Next Article in Journal
Bayes-Optimized Adaptive Growing Neural Gas Method for Online Anomaly Detection of Industrial Streaming Data
Previous Article in Journal
Optimization and Testing of the Technological Parameters for the Microwave Vacuum Drying of Mulberry Harvests
 
 
Font Type:
Arial Georgia Verdana
Font Size:
Aa Aa Aa
Line Spacing:
Column Width:
Background:
Article

Sex Estimation from Computed Tomography of Os Coxae—Validation of the Diagnose Sexuelle Probabiliste (DSP) Software in the Romanian Population

by
Emanuela Stan
1,2,
Camelia-Oana Muresan
1,2,3,
Raluca Dumache
1,2,3,
Veronica Ciocan
1,2,3,
Stefania Ungureanu
1,2,
Dan Costachescu
4,5,* and
Alexandra Enache
1,2,3
1
Discipline of Forensic Medicine, Bioethics, Deontology and Medical Law, Department of Neuroscience, “Victor Babes” University of Medicine and Pharmacy, 300041 Timisoara, Romania
2
Institute of Legal Medicine Timisoara, 300610 Timisoara, Romania
3
Ethics and Human Identification Research Center, Department of Neurosciences, “Victor Babes” University of Medicine and Pharmacy, 300041 Timisoara, Romania
4
Discipline of Radiology and Medical Imaging, Department of Orthopedics-Traumatology, Urology, Radiology and Medical Imaging, “Victor Babes” University of Medicine and Pharmacy, 300041 Timisoara, Romania
5
Radiology Laboratory, Emergency Municipal Clinical Hospital Timisoara, 300054 Timisoara, Romania
*
Author to whom correspondence should be addressed.
Appl. Sci. 2024, 14(10), 4136; https://doi.org/10.3390/app14104136
Submission received: 9 April 2024 / Revised: 11 May 2024 / Accepted: 13 May 2024 / Published: 13 May 2024

Abstract

This study aimed to evaluate the DSP method’s applicability to Romania’s contemporary population and to assess the accuracy and reliability of variables derived from CT images. A total of 80 pelvic CT scans were analyzed. Participants ranged from 22 to 93 years, with a mean age of 59.51 ± 22.7 years. All variables measured from the CT scans were analyzed using DSP software. The study found that sex estimation was possible in 71.25% of cases overall, with varying rates between males (57.50%) and females (85%). Despite encountering undetermined specimens comprising 42.5% males and 15% females, only one misclassification occurred. Regarding accuracy, the overall rate remained notably high at 98.24%. All female specimens that could be estimated were correctly classified (100% accuracy), while for males, the accuracy rate was 95.65%. Undetermined cases were noted to potentially impact the accuracy of sex classification, underscoring the critical role of precision in forensic contexts. In conclusion, the study highlights the importance of accuracy in forensic sex estimation. It emphasizes the confidence with which DSP software can be utilized, if not the only method, at least as a preliminary or adjuvantly accurate technique for sex estimation in forensic anthropology.

1. Introduction

Sex estimation of an individual is one of the most important elements in establishing a biological profile and an essential step for identifying skeletal remains [1]. Forensic anthropologists widely use morphologic and metric approaches to determine the sex of human remains. Almost every skeleton component has been utilized in developing sex estimation techniques. However, the pelvis, universally recognized as the most precise predictor of sex, stands out with its distinct sexual dimorphism pattern that is unmatched by any other skeletal element. Moreover, its lack of population-specific characteristics makes it a suitable tool for estimating sex across diverse populations. While other skeletal elements can also be used for sex estimation, the pelvis is generally considered the best source of information for estimating sex [2,3,4,5,6,7]. Although it might not be as evident as in the pelvis, sexual dimorphism may also be visible in the cranium [8,9], sternum [10], or even long bones [11,12]. The methods for determining sex can be broadly classified as morphologic or metric. Morphological approaches, which depend on visually evaluating sexually dimorphic characteristics [13], offer valuable and promptly obtained preliminary results. The practicality of these approaches is evident, as they can be readily applied. However, the level of subjectivity strongly influences these qualities [14,15]. The accuracy of morphological assessment is higher when bones are intact, but decreases when dealing with shattered bones or incomplete skeletons. In contrast, metric studies, while more rigorous, rely on the fundamental concept of variation in male and female measurements and primarily employ various statistical techniques to develop models or equations that can be utilized to determine the sex of individuals [1,7].
A novel method of estimating sex based on the anthropometric analysis of the pelvis was devised to eliminate all of these drawbacks. Murail et al. [16] developed the Probabilistic Sex Diagnosis (DSP: Diagnose Sexuelle Probabiliste) method. A large reference population group (over 2000 known sex individuals) from various continents has been used to validate the DSP tool in several community-specific samples. Dry bone samples from known ages and sexes have been utilized in numerous studies to validate the DSP method in various demographic groups, including European populations (like Belgian [17] or French [18]) and even Mexican [19]. Machado et al. [20] also analyzed the DSP tool and validated the method in Southeast Brazil using an osteological collection from a modern population. Additionally, the DSP method has been validated with great accuracy and reliability using 3D models of the os coxae obtained from CT scans of a living French population and 3D CT scans of a contemporary Danish population [21,22]. By comparing real, dry bones against virtual bones (CT scan), Chapman et al. [17] reported that all of their collection’s coxal bones were correctly identified; the level of indetermination ranged from 2.56% to 46.15%, depending on how many variables were combined. In a recent study on a modern French population using the DSP tool for sex estimation on CT scans of the pelvis, the results showed 97.2% accuracy for women and 92.3% accuracy for men and an indetermination level ranging from 2.8 to 73.1% [21].
Interest in using medical imaging in forensic anthropology has recently increased. According to numerous research studies, measurements derived from biomedical imaging techniques have shown similar accuracy in sex estimation to other classical methods [23,24,25,26,27]. The studies supported the view that DSP is a reliable method of sex estimation based on CT images of the pelvis. Instead of traditional morphological approaches, CT imaging technologies represent a promising alternative for assessing sex in forensic cases [23,24].
According to a study by Fukuta et al. [25], personal forensic identification may be possible using deep learning on pelvic depth images. His research demonstrated that sex estimation might be performed with high accuracy using deep learning and 2D depth pelvic pictures created from homologous models of reconstructed 3D CT images. As demonstrated by the study of Mostafa et al. [26] among the adult Egyptian population, image processing techniques allow visualization of the bones regardless of how the remains are preserved and could be analyzed beyond contact with the actual bone. The findings of this study showed the value of using detailed virtual images of 3D CT pelvic scans to identify the sex of an individual, especially when the body is partially fleshed or burnt, as in cases found after major disasters where maceration is not a possibility. Furthermore, some research showed the value of using pelvic measurements obtained from adult 3D pelvic computed tomography images in developing a regression formula for adult sex identification. A high validity value of 91.05% accuracy was reported in pelvic anthropometric research of adult Indonesians using a logistic regression model, with 100% sensitivity to identify males and 81.1% specificity to identify females [27].
This study aimed to evaluate the applicability of the DSP method in the Romanian population and test the accuracy of variables obtained from CT scans.

2. Materials and Methods

The sample consisted of computed tomography images of the pelvis taken from adult living individuals examined at the Department of Radiology, Emergency Municipal Clinical Hospital Timisoara. The clinical data were anonymized and collected following the Declaration of Helsinki.
A total of 80 pelvic CT scans were included in this study, with an equal distribution of 40 males and 40 females. It is essential to consider age when selecting samples. Bones undergo significant changes throughout a person’s lifetime, particularly during growth and development. The degree of sexual dimorphism is a complex phenomenon that varies with age. For example, certain skeletal features may fully differentiate between sexes in adulthood [28,29]. Moreover, different populations may exhibit unique patterns of skeletal variation related to sex [30,31]. These age-related factors could include changes in bone density, the rate of bone growth, or the timing of bone fusion, all of which can vary significantly with age and impact the accuracy of sex estimation techniques [28,29]. Considering all of this, the sample is chosen to ensure the diversity and representativeness of the population. This is achieved by equally dividing the sample based on both sexes and various age groups in order to accurately represent the population of interest. This balanced representation aims to ensure sex parity in the analysis, with participants’ ages ranging from 22 to 93 years and a mean age of 59.51 ± 22.7 years. The age range of male individuals varied from 23 to 93 years, with a mean age of 60.13 ± 22.80 years. The age range of female individuals varied between 22 and 92 years, with a mean age of 58.9 ± 22.89 years (Figure 1). The selection criteria required all anatomical landmarks to be visible and the entire region of interest to be included. Scans with metal implants or fractures, which could potentially interfere with the accuracy of measurements, were excluded from this study. Also, we considered the practical and resource limitations, particularly with regards to pelvic CT scans, which can be demanding in terms of resources, necessitating both time and equipment.
The examinations were conducted using a Siemens Somatom Definition Edge (Erlangen, Germany) at 120 kV with 250 mAs, 0.6 mm slice thickness, 1 mm slice increment, and a B30f reconstruction algorithm, following a standardized scan protocol. OsiriX software version 11.0 (Pixmeo SARL, Bernex, Switzerland) was utilized for generating the 3D VR’s and conducting measurements, as it offers specific tools for accurate anatomical analysis.
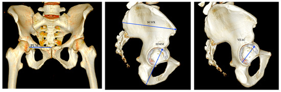
Diagnose Sexuelle Probabiliste (DSP) software (available at https://osteomics.com/DSP/, accessed on 12 May 2024) was used to estimate the sex [32]. We select four measurements from the ten variables listed in Murail’s original study, acquired as recommended in the original paper [16]. PUM, ISMM, and SCOX are suggested for sex estimation and likely showed strong correlations with biological sex in the original study by Murail or in subsequent research. Selecting variables with a known association with sex estimation increases the likelihood of accurate predictions. The chosen variables are noted for their simplicity in measurement and reproducibility on CT (computed tomography) images. This implies that the variables are easy to measure and interpret consistently across different observers or imaging setups. Simplicity and reproducibility are essential in ensuring that the measurements can be reliably obtained and compared across different samples or studies. By applying these criteria, the researchers aim to select a subset of variables that are not only theoretically relevant for sex estimation but also practical in terms of measurement and reproducibility. Repeatability analysis was performed on a subset of 20 randomly chosen samples, which were analyzed by a second observer and the same observer at two different times. The Intra Class Correlation Coefficient (ICC) test was used for the analysis. A two-way-random-effect model and absolute agreement with a mean estimation along with 95% confidence intervals (CI) were reported for each ICC. The results of the ICC test for intra-rater reliability ranged from 0.992 (PUM) to 1.000 (ISSM), indicating excellent intra-observer replicability for all measurements. For inter-observer replicability, the values ranged from 0.993 (PUM) to 1.000 (ISMM), which shows excellent inter-observer replicability.
The measurements are described in Table 1 and shown in Figure 2.
All measurements obtained from CT images were analyzed using the DSP software (https://osteomics.com/DSP/, accessed on 12 May 2024) to facilitate data processing. The measurements were introduced in an Excel sheet developed explicitly for the DSP method [16]. A posterior probability equal to or higher than 0.95 was selected as the sex classification threshold based on established reliability criteria [35,36]. The software automatically generates and displays the probabilities for each specimen being male or female, along with the final classification outcome, indicating whether the subject was categorized as male, female, or undetermined. Data were analyzed using IBM® SPSS® Statistics version 26. Several statistical tests were performed to analyze the data.

3. Results

The descriptive statistics for all four variables are presented separately for males and females in Table 2.
According to the t-test, female PUM (M = 72.54, SD = 2.02) is significantly higher than that of males (M = 70.30, SD = 2.70), t = −4.185, p < 0.032. The t-test showed significant differences between females and males for ISSM (female M = 101.12, SD = 2.46, male M= 111.20, SD = 3.92, t = 13.74, p = 0.021). A t-test showed no significant differences between males and females for the SCOX (t = 6.055, p = 0.707) and VEAC (t = 8.103, p = 0.803).
All variable measurements obtained from the CT scans were analyzed using DSP software. For sex classification, a posterior probability equal to or superior to 0.95 was used as a threshold. The resulting sex estimation from the output from DSP software was compared to the known sex of each individual. For the male cases, out of a total of 40 males, 22 were correctly identified as male, and only 1 male was misclassified as female. Conversely, for the female cases, out of a total of 40 females, 34 were correctly classified, and none were misclassified. The data are presented in Table 3.
In this study, the frequency of cases in which sex estimation was possible (sex estimation) was possible in 71.25% of cases overall, with varying rates between males (57.50%) and females (85%). Despite encountering undetermined specimens, which comprised 42.5% males and 15% females, only one error in sex classification was observed, where a male was misclassified as a female.
In terms of accuracy (the frequency of samples in which sex estimation was performed correctly from the total possible to be estimated), the overall accuracy remained notably high at 98.24%. From the total sample of 40 females that could be estimated, all were classified correctly, with an accuracy of 100%, whereas for males, the accuracy was 95.65%. The data are shown in Table 4.

4. Discussion

Sex estimation from bones has an important role in determining biological profile and subsequently in the identification process. Our primary aim in this study was to assess the utility of the Diagnose Sexuelle Probabiliste (DSP) method within a contemporary population sample from Romania. By doing so, we sought to evaluate the effectiveness of this software in the current practice of forensic anthropology within the country.
Many studies validate the DSP method as a valuable tool in the sex estimation of the pelvic bone [17,18,21,36]. Mestekova et al. [21] and Rodriguez et al. [18] tested the reliability of the DSP method using CT scan images from a sample of the modern French population, respectively, from the contemporary Danish population. The study by Franchi et al. [37] aimed to determine whether the established standards for sex estimation are maintained in the 3D reconstruction of the image. His research focuses on the metric analysis of the pelvic bone through the DSP tool, one of the most distinctive anatomical skeletal structures between men and women. The findings indicated a close to 62% accuracy in estimating sex. However, there is still room for improvement because, in 37% of cases, sex cannot be identified. One of the challenges observed in this study is the lack of precision in placing landmarks in the 3D reconstruction of the pelvic images [37].
In contrast to Machado et al.’s [20] findings, which did not identify statistically significant differences between the sexes for PUM, the comparative analysis of the four pelvic variables between males and females revealed a significant difference between males and females for PUM and ISMM. In line with the results of earlier studies, the measurements for ISSM were greater in men (p = 0.021), whereas the values for PUM were statistically higher in women (p = 0.032) [18,21]. In contrast to Mestekova’s [21] findings, which found that the measures of SCOX and VEAC were significantly higher for men, in our study, the VEAC and SCOX measures did not show a statistically significant difference between the sexes (p = 0.707; p = 0.803, respectively). When using this combination of four measurements (PUM, SCOX, ISMM, VEAC), we were able to estimate the sex in 71.25% of cases, with an accuracy rate of 70%. This is slightly less than what other studies have revealed. Using CT scans of the hip bones from 52 men and 54 women in a modern French population, Mestekova et al. [21] evaluated the DSP tool’s accuracy and found that it was 97.2% accurate for women and 92.3% accurate for men, with an indetermination level ranging from 2.8 to 73.1%, whereas 88.34% accuracy was obtained in a validation study conducted on a mixed Brazilian population [20]. While other studies’ values were higher in men than women, our results were greater in women [18]. Females had a high sex estimation rate (85%, with an accuracy rate of 85%), whereas males had a lower rate (57.50%).
Acknowledging methodological limitations: The DSP method, for instance, is potentially limited by its reliance on ten variables for accurate sex estimation. The method’s accuracy significantly decreases if any of these variables are missing or incomplete. A disadvantage of the DSP tool is that it cannot always identify sex, and the accuracy rate for sex estimation is lower when not all ten variables are available [18,21]. According to the findings of a recent study on dry bones from a contemporary French population [18], the degree of indeterminacy in fewer measurements affects sex estimation and accuracy. In forensic contexts, it is often preferred to classify individuals as ‘undetermined’ rather than misclassified. The term “undetermined” refers to cases where the sex of the specimens could not be accurately classified using the DSP software. In line with the findings of Almeida et al. [23], whose indeterminate percentage ranged between 4.7% and 58%, depending on the number of variables available, our analysis revealed that 28.75% of the cases (42.5% of the men and 15% of the women) were not classified. Several factors could contribute to specimens being classified as undetermined. Some specimens may exhibit features not indicative of either male or female sex characteristics. Female pelvises appear easier to classify in the current study, as there was only one sex classification error. For females, the sex estimation rate was 85%, with an accuracy rate of 85% (the gross accuracy was 100%, meaning that all females from the entire sample that could be estimated were correctly classified). Therefore, the software may have difficulty classifying specimens that deviate from the norm or fall within a gray area between male and female characteristics. Although undetermined specimens were present, only one error in sex classification occurred: misclassifying a male specimen as female. This indicates that, despite encountering challenges in specific cases, the software consistently demonstrates high accuracy in sex estimation. In sex estimation, it is essential to balance sensitivity (correctly identifying true positives) and specificity (correctly identifying true negatives). In summary, the cautious and responsible approach of counting undetermined cases as correct, even if it artificially inflates accuracy, helps maintain specificity by avoiding false positives (misclassifications). The DSP software’s reliability in sex estimation for complete and fragmented os coxae achieved misclassification values below 2%. The success of the software in achieving such high accuracy is attributed to the use of a classification probability criterion of 0.95. While this criterion may result in a decreased number of individuals correctly classified, it significantly reduces the risk of misclassification. The selected cut-off level of 95% utilized in the DSP method eliminates the issue of misclassification, which is one of its strengths [16,35]. The software’s approach of classifying individuals with a probability lower than 0.95 as undetermined and prioritizing reliability over attempting to estimate sexes in all individuals is a practical and effective strategy. The high overall accuracy rate of 98.24% highlights the effectiveness of DSP software in sex estimation and emphasizes the crucial importance of accuracy in sex estimation. Notably, all female specimens that could be estimated were correctly classified, achieving a perfect accuracy rate of 100%. Likewise, males exhibited a commendably high accuracy rate of 95.65%. When applying a threshold of 0.95, some samples are not categorized as male or female; however, reducing misclassifications is more advantageous for forensic practice. Our findings are consistent with research that indicates a higher proportion of indeterminate sex among men [16,35], in contrast with the findings of Machado et al. [20], who had 9.43% of pelvic bones misclassified as males and 14% as females. The importance of undetermined cases lies in their potential impact on the accuracy of sex classification. Even though the percentage of undetermined cases was higher among males, it is essential to recognize that even a minor misclassification rate could lead to significant consequences, particularly in forensic settings where precision is crucial. These findings emphasize the critical role of accuracy in forensic sex identification, as even a single misclassification could potentially lead to erroneous conclusions in legal proceedings.
While the use of CT scans and the DSP tool for sex estimation appear promising and comparable to traditional techniques utilizing dry pelvic bones, several potential limitations and areas for further research should be considered. Studies validating the DSP tool against traditional techniques may have been conducted on specific skeletal collections or populations, potentially limiting the generalizability of their findings [6,38,39]. All of these studies’ findings—which are compared with those of the present study—indicate that the DSP tool is appropriate for use with measurements from CT scans [17,21]. While CT scanning offers advantages such as non-invasiveness and the ability to capture measurements that cannot be taken directly on the bone, the accuracy of CT imaging may be influenced by factors such as imaging resolution, artifacts, and soft tissue effects. Understanding the limitations and potential sources of error in CT imaging is crucial for interpreting results accurately [40]. Sex estimation techniques may vary in their accuracy across different populations due to variations in skeletal morphology and demographic characteristics. Further research should investigate the performance of the DSP method in diverse populations, including individuals with varying ancestry, age, and geographic origins. In conclusion, while the DSP tool shows promise as a reliable method for sex estimation using CT scans, further research is needed to address potential limitations, validate its accuracy across diverse populations, and ensure its applicability in various clinical and forensic settings. Standardization of protocols, consideration of ethical considerations, and interdisciplinary collaboration are essential for advancing the field of skeletal sex estimation.
To the best of our knowledge, this study stands as the pioneering investigation into applying the DSP tool for sex estimation among the adult population of Romania. This unique endeavor fills a crucial gap in research, as previous studies in Romania have primarily relied on traditional techniques for sex estimation, overlooking the potential of modern imaging technologies like CT scans and the DSP tool. Despite the inherent limitations of our study’s relatively small sample size, our results demonstrate comparable accuracy and sex estimation rates to those observed in similar studies conducted across European populations. Building upon these initial findings, future research endeavors will prioritize including a more significant number of measurements per individual and a more extensive sample size to enhance the sex estimation and accuracy. Moreover, we recognize the importance of expanding the geographical scope of our study to encompass multiple regions within Romania. Such an expansion is vital for providing a more comprehensive understanding of the applicability and generalizability of the DSP method across the diverse population demographics present within the country. By incorporating data from various regions, we can ensure the robustness and reliability of the DSP tool for sex estimation in the context of the contemporary Romanian population.

5. Conclusions

In conclusion, this research evaluated the utility of the DSP method for sex estimation within the contemporary Romanian population, utilizing a sample of CT scans. Despite encountering undetermined specimens, the overall accuracy rate of sex estimation remained impressively high at 98.24%, highlighting the effectiveness of DSP software in this forensic application. Notably, all female specimens that could be estimated were correctly classified, achieving an accuracy rate of 100%. In contrast, for males, the accuracy rate was slightly lower at 95.65%, still demonstrating high reliability in sex identification. Even in the presence of undetermined cases, the minimal occurrence of misclassification further solidifies the robustness of DSP software in sex identification. These findings highlight the importance of accuracy in forensic sex estimation, particularly in legal and investigative contexts where precision is crucial. As such, the study underscores the confidence with which the DSP method can be employed in practical applications, contributing significantly to the advancement of forensic and anthropological research within Romania and beyond. Even though sex estimation was possible in 71.25% of cases overall, these results reaffirm the method’s efficacy and robustness, particularly when leveraging measurements derived from CT imaging. When dealing with unidentified remains and attempting to estimate sex as part of the biological profile, the DSP method is recommended, if not the only method to be used, at least as a preliminary or adjuvantly accurate technique for sex estimation in forensic anthropology.

Author Contributions

Conceptualization, E.S., C.-O.M. and A.E.; methodology, R.D., C.-O.M. and A.E.; software, D.C. and E.S.; formal analysis, E.S., C.-O.M., V.C., R.D. and A.E; resources, E.S., S.U. and D.C; data curation, E.S., S.U. and D.C.; writing—original draft preparation, E.S., S.U. and C.-O.M.; writing—review and editing, E.S., C.-O.M., R.D., V.C. and A.E. All authors have read and agreed to the published version of the manuscript.

Funding

This research received no external funding.

Institutional Review Board Statement

The study was conducted in accordance with the Declaration of Helsinki, and approved by the Committee on Research Ethics of the Victor Babes University of Medicine and Pharmacy Timisoara (approval No. 45/11 December 2019).

Informed Consent Statement

Before data collection, all patients included in this evaluation had signed an individual informed consent form.

Data Availability Statement

The data presented in this study are available on request from the corresponding author. The data are not publicly available due to confidentiality reasons.

Acknowledgments

We would like to acknowledge Victor Babes University of Medicine and Pharmacy Timisoara for their support in covering the costs of publication for this research paper.

Conflicts of Interest

The authors declare no conflicts of interest.

References

  1. Krishan, K.; Chatterjee, P.M.; Kanchan, T.; Kaur, S.; Baryah, N.; Singh, R.K. A review of sex estimation techniques during examination of skeletal remains in forensic anthropology casework. Forensic Sci. Int. 2016, 261, 165.e1–165.e8. [Google Scholar] [CrossRef] [PubMed]
  2. Betti, L. Sexual dimorphism in the size and shape of the os coxae and the effects of microevolutionary processes. Am. J. Phys. Anthr. 2014, 153, 167–177. [Google Scholar] [CrossRef] [PubMed]
  3. Bruzek, J.; Murail, P. Methodology and Reliability of Sex Determination From the Skeleton. In Forensic Anthropology and Medicine: Complementary Sciences from Recovery to Cause of Death; Schmitt, A., Cunha, E., Pinheiro, J., Eds.; Humana Press: Totowa, NJ, USA, 2006; pp. 225–242. [Google Scholar] [CrossRef]
  4. Bruzek, J. A method for visual determination of sex, using the human hip bone. Am. J. Phys. Anthr. 2002, 117, 157–168. [Google Scholar] [CrossRef] [PubMed]
  5. Selliah, P.; Martino, F.; Cummaudo, M.; Indra, L.; Biehler-Gomez, L.; Campobasso, C.P.; Cattaneo, C. Sex estimation of skeletons in middle and late adulthood: Reliability of pelvic morphological traits and long bone metrics on an Italian skeletal collection. Int. J. Leg. Med. 2020, 134, 1683–1690. [Google Scholar] [CrossRef] [PubMed]
  6. Steyn, M.; Patriquin, M. Osteometric sex determination from the pelvis—Does population specificity matter? Forensic Sci. Int. 2009, 191, 113.e1–113.e5. [Google Scholar] [CrossRef] [PubMed]
  7. Albanese, J. A metric method for sex determination using the hipbone and the femur. J. Forensic Sci. 2003, 48, JFS2001378. [Google Scholar] [CrossRef]
  8. Kranioti, E.F.; İşcan, M.Y.; Michalodimitrakis, M. Craniometric analysis of the modern Cretan population. Forensic Sci. Int. 2008, 180, 110.e1–110.e5. [Google Scholar] [CrossRef] [PubMed]
  9. Uysal, S.; Gokharman, D.; Kacar, M.; Tuncbilek, I.; Kosar, U. Estimation of sex by 3D CT measurements of the foramen magnum. J. Forensic Sci. 2005, 50, 1310–1314. [Google Scholar] [CrossRef] [PubMed]
  10. Chandrakanth, H.; Kanchan, T.; Krishan, K. Osteometric analysis for sexing of modern sternum—An autopsy study from South India. Leg. Med. 2014, 16, 350–356. [Google Scholar] [CrossRef]
  11. Kranioti, E.F.; Apostol, M.A. Sexual dimorphism of the tibia in contemporary Greeks, Italians, and Spanish: Forensic implications. Int. J. Leg. Med. 2015, 129, 357–363. [Google Scholar] [CrossRef] [PubMed]
  12. Albanese, J. A method for estimating sex using the clavicle, humerus, radius, and ulna. J. Forensic Sci. 2013, 58, 1413–1419. [Google Scholar] [CrossRef] [PubMed]
  13. Mahfouz, M.; Badawi, A.; Merkl, B.; Fatah, E.E.A.; Pritchard, E.; Kesler, K.; Moore, M.; Jantz, R.; Jantz, L. Patella sex determination by 3D statistical shape models and nonlinear classifiers. Forensic Sci. Int. 2007, 173, 161–170. [Google Scholar] [CrossRef] [PubMed]
  14. Kemkes-Grottenthaler, A.; Löbig, F.; Stock, F. Mandibular ramus flexure and gonial eversion as morphologic indicators of sex. HOMO 2002, 53, 97–111. [Google Scholar] [CrossRef]
  15. Steyn, M.; Pretorius, E.; Hutten, L. Geometric morphometric analysis of the greater sciatic notch in South Africans. HOMO 2004, 54, 197–206. [Google Scholar] [CrossRef] [PubMed]
  16. Murail, P.; Bruzek, J.; Houët, F.; Cunha, E. DSP: A tool for probabilistic sex diagnosis using worldwide variability in hip-bone measurements. Bull. Mémoires Société D’anthropologie Paris BMSAP 2005, 17, 167–176. [Google Scholar] [CrossRef]
  17. Chapman, T.; Lefevre, P.; Semal, P.; Moiseev, F.; Sholukha, V.; Louryan, S.; Rooze, M.; Jan, S.V.S. Sex determination using the Probabilistic Sex Diagnosis (DSP: Diagnose Sexuelle Probabiliste) tool in a virtual environment. Forensic Sci. Int. 2014, 234, 189.e1–189.e8. [Google Scholar] [CrossRef] [PubMed]
  18. Quatrehomme, G.; Radoman, I.; Nogueira, L.; du Jardin, P.; Alunni, V. Sex determination using the DSP (probabilistic sex diagnosis) method on the coxal bone: Efficiency of method according to number of available variables. Forensic Sci. Int. 2017, 272, 190–193. [Google Scholar] [CrossRef] [PubMed]
  19. Sánchez-Mejorada, G.; Gómez-Valdés, J.; Herrera, P.; Veleminsky, P.; Bruzek, J. ‘Valoración del método de Diagnóstico Sexual Probabilístico (dsp) en una colección osteológica mexicana’. Estud. Antropol. Biológica 2011, 15, 1. Available online: https://www.revistas.unam.mx/index.php/eab/article/view/42780 (accessed on 12 November 2022).
  20. Machado, M.P.S.; Costa, S.T.; Freire, A.R.; Navega, D.; Cunha, E.; Júnior, E.D.; Prado, F.B.; Rossi, A.C. Application and validation of Diagnose Sexuelle Probabiliste V2 tool in a miscegenated population. Forensic Sci. Int. 2018, 290, 351.e1–351.e5. [Google Scholar] [CrossRef] [PubMed]
  21. Mestekova, S.; Bruzek, J.; Veleminska, J.; Chaumoitre, K. A Test of the DSP Sexing Method on CT Images from a Modern French Sample. J. Forensic Sci. 2015, 60, 1295–1299. [Google Scholar] [CrossRef] [PubMed]
  22. Paz, A.R.; Banner, J.; Villa, C. Validity of the probabilistic sex diagnosis method (DSP) on 3D CT-scans from modern Danish population. Revue Médecine Légale 2019, 10, 43–49. [Google Scholar] [CrossRef]
  23. de Almeida, S.M.; de Carvalho, M.V.D.; Menezes, M.C.T.d.L.; Petraki, G.G.P.; Cunha, E.; Soriano, E.P. Validation of the DSP2 Tool in a Contemporary Identified Skeletal Collection from Northeastern Brazil. Adv. Anthr. 2020, 10, 169–180. [Google Scholar] [CrossRef]
  24. Franklin, D. Forensic age estimation in human skeletal remains: Current concepts and future directions. Leg. Med. 2010, 12, 1–7. [Google Scholar] [CrossRef] [PubMed]
  25. Fukuta, M.; Kato, C.; Biwasaka, H.; Usui, A.; Horita, T.; Kanno, S.; Kato, H.; Aoki, Y. Sex estimation of the pelvis by deep learning of two-dimensional depth images generated from homologous models of three-dimensional computed tomography images. Forensic Sci. Int. Rep. 2020, 2, 100129. [Google Scholar] [CrossRef]
  26. Mostafa, E.; Gad, A.; Dessouki, S.; Hashish, R.; Khafagy, A. Sex Determination Using Three-Dimensional Computed Tomography of Pelvis Measurements in Adult Egyptian population. Eur. J. Forensic Sci. 2017, 4, 1. [Google Scholar] [CrossRef][Green Version]
  27. Setiawati, R.; Rahardjo, P.; Ruriana, I.; Guglielmi, G. Anthropometric study using three-dimensional pelvic CT scan in sex determination among adult Indonesian population. Forensic Sci. Med. Pathol. 2022, 19, 24–33. [Google Scholar] [CrossRef] [PubMed]
  28. Farr, J.N.; Khosla, S. Skeletal changes through the lifespan—From growth to senescence. Nat. Rev. Endocrinol. 2015, 11, 513–521. [Google Scholar] [CrossRef] [PubMed]
  29. Kralick, A.E.; Zemel, B.S. Evolutionary Perspectives on the Developing Skeleton and Implications for Lifelong Health. Front. Endocrinol. 2020, 11, 99. [Google Scholar] [CrossRef] [PubMed]
  30. Lovell, N.C. Test of Phenice’s technique for determining sex from the os pubis. Am. J. Phys. Anthr. 1989, 79, 117–120. [Google Scholar] [CrossRef]
  31. Anderson, B.E. Ventral arc of the os pubis: Anatomical and developmental considerations. Am. J. Phys. Anthr. 1990, 83, 449–458. [Google Scholar] [CrossRef]
  32. DSP: BetteR, FasteR, StrongeR’. Available online: https://osteomics.com/DSP/ (accessed on 30 January 2023).
  33. Bräuer, G. Osteometrie. In Anthropologie, Handbuch des vergleichenden Biologie des Menschen, Band 1; Knussmann, R., Ed.; Gustav Fischer Verlag: Stuttgart, Germany, 1988; pp. 160–232. [Google Scholar]
  34. Schulter-Ellis, F.; Hayek, L.; Schmidt, D. Determination of sex with a discriminant analysis of new pelvic bone measurements: Part II. J. Forensic Sci. 1985, 30, 178–185. [Google Scholar] [CrossRef]
  35. Brůžek, J.; Santos, F.; Dutailly, B.; Murail, P.; Cunha, E. Validation and reliability of the sex estimation of the human os coxae using freely available DSP2 software for bioarchaeology and forensic anthropology. Am. J. Phys. Anthr. 2017, 164, 440–449. [Google Scholar] [CrossRef]
  36. Kranioti, E.F.; Šťovíčková, L.; Karell, M.A.; Brůžek, J. Sex estimation of os coxae using DSP2 software: A validation study of a Greek sample. Forensic Sci. Int. 2019, 297, 371.e1–371.e6. [Google Scholar] [CrossRef] [PubMed]
  37. Franchi, A.; Valette, S.; Agier, R.; Prost, R.; Kéchichan, R.; Fanton, L. The prospects for application of computational anatomy in forensic anthropology for sex determination. Forensic Sci. Int. 2019, 297, 156–160. [Google Scholar] [CrossRef] [PubMed]
  38. Patriquin, M.; Steyn, M.; Loth, S. Metric analysis of sex differences in South African black and white pelves. Forensic Sci. Int. 2005, 147, 119–127. [Google Scholar] [CrossRef] [PubMed]
  39. Steyn, M.; İşcan, M. Metric sex determination from the pelvis in modern Greeks. Forensic Sci. Int. 2008, 179, 86.e1–86.e6. [Google Scholar] [CrossRef] [PubMed]
  40. Dedouit, F.; Géraut, A.; Baranov, V.; Ludes, B.; Rougé, D.; Telmon, N.; Crubézy, E. Virtual and macroscopical studies of mummies—Differences or complementarity? Report of a natural frozen Siberian mummy. Forensic Sci. Int. 2010, 200, e7–e13. [Google Scholar] [CrossRef] [PubMed]
Figure 1. Age distribution of the sample.
Figure 1. Age distribution of the sample.
Applsci 14 04136 g001
Figure 2. Three-dimensional model of uman pelvis with DSP measurements.
Figure 2. Three-dimensional model of uman pelvis with DSP measurements.
Applsci 14 04136 g002
Table 1. Description of the four variables of the DSP method.
Table 1. Description of the four variables of the DSP method.
MeasurementDescription
PUM (Acetabulo-symphyseal pubic length)Minimum distance from the superior and medial point of the pubic symphysis to the nearest point on the acetabular rim at the level of the lunate surface [33].
SCOX (Iliac breadth)Distance between the anterior superior iliac spine and the postero-superior iliac spine [33].
ISMM (Post-acetabular ischium length)Distance from the most anterior and inferior point of the ischial tuberosity to the furthest point on the acetabular border [34].
VEAC (Vertical acetabular diameter)Maximum vertical diameter of the acetabulum, measured on the acetabular rim, as a prolongation of the longitudinal axis of the ischium [33].
Table 2. Comparative analysis of four pelvic measurements among males and females.
Table 2. Comparative analysis of four pelvic measurements among males and females.
VariablesFemale Male
MeanSDMinMaxShapiro–Wilk Test
p
MeanSDMinMaxShapiro–Wilk Test
p
PUM72.54202.0276767.8975.340.00870.30702.7017764.9074.780.330
ISMM101.12232.4695196.56105.670.158111.20503.9261899.69117.430.232
SCOX151.25373.18184146.21156.560.029155.70503.37979145.38160.880.059
VEAC50.96902.1320446.9954.890.50154.91452.2220251.0559.210.088
Table 3. Sex classification via DSP software for males and females.
Table 3. Sex classification via DSP software for males and females.
MaleFemale
Correct22/4034/40
Misclassified10
Undetermined17/406/40
Table 4. Sex estimation and accuracy using DSP software.
Table 4. Sex estimation and accuracy using DSP software.
MaleFemaleTotal
Sex estimation 57.50% (23/40)85% (34/40)71.25% (57/80)
Accuracy rate55% (22/40)85% (34/40)70% (56/80)
Accuracy95.65% (22/23)100% (34/34)98.24% (56/57)
Sex estimation—frequency of specimens in which sex was estimated; accuracy rate—frequency of samples in which sex estimation was correct in relation to the total performed; accuracy—frequency of sample in which sex estimation was performed correctly from the total possible to be estimated [23].
Disclaimer/Publisher’s Note: The statements, opinions and data contained in all publications are solely those of the individual author(s) and contributor(s) and not of MDPI and/or the editor(s). MDPI and/or the editor(s) disclaim responsibility for any injury to people or property resulting from any ideas, methods, instructions or products referred to in the content.

Share and Cite

MDPI and ACS Style

Stan, E.; Muresan, C.-O.; Dumache, R.; Ciocan, V.; Ungureanu, S.; Costachescu, D.; Enache, A. Sex Estimation from Computed Tomography of Os Coxae—Validation of the Diagnose Sexuelle Probabiliste (DSP) Software in the Romanian Population. Appl. Sci. 2024, 14, 4136. https://doi.org/10.3390/app14104136

AMA Style

Stan E, Muresan C-O, Dumache R, Ciocan V, Ungureanu S, Costachescu D, Enache A. Sex Estimation from Computed Tomography of Os Coxae—Validation of the Diagnose Sexuelle Probabiliste (DSP) Software in the Romanian Population. Applied Sciences. 2024; 14(10):4136. https://doi.org/10.3390/app14104136

Chicago/Turabian Style

Stan, Emanuela, Camelia-Oana Muresan, Raluca Dumache, Veronica Ciocan, Stefania Ungureanu, Dan Costachescu, and Alexandra Enache. 2024. "Sex Estimation from Computed Tomography of Os Coxae—Validation of the Diagnose Sexuelle Probabiliste (DSP) Software in the Romanian Population" Applied Sciences 14, no. 10: 4136. https://doi.org/10.3390/app14104136

APA Style

Stan, E., Muresan, C.-O., Dumache, R., Ciocan, V., Ungureanu, S., Costachescu, D., & Enache, A. (2024). Sex Estimation from Computed Tomography of Os Coxae—Validation of the Diagnose Sexuelle Probabiliste (DSP) Software in the Romanian Population. Applied Sciences, 14(10), 4136. https://doi.org/10.3390/app14104136

Note that from the first issue of 2016, this journal uses article numbers instead of page numbers. See further details here.

Article Metrics

Back to TopTop