Synergistic Impact of ARSB, TP53, and Maspin Gene Expressions on Survival Outcomes in Colorectal Cancer: A Comprehensive Clinicopathological Analysis
Abstract
1. Introduction
2. Materials and Methods
2.1. Selection of the Cases
2.2. Immunohistochemical Study
2.3. Gene Expression Study
2.4. Statistical Analysis
3. Results
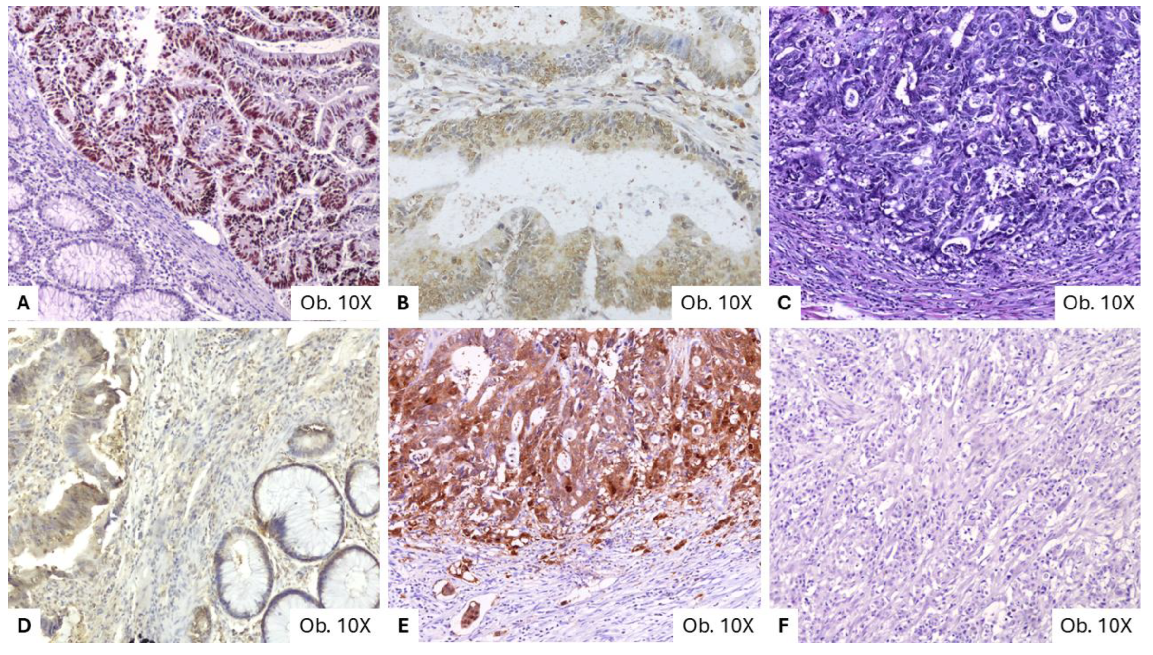
3.1. Gene Expression, Immunohistochemical Markers, and Clinicopathological Features
3.2. Overall Survival
4. Discussion
5. Conclusions
Author Contributions
Funding
Institutional Review Board Statement
Informed Consent Statement
Data Availability Statement
Acknowledgments
Conflicts of Interest
References
- Kovacs, Z.; Jung, I.; Szalman, K.; Banias, L.; Bara, T.; Gurzu, S. Interaction of arylsulfatases A and B with maspin: A possible explanation for dysregulation of tumor cell metabolism and invasive potential of colorectal cancer. World J. Clin. Cases 2019, 7, 3990. [Google Scholar] [CrossRef] [PubMed]
- Tobacman, J.K.; Bhattacharyya, S. Profound Impact of Decline in N-Acetylgalactosamine-4-Sulfatase (Arylsulfatase B) on Molecular Pathophysiology and Human Diseases. Int. J. Mol. Sci. 2022, 23, 13146. [Google Scholar] [CrossRef] [PubMed]
- Liebl, M.C.; Hofmann, T.G. The role of p53 signaling in colorectal cancer. Cancers 2021, 13, 2125. [Google Scholar] [CrossRef] [PubMed]
- Nakayama, M.; Oshima, M. Mutant p53 in colon cancer. J. Mol. Cell Biol. 2019, 11, 267–276. [Google Scholar] [CrossRef] [PubMed]
- Huerta, S.; Goulet, E.J.; Livingston, E.H. Colon cancer and apoptosis. Am. J. Surg. 2006, 191, 517–526. [Google Scholar] [CrossRef] [PubMed]
- Banias, L.; Gurzu, S.; Kovacs, Z.; Bara, T.; Bara, T.; Jung, I. Nuclear maspin expression: A biomarker for budding assessment in colorectal cancer specimens. Pathol. Res. Pr. 2017, 213, 1227–1230. [Google Scholar] [CrossRef]
- Tanaka, A.; Wang, J.Y.; Shia, J.; Zhou, Y.; Ogawa, M.; Hendrickson, R.C.; Klimstra, D.S.; Roehrl, M.H.A. Maspin as a Prognostic Marker for Early Stage Colorectal Cancer With Microsatellite Instability. Front. Oncol. 2020, 10, 945. [Google Scholar] [CrossRef]
- Gurzu, S.; Jung, I. Subcellular Expression of Maspin in Colorectal Cancer: Friend or Foe. Cancers 2021, 13, 366. [Google Scholar] [CrossRef] [PubMed]
- Kim, K.M.; Ahn, A.R.; Park, H.S.; Jang, K.Y.; Moon, W.S.; Kang, M.J.; Ha, G.W.; Lee, M.R.; Chung, M.J. Clinical significance of p53 protein expression and TP53 variation status in colorectal cancer. BMC Cancer 2022, 22, 1–17. [Google Scholar] [CrossRef]
- Gurzu, S.; Jung, I.; Sugimura, H.; Stefan-van Staden, R.I.; Yamada, H.; Natsume, H.; Iwashita, Y.; Szodorai, R.; Szederjesi, J. Maspin subcellular expression in wild-type and mutant TP53 gastric cancers. World J. Gastrointest. Oncol. 2020, 12, 741. [Google Scholar] [CrossRef]
- Harada, S.; Morlote, D. Molecular Pathology of Colorectal Cancer. Adv. Anat. Pathol. 2020, 27, 20–26. [Google Scholar] [CrossRef]
- Alzahrani, S.M.; Al Doghaither, H.A.; Al-Ghafar, A.B. General insight into cancer: An overview of colorectal cancer (review). Mol. Clin. Oncol. 2021, 15, 1–8. [Google Scholar] [CrossRef]
- Testa, U.; Castelli, G.; Pelosi, E. Genetic Alterations of Metastatic Colorectal Cancer. Biomedicines 2020, 8, 414. [Google Scholar] [CrossRef] [PubMed]
- Miao, D.; Lou, S.; Yi, Y.; Ji, R.; Huang, Y. The further study on biological behavior of colorectal adenocarcinoma: The extracellular proteoglycan degraded by arylsulfatase B. Chin. J. Cancer Res. 1991, 3, 64–70. [Google Scholar] [CrossRef]
- Morgan, L.R., Jr.; Samuels, M.S.; Thomas, W.; Krementz, E.T.; Meeker, W. Arylsulfatase B in colorectal cancer. Cancer 1975, 36, 2337–2345. [Google Scholar] [CrossRef]
- Bhattacharyya, S.; O-Sullivan, I.; Tu, J.; Chen, Z.; Tobacman, J.K. Exogenous recombinant N-acetylgalactosamine-4-sulfatase (Arylsulfatase B.; ARSB) inhibits progression of B16F10 cutaneous melanomas and modulates cell signaling. Biochim. Biophys. Acta Mol. Basis Dis. 2024, 1870, 166913. [Google Scholar] [CrossRef]
- Elkady, N.; Allam, D.M. The Role of Galectin3, Tubulinβ, and Maspin in Promoting Tumor Budding in Colorectal Carcinoma and Their Clinical Implications. Appl. Immunohistochem. Mol. Morphol. 2024, 32, 143–150. [Google Scholar] [CrossRef] [PubMed]
- Tang, S.; Ling, Z.; Jiang, J.; Gu, X.; Leng, Y.; Wei, C.; Cheng, H.; Li, X. Integrating the tumor-suppressive activity of Maspin with p53 in retuning the epithelial homeostasis: A working hypothesis and applicable prospects. Front. Oncol. 2022, 12, 1037794. [Google Scholar] [CrossRef]
- Gurzu, S.; Szentirmay, Z.; Toth, E.; Jung, I. Possible predictive value of maspin expression in colorectal cancer. Recent Pat. Anticancer. Drug Discov. 2013, 8, 183–190. Available online: http://www.ncbi.nlm.nih.gov/pubmed/22963136 (accessed on 28 July 2019). [CrossRef]
- Chen, K.; Collins, G.; Wang, H.; Toh, J.W.T. Pathological Features and Prognostication in Colorectal Cancer. Curr. Oncol. 2021, 28, 5356–5383. [Google Scholar] [CrossRef]
- Jiang, Y.; Yuan, H.; Li, Z.; Ji, X.; Shen, Q.; Tuo, J.; Bi, J.; Li, H.; Xiang, Y. Global pattern and trends of colorectal cancer survival: A systematic review of population-based registration data. Cancer Biol. Med. 2022, 19, 175. [Google Scholar] [CrossRef] [PubMed]






| Marker | Antibody Type | Clone | Antigen Retrieval | pH |
|---|---|---|---|---|
| Arylsufatase B | Rabbit polyclonal | Ab 181410 (Abcam) | High pH (Dako) | 9 |
| TP53 | Mouse monoclonal | Ab-5 (ThermoScientific) | 10 mM citrate (Dako) | 6 |
| Maspin | Mouse monoclonal | BSB-92 (BioSB) | High pH (Dako) | 9 |
| Charateristics | Number | ARSB Gene Expression RQ | p Value | TP53 Gene Expression RQ | p Value | Maspin Gene Expression RQ | p Value | |||
|---|---|---|---|---|---|---|---|---|---|---|
| <1 | >1 | <1 | >1 | <1 | >1 | |||||
| Age ≤60 years >60 years | 17 | 12 | 5 | 0.0462 *1 | 16 | 1 | 0.0726 1 | 14 | 3 | 0.0412 1 |
| 53 | 25 | 33 | 39 | 14 | 29 | 24 | ||||
| Gender Male Female | 43 | 21 | 20 | 0.5148 1 | 32 | 11 | 0.2852 1 | 28 | 13 | 0.8560 1 |
| 27 | 16 | 11 | 23 | 4 | 19 | 8 | ||||
| Macroscopic aspect Vegetant–ulcero-vegetant Infiltrative–ulcero infiltrative | 27 | 18 | 9 | 0.0164 *2 | 22 | 5 | 0.6382 2 | 21 | 6 | 0.3514 2 |
| 43 | 16 | 27 | 33 | 10 | 29 | 14 | ||||
| Microscopic aspect G1 G2 G3 | 16 | 7 | 9 | 0.0018 *2 | 12 | 4 | 0.6020 2 | 13 | 3 | 0.1451 2 |
| 20 | 5 | 15 | 14 | 6 | 10 | 10 | ||||
| 34 | 25 | 9 | 27 | 6 | 14 | 10 | ||||
| Localization Proximal Distal Rectal | 26 | 12 | 14 | 0.3593 2 | 23 | 3 | 0.6169 2 | 20 | 6 | 0.5818 2 |
| 28 | 15 | 13 | 22 | 6 | 19 | 9 | ||||
| 16 | 11 | 5 | 13 | 3 | 10 | 6 | ||||
| LNR <0.15 ≥0.15 | 59 | 31 | 28 | 0.4977 1 | 49 | 10 | 0.9207 1 | 39 | 29 | 0.8615 1 |
| 11 | 7 | 4 | 9 | 2 | 6 | 5 | ||||
| pT stage ≤T2 ≥T3 | 4 | 4 | 0 | 0.0587 1 | 4 | 0 | 0.3488 1 | 4 | 0 | 0.2622 1 |
| 66 | 34 | 32 | 54 | 12 | 50 | 16 | ||||
| Budding G1 G2 G3 | 23 | 8 | 15 | 0.0456 *1 | 19 | 4 | 0.3789 | 7 | 16 | 0.0165 *2 |
| 19 | 8 | 11 | 14 | 5 | 7 | 12 | ||||
| 28 | 19 | 9 | 25 | 3 | 19 | 9 | ||||
| Maspin IHC Positive Negative | 38 | 26 | 12 | 0.0097 *1 | 29 | 9 | 0.4010 1 | 28 | 9 | <0.0001 1 |
| 32 | 12 | 20 | 27 | 5 | 8 | 24 | ||||
| ARSB IHC Positive Negative | 47 | 34 | 13 | 0.0026 *1 | 33 | 14 | 0.4770 1 | 33 | 14 | 0.0309 1 |
| 23 | 8 | 15 | 18 | 5 | 10 | 13 | ||||
| TP53 IHC <50% >50% | 43 | 10 | 34 | 0.0019 *1 | 15 | 28 | 0.0014 *1 | 12 | 31 | 0.0005 1 |
| 27 | 16 | 11 | 20 | 7 | 19 | 8 | ||||
Disclaimer/Publisher’s Note: The statements, opinions and data contained in all publications are solely those of the individual author(s) and contributor(s) and not of MDPI and/or the editor(s). MDPI and/or the editor(s) disclaim responsibility for any injury to people or property resulting from any ideas, methods, instructions or products referred to in the content. |
© 2024 by the authors. Licensee MDPI, Basel, Switzerland. This article is an open access article distributed under the terms and conditions of the Creative Commons Attribution (CC BY) license (https://creativecommons.org/licenses/by/4.0/).
Share and Cite
Kovacs, Z.; Banias, L.; Osvath, E.; Gurzu, S. Synergistic Impact of ARSB, TP53, and Maspin Gene Expressions on Survival Outcomes in Colorectal Cancer: A Comprehensive Clinicopathological Analysis. Appl. Sci. 2024, 14, 5721. https://doi.org/10.3390/app14135721
Kovacs Z, Banias L, Osvath E, Gurzu S. Synergistic Impact of ARSB, TP53, and Maspin Gene Expressions on Survival Outcomes in Colorectal Cancer: A Comprehensive Clinicopathological Analysis. Applied Sciences. 2024; 14(13):5721. https://doi.org/10.3390/app14135721
Chicago/Turabian StyleKovacs, Zsolt, Laura Banias, Eva Osvath, and Simona Gurzu. 2024. "Synergistic Impact of ARSB, TP53, and Maspin Gene Expressions on Survival Outcomes in Colorectal Cancer: A Comprehensive Clinicopathological Analysis" Applied Sciences 14, no. 13: 5721. https://doi.org/10.3390/app14135721
APA StyleKovacs, Z., Banias, L., Osvath, E., & Gurzu, S. (2024). Synergistic Impact of ARSB, TP53, and Maspin Gene Expressions on Survival Outcomes in Colorectal Cancer: A Comprehensive Clinicopathological Analysis. Applied Sciences, 14(13), 5721. https://doi.org/10.3390/app14135721

