Machine Learning Platform for Disease Diagnosis with Contrast CT Scans
Abstract
1. Introduction
2. Related Works
3. Foundation of Medical Image Analytics with Machine Learning
3.1. Machine Learning Algorithms for Medical Image Analytics
- CNN for image classification, segmentation, and object detection tasks
- RNN for analyzing time-series medical images or volumetric data
- GAN for image data augmentation, image synthesis, and image-to-image translation
- SVM for medical image classification and abnormality detection
3.2. Contrast-Enhanced Computed Tomography
3.3. Tasks in the Disease Diagnosis Process with CECT
4. Design of the Platform
4.1. Architecture Design with Microkernel Style
- Separation of Concerns: Microkernels separate the invariant components from the components with variability, allowing for a clear separation of concerns.
- Customizability: The functionality of components with variability can be customized for specific diseases, diagnosis methods, and ML models applied. Updating or replacing plugin objects does not require modifying the kernel, making the system adaptable and extensible.
- Platform Independence: The components in the core control layer are stable and platform-specific elements, making it easier to port to different medical image analytics applications.
4.2. Design of Functional Components
4.3. Design of Persistent Datasets
4.4. Design of the Unified Diagnosis Process
4.5. Design of the Diagnosis Manager
4.6. Design of Machine Learning Models
- Organ Segmentation Model for segmenting a target organ based on CECT slices.
- Lesion Segmentation Model for segmenting lesions based on CECT slices.
- Tumor Segmentation Model for segmenting tumors based on lesions.
- Image Feature Classifier for classifying various image features.
- Disease Type Classifier for classifying diseases from the identified tumors and their medical features.
- Disease Stage Classifier for classifying a stage for the identified diseases.
5. Case Study of Developing Liver Cancer Diagnosis
5.1. The HCC Type of Liver Cancer
5.2. Customizing the Platform for HCC Diagnosis
5.2.1. Designing the Schematic Architecture
5.2.2. Applying the Diagnosis Process for HCC Diagnosis
5.2.3. Refining the Diagnosis Manager for HCC Diagnosis
5.2.4. Applying the Database for the HCC Diagnosis System
5.3. Training ML Models for HCC Diagnosis
5.3.1. Training Set of Labeled CECT Scans
- Step 1. Identifying the Region of Interest (ROI), i.e., target elements such as organs, lesions, and tumors. We used touch-screen monitors and stylus pens to delineate the border areas.
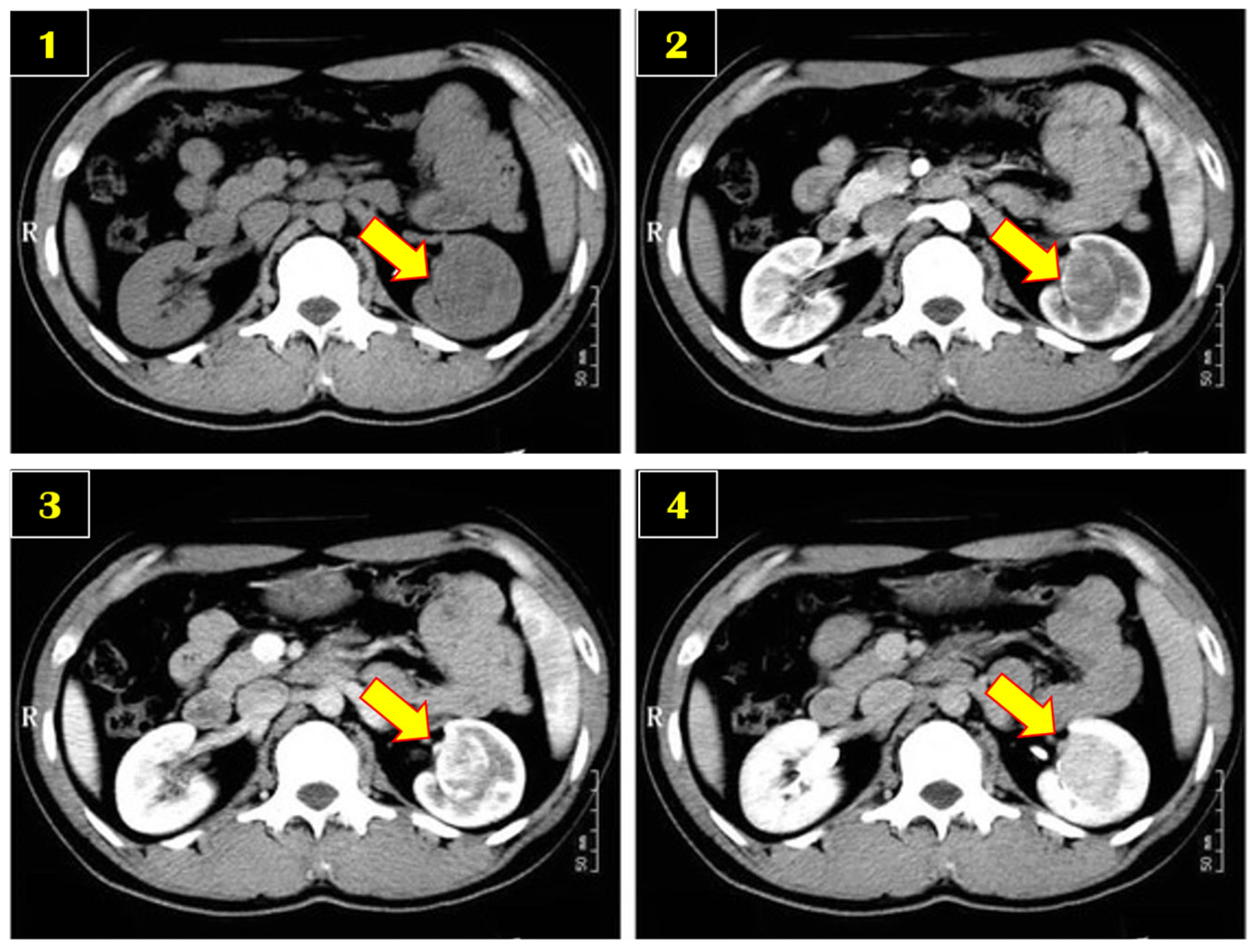
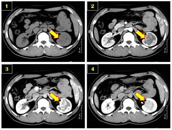
- Step 2. Creating the Mask: Once the ROI is identified, the mask is created by a software library for converting borderlines into masks. Masks are then represented as a set of pixel values corresponding to the ROI, such as [0, 0, 255]. An example of an original CT slice and its masked image of the liver is shown in Figure 11.
5.3.2. Training ML Models for HCC
5.3.3. Integrating an Image Feature Classifier and an HCC Type Classifier
5.4. Implementing the HCC Diagnosis System
5.4.1. Hardware Environment for Training and Running ML Models
- Processor: AMD Ryzen Threadripper 7970X with 32 Cores and 64 Threads
- GPU: Two NVIDIA RTX 4090 GPUs, each with 24 GB VRAM
- RAM: 256 GB DDR4
5.4.2. User Interface of the System
5.4.3. Experiments with the CECT Test Set
5.4.4. Performance of Machine Learning Models
5.4.5. Execution Performance of the ML Models
6. Assessment of the Platform
6.1. Evaluating Functional Coverage of the Platform
- The number of functional components that fulfill the functional requirements.
- The number of persistent object classes that manage the persistent datasets.
- The number of diagnostic tasks specified in the main diagnosis process.
- The number of machine learning models required by the functional components.
- Additional Functional Component: Liver Lesion TrackerThis is a specialized software component designed to monitor and document changes in liver lesions over time. This functionality is crucial for the effective management and treatment of liver diseases, particularly hepatocellular carcinoma (HCC), as specified in the LI-RADS framework.
- Additional Task in the Diagnosis Process: Specializing Step 9 for Tracking LesionsStep 9 of the diagnosis process in Section 4.4 has been specialized to support the additional functionality of tracking lesions on the liver.
- An Additional ML Model in the Diagnosis Process: Hepatic Segmentation ModelThis model is required for segmenting hepatic segments on liver organs. These models are trained using the U-Net algorithm to utilize the encoder–decoder feature that allows for precise localization and segmentation.
6.2. Evaluating the Feature Satisfaction Index
- Nf is the total number of features provided by the platform.
- wi is the weight assigned to each feature i, representing the relative importance of each feature in the context of the platform’s overall objectives. Its value ranges between 0 and 1. Features critical to the platform’s functionality are assigned higher weights, while less critical features receive lower weights.
- ci is the compliance score of each feature i, indicating how well the feature is implemented. The compliance score assesses how well each feature meets its requirements. Its value ranges between 0 and 1. The value 0 indicates that the feature does not meet the requirements at all, and the value 1 indicates full compliance.
7. Concluding Remarks
- Unified Software Process of Diagnosis: Proposing a software process that fully automates the entire procedure involved in CECT-based disease diagnosis.
- Integration of Essential ML Models: Identifying and integrating six core machine learning models to support various diagnostic tasks, thereby reducing the technical complexity of developing high-performing diagnostic systems.
- Configurable and Extensible Design: Designing the platform to be highly configurable and extendable, enabling efficient customization for different diagnostic requirements.
Author Contributions
Funding
Institutional Review Board Statement
Informed Consent Statement
Data Availability Statement
Conflicts of Interest
References
- Tao, L.L.; Dai, Y.; Yin, W.; Chen, J. A case report of a renal anastomosing hemangioma and a literature review: An unusual variant histologically mimicking angiosarcoma. Diagn. Pathol. 2014, 9, 159. [Google Scholar] [CrossRef]
- Wang, B.; Jin, S.; Yan, Q.; Xu, H.; Luo, C.; Wei, L.; Zhao, W.; Hou, X.; Ma, W.; Xu, Z.; et al. AI-assisted CT imaging analysis for COVID-19 screening: Building and deploying a medical AI system. Appl. Soft Comput. 2021, 98, 106897. [Google Scholar] [CrossRef] [PubMed]
- Kouanou, A.T.; Tchiotsop, D.; Kengne, R.; Zephirin, D.T.; Armele, N.M.A.; Tchinda, R. An optimal big data workflow for biomedical image analysis. Inform. Med. Unlocked 2018, 11, 68–74. [Google Scholar] [CrossRef]
- Mansour, R.F.; Escorcia-Gutierrez, J.; Gamarra, M.; Díaz, V.G.; Gupta, D.; Kumar, S. Artificial intelligence with big data analytics-based brain intracranial hemorrhage e-diagnosis using CT images. Neural Comput. Appl. 2023, 35, 16037–16049. [Google Scholar] [CrossRef]
- Dhar, T.; Dey, N.; Borra, S.; Sherratt, R.S. Challenges of Deep Learning in Medical Image Analysis—Improving Explainability and Trust. IEEE Trans. Technol. Soc. 2023, 4, 68–75. [Google Scholar] [CrossRef]
- Xie, Y.; Chen, M.; Kao, D.; Gao, G.; Chen, X.A. CheXplain: Enabling Physicians to Explore and Understand Data-Driven, AI-Enabled Medical Imaging Analysis. In Proceedings of the 2020 CHI Conference on Human Factors in Computing Systems (CHI ’20), Honolulu, HI, USA, 25–30 April 2020; Association for Computing Machinery: New York, NY, USA, 2020; pp. 1–13. [Google Scholar]
- Olveres, J.; González, G.; Torres, F.; Moreno-Tagle, J.C.; Carbajal-Degante, E.; Valencia-Rodríguez, A.; Méndez-Sánchez, N.; Escalante-Ramírez, B. What is new in computer vision and artificial intelligence in medical image analysis applications. Quant. Imaging Med. Surg. 2021, 11, 3830–3853. [Google Scholar] [CrossRef]
- Lei, Y.; Yin, M.; Yu, M.; Yu, J.; Zeng, S.; Lv, W.; Li, J.; Ye, H.; Cui, X.; Dietrich, C.F. Artificial Intelligence in Medical Imaging of the Breast. Front. Oncol. 2021, 11, 600557. [Google Scholar] [CrossRef] [PubMed]
- Lutnick, B.; Ginley, B.; Govind, D.; McGarry, S.D.; LaViolette, P.S.; Yacoub, R.; Jain, S.; Tomaszewski, J.D.; Jen, K.; Sader, P. An integrated iterative annotation technique for easing neural network training in medical image analysis. Nat. Mach. Intell. 2019, 1, 112–119. [Google Scholar] [CrossRef] [PubMed]
- Mehta, N.; Pandit, A.; Shukla, S. Transforming healthcare with big data analytics and artificial intelligence: A systematic mapping study. J. Biomed. Inform. 2019, 100, 103311. [Google Scholar] [CrossRef]
- Ker, J.; Wang, L.; Rao, J.; Lim, T. Deep Learning Applications in Medical Image Analysis. IEEE Access 2018, 6, 9375–9389. [Google Scholar] [CrossRef]
- Chen, M.; Shi, X.; Zhang, Y.; Wu, D.; Guizani, M. Deep Feature Learning for Medical Image Analysis with Convolutional Autoencoder Neural Network. IEEE Trans. Big Data 2021, 7, 750–758. [Google Scholar] [CrossRef]
- Willemink, M.J.; Koszek, W.A.; Hardell, C.; Wu, J.; Fleischmann, D.; Harvey, H.; Folio, L.R.; Summers, R.M.; Rubin, D.L.; Lungren, M.P. Preparing Medical Imaging Data for Machine Learning. Radiology 2020, 295, 4–15. [Google Scholar] [CrossRef]
- Shi, F.; Wang, J.; Shi, J.; Ziyan, W.; Wang, Q.; Tang, Z.; He, K.; Shi, Y.; Shen, D. Review of Artificial Intelligence Techniques in Imaging Data Acquisition, Segmentation, and Diagnosis for COVID-19. IEEE Rev. Biomed. Eng. 2021, 14, 4–15. [Google Scholar] [CrossRef] [PubMed]
- Gosalia, A.; Haramati, L.B.; Sheth, M.P.; Spindola-Franco, H. CT detection of acute myocardial infarction. Am. J. Roentgenol. 2004, 182, 1563–1566. [Google Scholar] [CrossRef] [PubMed]
- Gonoi, W.; Hayashi, T.Y.; Okuma, H.; Akahane, M.; Nakai, Y.; Mizuno, S.; Tateishi, R.; Isayama, H.; Koike, K.; Ohtomo, K. Development of pancreatic cancer is predictable well in advance using contrast-enhanced CT: A case-cohort study. Eur. Radiol. 2017, 27, 4941–4950. [Google Scholar] [CrossRef] [PubMed]
- Chang, E.H.; Chong, W.K.; Kasoji, S.K.; Fielding, J.R.; Altun, E.; Mullin, L.B.; Kim, J.I.; Fine, J.P.; Dayton, P.A.; Rathmell, W.K. Diagnostic accuracy of contrast-enhanced ultrasound for characterization of kidney lesions in patients with and without chronic kidney disease. BMC Nephrol. 2017, 18, 266. [Google Scholar] [CrossRef] [PubMed]
- Cayet, S.; Pasco, J.; Dujardin, F.; Besson, M.; Orain, I.; De Muret, A.; Miquelestorena-Standley, E.; Thiery, J.; Genet, T.; Le Bayon, A.G. Diagnostic performance of contrast-enhanced CT-scan in sinusoidal obstruction syndrome induced by chemotherapy of colorectal liver metastases: Radio-pathological correlation. Eur. J. Radiol. 2017, 94, 180–190. [Google Scholar] [CrossRef]
- Rawson, J.V.; Pelletier, A.L. When to order contrast-enhanced CT. Am. Fam. Physician 2013, 88, 312–316. [Google Scholar]
- Ohno, Y.; Koyama, H.; Lee, H.Y.; Miura, S.; Yoshikawa, T.; Sugimura, K. Contrast-enhanced CT- and MRI-based perfusion assessment for pulmonary diseases: Basics and clinical applications. Diagn. Interv. Radiol. 2016, 22, 407–421. [Google Scholar] [CrossRef]
- Scheffel, H.; Stolzmann, P.; Frauenfelder, T.; Schertler, T.; Desbiolles, L.; Leschka, S.; Marincek, B.; Alkadhi, H. Dual-energy contrast-enhanced computed tomography for the detection of urinary stone disease. Investig. Radiol. 2007, 42, 823–829. [Google Scholar] [CrossRef] [PubMed]
- Fletcher, J.G.; Johnson, C.D.; Krueger, W.R.; Ahlquist, D.A.; Nelson, H.; Ilstrup, D.; Harmsen, W.S.; Corcoran, K.E. Contrast-enhanced CT colonography in recurrent colorectal carcinoma: Feasibility of simultaneous evaluation for metastatic disease, local recurrence, and metachronous neoplasia in colorectal carcinoma. Am. J. Roentgenol. 2002, 178, 283–290. [Google Scholar] [CrossRef]
- Iavarone, M.; Piscaglia, F.; Vavassori, S.; Galassi, M.; Sangiovanni, A.; Venerandi, L.; Forzenigo, L.V.; Golfieri, R.; Bolondi, L.; Colombo, M. Contrast enhanced CT-scan to diagnose intrahepatic cholangiocarcinoma in patients with cirrhosis. J. Hepatol. 2013, 58, 1188–1193. [Google Scholar] [CrossRef] [PubMed]
- Chen, L.D.; Xu, H.X.; Xie, X.Y.; Lu, M.D.; Xu, Z.F.; Liu, G.J.; Liang, J.Y.; Lin, M.X. Enhancement patterns of intrahepatic cholangiocarcinoma: Comparison between contrast-enhanced ultrasound and contrast-enhanced CT. Br. J. Radiol. 2008, 81, 881–889. [Google Scholar] [CrossRef]
- Prionas, N.D.; Lindfors, K.K.; Ray, S.; Huang, S.Y.; Beckett, L.A.; Monsky, W.L.; Boone, J.M. Contrast-enhanced dedicated breast CT: Initial clinical experience. Radiology 2010, 256, 714–723. [Google Scholar] [CrossRef] [PubMed]
- Cha, S.; Abusharekh, A.; Abidi, S.S. Towards a ‘Big’ Health Data Analytics Platform. In Proceedings of the IEEE First International Conference on Big Data Computing Service and Applications, Redwood City, CA, USA, 30 March–2 April 2015; pp. 233–241. [Google Scholar]
- Vuppala, S.K.; Dinesh, M.S.; Viswanathan, S.; Ramachandran, G.; Bussa, N.; Geetha, M. Cloud based big data platform for image analytics. In Proceedings of the 2017 IEEE International Conference on Cloud Computing in Emerging Markets (CCEM), Bangalore, India, 1–3 November 2017; pp. 11–18. [Google Scholar]
- Chrimes, D.; Moa, B.; Zamani, H.; Kuo, M.H. Interactive healthcare big data analytics platform under simulated performance. In Proceedings of the 2016 IEEE 14th Intl Conf on Dependable, Autonomic and Secure Computing, 14th Intl Conf on Pervasive Intelligence and Computing, 2nd Intl Conf on Big Data Intelligence and Computing and Cyber Science and Technology Congress (DASC/PiCom/DataCom/CyberSciTech), Auckland, New Zealand, 8–12 August 2016; pp. 811–818. [Google Scholar]
- Allen, W.J.; Gabr, R.E.; Tefera, G.B.; Pednekar, A.S.; Vaughn, M.W.; Narayana, P.A. Platform for automated real-time high performance analytics on medical image data. IEEE J. Biomed. Health Inform. 2017, 22, 318–324. [Google Scholar] [CrossRef] [PubMed]
- Kaur, J.; Mann, K.S. AI based healthcare platform for real time, predictive and prescriptive analytics using reactive programming. J. Phys. Conf. Ser. 2017, 933, 012010. [Google Scholar] [CrossRef]
- American College of Radiology. Liver Imaging Reporting and Data System (LI-RADS) Version 2018. Available online: https://www.acr.org/Clinical-Resources/Reporting-and-Data-Systems/LI-RADS (accessed on 21 August 2024).
- Meyer, B. Object-Oriented Software Construction; Prentice Hall: Englewood Cliff, NJ, USA, 1988. [Google Scholar]
- Kim, S.; Her, J.; Chang, S. A theoretical foundation of variability in component-based development. Inf. Softw. Technol. 2005, 47, 663–673. [Google Scholar] [CrossRef]
- American College of Radiology. Breast Imaging Reporting and Data System (BI-RADS). 2013. Available online: https://www.acr.org/Clinical-Resources/Reporting-and-Data-Systems/Bi-Rads (accessed on 21 August 2024).
- American College of Radiology. Prostate Imaging Reporting and Data System (PI-RADS). 2019. Available online: https://www.acr.org/Clinical-Resources/Reporting-and-Data-Systems/PI-RADS (accessed on 21 August 2024).
- Loma Linda University Medical Center. Department of Radiology, Loma Linda, CA, USA. Available online: https://lluh.org/services/radiology (accessed on 21 August 2024).
- Pressman, R.S. Software Engineering: A Practitioner’s Approach; McGraw-Hill: New York, NY, USA, 2014. [Google Scholar]
- Kan, S.H. Metrics and Models in Software Quality Engineering; Addison-Wesley: Reading, MA, USA, 2003. [Google Scholar]















| Diagnosis Tasks | Medical Objects |
|---|---|
| Segmentation | Organ |
| Lesion | |
| Tumor | |
| Classification | Medical Features of Tumors |
| Temporal Change in Tumors | |
| Occurrence of Diseases | |
| Stage of Diseases |
| Functional Components | Variability Type | Variation Points | Variant Scope | Set of Variants |
|---|---|---|---|---|
| Organ Segmentation Manager | Attribute | Organ | Selection | Organ of Interest for Target Disease |
| ML Model | CNN Segmentation Model | Open | U-Net, V-Net, RCNN, FCNN, SegNet, etc. | |
| Lesion Segmentation Manager | Attribute | Set of Target Lesions | Selection | Types of Lesions for Target Disease |
| ML Model | CNN Segmentation Model | Open | U-Net, V-Net, RCNN, FCNN, SegNet, etc. | |
| Tumor Segmentation Manager | Attribute | Set of Target Tumors | Open | Types of Tumors for Target Disease |
| ML Model | CNN Segmentation Model | Open | U-Net, V-Net, RCNN, FCNN, SegNet, etc. | |
| ML Model | RNN Classification Model | Open | Basic RNN, LSTM, GRN, Convolutional LSTM, etc. | |
| Medical Feature Analyzer | Attribute | Set of Medical Feature Types | Open | Types of Medical Features for Target Disease |
| ML Model | Set of ML Models | Open | ML Models for Analyzing Target Medical Features | |
| Disease Type Classifier | Logic | Algorithm for Disease Classification | Open | Algorithm for Classifying Occurrences of Target Disease |
| Disease Stage Classifier | Logic | Algorithm for Stage Classification | Open | Algorithm for Classifying Stage of Disease Occurrence |
| Category | Probability | Imaging Features | Management | |
|---|---|---|---|---|
| LR-1 | Definitely Benign |
|
| |
| LR-2 | Probably Benign |
|
| |
| LR-3 | Intermediate Probability of HCC |
|
| |
| LR-4 | Probably HCC |
|
| |
| LR-5 | Definitely HCC |
|
| |
| LR-5V | Tumor inVein |
|
| |
| LR-M | Probable Malignancy, but Non-specific for HCC | Favor other malignancy:
| Favor HCC:
|
|
| ML Models | Organ Segmentation Model | Lesion Segmentation Model | Tumor Segmentation Model | Hepatic Segmentation Model | Image Feature Classifier | HCC Type Classifier | HCC Stage Classifier |
|---|---|---|---|---|---|---|---|
| ML Category | Segmentation | Classification | |||||
| ML Algorithm | U-Net | CNN | LSTM | SVM | |||
| Functional Components | Organ Segmentation Manager | Lesion Segmentation Manager | Tumor Segmentation Manager | Lesion/Tumor Segmentation Manager | Medical Feature Analyzer | Disease Type Classifier | Disease Stage Classifier |
| Prediction | Liver in CT Slices | Lesions in Liver | Tumors in Lesions | Hepatic Segments | List of Image Features | HCC Occurrence | Stage of HCC |
| Categories of Features | # of Features (Platform) | # of Features (Liver Cancer System) | Functional Coverage (FC) |
|---|---|---|---|
| Functional Components | 12 | 13 | 92.3% |
| Persistent Object Classes | 16 | 16 | 100.0% |
| Tasks in Diagnosis Process | 8 | 9 | 88.9% |
| ML Models for Diagnosis | 6 | 7 | 85.7% |
| Sum | 42 | 45 | 93.3% |
| Nf | Nf |
| Categories | List of Features | Weight (Wi) | Compliance (Ci) | Wi * Ci | Feature Satis. (FS) |
|---|---|---|---|---|---|
| Functional Components | |||||
| Patient Profile Manager | 0.01 | 1 | 0.01 | 100% | |
| Symptom Manager | 0.01 | 1 | 0.01 | 100% | |
| Medical Image Manager | 0.03 | 1 | 0.03 | 100% | |
| Feedback Manager | 0.01 | 1 | 0.01 | 100% | |
| Diagnosis Session Manager | 0.015 | 0.8 | 0.012 | 80% | |
| Diagnosis Report Generator | 0.015 | 0.9 | 0.0135 | 90% | |
| Organ Segmentation Manager | 0.03 | 1 | 0.03 | 100% | |
| Lesion Segmentation Manager | 0.03 | 1 | 0.03 | 100% | |
| Tumor Segmentation Manager | 0.03 | 1 | 0.03 | 100% | |
| Medical Feature Analyzer | 0.03 | 0.7 | 0.021 | 70% | |
| Disease Type Classifier | 0.02 | 0.9 | 0.018 | 90% | |
| Disease Stage Classifier | 0.02 | 0.9 | 0.018 | 90% | |
| Sub-total | 0.25 | 0.2325 | 93.0% | ||
| Persistent Object Classes | |||||
| Patient | 0.01 | 1 | 0.01 | 100% | |
| Diagnosis Report | 0.015 | 1 | 0.015 | 100% | |
| CECT | 0.01 | 1 | 0.01 | 100% | |
| Diagnosis Session | 0.025 | 0.8 | 0.02 | 80% | |
| Disease | 0.025 | 1 | 0.025 | 100% | |
| Lesion | 0.025 | 1 | 0.025 | 100% | |
| Tumor | 0.025 | 1 | 0.025 | 100% | |
| Medical Feature | 0.025 | 0.7 | 0.0175 | 70% | |
| Organ Segmentation Model | 0.01 | 1 | 0.01 | 100% | |
| Lesion Segmentation Model | 0.01 | 1 | 0.01 | 100% | |
| Tumor Segmentation Model | 0.01 | 1 | 0.01 | 100% | |
| Disease Classification Model | 0.01 | 1 | 0.01 | 100% | |
| Stage Classification Model | 0.01 | 1 | 0.01 | 100% | |
| Segmentation Model | 0.01 | 1 | 0.01 | 100% | |
| Machine Learning (ML) Model | 0.02 | 0.9 | 0.018 | 90% | |
| Classification Model | 0.01 | 1 | 0.01 | 100% | |
| Sub-total | 0.25 | 0.2355 | 94.2% | ||
| Tasks in Diagnosis Process | |||||
| Step 3. Segment target organ | 0.035 | 1 | 0.035 | 100% | |
| Step 4. Segment lesions | 0.035 | 1 | 0.035 | 100% | |
| Step 5. Segment tumors | 0.035 | 0.8 | 0.028 | 80% | |
| Step 6. Analyze medical features | 0.035 | 0.7 | 0.0245 | 70% | |
| Step 7. Analyze temporal changes | 0.035 | 0.8 | 0.028 | 80% | |
| Step 8. Classify disease occurrence | 0.03 | 0.8 | 0.024 | 80% | |
| Step 9. Classify disease stages | 0.03 | 0.9 | 0.027 | 90% | |
| Step 10. Generate diagnosis report | 0.015 | 1 | 0.015 | 100% | |
| Sub-total | 0.25 | 0.2165 | 86.6% | ||
| ML Models used in Diagnosis | |||||
| Organ Segmentation Model | 0.04 | 1 | 0.04 | 100% | |
| Lesion Segmentation Model | 0.05 | 1 | 0.05 | 100% | |
| Tumor Segmentation Model | 0.05 | 1 | 0.05 | 100% | |
| Image Feature Classifier | 0.05 | 0.7 | 0.035 | 70% | |
| Disease Type Classifier | 0.03 | 0.9 | 0.027 | 90% | |
| Disease Stage Classifier | 0.03 | 0.9 | 0.027 | 90% | |
| Sub-total | 0.25 | 0.229 | 91.6% | ||
| GRAND TOTAL | 1 | 0.9135 | 91.4% | ||
Disclaimer/Publisher’s Note: The statements, opinions and data contained in all publications are solely those of the individual author(s) and contributor(s) and not of MDPI and/or the editor(s). MDPI and/or the editor(s) disclaim responsibility for any injury to people or property resulting from any ideas, methods, instructions or products referred to in the content. |
© 2024 by the authors. Licensee MDPI, Basel, Switzerland. This article is an open access article distributed under the terms and conditions of the Creative Commons Attribution (CC BY) license (https://creativecommons.org/licenses/by/4.0/).
Share and Cite
Jin, J.; Kim, M.; Kim, S.D.; Jin, D. Machine Learning Platform for Disease Diagnosis with Contrast CT Scans. Appl. Sci. 2024, 14, 7822. https://doi.org/10.3390/app14177822
Jin J, Kim M, Kim SD, Jin D. Machine Learning Platform for Disease Diagnosis with Contrast CT Scans. Applied Sciences. 2024; 14(17):7822. https://doi.org/10.3390/app14177822
Chicago/Turabian StyleJin, Jennifer, Mira Kim, Soo Dong Kim, and Daniel Jin. 2024. "Machine Learning Platform for Disease Diagnosis with Contrast CT Scans" Applied Sciences 14, no. 17: 7822. https://doi.org/10.3390/app14177822
APA StyleJin, J., Kim, M., Kim, S. D., & Jin, D. (2024). Machine Learning Platform for Disease Diagnosis with Contrast CT Scans. Applied Sciences, 14(17), 7822. https://doi.org/10.3390/app14177822
