Customized Maxillary Skeletal Expander—Literature Review and Presentation of a New Digital Approach for Planning, Fabrication and Delivery
Abstract
1. Introduction
- The bone-anchored maxillary expander (BAME), with two custom-made stainless steel implants, two mini screws and no direct contact with the teeth [13].
- The C-expander, a bone-borne system supported by four mini-implants connected to the expander screw by an acrylic resin layer [14].
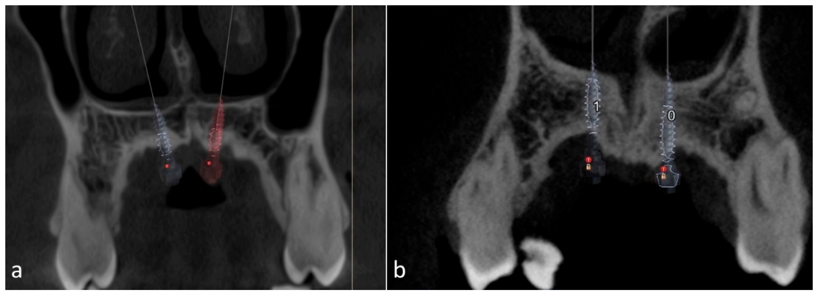
- The Benefit system introduced by Dr. Benedict Wilmes et al. in 2008 (Benefit system, PSM Medical Solutions, Tuttlingen, Germany) that uses two mini-implants placed in the anterior zone of the palate behind the second palatal rugae and arms on each side soldered to the molar bands [27]. An example of a 3D simulation for the anterior positioning of the two mini-implants, performed for a patient from our clinic, can be seen in Figure 1.
- The MSE system designed by Dr. Won Moon (Biomaterials Korea, Seoul, Republic of Korea) that has a jackscrew component with four parallel holes for mini-implant insertion and supporting arms on both sides soldered to the molar bands, aiming to stabilize the device’s position during expansion. Regularly, the position of the appliance is between the two zygomatic-maxillary buttresses, frequently located at the level of the first molars, so the mini screws are located just anteriorly to the soft palate [10,28]. An example of the posterior positioning of the MSE jackscrew with four mini-implants performed for a patient in our clinic, can be seen in Figure 2.
2. Materials and Methods
2.1. MSE System Description
2.2. Mandatory Dental Records—Using CBCT for Treatment Planning
2.3. Digital Workflow
3. Discussions
4. Conclusions
Author Contributions
Funding
Institutional Review Board Statement
Informed Consent Statement
Data Availability Statement
Conflicts of Interest
Abbreviations
| MSE | Maxillary Skeletal Expander |
| SME | Slow Maxillary Expansion |
| RME | Rapid Maxillary Expansion |
| MARPE | Mini-Implant-Assisted Rapid Palatal Expansion |
| SARPE | Surgically Assisted Rapid Palatal Expansion |
| BAME | Bone-Anchored Maxillary Expander |
| CBCT | Cone Beam Computed Tomography |
| CAM | Computer-Aided Manufacturing |
| stl | Stereo-Lithographic Files |
References
- Kravitz, N.D.; Groth, C.; Jones, P.E.; Graham, J.W.; Redmond, W.R. Intraoral digital scanners. J. Clin. Orthod. JCO 2014, 48, 337–347. [Google Scholar]
- Jheon, A.H.; Oberoi, S.; Solem, R.C.; Kapila, S. Moving towards precision orthodontics: An evolving paradigm shift in the planning and delivery of customized orthodontic therapy. Orthod. Craniofacial Res. 2017, 20 (Suppl. S1), 106–113. [Google Scholar] [CrossRef]
- Cantarella, D.; Savio, G.; Grigolato, L.; Zanata, P.; Berveglieri, C.; Lo Giudice, A.; Isola, G.; Del Fabbro, M.; Moon, W. A New Methodology for the Digital Planning of Micro-Implant-Supported Maxillary Skeletal Expansion. Med. Devices 2020, 13, 93–106. [Google Scholar] [CrossRef] [PubMed]
- Wang, Y.T.; Yu, J.H.; Lo, L.J.; Hsu, P.H.; Lin, C.L. Developing Customized Dental Miniscrew Surgical Template from Thermoplastic Polymer Material Using Image Superimposition, CAD System, and 3D Printing. BioMed Res. Int. 2017, 2017, 1906197. [Google Scholar] [CrossRef] [PubMed]
- Adkins, M.D.; Nanda, R.S.; Currier, G.F. Arch perimeter changes on rapid palatal expansion. Am. J. Orthod. Dentofac. Orthop. 1990, 97, 194–199. [Google Scholar] [CrossRef]
- Bucci, R.; D’Anto, V.; Rongo, R.; Valletta, R.; Martina, R.; Michelotti, A. Dental and skeletal effects of palatal expansion techniques: A systematic review of the current evidence from systematic reviews and meta-analyses. J. Oral. Rehabil. 2016, 43, 543–564. [Google Scholar] [CrossRef] [PubMed]
- Lagravère, M.O.; Carey, J.; Heo, G.; Toogood, R.W.; Major, P.W. Transverse, vertical, and anteroposterior changes from bone-anchored maxillary expansion vs. traditional rapid maxillary expansion: A randomized clinical trial. Am. J. Orthod. Dentofac. Orthop. 2010, 137, e1–e12; discussion 304–305. [Google Scholar] [CrossRef] [PubMed]
- Hammad, Y.; Hafez, A.; Fouda, M. Rapid maxillary expansion using bone anchored Hybrid Hyrax appliance in adolescent females. Aust. J. Basic Appl. Sci. 2016, 10, 152–161. [Google Scholar]
- Suri, L.; Taneja, P. Surgically assisted rapid palatal expansion: A literature review. Am. J. Orthod. Dentofac. Orthop. 2008, 133, 290–302. [Google Scholar] [CrossRef] [PubMed]
- Lo Giudice, A.; Quinzi, V.; Ronsivalle, V.; Martina, S.; Bennici, O.; Isola, G. Description of a Digital Work-Flow for CBCT-Guided Construction of Micro-Implant Supported Maxillary Skeletal Expander. Materials 2020, 13, 1815. [Google Scholar] [CrossRef]
- Zhou, Y.; Long, H.; Ye, N.; Xue, J.; Yang, X.; Liao, L.; Lai, W. The effectiveness of non-surgical maxillary expansion: A meta-analysis. Eur. J. Orthod. 2014, 36, 233–242. [Google Scholar] [CrossRef]
- Lo Giudice, A.; Barbato, E.; Cosentino, L.; Ferraro, C.M.; Leonardi, R. Alveolar bone changes after rapid maxillary expansion with tooth-born appliances: A systematic review. Eur. J. Orthod. 2018, 40, 296–303. [Google Scholar] [CrossRef]
- Oh, H.S.; Park, J.; Lagravere-Vich, M.O. Comparison of traditional RPE with two types of micro-implant assisted RPE: CBCT study. Semin. Orthodontics. 2019, 25, 60–68. [Google Scholar] [CrossRef]
- Lin, L.; Ahn, H.W.; Kim, S.J.; Moon, S.C.; Kim, S.H.; Nelson, G. Tooth-borne vs bone-borne rapid maxillary expanders in late adolescence. Angle Orthod. 2015, 85, 253–262. [Google Scholar] [CrossRef] [PubMed]
- Lagravere, M.O.; Major, P.W.; Flores-Mir, C. Long-term skeletal changes with rapid maxillary expansion: A systematic review. Angle Orthod. 2005, 75, 1046–1052. [Google Scholar] [CrossRef] [PubMed]
- Garib, D.G.; Henriques, J.F.; Janson, G.; de Freitas, M.R.; Fernandes, A.Y. Periodontal effects of rapid maxillary expansion with tooth-tissue-borne and tooth-borne expanders: A computed tomography evaluation. Am. J. Orthod. Dentofac. Orthop. 2006, 129, 749–758. [Google Scholar] [CrossRef] [PubMed]
- Greenbaum, K.R.; Zachrisson, B.U. The effect of palatal expansion therapy on the periodontal supporting tissues. Am. J. Orthod. 1982, 81, 12–21. [Google Scholar] [CrossRef]
- Garib, D.G.; Henriques, J.F.; Janson, G.; Freitas, M.R.; Coelho, R.A. Rapid maxillary expansion–tooth tissue-borne versus tooth-borne expanders: A computed tomography evaluation of dentoskeletal effects. Angle Orthod. 2005, 75, 548–557. [Google Scholar] [CrossRef]
- Revelo, B.; Fishman, L.S. Maturational evaluation of ossification of the midpalatal suture. Am. J. Orthod. Dentofac. Orthop. 1994, 105, 288–292. [Google Scholar] [CrossRef]
- Suzuki, H.; Moon, W.; Previdente, L.H.; Suzuki, S.S.; Garcez, A.S.; Consolaro, A. Miniscrew-assisted rapid palatal expander (MARPE): The quest for pure orthopedic movement. Dent. Press J. Orthod. 2016, 21, 17–23. [Google Scholar] [CrossRef]
- Haas, A.J. Rapid expansion of the maxillary dental arch and nasal cavity by opening the mid-palatal suture. Angle Orthod. 1961, 31, 73–90. [Google Scholar]
- Persson, M.; Thilander, B. Palatal suture closure in man from 15 to 35 years of age. Am. J. Orthod. 1977, 72, 42–52. [Google Scholar] [CrossRef] [PubMed]
- Melsen, B. Palatal growth studied on human autopsy material. A histologic microradiographic study. Am. J. Orthod. 1975, 68, 42–54. [Google Scholar] [CrossRef] [PubMed]
- Knaup, B.; Yildizhan, F.; Wehrbein, H. Age-related changes in the midpalatal suture. A Histomorphometric study. J. Orofac. Orthop. 2004, 65, 467–474. [Google Scholar] [CrossRef] [PubMed]
- Angelieri, F.; Cevidanes, L.H.; Franchi, L.; Gonçalves, J.R.; Benavides, E.; McNamara, J.A., Jr. Midpalatal suture maturation: Classification method for individual assessment before rapid maxillary expansion. Am. J. Orthod. Dentofac. Orthop. 2013, 144, 759–769. [Google Scholar] [CrossRef] [PubMed] [PubMed Central]
- Vidalón, J.A.; Loú-Gómez, I.; Quiñe, A.; Diaz, K.T.; Liñan Duran, C.; Lagravère, M.O. Periodontal effects of maxillary expansion in adults using non-surgical expanders with skeletal anchorage vs. surgically assisted maxillary expansion: A systematic review. Head Face Med. 2021, 17, 47. [Google Scholar] [CrossRef]
- Bräutigam, M.; Wilmes, B.; Tarraf, N.E.; Drescher, D. Surgically assisted rapid maxillary expansion in lingual orthodontics—Optimizing of coupling and timing: Best oral presentation from the 21st Meeting of German Society of Lingual Orthodontics. Head Face Med. 2018, 14, 16. [Google Scholar] [CrossRef]
- Paredes, N.; Colak, O.; Sfogliano, L.; Elkenawy, I.; Fijany, L.; Fraser, A.; Zhang, B.; Moon, W. Differential assessment of skeletal, alveolar, and dental components induced by microimplant-supported midfacial skeletal expander (MSE), utilizing novel angular measurements from the fulcrum. Prog. Orthod. 2020, 21, 18. [Google Scholar] [CrossRef]
- Brunetto, D.P.; Sant’Anna, E.F.; Machado, A.W.; Moon, W. Non-surgical treatment of transverse deficiency in adults using Microimplant-assisted Rapid Palatal Expansion (MARPE). Dent. Press J. Orthod. 2017, 22, 110–125. [Google Scholar] [CrossRef]
- Kumar, N.; Desai, A.; Nambiar, S.; Shetty, S. Miniscrew Assisted Rapid Palatal Expansion (Marpe)—Expanding Horizons to Achieve an Optimum in Transverse Dimension: A Review. Eur. J. Mol. Clin. Med. 2021, 8, 389–403. [Google Scholar]
- Lee, R.J.; Moon, W.; Hong, C. Effects of monocortical and bicortical mini-implant anchorage on bone-borne palatal expansion using finite element analysis. Am. J. Orthod. Dentofac. Orthop. 2017, 151, 887–897. [Google Scholar] [CrossRef]
- Palone, M.; Gasperoni, I.; Cremonini, F.; Maino, G.B.; Paoletto, E.; Pramstraller, M.; Lombardo, L. Multipurpose miniscrew-anchored palatal appliance combined with a fixed multibracket appliance to correct a Class II Division 2 malocclusion with maxillary constriction and impacted upper canine in a 13-year-old girl: A case report. Int Orthod. 2025, 23, 100984. [Google Scholar] [CrossRef] [PubMed]
- Gupta, V.; Rai, P.; Tripathi, T.; Kanase, A. Stress distribution and displacement with four different types of MARPE on craniofacial complex: A three-dimensional finite element analysis. Int Orthod. 2023, 21, 100813. [Google Scholar] [CrossRef] [PubMed]
- McMullen, C.; Al Turkestani, N.N.; Ruellas, A.C.O.; Massaro, C.; Rego, M.V.N.N.; Yatabe, M.S.; Kim-Berman, H.; McNamara, J.A., Jr.; Angelieri, F.; Franchi, L.; et al. Three-dimensional evaluation of skeletal and dental effects of treatment with maxillary skeletal expansion. Am. J. Orthod. Dentofac. Orthop. 2022, 161, 666–678. [Google Scholar] [CrossRef] [PubMed] [PubMed Central]
- Fukawa, R.; Moon, W.; Deguchi, T.; Aga, M. Posterior crossbite with mandibular asymmetry treated with lingual appliances, maxillary skeletal expanders, and alveolar bone miniscrews. Am. J. Orthod. Dentofac. Orthop. 2022, 161, 293–312.e1. [Google Scholar] [CrossRef] [PubMed]
- Lee, K.J.; Park, Y.C.; Park, J.Y.; Hwang, W.S. Miniscrew-assisted nonsurgical palatal expansion before orthognathic surgery for a patient with severe mandibular prognathism. Am. J. Orthod. Dentofac. Orthop. 2010, 137, 830–839. [Google Scholar] [CrossRef]
- da Cunha, A.C.; Lee, H.-D.; Nojima, L.; Nojima, M.G.; Lee, K.-J. Miniscrew-assisted rapid palatal expansion for managing arch perimeter in an adult patient. Dent. Press J. Orthod. 2017, 22, 97–108. [Google Scholar] [CrossRef]
- Clarenbach, T.H.; Wilmes, B.; Ihssen, B.; Vasudavan, S.; Drescher, D. Hybrid hyrax distalizer and mentoplate for rapid palatal expansion, class III treatment, and upper molar distalization. J. Clin. Orthod. JCO 2017, 51, 317–325. [Google Scholar]
- Carlson, C.; Sung, J.; McComb, R.W.; Machado, A.W.; Moon, W. Microimplant-assisted rapid palatal expansion appliance to orthopedically correct transverse maxillary deficiency in an adult. Am. J. Orthod. Dentofac. Orthop. Off. Publ. Am. Assoc. Orthod. Its Const. Soc. Am. Board Orthod. 2016, 149, 716–728. [Google Scholar] [CrossRef]
- Garib, D.; Miranda, F.; Palomo, J.M.; Pugliese, F.; da Cunha Bastos, J.C.; Dos Santos, A.M.; Janson, G. Orthopedic outcomes of hybrid and conventional Hyrax expanders. Angle Orthod. 2021, 91, 178–186. [Google Scholar] [CrossRef]
- Lee, D.W.; Park, J.H.; Moon, W.; Seo, H.Y.; Chae, J.M. Effects of bicortical anchorage on pterygopalatine suture opening with microimplant-assisted maxillary skeletal expansion. Am. J. Orthod. Dentofac. Orthop. 2021, 159, 502–511. [Google Scholar] [CrossRef]
- Colak, O.; Paredes, N.A.; Elkenawy, I.; Torres, M.; Bui, J.; Jahangiri, S.; Moon, W. Tomographic assessment of palatal suture opening pattern and pterygopalatine suture disarticulation in the axial plane after midfacial skeletal expansion. Prog. Orthod. 2020, 21, 21. [Google Scholar] [CrossRef] [PubMed]
- Buso-Frost, L.; Fillion, D. An Overall View of the Different Laboratory Procedures Used in Conjunction with Lingual Orthodontics. Semin. Orthod. 2006, 12, 203–210. [Google Scholar] [CrossRef]
- Akin, M.; Akgul, Y.E.; Ileri, Z.; Basciftci, F.A. Three-dimensional evaluation of hybrid expander appliances: A pilot study. Angle Orthod. 2016, 86, 81–86. [Google Scholar] [CrossRef] [PubMed]
- Harrell, W.E. 3D diagnosis and treatment planning in orthodontics. Semin. Orthod. 2009, 15, 35–41. [Google Scholar] [CrossRef]
- Abduo, J.; Lau, D. Accuracy of static computer-assisted implant placement in long span edentulous area by novice implant clinicians: A cross-sectional in vitro study comparing fully-guided, pilot-guided, and freehand implant placement protocols. Clin. Implant Dent. Relat. Res. 2021, 23, 361–372. [Google Scholar] [CrossRef]
- Unsal, G.S.; Turkyilmaz, I.; Lakhia, S. Advantages and limitations of implant surgery with CAD/CAM surgical guides: A literature review. J. Clin. Exp. Dent. 2020, 12, e409–e417. [Google Scholar] [CrossRef]
- Colombo, M.; Mangano, C.; Mijiritsky, E.; Krebs, M.; Hauschild, U.; Fortin, T. Clinical applications and effectiveness of guided implant surgery: A critical review based on randomized controlled trials. BMC Oral Health 2017, 17, 150. [Google Scholar] [CrossRef]
- De Gabriele, O.; Dallatana, G.; Riva, R.; Vasudavan, S.; Wilmes, B. The easy driver for placement of palatal mini-implants and a maxillary expander in a single appointment. J. Clin. Orthod. JCO 2017, 51, 728–737. [Google Scholar]
- Cantarella, D.; Karanxha, L.; Zanata, P.; Moschik, C.; Torres, A.; Savio, G.; Del Fabbro, M.; Moon, W. Digital Planning and Manufacturing of Maxillary Skeletal Expander for Patients with Thin Palatal Bone. Med. Devices 2021, 14, 299–311. [Google Scholar] [CrossRef]
- Graf, S.; Vasudavan, S.; Wilmes, B. CAD-CAM design and 3-dimensional printing of mini-implant retained orthodontic appliances. Am. J. Orthod. Dentofac. Orthop. 2018, 154, 877–882. [Google Scholar] [CrossRef] [PubMed]
- Ludwig, B.; Glasl, B.; Bowman, S.J.; Wilmes, B.; Kinzinger, G.S.; Lisson, J.A. Anatomical guidelines for miniscrew insertion: Palatal sites. J. Clin. Orthod. JCO 2011, 45, 433–467. [Google Scholar] [PubMed]
- Winsauer, H.; Walter, A.; Jaeschke, D.; Winsauer, C.; Muchitsch, A.; Wendl, B. Pure bone-borne palatal expander anchored on orthodontic mini-implants Micro-4 or Micro-6 Expander. J. Stomatol. 2015, 68, 6–18. [Google Scholar] [CrossRef]
- Benefit, W.; Drescher, D. Conventional versus digital workflows for palatal TADs? Semin. Orthod. 2025, 31, 81–90. [Google Scholar]
- Hsu, L.F.; Moon, W.; Chen, S.C.; Chang, K.W. Digital workflow for mini-implant-assisted rapid palatal expander fabrication-a case report. BMC Oral Health 2023, 23, 887. [Google Scholar] [CrossRef] [PubMed] [PubMed Central]











| SOFTWARE |
|---|
| 3SHAPE DENTAL SYSTEM |
| REAL GUIDE |
| DOLPHIN IMAGING |
| 3D LEONE |
| ONYXCEPH |
| DELTAFACE |
| ONDEMAND 3D |
Disclaimer/Publisher’s Note: The statements, opinions and data contained in all publications are solely those of the individual author(s) and contributor(s) and not of MDPI and/or the editor(s). MDPI and/or the editor(s) disclaim responsibility for any injury to people or property resulting from any ideas, methods, instructions or products referred to in the content. |
© 2025 by the authors. Licensee MDPI, Basel, Switzerland. This article is an open access article distributed under the terms and conditions of the Creative Commons Attribution (CC BY) license (https://creativecommons.org/licenses/by/4.0/).
Share and Cite
Andrei, O.C.; Dinescu, M.I.; Ciavoi, G.; Todor, L.; Scrobotă, I.; Farcaşiu, C.; Potra Cicalău, G.I.; Moca, A.E.; Bisoc, A. Customized Maxillary Skeletal Expander—Literature Review and Presentation of a New Digital Approach for Planning, Fabrication and Delivery. Appl. Sci. 2025, 15, 9511. https://doi.org/10.3390/app15179511
Andrei OC, Dinescu MI, Ciavoi G, Todor L, Scrobotă I, Farcaşiu C, Potra Cicalău GI, Moca AE, Bisoc A. Customized Maxillary Skeletal Expander—Literature Review and Presentation of a New Digital Approach for Planning, Fabrication and Delivery. Applied Sciences. 2025; 15(17):9511. https://doi.org/10.3390/app15179511
Chicago/Turabian StyleAndrei, Oana Cella, Mirela Ileana Dinescu, Gabriela Ciavoi, Liana Todor, Ioana Scrobotă, Cătălina Farcaşiu, Georgiana Ioana Potra Cicalău, Abel Emanuel Moca, and Adriana Bisoc. 2025. "Customized Maxillary Skeletal Expander—Literature Review and Presentation of a New Digital Approach for Planning, Fabrication and Delivery" Applied Sciences 15, no. 17: 9511. https://doi.org/10.3390/app15179511
APA StyleAndrei, O. C., Dinescu, M. I., Ciavoi, G., Todor, L., Scrobotă, I., Farcaşiu, C., Potra Cicalău, G. I., Moca, A. E., & Bisoc, A. (2025). Customized Maxillary Skeletal Expander—Literature Review and Presentation of a New Digital Approach for Planning, Fabrication and Delivery. Applied Sciences, 15(17), 9511. https://doi.org/10.3390/app15179511

