The Usefulness of Modified Mallampati Score and CT Upper Airway Volume Measurements in Diagnosing OSA among Patients with Breathing-Related Sleep Disorders
Abstract
1. Introduction
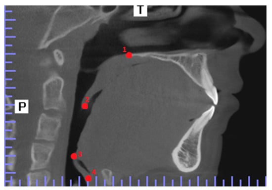
2. Materials and Methods
- Class I soft palate and uvula fully visible;
- Class II soft palate and major part of uvula visible;
- Class III soft palate and base of uvula visible;
- Class IV soft palate not visible.
3. Results
4. Discussion
5. Considerations and limitations of the study
6. Conclusions
Author Contributions
Funding
Institutional Review Board Statement
Informed Consent Statement
Data Availability Statement
Conflicts of Interest
Abbreviations
| CBCT | Cone Beam Computed Tomography |
| CPAP | constant positive airway pressure |
| HS | Habitual snoring |
| MMP | Modified Mallampati |
| OSA | obstructive sleep apnea |
| UARS | upper airway resistance syndrome |
| UAV | upper airway volume |
| WHR | waist-hip ratio |
References
- Tsara, V.; Amfilochiou, A.; Papagrigorakis, J.M.; Georgopoulos, D.; Liolios, E.; Kadiths, A.; Koudoumnakis, E.; Aulonitou, E.; Emporiadou, M.; Tsakanikos, M.; et al. Guidelines for diagnosing and treating sleep related breathing disorders in adults and children (Part 3: Obstructive sleep apnea in children, diagnosis and treatment). Hippokratia 2010, 14, 57–62. [Google Scholar] [PubMed]
- Young, T.; Palta, M.; Dempsey, J.; Skatrud, J.; Weber, S.; Badr, S. The Occurrence of Sleep-Disordered Breathing among Middle-Aged Adults. N. Engl. J. Med. 1993, 328, 1230–1235. [Google Scholar] [CrossRef] [PubMed]
- Eckert, D.J.; Malhotra, A. Pathophysiology of adult obstructive sleep apnea. Proc. Am. Thorac. Soc. 2008, 5, 144–153. [Google Scholar] [CrossRef]
- Patil, S.P.; Schneider, H.; Schwartz, A.R.; Smith, P.L. Adult obstructive sleep apnea: Pathophysiology and diagnosis. Chest 2007, 132, 325–337. [Google Scholar] [CrossRef]
- Osman, A.M.; Carter, S.G.; Carberry, J.C.; Eckert, D.J. Obstructive sleep apnea: Current perspectives. Nat. Sci. Sleep 2018, 10, 21–34. [Google Scholar] [CrossRef]
- Bady, E.; Achkar, A.; Pascal, S.; Orvoen-Frija, E.; Laaban, J.P. Pulmonary arterial hypertension in patients with sleep apnoea syndrome. Thorax 2000, 55, 934–939. [Google Scholar] [CrossRef]
- Chaouat, A.; Weitzenblum, E.; Krieger, J.; Ifoundza, T.; Oswald, M.; Kessler, R. Association of chronic obstructive pulmonary disease and sleep apnea syndrome. Am. J. Respir. Crit. Care Med. 1995, 151, 82–86. [Google Scholar] [CrossRef]
- Bradley, T.D.; Rutherford, R.; Grossman, R.F.; Lue, F.; Zamel, N.; Moldofsky, H.; Phillipson, E.A. Role of daytime hypoxemia in the pathogenesis of right heart failure in the obstructive sleep apnea syndrome. Am. Rev. Respir. Dis. 1985, 131, 835–839. [Google Scholar] [CrossRef]
- Sanner, B.M. Pulmonary Hypertension in Patients With Obstructive Sleep Apnea Syndrome. Arch. Intern. Med. 1997, 157, 2483. [Google Scholar] [CrossRef] [PubMed]
- Sajkov, D.; Cowie, R.J.; Thornton, A.T.; Espinoza, H.A.; McEvoy, R.D. Pulmonary hypertension and hypoxemia in obstructive sleep apnea syndrome. Am. J. Respir. Crit. Care Med. 1994, 149, 416–422. [Google Scholar] [CrossRef]
- Krieger, J.; Sforza, E.; Apprill, M.; Lampert, E.; Weitzenblum, E.; Ratomaharo, J. Pulmonary hypertension, hypoxemia, and hypercapnia in obstructive sleep apnea patients. Chest 1989, 96, 729–737. [Google Scholar] [CrossRef] [PubMed]
- Senaratna, C.V.; Perret, J.L.; Lodge, C.J.; Lowe, A.J.; Campbell, B.E.; Matheson, M.C.; Hamilton, G.S.; Dharmage, S.C. Prevalence of obstructive sleep apnea in the general population: A systematic review. Sleep Med. Rev. 2017, 34, 70–81. [Google Scholar] [CrossRef] [PubMed]
- Garvey, J.F.; Pengo, M.F.; Drakatos, P.; Kent, B.D. Epidemiological aspects of obstructive sleep apnea. J. Thorac. Dis. 2015, 7, 920–929. [Google Scholar] [PubMed]
- Punjabi, N.M. The epidemiology of adult obstructive sleep apnea. Proc. Am. Thorac. Soc. 2008, 5, 136–143. [Google Scholar] [CrossRef]
- Peppard, P.E.; Young, T.; Barnet, J.H.; Palta, M.; Hagen, E.W.; Hla, K.M. Increased prevalence of sleep-disordered breathing in adults. Am. J. Epidemiol. 2013, 177, 1006–1014. [Google Scholar] [CrossRef] [PubMed]
- Bibbins-Domingo, K.; Grossman, D.C.; Curry, S.J.; Davidson, K.W.; Epling, J.W.; Garcia, F.A.R.; Herzstein, J.; Kemper, A.R.; Krist, A.H.; Kurth, A.E.; et al. Screening for obstructive sleep apnea in adults us preventive services task force recommendation statement. JAMA—J. Am. Med. Assoc. 2017, 317, 407–414. [Google Scholar]
- Lorenzi-Filho, G.; Genta, P.R.; Drager, L.F. Are we missing obstructive sleep apnea diagnosis? Rev. Port. Pneumol. (Engl. Ed.) 2017, 23, 55–56. [Google Scholar] [CrossRef] [PubMed]
- Jun, J.C.; Chopra, S.; Schwartz, A.R. Sleep apnoea. Eur. Respir. Rev. 2016, 25, 12–18. [Google Scholar] [CrossRef]
- Michalek-Zrabkowska, M.; Wieckiewicz, M.; Macek, P.; Gac, P.; Smardz, J.; Wojakowska, A.; Poreba, R.; Mazur, G.; Martynowicz, H. The Relationship between Simple Snoring and Sleep Bruxism: A Polysomnographic Study. Int. J. Environ. Res. Public Health 2020, 17, 8960. [Google Scholar] [CrossRef]
- Thurtell, M.J.; Bruce, B.B.; Rye, D.B.; Newman, N.J.; Biousse, V. The Berlin questionnaire screens for obstructive sleep apnea in idiopathic intracranial hypertension. J. Neuro-Ophthalmol. 2011, 31, 316–319. [Google Scholar] [CrossRef]
- Huang, H.H.; Lee, M.S.; Shih, Y.L.; Chu, H.C.; Huang, T.Y.; Hsieh, T.Y. Modified mallampati classification as a clinical predictor of peroral esophagogastroduodenoscopy tolerance. BMC Gastroenterol. 2011, 11. [Google Scholar] [CrossRef]
- Gurani, S.F.; Cattaneo, P.M.; Rafaelsen, S.R.; Pedersen, M.R.; Thorn, J.J.; Pinholt, E.M. The effect of altered head and tongue posture on upper airway volume based on a validated upper airway analysis—An MRI pilot study. Orthod. Craniofacial. Res. 2020, 23, 102–109. [Google Scholar] [CrossRef] [PubMed]
- Zhang, C.; Bruggink, R.; Baan, F.; Bronkhorst, E.; Maal, T.; He, H.; Ongkosuwito, E.M. A new segmentation algorithm for measuring CBCT images of nasal airway: A pilot study. PeerJ 2019, 2019. [Google Scholar] [CrossRef]
- Enciso, R.; Nguyen, M.; Shigeta, Y.; Ogawa, T.; Clark, G.T. Comparison of cone-beam CT parameters and sleep questionnaires in sleep apnea patients and control subjects. Oral Surg. Oral Med. Oral Pathol. Oral Radiol. Endodontol. 2010, 109, 285–293. [Google Scholar] [CrossRef] [PubMed]
- Nuckton, T.J.; Glidden, D.V.; Browner, W.S.; Claman, D.M. Physical examination: Mallampati score as an independent predictor of obstructive sleep apnea. Sleep 2006, 29, 903–908. [Google Scholar] [CrossRef]
- Li, Y.; Lin, N.; Ye, J.; Chang, Q.; Han, D.; Sperry, A. Upper airway fat tissue distribution in subjects with obstructive sleep apnea and its effect on retropalatal mechanical loads. Respir. Care 2012, 57, 1098–1105. [Google Scholar] [CrossRef] [PubMed]
- Ringhofer, C.; Lenglinger, J.; Riegler, M.; Kristo, I.; Kainz, A.; Schoppmann, S.F. Waist to hip ratio is a better predictor of esophageal acid exposure than body mass index. Neurogastroenterol. Motil. 2017, 29. [Google Scholar] [CrossRef]
- Zimmerman, J.N.; Lee, J.; Pliska, B.T. Reliability of upper pharyngeal airway assessment using dental CBCT: A systematic review. Eur. J. Orthod. 2017, 39, 489–496. [Google Scholar] [CrossRef]
- Mouhanna-Fattal, C.; Papadopoulos, M.; Bouserhal, J.; Tauk, A.; Bassil-Nassif, N.; Athanasiou, A. Evaluation of upper airway volume and craniofacial volumetric structures in obstructive sleep apnoea adults: A descriptive CBCT study. Int. Orthod. 2019, 17. [Google Scholar] [CrossRef]
- Barrera, J.E.; Pau, C.Y.; Forest, V.-I.; Holbrook, A.B.; Popelka, G.R. Anatomic measures of upper airway structures in obstructive sleep apnea. World J. Otorhinolaryngol.—Head Neck Surg. 2017, 3, 85–91. [Google Scholar] [CrossRef]
- Buchanan, A.; Cohen, R.; Looney, S.; Kalathingal, S.; De Rossi, S. Cone-beam CT analysis of patients with obstructive sleep apnea compared to normal controls. Imaging Sci. Dent. 2016, 46, 9–16. [Google Scholar] [CrossRef] [PubMed][Green Version]
- Chiu, H.Y.; Chen, P.Y.; Chuang, L.P.; Chen, N.H.; Tu, Y.K.; Hsieh, Y.J.; Wang, Y.C.; Guilleminault, C. Diagnostic accuracy of the Berlin questionnaire, STOP-BANG, STOP, and Epworth sleepiness scale in detecting obstructive sleep apnea: A bivariate meta-analysis. Sleep Med. Rev. 2017, 36, 57–70. [Google Scholar] [CrossRef] [PubMed]
- Yucel, A.; Unlu, M.; Haktanir, A.; Acar, M.; Fidan, F. Evaluation of the upper airway cross-sectional area changes in different degrees of severity of obstructive sleep apnea syndrome: Cephalometric and dynamic CT study. Am. J. Neuroradiol. 2005, 26, 2624–2629. [Google Scholar] [PubMed]
- Parsi, G.K.; Alsulaiman, A.A.; Kotak, B.; Mehra, P.; Will, L.A.; Motro, M. Volumetric changes of the upper airway following maxillary and mandibular advancement using cone beam computed tomography. Int. J. Oral Maxillofac. Surg. 2019, 48, 203–210. [Google Scholar] [CrossRef]
- Mattos, C.T.; Cruz, C.V.; Da Matta, T.C.S.; Pereira, L.D.A.; Solon-De-Mello, P.D.A.; Ruellas, A.C.D.O.; Sant’Anna, E.F. Reliability of upper airway linear, area, and volumetric measurements in cone-beam computed tomography. Am. J. Orthod. Dentofac. Orthop. 2014, 145, 188–197. [Google Scholar] [CrossRef]
- Chaudhry, U.; Cohen, J.R.; Al-Samawi, Y. Use of cone beam computed tomography imaging for airway measurement to predict obstructive sleep apnea. Cranio 2020, 1–7. [Google Scholar] [CrossRef]





| Yes (n = 69) | No (n = 47) | Do Not Know (n = 13) | p | |
|---|---|---|---|---|
| BMI | 26.14 ± 4.03 | 23.75 ± 3.87 | 22.76 ± 3.71 | <0.001 |
| SpO2 | 98 (97–98) | 99 (98–99) | 98 (97–99) | <0.001 |
| HR | 74 (68–80) | 68 (64–77) | 69 (63–74) | 0.004 |
| MMP | 3 (3–4) | 1 (1–2) | 2 (2–2) | <0.001 |
| UAV | 13,241.4 (10,862.7–16,947.3) | 17,627.4 (12,650.3–22,572.5) | 17,174.5 (14,839.0–20,483.7) | <0.001 |
| Parameter | OR | p |
|---|---|---|
| Age | 1.004 (0.978–1.031) | 0.76 |
| Gender | 1.687 (0.729–3.904) | 0.22 |
| BMI | 1.172 (1.055–1.301) | 0.0031 |
| MMP | 7.486 (3.863–14.507) | <0.001 |
| UAV | 0.998 (0.997–0.999) | <0.001 |
| Parameter | Males | Females | p |
|---|---|---|---|
| Age | 45.37 ± 17.41 | 43.78 ± 12.89 | >0.05 |
| BMI | 26.08 ± 3.43 | 24.58 ± 4.27 | >0.05 |
Publisher’s Note: MDPI stays neutral with regard to jurisdictional claims in published maps and institutional affiliations. |
© 2021 by the authors. Licensee MDPI, Basel, Switzerland. This article is an open access article distributed under the terms and conditions of the Creative Commons Attribution (CC BY) license (https://creativecommons.org/licenses/by/4.0/).
Share and Cite
Dalewski, B.; Kamińska, A.; Syrico, A.; Kałdunska, A.; Pałka, Ł.; Sobolewska, E. The Usefulness of Modified Mallampati Score and CT Upper Airway Volume Measurements in Diagnosing OSA among Patients with Breathing-Related Sleep Disorders. Appl. Sci. 2021, 11, 3764. https://doi.org/10.3390/app11093764
Dalewski B, Kamińska A, Syrico A, Kałdunska A, Pałka Ł, Sobolewska E. The Usefulness of Modified Mallampati Score and CT Upper Airway Volume Measurements in Diagnosing OSA among Patients with Breathing-Related Sleep Disorders. Applied Sciences. 2021; 11(9):3764. https://doi.org/10.3390/app11093764
Chicago/Turabian StyleDalewski, Bartosz, Agata Kamińska, Aleksandra Syrico, Alicja Kałdunska, Łukasz Pałka, and Ewa Sobolewska. 2021. "The Usefulness of Modified Mallampati Score and CT Upper Airway Volume Measurements in Diagnosing OSA among Patients with Breathing-Related Sleep Disorders" Applied Sciences 11, no. 9: 3764. https://doi.org/10.3390/app11093764
APA StyleDalewski, B., Kamińska, A., Syrico, A., Kałdunska, A., Pałka, Ł., & Sobolewska, E. (2021). The Usefulness of Modified Mallampati Score and CT Upper Airway Volume Measurements in Diagnosing OSA among Patients with Breathing-Related Sleep Disorders. Applied Sciences, 11(9), 3764. https://doi.org/10.3390/app11093764

