Tissue Response to a Heat Resistant Silicate-Based and an Epoxy Resin-Based Endodontic Sealer Implanted in Rat Tibias
Abstract
:1. Clinical Relevance
Introduction
2. Material and Methods
2.1. Preparation of Samples
2.2. Sample Implantation
2.3. Evaluation of Tissue Reaction
2.4. Statistical Analysis
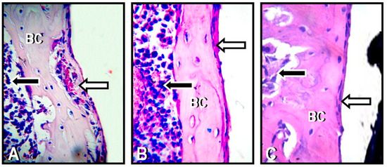
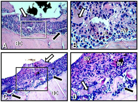
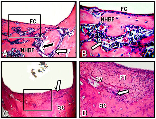
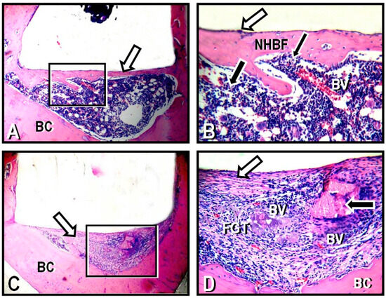
3. Results
3.1. ESHF and AHPS
3.2. Controls
4. Discussion
5. Conclusions
Author Contributions
Funding
Institutional Review Board Statement
Informed Consent Statement
Data Availability Statement
Conflicts of Interest
References
- Sousa, C.J.A.; Montes, C.R.M.; Pascon, E.A.; Loyola, A.M.; Versiani, M.A. Comparison of the Intraosseous biocompatibility of AH Plus, EndoRez and Epiphany root canal sealers. J. Endod. 2006, 32, 656–662. [Google Scholar] [CrossRef] [PubMed]
- Orstavik, D. Materials used for root canal obturation: Technical, biological and clinical testing. Endod. Top. 2005, 12, 25–38. [Google Scholar] [CrossRef]
- Whitworth, J. Methods of filling root canals: Principles and practices. Endod. Top. 2005, 12, 2–24. [Google Scholar] [CrossRef]
- Smith, R.S.; Weller, R.N.; Loushine, R.J.; Kimbrough, W.F. Effect of varying the depth of heat application on the adaptability of gutta-percha during warm vertical compactation. J. Endod. 2000, 26, 668–672. [Google Scholar] [CrossRef] [PubMed]
- Resende, L.M.; Rachel-Junior, F.J.A.; Versiani, M.A.; Souza-Gabriel, A.E.; Miranda, C.E.S.; Silva-Sousa, Y.T.C.; Sousa-Neto, M.D. A comparative study of physicochemical properties of AH Plus, Epiphany and Epiphany SE root canal sealers. Int. Endod. J. 2009, 42, 785–793. [Google Scholar] [CrossRef] [PubMed]
- Camargo, R.V.; Silva-Sousa, Y.T.C.; da Rosa, R.P.F.; Mazzi-Chaves, J.F.; Lopes, F.C.; Steier, L.; Sousa-Neto, M.D. Evaluation of the physicochemical properties of silicone-and epoxi resin-based root canal sealers. Braz. Oral. Res. 2017, 31, e72. [Google Scholar] [CrossRef] [PubMed]
- Scarparo, R.K.; Grecca, F.S.; Fachin, E.V.F. Analysis of tissue reactions to methacrylate resin-based, epoxi resin-based and zinc oxide-eugenol endodontic sealers. J. Endod. 2009, 35, 229–232. [Google Scholar] [CrossRef] [PubMed]
- Koch, K.A.; Brave, D.G. Bioceramics, part I: The clinician’s viewpoint. Dent. Today 2012, 31, 130–135. [Google Scholar] [PubMed]
- Persson, C.; Engqvist, H. Premixed calcium silicate cement for endodontic applications: Injectability, setting time and radiopacity. Biomatter 2011, 1, 76–80. [Google Scholar] [CrossRef] [PubMed]
- Kim, J.S.; Baek, S.H.; Bae, K.S. In vivo study on the biocompatibility of newly developed calcium phosphate-based root canal sealers. J. Endod. 2004, 30, 708–711. [Google Scholar] [CrossRef] [PubMed]
- Setbon, H.M.; Devaux, J.; Iserentant, A.; Leloup, G.; Leprince, J.G. Influence of composition on setting kinetics of new injectable and/or fast setting tricalcium silicate cements. Dent. Mater. 2014, 30, 1291–1303. [Google Scholar] [CrossRef]
- Walsh, R.M.; He, J.; Schweitzer, J.; Opperman, L.A.; Woodmansey, K.F. Bioactive endodontic materials for every day use: A review. Gen. Dent. 2018, 66, 48–51. [Google Scholar]
- Haapasalo, M.; Parhar, M.; Huang, X.; Wei, X.I.; Lin, J.; Shen, Y.A. Clinical use of bioceramic materials. Endod. Top. 2015, 32, 97–117. [Google Scholar] [CrossRef]
- Utneja, S.; Nawat, R.R.; Talwar, S.; Verna, M. Current perspectives of bio-ceramic technology in endodontics: Calcium enriched mixture cement—Review of its composition, properties and applications. Restor. Dent. Endod. 2015, 40, 1–13. [Google Scholar] [CrossRef]
- Donnermeyer, D.; Burklein, S.; Damaschke, T.; Schaffer, E. Endodontic sealers based on calcium silicates: A systematic review. Odontology 2019, 107, 421–436. [Google Scholar] [CrossRef]
- Zhou, M.M.; Shen, Y.; Zheng, W.; Li, L.; Zheng, Y.F.; Haapasalo, M. Physical properties of 5 root canal sealers. J. Endod. 2013, 39, 1281–1286. [Google Scholar] [CrossRef]
- Chen, B.; Haapasalo, M.; Mobuchon, C.; Li, X.; Ma, J.; Shen, Y. Cytotoxicity and the effect of temperature on physical properties and chemical composition of a new calcium silicate-based root canal sealer. J. Endod. 2020, 46, 531–538. [Google Scholar] [CrossRef]
- Bósio, C.C.; Felippe, G.S.; Bortoluzzi, E.A.; Felippe, M.C.; Felippe, W.T.; Rivero, R.R. Subcutaneous connective tissue reaction to iRoot SP, mineral trioxide aggregate (MTA) Fillapex, DiaRoot Bioaggregate and MTA. Int. Endod. J. 2014, 47, 667–674. [Google Scholar] [CrossRef]
- Chang, S.W.; Lee, S.Y.; Kang, S.K.; Kum, K.Y.; Kim, E.C. In vitro biocompatibility, inflammatory response, and osteogenic potential of 4 root canal sealers: Sealapex, Sankin apatite root sealer, MTA Fillapex and iRootSP root canal sealer. J. Endod. 2014, 40, 1642–1648. [Google Scholar] [CrossRef]
- Giacomino, C.M.; Wealleans, J.A.; Khun, N.; Diogenes, A. Comparative biocompatibility and osteogenic potential of two bioceramic sealers. J. Endod. 2019, 45, 51–56. [Google Scholar] [CrossRef]
- Chibowsky, E.A.; Glickman, G.N.; Patel, Y.; Fleuri, A.; Solomon, E.; He, J. Clinical outcome of non-surgical root canal treatment using a single-cone technique with EndoSequence bioceramic sealer: A retrospective analysis. J. Endod. 2018, 44, 941–945. [Google Scholar] [CrossRef]
- Fernández, R.; Restrepo, J.S.; Aristizábal, D.C.; Álvarez, L.G. Evaluation of the filling ability of artificial lateral canals using calcium silicate-based and epoxy resin-based endodontic sealers and two gutta-percha filling techniques. Int. Endod. J. 2016, 49, 365–373. [Google Scholar] [CrossRef]
- Qu, W.; Bai, W.; Liang, Y.-H.; Gao, X.J. Influence of warm vertical compaction technique on physical properties of root canal sealers. J. Endod. 2016, 42, 1829–1833. [Google Scholar] [CrossRef]
- Zhang, W.J.; Liu, H.; Wang, Z.; Haapasalo, M.; Jiang, Q.Z.; Shen, Y. Long-term porosity and retreatability of oval-shaped canals obturated using two different methods with a novel tricalcium silicate sealer. Clin. Oral. Investig. 2022, 26, 1045–1052. [Google Scholar] [CrossRef]
- Sanz, J.L.; López-García, S.; Lozano, A.; Pecci-Lioret, M.P.; Llena, C.; Guerrero-Girones, J.; Rodriguez-Lozano, F.J.; Forner, L. Microstructural composition, ion release, and bioactive potential of new premixed calcium silicate-based endodontic sealers indicated for warm vertical compaction technique. Clin. Oral. Investig. 2021, 25, 1451–1462. [Google Scholar] [CrossRef] [PubMed]
- Yang, X.; Tian, J.; Li, M.; Chen, W.; Liu, H.; Wang, Z.; Haapasalo, M.; Shen, Y.; Wei, X. Biocompatibility of a new calcium silicate-based root canal sealer mediated via the modulation of macrophage polarization in a rat model. Materials 2022, 15, 1962. [Google Scholar] [CrossRef] [PubMed]
- Faul, F.; Erdfelder, E.; Lang, A.-G.; Buchner, A. G* Power 3: A flexible statistical power analysis program for the social, behavioral, and biomedical sciences. Behav. Res. Methods 2007, 39, 175–191. [Google Scholar] [CrossRef] [PubMed]
- Zmener, O.; Banegas, G.; Pameijer, C.H. Bone tissue response to a methacrylate-based endodontic sealer: A histological and histometric study. J. Endod. 2005, 31, 457–459. [Google Scholar] [CrossRef]
- ISO 10993-1:2018; Biological Evaluation of Medical Devices—Part 1: Guidance on Selection of Tests. ISO: Geneva, Switzerland, 2018.
- ISO 10993-2:2018; Biological Evaluation of Medical Devices—Animal Welfare Requirements. ISO: Geneva, Switzerland, 2018.
- American National Standard. American Dental Association Specification No. 41 for Recommended Standard Practices for Biological Evaluation of Dental Materials; American National Standard: Washington, DC, USA, 2020. [Google Scholar]
- Zmener, O.; Martinez Lalis, R.; Pameijer, C.H.; Chaves, C.; Kokubu, G. Intraosseous biocompatibility of an MTA-based and zinc oxide and eugenol root canal sealer. Endod. Pract. 2013, 16, 12–19. [Google Scholar]
- Pellegrini, G.G.; Gonzales-Chaves, M.M.S.; Orzuza, R.; Zeni, S.N. Preliminary study on the biocompatibility and osteoconductive properties of a new bovine bone graft. Actual. Osteol. 2017, 13, 116–124. [Google Scholar]
- Nepal, M.; Li, L.; Bae, T.S.; Kim, B.I.I.; Soh, Y. Evaluation of osseointegration around tibiae implants in rats by Ibandronate-treated nanotubular Ti-32Nb-5Zr alloy. Biomol. Ther. 2014, 22, 563–569. [Google Scholar] [CrossRef] [PubMed]
- Simsek, N.; Akinci, L.; Gecor, O.; Alan, H.; Ahmetoglu, F.; Taslidere, E. Biocompatibility of a new epoxi resin-based root canal sealer in subcutaneous connective tissue of rat. Eur. J. Dent. 2015, 9, 31–35. [Google Scholar] [PubMed]
- Mann, A.; Zeng, Y.; Kirkpatrick, T.; Van der Hoeven, R.; Silva, R.; Letra, A.; de Souza, L.C. Evaluation of the physicochemical and biological properties of EndoSequence BC sealer HiFlow. J. Endod. 2022, 48, 123–131. [Google Scholar] [CrossRef] [PubMed]
- Camilleri, J. Sealers and warm gutta-percha obturation techniques. J. Endod. 2015, 41, 72–78. [Google Scholar] [CrossRef] [PubMed]
- Donnermeyer, D.; Schäfer, E.; Bürklein, S. Real-time intracanal temperature measurement during different obturation techniques. J. Endod. 2018, 44, 1832–1836. [Google Scholar] [CrossRef] [PubMed]
- Karapinar-Kazandağ, M.; Bayrak, Ö.F.; Yalvac, M.E.; Ersev, H.; Tanalp, J.; Şahin, F.; Bayirli, G. Cytotoxicity of 5 endodontic sealers on L929 cell line and human dental pulp cells. Int. Endod. J. 2011, 44, 626–634. [Google Scholar] [CrossRef] [PubMed]
- Candeiro, G.T.M.; Correia, F.C.; Duarte, M.A.H.; Ribeiro-Siqueira, D.C.; Gavini, G. Evaluation of radiopacity, pH, release of calcium ions and flow of a bioceramic root canal sealer. J. Endod. 2012, 38, 842–845. [Google Scholar] [CrossRef] [PubMed]
- Antunes, T.B.M.; Janini, A.C.P.; Pelepenko, L.E.; Abuna, G.F.; Paiva, E.M.; Sinhoreti, M.A.C.; Raimundo, I.M., Jr.; Gomes, B.; de Jesus-Soares, A.; Marciano, M.A. Heating stability, physical and chemical analysis of calcium silicate-based endodontic sealers. Int. Endod. J. 2021, 54, 1175–1188. [Google Scholar] [CrossRef] [PubMed]
- Wu, T.; Xu, C.; Du, R.; Wen, Y.; Chang, J.; Huan, Z.; Zhu, Y. Effect of silicate-based composite material on the proliferation and mineralization behaviors of human dental pulp cells: An in vitro assessment. Dent. Mater. J. 2018, 37, 889–896. [Google Scholar] [CrossRef] [PubMed]
- Pinheiro, L.S.; Iglesias, J.E.; Boijink, D.; Mestieri, L.B.; Kopper, P.M.P.; Figueiredo, A.P.; Grecca, F.S. Cell viability and tissue reaction to Neo MTA Plus. An in vitro and in vivo study. J. Endod. 2018, 44, 1140–1145. [Google Scholar] [CrossRef] [PubMed]
- Patlolla, A.; Arinzeh, T.L. Evaluating apatite formation and osteogenic activity of electrospun composites for bone tissue engineering. Biotechnol. Bioeng. 2014, 111, 1000–1017. [Google Scholar] [CrossRef] [PubMed]




| Inflammatory Response | 10 Days | 30 Days | 90 Days | |||
|---|---|---|---|---|---|---|
| ESHF | AHPS | ESHF | AHPS | ESHF | AHPS | |
| n (%) | n (%) | n (%) | n (%) | n (%) | n (%) | |
| None | 0 (0) | 0 (0) | 0 (0) | 0 (0) | 8 (100) | 0 (0) |
| Mild | 0 (0) | 0 (0) | 8 (100) | 1 (12.50) | 0 (0) | 8 (100) |
| Moderate | 0 (0) | 0 (0) | 0 (0) | 7 (87.50) | 0 (0) | 0 (0) |
| Severe | 8 (100) | 8 (100) | 0 (0) | 0 (0) | 0 (0) | 0 (0) |
Disclaimer/Publisher’s Note: The statements, opinions and data contained in all publications are solely those of the individual author(s) and contributor(s) and not of MDPI and/or the editor(s). MDPI and/or the editor(s) disclaim responsibility for any injury to people or property resulting from any ideas, methods, instructions or products referred to in the content. |
© 2023 by the authors. Licensee MDPI, Basel, Switzerland. This article is an open access article distributed under the terms and conditions of the Creative Commons Attribution (CC BY) license (https://creativecommons.org/licenses/by/4.0/).
Share and Cite
Zmener, O.; Pameijer, C.H.; Della Porta, R.; de Lucca, R. Tissue Response to a Heat Resistant Silicate-Based and an Epoxy Resin-Based Endodontic Sealer Implanted in Rat Tibias. Appl. Sci. 2023, 13, 10075. https://doi.org/10.3390/app131810075
Zmener O, Pameijer CH, Della Porta R, de Lucca R. Tissue Response to a Heat Resistant Silicate-Based and an Epoxy Resin-Based Endodontic Sealer Implanted in Rat Tibias. Applied Sciences. 2023; 13(18):10075. https://doi.org/10.3390/app131810075
Chicago/Turabian StyleZmener, Osvaldo, Cornelis H. Pameijer, Roberto Della Porta, and Romina de Lucca. 2023. "Tissue Response to a Heat Resistant Silicate-Based and an Epoxy Resin-Based Endodontic Sealer Implanted in Rat Tibias" Applied Sciences 13, no. 18: 10075. https://doi.org/10.3390/app131810075
APA StyleZmener, O., Pameijer, C. H., Della Porta, R., & de Lucca, R. (2023). Tissue Response to a Heat Resistant Silicate-Based and an Epoxy Resin-Based Endodontic Sealer Implanted in Rat Tibias. Applied Sciences, 13(18), 10075. https://doi.org/10.3390/app131810075

