Usefulness of the Magnetodynamic Mallet in Tooth Extraction: A Case Series
Abstract
1. Introduction
2. Materials and Methods
2.1. Inclusion Criteria
- Good systemic health without any contraindications to oral surgery and subsequent prosthetic rehabilitations planned;
- Presence of at least one severely compromised dental element to be extracted;
- Willingness to participate in the study protocol, attend the planned appointments, and follow the instructions given by the clinicians;
- Degree of mobility (0 or 1): the degree of mobility was graded clinically by applying firm pressure using the handle of a mirror and a metal tweezer, as specified in Miller’s classification.
2.2. Exclusion Criteria
- -
- Patients with systemic diseases representing a contraindication to oral surgery;
- -
- Irradiation of the head/neck region within 12 months prior to surgery;
- -
- Pregnancy or breast-feeding;
- -
- Poor oral hygiene and lack of motivation to return for checkups.
2.3. Patient Evaluation
- Level of oral hygiene, assessed on the basis of the plaque index;
- Location of the dental element(s) to be extracted;
- Presence of hard lamina as evaluated through endoral X-ray;
- Cause of extraction: caries, orthodontic reasons, or trauma;
- Degree of mobility (0, 1) at the time of extraction;
- Periodontal probing to assess the presence of the buccal plate.
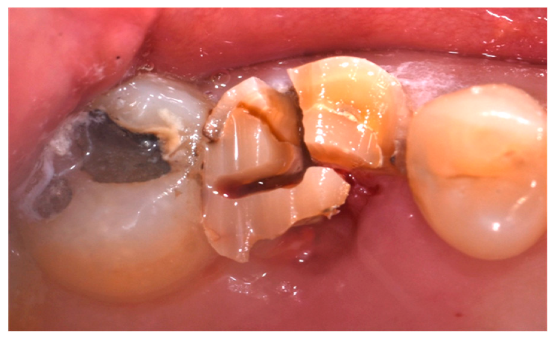
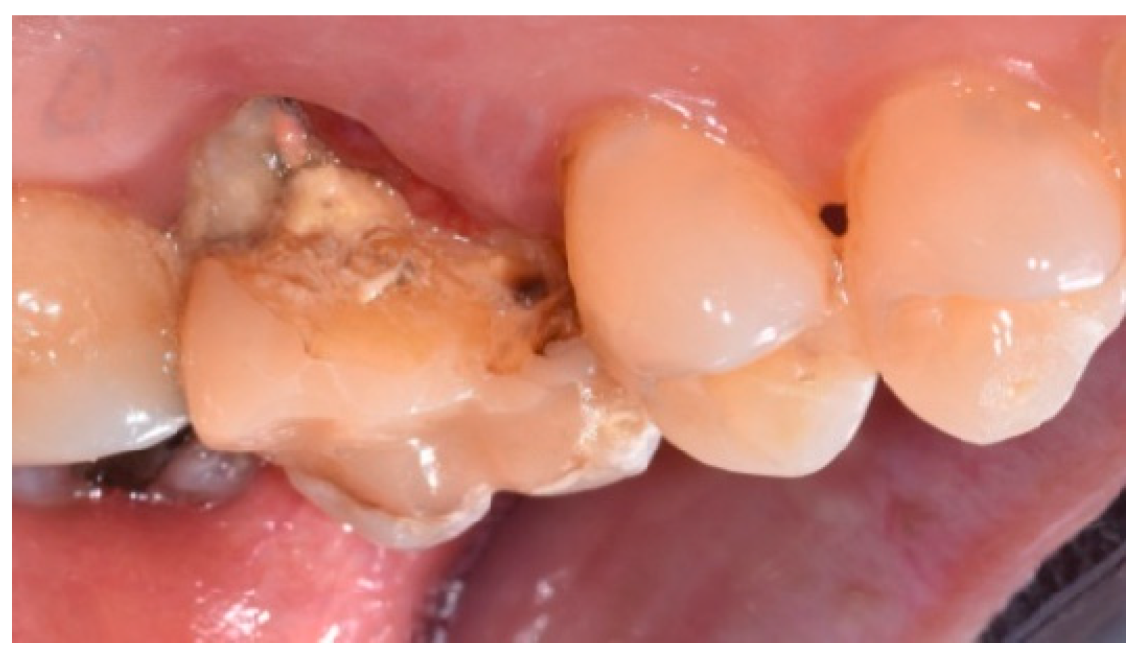
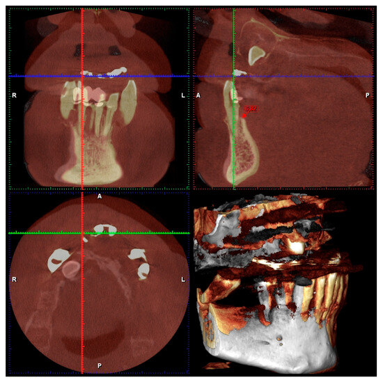
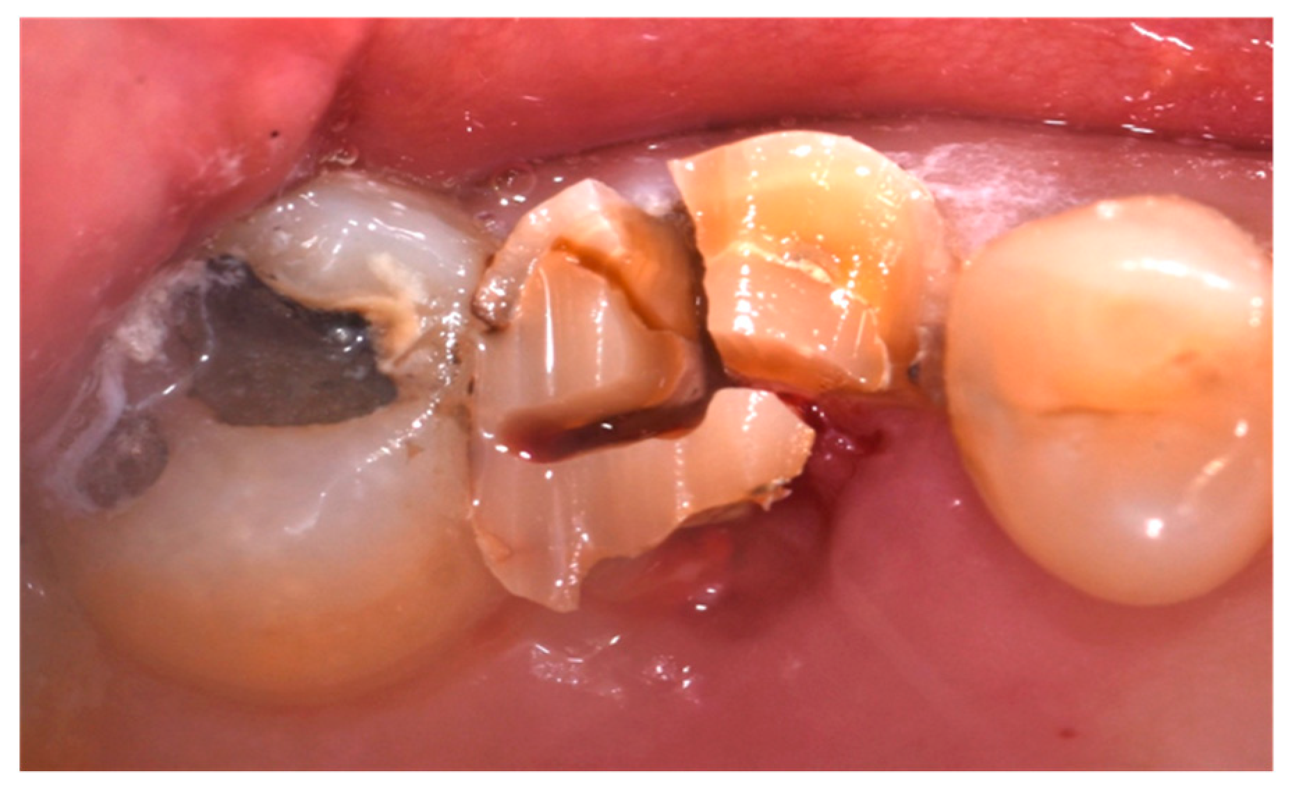
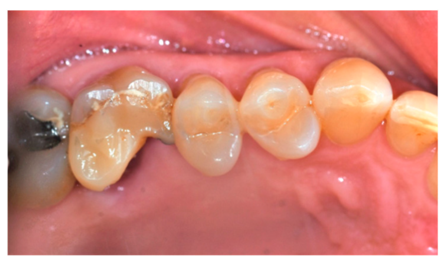
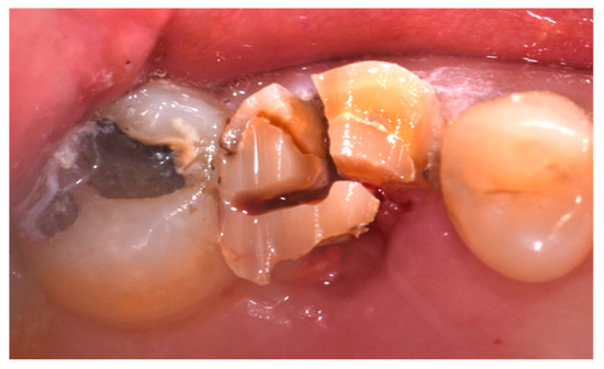
2.4. Surgical Procedure, Evaluation at Follow-Up, and Collection of Radiographic Data
- Icepack in the surgical area for 6 h after surgery, alternating 30 min with and 30 min off;
- Administrations of 875 mg amoxicillin + 125 mg clavulanic acid every 8 h for 5 days;
- Fresh, soft diet for the first 24 h;
- No rinsing during the first 24 h;
- Normal home oral hygiene procedures the day after surgery and rinsing with mouthwash with 0.12% chlorhexidine twice a day for 2 weeks.
- -
- Maximum intensity value selected during dislocation (from 1 to 4);
- -
- Use of Magnetic Mallet® inserts only and code of the insert(s) used;
- -
- Use of Magnetic Mallet® inserts and extraction pliers only;
- -
- Use of inserts, pliers, and hand levers;
- -
- Time of the extraction considered between the end of anesthesia and the avulsion of the element;
- -
- Measurement in mm of the depth of insertion of the instrument into the gingival sulcus;
- -
- Whether inserts were used as levers;
- -
- Indicative percentage of dislocation obtained with the Magnetic Mallet® only;
- -
- Assessment of the heating of the handpiece during use;
- -
- Indicative frequency of blows administered;
- -
- Positioning of the insert;
- -
- Approximation of instrument entry angle with respect to the root;
- -
- Type of noise during instrument use;
- -
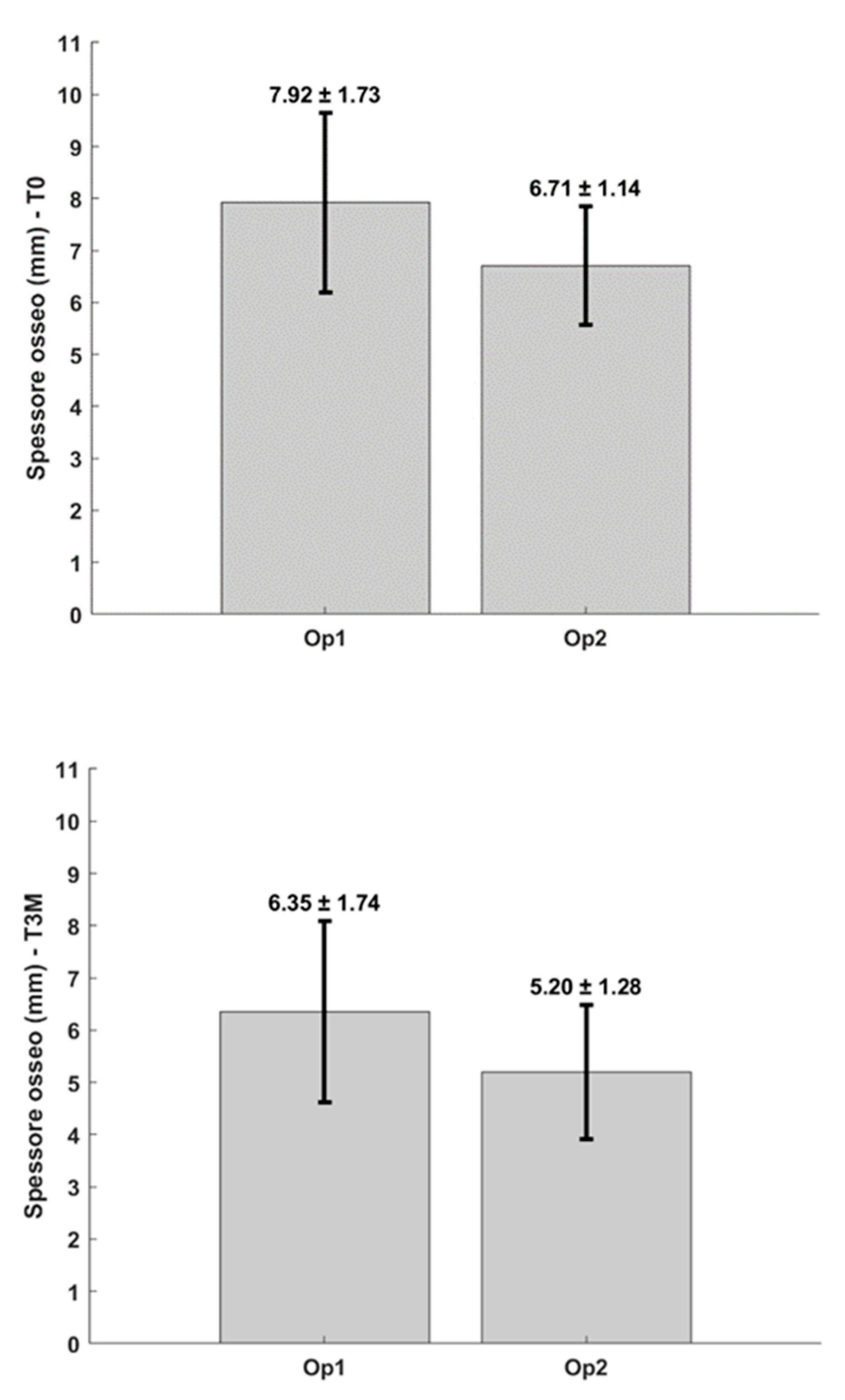
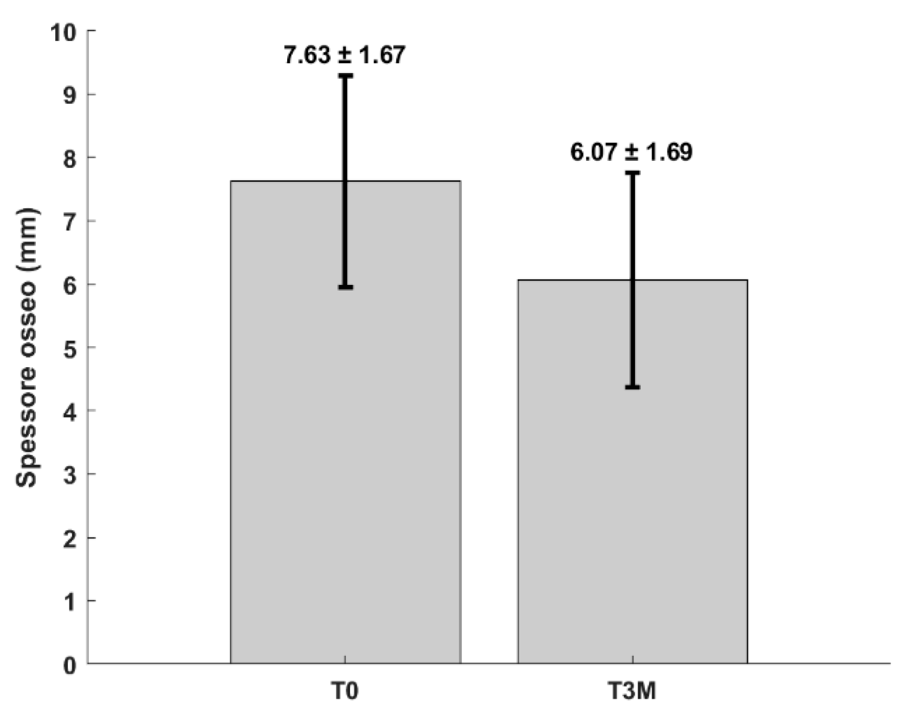
3. Results
4. Discussion
5. Conclusions
Author Contributions
Funding
Institutional Review Board Statement
Informed Consent Statement
Data Availability Statement
Conflicts of Interest
References
- Polzer, I.; Schimmel, M.; Müller, F.; Biffar, R. Edentulism as part of the general health problems of elderly adults. Int. Dent. J. 2010, 60, 143–155. [Google Scholar]
- Trombelli, L.; Farina, R.; Marzola, A.; Bozzi, L.; Liljenberg, B.; Lindhe, J. Modeling and remodeling of human extraction sockets. J. Clin. Periodontol. 2008, 35, 630–639. [Google Scholar] [CrossRef]
- Cardaropoli, G.; Araújo, M.; Lindhe, J. Dynamics of bone tissue formation in tooth extraction sites. An experimental study in dogs. J. Clin. Periodontol. 2003, 30, 809–818. [Google Scholar] [CrossRef]
- Araújo, M.G.; Lindhe, J. Dimensional ridge alterations following tooth extraction. An experimental study in the dog. J. Clin. Periodontol. 2005, 32, 212–218. [Google Scholar] [CrossRef]
- Araujo, M.G.; Silva, C.O.; Misawa, M.; Sukekava, F. Alveolar socket healing: What can we learn? Periodontology 2000 2015, 68, 122–134. [Google Scholar] [CrossRef]
- Ashman, A. Postextraction ridge preservation using a synthetic alloplast. Implant. Dent. 2000, 9, 168–176. [Google Scholar] [CrossRef]
- Araújo, M.G.; Lindhe, J. Socket grafting with the use of autologous bone: An experimental study in the dog. Clin. Oral Implant. Res. 2011, 22, 9–13. [Google Scholar] [CrossRef]
- Ten Heggeler, J.M.; Slot, D.E.; Van der Weijden, G.A. Effect of socket preservation therapies following tooth extraction in non-molar regions in humans: A systematic review. Clin. Oral Implant. Res. 2011, 22, 779–788. [Google Scholar] [CrossRef]
- Vignoletti, F.; Matesanz, P.; Rodrigo, D.; Figuero, E.; Martin, C.; Sanz, M. Surgical protocols for ridge preservation after tooth extraction. A systematic review. Clin. Oral Implant. Res. 2012, 23 (Suppl. S5), 22–38. [Google Scholar] [CrossRef]
- Atieh, M.A.; Alsabeeha, N.H.; Payne, A.G.; Duncan, W.; Faggion, C.M.; Esposito, M. Interventions for replacing missing teeth: Alveolar ridge preservation techniques for dental implant site development. Cochrane Database Syst. Rev. 2015. [Google Scholar] [CrossRef]
- Jung, R.E.; Philipp, A.; Annen, B.M.; Signorelli, L.; Thoma, D.S.; Hämmerle, C.H.; Attin, T.; Schmidlin, P. Radiographic evaluation of different techniques for ridge preservation after tooth extraction: A randomized controlled clinical trial. J. Clin. Periodontol. 2013, 40, 90–98. [Google Scholar] [CrossRef] [PubMed]
- Hammerle, C.H.; Araujo, M.G.; Simion, M. Evidence-based knowledge on the biology and treatment of extraction sockets. Clin. Oral Implants Res. 2012, 23, 80–82. [Google Scholar] [CrossRef] [PubMed]
- Kalsi, A.S.; Kalsi, J.S.; Bassi, S. Alveolar ridge preservation: Why, when and how. Br. Dent. J. 2019, 227, 264–274. [Google Scholar] [CrossRef] [PubMed]
- Horvath, A.; Mardas, N.; Mezzomo, L.A.; Needleman, I.G.; Donos, N. Alveolar ridge preservation. A systematic review. Clin. Oral Investig. 2013, 17, 341–363. [Google Scholar] [CrossRef] [PubMed]
- Baldi, D.; Colombo, J.; Motta, F.; Motta, F.M.; Zillio, A.; Scotti, N. Digital vs. Freehand Anterior Single-Tooth Implant Restoration. BioMed Res. Int. 2020, 2020, 4012127. [Google Scholar] [CrossRef]
- Baldi, D.; Colombo, J.; Stacchi, C.; Robiony, M.; Schierano, G. Small diameter and immediate loading implantology: A minimally invasive technique. Dent. Cadmos 2020, 88, 518–525. [Google Scholar]
- Crespi, R.; Capparè, P.; Gherlone, E. Electrical mallet provides essential advantages in maxillary bone condensing. A prospective clinical study. Clin. Implant. Dent. Relat. Res. 2013, 15, 874–882. [Google Scholar] [CrossRef]
- McKenzie, W.S. Principles of Exodontia. Oral Maxillofac. Surg. Clin. N. Am. 2020, 32, 511–517. [Google Scholar] [CrossRef]
- Rodrigues, J.; Palma, L.F.; da Silva, G.S.; França, L.S.; Alves, L.A.; Raggio, D.P.; Tedesco, T.K. Strategies for Pain Management after Extraction of Primary Teeth: A Systematic Review of Randomized Clinical Trials. Curr. Pediatr. Rev. 2024. [Google Scholar] [CrossRef]
- Quayle, A.A. Atraumatic removal of teeth and root fragments in dental implantology. Int. J. Oral Maxillofac. Implant. 1990, 5, 293–296. [Google Scholar]
- Levitt, D. Atraumatic extraction and root retrieval using the periotome: A precursor to immediate placement of dental implants. Dent. Today 2001, 20, 53–57. [Google Scholar] [PubMed]
- Kubilius, M.; Kubilius, R.; Gleiznys, A. The Preservation of Alveolar Bone Ridge during Tooth Extraction. Stomatologija 2012, 14, 3–11. Available online: http://www.ncbi.nlm.nih.gov/pubmed/22617329 (accessed on 15 October 2021). [PubMed]
- Misch, C.E.; Perez, H.M. Atraumatic Extractions: A Biomechanical Rationale. Dent. Today 2008, 27, 98, 100–101. [Google Scholar] [PubMed]
- Thomson, P.J. Minimising trauma in dental extractions: The use of the periotome. Br. Dent. J. 1992, 172, 179. [Google Scholar] [CrossRef]
- Sharma, S.D.; Vidya, B.; Alexander, M.; Deshmukh, S. Periotome as an Aid to Atraumatic Extraction: A Comparative Double Blind Randomized Controlled Trial. J. Maxillofac. Oral Surg. 2015, 14, 611–615. [Google Scholar] [CrossRef]
- Krug, R.; Connert, T.; Soliman, S.; Syfrig, B.; Dietrich, T.; Krastl, G. Surgical extrusion with an atraumatic extraction system: A clinical study. J. Prosthet. Dent. 2018, 120, 879–885. [Google Scholar] [CrossRef]
- Al-Harbi, S.H. Minimizing trauma during tooth removal: A systematic sectioning approach. Eur. J. Esthet. Dent. Off. J. Eur. Acad. Esthet. Dent. 2010, 5, 274–287. [Google Scholar]
- Saund, D.; Dietrich, T. Minimally-invasive tooth extraction: Doorknobs and strings revisited! Dent. Update 2013, 40, 325–326, 328–330. [Google Scholar] [CrossRef]
- Raghu, K.; Selvakumar, S.R.; Muthukumar, R.; Thangavelu, A.; Sathyanarayanan, R.; Mani, M.; Balasubramaniam, M. Beak and bumper—Physics forceps: Evaluation of new technique in extraction. Indian J. Dent. Res. Off. Publ. Indian Soc. Dent. Res. 2020, 31, 4–13. [Google Scholar] [CrossRef]
- Bennardo, F.; Barone, S.; Vocaturo, C.; Nucci, L.; Antonelli, A.; Giudice, A. Usefulness of Magnetic Mallet in Oral Surgery and Implantology: A Systematic Review. J. Pers. Med. 2022, 12, 108. [Google Scholar] [CrossRef]
- Bennardo, F.; Barone, S.; Vocaturo, C.; Gheorghe, D.N.; Cosentini, G.; Antonelli, A.; Giudice, A. Comparison between Magneto-Dynamic, Piezoelectric and conventional surgery for dental extractions: A pilot study. Dent. J. 2023, 11, 60. [Google Scholar] [CrossRef] [PubMed]
- Baldi, D.; Jones, J.M.; Lertora, E.; Burgio, C.; Lugas, A.T.; Schierano, G.; Colombo, J. Influence of dental implant site preparation method on three aspects of the site: Magnetodynamic mallet versus conventional drill. Explor. Med. 2024, 5, 467–476. [Google Scholar] [CrossRef]
- Cervino, G.; Fiorillo, L.; Scotti, N.; Motta, F.A.; Motta, F.M.; Colombo, J.; Heboyan, A.; Baldi, D. Magneto-dynamic tool for full arch immediate loading in post-traumatic restoration with narrow implants: A case report. SAGE Open Med. Case Rep. 2024, 12, 2050313X241241191. [Google Scholar] [CrossRef] [PubMed]
- Dura Haddad, C.; Andreatti, L.; Zelezetsky, I.; Porrelli, D.; Turco, G.; Bevilacqua, L.; Maglione, M. Primary Stability of Implants Inserted into Polyurethane Blocks: Micro-CT and Analysis In Vitro. Bioengineering 2024, 11, 383. [Google Scholar] [CrossRef] [PubMed]
- Antonelli, A.; Barone, S.; Attanasio, F.; Salviati, M.; Cerra, M.G.; Calabria, E.; Bennardo, F.; Giudice, A. Effect of Implant Macro-Design and Magnetodynamic Surgical Preparation on Primary Implant Stability: An In Vitro Investigation. Dent. J. 2023, 11, 227. [Google Scholar] [CrossRef]
- De Robertis, N. Guided magnetic-dynamic implant site preparation. A new opportunity in Digital Dentistry. J. Dent. 2024, 147, 105205. [Google Scholar] [CrossRef]
- Schropp, L.; Wenzel, A.; Kostopoulos, L.; Karring, T. Bone healing and soft tissue contour changes following single tooth extraction: A clinical and radiographic 12-month prospective study. Int. J. Periodontics Restor. Dent. 2003, 23, 313–323. [Google Scholar]
- Thalmair, T.; Fickl, S.; Schneider, D.; Hinze, M.; Wachtel, H. Dimensional alterations of extraction sites after different alveolar ridge preservation techniques—A volumetric study. Clin. Periodontol. 2013, 40, 721–727. [Google Scholar] [CrossRef]
- Araújo, M.G.; da Silva, J.C.C.; de Mendonça, A.F.; Lindhe, J. Ridge alterations following grafting of fresh extraction sockets in man. A randomized clinical trial. Clin. Oral Implant. Res. 2015, 26, 407–412. [Google Scholar] [CrossRef]
- Kim, Y.K.; Yun, P.Y.; Lee, H.J.; Ahn, J.Y.; Kim, S.G. Ridge preservation of the molar extraction socket using collagen sponge and xenogeneic bone grafts. Implant. Dent. 2011, 20, 267–272. [Google Scholar] [CrossRef]
- Shakibaie-M, B. Comparison of the effectiveness of two different bone substitute materials for socket preservation after tooth extraction: A controlled clinical study. Int. J. Periodontics Restor. Dent. 2013, 33, 223–228. [Google Scholar] [CrossRef] [PubMed]
- Cardaropoli, D.; Tamagnone, L.; Roffredo, A.; Gaveglio, L.; Cardaropoli, G. Socket preservation using bovine bone mineral and collagen membrane: A randomized controlled clinical trial with histologic analysis. Int. J. Periodontics Restor. Dent. 2012, 32, 421–430. [Google Scholar]
- Oghli, A.A.; Steveling, H. Ridge preservation following tooth extraction: A comparison between atraumatic extraction and socket seal surgery. Quintessence Int. 2010, 41, 605–609. [Google Scholar] [PubMed]
- Cardaropoli, D.; Cardaropoli, G. Preservation of the postextraction alveolar ridge: A clinical and histologic study. Int. J. Periodontics Restor. Dent. 2008, 28, 469–477. [Google Scholar]
- Kutkut, A.; Andreana, S.; Kim, H.L.; Monaco, E., Jr. Extraction socket preservation graft before implant placement with calcium sulfate hemihydrate and platelet-rich plasma: A clinical and histomorphometric study in humans. J. Periodontol. 2012, 83, 401–409. [Google Scholar] [CrossRef]
- Clozza, E.; Biasotto, M.; Cavalli, F.; Moimas, L.; Di Lenarda, R. Three-dimensional evaluation of bone changes following ridge preservation procedures. Int. J. Oral Maxillofac. Implant. 2012, 27, 770–775. [Google Scholar]
- Neiva, R.F.; Tsao, Y.P.; Eber, R.; Shotwell, J.; Billy, E.; Wang, H.L. Effects of a putty-form hydroxyapatite matrix combined with the synthetic cell-binding peptide P-15 on alveolar ridge preservation. J. Periodontol. 2008, 79, 291–299. [Google Scholar] [CrossRef]
- Toloue, S.M.; Chesnoiu-Matei, I.; Blanchard, S.B. A clinical and histomorphometric study of calcium sulfate compared with freeze-dried bone allograft for alveolar ridge preservation. J. Periodontol. 2012, 83, 847–855. [Google Scholar] [CrossRef]
- Cook, D.C.; Mealey, B.L. Histologic comparison of healing following tooth extraction with ridge preservation using two different xenograft protocols. J. Periodontol. 2013, 84, 585–594. [Google Scholar] [CrossRef]
- Schierano, G.; Baldi, D.; Peirone, B.; Von Degerfeld, M.M.; Navone, R.; Bragoni, A.; Colombo, J.; Autelli, R.; Muzio, G. Biomolecular, Histological, Clinical, and Radiological Analyses of Dental Implant Bone Sites Prepared Using Magnetic Mallet Technology: A Pilot Study in Animals. Materials 2021, 14, 6945. [Google Scholar] [CrossRef]
- Saldanha, J.B.; Casati, M.Z.; Neto, F.H.; Sallum, E.A.; Nociti, F.H., Jr. Smoking may affect the alveolar process dimensions and radiographic bone density in maxillary extraction sites: A prospective study in humans. J. Oral Maxillofac. Surg. 2006, 64, 1359–1365. [Google Scholar] [CrossRef] [PubMed]
- AlHaj, M.A.K.; Baseer, M.A.; AlSaffan, A.D.; Ingle, N.A. Comparative Assessment of Oral Health Attitudes and Behaviors of First-Time and Previous Dental Patients Undergoing Exodontia Treatment During the COVID-19 Pandemic in Private Dental Clinics in Riyadh City, Saudi Arabia. Risk Manag. Healthc. Policy 2023, 16, 1679–1691. [Google Scholar] [CrossRef] [PubMed]
- Chien, A.T.; Stehle, N.E.; Karian, B.K. The Use of Chisels in the Extraction of Mandibular Third Molars: A Technique That May Prevent the Aerosolization of Severe Acute Respiratory Syndrome Coronavirus 2. J. Oral Maxillofac. Surg. 2021, 79, 1199–1206. [Google Scholar] [CrossRef] [PubMed]















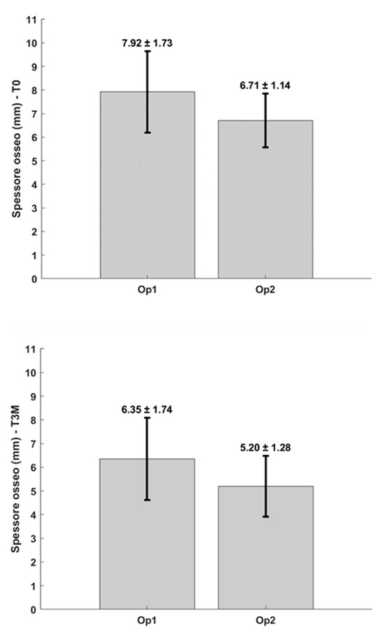
| Patient/Age | Surgeon | Tooth | MM‘s Power Set | MM Insert | Instrument’s Insertion Depth | Extraction Time | T0 | T3 |
|---|---|---|---|---|---|---|---|---|
| S.M.—66 | D.B. | 16 | 2–3 | EXTR 3 | 5 mm | 4 min | 12.8 | 11 |
| M.F.—70 | D.B. | 12 | 2 | EXTR 3F | 4 mm | 3 min | 7.97 | 6.72 |
| 11 | 2 | EXTR 3F | 4 mm | 2 min | 7.88 | 6.38 | ||
| 21 | 2 | EXTR 3F | 4 mm | 2 min | 6.77 | 5.02 | ||
| 22 | 2 | EXTR 3F | 4 mm | 4 min | 7.83 | 6.58 | ||
| 32 | 3 | EXTR 3F | 4 mm | 5 min | 7.78 | 6.03 | ||
| G.F.—59 | D.B. | 13 | 2 | EXTR 2F | 5 mm | 5 min | 8.2 | 6.2 |
| 12 | 2 | EXTR 2F | 3 mm | 5 min | 6.5 | 4 | ||
| 11 | 2 | EXTR 2F | 3 mm | 2 min | 6.4 | 5.7 | ||
| 21 | 2 | EXTR 2F | 4 mm | 3 min | 8.2 | 7 | ||
| 22 | 2 | EXTR 2F | 5 mm | 2 min | 7.2 | 6 | ||
| 23 | 2 | EXTR 2F | 5 mm | 5 min | 8.7 | 6 | ||
| 17 | 3 | EXTR 2F | 5 mm | 5 min | 10.4 | 8.6 | ||
| M.M.—62 | D.B. | 25 | 3 | EXTR 2F | 4 mm | 6 min | 8.1 | 7 |
| 22 | 3 | EXTR 2F | 4 mm | 7 min | 7.25 | 6 | ||
| 23 | 2 | EXTR 2F | 5 mm | 5 min | 6.3 | 4.6 | ||
| 21 | 2 | EXTR 3F | 4 mm | 2 min | 8 | 6.5 | ||
| 11 | 2 | EXTR 3F | 4 mm | 2 min | 8.4 | 7 | ||
| 12 | 2 | EXTR 3F | 4 mm | 2 min | 7.5 | 6.5 | ||
| 27 | 3 | EXTR 2F | 5 mm | 5 min | 11.4 | 10 | ||
| C.M.—73 | D.B. | 21 | 3 | EXTR 3F | 5 mm | 3 min | 5.6 | 4.2 |
| 22 | 2 | EXTR 3F | 5 mm | 3 min | 5.97 | 4.12 | ||
| F.M.—65 | D.B. | 34 | 1 | EXTR 3F | 6 mm | 2 min | 7.01 | 5.26 |
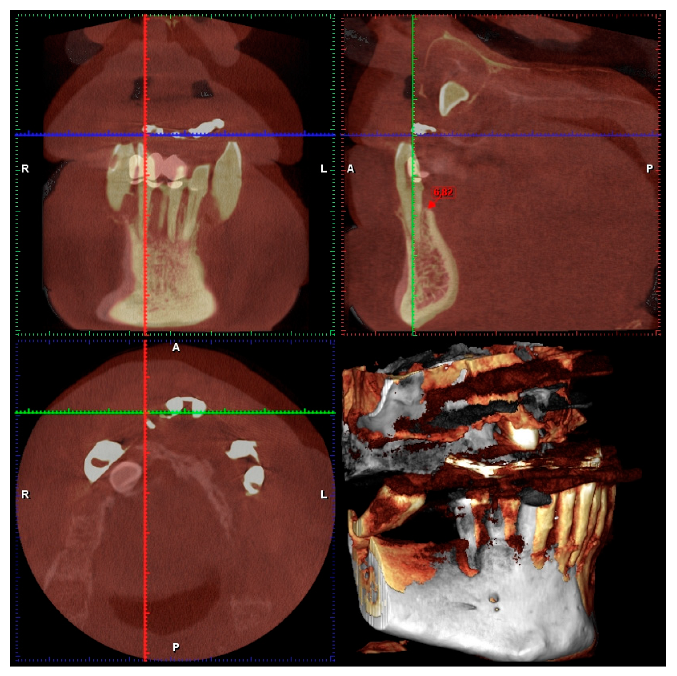
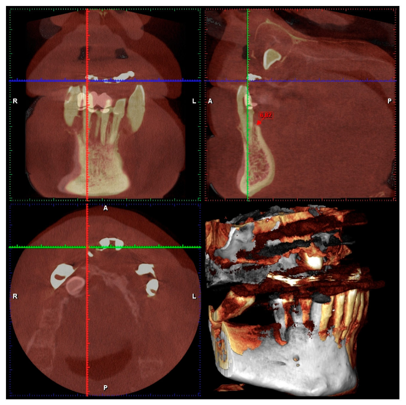
| J.C.—72 | J.C. | 43 | 2 | EXTR 4F | 4 mm | 4 min | 6.82 | 5.48 |
| J.C.—72 | J.C. | 42 | 2 | EXTR 2F | 4 mm | 5 min | 6.28 | 4.89 |
| J.C.—72 | J.C. | 41 | 2 | EXTR 2F | 4 mm | 2 min | 5.69 | 3.92 |
| J.C.—72 | J.C. | 31 | 2 | EXTR 2F | 4 mm | 3 min | 5.56 | 3.8 |
| J.C.—72 | J.C. | 32 | 2 | EXTR 2F | 4 mm | 2 min | 6.42 | 4.75 |
| L.M.—38 | J.C. | 24 | 1 | EXTR 3F | 5 mm | 2 min | 8.92 | 7.46 |
Disclaimer/Publisher’s Note: The statements, opinions and data contained in all publications are solely those of the individual author(s) and contributor(s) and not of MDPI and/or the editor(s). MDPI and/or the editor(s) disclaim responsibility for any injury to people or property resulting from any ideas, methods, instructions or products referred to in the content. |
© 2024 by the authors. Licensee MDPI, Basel, Switzerland. This article is an open access article distributed under the terms and conditions of the Creative Commons Attribution (CC BY) license (https://creativecommons.org/licenses/by/4.0/).
Share and Cite
Baldi, D.; Baldi, F.; Giordano, F.; De Giorgis, L.; Bagnasco, F.; Lugas, A.T.; Menini, M.; Colombo, J. Usefulness of the Magnetodynamic Mallet in Tooth Extraction: A Case Series. Appl. Sci. 2024, 14, 10623. https://doi.org/10.3390/app142210623
Baldi D, Baldi F, Giordano F, De Giorgis L, Bagnasco F, Lugas AT, Menini M, Colombo J. Usefulness of the Magnetodynamic Mallet in Tooth Extraction: A Case Series. Applied Sciences. 2024; 14(22):10623. https://doi.org/10.3390/app142210623
Chicago/Turabian StyleBaldi, Domenico, Francesca Baldi, Federica Giordano, Luisa De Giorgis, Francesco Bagnasco, Andrea Tancredi Lugas, Maria Menini, and Jacopo Colombo. 2024. "Usefulness of the Magnetodynamic Mallet in Tooth Extraction: A Case Series" Applied Sciences 14, no. 22: 10623. https://doi.org/10.3390/app142210623
APA StyleBaldi, D., Baldi, F., Giordano, F., De Giorgis, L., Bagnasco, F., Lugas, A. T., Menini, M., & Colombo, J. (2024). Usefulness of the Magnetodynamic Mallet in Tooth Extraction: A Case Series. Applied Sciences, 14(22), 10623. https://doi.org/10.3390/app142210623

