGTAAAAGACTCTAGGGGGATCGCCAACAAATACTACCTTTTACCTTGCTCTTCCTGCTCTCAGGTATTAATGCCGAATTGTTTCATCTTGTCTGTGTAGAAGACCACACACGAAAATCCTGTGATTTTACATTTTACTTATCGTTAATCGAATGTATATCTATTTAATCTGCTTTTCTTGTCTAATAAATATATATGTAAAGTACGCTTTTTGTTGAAATTTTTTAAACCTTTGTTTATTTTTTTTTCTTCATTCCGTAACTCTTCTACCTTCTTTATTTACTTTCTAAAATCCAAATACAAAACATAAAAATAAATAAACACAGAGTAAATTCCCAAATTATTCCATCATTAAAAGATACGAGGCGCGTGTAAGTTACAGGCAAGCGATCCTAGTACACTCTATATTTTTTTATGCCTCGGTAATGATTTTCATTTTTTTTTTCCACCTAGCGGATGACTCTTTTTTTTTCTTAGCGATTGGCATTATCACATAATGAATTATACATTATATAAAGTAATGTGATTTCTTCGAAGAATATACTAAAAAATGAGCAGGCAAGATAAACGAAGGCAAAGATGACAGAGCAGAAAGCCCTAGTAAAGCGTATTACAAATGAAACCAAGATTCAGATTGCGATCTCTTTAAAGGGTGGTCCCCTAGCGATAGAGCACTCGATCTTCCCAGAAAAAGAGGCAGAAGCAGTAGCAGAACAGGCCACACAATCGCAAGTGATTAACGTCCACACAGGTATAGGGTTTCTGGACCATATGATACATGCTCTGGCCAAGCATTCCGGCTGGTCGCTAATCGTTGAGTGCATTGGTGACTTACACATAGACGACCATCACACCACTGAAGACTGCGGGATTGCTCTCGGTCAAGCTTTTAAAGAGGCCCTAGGGGCCGTGCGTGGAGTAAAAAGGTTTGGATCAGGATTTGCGCCTTTGGATGAGGCACTTTCCAGAGCGGTGGTAGATCTTTCGAACAGGCCGTACGCAGTTGTCGAACTTGGTTTGCAAAGGGAGAAAGTAGGAGATCTCTCTTGCGAGATGATCCCGCATTTTCTTGAAAGCTTTGCAGAGGCTAGCAGAATTACCCTCCACGTTGATTGTCTGCGAGGCAAGAATGATCATCACCGTAGTGAGAGTGCGTTCAAGGCTCTTGCGGTTGCCATAAGAGAAGCCACCTCGCCCAATGGTACCAACGATGTTCCCTCCACCAAAGGTGTTCTTATGTAGTTTTACACAGGAGTCTGGACTTGACATACAGTGAATGTAACTTTCGAATTGACAGTATTAGTAGTCGTATTGACAGTGAGGCACGCCCCTCAATGTGCGAGGTGGAAAATATACCAGCATGACAATGAATCTTGGAGATTCTTTTGCTGTCATCAAGATTCACCGCCAAATCTTCAGGAACCTATCACGTCCACAGGCGATGTTAATTCTTGAGTCGTCAAAACAAAGTCCTGTCCTACCTGTAGAAGTTGACAGCGAGCAATTGTATGCAAACTTCTGACTTTGTTATAATAACATTAAAGGTAATTAAGTATCTTCAATTAGGCATTTTGTCACTGTCAGTCCGTTCCGACAATATAGGTAGATTTGGAATGAATCTTTTCTATGCTGCTGCGAATCTTGTACACCTTTGAGGCCGTAGATTCTGTCCGACGAAGCGATAATTATTGCAAAATACATGGACTCATTATTTTGATTCGATTTCTTTTTGGTATCCGACTCGAAAAGATCCATCACGGCGAGCGCCACCATGAACAAGAACTCCAAAATCCAGTCCCCAAACTCTTCTGATGTTGCTGTTATTGGTGTTGGTTTTAGATTCCCAGGTAACTCTAATGACCCAGAATCTTTGTGGAACAACTTGTTGGATGGTTTCGATGCTATTACCCAAGTCCCAAAAGAAAGATGGGCTACTTCTTTTAGAGAGATGGGTTTGATCAAGAACAAGTTCGGTGGTTTCTTGAAGGATTCTGAATGGAAGAATTTCGACCCTTTGTTCTTTGGTATCGGTCCAAAAGAAGCTCCATTCATTGATCCACAACAAAGGTTGTTGTTGTCCATCGTTTGGGAATCTTTGGAAGATGCTTACATCAGACCAGATGAATTGAGAGGTTCTAACACTGGTGTTTTCATCGGTGTTTCTAACAACGATTACACCAAGTTGGGTTTCCAAGACAACTACTCTATTTCTCCATACACTATGACCGGCTCTAACTCTTCATTGAACTCCAACAGAATTTCCTACTGCTTCGATTTTAGAGGTCCATCCATTACTGTTGATACCGCTTGTTCTTCTTCCTTGGTTTCTGTTAATTTGGGTGTCCAATCCATCCAAATGGGTGAATGTAAGATTGCTATTTGCGGTGGTGTTAACGCTTTGTTTGATCCATCTACATCTGTTGCCTTTTCCAAGTTGGGTGTTTTGTCTGAAAATGGCAGATGCAACTCTTTTAGTGATCAAGCCTCTGGTTACGTTAGATCTGAAGGTGCTGGTGTTGTTGTTTTGAAGTCTTTGGAACAAGCTAAGTTGGATGGTGATAGAATCTACGGTGTTATCAAGGGTGTTTCCTCTAATGAAGATGGTGCTTCTAATGGTGACAAGAACTCTTTGACTACTCCATCTTGTGAAGCCCAATCCATTAACATTTCTAAGGCTATGGAAAAGGCCTCCTTGTCTCCATCTGATATCTATTACATTGAAGCCCATGGTACTGGTACTCCAGTTGGTGATCCAATTGAAGTTAAGGCCTTGTCCAAGATCTTCTCCAACTCTAACAACAACCAGTTGAACAACTTCTCTACCGATGGTAATGATAACGATGATGATGATGACGATAACACCTCTCCAGAACCATTATTGATTGGCTCATTCAAGTCCAACATCGGTCATTTGGAATCTGCTGCTGGTATTGCTTCTTTGATTAAGTGTTGCTTGATGTTGAAGAACAGGATGTTGGTTCCATCCATTAACTGCTCTAATTTGAACCCATCCATTCCATTCGATCAGTACAACATCTCCGTTATCAGAGAAATCAGACAATTCCCAACCGATAAGTTGGTTAACATCGGTATCAATTCTTTCGGTTTCGGTGGTTCTAACTGCCATTTGATTATTCAAGAGTACAACAACAACTTCAAGAACAACTCTACCATCTGCAATAACAACAACAACAACAATAACAACATCGACTACTTGATCCCAATCTCCTCTAAGACTAAGAAGTCCTTGGATAAGTACTTGATTTTGATCAAGACCAACTCCAACTACCACAAGGATATTTCTTTCGATGACTTCGTCAAGTTCCAAATCAAGTCTAAGCAGTACAACTTGTCCAACAGAATGACTACCATTGCTAACGATTGGAACTCCTTCATTAAGGGTTCTAACGAATTCCACAACTTGATCGAATCTAAGGATGGTGAAGGTGGTTCTTCATCTTCTAACAGAGGTATTGATTCCGCCAATCAAATCAACACTACTACTACCTCTACCATCAACGATATCGAACCTTTGTTGGTTTTCGTTTTCTGTGGTCAAGGTCCACAATGGAATGGTATGATTAAGACCTTGTACAACTCCGAGAACGTTTTCAAGAACACCGTTGATCATGTTGACAGCATCTTGTACAAGTACTTCGGTTACTCCATTTTGAACGTCTTGTCTAAGATCGATGATAACGACGATTCCATCAACCATCCAATAGTTGCTCAACCATCTTTGTTCTTGTTGCAAATTGGTTTGGTCGAGTTGTTTAAGTACTGGGGTATCTACCCATCTATCTCTGTTGGTCATTCTTTCGGTGAAGTCTCTTCTTATTACTTGTCCGGTATCATCTCTTTGGAAACCGCTTGTAAAATCGTCTACGTCAGATCCTCTAATCAGAACAAAACTATGGGTTCCGGTAAGATGTTGGTTGTTTCTATGGGTTTTAAGCAATGGAACGATCAATTCTCTGCTGAATGGTCCGATATTGAAATTGCTTGTTACAACGCTCCAGATTCCATAGTTGTTACTGGTAACGAAGAAAGATTGAAAGAATTGTCCATCAAGTTGTCCGACGAATCCAATCAAATTTTCAACACCTTCTTGAGGTCCCCATGTTCTTTTCATTCTTCCCATCAAGAAGTCATCAAGGGTTCTATGTTCGAAGAGTTGTCTAACTTGCAATCTACTGGTGAAACCGAAATCCCTTTGTTCTCTACTGTTACTGGTAGACAAGTTTTGTCTGGTCATGTTACTGCTCAACACATCTACGATAATGTTAGAGAACCAGTCTTGTTCCAAAAGACGATTGAATCCATTACCTCCTACATCAAGTCTCACTACCCATCCAATCAAAAGGTTATCTACGTTGAAATTGCTCCACACCCAACCTTGTTTTCATTGATCAAAAAGTCCATCCCATCCTCCAACAAGAATTCCTCTTCTGTTTTGTGTCCATTGAACAGAAAAGAAAACTCCAACAACTCCTACAAGAAGTTCGTTTCTCAGTTGTACTTCAACGGTGTTAACGTTGACTTCAACTTCCAGTTGAACTCCATTTGCGATAACGTTAACAACGATCACCATTTGAACAACGTCAAGCAAAACTCCTTCAAAGAGACTACCAATTCCTTGCCAAGATACCAATGGGAACAAGATGAATATTGGTCCGAACCATTGATCTCCAGAAAGAATAGATTGGAAGGTCCAACTACTTCCTTGTTGGGTCATAGAATTATCTACAGCTTCCCAGTTTTCCAATCCGTTTTGGACTTGCAATCTGACAACTACAAATACTTGTTGGACCACTTGGTTAACGGTAAGCCAGTTTTTCCAGGTGCTGGTTATTTGGATATCATCATCGAATTCTTCGACTACCAAAAGCAGCAGTTGAATTCCTCTGATTCCTCTAACTCCTACATCATCAACGTTGACAAGATCCAATTCTTGAACCCAATTCACTTGACCGAAAACAAGTTGCAAACCTTGCAATCTTCTTTCGAACCTATCGTTACTAAGAAGTCTGCCTTCTCTGTTAACTTCTTCATCAAGGATACCGTCGAGGATCAATCTAAGGTTAAGTCTATGTCTGACGAAACTTGGACTAACACTTGTAAGGCTACCATTTCCTTGGAACAACAACAGCCATCTCCATCTTCTACTTTGACTTTGTCTAAGAAGCAAGACTTGCAGATCTTGAGAAACAGATGCGATATTAGCAAGCTAGACAAGTTTGAGTTGTACGACAAGATCTCTAAGAATTTGGGCTTGCAGTACAACTCCTTGTTTCAAGTTGTTGATACCATCGAAACTGGTAAGGATTGCTCTTTTGCTACTTTGTCTTTGCCAGAAGATACTTTGTTCACCACCATTTTGAACCCATGCTTGTTGGATAACTGTTTCCATGGTTTGTTGACCTTGATCAACGAAAAGGGTTCTTTCGTTGTCGAGTCCATTTCTTCTGTTTCTATCTACTTGGAGAACATCGGTTCCTTCAATCAAACTTCTGTTGGTAACGTCCAGTTCTACTTGTACACCACTATTTCTAAAGCCACCTCCTTTAGTTCTGAAGGTACTTGTAAGTTGTTCACCAAGGATGGTTCCTTGATTTTGTCTATCGGTAAGTTCATCATCAAGTCCACCAATCCAAAGTCTACTAAGACCAACGAAACTATCGAATCTCCATTGGACGAAACCTTCTCTATTGAATGGCAATCTAAGGATTCTCCAATTCCAACCCCACAACAAATCCAACAACAATCTCCATTGAACTCTAACCCATCCTTCATTAGATCTACCATCTTGAAGGACATCCAGTTCGAACAATACTGCTCCTCCATTATCCACAAAGAATTGATCAACCACGAAAAGTACAAGAACCAGCAATCCTTCGATATCAACTCCTTGGAAAACCACTTGAACGATGACCAATTGATGGAATCCTTGTCCATCTCCAAAGAATACTTGAGATTCTTCACCAGGATCATCTCCATCATTAAGCAATACCCAAAGATCTTGAACGAAAAAGAGCTAAAAGAATTGAAAGAAATCATCGAATTGAAGTACCCATCCGAAGTTCAGTTGTTGGAATTCGAAGTTATCGAGAAGGTGTCCATGATTATCCCAAAGTTGTTGTTCGAAAACGACAAGCAATCTTCCATGACCTTGTTCCAAGATAACTTGTTGACCAGGTTCTACTCCAATTCTAACTCTACCAGATTCTACTTGGAAAGGGTTTCCGAAATGGTCTTGGAATCTATTAGACCAATCGTCAGAGAAAAGAGGGTGTTCAGAATTTTGGAAATTGGTGCTGATACAGCCTCTTTGTCTAATGTTGTTTTGACTAAGTTGAACACCTACTTGTCCACCTTGAATTCTAATGGTGGTTCTGGTTACAACATCATCATTGAGTACACCTTCACCGATATTTCCGCCAACTTCATTATTGGTGAAATCCAAGAAACCATGTGCAACTTGTACCCAAACGTTACTTTCAAGTTCTCCGTCTTGGACTTGGAGAAAGAGATTATTAACTCCTCCGATTTCTTGATGGGTGATTACGATATAGTTTTGATGGCCTACGTTATCCATGCCGTTTCTAACATTAAGTTCTCCATCGAACAGTTGTACAAGTTGTTGTCTCCAAGAGGTTGGTTGTTGTGTATTGAACCTAAGTCCAACGTTGTGTTCTCCGATTTGGTTTTCGGTTGTTTTAATCAGTGGTGGAACTACTACGATGATATTAGAACTACCCACTGCTCCTTGTCTGAATCTCAATGGAATCAGTTGTTGTTGAACCAGTCCTTGAACAACGAATCCTCTTCTTCTTCTAACTGTTACGGTGGTTTTTCCAACGTTTCTTTTATTGGTGGTGAAAAGGATGTCGACTCCCATTCTTTCATATTGCACTGCCAAAAAGAATCCATCTCCCAAATGAAGTTAGCCACCACTATTAACAACGGTTTGTCATCTGGTTCCATCGTTATCGTTTTGAACTCTCAACAATTGACCAACATGAAGTCCTACCCAAAGGTTATTGAGTATATTCAAGAGGCTACCTCTTTGTGCAAGACCATTGAAATTATCGATTCCAAGGACGTCTTGAACTCTACCAATTCAGTTTTGGAAAAGATCCAAAAGTCCTTGTTGGTGTTCTGTTTGTTGGGTTATGACTTGTTGGAGAACAACTACCAAGAACAGTCTTTCGAATACGTTAAGTTGTTGAACTTGATCTCTACTACCGCCTCTTCATCTAATGATAAGAAACCACCAAAGGTCTTGTTGATCACCAAGCAATCTGAAAGAATCTCCAGGTCTTTCTACTCCAGATCCTTGATTGGTATTTCCAGAACCTCTATGAACGAGTACCCAAATTTGTCCATTACCTCTATCGATTTGGATACCAACGACTACTCATTGCAGTCTTTGTTGAAGCCAATCTTCAGCAACTCTAAGTTTTCCGACAACGAGTTCATCTTCAAAAAGGGCTTGATGTTCGTGTCCAGGATCTTTAAGAACAAGCAGTTGCTAGAATCCTCCAACGCTTTTGAAACTGACTCTTCTAACTTGTACTGTAAGGCCTCTTCTGACTTGTCTTACAAGTACGCTATTAAGCAGTCTATGTTGACCGAAAATCAGATCGAAATCAAGGTTGAATGCGTCGGTATTAACTTCAAGGACAACCTATTCTACAAGGGCTTGTTGCCACAAGAAATTTTCAGAATGGGTGACATCTACAATCCACCATATGGTTTGGAATGCTCTGGTGTTATTACCAGAATTGGTTCTAACGTCACCGAATACTCAGTTGGTCAAAATGTTTTTGGTTTCGCCAGACATTCTTTGGGTTCTCATGTTGTTACCAACAAGGATTTGGTTATCTTGAAGCCAGATACCATCTCATTTTCTGAAGCTGCTTCTATCCCAGTTGTTTACTGTACTGCTTGGTACTCCTTGTTCAACATTGGTCAGTTGTCTAACGAAGAATCCATCCTAATTCATTCTGCTACTGGTGGTGTAGGTTTGGCTTCTTTGAATTTGTTGAAAATGAAGAATCAGCAACAGCAACCATTGACCAATGTTTATGCTACTGTTGGCTCTAACGAGAAGAAGAAGTTCTTGATCGATAACTTCAACAACTTGTTCAAAGAGGACGGCGAAAACATTTTCTCTACCAGAGACAAAGAATACTCCAACCAGTTGGAATCCAAGATCGATGTTATTTTGAACACCTTGTCCGGTGAATTCGTCGAATCTAATTTCAAGTCCTTGAGATCCTTCGGTAGATTGATTGATTTGTCTGCTACTCACGTTTACGCCAATCAACAAATTGGTCTAGGTAACTTCAAGTTCGACCACTTGTATTCTGCTGTTGACTTGGAAAGATTGATCGACGAAAAACCTAAGTTGTTGCAGTCCATCTTGCAAAGAATTACCAACTCTATCGTCAACGGTTCCTTGGAAAAAATTCCAATTACCATCTTCCCATCCACCGAAACTAAGGATGCTATCGAATTATTGTCCAAGAGATCCCATATCGGTAAAGTTGTTGTAGATTGCACCGATATCTCTAAGTGTAATCCTGTTGGTGATGTGATCACCAACTTCTCTATGAGATTGCCAAAGCCAAACTACCAGTTGAATTTGAACTCCACCTTGTTGATTACTGGTCAGTCTGGTTTGTCTATCCCTTTGTTGAATTGGTTGTTGTCTAAGTCTGGTGGTAACGTTAAGAACGTTGTCATCATTTCTAAGTCCACCATGAAGTGGAAGTTGCAGACTATGATTTCCCATTTCGTTTCCGGTTTCGGTATCCATTTTAACTACGTTCAAGTCGACATCTCCAACTACGATGCTTTGTCTGAAGCTATTAAGCAATTGCCATCTGATTTGCCACCAATCACCTCTGTTTTTCATTTGGCTGCTATCTACAACGATGTTCCAATGGATCAAGTTACCATGTCTACCGTTGAATCTGTTCATAACCCTAAAGTTTTGGGTGCCGTTAACTTGCATAGAATCTCTGTTTCTTTTGGTTGGAAGTTGAACCACTTCGTCTTGTTCTCTTCTATTACTGCTATTACCGGTTACCCAGACCAATCTATCTACAATTCTGCCAACTCTATTTTGGACGCTTTGTCCAACTTTAGAAGGTTTATGGGTTTGCCATCCTTCTCCATTAACTTGGGTCCAATGAAGGATGAAGGTAAGGTTTCTACCAACAAGAGCATCAAGAAGCTATTCAAGTCTAGAGGTTTGCCAAGCCTATCCTTGAACAAGTTATTTGGTTTGTTGGAGGTCGTCATCAACAACCCATCTAATCATGTTATCCCATCCCAATTGATTTGCTCCCCAATCGATTTCAAGACCTACATCGAATCTTTCTCAACTATGAGGCCAAAGTTGTTACACTTGCAACCTACCATTTCCAAGCAGCAATCTTCTATCATTAACGATTCTACCAAGGCTTCCTCCAACATTTCATTGCAAGATAAGATCACCTCCAAGGTGTCTGATTTGTTGTCCATTCCAATCTCCAAGATCAACTTCGATCATCCATTGAAACACTACGGCTTGGATTCTTTGTTGACCGTTCAATTCAAATCCTGGATCGACAAAGAATTCGAAAAGAACTTGTTCACCCATATCCAATTGGCCACCATCTCTATTAACTCATTCTTGGAAAAGGTGAACGGCTTGTCTACAAACAATAACAACAACAACAATTCCAACGTCAAGTCCTCTCCATCCATTGTCAAAGAAGAAATCGTTACCTTGGACAAGGATCAACAACCATTGCTATTGAAAGAACACCAGCACATTATCATCTCCCCAGATATTAGAATCAACAAGCCAAAGAGGGAATCCTTGATTAGAACCCCAATCTTGAACAAATTCAACCAGATCACCGAATCCATTATCACTCCATCTACACCATCTTTGTCCCAATCCGATGTTTTGAAAACTCCACCAATCAAGTCTTTGAACAACACTAAGAACTCCAGCTTGATTAACACCCCACCAATTCAATCTGTCCAACAACATCAAAAGCAACAACAAAAGGTCCAAGTCATCCAACAACAGCAACAACCATTATCCAGATTGTCCTACAAGAGCAACAACAACTCTTTCGTTTTGGGTATCGGTATTTCTGTTCCAGGTGAACCTATTTCCCAACAATCCTTGAAAGACTCCATCTCCAATGACTTTTCTGATAAGGCTGAAACTAACGAGAAGGTCAAGAGAATCTTTGAGCAATCTCAAATCAAGACCAGACACTTGGTTAGAGATTACACTAAGCCAGAGAACTCCATCAAGTTCAGACATTTGGAAACCATTACCGATGTGAACAACCAGTTCAAGAAAGTTGTTCCAGATTTGGCTCAACAAGCCTGTTTGAGAGCTTTGAAAGATTGGGGTGGTGATAAGGGTGATATTACCCATATAGTTTCTGTTACCTCCACCGGTATTATCATCCCAGATGTTAATTTCAAGTTGATCGACTTGTTGGGCTTGAACAAGGATGTTGAAAGAGTGTCTTTGAACCTAATGGGTTGTTTGGCTGGTTTGAGTTCTTTGAGAACTGCTGCTTCTTTGGCTAAGGCTTCTCCAAGAAATAGAATTTTGGTTGTCTGTACCGAAGTCTGCTCCTTGCATTTTTCTAATACTGATGGTGGTGATCAAATGGTCGCCTCTTCTATTTTTGCTGATGGTTCTGCTGCTTACATTATTGGTTGTAACCCAAGAATTGAAGAAACCCCATTATACGAAGTCATGTGCTCCATTAACAGATCTTTCCCAAATACCGAAAACGCCATGGTTTGGGATTTGGAAAAAGAAGGTTGGAACTTGGGTTTGGATGCTTCTATTCCAATTGTCATTGGTTCTGGTATTGAAGCCTTCGTTGATACTTTGTTGGATAAGGCTAAGTTGCAAACTTCCACTGCTATTTCTGCTAAGGATTGCGAATTCTTGATTCATACTGGTGGCAAGTCCATCTTGATGAACATCGAAAATTCCTTGGGTATCGACCCAAAGCAAACTAAGAATACTTGGGATGTTTACCATGCCTACGGCAATATGTCATCTGCCTCTGTTATTTTCGTTATGGATCATGCCAGAAAGTCCAAGTCTTTGCCAACTTACTCAATTTCTTTGGCTTTTGGTCCAGGTTTGGCTTTTGAAGGTTGTTTCTTGAAGAACGTCGTCGAACAGAAGCTCATTTCCGAAGAGGACTTGTAACCGCAACAACTACCTCGACTTTGGCTGGGACACTTTCAGTGAGGACAAGAAGCTTCAGAAGCGTGCTATCGAACTCAACCAGGGACGTGCGGCACAAATGGGCATCCTTGCTCTCATGGTGCACGAACAGTTGGGAGTCTCTATCCTTCCTTAAAAATTTAATTTTCATTAGTTGCAGTCACTCCGCTTTGGTTTCGCTAGTGATAATAAGTGACTGAGGTATGTGCTCTTCTTATCTCCTTTTGTAGTGTTGCTCTTATTTTAAACAACTTTGCGGTTTTTTGATGACTTTGCGATTTTGTTGTTGCTTTGCAGTAAATTGCAAGATTTAATAAAAAAACGCAAAGCAATGATTAAAGGATGTTCAGAATGAAACTCATGGAAACACTTAACCAGTGCATAAACGCTGGTCATGAAATGACGAAGGCTATCGCCATTGCACAGTTTAATGATGACAGCCCGGAAGCGAGGAAAATAACCCGGCGCTGGAGAATAGGTGAAGCAGCGGATTTAGTTGGGGTTTCTTCTCAGGCTATCAGAGATGCCGAGAAAGCAGGGCGACTACCGCACCCGGATATGGAAATTCGAGGACGGGTTGAGCAACGTGTTGGTTATACAATTGAACAAATTAATCATATGCGTGATGTGTTTGGTACGCGATTGCGACGTGCTGAAGACGTATTTCCACCGGTGATCGGGGTTGCTGCCCATAAAGGTGGCGTTTACAAAACCTCAGTTTCTGTTCATCTTGCTCAGGATCTGGCTCTGAAGGGGCTACGTGTTTTGCTCGTGGAAGGTAACGACCCCCAGGGAACAGCCTCAATGTATCACGGATGGGTACCAGATCTTCATATTCATGCAGAAGACACTCTCCTGCCTTTCTATCTTGGGGAAAAGGACGATGTCACTTATGCAATAAAGCCCACTTGCTGGCCGGGGCTTGACATTATTCCTTCCTGTCTGGCTCTGCACCGTATTGAAACTGAGTTAATGGGCAAATTTGATGAAGGTAAACTGCCCACCGATCCACACCTGATGCTCCGACTGGCCATTGAAACTGTTGCTCATGACTATGATGTCATAGTTATTGACAGCGCGCCTAACCTGGGTATCGGCACGATTAATGTCGTATGTGCTGCTGATGTGCTGATTGTTCCCACGCCTGCTGAGTTGTTTGACTACACCTCCGCACTGCAGTTTTTCGATATGCTTCGTGATCTGCTCAAGAACGTTGATCTTAAAGGGTTCGAGCCTGATGTACGTATTTTGCTTACCAAATACAGCAATAGCAATGGCTCTCAGTCCCCGTGGATGGAGGAGCAAATTCGGGATGCCTGGGGAAGCATGGTTCTAAAAAATGTTGTACGTGAAACGGATGAAGTTGGTAAAGGTCAGATCCGGATGAGAACTGTTTTTGAACAGGCCATTGATCAACGCTCTTCAACTGGTGCCTGGAGAAATGCTCTTTCTATTTGGGAACCTGTCTGCAATGAAATTTTCGATCGTCTGATTAAACCACGCTGGGAGATTAGATAATGAAGCGTGCGCCTGTTATTCCAAAACATACGCTCAATACTCAACCGGTTGAAGATACTTCGTTATCGACACCAGCTGCCCCGATGGTGGATTCGTTAATTGCGCGCGTAGGAGTAATGGCTCGCGGTAATGCCATTACTTTGCCTGTATGTGGTCGGGATGTGAAGTTTACTCTTGAAGTGCTCCGGGGTGATAGTGTTGAGAAGACCTCTCGGGTATGGTCAGGTAATGAACGTGACCAGGAGCTGCTTACTGAGGACGCACTGGATGATCTCATCCCTTCTTTTCTACTGACTGGTCAACAGACACCGGCGTTCGGTCGAAGAGTATCTGGTGTCATAGAAATTGCCGATGGGAGTCGCCGTCGTAAAGCTGCTGCACTTACCGAAAGTGATTATCGTGTTCTGGTTGGCGAGCTGGATGATGAGCAGATGGCTGCATTATCCAGATTGGGTAACGATTATCGCCCAACAAGTGCTTATGAACGTGGTCAGCGTTATGCAAGCCGATTGCAGAATGAATTTGCTGGAAATATTTCTGCGCTGGCTGATGCGGAAAATATTTCACGTAAGATTATTACCCGCTGTATCAACACCGCCAAATTGCCTAAATCAGTTGTTGCTCTTTTTTCTCACCCCGGTGAACTATCTGCCCGGTCAGGTGATGCACTTCAAAAAGCCTTTACAGATAAAGAGGAATTACTTAAGCAGCAGGCATCTAACCTTCATGAGCAGAAAAAAGCTGGGGTGATATTTGAAGCTGAAGAAGTTATCACTCTTTTAACTTCTGTGCTTAAAACGTCATCTGCATCAAGAACTAGTTTAAGCTCACGACATCAGTTTGCTCCTGGAGCGACAGTATTGTATAAGGGCGATAAAATGGTGCTTAACCTGGACAGGTCTCGTGTTCCAACTGAGTGTATAGAGAAAATTGAGGCCATTCTTAAGGAACTTGAAAAGCCAGCACCCTGATGCGACCTCGTTTTAGTCTACGTTTATCTGTCTTTACTTAATGTCCTTTGTTACAGGCCAGAAAGCATAACTGGCCTGAATATTCTCTCTGGGCCCACTGTTCCACTTGTATCGTCGGTCTGATAATCAGACTGGGACCACGGTCCCACTCGTATCGTCGGTCTGATTATTAGTCTGGGACCACGGTCCCACTCGTATCGTCGGTCTGATTATTAGTCTGGGACCACGGTCCCACTCGTATCGTCGGTCTGATAATCAGACTGGGACCACGGTCCCACTCGTATCGTCGGTCTGATTATTAGTCTGGGACCATGGTCCCACTCGTATCGTCGGTCTGATTATTAGTCTGGGACCACGGTCCCACTCGTATCGTCGGTCTGATTATTAGTCTGGAACCACGGTCCCACTCGTATCGTCGGTCTGATTATTAGTCTGGGACCACGGTCCCACTCGTATCGTCGGTCTGATTATTAGTCTGGGACCACGATCCCACTCGTGTTGTCGGTCTGATTATCGGTCTGGGACCACGGTCCCACTTGTATTGTCGATCAGACTATCAGCGTGAGACTACGATTCCATCAATGCCTGTCAAGGGCAAGTATTGACATGTCGTCGTAACCTGTAGAACGGAGTAACCTCGGTGTGCGGTTGTATGCCTGCTGTGGATTGCTGCTGTGTCCTGCTTATCCACAACATTTTGCGCACGGTTATGTGGACAAAATACCTGGTTACCCAGGCCGTGCCGGCACGTTAACCGGGCTGCATCCGATGCAAGTGTGTCGCTGTCGACGAGCTCGCGAGCTCGGACATGAGGTTGCCCCGTATTCAGTGTCGCTGATTTGTATTGTCTGAAGTTGTTTTTACGTTAAGTTGATGCAGATCAATTAATACGATACCTGCGTCATAATTGATTATTTGACGTGGTTTGATGGCCTCCACGCACGTTGTGATATGTAGATGATAATCATTATCACTTTACGGGTCCTTTCCGGTGATCCGACAGGTTACGGGGCGGCGACCTCGCGGGTTTTCGCTATTTATGAAAATTTTCCGGTTTAAGGCGTTTCCGTTCTTCTTCGTCATAACTTAATGTTTTTATTTAAAATACCCTCTGAAAAGAAAGGAAACGACAGGTGCTGAAAGCGAGCTTTTTGGCCTCTGTCGTTTCCTTTCTCTGTTTTTGTCCGTGGAATGAACAATGGAAGTCCGAGCTCATCGCTAATAACTTCGTATAGCATACATTATACGAAGTTATA | 
| pSteelyA-2  sequencing  | TTCGATGCGGCCGCAAGGGGTTCGCGTCAGCGGGTGTTGGCGGGTGTCGGGGCTGGCTTAACTATGCGGCATCAGAGCAGATTGTACTGAGAGTGCACCATATGCGGTGTGAAATACCACACAGATGCGTAAGGAGAAAATACCGCATCAGGCGCCATTCGCCATTCAGCTGCGCAACTGTTGGGAAGGGCGATCGGTGCGGGCCTCTTCGCTATTACGCCAGCTGGCGAAAGGGGGATGTGCTGCAAGGCGATTAAGTTGGGTAACGCCAGGGTTTTCCCAGTCACGACGTTGTAAAACGACGGCCAGTGAATTGTAATACGACTCACTATAGGGCGAATTCGAGCTCGGTACCCGGGGATCCTCTAGAGTCGACCTGCAGGCATGCAAGCTTGAGTATTCTATAGTCTCACCTAAATAGCTTGGCGTAATCATGGTCATAGCTGTTTCCTGTGTGAAATTGTTATCCGCTCACAATTCCACACAACATACGAGCCGGAAGCATAAAGTGTAAAGCCTGGGGTGCCTAATGAGTGAGCTAACTCACATTAATTGCGTTGCGCTCACTGCCCGCTTTCCAGTCGGGAAACCTGTCGTGCCAGCTGCATTAATGAATCGGCCAACGCGAACCCCTTGCGGCCGCCCGGGCCGTCGACCAATTCTCATGTTTGACAGCTTATCATCGAATTTCTGCCATTCATCCGCTTATTATCACTTATTCAGGCGTAGCAACCAGGCGTTTAAGGGCACCAATAACTGCCTTAAAAAAATTACGCCCCGCCCTGCCACTCATCGCAGTACTGTTGTAATTCATTAAGCATTCTGCCGACATGGAAGCCATCACAAACGGCATGATGAACCTGAATCGCCAGCGGCATCAGCACCTTGTCGCCTTGCGTATAATATTTGCCCATGGTGAAAACGGGGGCGAAGAAGTTGTCCATATTGGCCACGTTTAAATCAAAACTGGTGAAACTCACCCAGGGATTGGCTGAGACGAAAAACATATTCTCAATAAACCCTTTAGGGAAATAGGCCAGGTTTTCACCGTAACACGCCACATCTTGCGAATATATGTGTAGAAACTGCCGGAAATCGTCGTGGTATTCACTCCAGAGCGATGAAAACGTTTCAGTTTGCTCATGGAAAACGGTGTAACAAGGGTGAACACTATCCCATATCACCAGCTCACCGTCTTTCATTGCCATACGAAATTCCGGATGAGCATTCATCAGGCGGGCAAGAATGTGAATAAAGGCCGGATAAAACTTGTGCTTATTTTTCTTTACGGTCTTTAAAAAGGCCGTAATATCCAGCTGAACGGTCTGGTTATAGGTACATTGAGCAACTGACTGAAATGCCTCAAAATGTTCTTTACGATGCCATTGGGATATATCAACGGTGGTATATCCAGTGATTTTTTTCTCCATTTTAGCTTCCTTAGCTCCTGAAAATCTCGATAACTCAAAAAATACGCCCGGTAGTGATCTTATTTCATTATGGTGAAAGTTGGAACCTCTTACGTGCCGATCAACGTCTCATTTTCGCCAAAAGTTGGCCCAGGGCTTCCCGGTATCAACAGGGACACCAGGATTTATTTATTCTGCGAAGTGATCTTCCGTCACAGGTATTTATTCGCGATAAGCTCATGGAGCGGCGTAACCGTCGCACAGGAAGGACAGAGAAAGCGCGGATCTGGGAAGTGACGGACAGAACGGTCAGGACCTGGATTGGGGAGGCGGTTGCCGCCGCTGCTGCTGACGGTGTGACGTTCTCTGTTCCGGTCACACCACATACGTTCCGCCATTCCTATGCGATGCACATGCTGTATGCCGGTATACCGCTGAAAGTTCTGCAAAGCCTGATGGGACATAAGTCCATCAGTTCAACGGAAGTCTACACGAAGGTTTTTGCGCTGGATGTGGCTGCCCGGCACCGGGTGCAGTTTGCGATGCCGGAGTCTGATGCGGTTGCGATGCTGAAACAATTATCCTGAGAATAAATGCCTTGGCCTTTATATGGAAATGTGGAACTGAGTGGATATGCTGTTTTTGTCTGTTAAACAGAGAAGCTGGCTGTTATCCACTGAGAAGCGAACGAAACAGTCGGGAAAATCTCCCATTATCGTAGAGATCCGCATTATTAATCTCAGGAGCCTGTGTAGCGTTTATAGGAAGTAGTGTTCTGTCATGATGCCTGCAAGCGGTAACGAAAACGATTTGAATATGCCTTCAGGAACAATAGAAATCTTCGTGCGGTGTTACGTTGAAGTGGAGCGGATTATGTCAGCAATGGACAGAACAACCTAATGAACACAGAACCATGATGTGGTCTGTCCTTTTACAGCCAGTAGTGCTCGCCGCAGTCGAGCGACAGGGCGAAGCCCATCGATACTAGCTTGATTGGGATATCTCGCTCGTGCTTGTCGCGTGCTATGTCTTTTTAGGGTACTTTGAACCTACGTTCGTACTTGTGTAATATGATCATCGTCGTCATCGTATTATCGTTTTTCATCCGTCCAGCGCAAAATGCATTAGCAGCTAGTCCTAGCGTGCGGAGCTACCTGTACAGGTGCATGACGGATGCGTGTCCTTAAGTGAGTTTCTAATTAACAGTAACTTCTTTACTTATGTTTCAGTTTGTAAGAAGCGGGATGCGCTCGTCGCTTGACATCTGATTGGACTGCGTCGGCACGTGAAAACTACATTGTGAAATCTGCTAAAACTCCGGGTATCTCTGACACAAAACGATTCGGCTTCGCAATTTCAACATTACGGTCAAGGCTAACGTATCTTTCTCGGTCAACTTCAGATTATGCCGATTAAATTGTCGTAGCTTTCAAGGCGTTTTGAGTACTGCGGCAGTTGTTGAACCTGCAAGGAGAAGATCTCGACAACAGAATAAAGCGAAAAATGGGTCTCATGCACTAACACTCAGGCCTCCCTCATAATCTCTGTTTGAGTTTACCAACAACACATATATACATTTCGACAAAATGGCCAAGTTGACCAGTGCCGTTCCGGTGCTCACCGCGCGCGACGTCGCCGGAGCGGTCGAGTTCTGGACCGACCGGCTCGGGTTCTCCCGGGACTTCGTGGAGGACGACTTCGCCGGTGTGGTCCGGGACGACGTGACCCTGTTCATCAGCGCGGTCCAGGACCAGGTGGTGCCAGACAACACCCTGGCCTGGGTGTGGGTGCGCGGCCTGGACGAGCTGTACGCCGAGTGGTCGGAGGTCGTGTCCACGAACTTCCGGGACGCCTCCGGGCCGGCCATGACCGAGATCGGCGAGCAGCCGTGGGGGCGGGAGTTCGCCCTGCGCGACCCGGCCGGCAACTGCGTGCACTTCGTGGCCGAGGAGCAGGACTGACCGACGCCGACCAACACCGCCGGTCCGACGCGGCCCGACGGGTCCGAGGCCTCGGAGATCTGGGCCCATGCGGCCGCAACAACTACCTCGACTTTGGCTGGGACACTTTCAGTGAGGACAAGAAGCTTCAGAAGCGTGCTATCGAACTCAACCAGGGACGTGCGGCACAAATGGGCATCCTTGCTCTCATGGTGCACGAACAGTTGGGAGTCTCTATCCTTCCTTAAAAATTTAATTTTCATTAGTTGCAGTCACTCCGCTTTGGTTTCGTAACTATAACGGTCCTAAGGTAGCGAACGTTGCAGGCCATGCTGTCCAGGCAGGTAGATGACGACCATCAGGGACAGCTTCAAGGATCGCTCGCGGCTCTTACCAGCCTAACTTCGATCATTGGACCGCTGATCGTCACGGCGATTTATGCCGCCTCGGCGAGCACATGGAACGGGTTGGCATGGATTGTAGGCGCCGCCCTATACCTTGTCTGCCTCCCCGCGTTGCGTCGCGGTGCATGGAGCCGGGCCACCTCGACCTGAATGGAAGCCGGCGGCACCTCGCTAACGGATTCACCACTCCAAGAATTGGAGCCAATCAATTCTTGCGGAGAACTGTGAATGCGCAAACCAACCCTTGGCAGAACATATCCATCGCGTCCGCCATCTCCAGCAGCCGCACGCGGCGCATCGGGGGGGGGGGGGTTTCAATTCATCATTTTTTTTTTATTCTTTTTTTTGATTTCGGTTTCCTTGAAATTTTTTTGATTCGGTAATCTCCGAACAGAAGGAAGAACGAAGGAAGGAGCACAGACTTAGATTGGTATATATACGCATATGTAGTGTTGAAGAAACATGAAATTGCCCAGTATTCTTAACCCAACTGCACAGAACAAAAACCTGCAGGAAACGAAGATAAATCATGTCGAAAGCTACATATAAGGAACGTGCTGCTACTCATCCTAGTCCTGTTGCTGCCAAGCTATTTAATATCATGCACGAAAAGCAAACAAACTTGTGTGCTTCATTGGATGTTCGTACCACCAAGGAATTACTGGAGTTAGTTGAAGCATTAGGTCCCAAAATTTGTTTACTAAAAACACATGTGGATATCTTGACTGATTTTTCCATGGAGGGCACAGTTAAGCCGCTAAAGGCATTATCCGCCAAGTACAATTTTTTACTCTTCGAAGACAGAAAATTTGCTGACATTGGTAATACAGTCAAATTGCAGTACTCTGCGGGTGTATACAGAATAGCAGAATGGGCAGACATTACGAATGCACACGGTGTGGTGGGCCCAGGTATTGTTAGCGGTTTGAAGCAGGCGGCGGAAGAAGTAACAAAGGAACCTAGAGGCCTTTTGATGTTAGCAGAATTGTCATGCAAGGGCTCCCTAGCTACTGGAGAATATACTAAGGGTACTGTTGACATTGCGAAGAGCGACAAAGATTTTGTTATCGGCTTTATTGCTCAAAGAGACATGGGTGGAAGAGATGAAGGTTACGATTGGTTGATTATGACACCCGGTGTGGGTTTAGATGACAAGGGAGACGCATTGGGTCAACAGTATAGAACCGTGGATGATGTGGTCTCTACAGGATCTGACATTATTATTGTTGGAAGAGGACTATTTGCAAAGGGAAGGGATGCTAAGGTAGAGGGTGAACGTTACAGAAAAGCAGGCTGGGAAGCATATTTGAGAAGATGCGGCCAGCAAAACTAAAAAACTGTATTATAAGTAAATGCATGTATACTAAACTCACAAATTAGAGCTTCAATTTAATTATATCAGTTATTACCCGGCCGGGAATCTCGGTCGTAATGATTTTTATAATGACGAAAAAAAAAAAATTGGAAAGAAAACCCCCCCCCCCCCCGCGTTGGGTCCTGGCCACGGGTGCGCATGATCGTGCTCCTGTCGTTGAGGACCCGGCTAGGCTGGCGGGGTTGCCTTACTGGTTAGCAGAATGAATCACCGATACGCGAGCGAACGTGAAGCGACTGCTGCTGCAAAACGTCTGCGACCTGAGCAACAACATGAATGGTCTTCGGTTTCCGTGTTTCGTAAAGTCTGGAAACGCGGAAGTCAGCGCCCTGCACCATTATGTTCCGGATCTGCATCGCAGGATGCTGCTGGCTACCCTGTGGAACACCTACATCTGTATTAACGAAGCGCTGGCATTGACCCTGAGTGATTTTTCTCTGGTCCCGCCGCATCCATACCGCCAGTTGTTTACCCTCACAACGTTCCAGTAACCGGGCATGTTCATCATCAGTAACCCGTATCGTGAGCATCCTCTCTCGTTTCATCGAGTTACGCTAGGGATAACAGGGTAATATAGATCTTCCGCTGCATAACCCTGCTTCGGGGTCATTATAGCGATTTTTTCGGTATATCCATCCTTTTTCGCACGATATACAGGATTTTGCCAAAGGGTTCGTGTAGACTTTCCTTGGTGTATCCAACGGCGTCAGCCGGGCAGGATAGGTGAAGTAGGCCCACCCGCGAGCGGGTGTTCCTTCTTCACTGTCCCTTATTCGCACCTGGCGGTGCTCAACGGGAATCCTGCTCTGCGAGGCTGGCCGGCTACCGCCGGCGTAACAGATGAGGGCAAGCGGATGGCTGATGAAACCAAGCCAACCAGGAAGGGCAGCCCACCTATCAAGGTGTACTGCCTTCCAGACGAACGAAGAGCGATTGAGGAAAAGGCGGCGGCGGCCGGCATGAGCCTGTCGGCCTACCTGCTGGCCGTCGGCCAGGGCTACAAAATCACGGGCGTCGTGGACTATGAGCACGTCCGCGAGCTGGCCCGCATCAATGGCGACCTGGGCCGCCTGGGCGGCCTGCTGAAACTCTGGCTCACCGACGACCCGCGCACGGCGCGGTTCGGTGATGCCACGATCCTCGCCCTGCTGGCGAAGATCGAAGAGAAGCAGGACGAGCTTGGCAAGGTCATGATGGGCGTGGTCCGCCCGAGGGCAGAGCCATGACTTTTTTAGCCGCTAAAACGGCCGGGGGGTGCGCGTGATTGCCAAGCACGTCCCCATGCGCTCCATCAAGAAGAGGCACTTCGAGCTGTAAGTACATCACCGACGAGCAAGGCAAGACGATCCGCGCCTGTTTTATTGAGAACGTTGTTCGTGTTGGCCTCAATGGTAGCGATGCGTCATTCAGCGAAGTTCTGGTGCTGATGATGTGGTTCGCTTTGCCACTGGTCAATGTGGTAAGCCCGTGTAATGTCAGTAACCTTTTTACTGATCTCAGCTTGAGCACGGTCGCTGATGAGCTTATCCATGGCCCCACGGTAACGGATATGATCCTCTAGGGCGTTGACAAATTCTTTGTCGGTTTTCATGGGGTAGACGTCAGTGACCAGGGAACGTCTCCCTACAAAAAGTTGCGCATACTTTGCTCCGTTGTCGACGGCAGGGGTGTCGGACCAGATTGTATCTGTGGCAACGGCCTCATTGCGTCAATGGACCTTTAAAGCCGGGAAACGAGACTTGAAATGTTTACGTAGAGGTGCATTATAGACCTCACGCGCATATTGAGTGGTTGCAAAAATGGTTTTGCGAACGGTATCACTGGAGACCCATGCCAGGCAAGGACGGAGGGCATCATAATCATGTTCATTGCGTTGGACAGCATGCTTGTTACACGTAAGTATACGGTCGAGAGCATCGTGACGTTGAGAATTACAGATGGCAACGTGTCGGTGCATGTATTGGCCGAGATTGTCAAATCGTGGCTCAATATATGGCATGCCAGGTAAGTCATGGATGTCGGTATGCCATTCAGCCTTCATGTCGATTTCGTTGTCGAGAACTGATGGGTCCCAGTCAACGTCAGAAGTAAGAACAACATGGGGAAGGGAATGAAGTTCATGACTGGTGGGTGCGCGCATATCCATGTACGGAAGACCCTGTCGTATGTTTAGTGGGATGATGTAATCATCCAGGGTAACAATACGTTGGTTGCCGCCCACGGTACGAGACCGATCTTGAACACAATTGTGGCAATGTTCAAGTTGGGCGCTGGAATGGATGGTTTTACCTTTACCAAGATGCGCGTATTGATGCATGATAACAACAATGGGCCCTCGTTGCGATTCGACAAGACCGGCAGCCGTGACAATGTCTAGATTGGACAAGGTATGTTCATTTATACCGGTTATGTTGGCTGAACGTCCAGTTTTGTGCAGTACGGTAACATCACTCCCCGCAAGTCCACCGTTGGCACCGCGATCGACAAGTGCAGATGTGGTATTTTGTACTGTGTGTCGGGAGACTTGGTACTGTAACACATTTGACTGAAGTGACTTGGTGGTACCATGAGGACGGAGGGAACCCGTTGATACGGTGTTGCGTGACGCTGCAAGTACCTTACGTATGTCGCCTGGATCCATACGTCCAACCCGATCAGAAAGATGTGCTAGGAGTTCCGTTTCTGGTGCACAATCATGAAAGGTATCCACGGGAGTTCCATTGTTGTCGTCCGGGGCTGCGTCGCGACTGCCAGTTGCATGTACATGCGCCATCAAGGGACGTGCCAATCCATTACTAACCGGGAGAACCTTAGCTGGGGCAGCCAATCCCTGAAGTATAGCCTTAGCATCATCTGAGAGCTGGTTCCACATATCTCTAGGGATATAAGGTCGTTCACGGTTAGTGGGCGTACTATGATGTCGGTTATTAGTACAATTCTCCCTGCGGGCATGCGCATTGGCTTCATAGAGTACGGAAGGTGACAAGTCAATATTGTAGTTAACATCCGGATCAGTGTCAAAGTCTGTAGGATGGTAAGAAAGATCAGTAGAATGAATACTACGCTTTTCCTTGGGACTACGGGAATTAGAGAAGTTGTTTCCTTTATTGTAGAGTGACGCTGAAGCAAGTAGAAGACTAAGGTAACTCTCGTAGCTAATAGGATTACCTCCTTTGGCTAGGTCAAGAGTGGCTGTGATCTTCACTTGACAAAGTTCCGGTACATTGTGGACAGCATTCTCCAAAAGACTAAGACACAGTTGCTTTGGGAGTTGCTCAGCCATTGGTACAGTATTGTGGTAGATACAAAGGTGGTTCTTCCAATGAAGGATAAATCCTTCTGCTGTGCCTGTCCATTACTAACCGGGAGAACCTTAGCTGGGGCAGCCAATCCCTGAAGTATAGCCTTAGCATCATCTGAGAGCTGGTTCCACATATCTCTAGGGATATAAGGTCGTTCACGGTTAGTGGGCGTACTATGATGTCGGTTATTAGTACAATTCTCCCTGCGGGCATGCGCATTGGCTTCATAGAGTACGGAAGGTGACAAGTCAATATTGTAGTTAACATCCGGATCAGTGTCAAAGTCTGTAGGATGGTAAGAAAGATCAGTAGAATGAATACTACGCTTTTCCTTGGGACTACGGGAATTAGAGAAGTTGTTTCCTTTATTGTAGAGTGACGCTGAAGCAAGTAGAAGACTAAGGTAACTCTCGTAGCTAATAGGATTACCTCCTTTGGCTAGGTCAAGAGTGGCTGTGATCTTCACTTGACAAAGTTCCGGTACATTGTGGACAGCATTCTCCAAAAGACTAAGACACAGTTGCTTTGGGAGTTGCTCAGCCATTGGTACAGTATTGTGGTAGATACAAAGGTGGTTCTTCCAATGAAGGATAAATCCTTCTGCTGTGCCTGTCCATGAGGATCCATATTTCGCCGTAGTTAGGTAACCAAGCGTGGTGGCTGAACTGATCTTCGCACTTGCTGATTCCGTATAGTGTTTGACAACTTTACAAAACACTTCTTGCGCAGTTCGCTCTAGCCTGGACAGAGAAGGGACAATCTTCGTCGTTAAGACTCGTGCGAATAGCAAAAGATCACAAAATAGCACATCGGCACCGACCAACGATTATTTCCAAGGAAAAAAAGAATGCTTCACTACAAGAAATTGTGTCATCCCTATACAGAGTCTTGTTACTGTGACAGAAAATTGATGGAAGATGTGGCGGATTGCCTTTACACTAGCCAACTTGTTCGACTAATTGCAGCTTCTTCTGAGAGGCTTCACCGAGTAACGCGAAGAACACCGGTGTCTCGTACATGCTCGTCGGTGAACGCTCGTCCAATGACACCCCCCACTTTGTATCAATATCCCAACTTGGTAGTGAACTGGAATGATACATGCAATTTCGCGCCGCATCAACAGCCACGGGCACCATCGACGAATAGACTCGGTCGAGCTGGTTGCCCTCGCCGCTGGGCTGGCGGCCGTCTATGGCCCTGCAAACGCGCCAGAAACGCCGTCGAAGCCGTGTGCGAGACACCGCGGCCGGCCGCCGGCGTTGTGGATACCTCGCGGAAAACTTGGCCCTCACTGACAGATGAGGGGCGGACGTTGACACTTGAGGGGCCGACTCACCCGGCGCGGCGTTGACAGATGAGGGGCAGGCTCGATTTCGGCCGGCGACGTGGAGCTGGCCAGCCTCGCAAATCGGCGAAAACGCCTGATTTTACGCGAGTTTCCCACAGATGATGTGGACAAGCCTGGGGATAAGTGCCCTGCGGTATTGACACTTGAGGGGCGCGACTACTGACAGATGAGGGGCGCGATCCTTGACACTTGAGGGGCAGAGTGCTGACAGATGAGGGGCGCACCTATTGACATTTGAGGGGCTGTCCACAGGCAGAAAATCCAGCATTTGCAAGGGTTTCCGCCCGTTTTTCGGCCACCGCTAACCTGTCTTTTAACCTGCTTTTAAACCAATATTTATAAACCTTGTTTTTAACCAGGGCTGCGCCCTGTGCGCGTGACCGCGCACGCCGAAGGGGGGTGCCCCCCCTTCTCGAACCCTCCCGGTCGAGTGAGCGAGGAAGCACCAGGGAACAGCACTTATATATTCTGCTTACACACGATGCCTGAAAAAACTTCCCTTGGGGTTATCCACTTATCCACGGGGATATTTTTATAATTATTTTTTTTATAGTTTTTAGATCTTCTTTTTTAGAGCGCCTTGTAGGCCTTTATCCATGCTGGTTCTAGAGAAGGTGTTGTGACAAATTGCCCTTTCAGTGTGACAAATCACCCTCAAATGACAGTCCTGTCTGTGACAAATTGCCCTTAACCCTGTGACAAATTGCCCTCAGAAGAAGCTGTTTTTTCACAAAGTTATCCCTGCTTATTGACTCTTTTTTATTTAGTGTGACAATCTAAAAACTTGTCACACTTCACATGGATCTGTCATGGCGGAAACAGCGGTTATCAATCACAAGAAACGTAAAAATAGCCCGCGAATCGTCCAGTCAAACGACCTCACTGAGGCGGCATATAGTCTCTCCCGGGATCAAAAACGTATGCTGTATCTGTTCGTTGACCAGATCAGAAAATCTGATGGCACCCTACAGGAACATGACGGTATCTGCGAGATCCATGTTGCTAAATATGCTGAAATATTCGGATTGACCTCTGCGGAAGCCAGTAAGGATATACGGCAGGCATTGAAGAGTTTCGCGGGGAAGGAAGTGGTTTTTTATCGCCCTGAAGAGGATGCCGGCGATGAAAAAGGCTATGAATCTTTTCCTTGGTTTATCAAACGTGCGCACAGTCCATCCAGAGGGCTTTACAGTGTACATATCAACCCATATCTCATTCCCTTCTTTATCGGGTTACAGAACCGGTTTACGCAGTTTCGGCTTAGTGAAACAAAAGAAATCACCAATCCGTATGCCATGCGTTTATACGAATCCCTGTGTCAGTATCGTAAGCCGGATGGCTCAGGCATCGTCTCTCTGAAAATCGACTGGATCATAGAGCGTTACCAGCTGCCTCAAAGTTACCAGCGTATGCCTGACTTCCGCCGCCGCTTCCTGCAGGTCTGTGTTAATGAGATCAACAGCAGAACTCCAATGCGCCTCTCATACATTGAGAAAAAGAAAGGCCGCCAGACGACTCATATCGTATTTTCCTTCCGCGATATCACTTCCATGACGACAGGATAGTCTGAGGGTTATCTGTCACAGATTTGAGGGTGGTTCGTCACATTTGTTCTGACCTACTGAGGGTAATTTGTCACAGTTTTGCTGTTTCCTTCAGCCTGCATGGATTTTCTCATACTTTTTGAACTGTAATTTTTAAGGAAGCCAAATTTGAGGGCAGTTTGTCACAGTTGATTTCCTTCTCTTTCCCTTCGTCATGTGACCTGATATCGGGGGTTAGTTCGTCATCATTGATGAGGGTTGATTATCACAGTTTATTACTCTGAATTGGCTATCCGCGTGTGTACCTCTACCTGGAGTTTTTCCCACGGTGGATATTTCTTCTTGCGCTGAGCGTAAGAGCTATCTGACAGAACAGTTCTTCTTTGCTTCCTCGCCAGTTCGCTCGCTATGCTCGGTTACACGGCTGCGGCGAGCATCACGTGCTATAAAAATAATTATAATTTAAATTTTTTAATATAAATATATAAATTAAAAATAGAAAGTAAAAAAAGAAATTAAAGAAAAAATAGTTTTTGTTTTCCGAAGATGTAAAAGACTCTAGGGGGATCGCCAACAAATACTACCTTTTACCTTGCTCTTCCTGCTCTCAGGTATTAATGCCGAATTGTTTCATCTTGTCTGTGTAGAAGACCACACACGAAAATCCTGTGATTTTACATTTTACTTATCGTTAATCGAATGTATATCTATTTAATCTGCTTTTCTTGTCTAATAAATATATATGTAAAGTACGCTTTTTGTTGAAATTTTTTAAACCTTTGTTTATTTTTTTTTCTTCATTCCGTAACTCTTCTACCTTCTTTATTTACTTTCTAAAATCCAAATACAAAACATAAAAATAAATAAACACAGAGTAAATTCCCAAATTATTCCATCATTAAAAGATACGAGGCGCGTGTAAGTTACAGGCAAGCGATCCTAGTACACTCTATATTTTTTTATGCCTCGGTAATGATTTTCATTTTTTTTTTCCACCTAGCGGATGACTCTTTTTTTTTCTTAGCGATTGGCATTATCACATAATGAATTATACATTATATAAAGTAATGTGATTTCTTCGAAGAATATACTAAAAAATGAGCAGGCAAGATAAACGAAGGCAAAGATGACAGAGCAGAAAGCCCTAGTAAAGCGTATTACAAATGAAACCAAGATTCAGATTGCGATCTCTTTAAAGGGTGGTCCCCTAGCGATAGAGCACTCGATCTTCCCAGAAAAAGAGGCAGAAGCAGTAGCAGAACAGGCCACACAATCGCAAGTGATTAACGTCCACACAGGTATAGGGTTTCTGGACCATATGATACATGCTCTGGCCAAGCATTCCGGCTGGTCGCTAATCGTTGAGTGCATTGGTGACTTACACATAGACGACCATCACACCACTGAAGACTGCGGGATTGCTCTCGGTCAAGCTTTTAAAGAGGCCCTAGGGGCCGTGCGTGGAGTAAAAAGGTTTGGATCAGGATTTGCGCCTTTGGATGAGGCACTTTCCAGAGCGGTGGTAGATCTTTCGAACAGGCCGTACGCAGTTGTCGAACTTGGTTTGCAAAGGGAGAAAGTAGGAGATCTCTCTTGCGAGATGATCCCGCATTTTCTTGAAAGCTTTGCAGAGGCTAGCAGAATTACCCTCCACGTTGATTGTCTGCGAGGCAAGAATGATCATCACCGTAGTGAGAGTGCGTTCAAGGCTCTTGCGGTTGCCATAAGAGAAGCCACCTCGCCCAATGGTACCAACGATGTTCCCTCCACCAAAGGTGTTCTTATGTAGTTTTACACAGGAGTCTGGACTTGACATACAGTGAATGTAACTTTCGAATTGACAGTATTAGTAGTCGTATTGACAGTGAGGCACGCCCCTCAATGTGCGAGGTGGAAAATATACCAGCATGACAATGAATCTTGGAGATTCTTTTGCTGTCATCAAGATTCACCGCCAAATCTTCAGGAACCTATCACGTCCACAGGCGATGTTAATTCTTGAGTCGTCAAAACAAAGTCCTGTCCTACCTGTAGAAGTTGACAGCGAGCAATTGTATGCAAACTTCTGACTTTGTTATAATAACATTAAAGGTAATTAAGTATCTTCAATTAGGCATTTTGTCACTGTCAGTCCGTTCCGACAAATATAGGTAGATTTGGAATGAATCTTTTCTATGCTGCTGCGAATCTTGTACACCTTTGAGGCCGTAGATTCTGTCCGACGAAGCGATAATTATTGCAAAATACATGGACTCATTATTTTGATTCGATTTCTTTTTGGTATCCGACTCGAAAAGATCCATCACGGCGAGCGCCACCATGAACAAGAACTCCAAAATCCAGTCCCCAAACTCTTCTGATGTTGCTGTTATTGGTGTTGGTTTTAGATTCCCAGGTAACTCTAATGACCCAGAATCTTTGTGGAACAACTTGTTGGATGGTTTCGATGCTATTACCCAAGTCCCAAAAGAAAGATGGGCTACTTCTTTTAGAGAGATGGGTTTGATCAAGAACAAGTTCGGTGGTTTCTTGAAGGATTCTGAATGGAAGAATTTCGACCCTTTGTTCTTTGGTATCGGTCCAAAAGAAGCTCCATTCATTGATCCACAACAAAGGTTGTTGTTGTCCATCGTTTGGGAATCTTTGGAAGATGCTTACATCAGACCAGATGAATTGAGAGGTTCTAACACTGGTGTTTTCATCGGTGTTTCTAACAACGATTACACCAAGTTGGGTTTCCAAGACAACTACTCTATTTCTCCATACACTATGACCGGCTCTAACTCTTCATTGAACTCCAACAGAATTTCCTACTGCTTCGATTTTAGAGGTCCATCCATTACTGTTGATACCGCTTGTTCTTCTTCCTTGGTTTCTGTTAATTTGGGTGTCCAATCCATCCAAATGGGTGAATGTAAGATTGCTATTTGCGGTGGTGTTAACGCTTTGTTTGATCCATCTACATCTGTTGCCTTTTCCAAGTTGGGTGTTTTGTCTGAAAATGGCAGATGCAACTCTTTTAGTGATCAAGCCTCTGGTTACGTTAGATCTGAAGGTGCTGGTGTTGTTGTTTTGAAGTCTTTGGAACAAGCTAAGTTGGATGGTGATAGAATCTACGGTGTTATCAAGGGTGTTTCCTCTAATGAAGATGGTGCTTCTAATGGTGACAAGAACTCTTTGACTACTCCATCTTGTGAAGCCCAATCCATTAACATTTCTAAGGCTATGGAAAAGGCCTCCTTGTCTCCATCTGATATCTATTACATTGAAGCCCATGGTACTGGTACTCCAGTTGGTGATCCAATTGAAGTTAAGGCCTTGTCCAAGATCTTCTCCAACTCTAACAACAACCAGTTGAACAACTTCTCTACCGATGGTAATGATAACGATGATGATGATGACGATAACACCTCTCCAGAACCATTATTGATTGGCTCATTCAAGTCCAACATCGGTCATTTGGAATCTGCTGCTGGTATTGCTTCTTTGATTAAGTGTTGCTTGATGTTGAAGAACAGGATGTTGGTTCCATCCATTAACTGCTCTAATTTGAACCCATCCATTCCATTCGATCAGTACAACATCTCCGTTATCAGAGAAATCAGACAATTCCCAACCGATAAGTTGGTTAACATCGGTATCAATTCTTTCGGTTTCGGTGGTTCTAACTGCCATTTGATTATTCAAGAGTACAACAACAACTTCAAGAACAACTCTACCATCTGCAATAACAACAACAACAACAATAACAACATCGACTACTTGATCCCAATCTCCTCTAAGACTAAGAAGTCCTTGGATAAGTACTTGATTTTGATCAAGACCAACTCCAACTACCACAAGGATATTTCTTTCGATGACTTCGTCAAGTTCCAAATCAAGTCTAAGCAGTACAACTTGTCCAACAGAATGACTACCATTGCTAACGATTGGAACTCCTTCATTAAGGGTTCTAACGAATTCCACAACTTGATCGAATCTAAGGATGGTGAAGGTGGTTCTTCATCTTCTAACAGAGGTATTGATTCCGCCAATCAAATCAACACTACTACTACCTCTACCATCAACGATATCGAACCTTTGTTGGTTTTCGTTTTCTGTGGTCAAGGTCCACAATGGAATGGTATGATTAAGACCTTGTACAACTCCGAGAACGTTTTCAAGAACACCGTTGATCATGTTGACAGCATCTTGTACAAGTACTTCGGTTACTCCATTTTGAACGTCTTGTCTAAGATCGATGATAACGACGATTCCATCAACCATCCAATAGTTGCTCAACCATCTTTGTTCTTGTTGCAAATTGGTTTGGTCGAGTTGTTTAAGTACTGGGGTATCTACCCATCTATCTCTGTTGGTCATTCTTTCGGTGAAGTCTCTTCTTATTACTTGTCCGGTATCATCTCTTTGGAAACCGCTTGTAAAATCGTCTACGTCAGATCCTCTAATCAGAACAAAACTATGGGTTCCGGTAAGATGTTGGTTGTTTCTATGGGTTTTAAGCAATGGAACGATCAATTCTCTGCTGAATGGTCCGATATTGAAATTGCTTGTTACAACGCTCCAGATTCCATAGTTGTTACTGGTAACGAAGAAAGATTGAAAGAATTGTCCATCAAGTTGTCCGACGAATCCAATCAAATTTTCAACACCTTCTTGAGGTCCCCATGTTCTTTTCATTCTTCCCATCAAGAAGTCATCAAGGGTTCTATGTTCGAAGAGTTGTCTAACTTGCAATCTACTGGTGAAACCGAAATCCCTTTGTTCTCTACTGTTACTGGTAGACAAGTTTTGTCTGGTCATGTTACTGCTCAACACATCTACGATAATGTTAGAGAACCAGTCTTGTTCCAAAAGACGATTGAATCCATTACCTCCTACATCAAGTCTCACTACCCATCCAATCAAAAGGTTATCTACGTTGAAATTGCTCCACACCCAACCTTGTTTTCATTGATCAAAAAGTCCATCCCATCCTCCAACAAGAATTCCTCTTCTGTTTTGTGTCCATTGAACAGAAAAGAAAACTCCAACAACTCCTACAAGAAGTTCGTTTCTCAGTTGTACTTCAACGGTGTTAACGTTGACTTCAACTTCCAGTTGAACTCCATTTGCGATAACGTTAACAACGATCACCATTTGAACAACGTCAAGCAAAACTCCTTCAAAGAGACTACCAATTCCTTGCCAAGATACCAATGGGAACAAGATGAATATTGGTCCGAACCATTGATCTCCAGAAAGAATAGATTGGAAGGTCCAACTACTTCCTTGTTGGGTCATAGAATTATCTACAGCTTCCCAGTTTTCCAATCCGTTTTGGACTTGCAATCTGACAACTACAAATACTTGTTGGACCACTTGGTTAACGGTAAGCCAGTTTTTCCAGGTGCTGGTTATTTGGATATCATCATCGAATTCTTCGACTACCAAAAGCAGCAGTTGAATTCCTCTGATTCCTCTAACTCCTACATCATCAACGTTGACAAGATCCAATTCTTGAACCCAATTCACTTGACCGAAAACAAGTTGCAAACCTTGCAATCTTCTTTCGAACCTATCGTTACTAAGAAGTCTGCCTTCTCTGTTAACTTCTTCATCAAGGATACCGTCGAGGATCAATCTAAGGTTAAGTCTATGTCTGACGAAACTTGGACTAACACTTGTAAGGCTACCATTTCCTTGGAACAACAACAGCCATCTCCATCTTCTACTTTGACTTTGTCTAAGAAGCAAGACTTGCAGATCTTGAGAAACAGATGCGATATTAGCAAGCTAGACAAGTTTGAGTTGTACGACAAGATCTCTAAGAATTTGGGCTTGCAGTACAACTCCTTGTTTCAAGTTGTTGATACCATCGAAACTGGTAAGGATTGCTCTTTTGCTACTTTGTCTTTGCCAGAAGATACTTTGTTCACCACCATTTTGAACCCATGCTTGTTGGATAACTGTTTCCATGGTTTGTTGACCTTGATCAACGAAAAGGGTTCTTTCGTTGTCGAGTCCATTTCTTCTGTTTCTATCTACTTGGAGAACATCGGTTCCTTCAATCAAACTTCTGTTGGTAACGTCCAGTTCTACTTGTACACCACTATTTCTAAAGCCACCTCCTTTAGTTCTGAAGGTACTTGTAAGTTGTTCACCAAGGATGGTTCCTTGATTTTGTCTATCGGTAAGTTCATCATCAAGTCCACCAATCCAAAGTCTACTAAGACCAACGAAACTATCGAATCTCCATTGGACGAAACCTTCTCTATTGAATGGCAATCTAAGGATTCTCCAATTCCAACCCCACAACAAATCCAACAACAATCTCCATTGAACTCTAACCCATCCTTCATTAGATCTACCATCTTGAAGGACATCCAGTTCGAACAATACTGCTCCTCCATTATCCACAAAGAATTGATCAACCACGAAAAGTACAAGAACCAGCAATCCTTCGATATCAACTCCTTGGAAAACCACTTGAACGATGACCAATTGATGGAATCCTTGTCCATCTCCAAAGAATACTTGAGATTCTTCACCAGGATCATCTCCATCATTAAGCAATACCCAAAGATCTTGAACGAAAAAGAGCTAAAAGAATTGAAAGAAATCATCGAATTGAAGTACCCATCCGAAGTTCAGTTGTTGGAATTCGAAGTTATCGAGAAGGTGTCCATGATTATCCCAAAGTTGTTGTTCGAAAACGACAAGCAATCTTCCATGACCTTGTTCCAAGATAACTTGTTGACCAGGTTCTACTCCAATTCTAACTCTACCAGATTCTACTTGGAAAGGGTTTCCGAAATGGTCTTGGAATCTATTAGACCAATCGTCAGAGAAAAGAGGGTGTTCAGAATTTTGGAAATTGGTGCTGATACAGCCTCTTTGTCTAATGTTGTTTTGACTAAGTTGAACACCTACTTGTCCACCTTGAATTCTAATGGTGGTTCTGGTTACAACATCATCATTGAGTACACCTTCACCGATATTTCCGCCAACTTCATTATTGGTGAAATCCAAGAAACCATGTGCAACTTGTACCCAAACGTTACTTTCAAGTTCTCCGTCTTGGACTTGGAGAAAGAGATTATTAACTCCTCCGATTTCTTGATGGGTGATTACGATATAGTTTTGATGGCCTACGTTATCCATGCCGTTTCTAACATTAAGTTCTCCATCGAACAGTTGTACAAGTTGTTGTCTCCAAGAGGTTGGTTGTTGTGTATTGAACCTAAGTCCAACGTTGTGTTCTCCGATTTGGTTTTCGGTTGTTTTAATCAGTGGTGGAACTACTACGATGATATTAGAACTACCCACTGCTCCTTGTCTGAATCTCAATGGAATCAGTTGTTGTTGAACCAGTCCTTGAACAACGAATCCTCTTCTTCTTCTAACTGTTACGGTGGTTTCTCCAACGTTTCTTTTATTGGTGGTGAAAAGGATGTCGACTCCCATTCTTTCATATTGCACTGCCAAAAAGAATCCATCTCCCAAATGAAGTTAGCCACCACTATTAACAACGGTTTGTCATCTGGTTCCATCGTTATCGTTTTGAACTCTCAACAATTGACCAACATGAAGTCCTACCCAAAGGTTATTGAGTATATTCAAGAGGCTACCTCTTTGTGCAAGACCATTGAAATTATCGATTCCAAGGACGTCTTGAACTCTACCAATTCAGTTTTGGAAAAGATCCAAAAGTCCTTGTTGGTGTTCTGTTTGTTGGGTTATGACTTGTTGGAGAACAACTACCAAGAACAGTCTTTCGAATACGTTAAGTTGTTGAACTTGATCTCTACTACCGCCTCTTCATCTAATGATAAGAAACCACCAAAGGTCTTGTTGATCACCAAGCAATCTGAAAGAATCTCCAGGTCTTTCTACTCCAGATCCTTGATTGGTATTTCCAGAACCTCTATGAACGAGTACCCAAATTTGTCCATTACCTCTATCGATTTGGATACCAACGACTACTCATTGCAGTCTTTGTTGAAGCCAATCTTCAGCAACTCTAAGTTTTCCGACAACGAGTTCATCTTCAAAAAGGGCTTGATGTTCGTGTCCAGGATCTTTAAGAACAAGCAGTTGCTAGAATCCTCCAACGCTTTTGAAACTGACTCTTCTAACTTGTACTGTAAGGCCTCTTCTGACTTGTCTTACAAGTACGCTATTAAGCAGTCTATGTTGACCGAAAATCAGATCGAAATCAAGGTTGAATGCGTCGGTATTAACTTCAAGGACAACCTATTCTACAAGGGCTTGTTGCCACAAGAAATTTTCAGAATGGGTGACATCTACAATCCACCATATGGTTTGGAATGCTCTGGTGTTATTACCAGAATTGGTTCTAACGTCACCGAATACTCAGTTGGTCAAAATGTTTTTGGTTTCGCCAGACATTCTTTGGGTTCTCATGTTGTTACCAACAAGGATTTGGTTATCTTGAAGCCAGATACCATCTCATTTTCTGAAGCTGCTTCTATCCCAGTTGTTTACTGTACTGCTTGGTACTCCTTGTTCAACATTGGTCAGTTGTCTAACGAAGAATCCATCCTAATTCATTCTGCTACTGGTGGTGTAGGTTTGGCTTCTTTGAATTTGTTGAAAATGAAGAATCAGCAACAGCAACCATTGACCAATGTTTATGCTACTGTTGGCTCTAACGAGAAGAAGAAGTTCTTGATCGATAACTTCAACAACTTGTTCAAAGAGGACGGCGAAAACATTTTCTCTACCAGAGACAAAGAATACTCCAACCAGTTGGAATCCAAGATCGATGTTATTTTGAACACCTTGTCCGGTGAATTCGTCGAATCTAATTTCAAGTCCTTGAGATCCTTCGGTAGATTGATTGATTTGTCTGCTACTCACGTTTACGCCAATCAACAAATTGGTCTAGGTAACTTCAAGTTCGACCACTTGTATTCTGCTGTTGACTTGGAAAGATTGATCGACGAAAAACCTAAGTTGTTGCAGTCCATCTTGCAAAGAATTACCAACTCTATCGTCAACGGTTCCTTGGAAAAAATTCCAATTACCATCTTCCCATCCACCGAAACTAAGGATGCTATCGAATTATTGTCCAAGAGATCCCATATCGGTAAAGTTGTTGTAGATTGCACCGATATCTCTAAGTGTAATCCTGTTGGTGATGTGATCACCAACTTCTCTATGAGATTGCCAAAGCCAAACTACCAGTTGAATTTGAACTCCACCTTGTTGATTACTGGTCAGTCTGGTTTGTCTATCCCTTTGTTGAATTGGTTGTTGTCTAAGTCTGGTGGTAACGTTAAGAACGTTGTCATCATTTCTAAGTCCACCATGAAGTGGAAGTTGCAGACTATGATTTCCCATTTCGTTTCCGGTTTCGGTATCCATTTTAACTACGTTCAAGTCGACATCTCCAACTACGATGCTTTGTCTGAAGCTATTAAGCAATTGCCATCTGATTTGCCACCAATCACCTCTGTTTTTCATTTGGCTGCTATCTACAACGATGTTCCAATGGATCAAGTTACCATGTCTACCGTTGAATCTGTTCATAACCCTAAAGTTTTGGGTGCCGTTAACTTGCATAGAATCTCTGTTTCTTTTGGTTGGAAGTTGAACCACTTCGTCTTGTTCTCTTCTATTACTGCTATTACCGGTTACCCAGACCAATCTATCTACAATTCTGCCAACTCTATTTTGGACGCTTTGTCCAACTTTAGAAGGTTTATGGGTTTGCCATCCTTCTCCATTAACTTGGGTCCAATGAAGGATGAAGGTAAGGTTTCTACCAACAAGAGCATCAAGAAGCTATTCAAGTCTAGAGGTTTGCCAAGCCTATCCTTGAACAAGTTATTTGGTTTGTTGGAGGTCGTCATCAACAACCCATCTAATCATGTTATCCCATCCCAATTGATTTGCTCCCCAATCGATTTCAAGACCTACATCGAATCTTTCTCAACTATGAGGCCAAAGTTGTTACACTTGCAACCTACCATTTCCAAGCAGCAATCTTCTATCATTAACGATTCTACCAAGGCTTCCTCCAACATTTCATTGCAAGATAAGATCACCTCCAAGGTGTCTGATTTGTTGTCCATTCCAATCTCCAAGATCAACTTCGATCATCCATTGAAACACTACGGCTTGGATTCTTTGTTGACCGTTCAATTCAAATCCTGGATCGACAAAGAATTCGAAAAGAACTTGTTCACCCATATCCAATTGGCCACCATCTCTATTAACTCATTCTTGGAAAAGGTGAACGGCTTGTCTACAAACAATAACAACAACAACAATTCCAACGTCAAGTCCTCTCCATCCATTGTCAAAGAAGAAATCGTTACCTTGGACAAGGATCAACAACCATTGCTATTGAAAGAACACCAGCACATTATCATCTCCCCAGATATTAGAATCAACAAGCCAAAGAGGGAATCCTTGATTAGAACCCCAATCTTGAACAAATTCAACCAGATCACCGAATCCATTATCACTCCATCTACACCATCTTTGTCCCAATCCGATGTTTTGAAAACTCCACCAATCAAGTCTTTGAACAACACTAAGAACTCCAGCTTGATTAACACCCCACCAATTCAATCTGTCCAACAACATCAAAAGCAACAACAAAAGGTCCAAGTCATCCAACAACAGCAACAACCATTATCCAGATTGTCCTACAAGAGCAACAACAACTCTTTCGTTTTGGGTATCGGTATTTCTGTTCCAGGTGAACCTATTTCCCAACAATCCTTGAAAGACTCCATCTCCAATGACTTTTCTGATAAGGCTGAAACTAACGAGAAGGTCAAGAGAATCTTTGAGCAATCTCAAATCAAGACCAGACACTTGGTTAGAGATTACACTAAGCCAGAGAACTCCATCAAGTTCAGACATTTGGAAACCATTACCGATGTGAACAACCAGTTCAAGAAAGTTGTTCCAGATTTGGCTCAACAAGCCTGTTTGAGAGCTTTGAAAGATTGGGGTGGTGATAAGGGTGATATTACCCATATAGTTTCTGTTACCTCCACCGGTATTATCATCCCAGATGTTAATTTCAAGTTGATCGACTTGTTGGGCTTGAACAAGGATGTTGAAAGAGTGTCTTTGAACCTAATGGGTTGTTTGGCTGGTTTGAGTTCTTTGAGAACTGCTGCTTCTTTGGCTAAGGCTTCTCCAAGAAATAGAATTTTGGTTGTCTGTACCGAAGTCTGCTCCTTGCATTTTTCTAATACTGATGGTGGTGATCAAATGGTCGCCTCTTCTATTTTTGCTGATGGTTCTGCTGCTTACATTATTGGTTGTAACCCAAGAATTGAAGAAACCCCATTATACGAAGTCATGTGCTCCATTAACAGATCTTTCCCAAATACCGAAAACGCCATGGTTTGGGATTTGGAAAAAGAAGGTTGGAACTTGGGTTTGGATGCTTCTATTCCAATTGTCATTGGTTCTGGTATTGAAGCCTTCGTTGATACTTTGTTGGATAAGGCTAAGTTGCAAACTTCCACTGCTATTTCTGCTAAGGATTGCGAATTCTTGATTCATACTGGTGGCAAGTCCATCTTGATGAACATCGAAAATTCCTTGGGTATCGACCCAAAGCAAACTAAGAATACTTGGGATGTTTACCATGCCTACGGCAATATGTCATCTGCCTCTGTTATTTTCGTTATGGATCATGCCAGAAAGTCCAAGTCTTTGCCAACTTACTCAATTTCTTTGGCTTTTGGTCCAGGTTTGGCTTTTGAAGGTTGTTTCTTGAAGAACGTCGTCGAACAGAAGCTCATTTCCGAAGAGGACTTGTAACCGCAACAACTACCTCGACTTTGGCTGGGACACTTTCAGTGAGGACAAGAAGCTTCAGAAGCGTGCTATCGAACTCAACCAGGGACGTGCGGCACAAATGGGCATCCTTGCTCTCATGGTGCACGAACAGTTGGGAGTCTCTATCCTTCCTTAAAAATTTAATTTTCATTAGTTGCAGTCACTCCGCTTTGGTTTCGCTAGTGATAATAAGTGACTGAGGTATGTGCTCTTCTTATCTCCTTTTGTAGTGTTGCTCTTATTTTAAACAACTTTGCGGTTTTTTGATGACTTTGCGATTTTGTTGTTGCTTTGCAGTAAATTGCAAGATTTAATAAAAAAACGCAAAGCAATGATTAAAGGATGTTCAGAATGAAACTCATGGAAACACTTAACCAGTGCATAAACGCTGGTCATGAAATGACGAAGGCTATCGCCATTGCACAGTTTAATGATGACAGCCCGGAAGCGAGGAAAATAACCCGGCGCTGGAGAATAGGTGAAGCAGCGGATTTAGTTGGGGTTTCTTCTCAGGCTATCAGAGATGCCGAGAAAGCAGGGCGACTACCGCACCCGGATATGGAAATTCGAGGACGGGTTGAGCAACGTGTTGGTTATACAATTGAACAAATTAATCATATGCGTGATGTGTTTGGTACGCGATTGCGACGTGCTGAAGACGTATTTCCACCGGTGATCGGGGTTGCTGCCCATAAAGGTGGCGTTTACAAAACCTCAGTTTCTGTTCATCTTGCTCAGGATCTGGCTCTGAAGGGGCTACGTGTTTTGCTCGTGGAAGGTAACGACCCCCAGGGAACAGCCTCAATGTATCACGGATGGGTACCAGATCTTCATATTCATGCAGAAGACACTCTCCTGCCTTTCTATCTTGGGGAAAAGGACGATGTCACTTATGCAATAAAGCCCACTTGCTGGCCGGGGCTTGACATTATTCCTTCCTGTCTGGCTCTGCACCGTATTGAAACTGAGTTAATGGGCAAATTTGATGAAGGTAAACTGCCCACCGATCCACACCTGATGCTCCGACTGGCCATTGAAACTGTTGCTCATGACTATGATGTCATAGTTATTGACAGCGCGCCTAACCTGGGTATCGGCACGATTAATGTCGTATGTGCTGCTGATGTGCTGATTGTTCCCACGCCTGCTGAGTTGTTTGACTACACCTCCGCACTGCAGTTTTTCGATATGCTTCGTGATCTGCTCAAGAACGTTGATCTTAAAGGGTTCGAGCCTGATGTACGTATTTTGCTTACCAAATACAGCAATAGCAATGGCTCTCAGTCCCCGTGGATGGAGGAGCAAATTCGGGATGCCTGGGGAAGCATGGTTCTAAAAAATGTTGTACGTGAAACGGATGAAGTTGGTAAAGGTCAGATCCGGATGAGAACTGTTTTTGAACAGGCCATTGATCAACGCTCTTCAACTGGTGCCTGGAGAAATGCTCTTTCTATTTGGGAACCTGTCTGCAATGAAATTTTCGATCGTCTGATTAAACCACGCTGGGAGATTAGATAATGAAGCGTGCGCCTGTTATTCCAAAACATACGCTCAATACTCAACCGGTTGAAGATACTTCGTTATCGACACCAGCTGCCCCGATGGTGGATTCGTTAATTGCGCGCGTAGGAGTAATGGCTCGCGGTAATGCCATTACTTTGCCTGTATGTGGTCGGGATGTGAAGTTTACTCTTGAAGTGCTCCGGGGTGATAGTGTTGAGAAGACCTCTCGGGTATGGTCAGGTAATGAACGTGACCAGGAGCTGCTTACTGAGGACGCACTGGATGATCTCATCCCTTCTTTTCTACTGACTGGTCAACAGACACCGGCGTTCGGTCGAAGAGTATCTGGTGTCATAGAAATTGCCGATGGGAGTCGCCGTCGTAAAGCTGCTGCACTTACCGAAAGTGATTATCGTGTTCTGGTTGGCGAGCTGGATGATGAGCAGATGGCTGCATTATCCAGATTGGGTAACGATTATCGCCCAACAAGTGCTTATGAACGTGGTCAGCGTTATGCAAGCCGATTGCAGAATGAATTTGCTGGAAATATTTCTGCGCTGGCTGATGCGGAAAATATTTCACGTAAGATTATTACCCGCTGTATCAACACCGCCAAATTGCCTAAATCAGTTGTTGCTCTTTTTTCTCACCCCGGTGAACTATCTGCCCGGTCAGGTGATGCACTTCAAAAAGCCTTTACAGATAAAGAGGAATTACTTAAGCAGCAGGCATCTAACCTTCATGAGCAGAAAAAAGCTGGGGTGATATTTGAAGCTGAAGAAGTTATCACTCTTTTAACTTCTGTGCTTAAAACGTCATCTGCATCAAGAACTAGTTTAAGCTCACGACATCAGTTTGCTCCTGGAGCGACAGTATTGTATAAGGGCGATAAAATGGTGCTTAACCTGGACAGGTCTCGTGTTCCAACTGAGTGTATAGAGAAAATTGAGGCCATTCTTAAGGAACTTGAAAAGCCAGCACCCTGATGCGACCTCGTTTTAGTCTACGTTTATCTGTCTTTACTTAATGTCCTTTGTTACAGGCCAGAAAGCATAACTGGCCTGAATATTCTCTCTGGGCCCACTGTTCCACTTGTATCGTCGGTCTGATAATCAGACTGGGACCACGGTCCCACTCGTATCGTCGGTCTGATTATTAGTCTGGGACCACGGTCCCACTCGTATCGTCGGTCTGATTATTAGTCTGGGACCACGGTCCCACTCGTATCGTCGGTCTGATAATCAGACTGGGACCACGGTCCCACTCGTATCGTCGGTCTGATTATTAGTCTGGGACCATGGTCCCACTCGTATCGTCGGTCTGATTATTAGTCTGGGACCACGGTCCCACTCGTATCGTCGGTCTGATTATTAGTCTGGAACCACGGTCCCACTCGTATCGTCGGTCTGATTATTAGTCTGGGACCACGGTCCCACTCGTATCGTCGGTCTGATTATTAGTCTGGGACCACGATCCCACTCGTGTTGTCGGTCTGATTATCGGTCTGGGACCACGGTCCCACTTGTATTGTCGATCAGACTATCAGCGTGAGACTACGATTCCATCAATGCCTGTCAAGGGCAAGTATTGACATGTCGTCGTAACCTGTAGAACGGAGTAACCTCGGTGTGCGGTTGTATGCCTGCTGTGGATTGCTGCTGTGTCCTGCTTATCCACAACATTTTGCGCACGGTTATGTGGACAAAATACCTGGTTACCCAGGCCGTGCCGGCACGTTAACCGGGCTGCATCCGATGCAAGTGTGTCGCTGTCGACGAGCTCGCGAGCTCGGACATGAGGTTGCCCCGTATTCAGTGTCGCTGATTTGTATTGTCTGAAGTTGTTTTTACGTTAAGTTGATGCAGATCAATTAATACGATACCTGCGTCATAATTGATTATTTGACGTGGTTTGATGGCCTCCACGCACGTTGTGATATGTAGATGATAATCATTATCACTTTACGGGTCCTTTCCGGTGATCCGACAGGTTACGGGGCGGCGACCTCGCGGGTTTTCGCTATTTATGAAAATTTTCCGGTTTAAGGCGTTTCCGTTCTTCTTCGTCATAACTTAATGTTTTTATTTAAAATACCCTCTGAAAAGAAAGGAAACGACAGGTGCTGAAAGCGAGCTTTTTGGCCTCTGTCGTTTCCTTTCTCTGTTTTTGTCCGTGGAATGAACAATGGAAGTCCGAGCTCATCGCTAATAACTTCGTATAGCATACATTATACGAAGTTATA | 
| pSteelyA-3  sequencing  | TTCGATGCGGCCGCAAGGGGTTCGCGTCAGCGGGTGTTGGCGGGTGTCGGGGCTGGCTTAACTATGCGGCATCAGAGCAGATTGTACTGAGAGTGCACCATATGCGGTGTGAAATACCACACAGATGCGTAAGGAGAAAATACCGCATCAGGCGCCATTCGCCATTCAGCTGCGCAACTGTTGGGAAGGGCGATCGGTGCGGGCCTCTTCGCTATTACGCCAGCTGGCGAAAGGGGGATGTGCTGCAAGGCGATTAAGTTGGGTAACGCCAGGGTTTTCCCAGTCACGACGTTGTAAAACGACGGCCAGTGAATTGTAATACGACTCACTATAGGGCGAATTCGAGCTCGGTACCCGGGGATCCTCTAGAGTCGACCTGCAGGCATGCAAGCTTGAGTATTCTATAGTCTCACCTAAATAGCTTGGCGTAATCATGGTCATAGCTGTTTCCTGTGTGAAATTGTTATCCGCTCACAATTCCACACAACATACGAGCCGGAAGCATAAAGTGTAAAGCCTGGGGTGCCTAATGAGTGAGCTAACTCACATTAATTGCGTTGCGCTCACTGCCCGCTTTCCAGTCGGGAAACCTGTCGTGCCAGCTGCATTAATGAATCGGCCAACGCGAACCCCTTGCGGCCGCCCGGGCCGTCGACCAATTCTCATGTTTGACAGCTTATCATCGAATTTCTGCCATTCATCCGCTTATTATCACTTATTCAGGCGTAGCAACCAGGCGTTTAAGGGCACCAATAACTGCCTTAAAAAAATTACGCCCCGCCCTGCCACTCATCGCAGTACTGTTGTAATTCATTAAGCATTCTGCCGACATGGAAGCCATCACAAACGGCATGATGAACCTGAATCGCCAGCGGCATCAGCACCTTGTCGCCTTGCGTATAATATTTGCCCATGGTGAAAACGGGGGCGAAGAAGTTGTCCATATTGGCCACGTTTAAATCAAAACTGGTGAAACTCACCCAGGGATTGGCTGAGACGAAAAACATATTCTCAATAAACCCTTTAGGGAAATAGGCCAGGTTTTCACCGTAACACGCCACATCTTGCGAATATATGTGTAGAAACTGCCGGAAATCGTCGTGGTATTCACTCCAGAGCGATGAAAACGTTTCAGTTTGCTCATGGAAAACGGTGTAACAAGGGTGAACACTATCCCATATCACCAGCTCACCGTCTTTCATTGCCATACGAAATTCCGGATGAGCATTCATCAGGCGGGCAAGAATGTGAATAAAGGCCGGATAAAACTTGTGCTTATTTTTCTTTACGGTCTTTAAAAAGGCCGTAATATCCAGCTGAACGGTCTGGTTATAGGTACATTGAGCAACTGACTGAAATGCCTCAAAATGTTCTTTACGATGCCATTGGGATATATCAACGGTGGTATATCCAGTGATTTTTTTCTCCATTTTAGCTTCCTTAGCTCCTGAAAATCTCGATAACTCAAAAAATACGCCCGGTAGTGATCTTATTTCATTATGGTGAAAGTTGGAACCTCTTACGTGCCGATCAACGTCTCATTTTCGCCAAAAGTTGGCCCAGGGCTTCCCGGTATCAACAGGGACACCAGGATTTATTTATTCTGCGAAGTGATCTTCCGTCACAGGTATTTATTCGCGATAAGCTCATGGAGCGGCGTAACCGTCGCACAGGAAGGACAGAGAAAGCGCGGATCTGGGAAGTGACGGACAGAACGGTCAGGACCTGGATTGGGGAGGCGGTTGCCGCCGCTGCTGCTGACGGTGTGACGTTCTCTGTTCCGGTCACACCACATACGTTCCGCCATTCCTATGCGATGCACATGCTGTATGCCGGTATACCGCTGAAAGTTCTGCAAAGCCTGATGGGACATAAGTCCATCAGTTCAACGGAAGTCTACACGAAGGTTTTTGCGCTGGATGTGGCTGCCCGGCACCGGGTGCAGTTTGCGATGCCGGAGTCTGATGCGGTTGCGATGCTGAAACAATTATCCTGAGAATAAATGCCTTGGCCTTTATATGGAAATGTGGAACTGAGTGGATATGCTGTTTTTGTCTGTTAAACAGAGAAGCTGGCTGTTATCCACTGAGAAGCGAACGAAACAGTCGGGAAAATCTCCCATTATCGTAGAGATCCGCATTATTAATCTCAGGAGCCTGTGTAGCGTTTATAGGAAGTAGTGTTCTGTCATGATGCCTGCAAGCGGTAACGAAAACGATTTGAATATGCCTTCAGGAACAATAGAAATCTTCGTGCGGTGTTACGTTGAAGTGGAGCGGATTATGTCAGCAATGGACAGAACAACCTAATGAACACAGAACCATGATGTGGTCTGTCCTTTTACAGCCAGTAGTGCTCGCCGCAGTCGAGCGACAGGGCGAAGCCCATCGATACTAGCTTGATTGGGATATCTCGCTCGTGCTTGTCGCGTGCTATGTCTTTTTAGGGTACTTTGAACCTACGTTCGTACTTGTGTAATATGATCATCGTCGTCATCGTATTATCGTTTTTCATCCGTCCAGCGCAAAATGCATTAGCAGCTAGTCCTAGCGTGCGGAGCTACCTGTACAGGTGCATGACGGATGCGTGTCCTTAAGTGAGTTTCTAATTAACAGTAACTTCTTTACTTATGTTTCAGTTTGTAAGAAGCGGGATGCGCTCGTCGCTTGACATCTGATTGGACTGCGTCGGCACGTGAAAACTACATTGTGAAATCTGCTAAAACTCCGGGTATCTCTGACACAAAACGATTCGGCTTCGCAATTTCAACATTACGGTCAAGGCTAACGTATCTTTCTCGGTCAACTTCAGATTATGCCGATTAAATTGTCGTAGCTTTCAAGGCGTTTTGAGTACTGCGGCAGTTGTTGAACCTGCAAGGAGAAGATCTCGACAACAGAATAAAGCGAAAAATGGGTCTCATGCACTAACACTCAGGCCTCCCTCATAATCTCTGTTTGAGTTTACCAACAACACATATATACATTTCGACAAAATGGCCAAGTTGACCAGTGCCGTTCCGGTGCTCACCGCGCGCGACGTCGCCGGAGCGGTCGAGTTCTGGACCGACCGGCTCGGGTTCTCCCGGGACTTCGTGGAGGACGACTTCGCCGGTGTGGTCCGGGACGACGTGACCCTGTTCATCAGCGCGGTCCAGGACCAGGTGGTGCCAGACAACACCCTGGCCTGGGTGTGGGTGCGCGGCCTGGACGAGCTGTACGCCGAGTGGTCGGAGGTCGTGTCCACGAACTTCCGGGACGCCTCCGGGCCGGCCATGACCGAGATCGGCGAGCAGCCGTGGGGGCGGGAGTTCGCCCTGCGCGACCCGGCCGGCAACTGCGTGCACTTCGTGGCCGAGGAGCAGGACTGACCGACGCCGACCAACACCGCCGGTCCGACGCGGCCCGACGGGTCCGAGGCCTCGGAGATCTGGGCCCATGCGGCCGCAACAACTACCTCGACTTTGGCTGGGACACTTTCAGTGAGGACAAGAAGCTTCAGAAGCGTGCTATCGAACTCAACCAGGGACGTGCGGCACAAATGGGCATCCTTGCTCTCATGGTGCACGAACAGTTGGGAGTCTCTATCCTTCCTTAAAAATTTAATTTTCATTAGTTGCAGTCACTCCGCTTTGGTTTCGTAACTATAACGGTCCTAAGGTAGCGAACGTTGCAGGCCATGCTGTCCAGGCAGGTAGATGACGACCATCAGGGACAGCTTCAAGGATCGCTCGCGGCTCTTACCAGCCTAACTTCGATCATTGGACCGCTGATCGTCACGGCGATTTATGCCGCCTCGGCGAGCACATGGAACGGGTTGGCATGGATTGTAGGCGCCGCCCTATACCTTGTCTGCCTCCCCGCGTTGCGTCGCGGTGCATGGAGCCGGGCCACCTCGACCTGAATGGAAGCCGGCGGCACCTCGCTAACGGATTCACCACTCCAAGAATTGGAGCCAATCAATTCTTGCGGAGAACTGTGAATGCGCAAACCAACCCTTGGCAGAACATATCCATCGCGTCCGCCATCTCCAGCAGCCGCACGCGGCGCATCGGGGGGGGGGGGGGGGTTTCAATTCATCATTTTTTTTTATTCTTTTTTTTGATTTCGGTTTCCTTGAAATTTTTTTGATTCGGTAATCTCCGAACAGAAGGAAGAACGAAGGAAGGAGCACAGACTTAGATTGGTATATATACGCATATGTAGTGTTGAAGAAACATGAAATTGCCCAGTATTCTTAACCCAACTGCACAGAACAAAAACCTGCAGGAAACGAAGATAAATCATGTCGAAAGCTACATATAAGGAACGTGCTGCTACTCATCCTAGTCCTGTTGCTGCCAAGCTATTTAATATCATGCACGAAAAGCAAACAAACTTGTGTGCTTCATTGGATGTTCGTACCACCAAGGAATTACTGGAGTTAGTTGAAGCATTAGGTCCCAAAATTTGTTTACTAAAAACACATGTGGATATCTTGACTGATTTTTCCATGGAGGGCACAGTTAAGCCGCTAAAAGGCATTATCCGCCAAGTACAATTTTTTACTCTTCGAAGACAGAAAATTTGCTGACATTGGTAATACAGTCAAATTGCAGTACTCTGCGGGTGTATACAGAATAGCAGAATGGGCAGACATTACGAATGCACACGGTGTGGTGGGCCCAGGTATTGTTAGCGGTTTGAAGCAGGCGGCGGAAGAAGTAACAAAGGAACCTAGAGGCCTTTTGATGTTAGCAGAATTGTCATGCAAGGGCTCCCTAGCTACTGGAGAATATACTAAGGGTACTGTTGACATTGCGAAGAGCGACAAAGATTTTGTTATCGGCTTTATTGCTCAAAGAGACATGGGTGGAAGAGATGAAGGTTACCAAATAGGTGAAGTAGGCCCACCCGCGAGCGGGTGTTCCTTCTTCACTGTCCCTTATTCGCACCTGGCGGTGCTCAACGGGAATCCTGCTCTGCGAGGCTGGCCGGCTACCGCCGGCGTAACAGATGAGGGCAAGCGGATGGCTGATGAAACCAAGCCAACCAGGAAGGGCAGCCCACCTATCAAGGTGTACTGCCTTCCAGACGAACGAAGAGCGATTGAGGAAAAGGCGGCGGCGGCCGGCATGAGCCTGTCGGCCTACCTGCTGGCCGTCGGCCAGGGCTACAAAATCACGGGCGTCGTGGACTATGAGCACGTCCGCGAGCTGGCCCGCATCAATGGCGACCTGGGCCGCCTGGGCGGCCTGCTGAAACTCTGGCTCACCGACGACCCGCGCACGGCGCGGTTCGGTGATGCCACGATCCTCGCCCTGCTGGCGAAGATCGAAGAGAAGCAGGACGAGCTTGGCAAGGTCATGATGGGCGTGGTCCGCCCGAGGGCAGAGCCATGACTTTTTTAGCCGCTAAAACGGCCGGGGGGTGCGCGTGATTGCCAAGCACGTCCCCATGCGCTCCATCAAGAAGAGGCACTTCGAGCTGTAAGTACATCACCGACGAGCAAGGCAAGACGATCCGCGCCTGTTTTATTGAGAACGTTGTTCGTGTTGGCCTCAATGGTAGCGATGCGTCATTCAGCGAAGTTCTGGTGCTGATGATGTGGTTCGCTTTGCCACTGGTCAATGTGGTAAGCCCGTGTAATGTCAGTAACCTTTTTACTGATCTCAGCTTGAGCACGGTCGCTGATGAGCTTATCCATGGCCCCACGGTAACGGATATGATCCTCTAGGGCGTTGACAAATTCTTTGTCGGTTTTCATGGGGTAGACGTCAGTGACCAGGGAACGTCTCCCTACAAAAAGTTGCGCATACTTTGCTCCGTTGTCGACGGCAGGGGTGTCGGACCAGATTGTATCTGTGGCAACGGCCTCATTGCGTCAATGGACCTTTAAAGCCGGGAAACGAGACTTGAAATGTTTACGTAGAGGTGCATTATAGACCTCACGCGCATATTGAGTGGTTGCAAAAATGGTTTTGCGAACGGTATCACTGGAGACCCATGCCAGGCAAGGACGGAGGGCATCATAATCATGTTCATTGCGTTGGACAGCATGCTTGTTACACGTAAGTATACGGTCGAGAGCATCGTGACGTTGAGAATTACAGATGGCAACGTGTCGGTGCATGTATTGGCCGAGATTGTCAAATCGTGGCTCAATATATGGCATGCCAGGTAAGTCATGGATGTCGGTATGCCATTCAGCCTTCATGTCGATTTCGTTGTCGAGAACTGATGGGTCCCAGTCAACGTCAGAAGTAAGAACAACATGGGGAAGGGAATGAAGTTCATGACTGGTGGGTGCGCGCATATCCATGTACGGAAGACCCTGTCGTATGTTTAGTGGGATGATGTAATCATCCAGGGTAACAATACGTTGGTTGCCGCCCACGGTACGAGACCGATCTTGAACACAATTGTGGCAATGTTCAAGTTGGGCGCTGGAATGGATGGTTTTACCTTTACCAAGATGCGCGTATTGATGCATGATAACAACAATGGGCCCTCGTTGCGATTCGACAAGACCGGCAGCCGTGACAATGTCTAGATTGGACAAGGTATGTTCATTTATACCGGTTATGTTGGCTGAACGTCCAGTTTTGTGCAGTACGGTAACATCACTCCCCGCAAGTCCACCGTTGGCACCGCGATCGACAAGTGCAGATGTGGTATTTTGTACTGTGTGTCGGGAGACTTGGTACTGTAACACATTTGACTGAAGTGACTTGGTGGTACCATGAGGACGGAGGGAACCCGTTGATACGGTGTTGCGTGACGCTGCAAGTACCTTACGTATGTCGCCTGGATCCATACGTCCAACCCGATCAGAAAGATGTGCTAGGAGTTCCGTTTCTGGTGCACAATCATGAAAGGTATCCACGGGAGTTCCATTGTTGTCGTCCGGGGCTGCGTCGCGACTGCCAGTTGCATGTACATGCGCCATCAAGGGACGTGCCAATCCATTACTAACCGGGAGAACCTTAGCTGGGGCAGCCAATCCCTGAAGTATAGCCTTAGCATCATCTGAGAGCTGGTTCCACATATCTCTAGGGATATAAGGTCGTTCACGGTTAGTGGGCGTACTATGATGTCGGTTATTAGTACAATTCTCCCTGCGGGCATGCGCATTGGCTTCATAGAGTACGGAAGGTGACAAGTCAATATTGTAGTTAACATCCGGATCAGTGTCAAAGTCTGTAGGATGGTAAGAAAGATCAGTAGAATGAATACTACGCTTTTCCTTGGGACTACGGGAATTAGAGAAGTTGTTTCCTTTATTGTAGAGTGACGCTGAAGCAAGTAGAAGACTAAGGTAACTCTCGTAGCTAATAGGATTACCTCCTTTGGCTAGGTCAAGAGTGGCTGTGATCTTCACTTGACAAAGTTCCGGTACATTGTGGACAGCATTCTCCAAAAGACTAAGACACAGTTGCTTTGGGAGTTGCTCAGCCATTGGTACAGTATTGTGGTAGATACAAAGGTGGTTCTTCCAATGAAGGATAAATCCTTCTGCTGTGCCTGTCCATGAGGATCCATATTTCGCCGTAGTTAGGTAACCAAGCGTGGTGGCTGAACTGATCTTCGCACTTGCTGATTCCGTATAGTGTTTGACAACTTTACAAAACACTTCTTGCGCAGTTCGCTCTAGCCTGGACAGAGAAGGGACAATCTTCGTCGTTAAGACTCGTGCGAATAGCAAAAGATCACAAAATAGCACATCGGCACCGACCAACGATTATTTCCAAGGAAAAAAAGAATGCTTCACTACAAGAAATTGTGTCATCCCTATACAGAGTCTTGTTACTGTGACAGAAAATTGATGGAAGATGTGGCGGATTGCCTTTACACTAGCCAACTTGTTCGACTAATTGCAGCTTCTTCTGAGAGGCTTCACCGAGTAACGCGAAGAACACCGGTGTCTCGTACATGCTCGTCGGTGAACGCTCGTCCAATGACACCCCCCACTTTGTATCAATATCCCAACTTGGTAGTGAACTGGAATGATACATGCAATTTCGCGCCGCATCAACAGCCACGGGCACCATCGACGAATAGACTCGGTCGAGCTGGTTGCCCTCGCCGCTGGGCTGGCGGCCGTCTATGGCCCTGCAAACGCGCCAGAAACGCCGTCGAAGCCGTGTGCGAGACACCGCGGCCGGCCGCCGGCGTTGTGGATACCTCGCGGAAAACTTGGCCCTCACTGACAGATGAGGGGCGGACGTTGACACTTGAGGGGCCGACTCACCCGGCGCGGCGTTGACAGATGAGGGGCAGGCTCGATTTCGGCCGGCGACGTGGAGCTGGCCAGCCTCGCAAATCGGCGAAAACGCCTGATTTTACGCGAGTTTCCCACAGATGATGTGGACAAGCCTGGGGATAAGTGCCCTGCGGTATTGACACTTGAGGGGCGCGACTACTGACAGATGAGGGGCGCGATCCTTGACACTTGAGGGGCAGAGTGCTGACAGATGAGGGGCGCACCTATTGACATTTGAGGGGCTGTCCACAGGCAGAAAATCCAGCATTTGCAAGGGTTTCCGCCCGTTTTTCGGCCACCGCTAACCTGTCTTTTAACCTGCTTTTAAACCAATATTTATAAACCTTGTTTTTAACCAGGGCTGCGCCCTGTGCGCGTGACCGCGCACGCCGAAGGGGGGTGCCCCCCCTTCTCGAACCCTCCCGGTCGAGTGAGCGAGGAAGCACCAGGGAACAGCACTTATATATTCTGCTTACACACGATGCCTGAAAAAACTTCCCTTGGGGTTATCCACTTATCCACGGGGATATTTTTATAATTATTTTTTTTATAGTTTTTAGATCTTCTTTTTTAGAGCGCCTTGTAGGCCTTTATCCATGCTGGTTCTAGAGAAGGTGTTGTGACAAATTGCCCTTTCAGTGTGACAAATCACCCTCAAATGACAGTCCTGTCTGTGACAAATTGCCCTTAACCCTGTGACAAATTGCCCTCAGAAGAAGCTGTTTTTTCACAAAGTTATCCCTGCTTATTGACTCTTTTTTATTTAGTGTGACAATCTAAAAACTTGTCACACTTCACATGGATCTGTCATGGCGGAAACAGCGGTTATCAATCACAAGAAACGTAAAAATAGCCCGCGAATCGTCCAGTCAAACGACCTCACTGAGGCGGCATATAGTCTCTCCCGGGATCAAAAACGTATGCTGTATCTGTTCGTTGACCAGATCAGAAAATCTGATGGCACCCTACAGGAACATGACGGTATCTGCGAGATCCATGTTGCTAAATATGCTGAAATATTCGGATTGACCTCTGCGGAAGCCAGTAAGGATATACGGCAGGCATTGAAGAGTTTCGCGGGGAAGGAAGTGGTTTTTTATCGCCCTGAAGAGGATGCCGGCGATGAAAAAGGCTATGAATCTTTTCCTTGGTTTATCAAACGTGCGCACAGTCCATCCAGAGGGCTTTACAGTGTACATATCAACCCATATCTCATTCCCTTCTTTATCGGGTTACAGAACCGGTTTACGCAGTTTCGGCTTAGTGAAACAAAAGAAATCACCAATCCGTATGCCATGCGTTTATACGAATCCCTGTGTCAGTATCGTAAGCCGGATGGCTCAGGCATCGTCTCTCTGAAAATCGACTGGATCATAGAGCGTTACCAGCTGCCTCAAAGTTACCAGCGTATGCCTGACTTCCGCCGCCGCTTCCTGCAGGTCTGTGTTAATGAGATCAACAGCAGAACTCCAATGCGCCTCTCATACATTGAGAAAAAGAAAGGCCGCCAGACGACTCATATCGTATTTTCCTTCCGCGATATCACTTCCATGACGACAGGATAGTCTGAGGGTTATCTGTCACAGATTTGAGGGTGGTTCGTCACATTTGTTCTGACCTACTGAGGGTAATTTGTCACAGTTTTGCTGTTTCCTTCAGCCTGCATGGATTTTCTCATACTTTTTGAACTGTAATTTTTAAGGAAGCCAAATTTGAGGGCAGTTTGTCACAGTTGATTTCCTTCTCTTTCCCTTCGTCATGTGACCTGATATCGGGGGTTAGTTCGTCATCATTGATGAGGGTTGATTATCACAGTTTATTACTCTGAATTGGCTATCCGCGTGTGTACCTCTACCTGGAGTTTTTCCCACGGTGGATATTTCTTCTTGCGCTGAGCGTAAGAGCTATCTGACAGAACAGTTCTTCTTTGCTTCCTCGCCAGTTCGCTCGCTATGCTCGGTTACACGGCTGCGGCGAGCATCACGTGCTATAAAAATAATTATAATTTAAATTTTTTAATATAAATATATAAATTAAAAATAGAAAGTAAAAAAAGAAATTAAAGAAAAAATAGTTTTTGTTTTCCGAAGATGTAAAAGACTCTAGGGGGATCGCCAACAAATACTACCTTTTACCTTGCTCTTCCTGCTCTCAGGTATTAATGCCGAATTGTTTCATCTTGTCTGTGTAGAAGACCACACACGAAAATCCTGTGATTTTACATTTTACTTATCGTTAATCGAATGTATATCTATTTAATCTGCTTTTCTTGTCTAATAAATATATATGTAAAGTACGCTTTTTGTTGAAATTTTTTAAACCTTTGTTTATTTTTTTTTCTTCATTCCGTAACTCTTCTACCTTCTTTATTTACTTTCTAAAATCCAAATACAAAACATAAAAATAAATAAACACAGAGTAAATTCCCAAATTATTCCATCATTAAAAGATACGAGGCGCGTGTAAGTTACAGGCAAGCGATCCTAGTACACTCTATATTTTTTTATGCCTCGGTAATGATTTTCATTTTTTTTTTCCACCTAGCGGATGACTCTTTTTTTTTCTTAGCGATTGGCATTATCACATAATGAATTATACATTATATAAAGTAATGTGATTTCTTCGAAGAATATACTAAAAAATGAGCAGGCAAGATAAACGAAGGCAAAGATGACAGAGCAGAAAGCCCTAGTAAAGCGTATTACAAATGAAACCAAGATTCAGATTGCGATCTCTTTAAAGGGTGGTCCCCTAGCGATAGAGCACTCGATCTTCCCAGAAAAAGAGGCAGAAGCAGTAGCAGAACAGGCCACACAATCGCAAGTGATTAACGTCCACACAGGTATAGGGTTTCTGGACCATATGATACATGCTCTGGCCAAGCATTCCGGCTGGTCGCTAATCGTTGAGTGCATTGGTGACTTACACATAGACGACCATCACACCACTGAAGACTGCGGGATTGCTCTCGGTCAAGCTTTTAAAGAGGCCCTAGGGGCCGTGCGTGGAGTAAAAAGGTTTGGATCAGGATTTGCGCCTTTGGATGAGGCACTTTCCAGAGCGGTGGTAGATCTTTCGAACAGGCCGTACGCAGTTGTCGAACTTGGTTTGCAAAGGGAGAAAGTAGGAGATCTCTCTTGCGAGATGATCCCGCATTTTCTTGAAAGCTTTGCAGAGGCTAGCAGAATTACCCTCCACGTTGATTGTCTGCGAGGCAAGAATGATCATCACCGTAGTGAGAGTGCGTTCAAGGCTCTTGCGGTTGCCATAAGAGAAGCCACCTCGCCCAATGGTACCAACGATGTTCCCTCCACCAAAGGTGTTCTTATGTAGTTTTACACAGGAGTCTGGACTTGACATACAGTGAATGTAACTTTCGAATTGACAGTATTAGTAGTCGTATTGACAGTGAGGCACGCCCCTCAATGTGCGAGGTGGAAAATATACCAGCATGACAATGAATCTTGGAGATTCTTTTGCTGTCATCAAGATTCACCGCCAAATCTTCAGGAACCTATCACGTCCACAGGCGATGTTAATTCTTGAGTCGTCAAAACAAAGTCCTGTCCTACCTGTAGAAGTTGACAGCGAGCAATTGTATGCAAACTTCTGACTTTGTTATAATAACATTAAAGGTAATTAAGTATCTTCAATTAGGCATTTTGTCACTGTCAGTCCGTTCCGACAATATAGGTAGATTTGGAATGAATCTTTTCTATGCTGCTGCGAATCTTGTACACCTTTGAGGCCGTAGATTCTGTCCGACGAAGCGATAATTATTGCAAAATACATGGACTCATTATTTTGATTCGATTTCTTTTTGGTATCCGACTCGAAAAGATCCATCACGGCGAGCGCCACCATGAACAAGAACTCCAAAATCCAGTCCCCAAACTCTTCTGATGTTGCTGTTATTGGTGTTGGTTTTAGATTCCCAGGTAACTCTAATGACCCAGAATCTTTGTGGAACAACTTGTTGGATGGTTTCGATGCTATTACCCAAGTCCCAAAAGAAAGATGGGCTACTTCTTTTAGAGAGATGGGTTTGATCAAGAACAAGTTCGGTGGTTTCTTGAAGGATTCTGAATGGAAGAATTTCGACCCTTTGTTCTTTGGTATCGGTCCAAAAGAAGCTCCATTCATTGATCCACAACAAAGGTTGTTGTTGTCCATCGTTTGGGAATCTTTGGAAGATGCTTACATCAGACCAGATGAATTGAGAGGTTCTAACACTGGTGTTTTCATCGGTGTTTCTAACAACGATTACACCAAGTTGGGTTTCCAAGACAACTACTCTATTTCTCCATACACTATGACCGGCTCTAACTCTTCATTGAACTCCAACAGAATTTCCTACTGCTTCGATTTTAGAGGTCCATCCATTACTGTTGATACCGCTTGTTCTTCTTCCTTGGTTTCTGTTAATTTGGGTGTCCAATCCATCCAAATGGGTGAATGTAAGATTGCTATTTGCGGTGGTGTTAACGCTTTGTTTGATCCATCTACATCTGTTGCCTTTTCCAAGTTGGGTGTTTTGTCTGAAAATGGCAGATGCAACTCTTTTAGTGATCAAGCCTCTGGTTACGTTAGATCTGAAGGTGCTGGTGTTGTTGTTTTGAAGTCTTTGGAACAAGCTAAGTTGGATGGTGATAGAATCTACGGTGTTATCAAGGGTGTTTCCTCTAATGAAGATGGTGCTTCTAATGGTGACAAGAACTCTTTGACTACTCCATCTTGTGAAGCCCAATCCATTAACATTTCTAAGGCTATGGAAAAGGCCTCCTTGTCTCCATCTGATATCTATTACATTGAAGCCCATGGTACTGGTACTCCAGTTGGTGATCCAATTGAAGTTAAGGCCTTGTCCAAGATCTTCTCCAACTCTAACAACAACCAGTTGAACAACTTCTCTACCGATGGTAATGATAACGATGATGATGATGACGATAACACCTCTCCAGAACCATTATTGATTGGCTCATTCAAGTCCAACATCGGTCATTTGGAATCTGCTGCTGGTATTGCTTCTTTGATTAAGTGTTGCTTGATGTTGAAGAACAGGATGTTGGTTCCATCCATTAACTGCTCTAATTTGAACCCATCCATTCCATTCGATCAGTACAACATCTCCGTTATCAGAGAAATCAGACAATTCCCAACCGATAAGTTGGTTAACATCGGTATCAATTCTTTCGGTTTCGGTGGTTCTAACTGCCATTTGATTATTCAAGAGTACAACAACAACTTCAAGAACAACTCTACCATCTGCAATAACAACAACAACAACAATAACAACATCGACTACTTGATCCCAATCTCCTCTAAGACTAAGAAGTCCTTGGATAAGTACTTGATTTTGATCAAGACCAACTCCAACTACCACAAGGATATTTCTTTCGATGACTTCGTCAAGTTCCAAATCAAGTCTAAGCAGTACAACTTGTCCAACAGAATGACTACCATTGCTAACGATTGGAACTCCTTCATTAAGGGTTCTAACGAATTCCACAACTTGATCGAATCTAAGGATGGTGAAGGTGGTTCTTCATCTTCTAACAGAGGTATTGATTCCGCCAATCAAATCAACACTACTACTACCTCTACCATCAACGATATCGAACCTTTGTTGGTTTTCGTTTTCTGTGGTCAAGGTCCACAATGGAATGGTATGATTAAGACCTTGTACAACTCCGAGAACGTTTTCAAGAACACCGTTGATCATGTTGACAGCATCTTGTACAAGTACTTCGGTTACTCCATTTTGAACGTCTTGTCTAAGATCGATGATAACGACGATTCCATCAACCATCCAATAGTTGCTCAACCATCTTTGTTCTTGTTGCAAATTGGTTTGGTCGAGTTGTTTAAGTACTGGGGTATCTACCCATCTATCTCTGTTGGTCATTCTTTCGGTGAAGTCTCTTCTTATTACTTGTCCGGTATCATCTCTTTGGAAACCGCTTGTAAAATCGTCTACGTCAGATCCTCTAATCAGAACAAAACTATGGGTTCCGGTAAGATGTTGGTTGTTTCTATGGGTTTTAAGCAATGGAACGATCAATTCTCTGCTGAATGGTCCGATATTGAAATTGCTTGTTACAACGCTCCAGATTCCATAGTTGTTACTGGTAACGAAGAAAGATTGAAAGAATTGTCCATCAAGTTGTCCGACGAATCCAATCAAATTTTCAACACCTTCTTGAGGTCCCCATGTTCTTTTCATTCTTCCCATCAAGAAGTCATCAAGGGTTCTATGTTCGAAGAGTTGTCTAACTTGCAATCTACTGGTGAAACCGAAATCCCTTTGTTCTCTACTGTTACTGGTAGACAAGTTTTGTCTGGTCATGTTACTGCTCAACACATCTACGATAATGTTAGAGAACCAGTCTTGTTCCAAAAGACGATTGAATCCATTACCTCCTACATCAAGTCTCACTACCCATCCAATCAAAAGGTTATCTACGTTGAAATTGCTCCACACCCAACCTTGTTTTCATTGATCAAAAAGTCCATCCCATCCTCCAACAAGAATTCCTCTTCTGTTTTGTGTCCATTGAACAGAAAAGAAAACTCCAACAACTCCTACAAGAAGTTCGTTTCTCAGTTGTACTTCAACGGTGTTAACGTTGACTTCAACTTCCAGTTGAACTCCATTTGCGATAACGTTAACAACGATCACCATTTGAACAACGTCAAGCAAAACTCCTTCAAAGAGACTACCAATTCCTTGCCAAGATACCAATGGGAACAAGATGAATATTGGTCCGAACCATTGATCTCCAGAAAGAATAGATTGGAAGGTCCAACTACTTCCTTGTTGGGTCATAGAATTATCTACAGCTTCCCAGTTTTCCAATCCGTTTTGGACTTGCAATCTGACAACTACAAATACTTGTTGGACCACTTGGTTAACGGTAAGCCAGTTTTTCCAGGTGCTGGTTATTTGGATATCATCATCGAATTCTTCGACTACCAAAAGCAGCAGTTGAATTCCTCTGATTCCTCTAACTCCTACATCATCAACGTTGACAAGATCCAATTCTTGAACCCAATTCACTTGACCGAAAACAAGTTGCAAACCTTGCAATCTTCTTTCGAACCTATCGTTACTAAGAAGTCTGCCTTCTCTGTTAACTTCTTCATCAAGGATACCGTCGAGGATCAATCTAAGGTTAAGTCTATGTCTGACGAAACTTGGACTAACACTTGTAAGGCTACCATTTCCTTGGAACAACAACAGCCATCTCCATCTTCTACTTTGACTTTGTCTAAGAAGCAAGACTTGCAGATCTTGAGAAACAGATGCGATATTAGCAAGCTAGACAAGTTTGAGTTGTACGACAAGATCTCTAAGAATTTGGGCTTGCAGTACAACTCCTTGTTTCAAGTTGTTGATACCATCGAAACTGGTAAGGATTGCTCTTTTGCTACTTTGTCTTTGCCAGAAGATACTTTGTTCACCACCATTTTGAACCCATGCTTGTTGGATAACTGTTTCCATGGTTTGTTGACCTTGATCAACGAAAAGGGTTCTTTCGTTGTCGAGTCCATTTCTTCTGTTTCTATCTACTTGGAGAACATCGGTTCCTTCAATCAAACTTCTGTTGGTAACGTCCAGTTCTACTTGTACACCACTATTTCTAAAGCCACCTCCTTTAGTTCTGAAGGTACTTGTAAGTTGTTCACCAAGGATGGTTCCTTGATTTTGTCTATCGGTAAGTTCATCATCAAGTCCACCAATCCAAAGTCTACTAAGACCAACGAAACTATCGAATCTCCATTGGACGAAACCTTCTCTATTGAATGGCAATCTAAGGATTCTCCAATTCCAACCCCACAACAAATCCAACAACAATCTCCATTGAACTCTAACCCATCCTTCATTAGATCTACCATCTTGAAGGACATCCAGTTCGAACAATACTGCTCCTCCATTATCCACAAAGAATTGATCAACCACGAAAAGTACAAGAACCAGCAATCCTTCGATATCAACTCCTTGGAAAACCACTTGAACGATGACCAATTGATGGAATCCTTGTCCATCTCCAAAGAATACTTGAGATTCTTCACCAGGATCATCTCCATCATTAAGCAATACCCAAAGATCTTGAACGAAAAAGAGCTAAAAGAATTGAAAGAAATCATCGAATTGAAGTACCCATCCGAAGTTCAGTTGTTGGAATTCGAAGTTATCGAGAAGGTGTCCATGATTATCCCAAAGTTGTTGTTCGAAAACGACAAGCAATCTTCCATGACCTTGTTCCAAGATAACTTGTTGACCAGGTTCTACTCCAATTCTAACTCTACCAGATTCTACTTGGAAAGGGTTTCCGAAATGGTCTTGGAATCTATTAGACCAATCGTCAGAGAAAAGAGGGTGTTCAGAAATTTGGAAATTGGTGCTGATACAGCCTCTTTGTCTAATGTTGTTTTGACTAAGTTGAACACCTACTTGTCCACCTTGAATTCTAATGGTGGTTCTGGTTACAACATCATCATTGAGTACACCTTCACCGATATTTCCGCCAACTTCATTATTGGTGAAATCCAAGAAACCATGTGCAACTTGTACCCAAACGTTACTTTCAAGTTCTCCGTCTTGGACTTGGAGAAAGAGATTATTAACTCCTCCGATTTCTTGATGGGTGATTACGATATAGTTTTGATGGCCTACGTTATCCATGCCGTTTCTAACATTAAGTTCTCCATCGAACAGTTGTACAAGTTGTTGTCTCCAAGAGGTTGGTTGTTGTGTATTGAACCTAAGTCCAACGTTGTGTTCTCCGATTTGGTTTTCGGTTGTTTTAATCAGTGGTGGAACTACTACGATGATATTAGAACTACCCACTGCTCCTTGTCTGAATCTCAATGGAATCAGTTGTTGTTGAACCAGTCCTTGAACAACGAATCCTCTTCTTCTTCTAACTGTTACGGTGGTTTCTCCAACGTTTCTTTTATTGGTGGTGAAAAGGATGTCGACTCCCATTCTTTCATATTGCACTGCCAAAAAGAATCCATCTCCCAAATGAAGTTAGCCACCACTATTAACAACGGTTTGTCATCTGGTTCCATCGTTATCGTTTTGAACTCTCAACAATTGACCAACATGAAGTCCTACCCAAAGGTTATTGAGTATATTCAAGAGGCTACCTCTTTGTGCAAGACCATTGAAATTATCGATTCCAAGGACGTCTTGAACTCTACCAATTCAGTTTTGGAAAAGATCCAAAAGTCCTTGTTGGTGTTCTGTTTGTTGGGTTATGACTTGTTGGAGAACAACTACCAAGAACAGTCTTTCGAATACGTTAAGTTGTTGAACTTGATCTCTACTACCGCCTCTTCATCTAATGATAAGAAACCACCAAAGGTCTTGTTGATCACCAAGCAATCTGAAAGAATCTCCAGGTCTTTCTACTCCAGATCCTTGATTGGTATTTCCAGAACCTCTATGAACGAGTACCCAAATTTGTCCATTACCTCTATCGATTTGGATACCAACGACTACTCATTGCAGTCTTTGTTGAAGCCAATCTTCAGCAACTCTAAGTTTTCCGACAACGAGTTCATCTTCAAAAAGGGCTTGATGTTCGTGTCCAGGATCTTTAAGAACAAGCAGTTGCTAGAATCCTCCAACGCTTTTGAAACTGACTCTTCTAACTTGTACTGTAAGGCCTCTTCTGACTTGTCTTACAAGTACGCTATTAAGCAGTCTATGTTGACCGAAAATCAGATCGAAATCAAGGTTGAATGCGTCGGTATTAACTTCAAGGACAACCTATTCTACAAGGGCTTGTTGCCACAAGAAATTTTCAGAATGGGTGACATCTACAATCCACCATATGGTTTGGAATGCTCTGGTGTTATTACCAGAATTGGTTCTAACGTCACCGAATACTCAGTTGGTCAAAATGTTTTTGGTTTCGCCAGACATTCTTTGGGTTCTCATGTTGTTACCAACAAGGATTTGGTTATCTTGAAGCCAGATACCATCTCATTTTCTGAAGCTGCTTCTATCCCAGTTGTTTACTGTACTGCTTGGTACTCCTTGTTCAACATTGGTCAGTTGTCTAACGAAGAATCCATCCTAATTCATTCTGCTACTGGTGGTGTAGGTTTGGCTTCTTTGAATTTGTTGAAAATGAAGAATCAGCAACAGCAACCATTGACCAATGTTTATGCTACTGTTGGCTCTAACGAGAAGAAGAAGTTCTTGATCGATAACTTCAACAACTTGTTCAAAGAGGACGGCGAAAACATTTTCTCTACCAGAGACAAAGAATACTCCAACCAGTTGGAATCCAAGATCGATGTTATTTTGAACACCTTGTCCGGTGAATTCGTCGAATCTAATTTCAAGTCCTTGAGATCCTTCGGTAGATTGATTGATTTGTCTGCTACTCACGTTTACGCCAATCAACAAATTGGTCTAGGTAACTTCAAGTTCGACCACTTGTATTCTGCTGTTGACTTGGAAAGATTGATCGACGAAAAACCTAAGTTGTTGCAGTCCATCTTGCAAAGAATTACCAACTCTATCGTCAACGGTTCCTTGGAAAAAATTCCAATTACCATCTTCCCATCCACCGAAACTAAGGATGCTATCGAATTATTGTCCAAGAGATCCCATATCGGTAAAGTTGTTGTAGATTGCACCGATATCTCTAAGTGTAATCCTGTTGGTGATGTGATCACCAACTTCTCTATGAGATTGCCAAAGCCAAACTACCAGTTGAATTTGAACTCCACCTTGTTGATTACTGGTCAGTCTGGTTTGTCTATCCCTTTGTTGAATTGGTTGTTGTCTAAGTCTGGTGGTAACGTTAAGAACGTTGTCATCATTTCTAAGTCCACCATGAAGTGGAAGTTGCAGACTATGATTTCCCATTTCGTTTCCGGTTTCGGTATCCATTTTAACTACGTTCAAGTCGACATCTCCAACTACGATGCTTTGTCTGAAGCTATTAAGCAATTGCCATCTGATTTGCCACCAATCACCTCTGTTTTTCATTTGGCTGCTATCTACAACGATGTTCCAATGGATCAAGTTACCATGTCTACCGTTGAATCTGTTCATAACCCTAAAGTTTTGGGTGCCGTTAACTTGCATAGAATCTCTGTTTCTTTTGGTTGGAAGTTGAACCACTTCGTCTTGTTCTCTTCTATTACTGCTATTACCGGTTACCCAGACCAATCTATCTACAATTCTGCCAACTCTATTTTGGACGCTTTGTCCAACTTTAGAAGGTTTATGGGTTTGCCATCCTTCTCCATTAACTTGGGTCCAATTAAGGATGAAGGTAAGGTTTCTACCAACAAGAGCATCAAGAAGCTATTCAAGTCTAGAGGTTTGCCAAGCCTATCCTTGAACAAGTTATTTGGTTTGTTGGAGGTCGTCATCAACAACCCATCTAATCATGTTATCCCATCCCAATTGATTTGCTCCCCAATCGATTTCAAGACCTACATCGAATCTTTCTCAACTATGAGGCCAAAGTTGTTACACTTGCAACCTACCATTTCCAAGCAGCAATCTTCTATCATTAACGATTCTACCAAGGCTTCCTCCAACATTTCATTGCAAGATAAGATCACCTCCAAGGTGTCTGATTTGTTGTCCATTCCAATCTCCAAGATCAACTTCGATCATCCATTGAAACACTACGGCTTGGATTCTTTGTTGACCGTTCAATTCAAATCCTGGATCGACAAAGAATTCGAAAAGAACTTGTTCACCCATATCCAATTGGCCACCATCTCTATTAACTCATTCTTGGAAAAGGTGAACGGCTTGTCTACAAACAATAACAACAACAACAATTCCAACGTCAAGTCCTCTCCATCCATTGTCAAAGAAGAAATCGTTACCTTGGACAAGGATCAACAACCATTGCTATTGAAAGAACACCAGCACATTATCATCTCCCCAGATATTAGAATCAACAAGCCAAAGAGGGAATCCTTGATTAGAACCCCAATCTTGAACAAATTCAACCAGATCACCGAATCCATTATCACTCCATCTACACCATCTTTGTCCCAATCCGATGTTTTGAAAACTCCACCAATCAAGTCTTTGAACAACACTAAGAACTCCAGCTTGATTAACACCCCACCAATTCAATCTGTCCAACAACATCAAAAGCAACAACAAAAGGTCCAAGTCATCCAACAACAGCAACAACCATTATCCAGATTGTCCTACAAGAGCAACAACAACTCTTTCGTTTTGGGTATCGGTATTTCTGTTCCAGGTGAACCTATTTCCCAACAATCCTTGAAAGACTCCATCTCCAATGACTTTTCTGATAAGGCTGAAACTAACGAGAAGGTCAAGAGAATCTTTGAGCAATCTCAAATCAAGACCAGACACTTGGTTAGAGATTACACTAAGCCAGAGAACTCCATCAAGTTCAGACATTTGGAAACCATTACCGATGTGAACAACCAGTTCAAGAAAGTTGTTCCAGATTTGGCTCAACAAGCCTGTTTGAGAGCTTTGAAAGATTGGGGTGGTGATAAGGGTGATATTACCCATATAGTTTCTGTTACCTCCACCGGTATTATCATCCCAGATGTTAATTTCAAGTTGATCGACTTGTTGGGCTTGAACAAGGATGTTGAAAGAGTGTCTTTGAACCTAATGGGTTGTTTGGCTGGTTTGAGTTCTTTGAGAACTGCTGCTTCTTTGGCTAAGGCTTCTCCAAGAAATAGAATTTTGGTTGTCTGTACCGAAGTCTGCTCCTTGCATTTTTCTAATACTGATGGTGGTGATCAAATGGTCGCCTCTTCTATTTTTGCTGATGGTTCTGCTGCTTACATTATTGGTTGTAACCCAAGAATTGAAGAAACCCCATTATACGAAGTCATGTGCTCCATTAACAGATCTTTCCCAAATACCGAAAACGCCATGGTTTGGGATTTGGAAAAAGAAGGTTGGAACTTGGGTTTGGATGCTTCTATTCCAATTGTCATTGGTTCTGGTATTGAAGCCTTCGTTGATACTTTGTTGGATAAGGCTAAGTTGCAAACTTCCACTGCTATTTCTGCTAAGGATTGCGAATTCTTGATTCATACTGGTGGCAAGTCCATCTTGATGAACATCGAAAATTCCTTGGGTATCGACCCAAAGCAAACTAAGAATACTTGGGATGTTTACCATGCCTACGGCAATATGTCATCTGCCTCTGTTATTTTCGTTATGGATCATGCCAGAAAGTCCAAGTCTTTGCCAACTTACTCAATTTCTTTGGCTTTTGGTCCAGGTTTGGCTTTTGAAGGTTGTTTCTTGAAGAACGTCGTCGAACAGAAGCTCATTTCCGAAGAGGACTTGTAACCGCAACAACTACCTCGACTTTGGCTGGGACACTTTCAGTGAGGACAAGAAGCTTCAGAAGCGTGCTATCGAACTCAACCAGGGACGTGCGGCACAAATGGGCATCCTTGCTCTCATGGTGCACGAACAGTTGGGAGTCTCTATCCTTCCTTAAAAATTTAATTTTCATTAGTTGCAGTCACTCCGCTTTGGTTTCGCTAGTGATAATAAGTGACTGAGGTATGTGCTCTTCTTATCTCCTTTTGTAGTGTTGCTCTTATTTTAAACAACTTTGCGGTTTTTTGATGACTTTGCGATTTTGTTGTTGCTTTGCAGTAAATTGCAAGATTTAATAAAAAAACGCAAAGCAATGATTAAAGGATGTTCAGAATGAAACTCATGGAAACACTTAACCAGTGCATAAACGCTGGTCATGAAATGACGAAGGCTATCGCCATTGCACAGTTTAATGATGACAGCCCGGAAGCGAGGAAAATAACCCGGCGCTGGAGAATAGGTGAAGCAGCGGATTTAGTTGGGGTTTCTTCTCAGGCTATCAGAGATGCCGAGAAAGCAGGGCGACTACCGCACCCGGATATGGAAATTCGAGGACGGGTTGAGCAACGTGTTGGTTATACAATTGAACAAATTAATCATATGCGTGATGTGTTTGGTACGCGATTGCGACGTGCTGAAGACGTATTTCCACCGGTGATCGGGGTTGCTGCCCATAAAGGTGGCGTTTACAAAACCTCAGTTTCTGTTCATCTTGCTCAGGATCTGGCTCTGAAGGGGCTACGTGTTTTGCTCGTGGAAGGTAACGACCCCCAGGGAACAGCCTCAATGTATCACGGATGGGTACCAGATCTTCATATTCATGCAGAAGACACTCTCCTGCCTTTCTATCTTGGGGAAAAGGACGATGTCACTTATGCAATAAAGCCCACTTGCTGGCCGGGGCTTGACATTATTCCTTCCTGTCTGGCTCTGCACCGTATTGAAACTGAGTTAATGGGCAAATTTGATGAAGGTAAACTGCCCACCGATCCACACCTGATGCTCCGACTGGCCATTGAAACTGTTGCTCATGACTATGATGTCATAGTTATTGACAGCGCGCCTAACCTGGGTATCGGCACGATTAATGTCGTATGTGCTGCTGATGTGCTGATTGTTCCCACGCCTGCTGAGTTGTTTGACTACACCTCCGCACTGCAGTTTTTCGATATGCTTCGTGATCTGCTCAAGAACGTTGATCTTAAAGGGTTCGAGCCTGATGTACGTATTTTGCTTACCAAATACAGCAATAGCAATGGCTCTCAGTCCCCGTGGATGGAGGAGCAAATTCGGGATGCCTGGGGAAGCATGGTTCTAAAAAATGTTGTACGTGAAACGGATGAAGTTGGTAAAGGTCAGATCCGGATGAGAACTGTTTTTGAACAGGCCATTGATCAACGCTCTTCAACTGGTGCCTGGAGAAATGCTCTTTCTATTTGGGAACCTGTCTGCAATGAAATTTTCGATCGTCTGATTAAACCACGCTGGGAGATTAGATAATGAAGCGTGCGCCTGTTATTCCAAAACATACGCTCAATACTCAACCGGTTGAAGATACTTCGTTATCGACACCAGCTGCCCCGATGGTGGATTCGTTAATTGCGCGCGTAGGAGTAATGGCTCGCGGTAATGCCATTACTTTGCCTGTATGTGGTCGGGATGTGAAGTTTACTCTTGAAGTGCTCCGGGGTGATAGTGTTGAGAAGACCTCTCGGGTATGGTCAGGTAATGAACGTGACCAGGAGCTGCTTACTGAGGACGCACTGGATGATCTCATCCCTTCTTTTCTACTGACTGGTCAACAGACACCGGCGTTCGGTCGAAGAGTATCTGGTGTCATAGAAATTGCCGATGGGAGTCGCCGTCGTAAAGCTGCTGCACTTACCGAAAGTGATTATCGTGTTCTGGTTGGCGAGCTGGATGATGAGCAGATGGCTGCATTATCCAGATTGGGTAACGATTATCGCCCAACAAGTGCTTATGAACGTGGTCAGCGTTATGCAAGCCGATTGCAGAATGAATTTGCTGGAAATATTTCTGCGCTGGCTGATGCGGAAAATATTTCACGTAAGATTATTACCCGCTGTATCAACACCGCCAAATTGCCTAAATCAGTTGTTGCTCTTTTTTCTCACCCCGGTGAACTATCTGCCCGGTCAGGTGATGCACTTCAAAAAGCCTTTACAGATAAAGAGGAATTACTTAAGCAGCAGGCATCTAACCTTCATGAGCAGAAAAAAGCTGGGGTGATATTTGAAGCTGAAGAAGTTATCACTCTTTTAACTTCTGTGCTTAAAACGTCATCTGCATCAAGAACTAGTTTAAGCTCACGACATCAGTTTGCTCCTGGAGCGACAGTATTGTATAAGGGCGATAAAATGGTGCTTAACCTGGACAGGTCTCGTGTTCCAACTGAGTGTATAGAGAAAATTGAGGCCATTCTTAAGGAACTTGAAAAGCCAGCACCCTGATGCGACCTCGTTTTAGTCTACGTTTATCTGTCTTTACTTAATGTCCTTTGTTACAGGCCAGAAAGCATAACTGGCCTGAATATTCTCTCTGGGCCCACTGTTCCACTTGTATCGTCGGTCTGATAATCAGACTGGGACCACGGTCCCACTCGTATCGTCGGTCTGATTATTAGTCTGGGACCACGGTCCCACTCGTATCGTCGGTCTGATTATTAGTCTGGGACCACGGTCCCACTCGTATCGTCGGTCTGATAATCAGACTGGGACCACGGTCCCACTCGTATCGTCGGTCTGATTATTAGTCTGGGACCATGGTCCCACTCGTATCGTCGGTCTGATTATTAGTCTGGGACCACGGTCCCACTCGTATCGTCGGTCTGATTATTAGTCTGGAACCACGGTCCCACTCGTATCGTCGGTCTGATTATTAGTCTGGGACCACGGTCCCACTCGTATCGTCGGTCTGATTATTAGTCTGGGACCACGATCCCACTCGTGTTGTCGGTCTGATTATCGGTCTGGGACCACGGTCCCACTTGTATTGTCGATCAGACTATCAGCGTGAGACTACGATTCCATCAATGCCTGTCAAGGGCAAGTATTGACATGTCGTCGTAACCTGTAGAACGGAGTAACCTCGGTGTGCGGTTGTATGCCTGCTGTGGATTGCTGCTGTGTCCTGCTTATCCACAACATTTTGCGCACGGTTATGTGGACAAAATACCTGGTTACCCAGGCCGTGCCGGCACGTTAACCGGGCTGCATCCGATGCAAGTGTGTCGCTGTCGACGAGCTCGCGAGCTCGGACATGAGGTTGCCCCGTATTCAGTGTCGCTGATTTGTATTGTCTGAAGTTGTTTTTACGTTAAGTTGATGCAGATCAATTAATACGATACCTGCGTCATAATTGATTATTTGACGTGGTTTGATGGCCTCCACGCACGTTGTGATATGTAGATGATAATCATTATCACTTTACGGGTCCTTTCCGGTGATCCGACAGGTTACGGGGCGGCGACCTCGCGGGTTTTCGCTATTTATGAAAATTTTCCGGTTTAAGGCGTTTCCGTTCTTCTTCGTCATAACTTAATGTTTTTATTTAAAATACCCTCTGAAAAGAAAGGAAACGACAGGTGCTGAAAGCGAGCTTTTTGGCCTCTGTCGTTTCCTTTCTCTGTTTTTGTCCGTGGAATGAACAATGGAAGTCCGAGCTCATCGCTAATAACTTCGTATAGCATACATTATACGAAGTTATA | 
References
- Śledziński, P.; Nowak-Terpiłowska, A.; Zeyland, J. Cannabinoids in medicine: Cancer, immunity, and microbial diseases. Int. J. Mol. Sci. 2020, 22, 263. [Google Scholar] [CrossRef]
 - Crocq, M.-A. History of cannabis and the endocannabinoid system. Dialogues Clin. Neurosci. 2020, 22, 223–228. [Google Scholar] [CrossRef]
 - Luo, X.; Reiter, M.A.; D’eSpaux, L.; Wong, J.; Denby, C.M.; Lechner, A.; Zhang, Y.; Grzybowski, A.T.; Harth, S.; Lin, W.; et al. Complete biosynthesis of cannabinoids and their unnatural analogues in yeast. Nature 2019, 567, 123–126. [Google Scholar] [CrossRef] [PubMed]
 - Lewis, M.M.; Yang, Y.; Wasilewski, E.; Clarke, H.A.; Kotra, L.P. Chemical profiling of medical cannabis extracts. ACS Omega 2017, 2, 6091–6103. [Google Scholar] [CrossRef] [PubMed]
 - Backer, R.; Schwinghamer, T.; Rosenbaum, P.; McCarty, V.; Bilodeau, S.E.; Lyu, D.; Ahmed, B.; Robinson, G.; Lefsrud, M.; Wilkins, O.; et al. Closing the yield gap for cannabis: A meta-analysis of factors determining cannabis yield. Front. Plant Sci. 2019, 10, 495. [Google Scholar] [CrossRef] [PubMed]
 - Hara, K.Y.; Morita, T.; Mochizuki, M.; Yamamoto, K.; Ogino, C.; Kondo, A. Development of bio-based fine chemical production through synthetic bioengineering. Microb. Cell Factories 2014, 13, 173. [Google Scholar] [CrossRef]
 - Clomburg, J.M.; Crumbley, A.M.; Gonzalez, R. Industrial biomanufacturing: The future of chemical production. Science 2017, 355, aag0804. [Google Scholar] [CrossRef]
 - Wilding, K.M.; Schinn, S.-M.; Long, E.A.; Bundy, B.C. The emerging impact of cell-free chemical biosynthesis. Curr. Opin. Biotechnol. 2018, 53, 115–121. [Google Scholar] [CrossRef]
 - Terol, G.L.; Gallego-Jara, J.; Martínez, R.A.S.; Díaz, M.C.; Puente, T.d.D. Engineering protein production by rationally choosing a carbon and nitrogen source using E. coli BL21 acetate metabolism knockout strains. Microb. Cell Factories 2019, 18, 151. [Google Scholar] [CrossRef]
 - Parapouli, M.; Vasileiadi, A.; Afendra, A.-S.; Hatziloukas, E. Saccharomyces cerevisiae and its industrial applications. AIMS Microbiol. 2020, 6, 1. [Google Scholar] [CrossRef]
 - Overkamp, K.M.; Bakker, B.M.; Kotter, P.; Luttik, M.A.H.; van Dijken, J.P.; Pronk, J.T. Metabolic engineering of glycerol production in Saccharomyces cerevisiae. Appl. Environ. Microbiol. 2002, 68, 2814–2821. [Google Scholar] [CrossRef] [PubMed]
 - Fantino, E.; Awwad, F.; Merindol, N.; Garza, A.M.D.; Gélinas, S.-E.; Robles, G.C.G.; Custeau, A.; Meddeb-Mouelhi, F.; Desgagné-Penix, I. Bioengineering Phaeodactylum tricornutum, a marine diatom, for cannabinoid biosynthesis. Algal Res. 2024, 77, 103379. [Google Scholar] [CrossRef]
 - Hempel, F.; Lau, J.; Klingl, A.; Maier, U.G. Algae as protein factories: Expression of a human antibody and the respective antigen in the diatom Phaeodactylum tricornutum. PLoS ONE 2011, 6, e28424. [Google Scholar] [CrossRef] [PubMed]
 - Branco-Vieira, M.; Martin, S.S.; Agurto, C.; Freitas, M.A.; Martins, A.A.; Mata, T.M.; Caetano, N.S. Biotechnological potential of Phaeodactylum tricornutum for biorefinery processes. Fuel 2020, 268, 117357. [Google Scholar] [CrossRef]
 - Cui, Y.; Thomas-Hall, S.R.; Chua, E.T.; Schenk, P.M. Development of high-level omega-3 eicosapentaenoic acid (EPA) production from Phaeodactylum tricornutum. J. Phycol. 2021, 57, 258–268. [Google Scholar] [CrossRef]
 - Awwad, F.; Fantino, E.I.; Héneault, M.; Diaz-Garza, A.M.; Merindol, N.; Custeau, A.; Gélinas, S.-E.; Meddeb-Mouelhi, F.; Li, J.; Lemay, J.-F.; et al. Bioengineering of the Marine Diatom Phaeodactylum tricornutum with Cannabis Genes Enables the Production of the Cannabinoid Precursor, Olivetolic Acid. Int. J. Mol. Sci. 2023, 24, 16624. [Google Scholar] [CrossRef]
 - Dhaouadi, F.; Awwad, F.; Diamond, A.; Desgagné-Penix, I. Diatoms’ breakthroughs in biotechnology: Phaeodactylum tricornutum as a model for producing high-added value molecules. Am. J. Plant Sci. 2020, 11, 1632–1670. [Google Scholar] [CrossRef]
 - Butler, T.O.; Padmaperuma, G.; Lizzul, A.M.; McDonald, J.; Vaidyanathan, S. Towards a Phaeodactylum tricornutum biorefinery in an outdoor UK environment. Bioresour. Technol. 2022, 344, 126320. [Google Scholar] [CrossRef]
 - Cui, Y.; Thomas-Hall, S.R.; Schenk, P.M. Phaeodactylum tricornutum microalgae as a rich source of omega-3 oil: Progress in lipid induction techniques towards industry adoption. Food Chem. 2019, 297, 124937. [Google Scholar] [CrossRef]
 - BioCyC. hexanoyl-CoA. 2024. Available online: https://biocyc.org/compound?orgid=PHAEO&id=HEXANOYL-COA#RXNS (accessed on 23 October 2024).
 - Fortunato, A.; Queller, D.C.; Strassmann, J.E.; Santorelli, L.A. Co-occurrence in nature of different clones of the social amoeba, Dictyostelium discoideum. Mol. Ecol. 2003, 12, 1031–1038. [Google Scholar] [CrossRef]
 - Aubry, L.; Firtel, R. Integration of signaling networks that regulate Dictyostelium differentiation. Annu. Rev. Cell Dev. Biol. 1999, 15, 469–517. [Google Scholar] [CrossRef]
 - Narita, T.B.; Ishida, M.; Namatame, M.; Ueda, M.; Suematsu, N.; Ohishi, K.; Urushihara, H.; Fukuzawa, H.; Shimada, N.; Enomoto, K.; et al. Dictyostelium hybrid polyketide synthase, SteelyA, produces 4-methyl-5-pentylbenzene-1, 3-diol and induces spore maturation. FEMS Microbiol. Lett. 2011, 319, 82–87. [Google Scholar] [CrossRef]
 - Reimer, C.; Poschmann, G.; Stühler, K.; Kruse, J.; Stork, T.; Schmitt, M.; Schulz, B.; Kayser, O.; Anjard, C.; Winckler, T. Engineering the amoeba Dictyostelium discoideum for biosynthesis of a cannabinoid precursor and other polyketides. Nat. Biotechnol. 2022, 40, 751–758. [Google Scholar] [CrossRef] [PubMed]
 - Anjard, C.; Su, Y.; Loomis, W.F. The polyketide MPBD initiates the SDF-1 signaling cascade that coordinates terminal differentiation in Dictyostelium. Eukaryot. Cell 2011, 10, 956–963. [Google Scholar] [CrossRef] [PubMed]
 - Ghosh, R.; Chhabra, S.; Phan, A.N.; Phan, Q.N.; Ennis, H.L.; Siu, C.H.; Alexander, S.; Eichinger, L.; Glöckner, G.; Loomis, W.F. Dissecting the functional role of polyketide synthases in Dictyostelium discoideum: Biosynthesis of the differentiation regulating factor 4-methyl-5-pentylbenzene-1, 3-diol. J. Biol. Chem. 2008, 283, 11348–11354. [Google Scholar] [CrossRef]
 - Mookerjee, S.; McCafferty, J.; Nachman, R.; Keasling, J.D. Method and Cell Line for Production of Phytocannabinoids and Phytocannabinoid Analogues in Yeast. Patent WO2018148848A1, 23 August 2018. [Google Scholar]
 - Diamond, A.; Desgagné-Penix, I.; Fantino, E.; Awwad, F.; Lemay, J.-F.; Meddeb-Mouelhi, F. Instability of extrachromosomal DNA transformed into the diatom Phaeodactylum tricornutum. Algal Res. 2023, 70, 102998. [Google Scholar] [CrossRef]
 - Karas, B.J.; Diner, R.E.; Lefebvre, S.C.; McQuaid, J.; Phillips, A.P.R.; Noddings, C.M.; Brunson, J.K.; Valas, R.E.; Deerinck, T.J.; Jablanovic, J.; et al. Designer diatom episomes delivered by bacterial conjugation. Nat. Commun. 2015, 6, 6925. [Google Scholar] [CrossRef]
 - Elso, C.M.; Roberts, L.J.; Smyth, G.K.; Thomson, R.J.; Baldwin, T.M.; Foote, S.J.; Handman, E. Leishmaniasis host response loci (lmr1-3) modify disease severity through a Th1/Th2-independent pathway. Genes Immun. 2004, 5, 93–100. [Google Scholar] [CrossRef]
 - Messaabi, A.; Awwad, F.; Fantino, E.; Desgagné-Penix, I. In vivo thrombin activity in the diatom Phaeodactylum tricornutum: Biotechnological insights. Appl. Microbiol. Biotechnol. 2024, 108, 481. [Google Scholar] [CrossRef]
 - Austin, M.B.; Saito, T.; Bowman, M.E.; Haydock, S.F.; Kato, A.; Moore, B.S.; Kay, R.R.; Noel, J.P. Biosynthesis of Dictyostelium discoideum differentiation-inducing factor by a hybrid type I fatty acid–type III polyketide synthase. Nat. Chem. Biol. 2006, 2, 494–502. [Google Scholar] [CrossRef]
 - Mital, S.; Christie, G.; Dikicioglu, D. Recombinant expression of insoluble enzymes in Escherichia coli: A systematic review of experimental design and its manufacturing implications. Microb. Cell Factories 2021, 20, 1–20. [Google Scholar] [CrossRef]
 - Athanasakoglou, A.; Kampranis, S.C.; Degenhardt, J.; Makris, A.M. Isoprenoid biosynthesis in the diatom Haslea ostrearia. New Phytol. 2019, 222, 230–243. [Google Scholar] [CrossRef]
 - Solá, R.J.; Griebenow, K. Effects of glycosylation on the stability of protein pharmaceuticals. J. Pharm. Sci. 2009, 98, 1223–1245. [Google Scholar] [CrossRef] [PubMed]
 - Stanley, P. Golgi glycosylation. Cold Spring Harb. Perspect. Biol. 2011, 3, a005199. [Google Scholar] [CrossRef] [PubMed]
 - Dumontier, R.; Loutelier-Bourhis, C.; Walet-Balieu, M.-L.; Burel, C.; Mareck, A.; Afonso, C.; Lerouge, P.; Bardor, M. Identification of N-glycan oligomannoside isomers in the diatom Phaeodactylum tricornutum. Carbohydr. Polym. 2021, 259, 117660. [Google Scholar] [CrossRef]
 - Mathieu-Rivet, E.; Kiefer-Meyer, M.-C.; Vanier, G.; Ovide, C.; Burel, C.; Lerouge, P.; Bardor, M. Protein N-glycosylation in eukaryotic microalgae and its impact on the production of nuclear expressed biopharmaceuticals. Front. Plant Sci. 2014, 5, 359. [Google Scholar] [CrossRef]
 - Sharma, N.; Simon, D.P.; Diaz-Garza, A.M.; Fantino, E.; Messaabi, A.; Meddeb-Mouelhi, F.; Germain, H.; Desgagn-Penix, I. Diatoms Biotechnology: Various Industrial Applications for a Greener Tomorrow. Front. Mar. Sci. 2021, 8, 636613. [Google Scholar] [CrossRef]
 





| Compound Name | Verified m/z in M + H+ | 
|---|---|
| Triketide acyl pyrone (=4-hydroxy-6-propyl-pyran-2-one) | 156 | 
| Olivetol | 181 | 
| Triketide pyrone | 182 | 
| Methyl olivetol and MPBD (4-methyl-5-pentylbenzene-1,3-diol) | 195 | 
| Tetraketide acyl pyrone (=4-hydroxy-6-(2-oxo-pentyl)-pyran-2-one) | 196 | 
| Olivetolic acid | 225 | 
| Tetraketide pyrone | 225 | 
| Naringenin chalcone | 273 | 
Disclaimer/Publisher’s Note: The statements, opinions and data contained in all publications are solely those of the individual author(s) and contributor(s) and not of MDPI and/or the editor(s). MDPI and/or the editor(s) disclaim responsibility for any injury to people or property resulting from any ideas, methods, instructions or products referred to in the content.  | 
© 2025 by the authors. Licensee MDPI, Basel, Switzerland. This article is an open access article distributed under the terms and conditions of the Creative Commons Attribution (CC BY) license (https://creativecommons.org/licenses/by/4.0/).
Share and Cite
Sene, N.; Lamichhane, B.; Gélinas, S.-E.; Custeau, A.; Merindol, N.; Meddeb-Mouelhi, F.; Desgagné-Penix, I. Production of Dictyostelium discoideum Hybrid Type Enzyme SteelyA in the Diatom Phaeodactylum tricornutum. Appl. Sci. 2025, 15, 11679. https://doi.org/10.3390/app152111679
Sene N, Lamichhane B, Gélinas S-E, Custeau A, Merindol N, Meddeb-Mouelhi F, Desgagné-Penix I. Production of Dictyostelium discoideum Hybrid Type Enzyme SteelyA in the Diatom Phaeodactylum tricornutum. Applied Sciences. 2025; 15(21):11679. https://doi.org/10.3390/app152111679
Chicago/Turabian StyleSene, Nicolas, Basanta Lamichhane, Sarah-Eve Gélinas, Alexandre Custeau, Natacha Merindol, Fatma Meddeb-Mouelhi, and Isabel Desgagné-Penix. 2025. "Production of Dictyostelium discoideum Hybrid Type Enzyme SteelyA in the Diatom Phaeodactylum tricornutum" Applied Sciences 15, no. 21: 11679. https://doi.org/10.3390/app152111679
APA StyleSene, N., Lamichhane, B., Gélinas, S.-E., Custeau, A., Merindol, N., Meddeb-Mouelhi, F., & Desgagné-Penix, I. (2025). Production of Dictyostelium discoideum Hybrid Type Enzyme SteelyA in the Diatom Phaeodactylum tricornutum. Applied Sciences, 15(21), 11679. https://doi.org/10.3390/app152111679
        
