Stability of the Maxillary and Mandibular Total Arch Distalization Using Temporary Anchorage Devices (TADs) in Adults
Abstract
:1. Introduction
2. Materials and Method
2.1. Subjects
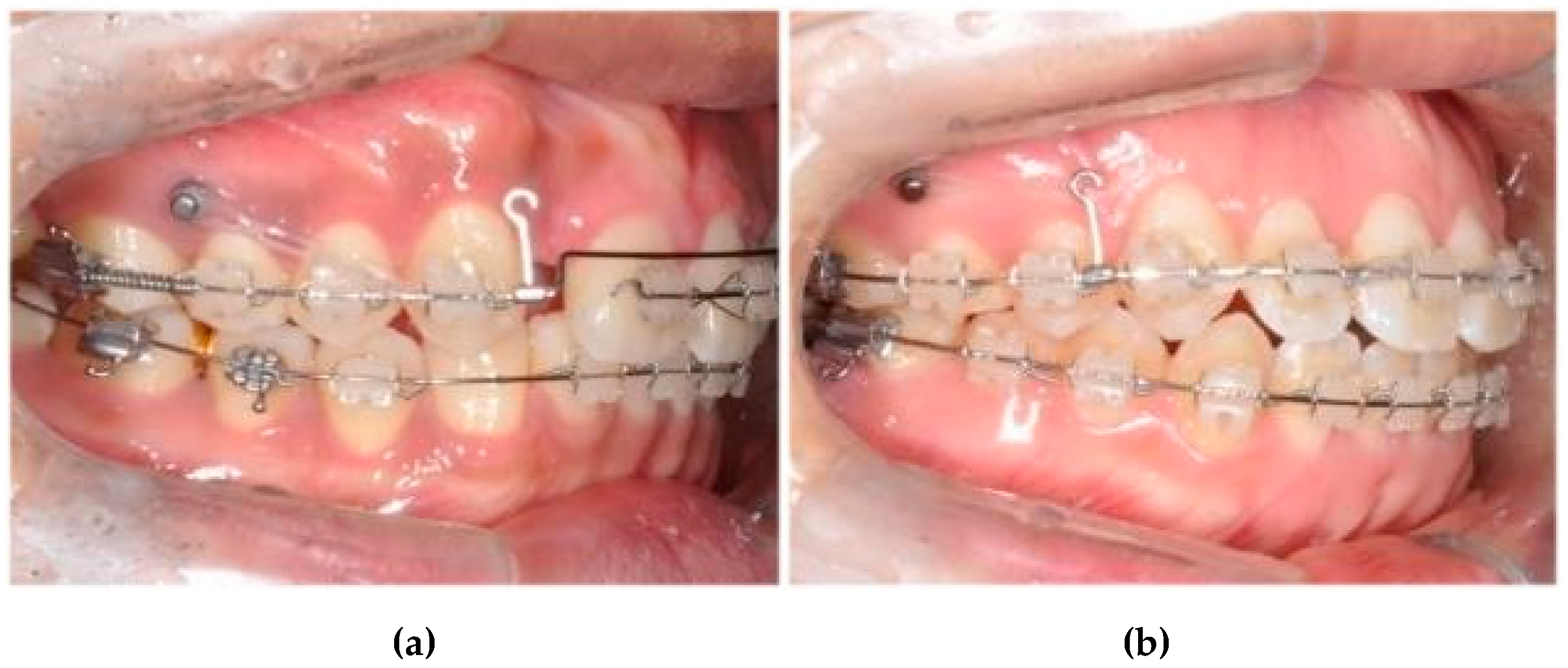
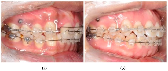
2.2. Appliances and TADs
2.3. Cephalometric Measurements
2.4. Model Measurements
2.5. Statistical Analysis
3. Result
3.1. Skeletal Changes
3.2. Dental Changes
3.3. Soft Tissue Changes
3.4. Changes of Arch Width and Molar Rotation
3.5. Pearson’s Correlation Coefficients between Post-Treatment Changes and Other Variables (Initial Skeletal Pattern, Retention Period and Treatment Changes)
4. Discussion
5. Conclusions
- The maxillary incisor (2.68 ± 2.19 mm), first molar (2.46 ± 1.97 mm) and second molar (2.60 ± 2.52 mm) were significantly distalized after treatment (p < 0.001). Intrusion of the maxillary first (0.92 ± 1.16 mm) and second molars (0.89 ± 1.17 mm) was also observed after the treatment (p < 0.01), which presumably caused a decrease in the distance from ANS to Me. The mandibular first molar (2.57 ± 2.13 mm, p < 0.01) and second molar (2.24 ± 2.35 mm, p < 0.05) were significantly distalized after treatment.
- During the retention period, significant mesial movement of the maxillary first molar (0.52 ± 0.99 mm) and second molar (0.65 ± 0.92 mm) was observed (p < 0.05); however, intrusion was kept relatively stable. Mesial movement of the mandibular arch was also observed but was not statistically significant during the retention period.
- There were no changes in skeletal measurements after distalization except the decrease in distance from ANS to Me and PTV to B.
- The upper and lower lip were retracted by 0.89 ± 1.19 mm (p < 0.001) and 1.06 ± 1.91 mm (p < 0.05), respectively, and there was no significant relapse during the retention period.
- The maxillary intercanine and intermolar width increased by 1.52 ± 1.63 mm (p < 0.001) and 0.93 ± 1.21 mm (p < 0.01), respectively, on average, after the treatment. The arch width was relatively stable without significant changes during the retention period. Distal-in rotation of the molars was observed after the treatment, and there were no significant changes during the retention period
- Post-treatment changes of distalized teeth were correlated with the amount of distalization during treatment but not with the initial skeletal pattern and retention period.
Author Contributions
Funding
Institutional Review Board Statement
Informed Consent Statement
Data Availability Statement
Conflicts of Interest
References
- Rey, D.; Angel, D.; Oberti, G.; Baccetti, T. Treatment and posttreatment effects of mandibular cervical headgear followed by fixed appliances in Class III malocclusion. Am. J. Orthod. Dentof. Orthop. 2008, 133, 371–378, quiz 476.e371. [Google Scholar] [CrossRef] [PubMed]
- Sfondrini, M.F.; Cacciafesta, V.; Sfondrini, G. Upper molar distalization: A critical analysis. Orthod. Craniofac. Res. 2002, 5, 114–126. [Google Scholar] [CrossRef] [PubMed]
- Little, R.M. Stability and relapse of mandibular anterior alignment: University of Washington studies. Semin. Orthod. 1999, 5, 191–204. [Google Scholar] [CrossRef]
- Proffit, W.R. Orthodontic treatment planning: From problem list to specific plan. In Contemporary orthodontics, 5th ed.; Elsevier: St. Louis, MI, USA, 2013; pp. 220–275. [Google Scholar]
- Baumrind, S.; Korn, E.L.; Isaacson, R.J.; West, E.E.; Molthen, R. Quantitative analysis of the orthodontic and orthopedic effects of maxillary traction. Am. J. Orthod. 1983, 84, 384–398. [Google Scholar] [CrossRef]
- Kloehn, S. Evaluation of cervical traction of the maxilla and maxillary first permanent molar. Angle Orthod. 1961, 31, 91–104. [Google Scholar]
- Wieslander, L. The effect of force on craniofacial development. Am. J. Orthod. 1974, 65, 531–538. [Google Scholar] [CrossRef]
- Fuziy, A.; Rodrigues de Almeida, R.; Janson, G.; Angelieri, F.; Pinzan, A. Sagittal, vertical, and transverse changes consequent to maxillary molar distalization with the pendulum appliance. Am. J. Orthod. Dentofac. Orthop. 2006, 130, 502–510. [Google Scholar] [CrossRef]
- Carano, A.; Testa, M. The distal jet for upper molar distalization. J. Clin. Orthod. 1996, 30, 374–380. [Google Scholar]
- Erverdi, N.; Koyuturk, O.; Kucukkeles, N. Nickel-titanium coil springs and repelling magnets: A comparison of two different intra-oral molar distalization techniques. Br. J. Orthod. 1997, 24, 47–53. [Google Scholar] [CrossRef]
- Byloff, F.; Darendeliler, M.A.; Stoff, F. Mandibular molar distalization with the Franzulum Appliance. J. Clin. Orthod. 2000, 34, 518–523. [Google Scholar]
- Bussick, T.J.; McNamara, J.A., Jr. Dentoalveolar and skeletal changes associated with the pendulum appliance. Am. J. Orthod. Dentofac. Orthop. 2000, 117, 333–343. [Google Scholar] [CrossRef]
- Chiu, P.P.; McNamara, J.A., Jr.; Franchi, L. A comparison of two intraoral molar distalization appliances: Distal jet versus pendulum. Am. J. Orthod. Dentofac. Orthop. 2005, 128, 353–365. [Google Scholar] [CrossRef] [PubMed]
- Ghosh, J.; Nanda, R.S. Evaluation of an intraoral maxillary molar distalization technique. Am. J. Orthod. Dentofac. Orthop. 1996, 110, 639–646. [Google Scholar] [CrossRef]
- Ngantung, V.; Nanda, R.S.; Bowman, S.J. Posttreatment evaluation of the distal jet appliance. Am. J. Orthod. Dentofac. Orthop. 2001, 120, 178–185. [Google Scholar] [CrossRef]
- Choi, Y.J.; Lee, J.S.; Cha, J.Y.; Park, Y.C. Total distalization of the maxillary arch in a patient with skeletal Class II malocclusion. Am. J. Orthod. Dentofac. Orthop. 2011, 139, 823–833. [Google Scholar] [CrossRef]
- Jeon, J.M.; Yu, H.S.; Baik, H.S.; Lee, J.S. En-masse distalization with miniscrew anchorage in Class II nonextraction treatment. J. Clin. Orthod. 2006, 40, 472–476. [Google Scholar]
- Kuroda, S.; Sugawara, Y.; Deguchi, T.; Kyung, H.M.; Takano-Yamamoto, T. Clinical use of miniscrew implants as orthodontic anchorage: Success rates and postoperative discomfort. Am. J. Orthod. Dentofac. Orthop. 2007, 131, 9–15. [Google Scholar] [CrossRef]
- Kyung, H.M.; Park, H.S.; Bae, S.M.; Sung, J.H.; Kim, I.B. Development of orthodontic micro-implants for intraoral anchorage. J. Clin. Orthod. 2003, 37, 321–328. [Google Scholar]
- Roberts, W.E.; Helm, F.R.; Marshall, K.J.; Gongloff, R.K. Rigid endosseous implants for orthodontic and orthopedic anchorage. Angle Orthod. 1989, 59, 247–256. [Google Scholar]
- Yu, I.J.; Kook, Y.A.; Sung, S.J.; Lee, K.J.; Chun, Y.S.; Mo, S.S. Comparison of tooth displacement between buccal mini-implants and palatal plate anchorage for molar distalization: A finite element study. Eur. J. Orthod. 2014, 36, 394–402. [Google Scholar] [CrossRef] [Green Version]
- Park, H.S.; Lee, S.K.; Kwon, O.W. Group distal movement of teeth using microscrew implant anchorage. Angle Orthod. 2005, 75, 602–609. [Google Scholar] [PubMed]
- Joondeph, D.R.; Riedel, R.A.; Moore, A.W. Pont’s index: A clinical evaluation. Angle Orthod. 1970, 40, 112–118. [Google Scholar] [PubMed]
- Enlow, D.H.; Kuroda, T.; Lewis, A.B. The morphological and morphogenetic basis for craniofacial form and pattern. Angle Orthod. 1971, 41, 161–188. [Google Scholar] [PubMed]
- Sugawara, J.; Daimaruya, T.; Umemori, M.; Nagasaka, H.; Takahashi, I.; Kawamura, H.; Mitani, H. Distal movement of mandibular molars in adult patients with the skeletal anchorage system. Am. J. Orthod. Dentofac. Orthop. 2004, 125, 130–138. [Google Scholar] [CrossRef]
- Oh, Y.H.; Park, H.S.; Kwon, T.G. Treatment effects of microimplant-aided sliding mechanics on distal retraction of posterior teeth. Am. J. Orthod Dentofac. Orthop. 2011, 139, 470–481. [Google Scholar] [CrossRef]
- Yamada, K.; Kuroda, S.; Deguchi, T.; Takano-Yamamoto, T.; Yamashiro, T. Distal movement of maxillary molars using miniscrew anchorage in the buccal interradicular region. Angle Orthod. 2009, 79, 78–84. [Google Scholar] [CrossRef] [Green Version]
- Akgul, A.A.; Toygar, T.U. Natural craniofacial changes in the third decade of life: A longitudinal study. Am. J. Orthod. Dentofac. Orthop. 2002, 122, 512–522. [Google Scholar] [CrossRef]
- Cetlin, N.S.R. Nonextraction treatment. In Orthodontics: Current Principles & Techniques; Graber, T., Vanarsdall, R., Eds.; Elsevier: St. Louis, MI, USA, 2005. [Google Scholar]
- Antonarakis, G.S.; Kiliaridis, S. Maxillary molar distalization with noncompliance intramaxillary appliances in Class II malocclusion. A Syst. Rev. Angle Orthod. 2008, 78, 1133–1140. [Google Scholar] [CrossRef] [Green Version]
- Fudalej, P.; Antoszewska, J. Are orthodontic distalizers reinforced with the temporary skeletal anchorage devices effective? Am. J. Orthod. Dentof. Orthop. 2011, 139, 722–729. [Google Scholar] [CrossRef]
- Kim, S.J.; Choi, T.H.; Baik, H.S.; Park, Y.C.; Lee, K.J. Mandibular posterior anatomic limit for molar distalization. Am. J. Orthod. Dentofac. Orthop. 2014, 146, 190–197. [Google Scholar] [CrossRef]
- Bishara, S.E.; Jakobsen, J.R.; Hession, T.J.; Treder, J.E. Soft tissue profile changes from 5 to 45 years of age. Am. J. Orthod. Dentofac. Orthop. 1998, 114, 698–706. [Google Scholar] [CrossRef]
- Jeong, G.M.; Sung, S.J.; Lee, K.J.; Chun, Y.S.; Mo, S.S. Finite-element investigation of the center of resistance of the maxillary dentition. Korean J. Orthod. 2009, 39, 83–94. [Google Scholar] [CrossRef] [Green Version]
- Bechtold, T.E.; Kim, J.W.; Choi, T.H.; Park, Y.C.; Lee, K.J. Distalization pattern of the maxillary arch depending on the number of orthodontic miniscrews. Angle Orthod. 2013, 83, 266–273. [Google Scholar] [CrossRef] [PubMed]
- Baek, M.S.; Choi, Y.J.; Yu, H.S.; Lee, K.J.; Kwak, J.; Park, Y.C. Long-term stability of anterior open-bite treatment by intrusion of maxillary posterior teeth. Am. J. Orthod. Dentof. Orthop. 2010, 138, e391–e396. [Google Scholar] [CrossRef]
- Park, H.; Boley, J.C.; Alexander, R.A.; Buschang, P.H. Age-related long-term posttreatment occlusal and arch changes. Angle Orthod. 2010, 80, 247–253. [Google Scholar] [CrossRef]
- Miyazaki, H.; Motegi, E.; Yatabe, K.; Isshiki, Y. Occlusal stability after extraction orthodontic therapy in adult and adolescent patients. Am. J. Orthod. Dentofac. Orthop. 1998, 114, 530–537. [Google Scholar] [CrossRef]
- Downs, W.B. Variations in facial relationships; their significance in treatment and prognosis. Am. J. Orthod. 1948, 34, 812–840. [Google Scholar] [CrossRef]
- Zaher, A.R.; Bishara, S.E.; Jakobsen, J.R. Posttreatment changes in different facial types. Angle Orthod. 1994, 64, 425–436. [Google Scholar]
- Sugawara, J.; Kanzaki, R.; Takahashi, I.; Nagasaka, H.; Nanda, R. Distal movement of maxillary molars in nongrowing patients with the skeletal anchorage system. Am. J. Orthod. Dentofac. Orthop. 2006, 129, 723–733. [Google Scholar] [CrossRef]










| Patients | Sex | Age | Location of TADs Placement | Duration of Force Application | Duration of Retention |
|---|---|---|---|---|---|
| 1 | F | 25 Y 2 M | #15-16 B, #25-26 B Lt. R, Rt. R | 15 M | 30 M |
| 2 | F | 18 Y 5 M | #16-17 B, #25-26 B #35-36 B, #45-46 B | 9 M | 21 M |
| 3 | F | 19 Y 10 M | #15-16-17 B, #25-26-27 B #36-37 B, #46-47 B | 14 M | 26 M |
| 4 | F | 32 Y 3 M | #16-17 P, #26-27 P #35-36 B, #45-46 B | 18 M | 19 M |
| 5 | F | 25 Y 6 M | #15-16 B, #25-26 B #36-37 B, #46-47 B | 11 M | 48 M |
| 6 | M | 28 Y 6 M | #15-16-17 B, #25-26-27 B #35-36 B, #45-46 B | 22 M | 43 M |
| 7 | F | 25 Y 2 M | #16-17 B, #26-27 B #35-36 B, #45-46 B | 16 M | 22 M |
| 8 | F | 24 Y 11 M | #15-16-17 B, #25-26-27 B #36-37 B, #46-47 B | 12 M | 24 M |
| 9 | M | 24 Y 9 M | #15-16 B, #25-26 B Lt. R, Rt. R | 8 M | 24 M |
| 10 | F | 28 Y 4 M | #15-16 B, #25-26 B #36-37 B, #46-47 B | 17 M | 36 M |
| 11 | F | 18 Y 7 M | #15-16 B, #25-26 B #35-36 B, #45-46 B | 13 M | 27 M |
| 12 | F | 28 Y 3 M | #15-16 P, #25-26 P #35-36 B, #45-46 B | 12 M | 24 M |
| 13 | F | 29 Y 7 M | Midpalatal #36-37 B, #46-47 B | 9 M | 18 M |
| 14 | F | 25 Y 9 M | #15-16-17 B, #25-26-27 B #35-36 B, #45-46 B | 21 M | 23 M |
| 15 | M | 20 Y 11 M | #15-16-17 B, #25-26-27 B | 13 M | 47 M |
| 16 | F | 19 Y 10 M | #15-16-17 B, #25-26-27 B | 9 M | 52 M |
| 17 | F | 22 Y 7M | #16-17 P, #26-27 P | 6 M | 50 M |
| 18 | F | 18 Y 7M | #15-16 B, #25-26 B | 18 M | 31 M |
| 19 | F | 20 Y 6M | #15-16 B, #25-26 B | 13 M | 24 M |
| 20 | M | 18 Y 9M | #15-16 B, #25-26 B | 14 M | 13 M |
| 21 | F | 20 Y 2 M | #15-16-17 B, #25-26-27 B | 12 M | 23 M |
| 22 | F | 32 Y 3 M | #16-17 B, #26-27 B | 14 M | 20 M |
| 23 | F | 35 Y 3 M | #15-16 B, #25-26 B | 9 M | 25 M |
| 24 | F | 23Y 11 M | #15-16 B, #25-26 B | 8 M | 37 M |
| 25 | F | 31 Y 8 M | #15-16-17 B, #25-26-27 B | 7 M | 25 M |
| 26 | M | 32 Y 2 M | #15-16 B, #25-26 B | 22 M | 41 M |
| 27 | F | 23 Y 8 M | #15-16 B, #25-26 B | 7 M | 14 M |
| 28 | F | 31 Y 8 M | #16-17 B, #26-27 B | 7 M | 25 M |
| 29 | F | 18 Y 3 M | #35-36 B, #45-46 B | 20 M | 28 M |
| 30 | M | 18 Y 9 M | #35-36 B, #45-46 B | 9 M | 29 M |
| 31 | F | 24 Y 6 M | #36-37 B, #46-47 B | 8 M | 33 M |
| 32 | F | 22 Y 9 M | Lt. R, Rt. R | 12 M | 24 M |
| 33 | F | 22 Y 1 M | Lt. R, Rt. R | 12 M | 17 M |
| 34 | F | 24 Y 3 M | #35-36 B, #45-46 B | 18 M | 38 M |
| 35 | M | 29 Y 7 M | #36-37 B, #46-47 B | 13 M | 41 M |
| 36 | F | 22 Y 11 M | Lt. R, Rt. R | 11 M | 20 M |
| 37 | F | 18 Y 3 M | #35-36 B, #45-46 B | 20 M | 28 M |
| 38 | M | 18 Y 9 M | #35-36 B, #45-46 B | 9 M | 29 M |
| 39 | F | 22 Y 9 M | #36-37 B, #46-47 B | 19 M | 39 M |
| Variables | |
|---|---|
| Sex | 8 male (20.5)/31 female (79.5) |
| Age (years) (mean ± SD) | 24.5 ± 5.38 |
| Crowding (mm) (mean ± SD) | |
| Maxilla | 2.43 ± 0.89 |
| Mandible | 1.81 ± 0.51 |
| Sagittal skeletal pattern | |
| Class I | 3 (8.0) |
| Class II | 19 (48.5) |
| Class III | 17 (43.5) |
| Vertical skeletal pattern | |
| Normal (SN-MP 27–37°) | 22 (56.5) |
| High mandibular plane angle (>37°) | 11 (28.0) |
| Low mandibular plane angle (<27°) | 6 (15.5) |
| Distalization arch | |
| Maxillary arch only | 14 (36.0) |
| Mandibular arch only | 11 (28.0) |
| Both maxillary and mandibular arch | 14 (36.0) |
| A number of TADs by insertion sites | |
| Between 2nd premolar and 1st molar | 60 (54.5) |
| Between 1st molar and 2nd molar | 32 (29.0) |
| Ramus | 10 (9.0) |
| Midpalate | 2 (1.5) |
| T0 | T1 | T2 | T1-T0 | T2-T1 | T2-T0 | ||||||||||
|---|---|---|---|---|---|---|---|---|---|---|---|---|---|---|---|
| Mean | SD | Mean | SD | Mean | SD | Mean | SD | Sig | Mean | SD | Sig | Mean | SD | Sig | |
| Skeletal | |||||||||||||||
| SNA(°) | 80.89 | 3.18 | 80.60 | 2.80 | 80.66 | 2.93 | −0.29 | 1.65 | 0.06 | 1.46 | −0.23 | 1.26 | |||
| SNB(°) | 75.82 | 3.55 | 75.68 | 3.37 | 75.83 | 3.57 | −0.13 | 1.38 | 0.15 | 1.38 | 0.01 | 0.92 | |||
| ANB(°) | 5.07 | 2.04 | 4.91 | 1.94 | 4.82 | 1.90 | −0.16 | 0.95 | −0.09 | 0.54 | −0.25 | 0.98 | |||
| SN-OP(°) | 21.70 | 4.49 | 22.77 | 4.73 | 22.35 | 4.81 | 1.06 | 2.24 | −0.41 | 1.62 | 0.65 | 2.30 | |||
| SN-MP(°) | 39.21 | 6.32 | 39.21 | 6.34 | 39.44 | 6.46 | 0.01 | 1.61 | 0.23 | 2.03 | 0.23 | 2.13 | |||
| PTV-A(mm) | 52.59 | 3.22 | 52.42 | 3.00 | 52.28 | 3.16 | −0.18 | 1.79 | −0.14 | 1.76 | −0.31 | 2.24 | |||
| PTV-B(mm) | 50.42 | 6.57 | 50.23 | 6.30 | 49.95 | 7.05 | −0.19 | 2.36 | −0.28 | 2.55 | −0.47 | 2.39 | |||
| ANS-Me(mm) | 75.86 | 5.09 | 75.12 | 5.43 | 75.44 | 5.53 | −0.74 | 1.47 | * | 0.32 | 1.77 | −0.42 | 2.41 | * | |
| Facial Height Ratio(%) | 62.65 | 4.74 | 62.67 | 4.87 | 62.34 | 5.16 | 0.01 | 0.98 | −0.32 | 2.02 | −0.31 | 2.08 | |||
| Dental linear (mm) | |||||||||||||||
| U1t-PTV | 63.13 | 4.17 | 60.45 | 4.44 | 60.88 | 4.79 | −2.68 | 2.19 | *** | 0.43 | 1.15 | −2.25 | 2.46 | *** | |
| U1r-PTV | 49.61 | 4.31 | 48.53 | 3.84 | 48.38 | 3.88 | −1.09 | 2.11 | * | −0.15 | 1.33 | −1.23 | 3.07 | * | |
| U6t-PTV | 28.39 | 4.16 | 25.93 | 4.11 | 26.45 | 3.87 | −2.46 | 1.97 | *** | 0.52 | 0.99 | * | −1.94 | 1.72 | *** |
| U6r-PTV | 27.98 | 2.84 | 26.35 | 3.33 | 26.80 | 2.78 | −1.63 | 2.14 | ** | 0.45 | 0.79 | −1.18 | 1.75 | ** | |
| U7t-PTV | 17.55 | 4.27 | 14.95 | 4.34 | 15.60 | 3.91 | −2.60 | 2.52 | *** | 0.65 | 0.92 | * | −1.95 | 2.05 | ** |
| U7r-PTV | 18.26 | 2.78 | 15.82 | 2.89 | 16.40 | 2.51 | −2.44 | 2.34 | *** | 0.58 | 1.03 | * | −1.86 | 2.09 | *** |
| U1t-PP | 33.03 | 3.18 | 32.74 | 3.04 | 33.00 | 13.07 | −0.28 | 1.40 | 0.26 | 2.57 | −0.03 | 1.97 | |||
| U1r-PP | 11.52 | 3.43 | 10.91 | 2.76 | 11.07 | 2.99 | −0.61 | 2.45 | 0.16 | 0.76 | −0.45 | 1.24 | |||
| U6t-PP | 25.03 | 2.02 | 24.11 | 2.35 | 24.46 | 2.54 | −0.92 | 1.16 | ** | 0.35 | 0.55 | −0.57 | 1.51 | ** | |
| U6r-PP | 7.81 | 1.62 | 6.45 | 2.02 | 6.86 | 2.29 | −1.36 | 1.52 | *** | 0.41 | 0.47 | −0.95 | 1.76 | ** | |
| U7t-PP | 22.14 | 2.22 | 21.25 | 2.54 | 21.63 | 2.87 | −0.89 | 1.17 | ** | 0.38 | 0.89 | −0.51 | 1.76 | * | |
| U7r-PP | 5.39 | 1.69 | 4.04 | 1.93 | 4.48 | 2.08 | −1.35 | 1.39 | *** | 0.44 | 0.62 | −0.91 | 1.49 | * | |
| Dental angular(°) | |||||||||||||||
| U1 to SN | 105.56 | 6.24 | 101.70 | 6.91 | 102.79 | 7.57 | −3.86 | 4.28 | *** | 1.08 | 3.55 | −2.77 | 4.11 | ** | |
| U6 to SN | 72.59 | 5.72 | 69.94 | 5.74 | 71.55 | 6.05 | −2.66 | 3.97 | ** | 0.71 | 2.44 | * | −1.04 | 3.68 | * |
| U7 to SN | 68.81 | 7.58 | 68.32 | 6.16 | 68.78 | 6.66 | −0.50 | 5.42 | 0.46 | 2.02 | * | −0.04 | 5.68 | ||
| Soft tissue (mm) | |||||||||||||||
| Upper Lip E-plane | 0.80 | 1.85 | −0.10 | 1.85 | 0.06 | 1.58 | −0.89 | 1.19 | *** | 0.16 | 0.89 | −0.73 | 1.12 | *** | |
| Lower Lip E-plane | 2.17 | 2.18 | 1.32 | 2.07 | 1.28 | 1.92 | −0.85 | 2.08 | * | 0.04 | 1.07 | −0.81 | 1.82 | * | |
| T0 | T1 | T2 | T1-T0 | T2-T1 | T2-T0 | ||||||||||
|---|---|---|---|---|---|---|---|---|---|---|---|---|---|---|---|
| Mean | SD | Mean | SD | Mean | SD | Mean | SD | Sig | Mean | SD | Sig | Mean | SD | Sig | |
| Skeletal | |||||||||||||||
| SNA(°) | 80.20 | 2.88 | 80.47 | 2.80 | 80.32 | 3.26 | 0.27 | 0.68 | −0.14 | 1.30 | 0.12 | 1.64 | |||
| SNB(°) | 76.81 | 3.48 | 76.91 | 3.67 | 76.89 | 3.53 | 0.09 | 0.63 | −0.02 | 1.12 | 0.08 | 1.28 | |||
| ANB(°) | 3.39 | 2.67 | 3.56 | 2.68 | 3.43 | 2.63 | 0.17 | 0.64 | −0.13 | 0.59 | 0.04 | 0.82 | |||
| SN-OP(°) | 20.94 | 4.88 | 21.38 | 5.82 | 21.07 | 5.36 | 0.44 | 2.56 | −0.31 | 1.66 | 0.13 | 2.99 | |||
| SN-MP(°) | 37.73 | 6.61 | 37.34 | 6.48 | 37.87 | 6.56 | −0.38 | 0.91 | 0.53 | 2.01 | 0.14 | 2.34 | |||
| PTV-A(mm) | 51.96 | 2.31 | 52.78 | 2.71 | 52.69 | 3.45 | 0.82 | 2.45 | −0.08 | 1.70 | 0.73 | 2.76 | |||
| PTV-B(mm) | 52.50 | 6.98 | 52.15 | 7.08 | 52.03 | 7.52 | −0.35 | 2.03 | * | −0.12 | 2.34 | −0.47 | 3.73 | * | |
| ANS-Me(mm) | 74.63 | 6.65 | 74.57 | 5.80 | 75.52 | 5.81 | −0.06 | 2.00 | 0.95 | 1.91 | 0.89 | 2.75 | |||
| Facial Height Ratio(%) | 63.26 | 5.17 | 63.52 | 5.21 | 63.09 | 5.42 | 0.26 | 0.93 | −0.43 | 2.19 | −0.17 | 2.31 | |||
| Dental linear (mm) | |||||||||||||||
| L1t-PTV | 58.76 | 4.10 | 57.85 | 4.03 | 58.39 | 4.73 | −0.91 | 3.43 | * | 0.53 | 0.94 | −0.38 | 3.60 | ||
| L1r-PTV | 50.11 | 6.02 | 49.63 | 6.23 | 49.95 | 7.06 | −0.48 | 4.45 | 0.32 | 1.95 | −0.16 | 4.76 | |||
| L6t-PTV | 30.71 | 3.93 | 28.14 | 3.90 | 28.72 | 3.90 | −2.57 | 4.13 | ** | 0.58 | 1.06 | −1.99 | 3.16 | ** | |
| L6r-PTV | 26.88 | 6.01 | 26.01 | 5.66 | 26.23 | 5.72 | −0.88 | 4.23 | 0.22 | 1.26 | −0.65 | 3.56 | |||
| L7t-PTV | 18.72 | 4.05 | 16.48 | 3.93 | 16.90 | 3.81 | −2.24 | 4.35 | * | 0.42 | 0.90 | −1.82 | 3.37 | * | |
| L7r-PTV | 13.80 | 5.94 | 13.72 | 5.47 | 13.94 | 5.29 | −0.09 | 4.45 | 0.23 | 1.16 | 0.14 | 3.62 | |||
| L1t-MP | 45.49 | 4.78 | 44.36 | 4.06 | 44.91 | 4.06 | −1.13 | 2.63 | 0.55 | 0.63 | −0.58 | 2.99 | |||
| L1r-MP | 25.29 | 4.52 | 24.77 | 3.25 | 25.33 | 3.68 | −0.52 | 2.37 | 0.57 | 1.08 | 0.04 | 3.43 | |||
| L6t-MP | 35.48 | 3.27 | 35.22 | 3.04 | 35.25 | 3.29 | −0.26 | 1.65 | 0.04 | 0.63 | −0.23 | 1.98 | |||
| L6r-MP | 16.28 | 2.72 | 16.95 | 3.10 | 17.12 | 3.09 | 0.67 | 2.12 | 0.17 | 0.58 | 0.84 | 1.72 | |||
| L7t-MP | 32.62 | 2.83 | 32.18 | 2.96 | 32.00 | 3.47 | −0.44 | 1.51 | −0.18 | 0.74 | −0.62 | 2.08 | |||
| L7r-MP | 15.24 | 2.68 | 14.95 | 2.86 | 14.93 | 2.98 | −0.30 | 1.82 | −0.01 | 0.52 | −0.31 | 1.54 | |||
| Dental angular(°) | |||||||||||||||
| L1 to MP | 97.07 | 5.65 | 95.39 | 5.74 | 96.05 | 4.74 | −1.68 | 5.01 | 0.66 | 3.36 | −1.02 | 4.75 | |||
| L6 to MP | 75.39 | 7.36 | 73.09 | 7.77 | 73.48 | 7.83 | −2.30 | 6.05 | 0.39 | 4.15 | −1.91 | 6.90 | |||
| L7 to MP | 87.44 | 4.59 | 80.22 | 3.81 | 81.06 | 3.46 | −7.21 | 4.99 | *** | 0.84 | 3.53 | −6.38 | 3.87 | *** | |
| Soft tissue (mm) | |||||||||||||||
| Upper Lip E-plane | −0.25 | 2.11 | −0.88 | 2.26 | −0.63 | 2.26 | −0.63 | 1.24 | * | 0.25 | 0.88 | −0.38 | 1.23 | * | |
| Lower Lip E-plane | 1.67 | 2.58 | 0.62 | 2.62 | 0.85 | 2.44 | −1.06 | 1.91 | * | 0.23 | 1.21 | −0.83 | 1.42 | * | |
| T0 | T1 | T2 | T1-T0 | T2-T1 | T2-T0 | ||||||||||
|---|---|---|---|---|---|---|---|---|---|---|---|---|---|---|---|
| Mean | SD | Mean | SD | Mean | SD | Mean | SD | Sig | Mean | SD | Sig | Mean | SD | Sig | |
| Inter-canine width(mm) | |||||||||||||||
| Mx. | 35.26 | 3.53 | 36.78 | 2.56 | 36.13 | 3.06 | 1.52 | 0.33 | *** | −0.65 | 0.71 | 0.87 | 0.75 | ** | |
| Mn. | 27.07 | 3.7 | 27.95 | 2.74 | 27.65 | 2.24 | 0.88 | 1.14 | −0.35 | 0.55 | 0.58 | 0.98 | |||
| Inter-molar width(mm) | |||||||||||||||
| Mx. | 45.36 | 2.34 | 46.29 | 2.51 | 45.99 | 2.68 | 0.93 | 0.31 | ** | −0.30 | 1.21 | 0.63 | 1.30 | * | |
| Mn. | 44.24 | 3.67 | 45.38 | 3.36 | 45.06 | 3.47 | 1.14 | 1.05 | −0.32 | 2.95 | 0.82 | 1.75 | |||
| Molar rotation (°) | |||||||||||||||
| U6rot | 138.85 | 11.64 | 143.72 | 9.28 | 140.57 | 11.38 | 4.87 | 2.36 | −3.15 | 1.36 | 1.72 | 1.62 | |||
| U7rot | 148.82 | 13.74 | 156.32 | 16.12 | 154.69 | 9.46 | 7.50 | 4.10 | −1.63 | 2.12 | 5.87 | 2.21 | |||
| L6rot | 156.28 | 9.36 | 159.32 | 15.32 | 157.36 | 17.33 | 3.04 | 2.32 | −1.96 | 2.36 | 1.08 | 1.71 | |||
| L7rot | 161.34 | 7.35 | 166.35 | 12.25 | 163.15 | 11.95 | 5.01 | 2.95 | −4.20 | 1.59 | 1.81 | 0.96 | |||
| T2-T1 | ||||||||||
|---|---|---|---|---|---|---|---|---|---|---|
| ΔU1t-PTV | ΔU6t-PTV | ΔU7t-PTV | ΔU6-SN | ΔU7-SN | ||||||
| r | Sig | r | Sig | r | Sig | r | Sig | r | Sig | |
| Skeletal pattern (T0) | ||||||||||
| ANB | −0.419 * | 0.030 | −0.437 * | 0.023 | −0.401 * | 0.038 | 0.074 | 0.714 | −0.068 | 0.735 |
| SN-MP | −0.109 | 0.587 | 0.011 | 0.956 | 0.008 | 0.968 | −0.047 | 0.815 | −0.174 | 0.386 |
| Facial Height Ratio | 0.029 | 0.884 | −0.105 | 0.602 | −0.077 | 0.704 | 0.008 | 0.967 | 0.164 | 0.413 |
| Retention Period | 0.050 | 0.806 | 0.093 | 0.643 | 0.144 | 0.472 | 0.286 | 0.149 | 0.166 | 0.408 |
| Treatment changes (T1-T0) | ||||||||||
| ΔU1t-PTV | −0.355 | 0.069 | −0.417 * | 0.031 | −0.498 ** | 0.008 | −0.274 | 0.166 | −0.120 | 0.553 |
| ΔU6t-PTV | −0.543 ** | 0.003 | −0.623 ** | 0.001 | −0.674 *** | 0.000 | −0.093 | 0.644 | −0.121 | 0.549 |
| ΔU7t-PTV | −0.399 * | 0.039 | −0.474 * | 0.013 | −0.599 ** | 0.001 | −0.229 | 0.251 | −0.176 | 0.381 |
| ΔU6-SN | 0.107 | 0.595 | 0.219 | 0.272 | 0.165 | 0.412 | −0.252 | 0.204 | 0.010 | 0.960 |
| ΔU7-SN | −0.187 | 0.350 | −0.016 | 0.936 | −0.138 | 0.492 | −0.143 | 0.476 | −0.191 | 0.341 |
| ΔU6rot | 0.205 | 0.306 | −0.181 | 0.377 | −0.038 | 0.851 | −0.010 | 0.961 | −0.138 | 0.491 |
| ΔU7rot | −0.001 | 0.997 | 0.169 | 0.400 | −0.145 | 0.469 | −0.198 | 0.374 | −0.138 | 0.751 |
| T2-T1 | ||||||||||
|---|---|---|---|---|---|---|---|---|---|---|
| ΔL1t-PTV | ΔL6t-PTV | ΔL7t-PTV | ΔL6-MP | ΔL7-MP | ||||||
| r | Sig | r | Sig | r | Sig | r | Sig | r | Sig | |
| Skeletal pattern (T0) | ||||||||||
| ANB | −0.027 | 0.906 | −0.122 | 0.587 | −0.079 | 0.727 | 0.121 | 0.593 | 0.043 | 0.850 |
| SN-MP | −0.074 | 0.743 | 0.225 | 0.314 | 0.242 | 0.277 | 0.038 | 0.868 | 0.094 | 0.677 |
| Facial Height Ratio | −0.004 | 0.985 | −0.268 | 0.228 | −0.262 | 0.239 | −0.006 | 0.980 | −0.112 | 0.618 |
| Retention Period | −0.318 | 0.149 | −0.224 | 0.315 | 0.012 | 0.957 | −0.113 | 0.617 | −0.144 | 0.522 |
| Treatment changes (T1-T0) | ||||||||||
| ΔL1t-PTV | −0.188 | 0.402 | −0.572 ** | 0.005 | −0.613 ** | 0.002 | 0.170 | 0.450 | −0.102 | 0.650 |
| ΔL6t-PTV | −0.131 | 0.562 | −0.664 ** | 0.001 | −0.707 *** | 0.000 | 0.127 | 0.573 | −0.200 | 0.372 |
| ΔL7t-PTV | −0.067 | 0.766 | −0.550 ** | 0.008 | −0.673 ** | 0.001 | 0.067 | 0.765 | −0.251 | 0.259 |
| ΔL6-MP | −0.083 | 0.713 | 0.205 | 0.361 | 0.235 | 0.292 | −0.120 | 0.593 | 0.110 | 0.625 |
| ΔL7-MP | 0.007 | 0.976 | −0.241 | 0.280 | −0.272 | 0.222 | −0.121 | 0.590 | −0.634 ** | 0.002 |
| ΔL6rot | 0.002 | 0.993 | 0.103 | 0.649 | 0.093 | 0.682 | −0.068 | 0.765 | −0.283 | 0.202 |
| ΔL7rot | −0.209 | 0.351 | −0.186 | 0.408 | −0.120 | 0.595 | −0.429 | 0.066 | −0.050 | 0.825 |
Publisher’s Note: MDPI stays neutral with regard to jurisdictional claims in published maps and institutional affiliations. |
© 2022 by the authors. Licensee MDPI, Basel, Switzerland. This article is an open access article distributed under the terms and conditions of the Creative Commons Attribution (CC BY) license (https://creativecommons.org/licenses/by/4.0/).
Share and Cite
Song, B.-J.; Lee, K.-J.; Cha, J.-Y.; Lee, J.-S.; Mo, S.-S.; Yu, H.-S. Stability of the Maxillary and Mandibular Total Arch Distalization Using Temporary Anchorage Devices (TADs) in Adults. Appl. Sci. 2022, 12, 2898. https://doi.org/10.3390/app12062898
Song B-J, Lee K-J, Cha J-Y, Lee J-S, Mo S-S, Yu H-S. Stability of the Maxillary and Mandibular Total Arch Distalization Using Temporary Anchorage Devices (TADs) in Adults. Applied Sciences. 2022; 12(6):2898. https://doi.org/10.3390/app12062898
Chicago/Turabian StyleSong, Byung-Jae, Kee-Joon Lee, Jung-Yul Cha, Jeong-Seob Lee, Sung-Seo Mo, and Hyung-Seog Yu. 2022. "Stability of the Maxillary and Mandibular Total Arch Distalization Using Temporary Anchorage Devices (TADs) in Adults" Applied Sciences 12, no. 6: 2898. https://doi.org/10.3390/app12062898
APA StyleSong, B.-J., Lee, K.-J., Cha, J.-Y., Lee, J.-S., Mo, S.-S., & Yu, H.-S. (2022). Stability of the Maxillary and Mandibular Total Arch Distalization Using Temporary Anchorage Devices (TADs) in Adults. Applied Sciences, 12(6), 2898. https://doi.org/10.3390/app12062898

