A Fuzzy Consensus Clustering Algorithm for MRI Brain Tissue Segmentation
Abstract
:1. Introduction
- Proposed a consensus clustering method for MRI brain tissue segmentation.
- The results of four variants of fuzzy clustering methods are combined to achieve better results.
- To check the efficacy of the proposed method, we conducted experiments on two standard brain segmentation datasets.
2. Methodology
2.1. Pre-Processing
2.2. Segmentation
2.2.1. Robust Spatial Kernel FCM (RSKFCM)
2.2.2. Generalized Spatial Kernel FCM (GSKFCM)
2.2.3. Modified Intuitionistic Fuzzy C-Means (MIFCM)
2.2.4. Consensus Clustering Using Voting Schema
| Algorithm 1: Consensus Clustering using voting scheme |
Data: Input image , Stopping criteria , m, number of clusters C Result: Segmentation results, Cluster centers
|
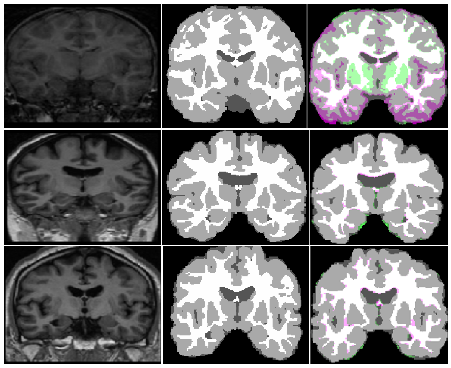
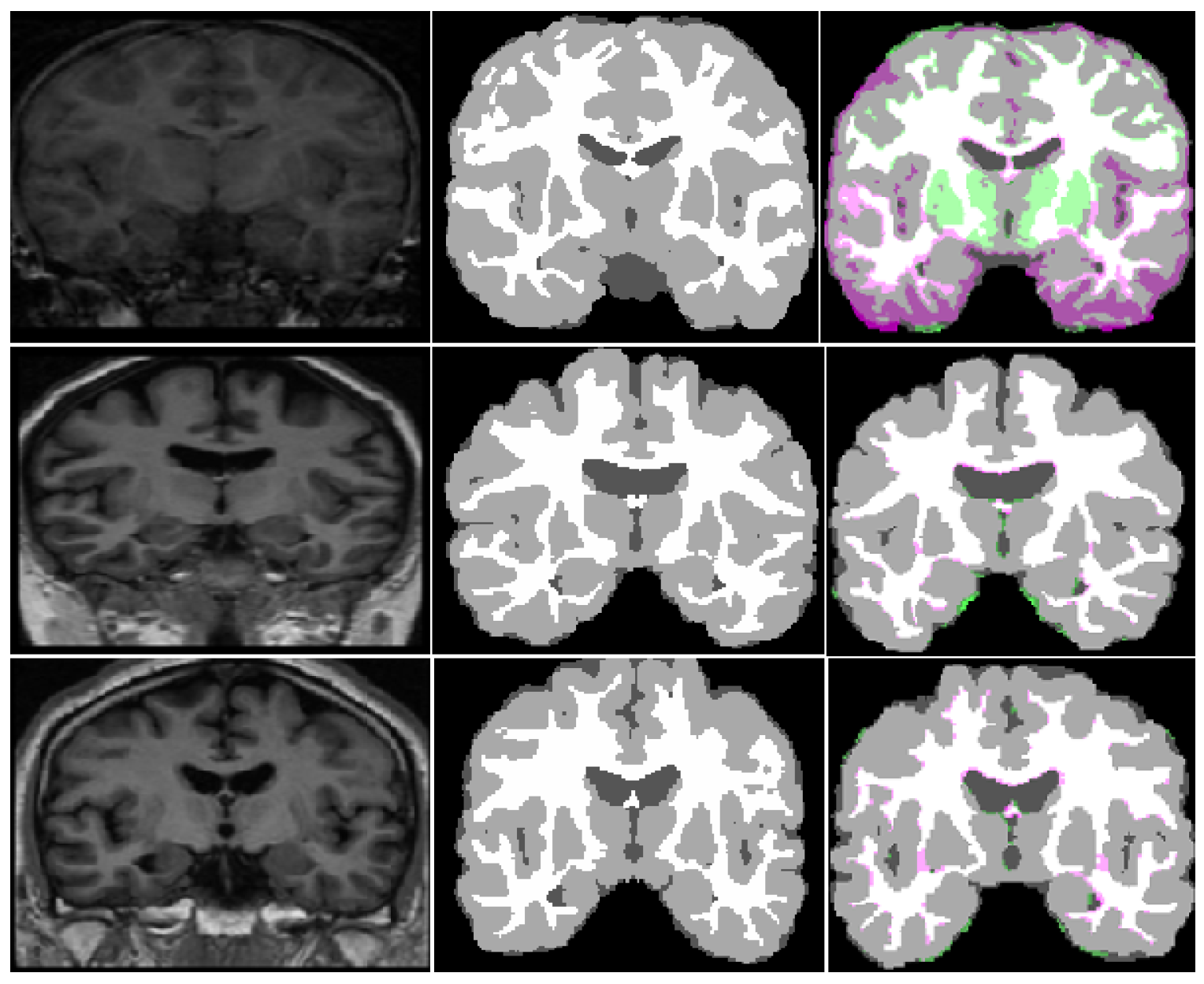
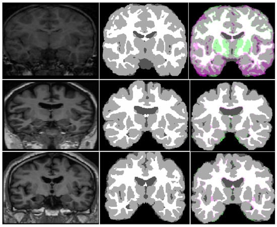
3. Experimental Results
3.1. Datasets
3.1.1. OASIS
3.1.2. IBSR18
3.2. Evaluation Metrics
3.3. Experimental Setup
3.4. Results
- HMRF-EM [8]: This method combines hidden Markov random field (HMRF) with an EM algorithm for MRI image segmentation. The main advantage of this method is it derives how the spatial information is encoded through the mutual influences of neighboring sites.
- FAST-PVE [41]: This method uses Markov random field(MRF) for brain tissue segmentation. To increase the speed, this method uses fast iterated conditional modes to solve MRFs.
- MSSEG [42]: This method deal with images in the presence of WM lesions. This approach integrates a robust partial volume tissue segmentation with WM outlier rejection and filling, combining intensity and probabilistic and morphological prior maps.
- R-FCM [43]: This method models the intensity inhomogeneities as a gain field that causes image intensities to smoothly and slowly vary through the image space. It iteratively adapts to the intensity inhomogeneities and is completely automated.
- SFCM [44]: This method generalizes the objective function of a conventional FCM by incorporating a spatial penalty on the membership function.
- FANTASM [45]: This method is the extension of an adaptive FCM. In this method, an additional constraint is placed on the membership functions that force them to be spatially smooth.
- PVC [31]: This method uses a partial volume model for MRI brain tissue segmentation. First, it classifies nonbrain tissue using a combination of anisotropic diffusion filtering, edge detection, and mathematical morphology. Further, the local estimates are computed by fitting a partial volume tissue measurement model to histograms of neighborhoods about each estimate point. Voxels in the intensity-normalized image are then classified into six tissue types using a maximum a posteriori classifier.
- SPM5 [46]: This method is based on a mixture of Gaussians. In addition, it is extended to incorporate a smooth intensity variation and nonlinear registration with tissue probability maps.
- GAMIXTURE [47]: This method employs finite mixture models (FMMs) for brain tissue segmentation. To deal with FMM complex optimization, this method employs a global optimization algorithm that uses blended crossover and a new permutation operator.
- ANN [48]: This method is based on a self-organizing map (SOM). Initially, the feature vector is extracted from the intensity of the pixel and its n nearest neighbors. Further, to improve the robustness, statistical transformation is applied to the extracted feature vector. Finally, each pixel is classified using SOM.
- KNN [49]: This method uses K-NN for brain tissue segmentation.
- BrainSuit09 [50]: This is an automatic brain image analysis tool. The tool provides a sequence of low-level operations in a single package that can produce accurate brain segmentation in clinical time.
- SVPASEG [51]: This method uses local image models for brain tissue segmentation. This model combines the local models for tissue intensities and Markov Random Field (MRF) into a global probabilistic image model. Finally, the parameters for the local intensity models are obtained without supervision by maximizing the weighted likelihood of a certain finite mixture model.
- EGC-SOM [52]: This method uses self-organizing maps (SOM) for brain tissue segmentation. Initially, first- and second-order features are extracted using overlapping windows. Further, evolutionary computing is used for feature selection. Finally, map units are grouped using SOM.
- RF-CRF [53]: This method uses a conditional random field with a random forest for brain tissue segmentation. This method uses intensities, gradients, probability maps, and locations as features.
3.4.1. Results on OASIS Dataset
3.4.2. Results on IBSR18 Dataset
3.5. Autism Spectrum Disorder Detection Using Proposed Method
3.6. Discussion
4. Conclusions
Author Contributions
Funding
Institutional Review Board Statement
Informed Consent Statement
Data Availability Statement
Conflicts of Interest
References
- Despotovic, I.; Goossens, B.; Philips, W. MRI segmentation of the human brain: Challenges, methods, and applications. Comput. Math. Methods Med. 2015, 2015, 450341. [Google Scholar] [CrossRef] [PubMed] [Green Version]
- Zhang, Y.; Li, Y.; Kong, Y.; Wu, J.; Yang, J.; Shu, H.; Coatrieux, G. GSCFN: A graph self-construction and fusion network for semi-supervised brain tissue segmentation in MRI. Neurocomputing 2021, 455, 23–37. [Google Scholar] [CrossRef]
- Veluchamy, M.; Subramani, B. Brain tissue segmentation for medical decision support systems. J. Ambient Intell. Humaniz. Comput. 2021, 12, 1851–1868. [Google Scholar] [CrossRef]
- Song, J.; Yuan, L. Brain tissue segmentation via non-local fuzzy c-means clustering combined with Markov random field. Math. Biosci. Eng. 2022, 19, 1891–1908. [Google Scholar] [CrossRef]
- Coleman, G.B.; Andrews, H.C. Image segmentation by clustering. Proc. IEEE 1979, 67, 773–785. [Google Scholar] [CrossRef]
- Chen, C.W.; Luo, J.; Parker, K.J. Image segmentation via adaptive K-mean clustering and knowledge-based morphological operations with biomedical applications. IEEE Trans. Image Process. 1998, 7, 1673–1683. [Google Scholar] [CrossRef] [Green Version]
- Wu, M.N.; Lin, C.C.; Chang, C.C. Brain tumor detection using color-based k-means clustering segmentation. In Proceedings of the IEEE Third International Conference on Intelligent Information Hiding and Multimedia Signal Processing (IIHMSP), Sendai, Japan, 26–28 November 2007; pp. 245–250. [Google Scholar]
- Zhang, Y.; Brady, M.; Smith, S. Segmentation of brain MR images through a hidden Markov random field model and the expectation-maximization algorithm. IEEE Trans. Med. Imaging 2001, 20, 45–57. [Google Scholar] [CrossRef] [PubMed]
- Phillips, W.; Velthuizen, R.; Phuphanich, S.; Hall, L.; Clarke, L.; Silbiger, M. Application of fuzzy c-means segmentation technique for tissue differentiation in MR images of a hemorrhagic glioblastoma multiforme. Magn. Reson. Imaging 1995, 13, 277–290. [Google Scholar] [CrossRef]
- Kong, J.; Wang, J.; Lu, Y.; Zhang, J.; Li, Y.; Zhang, B. A novel approach for segmentation of MRI brain images. In Proceedings of the IEEE Mediterranean Electrotechnical Conference (MELECON), Lemesos, Cyprus, 18–20 April 2016; pp. 525–528. [Google Scholar]
- Ahmed, M.N.; Yamany, S.M.; Mohamed, N.; Farag, A.A.; Moriarty, T. A modified fuzzy c-means algorithm for bias field estimation and segmentation of MRI data. IEEE Trans. Med. Imaging 2002, 21, 193–199. [Google Scholar] [CrossRef]
- Liew, A.W.C.; Yan, H. An adaptive spatial fuzzy clustering algorithm for 3-D MR image segmentation. IEEE Trans. Med. Imaging 2003, 22, 1063–1075. [Google Scholar] [CrossRef] [Green Version]
- Wang, J.; Kong, J.; Lu, Y.; Qi, M.; Zhang, B. A modified FCM algorithm for MRI brain image segmentation using both local and non-local spatial constraints. Comput. Med. Imaging Graph. 2008, 32, 685–698. [Google Scholar] [CrossRef] [PubMed]
- Zhang, D.Q.; Chen, S.C. Clustering incomplete data using kernel-based fuzzy c-means algorithm. Neural Process. Lett. 2003, 18, 155–162. [Google Scholar] [CrossRef]
- Lin, K.P. A novel evolutionary kernel intuitionistic fuzzy c-means clustering algorithm. IEEE Trans. Fuzzy Syst. 2014, 22, 1074–1087. [Google Scholar] [CrossRef]
- Atanassov, K.T. Intuitionistic fuzzy sets. Fuzzy Sets Syst. 1986, 20, 87–96. [Google Scholar] [CrossRef]
- Iakovidis, D.K.; Pelekis, N.; Kotsifakos, E.; Kopanakis, I. Intuitionistic fuzzy clustering with applications in computer vision. In Proceedings of the International Conference on Advanced Concepts for Intelligent Vision Systems, Juan-les-Pins, France, 20–24 October 2008; Springer: Berlin, Germany, 2008; pp. 764–774. [Google Scholar]
- Chaira, T. A novel intuitionistic fuzzy C means clustering algorithm and its application to medical images. Appl. Soft Comput. 2011, 11, 1711–1717. [Google Scholar] [CrossRef]
- Kumar, S.A.; Harish, B.; Aradhya, V.M. A picture fuzzy clustering approach for brain tumor segmentation. In Proceedings of the 2016 Second International Conference on Cognitive Computing and Information Processing (CCIP), Mysuru, India, 12–13 August 2016; pp. 1–6. [Google Scholar]
- Kumar, S.A.; Harish, B. A Modified intuitionistic fuzzy clustering algorithm for medical image segmentation. J. Intell. Syst. 2018, 27, 593–607. [Google Scholar] [CrossRef]
- Verma, H.; Agrawal, R.; Sharan, A. An improved intuitionistic fuzzy c-means clustering algorithm incorporating local information for brain image segmentation. Appl. Soft Comput. 2016, 46, 543–557. [Google Scholar] [CrossRef]
- Pedrycz, W.; Rai, P. Collaborative clustering with the use of Fuzzy C-Means and its quantification. Fuzzy Sets Syst. 2008, 159, 2399–2427. [Google Scholar] [CrossRef]
- Punera, K.; Ghosh, J. Consensus-based ensembles of soft clusterings. Appl. Artif. Intell. 2008, 22, 780–810. [Google Scholar] [CrossRef]
- Sevillano, X.; Alías, F.; Socoró, J.C. BordaConsensus: A new consensus function for soft cluster ensembles. In Proceedings of the 30th Annual International ACM SIGIR Conference on Research and Development in Information Retrieval, Amsterdam, The Netherlands, 23–27 July 2007; pp. 743–744. [Google Scholar]
- Crespo, F.; Weber, R. A methodology for dynamic data mining based on fuzzy clustering. Fuzzy Sets Syst. 2005, 150, 267–284. [Google Scholar] [CrossRef]
- Pedrycz, W. A dynamic data granulation through adjustable fuzzy clustering. Pattern Recognit. Lett. 2008, 29, 2059–2066. [Google Scholar] [CrossRef]
- Wu, J.; Wu, Z.; Cao, J.; Liu, H.; Chen, G.; Zhang, Y. Fuzzy Consensus Clustering With Applications on Big Data. IEEE Trans. Fuzzy Syst. 2017, 25, 1430–1445. [Google Scholar] [CrossRef]
- Kumar, S.A.; Harish, B. Segmenting mri brain images using novel robust spatial kernel fcm (rskfcm). In Proceedings of the Eighth International Conference on Image and Signal Processing, Cherbourg, France, 30 June–2 July 2014; pp. 38–44. [Google Scholar]
- Kumar, S.A.; Harish, B.; Shivakumara, P. A novel fuzzy clustering based system for medical image segmentation. Int. J. Comput. Intell. Stud. 2018, 7, 33–66. [Google Scholar] [CrossRef]
- Smith, S.M. Fast robust automated brain extraction. Hum. Brain Mapp. 2002, 17, 143–155. [Google Scholar] [CrossRef] [PubMed]
- Shattuck, D.W.; Sandor-Leahy, S.R.; Schaper, K.A.; Rottenberg, D.A.; Leahy, R.M. Magnetic resonance image tissue classification using a partial volume model. NeuroImage 2001, 13, 856–876. [Google Scholar] [CrossRef] [PubMed] [Green Version]
- Mikheev, A.; Nevsky, G.; Govindan, S.; Grossman, R.; Rusinek, H. Fully automatic segmentation of the brain from T1-weighted MRI using Bridge Burner algorithm. J. Magn. Reson. Imaging 2008, 27, 1235–1241. [Google Scholar] [CrossRef] [Green Version]
- Sadananthan, S.A.; Zheng, W.; Chee, M.W.; Zagorodnov, V. Skull stripping using graph cuts. NeuroImage 2010, 49, 225–239. [Google Scholar] [CrossRef]
- Iglesias, J.E.; Liu, C.Y.; Thompson, P.M.; Tu, Z. Robust brain extraction across datasets and comparison with publicly available methods. IEEE Trans. Med. Imaging 2011, 30, 1617–1634. [Google Scholar] [CrossRef]
- Dice, L.R. Measures of the amount of ecologic association between species. Ecology 1945, 26, 297–302. [Google Scholar] [CrossRef]
- Huttenlocher, D.P.; Klanderman, G.A.; Rucklidge, W.J. Comparing images using the Hausdorff distance. IEEE Trans. Pattern Anal. Mach. Intell. 1993, 15, 850–863. [Google Scholar] [CrossRef] [Green Version]
- Mendrik, A.M.; Vincken, K.L.; Kuijf, H.J.; Breeuwer, M.; Bouvy, W.H.; De Bresser, J.; Alansary, A.; De Bruijne, M.; Carass, A.; El-Baz, A.; et al. MRBrainS challenge: Online evaluation framework for brain image segmentation in 3T MRI scans. Comput. Intell. Neurosci. 2015, 2015, 1. [Google Scholar] [CrossRef] [PubMed] [Green Version]
- Woolrich, M.W.; Jbabdi, S.; Patenaude, B.; Chappell, M.; Makni, S.; Behrens, T.; Beckmann, C.; Jenkinson, M.; Smith, S.M. Bayesian analysis of neuroimaging data in FSL. Neuroimage 2009, 45, S173–S186. [Google Scholar] [CrossRef] [PubMed]
- Ashburner, J.; Barnes, G.; Chen, C.; Daunizeau, J.; Flandin, G.; Friston, K.; Kiebel, S.; Kilner, J.; Litvak, V.; Moran, R. SPM8 Manual; Wellcome Trust Centre for Neuroimaging Institute of Neurology; UCL: London, UK, 2012. [Google Scholar]
- Dale, A.M.; Fischl, B.; Sereno, M.I. Cortical surface-based analysis: I. Segmentation and surface reconstruction. Neuroimage 1999, 9, 179–194. [Google Scholar] [CrossRef] [PubMed]
- Tohka, J. FAST-PVE: Extremely fast Markov random field based brain MRI tissue classification. In Proceedings of the Scandinavian Conference on Image Analysis, Espoo, Finland, 17–20 June 2013; Springer: Berlin, Germany, 2013; pp. 266–276. [Google Scholar]
- Valverde, S.; Oliver, A.; Roura, E.; González-Villà, S.; Pareto, D.; Vilanova, J.C.; Ramio-Torrenta, L.; Rovira, A.; Llado, X. Automated tissue segmentation of MR brain images in the presence of white matter lesions. Med. Image Anal. 2017, 35, 446–457. [Google Scholar] [CrossRef]
- Pham, D.L.; Prince, J.L. Adaptive fuzzy segmentation of magnetic resonance images. IEEE Trans. Med. Imaging 1999, 18, 737–752. [Google Scholar] [CrossRef]
- Pham, D.L. Spatial models for fuzzy clustering. Comput. Vis. Image Underst. 2001, 84, 285–297. [Google Scholar] [CrossRef] [Green Version]
- Pham, D.L. Robust fuzzy segmentation of magnetic resonance images. In Proceedings of the 14th IEEE Symposium on Computer-Based Medical Systems (CBMS), Bethesda, ML, USA, 26–27 July 2001; pp. 127–131. [Google Scholar]
- Ashburner, J.; Friston, K.J. Unified segmentation. Neuroimage 2005, 26, 839–851. [Google Scholar] [CrossRef]
- Tohka, J.; Krestyannikov, E.; Dinov, I.D.; Graham, A.M.; Shattuck, D.W.; Ruotsalainen, U.; Toga, A.W. Genetic algorithms for finite mixture model based voxel classification in neuroimaging. IEEE Trans. Med. Imaging 2007, 26, 696–711. [Google Scholar] [CrossRef] [Green Version]
- Tian, D.; Fan, L. A brain MR images segmentation method based on SOM neural network. In Proceedings of the the 1st IEEE International Conference on Bioinformatics and Biomedical Engineering (ICBBE), Wuhan, China, 6–8 July 2007; pp. 686–689. [Google Scholar]
- De Boer, R.; Vrooman, H.A.; Van Der Lijn, F.; Vernooij, M.W.; Ikram, M.A.; Van Der Lugt, A.; Breteler, M.M.; Niessen, W.J. White matter lesion extension to automatic brain tissue segmentation on MRI. Neuroimage 2009, 45, 1151–1161. [Google Scholar] [CrossRef]
- Shattuc, D.; Leahy, R. BrainSuite: An automated cortical surface identification tool. Med. Image Anal. 2002, 6, 129–142. [Google Scholar] [CrossRef]
- Tohka, J.; Dinov, I.D.; Shattuck, D.W.; Toga, A.W. Brain MRI tissue classification based on local Markov random fields. Magn. Reson. Imaging 2010, 28, 557–573. [Google Scholar] [CrossRef] [PubMed] [Green Version]
- Ortiz, A.; Gorriz, J.; Ramirez, J.; Salas-Gonzalez, D.; Llamas-Elvira, J.M. Two fully-unsupervised methods for MR brain image segmentation using SOM-based strategies. Appl. Soft Comput. 2013, 13, 2668–2682. [Google Scholar] [CrossRef]
- Pereira, S.; Pinto, A.; Oliveira, J.; Mendrik, A.M.; Correia, J.H.; Silva, C.A. Automatic brain tissue segmentation in MR images using Random Forests and Conditional Random Fields. J. Neurosci. Methods 2016, 270, 111–123. [Google Scholar] [CrossRef] [PubMed]
- Valverde, S.; Oliver, A.; Cabezas, M.; Roura, E.; Llado, X. Comparison of 10 brain tissue segmentation methods using revisited IBSR annotations. J. Magn. Reson. Imaging 2015, 41, 93–101. [Google Scholar] [CrossRef] [PubMed]
- Yi, Z.; Criminisi, A.; Shotton, J.; Blake, A. Discriminative, semantic segmentation of brain tissue in MR images. Med. Image Comput. Comput. Assist. Interv. 2009, 12, 558–565. [Google Scholar] [PubMed] [Green Version]
- Yaqub, M.; Javaid, M.K.; Cooper, C.; Noble, J.A. Investigation of the role of feature selection and weighted voting in random forests for 3-D volumetric segmentation. IEEE Trans. Med. Imaging 2014, 33, 258–271. [Google Scholar] [CrossRef]
- Vigneshwaran, S.; Suresh, S.; Sundararajan, N.; Mahanand, B.S. Accurate detection of autism spectrum disorder from structural MRI using extended metacognitive radial basis function network. Expert Syst. Appl. 2015, 42, 8775–8790. [Google Scholar]
- Ashburner, J.; Friston, K.J. Voxel-Based Morphometry-The Methods. NeuroImage 2000, 11, 805–821. [Google Scholar] [CrossRef] [Green Version]


| Method | CSF | GM | WM | ||||||
|---|---|---|---|---|---|---|---|---|---|
| DC | HD | AVD | DC | HD | AVD | DC | HD | AVD | |
| HMRF-EM [8] | 61.47 | 7.17 | 12.51 | 79.65 | 5.14 | 4.11 | 83.82 | 5.09 | 3.33 |
| FAST-PVE [41] | 54.08 | 7.17 | 12.51 | 78.97 | 5.14 | 4.11 | 85.11 | 5.09 | 3.33 |
| FSL [38] | 79.72 ± 3.64 | 4.78 | 9.36 | 87.84 | 5.33 | 5.37 | 88.51 | 5.13 | 8.18 |
| SPM12 [39] | 80.46 | 6.71 | 20.77 | 89.52 | 3.91 | 3.67 | 88.11 | 4.54 | 2.7 |
| FreeSurfer [40] | 84.33 | 4.4 | 4.33 | 91.47 | 4.18 | 2.63 | 90.48 | 3.8 | 2.77 |
| MSSEG [42] | 89.95 | 4.18 | 4.71 | 91.24 | 4.31 | 2.87 | 89.58 | 4.39 | 2.91 |
| RSKFCM [28] | 90.06 | 4.06 | 4.31 | 92.31 | 4.21 | 2.31 | 90.51 | 4.31 | 2.81 |
| GSKFCM [29] | 91.23 | 4.08 | 4.28 | 92.51 | 4.13 | 2.11 | 90.62 | 4.28 | 2.71 |
| MIFCM_S [20] | 89.21 | 4.23 | 4.51 | 89.81 | 4.41 | 2.97 | 87.28 | 4.59 | 3.01 |
| MIFCM_Y [20] | 92.65 | 3.96 | 3.91 | 93.64 | 4.23 | 2.16 | 92.61 | 4.31 | 2.17 |
| Proposed Method (consensus clustering) | 93.64 | 3.16 | 3.85 | 94.71 | 4.01 | 2.06 | 93.17 | 4.26 | 2.07 |
| Method | GM | WM | CSF | |||
|---|---|---|---|---|---|---|
| mean | std | mean | std | mean | std | |
| R-FCM [43] | 65.00 | 0.05 | 75.00 | 0.05 | NA | NA |
| NL-FCM [43] | 72.00 | 0.05 | 74.00 | 0.05 | NA | NA |
| FCM [43] | 74.00 | 0.05 | 72.00 | 0.05 | NA | NA |
| HMRF-EM [8] | 74.60 | 0.04 | 89.60 | 0.02 | 12.60 | 0.05 |
| SFCM [44] | 70.60 | 0.06 | 86.60 | 0.03 | 16.60 | 0.07 |
| FANTASM [45] | 71.60 | 0.06 | 88.60 | 0.03 | 11.60 | 0.06 |
| PVC [31] | 70.60 | 0.08 | 83.60 | 0.07 | 13.60 | 0.06 |
| SPM5 [46] | 68.60 | 0.07 | 86.60 | 0.02 | 10.60 | 0.05 |
| GAMIXTURE [47] | 78.60 | 0.08 | 87.60 | 0.02 | 15.60 | 0.09 |
| ANN [48] | 70.60 | 0.07 | 87.60 | 0.03 | 11.60 | 0.06 |
| KNN [49] | 79.60 | 0.03 | 86.60 | 0.03 | 16.60 | 0.07 |
| BrainSuit09 [50] | 72.00 | 0.09 | 83.00 | 0.08 | NA | NA |
| SVPASEG [51] | 81.60 | 0.03 | 88.60 | 0.02 | 16.60 | 0.07 |
| SPM8 [39] | 81.60 | 0.02 | 88.60 | 0.01 | 17.60 | 0.08 |
| EGC-SOM [52] | 73.00 | 0.05 | 76.00 | 0.04 | NA | NA |
| HFS-SOM [52] | 60.00 | 0.09 | 60.00 | 0.08 | NA | NA |
| FAST-PVE [41] | 78.00 | 0.08 | 86.00 | 0.04 | NA | NA |
| FAST-PVE(S-ICM) [41] | 78.00 | 0.08 | 86.00 | 0.04 | NA | NA |
| RF-CRF [53] | 96.10 | 0.01 | 92.00 | 0.02 | 92.00 | 0.03 |
| RF-CRF1 [53] | 94.00 | 0.01 | 89.00 | 0.02 | 88.00 | 0.03 |
| FSL [38] | 78.13 | 0.04 | 85.94 | 0.13 | 75.02 | 0.04 |
| FreeSurfer [40] | 79.62 | 0.06 | 86.17 | 0.12 | 76.42 | 0.06 |
| SPM12 [39] | 82.30 | 0.04 | 89.82 | 0.02 | 78.62 | 0.14 |
| RSKFCM [28] | 96.68 | 0.09 | 93.55 | 0.10 | 93.41 | 0.08 |
| GSKFCM [29] | 96.72 | 0.03 | 93.58 | 0.02 | 93.43 | 0.02 |
| MIFCM_S [20] | 96.74 | 0.41 | 93.62 | 0.43 | 93.86 | 0.71 |
| MIFCM_Y [20] | 96.82 | 0.15 | 93.64 | 0.15 | 94.02 | 0.15 |
| Proposed Method (consensus clustering) | 97.31 | 0.01 | 94.50 | 0.04 | 95.68 | 0.02 |
| Method | Accuracy | Precision | Recall |
|---|---|---|---|
| K-Means | 52.28 2.35 | 0.5310.098 | 0.5420.077 |
| FCM | 52.362.05 | 0.5340.081 | 0.5460.079 |
| RSKFCM [28] | 54.061.21 | 0.5480.074 | 0.5560.068 |
| GSKFCM [29] | 54.611.61 | 0.5500.061 | 0.5570.073 |
| MIFCM_S [20] | 55.081.34 | 0.5510.067 | 0.5590.085 |
| MIFCM_Y [20] | 55.181.27 | 0.5560.058 | 0.560 0.054 |
| Proposed Method (consensus clustering) | 56.841.09 | 0.5650.047 | 0.570 0.049 |
Publisher’s Note: MDPI stays neutral with regard to jurisdictional claims in published maps and institutional affiliations. |
© 2022 by the authors. Licensee MDPI, Basel, Switzerland. This article is an open access article distributed under the terms and conditions of the Creative Commons Attribution (CC BY) license (https://creativecommons.org/licenses/by/4.0/).
Share and Cite
Aruna Kumar, S.V.; Yaghoubi, E.; Proença, H. A Fuzzy Consensus Clustering Algorithm for MRI Brain Tissue Segmentation. Appl. Sci. 2022, 12, 7385. https://doi.org/10.3390/app12157385
Aruna Kumar SV, Yaghoubi E, Proença H. A Fuzzy Consensus Clustering Algorithm for MRI Brain Tissue Segmentation. Applied Sciences. 2022; 12(15):7385. https://doi.org/10.3390/app12157385
Chicago/Turabian StyleAruna Kumar, S. V., Ehsan Yaghoubi, and Hugo Proença. 2022. "A Fuzzy Consensus Clustering Algorithm for MRI Brain Tissue Segmentation" Applied Sciences 12, no. 15: 7385. https://doi.org/10.3390/app12157385
APA StyleAruna Kumar, S. V., Yaghoubi, E., & Proença, H. (2022). A Fuzzy Consensus Clustering Algorithm for MRI Brain Tissue Segmentation. Applied Sciences, 12(15), 7385. https://doi.org/10.3390/app12157385

