First Report on the Phenotypic and Genotypic Susceptibility Profiles to Silver Nitrate in Bacterial Strains Isolated from Infected Leg Ulcers in Romanian Patients
Abstract
:1. Introduction
2. Results
2.1. Qualitative Screening of the Spectrum of Sensitivity of Different Microbial Strains to Silver-Nitrate Solution
2.2. Quantitative Testing of Antiseptic Efficacy of Binary Concentrations of Silver-Nitrate Solution
2.3. Anti-Biofilm-Activity Assay of the Silver-Nitrate Solution
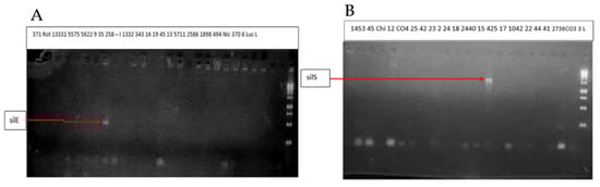
2.4. Study of the Genetic Determinants of Resistance to Silver Ions
3. Discussion
4. Materials and Methods
4.1. Chronic Leg Wound Bacterial Strains Collection
4.2. Qualitative Screening of the Spectrum of Sensitivity of Different Microbial Strains to Antiseptic Substances by the Adapted Version of the Diffusion Method
4.3. Quantitative Assay of the Antimicrobial Activity of Silver-Nitrate Solution on Planktonic Cultures
4.4. Quantitative Assay of the Antimicrobial Activity of Silver-Nitrate Solution on Biofilms Developed on Plastic Wells
4.5. Genotypic Highlighting of Silver Ion Resistance Markers in Isolated Strains
5. Conclusions
Author Contributions
Funding
Institutional Review Board Statement
Informed Consent Statement
Conflicts of Interest
References
- Agale, S.V. Chronic Leg Ulcers: Epidemiology, Aetiopathogenesis, and Management. Ulcers 2013, 2013, 413604. [Google Scholar] [CrossRef] [Green Version]
- Gianfaldoni, S.; Wollina, U.; Lotti, J.; Gianfaldoni, R.; Lotti, T.; Roccia, M.G. History of venous leg ulcers. J. Biol. Regul. Homeost. Agents 2017, 31, 107–120. [Google Scholar] [PubMed]
- Popa, R.F.; Cazan, I.; Baroi, G.; Cazan, S.; Lefter, G.; Strobescu, C. Venous ulcer-a new therapeutic approach. Rev. Med. Chir. Soc. Med. Nat. Iasi 2016, 120, 306–310. [Google Scholar]
- Feodor, T.; Baila, S.; Mitea, I.-A.; Branisteanu, D.-E.; Vittos, O. Epidemiology and clinical characteristics of chronic venous disease in Romania. Exp. Ther. Med. 2018, 17, 1097–1105. [Google Scholar] [CrossRef]
- Shai, A.; Maibach, H.I. Wound Healing and Ulcers of the Skin, Diagnosis and Therapy—The Practical Approach. In Natural Course of Wound Repair vs. Impaired Healing in Chronic Skin Ulcers; Springer: Berlin/Heidelberg, Germany, 2005; p. 270. ISBN 978-3-540-26761-4. [Google Scholar]
- Demidova-Rice, T.N.; Hamblin, M.R.; Herman, I.M. Acute and Impaired Wound Healing: Pathophysiology and current methods for drug delivery, part 1: Normal and chronic wounds: Biology, causes, and approaches to care. Adv. Skin Wound Care 2012, 25, 304–314. [Google Scholar] [CrossRef] [Green Version]
- Robson, M.C. Pathophysiology of Chronic Wounds. In Surgery in Wounds; Téot, L., Banwell, P.E., Ziegler, U.E., Eds.; Springer: Berlin/Heidelberg, Germany, 2004; pp. 29–40. ISBN 978-3-642-59307-9. [Google Scholar]
- Huang, C.; Wang, R.; Yan, Z. Silver dressing in the treatment of diabetic foot: A protocol for systematic review and meta-analysis. Medicine 2021, 100, e24876. [Google Scholar] [CrossRef]
- Mihai, M.M.; Holban, A.M.; Giurcăneanu, C.; Popa, L.G.; Buzea, M.; Filipov, M.; Lazăr, V.; Chifiriuc, M.C.; Popa, M.I. Identification and phenotypic characterization of the most frequent bacterial etiologies in chronic skin ulcers. Rom. J. Morphol. Embryol. 2014, 55, 1401–1408. [Google Scholar]
- Lansdown, A.B.G. A review of the use of silver in wound care: Facts and fallacies. Br. J. Nurs. 2004, 13, S6–S19. [Google Scholar] [CrossRef]
- Percival, S.; Bowler, P.; Russell, D. Bacterial resistance to silver in wound care. J. Hosp. Infect. 2005, 60, 1–7. [Google Scholar] [CrossRef]
- Lansdown, A. Silver I: Its antibacterial properties and mechanism of action. J. Wound Care 2002, 11, 125–130. [Google Scholar] [CrossRef]
- Yonathan, K.; Mann, R.; Mahbub, K.R.; Gunawan, C. The impact of silver nanoparticles on microbial communities and antibiotic resistance determinants in the environment. Environ. Pollut. 2021, 293, 118506. [Google Scholar] [CrossRef] [PubMed]
- Salomoni, R.; Léo, P.; Montemor, A.; Rinaldi, B.; Rodrigues, M. Antibacterial effect of silver nanoparticles in Pseudomonas aeruginosa. Nanotechnol. Sci. Appl. 2017, 10, 115–121. [Google Scholar] [CrossRef] [PubMed] [Green Version]
- Romero-Urbina, D.G.; Lara, H.H.; Velázquez-Salazar, J.J.; Arellano-Jiménez, M.J.; Larios, E.; Srinivasan, A.; Lopez-Ribot, J.; Yacamán, M.J. Ultrastructural changes in methicillin-resistant Staphylococcus aureus induced by positively charged silver nanoparticles. J. Nanotechnol. 2015, 6, 2396–2405. [Google Scholar] [CrossRef] [PubMed] [Green Version]
- Vimbela, G.V.; Ngo, S.M.; Fraze, C.; Yang, L.; Stout, D.A. Antibacterial properties and toxicity from metallic nanomaterials. Int. J. Nanomed. 2017, 12, 3941–3965. [Google Scholar] [CrossRef] [Green Version]
- Franci, G.; Falanga, A.; Galdiero, S.; Palomba, L.; Rai, M.; Morelli, G.; Galdiero, M. Silver Nanoparticles as Potential Antibacterial Agents. Molecules 2015, 20, 8856–8874. [Google Scholar] [CrossRef] [Green Version]
- Lansdown, A.B.G. A Pharmacological and Toxicological Profile of Silver as an Antimicrobial Agent in Medical Devices. Adv. Pharmacol. Sci. 2010, 2010, 910686. [Google Scholar] [CrossRef] [Green Version]
- Wilkinson, L.J.; White, R.J.; Chipman, J.K. Silver and nanoparticles of silver in wound dressings: A review of efficacy and safety. J. Wound Care 2011, 20, 543–549. [Google Scholar] [CrossRef]
- Walker, M.; Bowler, P.G.; Cochrane, C.A. In vitro studies to show sequestration of matrix metalloproteinases by sil-ver-containing wound care products. Ostomy Wound Manag. 2007, 53, 18–25. [Google Scholar]
- Khansa, I.; Schoenbrunner, A.R.; Kraft, C.T.; Janis, J.E. Silver in Wound Care-Friend or Foe?: A Comprehensive Review. Plastic Reconstr. Surg. Glob. Open 2019, 7, e2390. [Google Scholar] [CrossRef]
- Vowden, P.; Vowden, K.; Carville, K. Antimicrobial Dressings Made Easy. Wounds Int. 2011, 2. Available online: http://www.woundsinternational.com (accessed on 10 January 2022).
- Lim, J.Z.M.; Ng, N.S.L.; Thomas, C. Prevention and treatment of diabetic foot ulcers. J. R. Soc. Med. 2017, 110, 104–109. [Google Scholar] [CrossRef] [PubMed] [Green Version]
- Volmer-Thole, M.; Lobmann, R. Neuropathy and Diabetic Foot Syndrome. Int. J. Mol. Sci. 2016, 17, 917. [Google Scholar] [CrossRef] [PubMed] [Green Version]
- García-Álvarez, Y.; Lázaro-Martínez, J.L.; Molines-Barroso, R.J. Reflections on the effects of nitric oxide produced by a new dressing in the local management of diabetic foot ulcers. Ann. Transl. Med. 2018, 6, S101. [Google Scholar] [CrossRef] [PubMed]
- Pn, V.-C.; Pp, P.; Ljm, T.; Ah, T. Comparison of WIFi, University of Texas and Wagner Classification Systems as Major Amputation Predictors for Admitted Diabetic Foot Patients: A Prospective Cohort Study. Malays. Orthop. J. 2020, 14, 114–123. [Google Scholar] [CrossRef]
- Reardon, R.; Simring, D.; Kim, B.; Mortensen, J.; Williams, D.; Leslie, A. The diabetic foot ulcer. Aust. J. Gen. Pract. 2020, 49, 250–255. [Google Scholar] [CrossRef]
- Lin, H.; BoLatai, A.; Wu, N. Application Progress of Nano Silver Dressing in the Treatment of Diabetic Foot. Diabetes Metab. Syndr. Obesity Targets Ther. 2021, 14, 4145–4154. [Google Scholar] [CrossRef]
- Bowers, S.; Franco, E. Chronic Wounds: Evaluation and Management. Am. Fam. Physician. 2020, 101, 159–166. [Google Scholar]
- Atkin, L. Chronic wounds: The challenges of appropriate management. Br. J. Community Nurs. 2019, 24, S26–S32. [Google Scholar] [CrossRef]
- Muangman, P.; Pundee, C.; Opasanon, S.; Muangman, S. A prospective, randomized trial of silver containing hydrofiber dressing versus 1% silver sulfadiazine for the treatment of partial thickness burns. Int. Wound J. 2010, 7, 271–276. [Google Scholar] [CrossRef]
- Koyuncu, A.; Karadağ, H.; Kurt, A.; Atilla, K.; Cengiz, A.; Omer, T. Silver-impregnated dressings reduce wound closure time in marsupialized pilonidal sinus. EWMA J. 2010, 10, 25–27. [Google Scholar]
- Saba, S.C.; Tsai, R.; Glat, P. Clinical Evaluation Comparing the Efficacy of Aquacel® Ag Hydrofiber® Dressing Versus Petrolatum Gauze With Antibiotic Ointment in Partial-Thickness Burns in a Pediatric Burn Center. J. Burn Care Res. 2009, 30, 380–385. [Google Scholar] [CrossRef] [PubMed]
- Paddock, H.N.; Fabia, R.; Giles, S.; Hayes, J.; Lowell, W.; Adams, D.; Besner, G.E. A silver-impregnated antimicrobial dressing reduces hospital costs for pediatric burn patients. J. Pediatr. Surg. 2007, 42, 211–213. [Google Scholar] [CrossRef] [PubMed]
- Caruso, D.M.; Foster, K.N.; Blome-Eberwein, S.A.; Twomey, J.A.; Herndon, D.N.; Luterman, A.; Silverstein, P.; Antimarino, J.R.; Bauer, G.J. Randomized Clinical Study of Hydrofiber Dressing With Silver or Silver Sulfadiazine in the Management of Partial-Thickness Burns. J. Burn Care Res. 2006, 27, 298–309. [Google Scholar] [CrossRef] [PubMed]
- Opasanon, S.; Muangman, P.; Namviriyachote, N. Clinical effectiveness of alginate silver dressing in outpatient management of partial-thickness burns. Int. Wound J. 2010, 7, 467–471. [Google Scholar] [CrossRef] [PubMed]
- Sütterlin, S.; Dahlö, M.; Tellgren-Roth, C.; Schaal, W.; Melhus, Å. High frequency of silver resistance genes in invasive isolates of Enterobacter and Klebsiella species. J. Hosp. Infect. 2017, 96, 256–261. [Google Scholar] [CrossRef] [PubMed]
- Shi, C.; Wang, C.; Liu, H.; Li, Q.; Li, R.; Zhang, Y.; Liu, Y.; Shao, Y.; Wang, J. Selection of Appropriate Wound Dressing for Various Wounds. Front. Bioeng. Biotechnol. 2020, 8, 182. [Google Scholar] [CrossRef] [Green Version]
- Zhang, K.; Li, Y.; He, J.; Xu, J.; Wan, Y.; Wan, S.; Wang, R.; Zeng, Q. Therapeutic Effect of Epidermal Growth Factor Combined With Nano Silver Dressing on Diabetic Foot Patients. Front. Pharmacol. 2021, 12, 627098. [Google Scholar] [CrossRef]
- Xu, D.; Chu, T.; Tao, G. Clinical Study on the Efficacy of Silver Ion Dressing Combined with Prontosan Gel Dressing in the Treatment of Diabetic Foot Ulcers and the Effect on Serum Inflammatory Factors. Evid.-Based Complement. Altern. Med. 2021, 2021, 2938625. [Google Scholar] [CrossRef]
- Wang, Y.-C.; Lee, H.-C.; Chen, C.-L.; Kuo, M.-C.; Ramachandran, S.; Chen, R.-F.; Kuo, Y.-R. The Effects of Silver-Releasing Foam Dressings on Diabetic Foot Ulcer Healing. J. Clin. Med. 2021, 10, 1495. [Google Scholar] [CrossRef]
- Hobman, J.L.; Crossman, L.C. Bacterial antimicrobial metal ion resistance. J. Med. Microbiol. 2015, 64 Pt 5, 471–497. [Google Scholar] [CrossRef]
- Hosny, A.E.-D.M.; Rasmy, S.A.; Aboul-Magd, D.S.; Kashef, M.T.; El-Bazza, Z.E. The increasing threat of silver-resistance in clinical isolates from wounds and burns. Infect. Drug Resist. 2019, 12, 1985–2001. [Google Scholar] [CrossRef] [PubMed] [Green Version]
- Randall, C.P.; Gupta, A.; Jackson, N.; Busse, D.; O’Neill, A.J. Silver resistance in Gram-negative bacteria: A dissection of endogenous and exogenous mechanisms. J. Antimicrob. Chemother. 2015, 70, 1037–1046. [Google Scholar] [CrossRef] [PubMed] [Green Version]
- Georgescu, M.; Gheorghe, I.; Curutiu, C.; Lazar, V.; Bleotu, C.; Chifiriuc, M.-C. Virulence and resistance features of Pseudomonas aeruginosa strains isolated from chronic leg ulcers. BMC Infect. Dis. 2016, 16, 3–9. [Google Scholar] [CrossRef] [PubMed] [Green Version]
- Georgescu, M. Infecțiile ulcerelor de gambă: Etiologie, profiluri de rezistență și virulență. Ph.D. Thesis, University of Bucharest, Bucharest, Romania, 2018. (Unpublished doctoral dis-sertation thesis). [Google Scholar]
- Sütterlin, S.; Tano, E.; Bergsten, A.; Tallberg, A.; Melhus, H. Effects of Silver-based Wound Dressings on the Bacterial Flora in Chronic Leg Ulcers and Its Susceptibility In Vitro to Silver. Acta Derm. Venereol. 2012, 92, 34–39. [Google Scholar] [CrossRef] [PubMed] [Green Version]
- Finley, P.J.; Norton, R.; Austin, C.; Mitchell, A.; Zank, S.; Durham, P. Unprecedented Silver Resistance in Clinically Isolated Enterobacteriaceae: Major Implications for Burn and Wound Management. Antimicrob. Agents Chemother. 2015, 59, 4734–4741. [Google Scholar] [CrossRef] [PubMed] [Green Version]
- Woods, E.; Cochrane, C.; Percival, S. Prevalence of silver resistance genes in bacteria isolated from human and horse wounds. Veter Microbiol. 2009, 138, 325–329. [Google Scholar] [CrossRef] [Green Version]









| Gene | Primers | Primer Sequences | Bp No. |
|---|---|---|---|
| silE | silE-F silE-R | 5′-GTACTCCCCCGGACATCACTAATT-3′ 5′-GGCCAGACTGACCGTTATT-3′ | 400 |
| silP | silP-F silP-R | 5′-CATGACATATCCTGAAGACAGAAAATGC-3′ 5′-CGGGCAGACCAGCAATAACAGATA-3′ | 24 |
| silS | silS-F silS-R | 5′-GGAGATCCCGGATGCATAGCAA-3′ 5′-GTTTGCTGCATGACAGGCTAAAGACATC-3′ | 1500 |
| silRS | silRS-F silRS-R | 5′-GGCAATCGCAATCAGATTTT-3′ 5′-GTGGAGGATACTGCGAGAGC-3′ | 125 |
| silCBA | silCBA-F silCBA-R | 5′-CGGGAAACGCTGAAAAATTA-3 5′-GTACGTTCCCAGCACCAGTT-3′ | 600 |
| silF | silF-F silF-R | 5′-CGATATGAATGCTGCCAGTG-3′ 5′-ATTGCCCTGCTGAATAAACG-3′ | 20 |
| silB | silB-F silB-R | 5′-CAAAGAACAGCGCGTGATTA-3′ 5′-GCTCAGACATTGCTGGCATA-3′ | 300 |
| silA | silA-F silA-R | 5′-CTTGAGCATGCCAACAAGAA-3′ 5′-CCTGCCAGTACAGGAACCAT-3′ | 20 |
| Gene/Genes | Concentration | ||||
|---|---|---|---|---|---|
| Primer | Mix | Water | DNA | Final Volume | |
| silE, silS, silP | 0.5 µM | 10 µL | 6 µL | 1 µL | 20 µL |
| silB | 0.5 µM | 10 µL | 8 µL | 1 µL | 20 µL |
| silE, sil RS silA, silP | 0.5 µM | 10 µL | 7 µL | 1 µL | 20 µL |
| silCBA, silF | 0.5 µM | 10 µL | 7 µL | 1 µL | 20 µL |
Publisher’s Note: MDPI stays neutral with regard to jurisdictional claims in published maps and institutional affiliations. |
© 2022 by the authors. Licensee MDPI, Basel, Switzerland. This article is an open access article distributed under the terms and conditions of the Creative Commons Attribution (CC BY) license (https://creativecommons.org/licenses/by/4.0/).
Share and Cite
Georgescu, M.; Vrancianu, C.O.; Popa, M.; Gheorghe, I.; Chifiriuc, M.C. First Report on the Phenotypic and Genotypic Susceptibility Profiles to Silver Nitrate in Bacterial Strains Isolated from Infected Leg Ulcers in Romanian Patients. Appl. Sci. 2022, 12, 4801. https://doi.org/10.3390/app12104801
Georgescu M, Vrancianu CO, Popa M, Gheorghe I, Chifiriuc MC. First Report on the Phenotypic and Genotypic Susceptibility Profiles to Silver Nitrate in Bacterial Strains Isolated from Infected Leg Ulcers in Romanian Patients. Applied Sciences. 2022; 12(10):4801. https://doi.org/10.3390/app12104801
Chicago/Turabian StyleGeorgescu, Mihaela, Corneliu Ovidiu Vrancianu, Marcela Popa, Irina Gheorghe, and Mariana Carmen Chifiriuc. 2022. "First Report on the Phenotypic and Genotypic Susceptibility Profiles to Silver Nitrate in Bacterial Strains Isolated from Infected Leg Ulcers in Romanian Patients" Applied Sciences 12, no. 10: 4801. https://doi.org/10.3390/app12104801
APA StyleGeorgescu, M., Vrancianu, C. O., Popa, M., Gheorghe, I., & Chifiriuc, M. C. (2022). First Report on the Phenotypic and Genotypic Susceptibility Profiles to Silver Nitrate in Bacterial Strains Isolated from Infected Leg Ulcers in Romanian Patients. Applied Sciences, 12(10), 4801. https://doi.org/10.3390/app12104801

