Idiopathic Unilateral Extraocular Myositis in a Poorly Controlled Diabetic Patient: A Case Report and a Review of the Literature
Abstract
1. Introduction
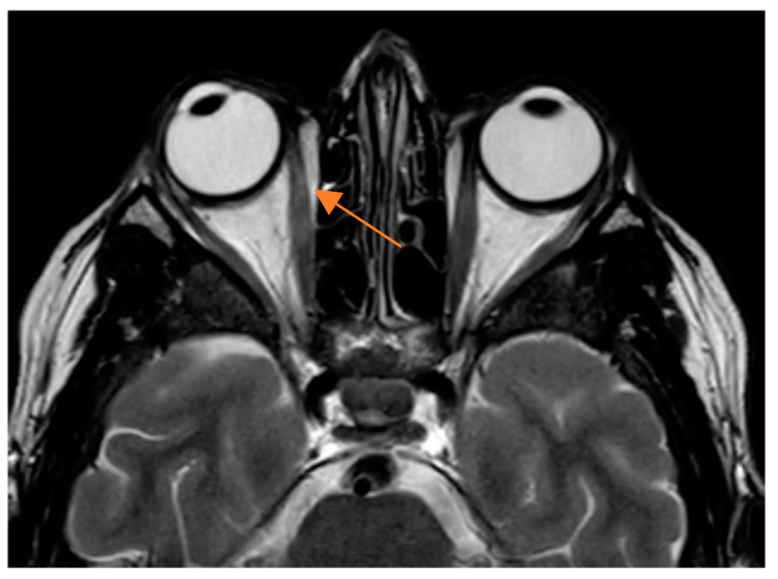
2. Case Report
3. Narrative Review
3.1. Methods
3.2. Imaging Findings of Orbital Myositis
3.3. Differential Diagnosis of Orbital Myositis Through Imaging
4. Discussion
5. Conclusions
Author Contributions
Funding
Institutional Review Board Statement
Informed Consent Statement
Data Availability Statement
Conflicts of Interest
References
- Swamy, B.N.; McCluskey, P.; Nemet, A.; Crouch, R.; Martin, P.; Benger, R.; Ghabriel, R.; Wakefield, D. Idiopathic Orbital Inflammatory Syndrome: Clinical Features and Treatment Outcomes. Br. J. Ophthalmol. 2007, 91, 1667–1670. [Google Scholar] [CrossRef]
- Yeşiltaş, Y.; Gündüz, A. Idiopathic Orbital Inflammation: Review of Literature and New Advances. Middle East Afr. J. Ophthalmol. 2018, 25, 71–80. [Google Scholar]
- Yan, J.; Wu, P. Idiopathic Orbital Myositis. J. Craniofacial Surg. 2014, 25, 884–887. [Google Scholar] [CrossRef] [PubMed]
- Pakdaman, M.N. Orbital Inflammatory Disease: Pictorial Review and Differential Diagnosis. World J. Radiol. 2014, 6, 106. [Google Scholar] [CrossRef] [PubMed]
- Kmeid, M.; Medrea, I. Review of Tolosa-Hunt Syndrome, Recent Updates. Curr. Pain Headache Rep. 2023, 27, 843–849. [Google Scholar] [CrossRef] [PubMed]
- McNab, A.A. Orbital Myositis: A Comprehensive Review and Reclassification. Ophthalmic Plast. Reconstr. Surg. 2020, 36, 109–117. [Google Scholar] [CrossRef]
- Kang, M.S.; Yang, H.K.; Kim, N.; Hwang, J.-M. Clinical Features of Ocular Motility in Idiopathic Orbital Myositis. J. Clin. Med. 2020, 9, 1165. [Google Scholar] [CrossRef] [PubMed]
- Jakobiec, F.A.; Syed, Z.A.; Stagner, A.M.; Harris, G.J.; Rootman, J.; Yoon, M.K.; Mombaerts, I. Orbital Inflammation in Pregnant Women. Am. J. Ophthalmol. 2016, 166, 91–102. [Google Scholar] [CrossRef]
- Mombaerts, I.; McNab, A.A. Idiopathic Orbital Myositis Revisited. Curr. Rheumatol. Rep. 2022, 24, 20–26. [Google Scholar] [CrossRef] [PubMed]
- Mombaerts, I.; Bilyk, J.R.; Rose, G.E.; McNab, A.A.; Fay, A.; Dolman, P.J.; Allen, R.C.; Devoto, M.H.; Harris, G.J. Consensus on Diagnostic Criteria of Idiopathic Orbital Inflammation Using a Modified Delphi Approach. JAMA Ophthalmol. 2017, 135, 769. [Google Scholar] [CrossRef]
- Dagi Glass, L.R.; Freitag, S.K. Orbital Inflammation: Corticosteroids First. Surv. Ophthalmol. 2016, 61, 670–673. [Google Scholar] [CrossRef]
- Ominde, B.S.; Abadom, G.E.; Ikubor, J.E.; Achapu, L.C.; Igbigbi, P.S. Normal Diameters of Extraocular Muscles: A Nigerian Retrospective Study. Niger. Postgrad. Med. J. 2024, 31, 147–155. [Google Scholar] [CrossRef] [PubMed]
- Ribeiro, R.T.; Macedo, M.P.; Raposo, J.F. HbA1c, Fructosamine, and Glycated Albumin in the Detection of Dysglycaemic Conditions. Curr. Diabetes Rev. 2016, 12, 14–19. [Google Scholar] [CrossRef] [PubMed]
- Abouelatta, M.M.; Shalaby, O.E.S.; Awara, A.M.; Kikkawa, D.O.; Eldesouky, M.A. Review Article: Diagnosis and Management of Enlarged Extraocular Muscles. Taiwan J. Ophthalmol. 2024, 14, 209–216. [Google Scholar] [CrossRef] [PubMed]
- Lee, E.J.; Jung, S.L.; Kim, B.S.; Ahn, K.J.; Kim, Y.J.; Jung, A.K.; Park, C.S.; Song, S.-Y.; Park, N.H.; Kim, M.S. MR Imaging of Orbital Inflammatory Pseudotumors with Extraorbital Extension. Korean J. Radiol. 2005, 6, 82–88. [Google Scholar] [CrossRef] [PubMed]
- Ang, T.; Tong, J.Y.; Patel, S.; Hardy, T.G.; McNab, A.; Selva, D. Magnetic Resonance Imaging of Idiopathic Orbital Myositis. Ophthalmic Plast. Reconstr. Surg. 2024, 40, 544–551. [Google Scholar] [CrossRef] [PubMed]
- Önder, Ö.; Bilgin, R.R.; Köşkderelioğlu, A.; Gedizlioğlu, M. Orbital Myositis: Evaluating Five New Cases Regarding Clinical and Radiological Features. Noro Psikiyatr. Ars. 2016, 53, 173–177. [Google Scholar] [CrossRef] [PubMed]
- Schoser, B.G. Ocular Myositis: Diagnostic Assessment, Differential Diagnoses, and Therapy of a Rare Muscle Disease-Fi ve New Cases and Review. Clin. Ophthalmol. 2007, 1, 37–42. [Google Scholar]
- Montagnese, F.; Wenninger, S.; Schoser, B. “Orbiting around” the Orbital Myositis: Clinical Features, Differential Diagnosis and Therapy. J. Neurol. 2016, 263, 631–640. [Google Scholar] [CrossRef]
- Tatsumi, F.; Fushimi, Y.; Sanada, J.; Shimoda, M.; Kohara, K.; Kimura, T.; Obata, A.; Nakanishi, S.; Mune, T.; Kaku, K.; et al. Idiopathic Bilateral Extraocular Myositis in a Subject with Poorly Controlled Type 2 Diabetes Mellitus: Case Report. Front. Med. 2021, 8, 700307. [Google Scholar] [CrossRef] [PubMed]
- Ronquillo, Y.; Zeppieri, M.; Patel, B.C. Nonspecific Orbital Inflammation; StatPearls Publishing: Tampa, FL, USA, 2024. [Google Scholar]
- Chaudhry, I.; Shamsi, F.; Arat, Y.; Riley, F. Orbital Pseudotumor: Distinct Diagnostic Features and Management. Middle East Afr. J. Ophthalmol. 2008, 15, 17. [Google Scholar] [CrossRef]
- Yoon, M.K.; Lu, J.E. An Evidence-Based Approach to Diagnosing Patients Presenting With Orbital Inflammatory Syndromes (An American Ophthalmological Society Thesis). Am. J. Ophthalmol. 2024, 266, 156–181. [Google Scholar] [CrossRef] [PubMed]
- Mombaerts, I.; Rose, G.E.; Verity, D.H. Diagnosis of Enlarged Extraocular Muscles. Curr. Opin. Ophthalmol. 2017, 28, 514–521. [Google Scholar] [CrossRef] [PubMed]
- Inaba, H.; Hayakawa, T.; Miyamoto, W.; Takeshima, K.; Yamaoka, H.; Furukawa, Y.; Kawashima, H.; Ariyasu, H.; Wakasaki, H.; Furuta, H.; et al. IgG4-Related Ocular Adnexal Disease Mimicking Thyroid-Associated Orbitopathy. Intern. Med. 2013, 52, 2545–2551. [Google Scholar] [CrossRef]
- Costa, R.M.S.; Dumitrascu, O.M.; Gordon, L.K. Orbital Myositis: Diagnosis and Management. Curr. Allergy Asthma Rep. 2009, 9, 316–323. [Google Scholar] [CrossRef] [PubMed]
- Kiliç, T.; Elmaci, I.; Bayri, Y.; Pamir, M.N.; Erzen, C. Value of Transcranial Doppler Ultrasonography in the Diagnosis and Follow-up of Carotid-Cavernous Fistulae. Acta Neurochir. 2001, 143, 1257–1264, discussion 1264–1265. [Google Scholar] [CrossRef] [PubMed]
- Fatima, Z.; Ichikawa, T.; Ishigame, K.; Motosugi, U.; Waqar, A.B.; Hori, M.; Iijima, H.; Araki, T. Orbital Masses: The Usefulness of Diffusion-Weighted Imaging in Lesion Categorization. Clin. Neuroradiol. 2014, 24, 129–134. [Google Scholar] [CrossRef] [PubMed]
- Abràmoff, M.D.; Van Gils, A.P.; Jansen, G.H.; Mourits, M.P. MRI Dynamic Color Mapping: A New Quantitative Technique for Imaging Soft Tissue Motion in the Orbit. Investig. Ophthalmol. Vis. Sci. 2000, 41, 3256–3260. [Google Scholar]
- Bastin, M.; Andreelli, F. Corticosteroid-Induced Diabetes: Novelties in Pathophysiology and Management. Rev. Med. Interne 2020, 41, 607–616. [Google Scholar] [CrossRef] [PubMed]
- Horton, W.B.; Taylor, J.S.; Ragland, T.J.; Subauste, A.R. Diabetic Muscle Infarction: A Systematic Review. BMJ Open Diabetes Res. Care 2015, 3, e000082. [Google Scholar] [CrossRef] [PubMed]
- Morcuende, J.A.; Dobbs, M.B.; Crawford, H.; Buckwalter, J.A. Diabetic Muscle Infarction. Iowa Orthop. J. 2000, 20, 65–74. [Google Scholar] [PubMed]
- Tang, J.; Sun, L.; Huang, Q.; Wu, Y.W.; Li, X.; Deng, H.H.; Sun, J.Z.; Dai, Z.; Xu, Y.C. Case Report: Diabetic Muscle Infarction with Diabetic Ketoacidosis: A Rare Complication of Diabetes. Front. Endocrinol. 2023, 13, 1112703. [Google Scholar] [CrossRef] [PubMed]




| Region of Interest | Disease | Method of Analysis | ||
|---|---|---|---|---|
| “Orbital” OR “Extraocular muscle” | AND | “Myositis” | AND | “Imaging” OR “MRI” OR “CT” * |
| Imaging Modality | Findings | Description |
|---|---|---|
| CT * Scan | Non-specific mass | Orbital mass of varying size, shape, and location, generally not able to differentiate IOM from other lesions. |
| MRI * (T1-weighted) | Hypointense signal | Typically hypointense in chronic cases with fibrosis; less clear in acute cases. |
| MRI * (T2-weighted) | Hyperintense signal | Hyperintensity indicative of acute inflammation, edema, and increased fluid. |
| Gadolinium Contrast (MRI) * | Enhancement | Increased contrast enhancement indicating inflammation or venous congestion. |
| Fat-suppressed MRI (STIR) * | Enhanced signal | Clearly delineates optic nerve involvement and inflammatory changes. |
| Condition | Imaging Characteristics | Key Differentiators |
|---|---|---|
| Thyroid Orbitopathy | Bilateral inflammation, sparing of myotendinous junction | Bilateral involvement, absence of myotendinous junction inflammation. |
| IgG4-Related Disease (IgG4-RD) | Bilateral lacrimal gland and extraocular muscle (EOM) involvement, inferior rectus often affected | Serum IgG4 levels are often elevated. |
| Orbital Cellulitis | Associated with fever, leukocytosis, and infection history | Contrast-enhanced CT * shows abscess formation requiring drainage. |
| Orbital Lymphoma | Focal masses with heightened signal intensity in EOMs | Tumor appears as mass, usually with a heterogeneous signal on CT/MRI *. |
| Carotid-Cavernous Fistula (CCF) | Enlarged superior ophthalmic vein (SOV), retrograde blood flow | Symptoms of venous congestion; transcranial Doppler and angiography used for diagnosis. |
Disclaimer/Publisher’s Note: The statements, opinions and data contained in all publications are solely those of the individual author(s) and contributor(s) and not of MDPI and/or the editor(s). MDPI and/or the editor(s) disclaim responsibility for any injury to people or property resulting from any ideas, methods, instructions or products referred to in the content. |
© 2024 by the authors. Licensee MDPI, Basel, Switzerland. This article is an open access article distributed under the terms and conditions of the Creative Commons Attribution (CC BY) license (https://creativecommons.org/licenses/by/4.0/).
Share and Cite
Corgiolu, L.; Cuccu, A.; Marteddu, A.; Saba, L.; Giannaccare, G. Idiopathic Unilateral Extraocular Myositis in a Poorly Controlled Diabetic Patient: A Case Report and a Review of the Literature. Appl. Sci. 2024, 14, 11922. https://doi.org/10.3390/app142411922
Corgiolu L, Cuccu A, Marteddu A, Saba L, Giannaccare G. Idiopathic Unilateral Extraocular Myositis in a Poorly Controlled Diabetic Patient: A Case Report and a Review of the Literature. Applied Sciences. 2024; 14(24):11922. https://doi.org/10.3390/app142411922
Chicago/Turabian StyleCorgiolu, Lina, Alberto Cuccu, Annalisa Marteddu, Luca Saba, and Giuseppe Giannaccare. 2024. "Idiopathic Unilateral Extraocular Myositis in a Poorly Controlled Diabetic Patient: A Case Report and a Review of the Literature" Applied Sciences 14, no. 24: 11922. https://doi.org/10.3390/app142411922
APA StyleCorgiolu, L., Cuccu, A., Marteddu, A., Saba, L., & Giannaccare, G. (2024). Idiopathic Unilateral Extraocular Myositis in a Poorly Controlled Diabetic Patient: A Case Report and a Review of the Literature. Applied Sciences, 14(24), 11922. https://doi.org/10.3390/app142411922

