Comparison of Modified Occlusal Splint, Standard Splint Protocol, and Conventional Physical Therapy in Management of Temporomandibular Joint Disc Displacement with Reduction and Intermittent Locking: A Randomized Controlled Trial
Abstract
1. Introduction
2. Materials and Methods
2.1. Ethical Considerations
2.2. Study Design and Participants
Data Collection
2.3. Randomization and Masking
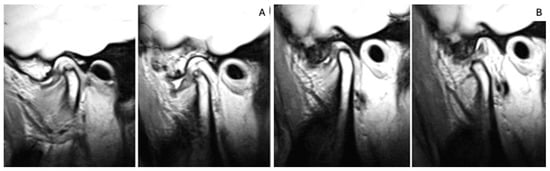
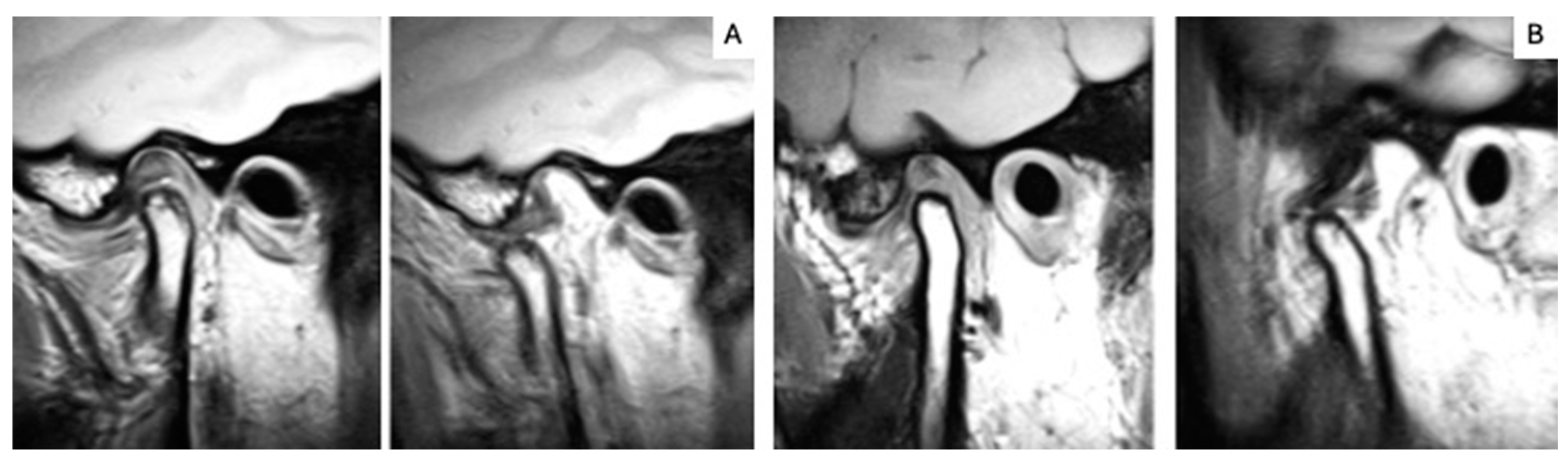
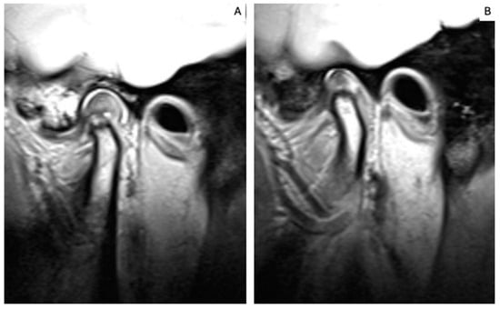
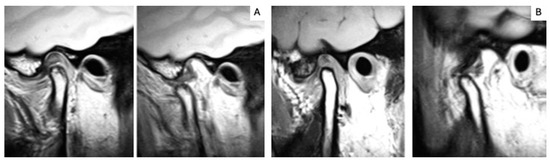
2.4. Clinical and Image Assessments
- Maximum mouth opening in mms (without any assistance for opening);
- Pain at rest and mastication [assessed by a Visual Analogue Scale (VAS) from 0 to 10, the extremes of which were ‘no pain’ and ‘pain as bad as the patient ever experienced’];
- TMJ locking evaluation: In the last 30 days, (1) less than three episodes of TMJ locking, (2) three to 15 episodes of TMJ locking, or (3) more than 15 episodes of TMJ locking.
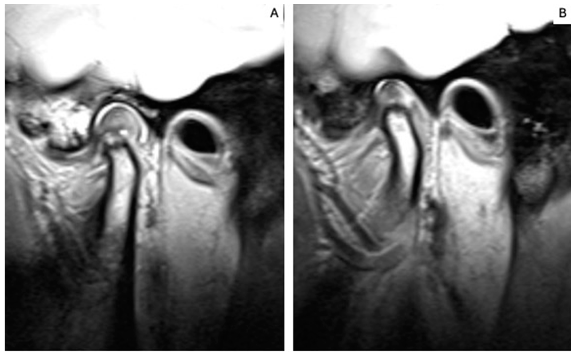
2.5. MRI Analysis
2.6. Splint Fabrication and Therapeutic Intervention
2.6.1. Group 1—MOS Group
2.6.2. Group 2—Therapy with Conventional Splint
2.6.3. Group 3—Physical Therapy with Exercise Named “Remodeling Exercise”
2.6.4. Collection of Data
2.7. Sample Size Calculation
2.8. Statistical Analysis
3. Results
3.1. Pain VAS Score
3.1.1. Modified Occlusal Splint Protocol (Group 1)
3.1.2. Conventional Treatment (Group 2)
3.1.3. Remodelling Exercise (Group 3)
3.1.4. Treatments Comparison
3.2. TMJ Locking
3.2.1. Modified Occlusal Splint Protocol
3.2.2. Conventional Treatment
3.2.3. Remodelling Exercise
3.2.4. Treatments Comparison
4. Discussion
5. Conclusions
Author Contributions
Funding
Institutional Review Board Statement
Informed Consent Statement
Data Availability Statement
Conflicts of Interest
References
- Dworkin, S.F.; LeResche, L. Research Diagnostic Criteria for Temporomandibular Disorders: Review, Criteria, Examinations and Specifications, Critique. J. Craniomandib. Disord. 1992, 6, 301–355. [Google Scholar]
- Zieliński, G.; Pająk-Zielińska, B.; Ginszt, M. A Meta-Analysis of the Global Prevalence of Temporomandibular Disorders. J. Clin. Med. 2024, 13, 1365. [Google Scholar] [CrossRef] [PubMed]
- Schiffman, E.; Ohrbach, R. Executive summary of the Diagnostic Criteria for Temporomandibular Disorders for clinical and research applications. J. Am. Dent. Assoc. 2016, 147, 438–445. [Google Scholar] [CrossRef] [PubMed]
- Ohrbach, R. (Ed.) Diagnostic Criteria for Temporomandibular Disorders: Assessment Instruments. Version 15 May 2016. Available online: www.rdc-tmdinternational.org (accessed on 10 April 2024).
- Ohrbach, R.; Gonzalez, Y.; List, T.; Michelotti, A.; Schiffman, E. Diagnostic Criteria for Temporomandibular Disorders (DC/TMD) Clinical Examination Protocol: Version 02June2013. Available online: www.rdc-tmdinternational.org (accessed on 10 April 2024).
- Ahmad, M.; Hollender, L.; Anderson, Q.; Kartha, K.; Ohrbach, R.; Truelove, E.L.; John, M.T.; Schiffman, E.L. Research Diagnostic Criteria for Temporomandibular Disorders (RDC/TMD): Development of Image Analysis Criteria and Examiner Reliability for Image Analysis. Oral Surg. Oral Med. Oral Pathol. Oral Radiol. Endodontology 2009, 107, 844–860. [Google Scholar] [CrossRef] [PubMed]
- Pullinger, A.G.; Seligman, D.A. Quantification and Validation of Predictive Values of Occlusal Variables in Temporomandibular Disorders Using a Multifactorial Analysis. J. Prosth Dent. 2000, 83, 66–75. [Google Scholar] [CrossRef]
- Bueno, C.H.; Pereira, D.D.; Pattussi, M.P.; Grossi, P.K.; Grossi, M.L. Gender differences in temporomandibular disorders in adult populational studies: A systematic review and meta-analysis. J. Oral Rehabil. 2018, 45, 720–729. [Google Scholar] [CrossRef] [PubMed]
- Tasaki, M.M.; Westesson, P.-L.; Isberg, A.M.; Ren, Y.-F.; Tallents, R.H. Classification and Prevalence of Temporomandibular Joint Disk Displacement in Patients and Symptom-Free Volunteers. Am. J. Orthod. Dentofac. Orthop. 1996, 109, 249–262. [Google Scholar] [CrossRef]
- Takahara, N.; Nakagawa, S.; Sumikura, K.; Yoda, T. Comparison of magnetic resonance imaging findings in patients with intermittent closed lock and acute closed lock of the temporomandibular joint: A cross-sectional retrospective study. Oral Radiol. 2023, 39, 475–481. [Google Scholar] [CrossRef] [PubMed]
- Rammelsberg, P.; Jäger, L.; Duc, J.M. Magnetic resonance imaging-based joint space measurements in temporomandibular joints with disk displacements and in controls. Oral Surg. Oral Med. Oral Pathol. Oral Radiol. Endodontology 2000, 90, 240–248. [Google Scholar] [CrossRef] [PubMed]
- Whyte, A.M.; McNamara, D.; Rosenberg, I.; Whyte, A.W. Magnetic resonance imaging in the evaluation of temporomandibular joint disc displacement—A review of 144 cases. Int. J. Oral Maxillofac. Surg. 2006, 35, 696–703. [Google Scholar] [CrossRef]
- Shaefer, J.R.; Riley, C.J.; Caruso, P.; Keith, D. Analysis of Criteria for MRI Diagnosis of TMJ Disc Displacement and Arthralgia. Int. J. Dent. 2012, 2012, 283163. [Google Scholar] [CrossRef]
- Schiffman, E.; Ohrbach, R.; Truelove, E.; Look, J.; Anderson, G.; Goulet, J.P.; List, T.; Svensson, P.; Gonzalez, Y.; Lobbezoo, F.; et al. International RDC/TMD Consortium Network, International association for Dental Research; Orofacial Pain Special Interest Group, International Association for the Study of Pain. Diagnostic Criteria for Temporomandibular Disorders (DC/TMD) for Clinical and Research Applications: Recommendations of the International RDC/TMD Consortium Network* and Orofacial Pain Special Interest Group†. J. Oral Facial Pain. Headache 2014, 28, 6–27. [Google Scholar] [CrossRef]
- de Souza-Pinto, G.N.; Herreira-Ferreira, M.; Grossmann, E.; Brasil, D.M.; Hara, G.F.; Groppo, F.C.; Iwaki, L.C.V. Assessment of temporomandibular joint bone changes associated with anterior disc displacement: An MRI cross-sectional study. J. Stomatol. Oral Maxillofac. Surg. 2023, 124, 101657. [Google Scholar] [CrossRef] [PubMed]
- Paesani, D.; Salas, E.; Martinez, A.; Isberg, A. Prevalence of Temporomandibular Joint Disk Displacement in Infants and Young Children. Oral Surg. Oral Med. Oral Pathol. Oral Radiol. Endodontology 1999, 87, 15–19. [Google Scholar] [CrossRef]
- Sheikholeslam, A.; Riise, C. Influence of Experimental Interfering Occlusal Contacts on the Activity of the Anterior Temporal and Masseter Muscles during Submaximal and Maximal Bite in the Intercuspal Position. J. Oral Rehab 1983, 10, 207–214. [Google Scholar] [CrossRef]
- Tanaka, E.; Kawai, N.; Tanaka, M.; Todoh, M.; Van Eijden, T.; Hanaoka, K.; Dalla-Bona, D.A.; Takata, T.; Tanne, K. The Frictional Coefficient of the Temporomandibular Joint and Its Dependency on the Magnitude and Duration of Joint Loading. J. Dent. Res. 2004, 83, 404–407. [Google Scholar] [CrossRef] [PubMed]
- Orthlieb, J.D.; Deroze, D.; Lacout, J.; Maniere-Ezvan, A. Occlusion pathogène et occlusion fonctionnelle: Définitions des finitions [Pathogenic occlusion and functional occlusion: Definition of completion]. Orthod. Fr. 2006, 77, 451–459. [Google Scholar] [CrossRef] [PubMed]
- Wilkie, G.; Al-Ani, Z. Temporomandibular joint anatomy, function and clinical relevance. Br. Dent. J. 2022, 233, 539–546. [Google Scholar] [CrossRef] [PubMed]
- Nitzan, D.W.; Mahler, Y.; Simkin, A. Intra-Articular Pressure Measurements in Patients with Suddenly Developing, Severely Limited Mouth Opening. J. Oral Maxillofac. Surg. 1992, 50, 1038–1042. [Google Scholar] [CrossRef] [PubMed]
- Magnusson, T.; Carlsson, G.E.; Egermark, I. Changes in Subjective Symptoms of Craniomandibular Disorders in Children and Adolescents during a 10-Year Period. J. Orofac. Pain 1993, 7, 76–82. [Google Scholar] [PubMed]
- Randolph, C.S.; Greene, C.S.; Moretti, R.; Forbes, D.; Perry, H.T. Conservative Management of Temporomandibular Disorders: A Posttreatment Comparison between Patients from a University Clinic and from Private Practice. Am. J. Orthod. Dentofac. Orthop. 1990, 98, 77–82. [Google Scholar] [CrossRef]
- Huang, I.Y.; Wu, J.H.; Kao, Y.H.; Chen, C.M.; Chen, C.M.; Yang, Y.H. Splint therapy for disc displacement with reduction of the temporomandibular joint. part I: Modified mandibular splint therapy. Kaohsiung J. Med. Sci. 2011, 27, 323–329. [Google Scholar] [CrossRef]
- World Medical Association. World Medical Association Declaration of Helsinki: Ethical Principles for Medical Research Involving Human Subjects. JAMA 2013, 310, 2191–2194. [Google Scholar] [CrossRef]
- Lundh, H.; Westesson, P.-L.; Kopp, S. A Three-Year Follow-up of Patients with Reciprocal Temporomandibular Joint Clicking. Oral Surg. Oral Med. Oral Pathol. 1987, 63, 530–533. [Google Scholar] [CrossRef] [PubMed]
- Taşkaya-Yılmaz, N.; Öğütcen-Toller, M. Magnetic Resonance Imaging Evaluation of Temporomandibular Joint Disc Deformities in Relation to Type of Disc Displacement. J. Oral Maxillofac. Surg. 2001, 59, 860–865. [Google Scholar] [CrossRef]
- Juniper, R. Repositioning Splint More Effective than Bite Plane in the Treatment of TMJ Disk Dislocation with Reduction. Evid. Based Dent. 2000, 2, 15. [Google Scholar] [CrossRef]
- Lundh, H.; Westesson, P.-L.; Kopp, S.; Tillström, B. Anterior Repositioning Splint in the Treatment of Temporomandibular Joints with Reciprocal Clicking: Comparison with a Flat Occlusal Splint and an Untreated Control Group. Oral Surg. Oral Med. Oral Pathol. 1985, 60, 131–136. [Google Scholar] [CrossRef] [PubMed]
- Clark, G.T. Treatment of Jaw Clicking with Temporomandibular Repositioning: Analysis of 25 Cases. J. Craniomand Pract. 1984, 2, 263–270. [Google Scholar] [CrossRef] [PubMed]
- Ribeiro, R.F.; Tallents, R.H.; Katzberg, R.W.; Murphy, W.C.; Moss, M.E.; Magalhaes, A.C.; Tavano, O. The Prevalence of Disc Displacement in Symptomatic and Asymptomatic Volunteers Aged 6 to 25 Years. J. Orofac. Pain 1997, 11, 37–47. [Google Scholar]
- Westesson, P.-L.; Eriksson, L.; Kurita, K. Reliability of a Negative Clinical Temporomandibular Joint Examination: Prevalence of Disk Displacement in Asymptomatic Temporomandibular Joints. Oral Surg. Oral Med. Oral Pathol. 1989, 68, 551–554. [Google Scholar] [CrossRef] [PubMed]
- Kircos, L.T.; Ortendahl, D.A.; Mark, A.S.; Arakawa, M. Magnetic Resonance Imaging of the TMJ Disc in Asymptomatic Volunteers. J. Oral Maxillofac. Surg. 1987, 45, 852–854. [Google Scholar] [CrossRef] [PubMed]
- Kirk, W.S. Magnetic Resonance Imaging and Tomographic Evaluation of Occlusal Appliance Treatment for Advanced Internal Derangement of the Temporomandibular Joint. J. Oral Maxillofac. Surg. 1991, 49, 9–12. [Google Scholar] [CrossRef] [PubMed]
- Okeson, J.P. Long-Term Treatment of Disk-Interference Disorders of the Temporomandibular Joint with Anterior Repositioning Occlusal Splints. J. Prosth Dent. 1988, 60, 611–616. [Google Scholar] [CrossRef] [PubMed]
- McNeill, C.; Mohl, N.D.; Rugh, J.D.; Tanaka, T.T. Temporomandibular Disorders: Diagnosis, Management, Education, and Research. J. Am. Dent. Assoc. 1990, 120, 253–263. [Google Scholar] [CrossRef] [PubMed]
- Klasser, G.; Greene, C. Role of Oral Appliances in the Management of Sleep Bruxism and Temporomandibular Disorders. Alpha Omegan 2007, 100, 111–119. [Google Scholar] [CrossRef] [PubMed]
- Clark, G.T. The TMJ Repositioning Appliance: A Technique for Construction, Insertion, and Adjustment. CRANIO® 1986, 4, 37–46. [Google Scholar] [CrossRef]
- Demisch, A.; Ingervall, B.; Thüer, U. Mandibular Displacement in Angle Class II, Division 2 Malocclusion. Am. J. Orthod. Dentofac. Orthop. 1992, 102, 509–518. [Google Scholar] [CrossRef]
- Gerber, A. Occlusion Theory, Diagnosis and Treatment in the (Area) of Our (Knowledge). Quintess Int. 1971, 12, 67–69. [Google Scholar]
- Gesch, D.; Bernhardt, O.; Kirbschus, A. Association of Malocclusion and Functional Occlusion with Temporomandibular Disorders (TMD) in Adults: A Systematic Review of Population-Based Studies. Quintess Int. 2004, 35, 211–221. [Google Scholar]
- Posselt, U. Physiology of Occlusion and Rehabilitation; Blackwell Scientific Publications: Franklin Township, NJ, USA, 1962; pp. 31–39. [Google Scholar]
- Ferrario, V.F.; Sforza, C.; Miani, A.; Serrao, G.; Tartaglia, G. Open-Close Movements in the Human Temporomandibular Joint: Does a Pure Rotation around the Intercondylar Hinge Axis Exist? J. Oral Rehabil. 1996, 23, 401–408. [Google Scholar] [CrossRef] [PubMed]
- Rieder, C.E. The Prevalence and Magnitude of Mandibular Displacement in a Survey Population. J. Prosthet. Dent. 1978, 39, 324–329. [Google Scholar] [CrossRef]
- Farronato, M.; Cavagnetto, D.; Abate, A.; Cressoni, P.; Fama, A.; Maspero, C. Assessment of condylar volume and ramus height in JIA patients with unilateral and bilateral TMJ involvement: Retrospective case-control study. Clin. Oral Investig. 2020, 24, 2635–2643. [Google Scholar] [CrossRef] [PubMed]
- Giddon, D.B.; Moeller, D.R.; Deutsch, C.K. Use of a modified mandibular splint to reduce nocturnal symptoms in persons with post-traumatic stress disorder. Int. Dent. J. 2020, 71, 167–171. [Google Scholar] [CrossRef] [PubMed]
- Ebrahim, S.; Montoya, L.; Busse, J.W.; Carrasco-Labra, A.; Guyatt, G.H. Medically Unexplained Syndromes Research Group. The effectiveness of splint therapy in patients with temporomandibular disorders: A systematic review and meta-analysis. J. Am. Dent. Assoc. 2012, 143, 847–857. [Google Scholar] [CrossRef] [PubMed]
- Fricton, J.; Look, J.O.; Wright, E. Systematic review and meta-analysis of randomized controlled trials evaluating intraoral orthopedic appliances for temporomandibular disorders. J. Orofac. Pain 2010, 24, 237–254. [Google Scholar] [PubMed]
- Gray, R.J.M.; Davies, S.J.; Quayle, A.A. Temporomandibular Disorders: A Clinical Approach; British Dental Association: London, UK, 1995. [Google Scholar]
- Shankland, W.E. 2nd. Temporomandibular disorders: Standard treatment options. Gen. Dent. 2004, 52, 349–355. [Google Scholar]
- Conti, P.C.; dos Santos, C.N.; Kogawa, E.M.; de Castro Ferreira Conti, A.C.; de Araujo Cdos, R. The treatment of painful temporomandibular joint clicking with oral splints: A randomized clinical trial. J. Am. Dent. Assoc. 2006, 137, 1108–1114. [Google Scholar] [CrossRef] [PubMed]
- Truelove, E.; Huggins, K.H.; Mancl, L.; Dworkin, S.F. The efficacy of traditional, low-cost and nonsplint therapies for temporomandibular disorder: A randomized controlled trial. J. Am. Dent. Assoc. 2006, 137, 1099–1107. [Google Scholar] [CrossRef]
- Al-Moraissi, E.A.; Farea, R.; Qasem, K.A.; Al-Wadeai, M.S.; Al-Sabahi, M.E.; Al-Iryani, G.M. Effectiveness of occlusal splint therapy in the management of temporomandibular disorders: Network meta-analysis of randomized controlled trials. Int. J. Oral Maxillofac. Surg. 2020, 49, 1042–1056. [Google Scholar] [CrossRef] [PubMed]
- Wänman, A.; Marklund, S. Treatment outcome of supervised exercise, home exercise and bite splint therapy, respectively, in patients with symptomatic disc displacement with reduction: A randomised clinical trial. J. Oral Rehabil. 2020, 47, 143–149. [Google Scholar] [CrossRef] [PubMed] [PubMed Central]








| An intracapsular biomechanical disorder involving the condyle-disc complex. In the closed mouth position the disc is in an anterior position relative to the condylar head, and the disk intermittently reduces with opening of the mouth. When the disk does not reduce with opening of the mouth, intermittent limited mandibular opening occurs when limited opening occurs, and maneuver may be needed to unlock the TMJ. Medial and lateral displacement after disc may also be present clicking popping or snapping noises occur with disc reduction. |
| Positive for the following: |
| 1A—In the last 30 days any TMJ noises present with jaw movement or function, or |
| 1B—Patient report of any noise present during the exam; and |
| 2—In the last 30 days jaw locks with limited mouth opening even for a moment and then unlocks. |
| Positive for at least one of the following: |
| 1—Clicking, popping and or snapping noise detected during both opening and closing movements, detected with palpation during at least one of the three repetitions of jaw opening and closing. |
| 2A—Clicking popping add or snapping noise detected with palpation during at least one of 3 repetitions of opening or closing movement(s) and |
| 2B—Clicking popping add or snapping noise detected with palpation during at least one of 3 repetitions of right left, lateral or protrusive movement(s) |
| Groups | Gender (F/M) | Age (Mean ± SD) | Affected Side |
|---|---|---|---|
| Conventional Splint | 11F/5M | 27.06 ± 10.60 years | 3 Bilateral 6 Right 7 Left |
| Modified Occlusal Splint | 10F/6M | 22.25 ± 10.65 years | 7 Bilatera l3 Right 6 Left |
| Remodelling Exercise | 14F/2M | 26.63 ± 11.39 years | 7 Bilatera l3 Right 6 Left |
| MOSP | Conventional Treatment | Exercise | |||||||||||||
|---|---|---|---|---|---|---|---|---|---|---|---|---|---|---|---|
| T0 | T1 | T2 | T3 | T4 | T0 | T1 | T2 | T3 | T4 | T0 | T1 | T2 | T3 | T4 | |
| Mean | 3.1 | 0 | 0.44 | 0 | 0.13 | 2.8 | 0 | 0.13 | 0.5 | 0.5 | 2.3 | 0 | 0 | 0 | 0 |
| Std. Deviation | 2.4 | 0 | 1.3 | 0 | 0.5 | 1.9 | 0 | 0.5 | 0.97 | 0.97 | 1.7 | 0 | 0 | 0 | 0 |
| Std. Error of Mean | 0.59 | 0 | 0.33 | 0 | 0.13 | 0.48 | 0 | 0.13 | 0.24 | 0.24 | 0.41 | 0 | 0 | 0 | 0 |
| Lower 95% CI of mean | 1.8 | 0 | −0.26 | 0 | −0.14 | 1.7 | 0 | −0.14 | −0.015 | −0.015 | 1.4 | 0 | 0 | 0 | 0 |
| Upper 95% CI of mean | 4.3 | 0 | 1.1 | 0 | 0.39 | 3.8 | 0 | 0.39 | 1 | 1 | 3.1 | 0 | 0 | 0 | 0 |
| MOSP | Conventional Treatment | Exercise | |||||||||||||
|---|---|---|---|---|---|---|---|---|---|---|---|---|---|---|---|
| T0 | T1 | T2 | T3 | T4 | T0 | T1 | T2 | T3 | T4 | T0 | T1 | T2 | T3 | T4 | |
| Mean | 2.9 | 0 | 0 | 0.063 | 0.063 | 2.8 | 0 | 0.13 | 0.5 | 0.5 | 2.3 | 0.0 | 0.25 | 0.19 | 0.19 |
| Std. Deviation | 0.34 | 0 | 0 | 0.25 | 0.25 | 0.4 | 0 | 0.5 | 0.97 | 0.97 | 0.86 | 0.0 | 0.58 | 0.54 | 0,54 |
| Std. Error of Mean | 0.085 | 0 | 0 | 0.063 | 0.063 | 0.1 | 0 | 0.13 | 0.24 | 0.24 | 0.21 | 0.0 | 0.14 | 0.14 | 0.14 |
| Lower 95% CI of mean | 0.0 | 0.0 | −0.071 | −0.071 | 2.6 | 0.0 | −0.14 | −0.015 | −0.015 | 0.0 | 1.8 | 0.0 | −0.058 | −0.10 | −0.10 |
| Upper 95% CI of mean | 0.0 | 0.0 | 0.20 | 0.20 | 3.0 | 0.0 | 0.39 | 1.0 | 1.0 | 0.0 | 2.7 | 0.0 | 0.56 | 0.48 | 0.48 |
Disclaimer/Publisher’s Note: The statements, opinions and data contained in all publications are solely those of the individual author(s) and contributor(s) and not of MDPI and/or the editor(s). MDPI and/or the editor(s) disclaim responsibility for any injury to people or property resulting from any ideas, methods, instructions or products referred to in the content. |
© 2024 by the authors. Licensee MDPI, Basel, Switzerland. This article is an open access article distributed under the terms and conditions of the Creative Commons Attribution (CC BY) license (https://creativecommons.org/licenses/by/4.0/).
Share and Cite
Prati, S.; Goker, F.; Tumedei, M.; Gianni, A.B.; Del Fabbro, M.; Tartaglia, G.M. Comparison of Modified Occlusal Splint, Standard Splint Protocol, and Conventional Physical Therapy in Management of Temporomandibular Joint Disc Displacement with Reduction and Intermittent Locking: A Randomized Controlled Trial. Appl. Sci. 2024, 14, 11743. https://doi.org/10.3390/app142411743
Prati S, Goker F, Tumedei M, Gianni AB, Del Fabbro M, Tartaglia GM. Comparison of Modified Occlusal Splint, Standard Splint Protocol, and Conventional Physical Therapy in Management of Temporomandibular Joint Disc Displacement with Reduction and Intermittent Locking: A Randomized Controlled Trial. Applied Sciences. 2024; 14(24):11743. https://doi.org/10.3390/app142411743
Chicago/Turabian StylePrati, Sandro, Funda Goker, Margherita Tumedei, Aldo Bruno Gianni, Massimo Del Fabbro, and Gianluca Martino Tartaglia. 2024. "Comparison of Modified Occlusal Splint, Standard Splint Protocol, and Conventional Physical Therapy in Management of Temporomandibular Joint Disc Displacement with Reduction and Intermittent Locking: A Randomized Controlled Trial" Applied Sciences 14, no. 24: 11743. https://doi.org/10.3390/app142411743
APA StylePrati, S., Goker, F., Tumedei, M., Gianni, A. B., Del Fabbro, M., & Tartaglia, G. M. (2024). Comparison of Modified Occlusal Splint, Standard Splint Protocol, and Conventional Physical Therapy in Management of Temporomandibular Joint Disc Displacement with Reduction and Intermittent Locking: A Randomized Controlled Trial. Applied Sciences, 14(24), 11743. https://doi.org/10.3390/app142411743

