Photobiomodulation and Orthodontic Treatment with Clear Aligners: A Case Report of Severe Crowding and Agenesis
Abstract
1. Introduction
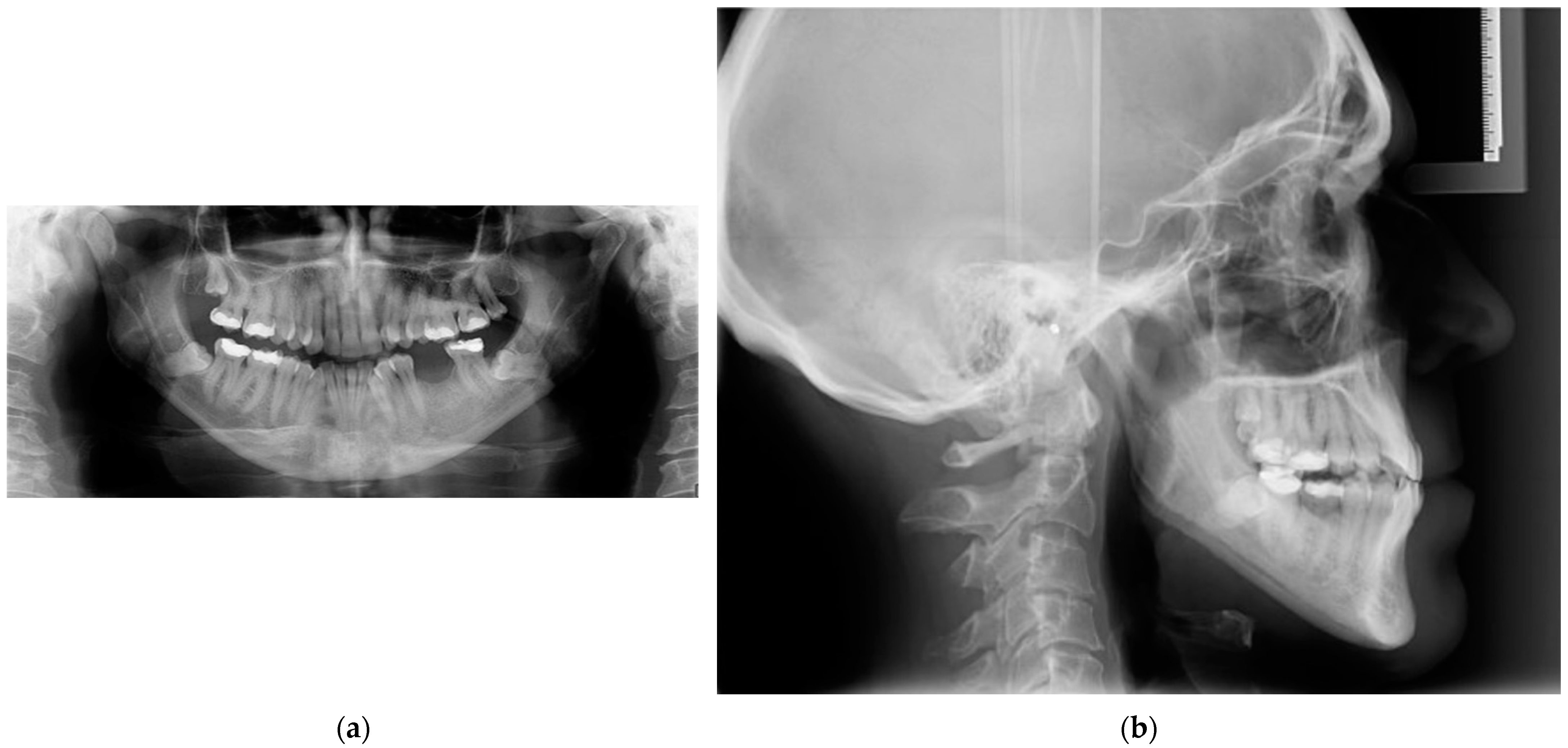
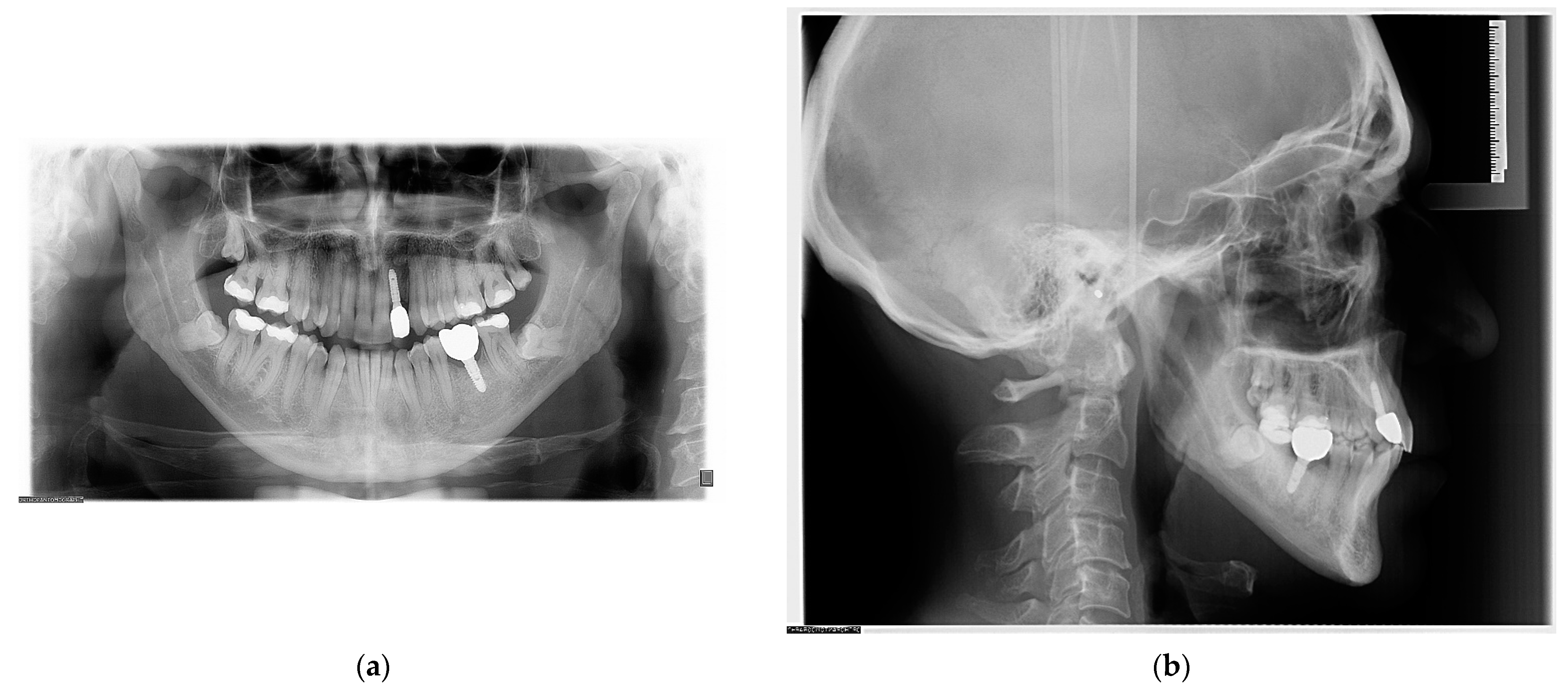
2. Case Report
3. Discussion
4. Conclusions
Author Contributions
Funding
Institutional Review Board Statement
Informed Consent Statement
Data Availability Statement
Conflicts of Interest
References
- Saccomanno, S.; Saran, S.; Laganà, D.; Mastrapasqua, R.F.; Grippaudo, C. Motivation, perception, and behavior of the adult orthodontic patient: A survey analysis. BioMed Res. Int. 2022, 2022, 2754051. [Google Scholar] [CrossRef]
- Abbasi, M.S.; Lal, A.; Das, G.; Salman, F.; Akram, A.; Ahmed, A.R.; Maqsood, A.; Ahmed, N. Impact of social media on aesthetic dentistry: General practitioners’ perspectives. Healthcare 2022, 10, 2055. [Google Scholar] [CrossRef] [PubMed]
- Tamer, I.; Öztas, E.; Marsan, G. Orthodontic treatment with clear aligners and the scientific reality behind their marketing: A literature review. Turk. J. Orthod. 2019, 32, 241–246. [Google Scholar] [CrossRef]
- Ke, Y.; Zhu, Y.; Zhu, M. A comparison of treatment effectiveness between clear aligner and fixed appliance therapies. BMC Oral Health 2019, 19, 24. [Google Scholar] [CrossRef]
- Linjawi, A.I.; Abushal, A.M. Young adults’ preferences and willingness to pay for invasive and non-invasive accelerated orthodontic treatment: A comparative study. Inquiry 2020, 57. [Google Scholar] [CrossRef]
- Torsello, F.; D’Amico, G.; Staderini, E.; Marigo, L.; Cordaro, M.; Castagnola, R. Factors influencing appliance wearing time during orthodontic treatments: A literature review. Appl. Sci. 2022, 12, 7807. [Google Scholar] [CrossRef]
- Ganesh, M.L.; Saravana Pandian, K. Acceleration of tooth movement during orthodontic treatment—A frontier in orthodontics. J. Pharm. Sci. Res. 2017, 9, 741–744. [Google Scholar]
- Apalimova, A.; Roselló, À.; Jané-Salas, E.; Arranz-Obispo, C.; Marí-Roig, A.; López-López, J. Corticotomy in orthodontic treatment: Systematic review. Heliyon 2020, 6, e04013. [Google Scholar] [CrossRef] [PubMed]
- Nimeri, G.; Kau, C.H.; Abou-Kheir, N.S.; Corona, R. Acceleration of tooth movement during orthodontic treatment—A frontier in orthodontics. Prog. Orthod. 2013, 14, 42. [Google Scholar] [CrossRef]
- Cronshaw, M.; Parker, S.; Anagnostaki, E.; Mylona, V.; Lynch, E.; Grootveld, M. Photobiomodulation Dose Parameters in Dentistry: A Systematic Review and Meta-Analysis. Dent. J. 2020, 8, 114. [Google Scholar] [CrossRef]
- Borzabadi-Farahani, A. A Scoping Review of the Efficacy of Diode Lasers Used for Minimally Invasive Exposure of Impacted Teeth or Teeth with Delayed Eruption. Photonics 2022, 9, 265. [Google Scholar] [CrossRef]
- Borzabadi-Farahani, A.; Cronshaw, M. Lasers in Orthodontics. In Lasers in Dentistry—Current Concepts. Textbooks in Contemporary Dentistry; Coluzzi, D., Parker, S., Eds.; Springer: Cham, Switzerland, 2017. [Google Scholar] [CrossRef]
- Coluzzi, D.J. Lasers in dentistry. Compend. Contin. Educ. Dent. 2005, 26, 429–435. [Google Scholar] [CrossRef]
- Lazăr, L.; Manu, D.R.; Dako, T.; Mârțu, M.-A.; Suciu, M.; Ormenișan, A.; Păcurar, M.; Lazăr, A.-P. Effects of Laser Application on Alveolar Bone Mesenchymal Stem Cells and Osteoblasts: An In Vitro Study. Diagnostics 2022, 12, 2358. [Google Scholar] [CrossRef] [PubMed]
- Almpani, K.; Kantarci, A. Nonsurgical methods for the acceleration of the orthodontic tooth movement. Front. Oral Biol. 2015, 18, 80–91. [Google Scholar] [CrossRef] [PubMed]
- Hamblin, M.R.; Demidova, T.N. Mechanisms of low level light therapy. Prog. Biomed. Opt. Imaging-Proc. SPIE 2006, 6140, 614001. [Google Scholar] [CrossRef]
- Sfondrini, M.F.; Vitale, M.; Pinheiro, A.L.B.; Gandini, P.; Sorrentino, L.; Iarussi, U.M.; Scribante, A. Photobiomodulation and pain reduction in patients requiring orthodontic band application: Randomized clinical trial. BioMed Res. Int. 2020, 2020, 7460938. [Google Scholar] [CrossRef] [PubMed]
- Meme’, L.; Gallusi, G.; Coli, G.; Strappa, E.; Bambini, F.; Sampalmieri, F. Photobiomodulation to reduce orthodontic treatment time in adults: A historical prospective study. Appl. Sci. 2022, 12, 11532. [Google Scholar] [CrossRef]
- Bambini, F.; Orilisi, G.; Quaranta, A.; Memè, L. Biological Oriented Immediate Loading: A New Mathematical Implant Vertical Insertion Protocol, Five-Year Follow-Up Study. Materials 2021, 14, 387. [Google Scholar] [CrossRef] [PubMed]
- Little, R.M. The irregularity index: A quantitative score of mandibular anterior alignment. Am. J. Orthod. 1975, 68, 554–563. [Google Scholar] [CrossRef]
- Phillips, C.; Beal, K.N.E. Self-concept and the perception of facial appearance in children and adolescents seeking orthodontic treatment. Angle Orthod. 2009, 79, 12–16. [Google Scholar] [CrossRef]
- Oliveira, P.G.S.A.; Tavares, R.R.; de Freitas, J.C. Assessment of motivation, expectations and satisfaction of adult patients submitted to orthodontic treatment. Dent. Press J. Orthod. 2013, 18, 81–87. [Google Scholar] [CrossRef]
- Sioustis, I.-A.; Axinte, M.; Prelipceanu, M.; Martu, A.; Kappenberg-Nitescu, D.-C.; Teslaru, S.; Luchian, I.; Solomon, S.M.; Cimpoesu, N.; Martu, S. Finite Element Analysis of Mandibular Anterior Teeth with Healthy, but Reduced Periodontium. Appl. Sci. 2021, 11, 3824. [Google Scholar] [CrossRef]
- Ferro, R.; Besostri, A.; Olivieri, A.; Quinzi, V.; Scibetta, D. Prevalence of cross-bite in a sample of Italian preschoolers. Eur. J. Paediatr. Dent. 2016, 17, 307–309. [Google Scholar]
- Shaughnessy, T.; Kantarci, A.; Kau, C.H.; Skrenes, D.; Skrenes, S.; Ma, D. Intraoral photobiomodulation-induced orthodontic tooth alignment: A preliminary study. BMC Oral Health 2016, 16, 3. [Google Scholar] [CrossRef]
- Quinzi, V.; Paskay, L.C.; Manenti, R.J.; Marzo, G.; Saccomanno, S. Telemedicine for a multidisciplinary assessment of orofacial pain in a patient affected by eagle’s syndrome: A clinical case report. Open Dent. J. 2021, 15, 102–110. [Google Scholar] [CrossRef]
- Memè, L.; Notarstefano, V.; Sampalmieri, F.; Orilisi, G.; Quinzi, V. Atr-ftir analysis of orthodontic invisalign® aligners subjected to various in vitro aging treatments. Materials 2021, 14, 818. [Google Scholar] [CrossRef] [PubMed]
- El-Angbawi, A.; McIntyre, G.; Fleming, P.S.; Bearn, D. Non-surgical adjunctive interventions for accelerating tooth movement in patients undergoing orthodontic treatment. Cochrane Database Syst. Rev. 2023, 6, CD010887. [Google Scholar] [CrossRef] [PubMed]
- Primozic, J.; Federici Canova, F.; Rizzo, F.A.; Marzo, G.; Quinzi, V. Diagnostic ability of the primary second molar crown-to-root length ratio and the corresponding underlying premolar position in estimating future expander anchoring teeth exfoliation. Orthod. Craniofacial Res. 2021, 24, 561–567. [Google Scholar] [CrossRef]
- Saccomanno, S.; Mummolo, S.; Giancaspro, S.; Manenti, R.J.; Mastrapasqua, R.F.; Marzo, G.; Quinzi, V. Catering work profession and medico-oral health: A study on 603 subjects. Healthcare 2021, 9, 582. [Google Scholar] [CrossRef]
- Quinzi, V.; Scibetta, E.T.; Marchetti, E.; Mummolo, S.; Bruno Giannì, A.; Romano, M.; Marzo, G. Analyze my face. J. Biol. Regul. Homeost. Agents 2018, 32, 149–158. [Google Scholar]






| Measurements | T0 | T1 |
|---|---|---|
| Bolton index | 0.18 | 1.87 |
| LII | 16.6 mm | 0 mm |
| Intercanine width sup. | 33 mm | 35.2 mm |
| Interpremolar width sup. | 33.1 mm | 37.5 mm |
| Intermolar width sup. | 43.3 mm | 47 mm |
| Intercanine width inf. | 23.6 mm | 23.3 mm |
| Interpremolar width inf. | 26.5 mm | 29.8 mm |
| Intermolar width inf. | - | - |
| Arch perimeter sup. | 66.5 mm | 70.8 mm |
| Arch perimeter inf. | 56.6 mm | 61 mm |
| Overjet | 0.7 mm | 3.6 mm |
| Overbite | 2.1 mm | 2.7 mm |
| Measurements | T0 | T1 |
|---|---|---|
| SNA | 76.0° | 79.1° |
| SNB | 76.8° | 77.1° |
| ANB (Eastman Correction) | 1.7° | 3.0° |
| WITS INDEX | −5.0 | −3.4 |
| Maxillary incisor inclination | 112.3° | 116° |
| Mandibular incisor inclination | 86.5° | 91.6° |
| Interincisal Angle | 117.2° | 124° |
Disclaimer/Publisher’s Note: The statements, opinions and data contained in all publications are solely those of the individual author(s) and contributor(s) and not of MDPI and/or the editor(s). MDPI and/or the editor(s) disclaim responsibility for any injury to people or property resulting from any ideas, methods, instructions or products referred to in the content. |
© 2023 by the authors. Licensee MDPI, Basel, Switzerland. This article is an open access article distributed under the terms and conditions of the Creative Commons Attribution (CC BY) license (https://creativecommons.org/licenses/by/4.0/).
Share and Cite
Fani, E.; Coli, G.; Messina, A.; Sampalmieri, F.; Bambini, F.; Memè, L. Photobiomodulation and Orthodontic Treatment with Clear Aligners: A Case Report of Severe Crowding and Agenesis. Appl. Sci. 2023, 13, 9198. https://doi.org/10.3390/app13169198
Fani E, Coli G, Messina A, Sampalmieri F, Bambini F, Memè L. Photobiomodulation and Orthodontic Treatment with Clear Aligners: A Case Report of Severe Crowding and Agenesis. Applied Sciences. 2023; 13(16):9198. https://doi.org/10.3390/app13169198
Chicago/Turabian StyleFani, Eda, Giulia Coli, Andrea Messina, Francesco Sampalmieri, Fabrizio Bambini, and Lucia Memè. 2023. "Photobiomodulation and Orthodontic Treatment with Clear Aligners: A Case Report of Severe Crowding and Agenesis" Applied Sciences 13, no. 16: 9198. https://doi.org/10.3390/app13169198
APA StyleFani, E., Coli, G., Messina, A., Sampalmieri, F., Bambini, F., & Memè, L. (2023). Photobiomodulation and Orthodontic Treatment with Clear Aligners: A Case Report of Severe Crowding and Agenesis. Applied Sciences, 13(16), 9198. https://doi.org/10.3390/app13169198

