Diagnosis of Intracranial Tumors via the Selective CNN Data Modeling Technique
Abstract
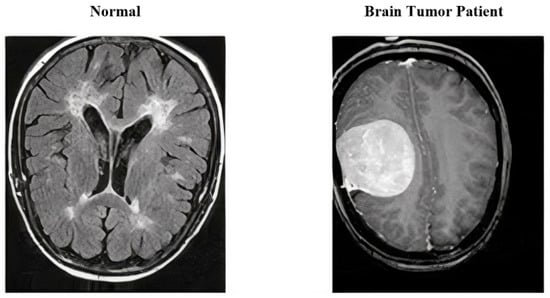
:1. Introduction
2. Related Work
3. Materials and Methods
3.1. Dataset Used
3.2. Image Augmentation
3.3. Artificial Neural Network (ANN)
3.4. Convolutional Neural Network (CNN)
3.4.1. Convolutional Layer
3.4.2. Pooling Layer
3.4.3. A Flattening and Fully Connected Layer
3.5. Software and Hardware
4. Experimentation and Results
4.1. Experimentation and Analysis
4.2. Evaluation of Selected Architecture
5. Conclusions and Future Work
Author Contributions
Funding
Institutional Review Board Statement
Informed Consent Statement
Data Availability Statement
Conflicts of Interest
References
- Bhattacharyya, D.; Kim, T.-H. Brain tumor detection using MRI image analysis. In Proceedings of the International Conference on Ubiquitous Computing and Multimedia Applications, Daejeon, Korea, 13–15 April 2011; pp. 307–314. [Google Scholar]
- Iqbal, S.; Ghani Khan, M.U.; Saba, T.; Mehmood, Z.; Javaid, N.; Rehman, A.; Abbasi, R. Deep learning model integrating features and novel classifiers fusion for brain tumor segmentation. Microsc. Res. Tech. 2019, 82, 1302–1315. [Google Scholar] [CrossRef] [PubMed]
- Logeswari, T.; Karnan, M. Improved implementation of brain tumor detection using segmentation based on soft computing. J. Cancer Res. Exp. Oncol. 2009, 2, 6–14. [Google Scholar]
- Bahadure, N.B.; Ray, A.K.; Thethi, H.P. Image Analysis for MRI Based Brain Tumor Detection and Feature Extraction Using Biologically Inspired BWT and SVM. Int. J. Biomed. Imaging 2017, 2017, 1–12. [Google Scholar] [CrossRef] [PubMed] [Green Version]
- Majós, C.; Julià-Sapé, M.; Alonso, J.; Serrallonga, M.; Aguilera, C.; Acebes, J.J.; Arús, C.; Gili, J. Brain Tumor Classification by Proton MR Spectroscopy: Comparison of Diagnostic Accuracy at Short and Long TE. Am. J. Neuroradiol. 2004, 25, 1696–1704. [Google Scholar] [PubMed]
- Lukas, L.; Devos, A.; Suykens, J.; Vanhamme, L.; Howe, F.; Majos, C.; Moreno-Torres, A.; Van Der Graaf, M.; Tate, A.; Arus, C.; et al. Brain tumor classification based on long echo proton MRS signals. Artif. Intell. Med. 2004, 31, 73–89. [Google Scholar] [CrossRef] [PubMed]
- Rammurthy, D.; Mahesh, P. Whale Harris hawks optimization based deep learning classifier for brain tumor detection using MRI images. J. King Saud Univ. Comput. Inf. Sci. 2020. [Google Scholar] [CrossRef]
- Bauer, S.; Wiest, R.; Nolte, L.P.; Reyes, M. A survey of MRI-based medical image analysis for brain tumor studies. Phys. Med. Biol. 2013, 58, 97. [Google Scholar] [CrossRef] [Green Version]
- DeAngelis, L.M. Brain tumors. N. Engl. J. Med. 2001, 344, 114–123. [Google Scholar] [CrossRef] [Green Version]
- Naser, M.A.; Deen, M.J. Brain tumor segmentation and grading of lower-grade glioma using deep learning in MRI images. Comput. Biol. Med. 2020, 121, 103758. [Google Scholar] [CrossRef]
- Sharma, R.; Gourisaria, M.K.; Rautray, S.S.; Pandey, M.; Patra, S.S. ECG Classification using Deep Convolutional Neural Networks and Data Analysis. Int. J. Adv. Trends Comput. Sci. Eng. IJATCSE 2020, 9, 5788–5795. [Google Scholar] [CrossRef]
- Mallard, J.R.; Fowler, J.F.; Sutton, M.V. Brain Tumor Detection using Radioactive Arsenic. Br. J. Radiol. 1961, 34, 562–568. [Google Scholar] [CrossRef] [PubMed]
- Goswami, S.; Bhaiya, L.K.P. Brain tumor detection using unsupervised learning based neural network. In Proceedings of the International Conference on Communication Systems and Network Technologies, Gwalior, India, 6–8 April 2013; pp. 573–577. [Google Scholar]
- Nayak, S.; Gourisaria, M.K.; Pandey, M.; Rautaray, S.S. Prediction of Heart Disease by Mining Frequent Items and Classification Techniques. In Proceedings of the 3rd International Conference on Intelligent Computing and Control Systems, Madurai, India, 15–17 May 2019; pp. 607–611. [Google Scholar]
- Yan, C.; Xie, H.; Yang, D.; Yin, J.; Zhang, Y.; Dai, Q. Supervised hash coding with deep neural network for environment perception of intelligent vehicles. IEEE Trans. Intell. Transp. Syst. 2017, 19, 284–295. [Google Scholar] [CrossRef]
- Sentas, A.; Tashiev, I.; Kucukayvaz, F.; Kul, S.; Eken, S.; Sayar, A.; Becerikli, Y. Performance evaluation of a support vector machine and convolutional neural network algorithms in real-time vehicle type and color classification. Evol. Intell. 2020, 13, 83–91. [Google Scholar] [CrossRef]
- LeCun, Y.; Kavukcuoglu, K.; Farabet, C. Convolutional networks and applications in vision. In Proceedings of the IEEE International Symposium on Circuits and Systems, Paris, France, 30 May–2 June 2010; pp. 253–256. [Google Scholar]
- Abd-Ellah, M.K.; Awad, A.I.; Khalaf, A.A.; Hamed, H.F. Two-phase multi-model automatic brain tumor diagnosis system from magnetic resonance images using convolutional neural networks. EURASIP J. Image Video Process. 2018, 97. [Google Scholar] [CrossRef]
- Harshvardhan, G.M.; Gourisaria, M.K.; Pandey, M.; Rautaray, S.S. A Comprehensive Survey and Analysis of Generative Models in Machine Learning. Comput. Sci. Rev. 2020, 38, 100285. [Google Scholar]
- Iqbal, S.; Ghani, M.U.; Saba, T.; Rehman, A. Brain tumor segmentation in multi-spectral MRI using convolutional neural networks (CNN). Microsc. Res. Tech. 2018, 81, 419–427. [Google Scholar] [CrossRef]
- Abdullah, A.A.; Chize, B.S.; Zakaria, Z. Design of Cellular Neural Network (CNN) Simulator Based on Matlab for Brain Tumor Detection. J. Med Imaging Heal. Inform. 2012, 2, 296–306. [Google Scholar] [CrossRef]
- Pereira, S.; Pinto, A.; Alves, V.; Silva, C.A. Brain Tumor Segmentation Using Convolutional Neural Networks in MRI Images. IEEE Trans. Med. Imaging 2016, 35, 1240–1251. [Google Scholar] [CrossRef]
- Thillaikkarasi, R.; Saravanan, S. An Enhancement of Deep Learning Algorithm for Brain Tumor Segmentation Using Kernel Based CNN with M-SVM. J. Med. Syst. 2019, 43, 84. [Google Scholar] [CrossRef]
- Ghassemi, N.; Shoeibi, A.; Rouhani, M. Deep neural network with generative adversarial networks pre-training for brain tumor classification based on MR images. Biomed. Signal Process. Control 2020, 57, 101678. [Google Scholar] [CrossRef]
- Seetha, J.; Raja, S.S. Brain Tumor Classification Using Convolutional Neural Networks. Biomed. Pharmacol. J. 2018, 11, 1457–1461. [Google Scholar] [CrossRef]
- Mohsen, H.; El-Dahshan, E.S.A.; El-Horbaty, E.S.M.; Salem, A.B.M. Classification using deep learning neural networks for brain tumors. Future Comput. Inform. J. 2018, 3, 68–71. [Google Scholar] [CrossRef]
- Pashaei, A.; Sajedi, H.; Jazayeri, N. Brain tumor classification via convolutional neural network and extreme learning machines. In Proceedings of the 8th International Conference on Computer and Knowledge Engineering (ICCKE), Mashhad, Iran, 25–26 October 2018; pp. 314–319. [Google Scholar]
- Afshar, P.; Plataniotis, K.N.; Mohammadi, A. Capsule networks for brain tumor classification based on MRI images and coarse tumor boundaries. In Proceedings of the ICASSP 2019–2019 IEEE International Conference on Acoustics, Speech, and Signal Processing (ICASSP), Brighton, UK, 12–17 May 2019; pp. 1368–1372. [Google Scholar]
- Swati, Z.N.K.; Zhao, Q.; Kabir, M.; Ali, F.; Ali, Z.; Ahmed, S.; Lu, J. Content-based brain tumor retrieval for MR images using transfer learning. IEEE Access 2019, 7, 17809–17822. [Google Scholar] [CrossRef]
- Jain, R.; Jain, N.; Aggarwal, A.; Hemanth, D.J. Convolutional neural network-based Alzheimer’s disease classification from magnetic resonance brain images. Cogn. Syst. Res. 2019, 57, 147–159. [Google Scholar] [CrossRef]
- Kaggle. Available online: https://www.kaggle.com/navoneel/brain-mri-images-for-brain-tumor-detection (accessed on 19 September 2020).
- Frid-Adar, M.; Diamant, I.; Klang, E.; Amitai, M.; Goldberger, J.; Greenspan, H. GAN-based synthetic medical image augmentation for increased CNN performance in liver lesion classification. Neurocomputing 2018, 321, 321–331. [Google Scholar] [CrossRef] [Green Version]
- Bloice, M.D.; Stocker, C.; Holzinger, A. Augmentor: An image augmentation library for machine learning. arXiv 2017, arXiv:1708.04680. [Google Scholar] [CrossRef]
- Bloice, M.D.; Roth, P.M.; Holzinger, A. Biomedical image augmentation using Augmentor. Bioinformatics 2019, 35, 4522–4524. [Google Scholar] [CrossRef]
- Salehinejad, H.; Valaee, S.; Dowdell, T.; Barfett, J. Image augmentation using radial transform for training deep neural networks. In Proceedings of the 2018 IEEE International Conference on Acoustics, Speech and Signal Processing (ICASSP), Calgary, AB, Canada, 15–20 April 2018; pp. 3016–3020. [Google Scholar]
- Mikołajczyk, A.; Grochowski, M. Data augmentation for improving deep learning in image classification problems. In Proceedings of the 2018 International Interdisciplinary Ph.D. Workshop (IIPhDW), Swinoujscie, Poland, 9–12 May 2018; pp. 117–122. [Google Scholar]
- Neto, J.; Almeida, L.; Hochberg, M.; Martins, C.; Nunes, L.; Renals, S.; Robinson, T. Speaker-adaptation for hybrid HMM-ANN continuous speech recognition system. In Proceedings of the 4th European Conference on Speech Communication and Technology EUROSPEECH’95, Madrid, Spain, 18–21 September 1995; Available online: http://hdl.handle.net/1842/1274 (accessed on 30 December 2021).
- Wijoyo, S.; Wijoyo, S. Speech recognition using linear predictive coding and artificial neural network for controlling the movement of a mobile robot. In Proceedings of the 2011 International Conference on Information and Electronics Engineering (ICIEE 2011), Bangkok, Thailand, 28–29 May 2011. [Google Scholar]
- Magesh Kumar, C.; Thiyagarajan, R.; Natarajan, S.P.; Arulselvi, S.; Sainarayanan, G. Gabor features and LDA-based face recognition with ANN classifier. In Proceedings of the 2011 International Conference on Emerging Trends in Electrical and Computer Technology, Nagercoil, India, 23–24 March 2011; pp. 831–836. [Google Scholar]
- Al-Shoshan, A.I. Handwritten signature verification using image invariants and dynamic features. In Proceedings of the International Conference on Computer Graphics, Imaging, and Visualisation (CGIV’06), Sydney, NSW, Australia, 26–28 July 2006; pp. 173–176. [Google Scholar]
- Sajjad, M.; Zahir, S.; Ullah, A.; Akhtar, Z.; Muhammad, K. Human behavior understanding in big multimedia data using CNN based facial expression recognition. Mob. Netw. Appl. 2019, 25, 1611–1621. [Google Scholar] [CrossRef]
- Aziz, S.; Ahmed, S.; Alouini, M.S. ECG-based machine-learning algorithms for heartbeat classification. Sci. Rep. 2021, 11, 1–14. [Google Scholar] [CrossRef]
- Kim, D.; Park, C.; Oh, J.; Lee, S.; Yu, H. Convolutional matrix factorization for document context-aware recommendation. In Proceedings of the 10th ACM Conference on Recommender Systems, Boston, MA, USA, 15–19 September 2016; pp. 233–240. [Google Scholar]
- Racah, E.; Beckham, C.; Maharaj, T.; Kahou, S.E.; Prabhat, M.; Pal, C. extreme weather: A large-scale climate dataset for semi-supervised detection, localization, and understanding of extreme weather events. In Advances in Neural Information Processing Systems; MIT Press: Cambridge, MA, USA, 2017; pp. 3402–3413. [Google Scholar]
- Jozinovic, D.; Lomax, A.; Stajduhar, I.; Michelini, A. Rapid prediction of the earthquake ground shaking intensity using raw waveform data and a convolutional neural network. Geophys. J. Int. 2020, 222, 1379–1389. [Google Scholar] [CrossRef]
- Crounse, K.R.; Yang, T.; Chua, L.O. Pseudo-random sequence generation using the CNN universal machine with applications to cryptography. In Proceedings of the Fourth IEEE International Workshop on Cellular Neural Networks and their Applications Proceedings (CNNA-96), Seville, Spain, 24–26 June 1996; pp. 433–438. [Google Scholar]
- Hirasawa, T.; Aoyama, K.; Tanimoto, T.; Ishihara, S.; Shichijo, S.; Ozawa, T.; Tada, T. Application of artificial intelligence using a convolutional neural network for detecting gastric cancer in endoscopic images. Gastric Cancer 2018, 21, 653–660. [Google Scholar] [CrossRef] [PubMed] [Green Version]
- Agarap, A.F. An architecture combining convolutional neural network (CNN) and support vector machine (SVM) for image classification. arXiv 2017, arXiv:1712.03541. [Google Scholar]
- Gourisaria, M.K.; Das, S.; Sharma, R.; Rautaray, S.S.; Pandey, M. A Deep Learning Model for Malaria Disease Detection and Analysis using Deep Convolutional Neural Networks. Int. J. Emerg. Technol. 2020, 11, 699–704. [Google Scholar]
- Atallah, R.; Al-Mousa, A. Heart disease detection using machine learning majority voting ensemble method. In Proceedings of the 2nd International Conference on New Trends in Computing Sciences (ICTCS) IEEE, Amman, Jordan, 9–11 October 2019; pp. 1–6. [Google Scholar]
- Ketu, S.; Mishra, P.K. Empirical analysis of machine learning algorithms on imbalance electrocardiogram-based arrhythmia dataset for heart disease detection. Arab. J. Sci. Eng. 2022, 47, 1447–1469. [Google Scholar] [CrossRef]
- Rautaray, S.S.; Dey, S.; Pandey, M.; Gourisaria, M.K. Nuclei Segmentation in Cell Images Using Fully Convolutional Neural Networks. Int. J. Emerg. Technol. 2020, 11, 731–737. [Google Scholar]
- Mota, S.M.; Rogers, R.E.; Haskell, A.W.; McNeill, E.P.; Kaunas, R.; Gregory, C.A.; Maitland, K.C. Automated mesenchymal stem cell segmentation and machine learning-based phenotype classification using morphometric and textural analysis. J. Med. Imaging 2021, 8, 014503. [Google Scholar] [CrossRef]
- Mishra, S.; Pandey, M.; Rautaray, S.S.; Gourisaria, M.K. A Survey on Big Data Analytical Tools & Techniques in Health Care Sector. Int. J. Emerg. Technol. 2020, 11, 554–560. [Google Scholar]
- Anand, A.; Anand, H.; Rautaray, S.S.; Pandey, M.; Gourisaria, M.K. Analysis and prediction of chronic heart diseases using machine learning classification models. Int. J. Adv. Trends Comput. Sci. Eng. 2020, 9, 8479–8487. [Google Scholar]
- LeCun, Y.; Bottou, L.; Bengio, Y.; Haffner, P. Gradient-based learning applied to document recognition. IEEE 1998, 86, 2278–2324. [Google Scholar] [CrossRef] [Green Version]









| Brain Tumor Patient (YES) | Normal (NO) | |
|---|---|---|
| Training | 1037 | 781 |
| Testing | 234 | 137 |
| Total | 1271 | 918 |
| S. no. | CL | AL | Regularization | IS | FD | KS | PS | LVCEL | MVA | TT | |||
|---|---|---|---|---|---|---|---|---|---|---|---|---|---|
| L1 | L2 | BN | DO | ||||||||||
| 1 | 2 | 3 | ✕ | ✕ | ✕ | ✕ | (128,128) | {64,32} | {9,3} | {4,2} | 0.3339 | 0.8518 | 195 |
| 2 | 2 | 4 | ✕ | ✕ | ✕ | ✕ | (128,128) | {64,32} | {9,3} | {4,2} | 0.3710 | 0.8491 | 209 |
| 3 | 2 | 4 | ✕ | ✕ | ✓ | ✓ | (128,128) | {64,32} | {9,3} | {4,2} | 0.3800 | 0.8491 | 216 |
| 4 | 2 | 4 | ✕ | ✕ | ✓ | ✕ | (128,128) | {64,32} | {9,3} | {4,2} | 0.3801 | 0.8329 | 219 |
| 5 | 2 | 4 | ✕ | ✕ | ✕ | ✓ | (64,64) | {64,32} | {9,3} | {4,2} | 0.5461 | 0.7358 | 131 |
| 6 | 2 | 2 | ✕ | ✕ | ✕ | ✕ | (64,64) | {64,32} | {9,3} | {4,2} | 0.5651 | 0.7224 | 134 |
| 7 | 2 | 3 | ✕ | ✕ | ✓ | ✓ | (128,128) | {64,32} | {9,3} | {4,2} | 0.3281 | 0.8464 | 220 |
| 8 | 3 | 4 | ✕ | ✕ | ✓ | ✕ | (128,128) | {128,64,32} | {9,6,3} | {4,2,2} | 0.3900 | 0.8518 | 211 |
| 9 | 3 | 5 | ✕ | ✓ | ✕ | ✕ | (128,128) | {128,64,32} | {9,6,3} | {4,2,2} | 0.3811 | 0.8383 | 196 |
| 10 | 4 | 4 | ✓ | ✕ | ✕ | ✓ | (128,128) | {128,64,32,16} | {9,6,3,3} | {4,2,2,2} | 0.4100 | 0.8167 | 192 |
| 11 | 4 | 5 | ✓ | ✓ | ✕ | ✕ | (128,128) | {128,64,32,16} | {9,6,3,3} | {4,2,2,2} | 0.3486 | 0.8652 | 181 |
| 12 | 4 | 5 | ✕ | ✕ | ✕ | ✕ | (128,128) | {128,64,32,16} | {9,6,3,3} | {4,2,2,2} | 0.4146 | 0.8571 | 180 |
| 13 | 4 | 5 | ✕ | ✕ | ✕ | ✕ | (64,64) | {64,32,32,16} | {9,6,3,3} | {2,2,2,2} | 0.4480 | 0.8275 | 106 |
| 14 | 5 | 5 | ✕ | ✕ | ✕ | ✕ | (128,128) | {128,64,64,32,16} | {9,6,6,3,3} | {2,2,2,2,2} | 0.4012 | 0.8464 | 184 |
| 15 | 5 | 6 | ✕ | ✕ | ✕ | ✕ | (128,128) | {128,64,64,32,16} | {9,6,6,3,3} | {2,2,2,2,2} | 0.4040 | 0.8356 | 182 |
Publisher’s Note: MDPI stays neutral with regard to jurisdictional claims in published maps and institutional affiliations. |
© 2022 by the authors. Licensee MDPI, Basel, Switzerland. This article is an open access article distributed under the terms and conditions of the Creative Commons Attribution (CC BY) license (https://creativecommons.org/licenses/by/4.0/).
Share and Cite
Singh, V.; Gourisaria, M.K.; GM, H.; Rautaray, S.S.; Pandey, M.; Sahni, M.; Leon-Castro, E.; Espinoza-Audelo, L.F. Diagnosis of Intracranial Tumors via the Selective CNN Data Modeling Technique. Appl. Sci. 2022, 12, 2900. https://doi.org/10.3390/app12062900
Singh V, Gourisaria MK, GM H, Rautaray SS, Pandey M, Sahni M, Leon-Castro E, Espinoza-Audelo LF. Diagnosis of Intracranial Tumors via the Selective CNN Data Modeling Technique. Applied Sciences. 2022; 12(6):2900. https://doi.org/10.3390/app12062900
Chicago/Turabian StyleSingh, Vinayak, Mahendra Kumar Gourisaria, Harshvardhan GM, Siddharth Swarup Rautaray, Manjusha Pandey, Manoj Sahni, Ernesto Leon-Castro, and Luis F. Espinoza-Audelo. 2022. "Diagnosis of Intracranial Tumors via the Selective CNN Data Modeling Technique" Applied Sciences 12, no. 6: 2900. https://doi.org/10.3390/app12062900
APA StyleSingh, V., Gourisaria, M. K., GM, H., Rautaray, S. S., Pandey, M., Sahni, M., Leon-Castro, E., & Espinoza-Audelo, L. F. (2022). Diagnosis of Intracranial Tumors via the Selective CNN Data Modeling Technique. Applied Sciences, 12(6), 2900. https://doi.org/10.3390/app12062900

