Cereals and Fruits as Effective Delivery Vehicles of Lacticaseibacillus rhamnosus through Gastrointestinal Transit
Abstract
1. Introduction
2. Materials and Methods
2.1. Bacterial Strain and Culture Conditions
2.2. Cell Immobilization on Natural Supports and Production of Freeze-Dried Cultures
2.3. Scanning Electron Microscopy
2.4. Static In Vitro Digestion Model
2.5. Animals and In Vivo Study Design
2.6. Microbiological Analysis and Enumeration of Lactobacilli
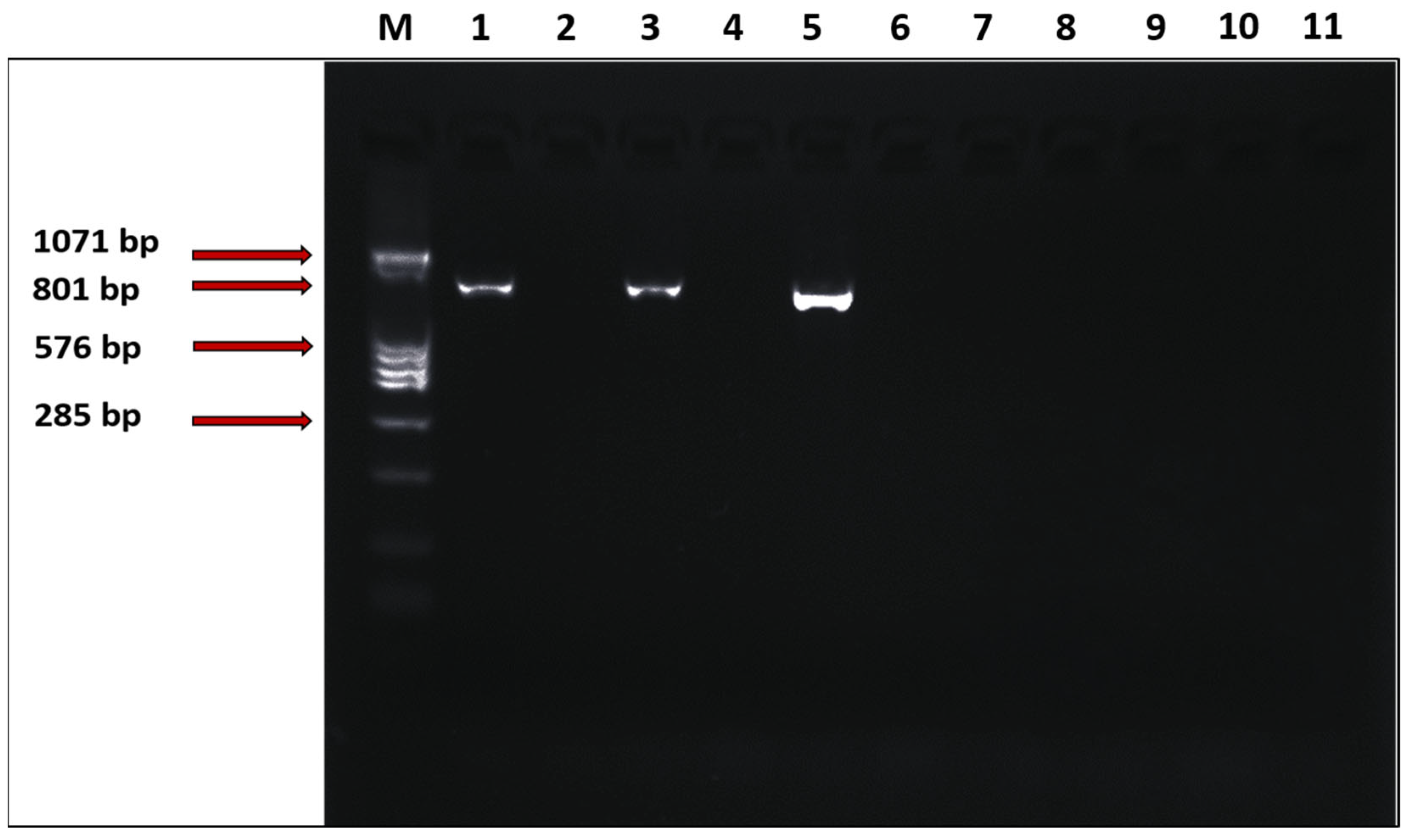
2.7. Identification of L. rhamnosus OLXAL-1 by Multiplex PCR
2.8. Statistical Analysis
3. Results and Discussion
3.1. Immobilized Lacticaseibacillus rhamnosus OLXAL-1 Cultures
3.2. Cell Survival during In Vitro Digestion Model
3.3. Cell Survival and Attachment of L. rhamnosus OLXAL-1 Cells through an In Vivo Mouse Model
3.4. Comparison of In Vitro vs. In Vivo Digestion Models
4. Conclusions
Author Contributions
Funding
Institutional Review Board Statement
Informed Consent Statement
Data Availability Statement
Acknowledgments
Conflicts of Interest
References
- Berg, G.; Rybakova, D.; Fischer, D.; Cernava, T.; Vergès, M.-C.C.; Charles, T.; Chen, X.; Cocolin, L.; Eversole, K.; Corral, G.H.; et al. Correction to: Microbiome definition re-visited: Old concepts and new challenges. Microbiome 2020, 8, 103. [Google Scholar] [CrossRef] [PubMed]
- Lederberg, J.; McCray, A.T. `Ome Sweet `Omics—A Genealogical Treasury of Words. Scientist 2001, 15, 8. [Google Scholar]
- Whipps, J.; Lewis, K.; Cooke, R. Mycoparasitism and Plant Disease Control. In Fungi in Biological Control Systems; Burge, M., Ed.; Manchester University Press: Manchester, UK, 1988; pp. 161–187. [Google Scholar]
- World Health Organization (WHO); Food and Agriculture Organization of the United Nations (FAO). Guidelines for the evaluation of probiotics in food. In Report of a Joint FAO/WHO Working Group on Drafting Guidelines for the Evaluation of Probiotics in Food; World Health Organization (WHO): London, ON, Canada, 2002; pp. 1–11. Available online: https://www.who.int/foodsafety/fs_management/en/probiotic_guidelines.pdf (accessed on 26 June 2023).
- Sánchez, B.; Delgado, S.; Blanco-Míguez, A.; Lourenço, A.; Gueimonde, M.; Margolles, A. Probiotics, gut microbiota, and their influence on host health and disease. Mol. Nutr. Food Res. 2017, 61, 1600240. [Google Scholar] [CrossRef]
- Yao, M.; Xie, J.; Du, H.; McClements, D.J.; Xiao, H.; Li, L. Progress in microencapsulation of probiotics: A review. Compr. Rev. Food Sci. Food Saf. 2020, 19, 857–874. [Google Scholar] [CrossRef] [PubMed]
- Han, S.; Lu, Y.; Xie, J.; Fei, Y.; Zheng, G.; Wang, Z.; Liu, J.; Lv, L.; Ling, Z.; Berglund, B.; et al. Probiotic Gastrointestinal Transit and Colonization after Oral Administration: A Long Journey. Front. Cell. Infect. Microbiol. 2021, 11, 609722. [Google Scholar] [CrossRef]
- Terpou, A.; Papadaki, A.; Lappa, I.K.; Kachrimanidou, V.; Bosnea, L.A.; Kopsahelis, N. Probiotics in Food Systems: Significance and Emerging Strategies towards Improved Viability and Delivery of Enhanced Beneficial Value. Nutrients 2019, 11, 1591. [Google Scholar] [CrossRef]
- Soukoulis, C.; Behboudi-Jobbehdar, S.; Macnaughtan, W.; Parmenter, C.; Fisk, I.D. Stability of Lactobacillus rhamnosus GG incorporated in edible films: Impact of anionic biopolymers and whey protein concentrate. Food Hydrocoll. 2017, 70, 345–355. [Google Scholar] [CrossRef]
- Yao, M.; Li, B.; Ye, H.; Huang, W.; Luo, Q.; Xiao, H.; McClements, D.J.; Li, L. Enhanced viability of probiotics (Pediococcus pentosaceus LI05) by encapsulation in microgels doped with inorganic nanoparticles. Food Hydrocoll. 2018, 83, 246–252. [Google Scholar] [CrossRef]
- Chu, Y.F.; Hsu, C.H.; Soma, P.K.; Lo, Y.M. Immobilization of bioluminescent Escherichia coli cells using natural and artificial fibers treated with polyethyleneimine. Bioresour. Technol. 2009, 100, 3167–3174. [Google Scholar] [CrossRef] [PubMed]
- Plessas, S.; Ganatsios, V.; Mantzourani, I.; Bosnea, L. White brined cheese production by incorporation of a traditional milk-cereal prebiotic matrix with a candidate probiotic bacterial strain. Appl. Sci. 2021, 11, 6182. [Google Scholar] [CrossRef]
- Mitropoulou, G.; Nedovic, V.; Goyal, A.; Kourkoutas, Y. Immobilization technologies in probiotic food production. J. Nutr. Metab. 2013, 2013, 716861. [Google Scholar] [CrossRef]
- Byakika, S.; Mukisa, I.M.; Byaruhanga, Y.B.; Muyanja, C. A Review of Criteria and Methods for Evaluating the Probiotic Potential of Microorganisms. Food Rev. Int. 2019, 35, 427–466. [Google Scholar] [CrossRef]
- Papadimitriou, K.; Zoumpopoulou, G.; Foligné, B.; Alexandraki, V.; Kazou, M.; Pot, B.; Tsakalidou, E. Discovering probiotic microorganisms: In vitro, in vivo, genetic and omics approaches. Front. Microbiol. 2015, 6, 58. [Google Scholar] [CrossRef] [PubMed]
- Nelios, G.; Santarmaki, V.; Pavlatou, C.; Dimitrellou, D.; Kourkoutas, Y. New Wild-Type Lacticaseibacillus rhamnosus Strains as Candidates to Manage Type 1 Diabetes. Microorganisms 2022, 10, 272. [Google Scholar] [CrossRef]
- Nikolaou, A.; Mitropoulou, G.; Nelios, G.; Kourkoutas, Y. Novel Functional Grape Juices Fortified with Free or Immobilized Lacticaseibacillus rhamnosus OLXAL-1. Microorganisms 2023, 11, 646. [Google Scholar] [CrossRef] [PubMed]
- Nikolaou, A.; Nelios, G.; Kanellaki, M.; Kourkoutas, Y. Freeze-dried immobilized kefir culture in cider-making. J. Sci. Food Agric. 2020, 100, 3319–3327. [Google Scholar] [CrossRef]
- Kourkoutas, Y.; Xolias, V.; Kallis, M.; Bezirtzoglou, E.; Kanellaki, M. Lactobacillus casei cell immobilization on fruit pieces for probiotic additive, fermented milk and lactic acid production. Process Biochem. 2005, 40, 411–416. [Google Scholar] [CrossRef]
- Minekus, M.; Alminger, M.; Alvito, P.; Ballance, S.; Bohn, T.; Bourlieu, C.; Carrière, F.; Boutrou, R.; Corredig, M.; Dupont, D.; et al. A standardised static in vitro digestion method suitable for food-an international consensus. Food Funct. 2014, 5, 1113–1124. [Google Scholar] [CrossRef]
- Madureira, A.R.; Amorim, M.; Gomes, A.M.; Pintado, M.E.; Malcata, F.X. Protective effect of whey cheese matrix on probiotic strains exposed to simulated gastrointestinal conditions. Food Res. Int. 2011, 44, 465–470. [Google Scholar] [CrossRef]
- Kompoura, V.; Prapa, I.; Vasilakopoulou, P.B.; Mitropoulou, G.; Nelios, G.; Balafas, E.; Kostomitsopoulos, N.; Chiou, A.; Karathanos, V.T.; Bezirtzoglou, E.; et al. Corinthian Currants Supplementation Restores Serum Polar Phenolic Compounds, Reduces IL-1beta, and Exerts Beneficial Effects on Gut Microbiota in the Streptozotocin-Induced Type-1 Diabetic Rat. Metabolites 2023, 13, 415. [Google Scholar] [CrossRef]
- Kuda, T.; Yokota, Y.; Haraguchi, Y.; Takahashi, H.; Kimura, B. Susceptibility of gut indigenous lactic acid bacteria in BALB/c mice to oral administered Lactobacillus plantarum. Int. J. Food Sci. Nutr. 2019, 70, 53–62. [Google Scholar] [CrossRef]
- Saxami, G.; Ypsilantis, P.; Sidira, M.; Simopoulos, C.; Kourkoutas, Y.; Galanis, A. Distinct adhesion of probiotic strain Lactobacillus casei ATCC 393 to rat intestinal mucosa. Anaerobe 2012, 18, 417–420. [Google Scholar] [CrossRef] [PubMed]
- Bottari, B.; Felis, G.E.; Salvetti, E.; Castioni, A.; Campedelli, I.; Torriani, S.; Bernini, V.; Gatti, M. Effective identification of Lactobacillus casei group species: Genome-based selection of the gene mutL as the target of a novel multiplex PCR assay. Microbiology 2017, 163, 950–960. [Google Scholar] [CrossRef] [PubMed]
- Binda, S.; Hill, C.; Johansen, E.; Obis, D.; Pot, B.; Sanders, M.E.; Tremblay, A.; Ouwehand, A.C. Criteria to Qualify Microorganisms as “ Probiotic ” in Foods and Dietary Supplements. Front. Microbiol. 2020, 11, 1662. [Google Scholar] [CrossRef] [PubMed]
- Hill, C.; Guarner, F.; Reid, G.; Gibson, G.R.; Merenstein, D.J.; Pot, B.; Morelli, L.; Canani, R.B.; Flint, H.J.; Salminen, S.; et al. Expert consensus document: The international scientific association for probiotics and prebiotics consensus statement on the scope and appropriate use of the term probiotic. Nat. Rev. Gastroenterol. Hepatol. 2014, 11, 506–514. [Google Scholar] [CrossRef]
- Morgan, C.A.; Herman, N.; White, P.A.; Vesey, G. Preservation of micro-organisms by drying; A review. J. Microbiol. Methods 2006, 66, 183–193. [Google Scholar] [CrossRef]
- Abla, K.K.; Mehanna, M.M. Freeze-drying: A flourishing strategy to fabricate stable pharmaceutical and biological products. Int. J. Pharm. 2022, 628, 122233. [Google Scholar] [CrossRef]
- Prapa, I.; Nikolaou, A.; Panas, P.; Tassou, C.; Kourkoutas, Y. Developing Stable Freeze-Dried Functional Ingredients Containing Wild-Type Presumptive Probiotic Strains for Food Systems. Appl. Sci. 2023, 13, 630. [Google Scholar] [CrossRef]
- Reissig, H.; Vitola, S.; Dannenberg, S.; Lima, J. De Probiotic potential of Lactobacillus casei CSL3 isolated from bovine colostrum silage and its viability capacity immobilized in soybean. Process Biochem. 2018, 75, 22–30. [Google Scholar] [CrossRef]
- García-Ruiz, A.; González de Llano, D.; Esteban-Fernández, A.; Requena, T.; Bartolomé, B.; Moreno-Arribas, M.V. Assessment of probiotic properties in lactic acid bacteria isolated from wine. Food Microbiol. 2014, 44, 220–225. [Google Scholar] [CrossRef]
- Wessman, P.; Mahlin, D.; Akhtar, S.; Rubino, S.; Leifer, K.; Håkansson, S. Impact of matrix properties on the survival of freeze-dried bacteria. J. Sci. Food 2011, 91, 2518–2528. [Google Scholar] [CrossRef] [PubMed]
- Kyereh, E.; Sathivel, S. Food Bioscience Viability of Lactobacillus plantarum NCIMB 8826 immobilized in a cereal-legume complementary food “weanimix” with simulated gastrointestinal conditions. Food Biosci. 2021, 40, 100848. [Google Scholar] [CrossRef]
- Chotiko, A.; Sathivel, S. Effects of enzymatically-extracted purple rice bran fiber as a protectant of L. plantarum NRRL B-4496 during freezing, freeze drying, and storage. LWT 2014, 59, 59–64. [Google Scholar] [CrossRef]
- Aslim, B.; Alp, G. The effect of immobilization on some probiotic properties of Streptococcus thermophilus strains. Ann. Microbiol. 2009, 59, 127–132. [Google Scholar] [CrossRef]
- Vinderola, C.G.; Reinheimer, J.A. Lactic acid starter and probiotic bacteria: A comparative “in vitro” study of probiotic characteristics and biological barrier resistance. Food Res. Int. 2003, 36, 895–904. [Google Scholar] [CrossRef]
- Patel, A.R. Probiotic fruit and vegetable juices- recent advances and future perspective. Int. Food Res. J. 2017, 24, 1850–1857. [Google Scholar]
- Kourkoutas, Y.; Bekatorou, A.; Banat, I.M.; Marchant, R.; Koutinas, A.A. Immobilization technologies and support materials suitable in alcohol beverages production: A review. Food Microbiol. 2004, 21, 377–397. [Google Scholar] [CrossRef]
- Michida, H.; Tamalampudi, S.; Pandiella, S.S.; Webb, C.; Fukuda, H.; Kondo, A. Effect of cereal extracts and cereal fiber on viability of Lactobacillus plantarum under gastrointestinal tract conditions. Biochem. Eng. J. 2006, 28, 73–78. [Google Scholar] [CrossRef]
- Reissig, H.; Vitola, S.; Eduardo, C.; Tavares, F.; Radatz, P.; De Lima, J.; Padilha, W.; Maria, Â. LWT—Food Science and Technology Lactobacillus casei CSL3: Evaluation of supports for cell immobilization, viability during storage in Petit Suisse cheese and passage through gastrointestinal transit in vitro. LWT Food Sci. Technol. 2020, 127, 109381. [Google Scholar] [CrossRef]
- Charalampopoulos, D.; Pandiella, S.S.; Webb, C. Evaluation of the effect of malt, wheat and barley extracts on the viability of potentially probiotic lactic acid bacteria under acidic conditions. Int. J. Food Microbiol. 2003, 82, 133–141. [Google Scholar] [CrossRef]
- Charalampopoulos, D.; Pandiella, S.S. Survival of human derived Lactobacillus plantarum in fermented cereal extracts during refrigerated storage. LWT 2010, 43, 431–435. [Google Scholar] [CrossRef]
- Charalampopoulos, D.; Wang, R.; Pandiella, S.S.; Webb, C. Application of Cereals and Cereal Components in Functional Foods: A Review. Int. J. Food Microbiol. 2002, 79, 131–141. [Google Scholar] [CrossRef]
- Misra, S.; Pandey, P.; Dalbhagat, C.G.; Mishra, H.N. Emerging Technologies and Coating Materials for Improved Probiotication in Food Products: A Review. Food Bioprocess Technol. 2022, 15, 998–1039. [Google Scholar] [CrossRef] [PubMed]
- Dehghani, S.; Reza, M.; Dovom, E.; Yavarmanesh, M. Immunobiology isolated from food and human origin on reduction of IgE-dependent hypersensitivity in Balb/c mice. Immunobiology 2022, 227, 152292. [Google Scholar] [CrossRef] [PubMed]
- Jeong, D.; Kim, D.; Kang, I.; Kim, H.; Song, K.; Kim, H.; Seo, K. Function Modulation of gut microbiota and increase in fecal. Food Funct. 2017, 8, 680–686. [Google Scholar] [CrossRef] [PubMed]
- Sidira, M.; Galanis, A.; Ypsilantis, P.; Karapetsas, A.; Progaki, Z.; Simopoulos, C.; Kourkoutas, Y. Effect of probiotic-Fermented milk administration on gastrointestinal survival of lactobacillus casei ATCC 393 and modulation of intestinal microbial flora. J. Mol. Microbiol. Biotechnol. 2011, 19, 224–230. [Google Scholar] [CrossRef]
- Begley, M.; Gahan, C.G.M.; Hill, C. The interaction between bacteria and bile. FEMS Microbiol. Rev. 2005, 29, 625–651. [Google Scholar] [CrossRef]





| L. rhamnosus OLXAL-1 Cell Cultures | Survival Rate (%) | ||
|---|---|---|---|
| Simulated Salivary Phase | Simulated Gastric Phase | Simulated Intestinal Phase | |
| Wet immobilized cells on oat flakes | 99.39 ± 0.19 A | 88.63 ± 0.31 Be | 84.76 ± 0.56 Cf |
| Freeze-dried immobilized cells on oat flakes | 99.22 ± 0.46 A | 82.78 ± 0.26 Ba | 81.22 ± 1.36 Bef |
| Wet immobilized cells on wheat flakes | 98.42 ± 0.48 A | 83.05 ± 0.19 Bab | 77.66 ± 1.94 Bde |
| Freeze-dried immobilized cells on wheat flakes | 99.46 ± 0.76 A | 82.43 ± 0.37 Ba | 76.08 ± 0.46 Cd |
| Wet immobilized cells on apple pieces | 99.09 ± 1.59 A | 87.38 ± 1.10 Bbe | 51.01 ± 0.40 Cb |
| Freeze-dried immobilized cells on apple pieces | 98.87 ± 1.20 A | 83.54 ± 0.09 Bab | 48.65 ± 1.35 Cb |
| Wet immobilized cells on banana pieces | 98.74 ± 0.16 A | 72.13 ± 2.36 Bd | 70.01 ± 0.32 Bc |
| Freeze-dried immobilized cells on banana pieces | 98.54 ± 0.57 A | 71.49 ± 1.22 Bd | 66.80 ± 0.18 Cc |
| Wet free cells | 99.33 ± 0.22 A | 65.74 ± 0.10 Bc | 36.29 ± 1.35 Ca |
| Freeze-dried free cells | 99.23 ± 0.77 A | 65.10 ± 0.85 Bc | 33.42 ± 0.86 Ca |
| CD | OD | ID | FD | |
|---|---|---|---|---|
| Tissue | Lactobacilli counts (log CFU/g) | |||
| Ileum | 5.02 ± 0.19 a | 5.04 ± 0.15 a | 5.82 ± 0.18 b | 5.84 ± 0.11 b |
| Cecum | 5.09 ± 0.16 a | 5.04 ± 0.11 a | 6.25 ± 0.20 b | 6.13 ± 0.37 b |
| Colon | 4.95 ± 0.20 a | 5.02 ± 0.14 a | 6.21 ± 0.15 b | 6.11 ± 0.31 b |
| Intestinal fluid | ||||
| Ileum | 4.97 ± 0.36 a | 5.18 ± 0.41 a | 6.96 ± 0.20 b | 6.42 ± 0.29 b |
| Cecum | 6.93 ± 0.22 a | 6.95 ± 0.18 a | 7.97 ± 0.18 b | 7.64 ± 0.16 c |
| Colon | 6.94 ± 0.14 a | 6.88 ± 0.14 a | 8.01 ± 0.16 b | 7.54 ± 0.24 c |
Disclaimer/Publisher’s Note: The statements, opinions and data contained in all publications are solely those of the individual author(s) and contributor(s) and not of MDPI and/or the editor(s). MDPI and/or the editor(s) disclaim responsibility for any injury to people or property resulting from any ideas, methods, instructions or products referred to in the content. |
© 2023 by the authors. Licensee MDPI, Basel, Switzerland. This article is an open access article distributed under the terms and conditions of the Creative Commons Attribution (CC BY) license (https://creativecommons.org/licenses/by/4.0/).
Share and Cite
Nelios, G.; Prapa, I.; Nikolaou, A.; Mitropoulou, G.; Yanni, A.E.; Kostomitsopoulos, N.; Kourkoutas, Y. Cereals and Fruits as Effective Delivery Vehicles of Lacticaseibacillus rhamnosus through Gastrointestinal Transit. Appl. Sci. 2023, 13, 8643. https://doi.org/10.3390/app13158643
Nelios G, Prapa I, Nikolaou A, Mitropoulou G, Yanni AE, Kostomitsopoulos N, Kourkoutas Y. Cereals and Fruits as Effective Delivery Vehicles of Lacticaseibacillus rhamnosus through Gastrointestinal Transit. Applied Sciences. 2023; 13(15):8643. https://doi.org/10.3390/app13158643
Chicago/Turabian StyleNelios, Grigorios, Ioanna Prapa, Anastasios Nikolaou, Gregoria Mitropoulou, Amalia E. Yanni, Nikolaos Kostomitsopoulos, and Yiannis Kourkoutas. 2023. "Cereals and Fruits as Effective Delivery Vehicles of Lacticaseibacillus rhamnosus through Gastrointestinal Transit" Applied Sciences 13, no. 15: 8643. https://doi.org/10.3390/app13158643
APA StyleNelios, G., Prapa, I., Nikolaou, A., Mitropoulou, G., Yanni, A. E., Kostomitsopoulos, N., & Kourkoutas, Y. (2023). Cereals and Fruits as Effective Delivery Vehicles of Lacticaseibacillus rhamnosus through Gastrointestinal Transit. Applied Sciences, 13(15), 8643. https://doi.org/10.3390/app13158643

