Tumor-Induced Osteomalacia as a Result of a Phosphaturic Mesenchymal Tumor: Detecting Rare Origin
Abstract
1. Introduction
2. Case Report
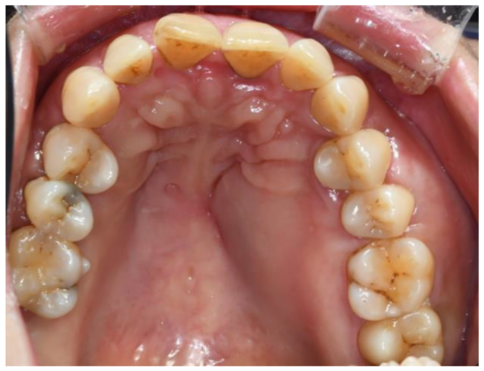
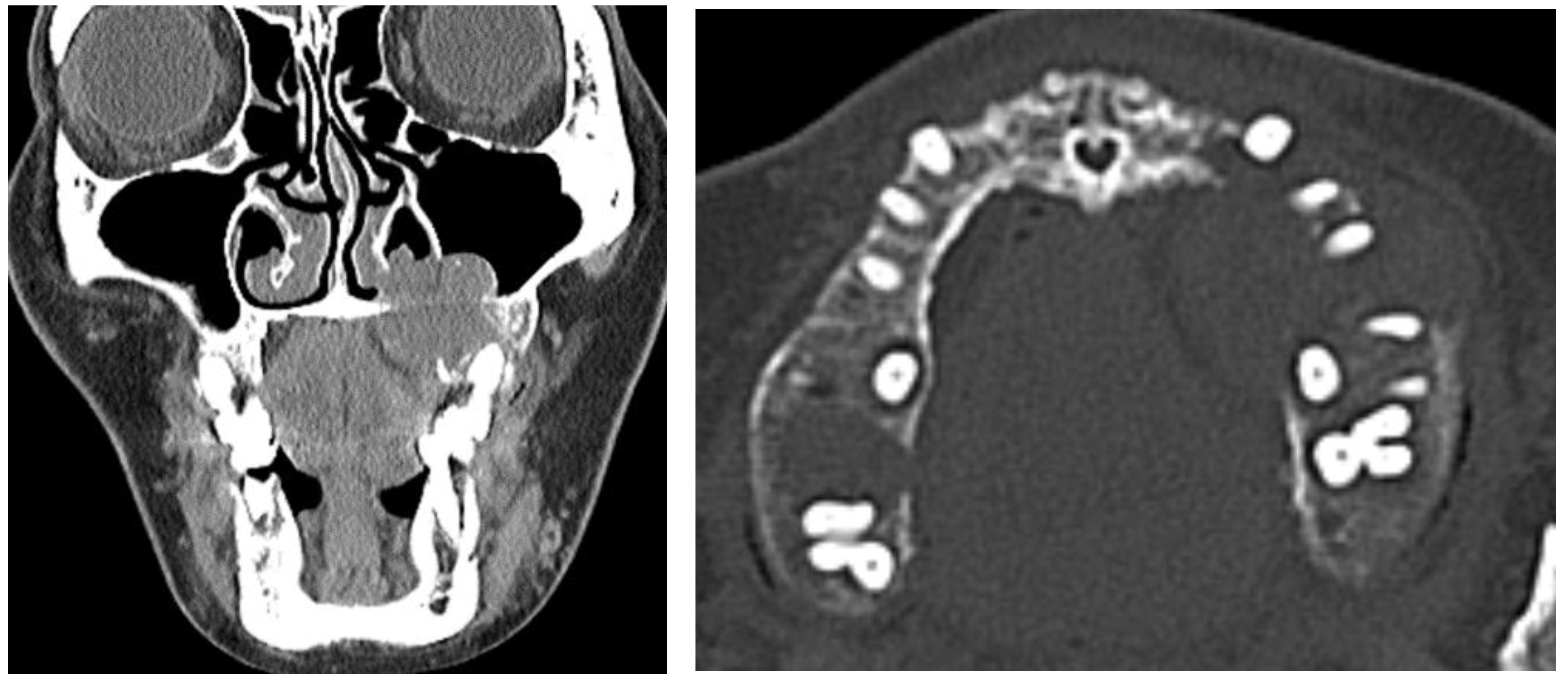
2.1. Clinical Presentation
2.2. Differential Diagnosis
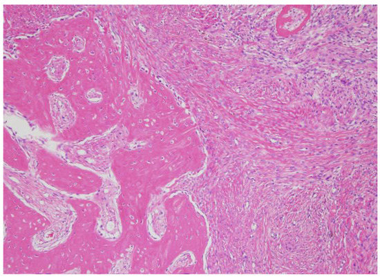
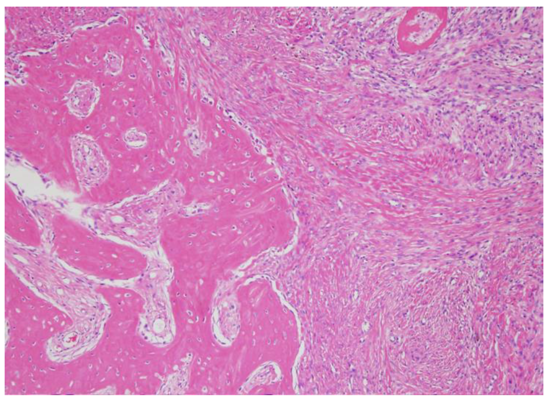
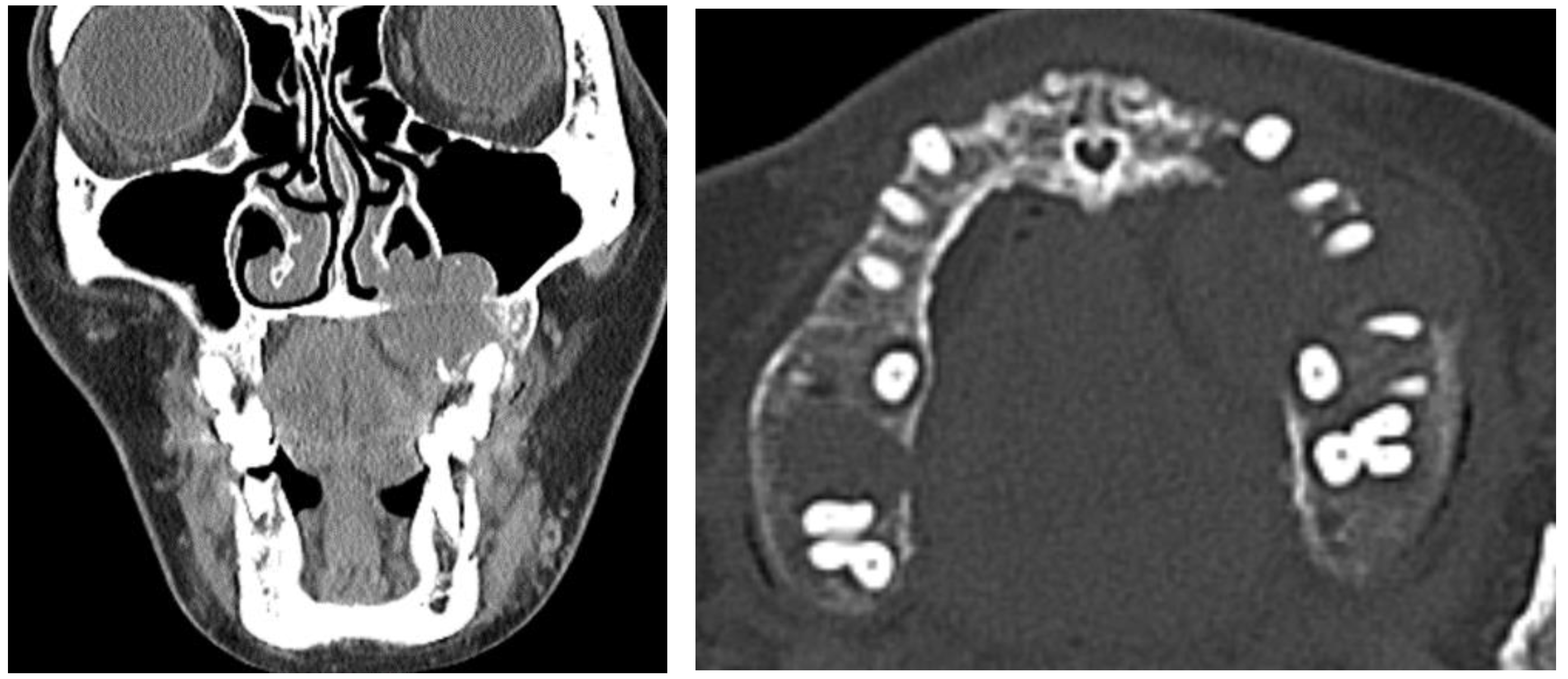
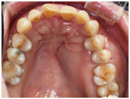
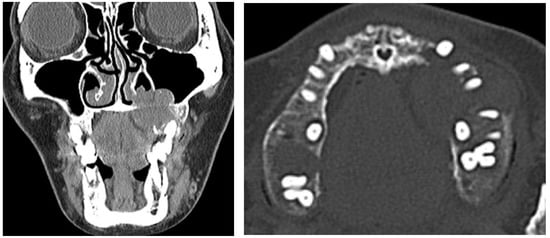
2.3. Diagnosis and Management
3. Discussion
4. Conclusions
Author Contributions
Funding
Institutional Review Board Statement
Informed Consent Statement
Data Availability Statement
Conflicts of Interest
References
- Folpe, A.L. Phosphaturic mesenchymal tumors: A review and update. Semin. Diagn. Pathol. 2019, 36, 260–268. [Google Scholar] [CrossRef]
- Chong, W.H.; Molinolo, A.A.; Chen, C.C.; Collins, M.T. Tumor-induced osteomalacia. Endocr. Relat. Cancer 2011, 18, R53–R77. [Google Scholar] [CrossRef]
- Folpe, A.L.; Fanburg-Smith, J.C.; Billings, S.D.; Bisceglia, M.; Bertoni, F.; Cho, J.Y.; Econs, M.J.; Inwards, C.Y.; de Beur, S.M.J.; Mentzel, T.; et al. Most osteomalacia-associated mesenchymal tumors are a single histopathologic entity—An analysis of 32 cases and a comprehensive review of the literature. Am. J. Surg. Pathol. 2004, 28, 1–30. [Google Scholar] [CrossRef]
- Shah, R.; Lila, A.R.; Jadhav, R.S.; Patil, V.; Mahajan, A.; Sonawane, S.; Thadani, P.; Dcruz, A.; Pai, P.; Bal, M.; et al. Tumor induced osteomalacia in head and neck region: Single center experience and systematic review. Endocr. Connect. 2019, 8, 1330–1353. [Google Scholar] [CrossRef]
- Kumar, R.; Folpe, A.L.; Mullan, B.P. Tumor-induced osteomalacia. Transl. Endocrinol. Metab. 2015, 7, R53–R77. [Google Scholar]
- Clunie, G.P.; Fox, P.E.; Stamp, T.C. Four cases of acquired hypophosphataemic (‘oncogenic’) osteomalacia. Problems of diagnosis, treatment and long-term management. Rheumatology 2000, 39, 1415–1421. [Google Scholar] [CrossRef]
- Mendenhall, W.M.; Mendenhall, C.M.; Werning, J.W.; Malyapa, R.S.; Mendenhall, N.P. Salivary gland pleomorphic adenoma. Am. J. Clin. Oncol. 2008, 31, 95–99. [Google Scholar] [CrossRef]
- Ledesma-Montes, C.; Garces-Ortiz, M. Salivary gland tumours in a Mexican sample. A retrospective study. Med. Oral Organo Of. Soc. Esp. Med. Oral Acad. Iberoam. Patol. Med. Bucal 2002, 7, 324–330. [Google Scholar]
- Stennert, E.; Guntinas-Lichius, O.; Klussmann, J.P.; Arnold, G. Histopathology of pleomorphic adenoma in the parotid gland: A prospective unselected series of 100 cases. Laryngoscope 2001, 111, 2195–2200. [Google Scholar] [CrossRef]
- Kruse-Lösler, B.; Diallo, R.; Gaertner, C.; Mischke, K.-L.; Joos, U.; Kleinheinz, J. Central giant cell granuloma of the jaws: A clinical, radiologic, and histopathologic study of 26 cases. Oral Surg. Oral Med. Oral Pathol. Oral Radiol. Endodontology 2006, 101, 346–354. [Google Scholar] [CrossRef]
- de Lange, J.; van den Akker, H.P.; van den Berg, H. Central giant cell granuloma of the jaw: A review of the literature with emphasis on therapy options. Oral Surg. Oral Med. Oral Pathol. Oral Radiol. Endodontology 2007, 104, 603–615. [Google Scholar] [CrossRef]
- Silverman Jr, S.; Ware, W.H.; Gillooly Jr, C. Dental aspects of hyperparathyroidism. Oral Surg. Oral Med. Oral Pathol. 1968, 26, 184–189. [Google Scholar] [CrossRef]
- Düsünsel, R.; Güney, E.; de Gündüz, Z.; Poyrazoglu, M.; Yigitbasi, O.; Kontas, O. Maxillary brown tumor caused by secondary hyperparathyroidism in a boy. Pediatr. Nephrol. 2000, 14, 529–530. [Google Scholar]
- Keyser, J.S.; Postma, G.N. Brown tumor of the mandible. Am. J. Otolaryngol. 1996, 17, 407–410. [Google Scholar] [CrossRef]
- Weidner, N.; Cruz, D.S. Phosphaturic mesenchymal tumors. A polymorphous group causing osteomalacia or rickets. Cancer 1987, 59, 1442–1454. [Google Scholar] [CrossRef]
- Drezner, M.K. Tumor-induced osteomalacia. Rev. Endocr. Metab. Disord. 2001, 2, 175–186. [Google Scholar] [CrossRef]
- Shane, E.; Parisien, M.; Henderson, J.E.; Dempster, D.W.; Feldman, F.; Hardy, M.A.; Tohme, J.F.; Karaplis, A.C.; Clemens, T.L. Tumor-induced osteomalacia: Clinical and basic studies. J. Bone Miner. Res. 1997, 12, 1502–1511. [Google Scholar] [CrossRef]
- Reyes-Múgica, M.; Arnsmeier, S.L.; Backeljauw, P.F.; Persing, J.; Ellis, B.; Carpenter, T.O. Phosphaturic mesenchymal tumor-induced rickets. Pediatr. Dev. Pathol. 2000, 3, 61–69. [Google Scholar] [CrossRef]
- Shimada, T.; Mizutani, S.; Muto, T.; Yoneya, T.; Hino, R.; Takeda, S.; Takeuchi, Y.; Fujita, T.; Fukumoto, S.; Yamashita, T. Cloning and characterization of FGF23 as a causative factor of tumor-induced osteomalacia. Proc. Natl. Acad. Sci. USA 2001, 98, 6500–6505. [Google Scholar] [CrossRef]
- Jonsson, K.B.; Zahradnik, R.; Larsson, T.; White, K.E.; Sugimoto, T.; Imanishi, Y.; Yamamoto, T.; Hampson, G.; Koshiyama, H.; Ljunggren, Ö. Fibroblast growth factor 23 in oncogenic osteomalacia and X-linked hypophosphatemia. N.Engl. J. Med. 2003, 348, 1656–1663. [Google Scholar] [CrossRef]
- Shimada, T.; Hasegawa, H.; Yamazaki, Y.; Muto, T.; Hino, R.; Takeuchi, Y.; Fujita, T.; Nakahara, K.; Fukumoto, S.; Yamashita, T. FGF-23 is a potent regulator of vitamin D metabolism and phosphate homeostasis. J. Bone Miner. Res. 2004, 19, 429–435. [Google Scholar] [CrossRef] [PubMed]
- White, K.E.; Evans, W.E.; O’Riordan, J.L.; Speer, M.C.; Econs, M.J.; Lorenz-Depiereux, B.; Grabowski, M.; Meitinger, T.; Strom, T.M. Autosomal dominant hypophosphataemic rickets is associated with mutations in FGF23. Nat. Genet. 2000, 26, 345–348. [Google Scholar] [CrossRef] [PubMed]
- De Beur, S.M.J. Tumor-induced osteomalacia. JAMA 2005, 294, 1260–1267. [Google Scholar] [CrossRef]
- Feng, J.Q.; Ward, L.M.; Liu, S.; Lu, Y.; Xie, Y.; Yuan, B.; Yu, X.; Rauch, F.; Davis, S.I.; Zhang, S. Loss of DMP1 causes rickets and osteomalacia and identifies a role for osteocytes in mineral metabolism. Nat. Genet. 2006, 38, 1310–1315. [Google Scholar] [CrossRef]
- Audran, M.; Kumar, R. The physiology and pathophysiology of vitamin D. In Proceedings of the Mayo Clinic Proceedings, Olmsted County, MN, USA, 1 January 1985; pp. 851–866. [Google Scholar]
- Knochel, J.P. The pathophysiology and clinical characteristics of severe hypophosphatemia. Arch. Intern. Med. 1977, 137, 203–220. [Google Scholar] [CrossRef] [PubMed]
- Maldonado, J.E.; Velosa, J.A.; Kyle, R.A.; Wagoner, R.D.; Holley, K.E.; Salassa, R.M. Fanconi syndrome in adults: A manifestation of a latent form of myeloma. Am. J. Med. 1975, 58, 354–364. [Google Scholar] [CrossRef]
- Ruppe, M.D.; De Beur, S.J. Disorders of phosphate homeostasis. Primer Metab. Bone Dis. Disord. Miner. Metab. 2008, 7, 317–321. [Google Scholar]
- Khosravi, A.; Cutler, C.M.; Kelly, M.H.; Chang, R.; Royal, R.E.; Sherry, R.M.; Wodajo, F.M.; Fedarko, N.S.; Collins, M.T. Determination of the elimination half-life of fibroblast growth factor-23. J. Clin. Endocrinol. Metab. 2007, 92, 2374–2377. [Google Scholar] [CrossRef]
- Takeuchi, Y.; Suzuki, H.; Ogura, S.; Imai, R.; Yamazaki, Y.; Yamashita, T.; Miyamoto, Y.; Okazaki, H.; Nakamura, K.; Nakahara, K. Venous sampling for fibroblast growth factor-23 confirms preoperative diagnosis of tumor-induced osteomalacia. J. Clin. Endocrinol. Metab. 2004, 89, 3979–3982. [Google Scholar] [CrossRef]
- Robertson, A.; Mansberg, R.; Mansberg, V.; Van der Wall, H.; Hooper, M. Tumor-induced osteomalacia: A case of diagnostic dilemma. Clin. Nucl. Med. 2007, 32, 631–634. [Google Scholar] [CrossRef]
- Roarke, M.C.; Nguyen, B.D. PET/CT localization of phosphaturic mesenchymal neoplasm causing tumor-induced osteomalacia. Clin. Nucl. Med. 2007, 32, 300–301. [Google Scholar] [CrossRef] [PubMed]
- Dupond, J.; Mahammedi, H.; Prie, D.; Collin, F.; Gil, H.; Blagosklonov, O.; Ricbourg, B.; Meaux-Ruault, N.; Kantelip, B. Oncogenic osteomalacia: Diagnostic importance of fibroblast growth factor 23 and F-18 fluorodeoxyglucose PET/CT scan for the diagnosis and follow-up in one case. Bone 2005, 36, 375–378. [Google Scholar] [CrossRef] [PubMed]
- Rhee, Y.; Lee, J.D.; Shin, K.H.; Lee, H.C.; Huh, K.B.; Lim, S.K. Oncogenic osteomalacia associated with mesenchymal tumour detected by indium-111 octreotide scintigraphy. Clin. Endocrinol. 2001, 54, 551–554. [Google Scholar] [CrossRef] [PubMed]
- Andreopoulou, P.; Dumitrescu, C.E.; Kelly, M.H.; Brillante, B.A.; Cutler Peck, C.M.; Wodajo, F.M.; Chang, R.; Collins, M.T. Selective venous catheterization for the localization of phosphaturic mesenchymal tumors. J. Bone Miner. Res. 2011, 26, 1295–1302. [Google Scholar] [CrossRef]
- Schapira, D.; Izhak, O.B.; Nachtigal, A.; Burstein, A.; Shalom, R.B.; Shagrawi, I.; Best, L.A. Tumor-induced osteomalacia. Semin. Arthritis Rheum. 1995, 25, 35–46. [Google Scholar] [CrossRef]




Disclaimer/Publisher’s Note: The statements, opinions and data contained in all publications are solely those of the individual author(s) and contributor(s) and not of MDPI and/or the editor(s). MDPI and/or the editor(s) disclaim responsibility for any injury to people or property resulting from any ideas, methods, instructions or products referred to in the content. |
© 2023 by the authors. Licensee MDPI, Basel, Switzerland. This article is an open access article distributed under the terms and conditions of the Creative Commons Attribution (CC BY) license (https://creativecommons.org/licenses/by/4.0/).
Share and Cite
Jung, J.; Kim, M.; Kim, S.-W.; Ohe, J.-Y. Tumor-Induced Osteomalacia as a Result of a Phosphaturic Mesenchymal Tumor: Detecting Rare Origin. Appl. Sci. 2023, 13, 1081. https://doi.org/10.3390/app13021081
Jung J, Kim M, Kim S-W, Ohe J-Y. Tumor-Induced Osteomalacia as a Result of a Phosphaturic Mesenchymal Tumor: Detecting Rare Origin. Applied Sciences. 2023; 13(2):1081. https://doi.org/10.3390/app13021081
Chicago/Turabian StyleJung, Junho, Minah Kim, So-Woon Kim, and Joo-Young Ohe. 2023. "Tumor-Induced Osteomalacia as a Result of a Phosphaturic Mesenchymal Tumor: Detecting Rare Origin" Applied Sciences 13, no. 2: 1081. https://doi.org/10.3390/app13021081
APA StyleJung, J., Kim, M., Kim, S.-W., & Ohe, J.-Y. (2023). Tumor-Induced Osteomalacia as a Result of a Phosphaturic Mesenchymal Tumor: Detecting Rare Origin. Applied Sciences, 13(2), 1081. https://doi.org/10.3390/app13021081

