Lower Limb Osteochondrosis and Apophysitis in Young Athletes—A Comprehensive Review
Abstract
1. Introduction
2. Material and Methods
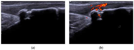
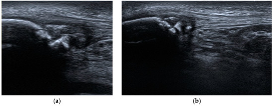
3. Osgood–Schlatter Disease: Presentation, Diagnosis, and Management
4. Sinding–Larsen–Johansson Syndrome: Presentation, Diagnosis, and Management
5. Sever’s Disease: Presentation, Diagnosis, and Management
6. Legg–Calvé–Perthes Disease: Presentation, Diagnosis, and Management
7. Köhler’s Disease: Presentation, Diagnosis, and Management
8. Freiberg Disease: Presentation, Diagnosis, and Management
9. Future Directions
10. Conclusions
Author Contributions
Funding
Institutional Review Board Statement
Informed Consent Statement
Data Availability Statement
Conflicts of Interest
Glossary
| An ossification center | The site where the process of ossification begins in hyaline cartilage. |
| Tibial tuberosity/tubercle | An elevation of the anterior aspect of the tibia (shinbone). |
| Avascular necrosis | The death of bone tissue due to a lack of blood supply to the bone. |
| Hypoechoic | A region that reflects fewer sound waves, appearing darker than surrounding tissues on an ultrasound. |
| Power Doppler ultrasound | A test that measures the flow of blood through your blood vessels. |
| Genu valgum | A condition in which the knees are misaligned, causing them to angle inward. |
| Algometry | A technique used to measure pain sensitivity by applying pressure to specific points on the body. |
| Thermography | A diagnostic method that uses infrared imaging to detect temperature changes on the surface of the skin, often used to assess inflammation or injury. |
| Cortical layer | Outer layer of bone tissue that provides strength, stiffness, and structural support. |
| Subchondral bone | The bony layer situated beneath the hyaline cartilage and cement line. |
| Lateral frog leg view | A special pelvic X-ray to assess the hips. |
| Acetabular labrum | A soft tissue structure that lines the acetabular rim of the hip joint. |
| A varus derotational osteotomy | A procedure that is used to place the femur, or thigh bone, back into the correct position in the hip joint. |
| Bone scintigraphy | A specialized radiology procedure for the examination of the different bones of the skeleton. |
| Motion capture | The process of recording objects or people’s movements. |
| Tensegrity phenomenon | The biomechanical principle whereby bones, muscles, tendons, and ligaments work together as a tension–compression network to provide structural stability, flexibility, and efficient force distribution throughout the body. |
References
- Armento, A.; Heronemus, M.; Truong, D.; Swanson, C. Bone Health in Young Athletes: A Narrative Review of the Recent Literature. Curr. Osteoporos. Rep. 2023, 21, 447–458. [Google Scholar] [CrossRef]
- Achar, S.; Yamanaka, J. Apophysitis and Osteochondrosis: Common Causes of Pain in Growing Bones. Am. Fam. Physician 2019, 99, 610–618. [Google Scholar] [PubMed]
- Edwards, T. Clinical sports medicine, 3rd edn. Br. J. Sports Med. 2007, 41, 727–728. [Google Scholar] [CrossRef][Green Version]
- Zawadka, M.; Smolka, J.; Skublewska-Paszkowska, M.; Lukasik, E.; Bys, A.; Zielinski, G.; Gawda, P. Sex-dependent differences in single-leg squat kinematics and their relationship to squat depth in physically active individuals. Sci. Rep. 2020, 10, 19601. [Google Scholar] [CrossRef] [PubMed]
- Zawadka, M.; Smolka, J.; Skublewska-Paszkowska, M.; Lukasik, E.; Bys, A.; Zielinski, G.; Gawda, P. Altered squat movement pattern in patients with chronic low back pain. Ann. Agric. Environ. Med. 2021, 28, 158–162. [Google Scholar] [CrossRef] [PubMed]
- Gillespie, H. Osteochondroses and apophyseal injuries of the foot in the young athlete. Curr. Sports Med. Rep. 2010, 9, 265–268. [Google Scholar] [CrossRef] [PubMed]
- Longo, U.G.; Ciuffreda, M.; Locher, J.; Maffulli, N.; Denaro, V. Apophyseal injuries in children’s and youth sports. Br. Med. Bull. 2016, 120, 139–159. [Google Scholar] [CrossRef] [PubMed]
- Yanagisawa, S.; Osawa, T.; Saito, K.; Kobayashi, T.; Tajika, T.; Yamamoto, A.; Iizuka, H.; Takagishi, K. Assessment of Osgood-Schlatter disease and the skeletal maturation of the distal attachment of the patellar tendon in preadolescent males. Orthop. J. Sports Med. 2014, 2, 2325967114542084. [Google Scholar] [CrossRef]
- Kose, O. Do we really need radiographic assessment for the diagnosis of non-specific heel pain (calcaneal apophysitis) in children? Skeletal. Radiol. 2010, 39, 359–361. [Google Scholar] [CrossRef]
- Arnaiz, J.; Piedra, T.; de Lucas, E.M.; Arnaiz, A.M.; Pelaz, M.; Gomez-Dermit, V.; Canga, A. Imaging findings of lower limb apophysitis. AJR Am. J. Roentgenol. 2011, 196, W316–W325. [Google Scholar] [CrossRef]
- Materne, O.; Chamari, K.; Farooq, A.; Tabben, M.; Weir, A.; Holmich, P.; Bahr, R.; Greig, M.; McNaughton, L.R. Shedding light on incidence and burden of physeal injuries in a youth elite football academy: A 4-season prospective study. Scand. J. Med. Sci. Sports 2022, 32, 165–176. [Google Scholar] [CrossRef] [PubMed]
- Belikan, P.; Färber, L.C.; Abel, F.; Nowak, T.E.; Drees, P.; Mattyasovszky, S.G. Incidence of calcaneal apophysitis (Sever’s disease) and return-to-play in adolescent athletes of a German youth soccer academy: A retrospective study of 10 years. J. Orthop. Surg. Res. 2022, 17, 83. [Google Scholar] [CrossRef] [PubMed]
- Juch, E.E.A.E.; van de Koppel, V.C.; Blokland, D.; Wouters, R.A.; Backx, F.J.G.; Goedhart, E.A.; van der Horst, N. Growth-related sports injuries among young male professional football players in the Netherlands: A prospective cohort study concerning injury incidence, severity and burden. Sci. Med. Footb. 2023, 23, 1–12. [Google Scholar] [CrossRef] [PubMed]
- Holtus, D.; Tol, J.L.; Bruning, B.; Jagtman, L.; Boode, V.; Reurink, G. Injury Incidence and Burden in 979 Player Seasons of an Elite Dutch Soccer Academy. Int. J. Sports Exerc. Med. 2023, 9, 244. [Google Scholar]
- Bi, A.S.; Castañeda, P.G. A History of Eponyms in Traction Apophysitises. Bull. NYU Hosp. Joint Dis. 2021, 79, 200–204. [Google Scholar]
- Danger, F.; Wasyliw, C.; Varich, L. Osteochondroses. Semin. Musculoskelet. Radiol. 2018, 22, 118–124. [Google Scholar] [CrossRef]
- Launay, F. Sports-related overuse injuries in children. Orthop. Traumatol. Surg. Res. 2015, 101, S139–S147. [Google Scholar] [CrossRef] [PubMed]
- Ytrehus, B.; Carlson, C.S.; Ekman, S. Etiology and pathogenesis of osteochondrosis. Vet. Pathol. 2007, 44, 429–448. [Google Scholar] [CrossRef]
- Atanda, A., Jr.; Shah, S.A.; O’Brien, K. Osteochondrosis: Common causes of pain in growing bones. Am. Fam. Physician 2011, 83, 285–291. [Google Scholar] [PubMed]
- Suzue, N.; Matsuura, T.; Iwame, T.; Hamada, D.; Goto, T.; Takata, Y.; Iwase, T.; Sairyo, L. Prevalence of childhood and adolescent soccer-related overuse injuries. J. Med. Investig. 2014, 61, 369–373. [Google Scholar] [CrossRef] [PubMed]
- McCoy, A.M.; Toth, F.; Dolvik, N.I.; Ekman, S.; Ellermann, J.; Olstad, K.; Ytrehus, B.; Carlson, C.S. Articular osteochondrosis: A comparison of naturally-occurring human and animal disease. Osteoarthr. Cartil. 2013, 21, 1638–1647. [Google Scholar] [CrossRef] [PubMed]
- Gudelis, M.; Perez, L.T.; Cabello, J.T.; Leal, D.M.; Monaco, M.; Sugimoto, D. Apophysitis Among Male Youth Soccer Players at an Elite Soccer Academy Over 7 Seasons. Orthop. J. Sports Med. 2022, 10, 23259671211065063. [Google Scholar] [CrossRef]
- Le Gall, F.; Carling, C.; Reilly, T.; Vandewalle, H.; Church, J.; Rochcongar, P. Incidence of injuries in elite French youth soccer players: A 10-season study. Am. J. Sports Med. 2006, 34, 928–938. [Google Scholar] [CrossRef] [PubMed]
- Smith, J.M.; Varacallo, M. Osgood-Schlatter Disease. In StatPearls; StatPearls Publishing: Treasure Island, FL, USA, 2023. Available online: https://pubmed.ncbi.nlm.nih.gov/28723024/ (accessed on 20 October 2024).
- Zonfrillo, M.R.; Rebecca, S.S.; Lawrence, B.A.; Miller, T.R. Incidence and costs of injuries to children and adults in the United States. Inj. Epidemiol. 2018, 5, 4–9. [Google Scholar] [CrossRef] [PubMed]
- Corbi, F.; Matas, S.; Álvarez-Herms, J.; Sitko, S.; Baiget, E.; Reverter-Masia, J.; López-Laval, I. Osgood-Schlatter Disease: Appearance, Diagnosis and Treatment: A Narrative Review. Healthcare 2022, 10, 1011. [Google Scholar] [CrossRef]
- De Lucena, G.L.; Gomes, C.D.S.; Guerra, R.O. Prevalence and Associated Factors of Osgood-Schlatter Syndrome in a Population-Based Sample of Brazilian Adolescents. Am. J. Sports Med. 2011, 39, 415–420. [Google Scholar] [CrossRef] [PubMed]
- Holden, S.; Olesen, J.L.; Winiarski, L.M.; Krommes, K.; Thorborg, K.; Hölmich, P.; Rathleff, M.S. Is the Prognosis of Os-good-Schlatter Poorer Than Anticipated? A Prospective Cohort Study With 24-Month Follow-up. Orthop. J. Sports Med. 2021, 19, 23259671211022239. [Google Scholar] [CrossRef]
- Nur, S.I.; Siti, S.M.; Wan, A.W. An active boy with bilateral knee pain. Malays. Fam. Physician 2019, 30, 26–28. [Google Scholar]
- Green, D.W.; Sidharthan, S.; Schlichte, L.M.; Aitchison, A.H.; Mintz, D.N. Increased Posterior Tibial Slope in Patients with Osgood-Schlatter Disease: A New Association. Am. J. Sports Med. 2020, 48, 642–646. [Google Scholar] [CrossRef]
- Jibri, Z.; Jamieson, P.; Rakhra, K.S.; Sampaio, M.L.; Dervin, G. Patellar maltracking: An update on the diagnosis and treatment strategies. Insights Imaging 2019, 14, 65. [Google Scholar] [CrossRef]
- Enomoto, S.; Oda, T.; Sugisaki, N.; Toeda, M.; Kurokawa, S.; Kaga, M. Muscle stiffness of the rectus femoris and vastus lateralis in children with Osgood-Schlatter disease. Knee 2021, 32, 140–147. [Google Scholar] [CrossRef] [PubMed]
- Nakase, J.; Aiba, T.; Goshima, K.; Takahashi, R.; Toratani, T.; Kosaka, M.; Ohashi, Y.; Tsuchiya, H. Relationship between the skeletal maturation of the distal attachment of the patellar tendon and physical features in preadolescent male football players. Knee Surg. Sports Traumatol. Arthrosc. 2014, 22, 195–199. [Google Scholar] [CrossRef] [PubMed]
- Itoh, G.; Ishii, H.; Kato, H.; Nagano, Y.; Hayashi, H.; Funasaki, H. Risk assessment of the onset of Osgood-Schlatter disease using kinetic analysis of various motions in sports. PLoS ONE 2018, 8, e0190503. [Google Scholar] [CrossRef] [PubMed]
- Sheppard, E.D.; Ramamurti, P.; Stake, S.; Stadecker, M.; Rana, S.; Oetgen, M.E.; Young, M.L.; Martin, B.D. Posterior Tibial Slope is Increased in Patients with Tibial Tubercle Fractures and Osgood-Schlatter Disease. J. Pediatr. Orthop. 2021, 1, e411–e416. [Google Scholar] [CrossRef] [PubMed]
- Smida, M.; Kandara, H.; Jlalia, Z.; Saied, W. Pathophysiology of Osgood-Schlatter Disease: Does Vitamin D have a Role? Vitam. Miner. 2018, 7, e97027. [Google Scholar] [CrossRef]
- Lyng, K.D.; Rathleff, M.S.; Dean, B.J.F.; Kluzek, S.; Holden, S. Current management strategies in Osgood Schlatter: A cross-sectional mixed-method study. Scand. J. Med. Sci. Sports 2020, 30, 1985–1991. [Google Scholar] [CrossRef] [PubMed]
- Kartini, C.; Wayan-Suryanto, D.I. Osgood-Schlatter disease: A review of current diagnosis and management. Curr. Orthop. Pract. 2022, 33, 294–298. [Google Scholar] [CrossRef]
- Yen, Y.M. Assessment and Treatment of Knee Pain in the Child and Adolescent Athlete. Pediatr. Clin. N. Am. 2014, 61, 1155–1173. [Google Scholar] [CrossRef] [PubMed]
- Vaishya, R.; Azizi, A.T.; Agarwal, A.K.; Vijay, V. Apophysitis of the Tibial Tuberosity (Osgood-Schlatter Disease): A Review. Cureus 2016, 8, e780. [Google Scholar] [CrossRef]
- Maruszczak, K.; Kochman, M.; Madej, T.; Gawda, P. Ultrasound Imaging in Diagnosis and Management of Lower Limb Injuries: A Comprehensive Review. Med. Sci. Monit. 2024, 30, e945413. [Google Scholar] [CrossRef] [PubMed]
- Kaneuchi, Y.; Otoshi, K.; Hakozaki, M.; Sekiguchi, M.; Watanabe, K.; Igari, T.; Konno, S. Bony Maturity of the Tibial Tuberosity With Regard to Age and Sex and Its Relationship to Pathogenesis of Osgood-Schlatter Disease: An Ultrasonographic Study. Orthop. J. Sports Med. 2018, 6, 2325967117749184. [Google Scholar] [CrossRef] [PubMed]
- Czyrny, Z. Osgood-Schlatter disease in ultrasound diagnostics—A pictorial essay. Med. Ultrason. 2010, 12, 323–335. [Google Scholar] [PubMed]
- Nührenbörger, C.; Gaulrapp, H. Morbus Osgood Schaltter. Sport Orthop. Traumatol. 2018, 34, 393–395. [Google Scholar] [CrossRef]
- Bezuglov, E.N.; Tikhonova, A.A.; Chubarovskiy, P.V.; Repetyuk, A.D.; Khaitin, V.Y.; Lazarev, A.M.; Usmanova, E.M. Conservative treatment of Osgood-Schlatter disease among young professional soccer players. Int. Orthop. 2020, 44, 1737–1743. [Google Scholar] [CrossRef] [PubMed]
- Morris, E. Acupuncture in Osgood-Schlatter disease. BMJ Case Rep. 2016, 8, bcr2015214129. [Google Scholar] [CrossRef] [PubMed]
- Ross, M.D.; Villard, D.; Hopmans, J.; Simunek, J. Disability levels of college-aged men with a history of Osgood-Schlatter disease. J. Strength Cond. Res. 2003, 17, 659–663. [Google Scholar] [PubMed]
- Lee, D.W.; Kim, M.J.; Kim, W.J.; Ha, J.K.; Kim, J.G. Correlation between Magnetic Resonance Imaging Characteristics of the Patellar Tendon and Clinical Scores in Osgood-Schlatter Disease. Knee Surg. Relat. Res. 2016, 28, 62–67. [Google Scholar] [CrossRef]
- Mun, F.; Hennrikus, W.L. Surgical Treatment Outcomes of Unresolved Osgood-Schlatter Disease in Adolescent Athletes. Case Rep. Orthop. 2021, 2021, 6677333. [Google Scholar] [CrossRef]
- Malherbe, K. Traction apophysitis of the knee: A case report. Radiol. Case Rep. 2018, 14, 18–21. [Google Scholar] [CrossRef] [PubMed]
- Valentino, M.; Quiligotti, C.; Ruggirello, M. Sinding-Larsen-Johansson syndrome: A case report. J. Ultrasound 2012, 15, 127–129. [Google Scholar] [CrossRef] [PubMed]
- Aziz, M.A.; Radzi, D.; Abu Hanifah, R. Case report: A rare case of Sinding Larsen-Johansson syndrome in adult. Malays. J. Mov. Health Exerc. 2022, 9, 17–23. [Google Scholar] [CrossRef]
- McCormick, K.L.; Tedesco, L.J.; Bixby, E.C.; Swindell, H.W.; Popkin, C.A.; Redler, L.H. Sinding-Larsen-Johansson Disease: Analysis of the Associated Factors in the Largest Cohort to Date. Orthop. J. Sports Med. 2022, 10, 2325967121S00503. [Google Scholar] [CrossRef]
- Houghton, K.M. Review for the generalist: Evaluation of anterior knee pain. Pediatr. Rheumatol. Online J. 2007, 5, 8. [Google Scholar] [CrossRef]
- López-Alameda, S.; Alonso-Benavente, A.; López-Ruiz de Salazar, A.; Miragaya-López, P.; Alonso-Del Olmo, J.A.; González-Herranz, P. Enfermedad de Sinding-Larsen-Johansson: Análisis de factores asociados, [Sinding-Larsen-Johansson disease: Analysis of the associated factors]. Rev. Esp. Cir. Ortop. Traumatol. 2012, 56, 354–360. [Google Scholar] [CrossRef] [PubMed]
- Kuehnast, M.; Mahomed, N.; Mistry, B. Sinding-Larsen-Johansson syndrome. SAJCH S. Afr. J. Child Health 2012, 6, 90–92. [Google Scholar] [CrossRef]
- Draghi, F.; Danesino, G.M.; Coscia, D.; Precerutti, M.; Pagani, C. Overload syndromes of the knee in adolescents: Sonographic findings. J. Ultrasound 2008, 11, 151–157. [Google Scholar] [CrossRef]
- Negrão, E.; van den Eede, E.; Kyriazopoulos, A.; Romijn, M.G. Sinding-Larsen-Johansson syndrome with minimally displaced patellar sleeve avulsion fracture: A case report with multimodality approach and literature review. Skeletal. Radiol. 2023, 52, 1403–1407. [Google Scholar] [CrossRef]
- Wilczyński, B.; Taraszkiewicz, M.; de Tillier, K.; Biały, M.; Zorena, K. Sinding-Larsen-Johansson disease. Clinical features, imaging findings, conservative treatments and research perspectives: A scoping review. PeerJ 2024, 12, e17996. [Google Scholar] [CrossRef]
- Tourdias, D.; Erésué, J. Maladie de Sinding-Larsen-Johansson chez un jeune footballeur. Presse Medicale 2015, 44, 974–975. [Google Scholar] [CrossRef] [PubMed]
- Alito, A.; Maccarone, M.C.; Sanzarello, I.; Leonetti, D. Bilateral synchronous Sinding-Larsen-Johansson and Sever Disease in a 10-year-old boy: A case report. J. Orthop. Rep. 2024, 3, 100225. [Google Scholar] [CrossRef]
- Patel, D.R.; Villalobos, A. Evaluation and management of knee pain in young athletes: Overuse injuries of the knee. Transl. Pediatr. 2017, 6, 190–198. [Google Scholar] [CrossRef] [PubMed]
- Kajetanek, C.; Thaunat, M.; Guimaraes, T.; Carnesecchi, O.; Daggett, M.; Sonnery-Cottet, B. Arthroscopic treatment of painful Sinding-Larsen-Johansson syndrome in a professional handball player. Orthop. Traumatol. Surg. Res. 2016, 102, 677–680. [Google Scholar] [CrossRef]
- Fares, M.Y.; Salhab, H.A.; Khachfe, H.H.; Fares, J.; Haidar, R.; Musharrafieh, U. Sever’s Disease of the Pediatric Population: Clinical, Pathologic, and Therapeutic Considerations. Clin. Med. Res. 2021, 19, 132–137. [Google Scholar] [CrossRef]
- Nieto-Gil, P.; Marco-Lledó, J.; García-Campos, J.; Ruiz-Muñoz, M.; Gijon-Nogueron, G.; Ramos-Petersen, L. Risk Factors and Associated Factors for Calcaneal Apophysitis (Sever’s Disease): A Systematic Review. BMJ Open 2023, 13, e064903. [Google Scholar] [CrossRef] [PubMed]
- Ramponi, D.R.; Baker, C. Sever’s Disease (Calcaneal Apophysitis). Adv. Emerg. Nurs. J. 2019, 41, 10–14. [Google Scholar] [CrossRef]
- Hernandez-Lucas, P.; Leirós-Rodríguez, R.; García-Liñeira, J.; Diez-Buil, H. Conservative Treatment of Sever’s Disease: A Systematic Review. J. Clin. Med. 2024, 13, 1391. [Google Scholar] [CrossRef] [PubMed]
- Rachel, J.N.; Williams, J.B.; Sawyer, J.R.; Warner, W.C.; Kelly, D.M. Is Radiographic Evaluation Necessary in Children with a Clinical Diagnosis of Calcaneal Apophysitis (Sever Disease)? J. Pediatr. Orthop. 2011, 31, 548–550. [Google Scholar] [CrossRef] [PubMed]
- Watanabe, H.; Fujii, M.; Higashiyama, R.; Takahira, N. Sever’s Disease Is One of the Factors Associated with the Onset of Osgood-Schlatter Disease in Japanese Elementary Soccer Players. J. Sci. Med. Sport 2014, 18, e19. [Google Scholar] [CrossRef]
- Santafé, J.A.; Gómez Bernal, A.; Santafé, J.V.A.; Cerzócimo, C.L.; Galindo, V.L.E.; Almenar, A. Relación de Lunge y Jack Test En La Apófisis Calcánea (Talalgia de Sever) En Futbolistas Jóvenes. Rev. Int. Cienc. Podol. 2017, 11, 117–123. [Google Scholar] [CrossRef][Green Version]
- Agyekum, E.K.; Ma, K. Heel Pain: A Systematic Review. Chin. J. Traumatol. 2015, 18, 164–169. [Google Scholar] [CrossRef]
- Wiegerinck, J.I. Treatment of Calcaneal Apophysitis: Wait and See Versus Orthotic Device Versus Physical Therapy: A Pragmatic Therapeutic Randomized Clinical Trial. J. Pediatr. Orthop. 2016, 36, 152–157. [Google Scholar] [CrossRef] [PubMed]
- Sweeney, E.A.; Little, C.C.; Wilson, J.C.; Potter, M.N.; Seehusen, C.N.; Howell, D.R. Comparison of Braces for Treatment of Sever’s Disease (Calcaneal Apophysitis) in Barefoot Athletes: A Randomized Clinical Trial. J. Athl. Train. 2023, 58, 437–444. [Google Scholar] [CrossRef] [PubMed]
- Kuyucu, E.; Gülenç, B.; Biçer, H.; Erdil, M. Assessment of the Kinesiotherapy’s Efficacy in Male Athletes with Calcaneal Apophysitis. J. Orthop. Surg. Res. 2017, 12, 146. [Google Scholar] [CrossRef] [PubMed]
- Alfaro-Santafé, J.; Gómez-Bernal, A.; Lanuza-Cerzócimo, C.; Alfaro-Santafé, J.V.; Pérez-Morcillo, A.; Almenar-Arasanz, A.J. Effectiveness of Custom-Made Foot Orthoses vs. Heel-Lifts in Children with Calcaneal Apophysitis (Sever’s Disease): A CONSORT-Compliant Randomized Trial. Children 2021, 8, 963. [Google Scholar] [CrossRef]
- James, A.M.; Williams, C.M.; Haines, T.P. Effectiveness of Footwear and Foot Orthoses for Calcaneal Apophysitis: A 12-Month Factorial Randomised Trial. Br. J. Sports Med. 2016, 50, 1268–1275. [Google Scholar] [CrossRef] [PubMed]
- Uvelli, K.; Neher, J.O.; Safranek, S. Treatment for Calcaneal Apophysitis. Am. Fam. Physician 2017, 96, 126–127. [Google Scholar] [PubMed]
- Kim, H.K. Pathophysiology and new strategies for the treatment of Legg-Calve-Perthes disease. J. Bone Jt. Surg. Am. 2012, 94, 659–669. [Google Scholar] [CrossRef]
- Rodríguez-Olivas, A.O.; Hernández-Zamora, E.; Reyes-Maldonado, E. Legg-Calvé-Perthes disease overview. Orphanet J. Rare Dis. 2022, 17, 125. [Google Scholar] [CrossRef]
- Ibrahim, T.; Little, D.G. The pathogenesis and treatment of Legg-Calvé-Perthes disease. JBJS Rev. 2016, 4, e4. [Google Scholar] [CrossRef]
- Perry, D.C.; Thomson, C.; Pope, D.; Bruce, C.E.; Platt, M.J. A case control study to determine the association between Perthes’ disease and the recalled use of tobacco during pregnancy, and biological markers of current tobacco smoke exposure. Bone Jt. J. 2017, 99, 1102–1108. [Google Scholar] [CrossRef] [PubMed]
- Perry, D.C.; Machin, D.M.; Pope, D.; Bruce, C.E.; Dangerfield, P.; Platt, M.J.; Hall, A.J. Racial and geographic factors in the incidence of Legg–Calvé–Perthes’ disease: A systematic review. Am. J. Epidemiol. 2012, 175, 159–166. [Google Scholar] [CrossRef] [PubMed]
- Kim, H.K.; Herring, J.A. Pathophysiology, classifications, and natural history of Perthes disease. Orthop. Clin. N. Am. 2011, 42, 285–295. [Google Scholar] [CrossRef]
- Laine, J.C.; Martin, B.D.; Novotny, S.A.; Kelly, D.M. Role of Advanced Imaging in the Diagnosis and Management of Active Legg-Calvé-Perthes Disease. J. Am. Acad. Orthop. Surg. 2018, 26, 526–536. [Google Scholar] [CrossRef] [PubMed]
- Nguyen, N.A.; Klein, G.; Dogbey, G.; McCourt, J.B.; Mehlman, C.T. Operative versus nonoperative treatments for Legg-Calvé-Perthes disease: A meta-analysis. J. Pediatr. Orthop. 2012, 32, 697–705. [Google Scholar] [CrossRef]
- Nelitz, M.; Lippacher, S.; Krauspe, R.; Reichel, H. Perthes disease: Current principles of diagnosis and treatment. Dtsch. Ärzteblatt Int. 2009, 106, 517–523. [Google Scholar] [CrossRef]
- Al-Osaimi, M.N.; Alsubaihi, A.A.; Basaqr, A.A. Management of Patients With Legg-Calvé-Perthes Disease at a Single Center in Jeddah, Saudi Arabia. Cureus 2022, 14, e26262. [Google Scholar] [CrossRef] [PubMed]
- Santos Santana, M.A.S.; Bahiense Guimarães, L.S.; Correia Mendes, L.S.; Leal Varjao, L.S. Effectiveness of therapeutic methods for Legg-Calvé-Perthes disease according to staging, limits of conservative treatment: A systematic review with meta-analysis. Orthop. Rev. 2024, 16, 122123. [Google Scholar] [CrossRef]
- El-Harbiti, A.; Hailer, Y.D. Range of abduction in patients with Legg-Calvé-Perthes disease - a nationwide register-based cohort study. BMC Musculoskelet. Disord. 2020, 21, 718. [Google Scholar] [CrossRef] [PubMed]
- Brech, G.C.; Guarnieiro, R. Evaluation of physiotherapy in the treatment of Legg-Calvé-Perthes disease. Clinics 2006, 61, 521–528. [Google Scholar] [CrossRef] [PubMed]
- Melin, L.; Rendek, Z.; Hailer, Y.D. Recommendations for physiotherapy and physical activity for children with Legg-Calvé-Perthes disease: A survey of pediatric orthopedic surgeons and physiotherapists in Sweden. Acta Orthop. 2023, 94, 432–437. [Google Scholar] [CrossRef] [PubMed]
- Iwamoto, M.; Nakashima, Y.; Nakamura, T.; Kohno, Y.; Yamaguchi, R.; Takamura, K. Clinical outcomes of conservative treatment with a non-weight-bearing abduction brace for Legg-Calvé-Perthes disease. J. Orthop. Sci. 2018, 23, 156–160. [Google Scholar] [CrossRef] [PubMed]
- Cıtlak, A.; Kerimoğlu, S.; Baki, C.; Aydın, H. Comparison between conservative and surgical treatment in Perthes disease. Arch. Orthop. Trauma Surg. 2012, 132, 87–92. [Google Scholar] [CrossRef]
- Arkader, A.; Sankar, W.N.; Amorim, R.M. Conservative versus surgical treatment of late-onset Legg-Calve-Perthes disease: A radiographic comparison at skeletal maturity. J. Child Orthop. 2009, 3, 21–25. [Google Scholar] [CrossRef]
- Shanley, J.; James, D.R.; Lyttle, M.D.; Andronikou, S.; Knight, D.M. Kohler’s disease: An unusual cause for a limping child. Arch. Dis. Child. 2017, 102, 109. [Google Scholar] [CrossRef] [PubMed]
- Trammell, A.P.; Davis, D.D.; Scott, A. Kohler Disease. In StatPearls; StatPearls Publishing: Treasure Island, FL, USA, 2024. Available online: https://www.ncbi.nlm.nih.gov/books/NBK507831/ (accessed on 22 October 2024).
- Chan, J.Y.; Young, J.L. Köhler Disease: Avascular Necrosis in the Child. Foot Ankle Clin. 2019, 24, 83–88. [Google Scholar] [CrossRef] [PubMed]
- Deshpande, S.V.; Channawar, R.A.; Wamborikar, H.; Patil, B.; Pundkar, A. Bilateral Kohler’s Disease: A Case Report. Cureus 2023, 15, e44929. [Google Scholar] [CrossRef] [PubMed]
- Alhamdani, M.; Kelly, C. Kohler’s disease presenting as acute foot injury. Am. J. Emerg. Med. 2017, 35, 1787.e5–1787.e6. [Google Scholar] [CrossRef]
- Sharp, R.J.; Calder, J.D.; Saxby, T.S. Osteochondritis of the navicular: A case report. Foot Ankle Int. 2003, 24, 509–513. [Google Scholar] [CrossRef] [PubMed]
- Sunilkumar, M.; Ajith, T. Kohlers disease of the tarsal navicular in a 7-years-old child. Ann. Paediatr. Rheum. 2014, 3, 135–137. [Google Scholar] [CrossRef]
- Pei, Y.; Zhu, L.; Xu, Q.; Wang, J.; Sun, Y.; Wang, G. Clinical report of microsurgical treatment of Kohler’s disease. Sci. Rep. 2024, 14, 6341. [Google Scholar] [CrossRef] [PubMed]
- Talusan, P.G.; Diaz-Collado, P.J.; Reach, J.S. Freiberg’s infraction: Diagnosis and treatment. Foot Ankle Spec. 2014, 7, 52–56. [Google Scholar] [CrossRef] [PubMed]
- Carmont, M.R.; Rees, R.J.; Blundell, C.M. Current concepts review: Freiberg’s disease. Foot Ankle Int. 2009, 30, 167–176. [Google Scholar] [CrossRef] [PubMed]
- Martin Oliva, X.; Viladot Voegeli, A. Aseptic (avascular) bone necrosis in the foot and ankle. EFORT Open Rev. 2020, 5, 684–690. [Google Scholar] [CrossRef]
- Wax, A.; Leland, R. Freiberg Disease and Avascular Necrosis of the Metatarsal Heads. Foot Ankle Clin. 2019, 24, 69–82. [Google Scholar] [CrossRef]
- Okutan, A.E.; Ayas, M.S.; Öner, K.; Turhan, A.U. Metatarsal Head Restoration with Tendon Autograft in Freiberg’s Disease: A Case Report. J. Foot Ankle Surg. 2020, 59, 1109–1112. [Google Scholar] [CrossRef]
- Carter, K.R.; Chambers, A.R.; Dreyer, M.A. Freiberg Infraction. [Updated 2023 Nov 22]. In StatPearls [Internet]; StatPearls Publishing: Treasure Island, FL, USA, 2024. Available online: https://www.ncbi.nlm.nih.gov/books/NBK537308/ (accessed on 22 October 2024).
- Seybold, J.D.; Zide, J.R. Treatment of Freiberg Disease. Foot Ankle Clin. 2018, 23, 157–169. [Google Scholar] [CrossRef] [PubMed]
- Trnka, H.J.; Lara, J.S. Freiberg’s Infraction: Surgical Options. Foot Ankle Clin. 2019, 24, 669–676. [Google Scholar] [CrossRef] [PubMed]
- Yoshimura, I.; Takao, M.; Wagner, E.; Stufkens, S.; Dahmen, J.; Kerkhoffs, G.M.M.J.; Glazebrook, M. Evidence-Based Treatment Algorithm for Freiberg Disease. Cartilage 2024, 15, 58–64. [Google Scholar] [CrossRef] [PubMed]
- Dhar, S.A.; Mir, N.A.; Dar, T.A. Surgical Management of Freiberg Disease by Dorsal Closing Wedge Osteotomy. Malays. Orthop. J. 2020, 14, 161–165. [Google Scholar] [CrossRef] [PubMed]
- Helix-Giordanino, M.; Randier, E.; Frey, S.; Piclet, B. French association of foot surgery (AFCP). Treatment of Freiberg’s disease by Gauthier’s dorsal cuneiform osteotomy: Retrospective study of 30 cases. Orthop. Traumatol. Surg. Res. 2015, 101, S221–S225. [Google Scholar] [CrossRef]
- Haines, M.; Pirlo, L.; Bowles, K.A.; Williams, C.M. Describing Frequencies of Lower-Limb Apophyseal Injuries in Children and Adolescents: A Systematic Review. Clin. J. Sport Med. 2022, 32, 433–439. [Google Scholar] [CrossRef] [PubMed]
- Ingber, D.E.; Wang, N.; Stamenovic, D. Tensegrity, cellular biophysics, and the mechanics of living systems. Rep. Prog. Phys. 2014, 77, 046603. [Google Scholar] [CrossRef] [PubMed]







| Type of Factor | Factor |
|---|---|
| Mechanical [26] | Persistent tension on the patellar tendon |
| Repeated strain from a strong pull of muscle and patellar tendon | |
| Morphological [30,31] | Loss of flexibility in both legs |
| History of Sever’s disease | |
| Concomitant genu valgum and foot pronation Reduction in ankle dorsiflexion of 10° or less Lateral patellofemoral maltracking Medial arch height of the supporting foot Height, weight, body mass index | |
| Functional [32,33,34] | Imbalance in strength between the quadriceps and hamstring muscle Reduced flexibility in quadriceps muscle Improper movement patterns (e.g., sprints and jumping actions) Increase muscle mass and strength during the pubertal period Highly specific training Intensive training (high training loads over a brief period) Increased tension in the musculature of the lower limb |
| Environmental [35,36] | Training loads (e.g., intensity level, volume) Early specialization in sports Dietary deficiencies such as vitamin D deficiency |
| Psychological [26,37] | Increased tendency toward catastrophizing |
| Depressed mood Worsened sleep due to pain Increased anxiety |
| Disorder | Pathophysiology | Age Group Affected | Symptoms | Treatment | |
|---|---|---|---|---|---|
| Apophysitis | Osgood–Schlatter disease | A condition resulting from repetitive tension and microtrauma at the patellar tendon insertion on the tibial tuberosity, leading to inflammation and swelling of the affected area | 8 to 15 years; more common in boys | Pain at the tibial tuberosity, worsened by activity and kneeling | Rest, activity modification, physiotherapy, cryotherapy, knee braces, shockwave therapy and magnetic field therapy, surgery (in severe cases) |
| Sinding–Larsen–Johansson syndrome | An overuse injury involving inflammation at the inferior pole of the patella where the patellar tendon attaches | 10 to 13 years | Pain at the patellar apex, especially during jumping or running | Rest, activity modification, physiotherapy, patient education, passive mobilization of the lower limbs, NSAIDs, surgery (in severe cases) | |
| Sever’s disease | A painful condition resulting from the inflammation of the growth plate in the calcaneus caused by repetitive stress or pressure | 7 to 15 years | Posterior heel pain with activity and shoe wear | Rest, activity and shoe modification, physiotherapy, orthopedic insoles, kinesiology taping, cryotherapy, NSAIDs | |
| Osteochondrosis | Perthes disease | A condition characterized by a transient disruption of the blood supply to the femoral head, which results in bone necrosis and subsequent deformation during the healing process | 3–12 years; most commonly in boys | Hip pain, limping, reduced range of motion in the hip | Rest, unloading the affected joint, physiotherapy, surgery (in severe cases) |
| Köhler’s disease | A pathological condition characterized by the necrosis of the navicular bone in the foot | 4–7 years; more common in boys | Pain in the middle of the foot, limping, local swelling | Rest, ice, firm-soled shoes, arch supports, crutches, a cast for six weeks, surgery (as indicated) | |
| Freiberg disease | A condition characterized by avascular necrosis of the metatarsal head, with a predilection for the second head metatarsal | 13–18 years; more common in girls | Metatarsal head pain and local swelling | Rest, activity modification, metatarsal pads, stiff-soled shoes with a rocker bottom, NSAIDs, surgery (in severe cases) |
Disclaimer/Publisher’s Note: The statements, opinions and data contained in all publications are solely those of the individual author(s) and contributor(s) and not of MDPI and/or the editor(s). MDPI and/or the editor(s) disclaim responsibility for any injury to people or property resulting from any ideas, methods, instructions or products referred to in the content. |
© 2024 by the authors. Licensee MDPI, Basel, Switzerland. This article is an open access article distributed under the terms and conditions of the Creative Commons Attribution (CC BY) license (https://creativecommons.org/licenses/by/4.0/).
Share and Cite
Maruszczak, K.; Madej, T.; Gawda, P. Lower Limb Osteochondrosis and Apophysitis in Young Athletes—A Comprehensive Review. Appl. Sci. 2024, 14, 11795. https://doi.org/10.3390/app142411795
Maruszczak K, Madej T, Gawda P. Lower Limb Osteochondrosis and Apophysitis in Young Athletes—A Comprehensive Review. Applied Sciences. 2024; 14(24):11795. https://doi.org/10.3390/app142411795
Chicago/Turabian StyleMaruszczak, Krystian, Tomasz Madej, and Piotr Gawda. 2024. "Lower Limb Osteochondrosis and Apophysitis in Young Athletes—A Comprehensive Review" Applied Sciences 14, no. 24: 11795. https://doi.org/10.3390/app142411795
APA StyleMaruszczak, K., Madej, T., & Gawda, P. (2024). Lower Limb Osteochondrosis and Apophysitis in Young Athletes—A Comprehensive Review. Applied Sciences, 14(24), 11795. https://doi.org/10.3390/app142411795

