The Effect of Sericin on Bone Regeneration in a Streptozotocin-Induced Type I Diabetes Animal Model
Abstract
:1. Introduction
2. Materials and Methods
2.1. Sericin Preparation
2.2. Animal Experiment
2.3. Microcomputerized Tomogram (MicroCT)
2.4. Histological Analysis
2.5. Statistical Analysis
3. Results
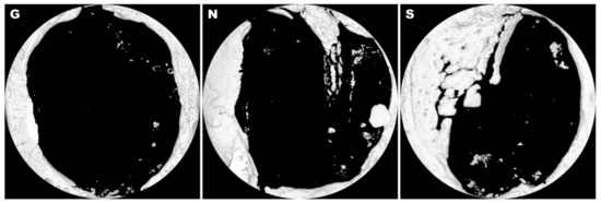
3.1. MicroCT Analysis
3.2. Histological Analysis
4. Discussion
5. Conclusions
Author Contributions
Funding
Institutional Review Board Statement
Informed Consent Statement
Data Availability Statement
Conflicts of Interest
References
- Kitabchi, A.E.; Umpierrez, G.E.; Miles, J.M.; Fisher, J.N. Hyperglycemic crises in adult patients with diabetes. Diabetes Care 2009, 32, 1335–1343. [Google Scholar] [CrossRef] [PubMed] [Green Version]
- Saedi, E.; Gheini, M.R.; Faiz, F.; Arami, M.A. Diabetes mellitus and cognitive impairments. World J. Diabetes 2016, 7, 412–422. [Google Scholar] [CrossRef] [PubMed]
- Morrison, L.B.; Bogan, I.K. Bone development in diabetic children: A roentgen study. Am. J. Med. Sci. 1948, 174, 313–319. [Google Scholar] [CrossRef]
- Krakauer, J.C.; McKenna, M.J.; Buderer, N.F.; Rao, D.S.; Whitehouse, F.W.; Parfitt, A.M. Bone loss and bone turnover in diabetes. Diabetes 1995, 44, 775–782. [Google Scholar] [CrossRef]
- Cozen, L. Does Diabetes Delay Fracture Healing? Clin. Orthop. Relat. Res. 1972, 82, 134–140. [Google Scholar] [CrossRef]
- Gooch, H.L.; Hale, J.E.; Fujioka, H.; Balian, G.; Hurwitz, S.R. Alterations of cartilage and collagen expression during fracture healing in experimental diabetes. Connect. Tissue Res. 2000, 41, 81–91. [Google Scholar] [CrossRef]
- Funk, J.R.; Hale, J.E.; Carmines, D.; Gooch, H.L.; Hurwitz, S.R. Biomechanical evaluation of early fracture healing in normal and diabetic rats. J. Orthop. Res. 2000, 18, 126–132. [Google Scholar] [CrossRef]
- Gandhi, A.; Beam, H.A.; O’Connor, J.P.; Parsons, J.R.; Lin, S.S. The effects of local insulin delivery on diabetic fracture healing. Bone 2005, 37, 482–490. [Google Scholar] [CrossRef] [PubMed]
- Azad, V.; Breitbart, E.; Al-Zube, L.; Yeh, S.; O’Connor, J.P.; Lin, S.S. rhBMP-2 enhances the bone healing response in a diabetic rat segmental defect model. J. Orthop. Trauma 2009, 23, 267–276. [Google Scholar] [CrossRef] [Green Version]
- Tyndall, W.A.; Beam, H.A.; Zarro, C.; O’Connor, J.P.; Lin, S.S. Decreased platelet derived growth factor expression during fracture healing in diabetic animals. Clin. Orthop. Relat. Res. 2003, 408, 319–330. [Google Scholar] [CrossRef]
- Al-Zube, L.; Breitbart, E.A.; O’Connor, J.P.; Parsons, J.R.; Bradica, G.; Hart, C.E.; Lin, S.S. Recombinant human platelet-derived growth factor BB (rhPDGF-BB) and beta-tricalcium phosphate/collagen matrix enhance fracture healing in a diabetic rat model. J. Orthop. Res. 2009, 27, 1074–1081. [Google Scholar] [CrossRef] [PubMed] [Green Version]
- Jo, Y.Y.; Kweon, H.Y.; Oh, J.H. Sericin for tissue engineering. Appl. Sci. 2020, 10, 8457. [Google Scholar] [CrossRef]
- Shaw, J.; Smith, S. Amino-acids of silk sericin. Nature 1951, 168, 745. [Google Scholar] [CrossRef]
- Zhang, Y.Q.; Ma, Y.; Xia, Y.Y.; Shen, W.; Mao, J.P.; Xue, R. Silk sericin-insulin bioconjugates: Synthesis, characterization and biological activity. J. Control. Release 2006, 115, 307–315. [Google Scholar] [CrossRef]
- Cai, Y.R.; Mei, D.; Jiang, T.; Yao, J. Synthesis of oriented hydroxyapatite crystals: Effect of reaction conditions in the presence or absence of silk sericin. Mater. Lett. 2010, 64, 2676–2678. [Google Scholar] [CrossRef]
- Takeuchi, A.; Ohtsuki, C.; Miyazaki, T.; Kamitakahara, M.; Ogata, S.; Yamazaki, M.; Furutani, Y.; Kinoshita, H.; Tanihara, M. Heterogeneous nucleation of hydroxyapatite on protein: Structural effect of silk sericin. J. R. Soc. Interface 2005, 2, 373–378. [Google Scholar] [CrossRef] [Green Version]
- Leong, D.T.; Abraham, M.C.; Rath, S.N.; Lim, T.C.; Chew, F.T.; Hutmacher, D.W. Investigating the effects of preinduction on human adipose-derived precursor cells in an athymic rat model. Differentiation 2006, 74, 519–529. [Google Scholar] [CrossRef]
- Leong, D.T.; Khor, W.M.; Chew, F.T.; Lim, T.C.; Hutmacher, D.W. Characterization of osteogenically induced adipose tissue-derived precursor cells in 2-dimensional and 3-dimensional environments. Cells Tissues Organs 2006, 182, 1–11. [Google Scholar] [CrossRef]
- Brondum, E.; Nilsson, H.; Aalkjaer, C. Functional abnormalities in isolated arteries from Goto-Kakizaki and streptozotocin-treated diabetic rat models. Horm. Metab. Res. 2005, 37, 56–60. [Google Scholar] [CrossRef]
- Facey, J.; Young, L.; Nwokocha, C. Relaxation Responses of Ketamine and Propofol to Vasoactive Agents in Streptozotocin-Induced Diabetic Rats. Niger. J. Physiol. Sci. 2020, 35, 33–39. [Google Scholar]
- El-Kersh, A.O.F.O.; El-Akabawy, G.; Al-Serwi, R.H. Transplantation of human dental pulp stem cells in streptozotocin-induced diabetic rats. Anat. Sci. Int. 2020, 95, 523–539. [Google Scholar] [CrossRef] [PubMed]
- Kim, J.W.; Jo, Y.Y.; Kim, J.Y.; Oh, J.H.; Yang, B.E.; Kim, S.G. Retrospective comparative clinical study for silk mat application into extraction socket. Maxillofac. Plast. Reconstr. Surg. 2019, 41, 16. [Google Scholar] [CrossRef] [PubMed]
- Lamboni, L.; Gauthier, M.; Yang, G.; Wang, Q. Silk sericin: A versatile material for tissue engineering and drug delivery. Biotechnol. Adv. 2015, 33, 1855–1867. [Google Scholar] [CrossRef] [PubMed]
- Yang, M.; Shuai, Y.; Zhang, C.; Chen, Y.; Zhu, L.; Mao, C.; OuYang, H. Biomimetic nucleation of hydroxyapatite crystals mediated by Antheraea pernyi silk sericin promotes osteogenic differentiation of human bone marrow derived mesenchymal stem cells. Biomacromolecules 2014, 15, 1185–1193. [Google Scholar] [CrossRef] [PubMed]
- Liu, J.; Yu-kan, L.; Ying, K.; Yao, J.; Cai, Y.R. Formation of vaterite regulated by silk sericin and its transformation towards hydroxyapatite microsphere. Mater. Lett. 2013, 110, 221–224. [Google Scholar] [CrossRef]
- Nayak, S.; Dey, T.; Naskar, D.; Kundu, S.C. The promotion of osseointegration of titanium surfaces by coating with silk protein sericin. Biomaterials 2013, 34, 2855–2864. [Google Scholar] [CrossRef]
- Nagai, N.; Murao, T.; Ito, Y.; Okamoto, N.; Sasaki, M. Enhancing effects of sericin on corneal wound healing in Otsuka Long-Evans Tokushima fatty rats as a model of human type 2 diabetes. Biol. Pharm. Bull. 2009, 32, 1594–1599. [Google Scholar] [CrossRef] [Green Version]
- Song, C.; Yang, Z.; Zhong, M.; Chen, Z. Sericin protects against diabetes-induced injuries in sciatic nerve and related nerve cells. Neural Regen. Res. 2013, 8, 506–513. [Google Scholar]
- Chen, Z.; Yang, S.; He, Y.; Song, C.; Liu, Y. Effect of sericin on diabetic hippocampal growth hormone/insulin-like growth factor 1 axis. Neural Regen. Res. 2013, 8, 1756–1764. [Google Scholar]
- Tomlinson, R.; Mckenzie, J.; Schmieder, A.; Wohl, G.; Lanza, G.; Silva, M. Angiogenesis is required for stress fracture healing in rats. Bone 2013, 52, 212–219. [Google Scholar] [CrossRef] [Green Version]
- Fang, T.D.; Salim, A.; Xia, W.; Nacamuli, R.; Guccione, S.; Song, H.M.; Carano, R.A.; Filvaroff, E.H.; Bednarski, M.D.; Giaccia, A.J.; et al. Angiogenesis is required for successful bone induction during distraction osteogenesis. J. Bone Miner. Res. 2005, 20, 1114–1124. [Google Scholar] [CrossRef] [PubMed]
- Kim, S.G. Immunomodulation for maxillofacial reconstructive surgery. Maxillofac. Plast. Reconstr. Surg. 2020, 42, 5. [Google Scholar] [CrossRef] [PubMed]
- Chen, Z.; Klein, T.; Murray, R.Z.; Crawford, R.; Chang, J.; Wu, C.; Xiao, Y. Osteoimmunomodulation for the development of advanced bone biomaterials. Mater. Today 2016, 19, 304–321. [Google Scholar] [CrossRef] [Green Version]
- Kim, K.W.; Lee, S.J.; Kim, J.C. TNF-α upregulates HIF-1α expression in pterygium fibroblasts and enhances their susceptibility to VEGF independent of hypoxia. Exp. Eye Res. 2017, 164, 74–81. [Google Scholar] [CrossRef]
- Jo, Y.Y.; Kim, D.W.; Choi, J.Y.; Kim, S.G. 4-Hexylresorcinol and silk sericin increase the expression of vascular endothelial growth factor via different pathways. Sci. Rep. 2019, 9, 3448. [Google Scholar] [CrossRef] [Green Version]
- Love, R.J.; Jones, K.S. The recognition of biomaterials: Pattern recognition of medical polymers and their adsorbed biomolecules. J. Biomed. Mater. Res. Part A 2013, 101, 2740–2752. [Google Scholar] [CrossRef]
- Oliveira, M.I.; Pinto, M.L.; Gonçalves, R.M.; Martins, M.C.L.; Santos, S.G.; Barbosa, M.A. Adsorbed Fibrinogen stimulates TLR-4 on monocytes and induces BMP-2 expression. Acta Biomater. 2017, 49, 296–305. [Google Scholar] [CrossRef]
- Sun, X.; Ma, Z.; Zhao, X.; Jin, W.; Zhang, C.; Ma, J.; Qiang, L.; Wang, W.; Deng, Q.; Yang, H.; et al. Three-dimensional bioprinting of multicell-laden scaffolds containing bone morphogenic protein-4 for promoting M2 macrophage polarization and accelerating bone defect repair in diabetes mellitus. Bioact. Mater. 2020, 6, 757–769. [Google Scholar] [CrossRef]
- Kim, S.G.; Jo, Y.Y.; Kweon, H.Y. Soluble fraction from silk mat induced bone morphogenic protein in RAW264.7 cells. Int. J. Ind. Entomol. 2020, 41, 51–55. [Google Scholar]


| Group | G | N | S |
|---|---|---|---|
| Bone volume (mm3) | 1.24 ± 1.05 | 1.71 ± 1.65 | 3.87 ± 2.51 * |
| Group | G | N | S |
|---|---|---|---|
| New Bone formation (%) | 1.24 ± 1.10 | 1.26 ± 1.05 | 8.26 ± 5.43 * |
Publisher’s Note: MDPI stays neutral with regard to jurisdictional claims in published maps and institutional affiliations. |
© 2021 by the authors. Licensee MDPI, Basel, Switzerland. This article is an open access article distributed under the terms and conditions of the Creative Commons Attribution (CC BY) license (http://creativecommons.org/licenses/by/4.0/).
Share and Cite
Hong, K.D.G.; Kang, Y.-J.; Oh, J.-H.; Kim, S.-G.; Park, Y.-W.; Jo, Y.-Y.; Kweon, H.; Rotaru, H. The Effect of Sericin on Bone Regeneration in a Streptozotocin-Induced Type I Diabetes Animal Model. Appl. Sci. 2021, 11, 1369. https://doi.org/10.3390/app11041369
Hong KDG, Kang Y-J, Oh J-H, Kim S-G, Park Y-W, Jo Y-Y, Kweon H, Rotaru H. The Effect of Sericin on Bone Regeneration in a Streptozotocin-Induced Type I Diabetes Animal Model. Applied Sciences. 2021; 11(4):1369. https://doi.org/10.3390/app11041369
Chicago/Turabian StyleHong, Khang Do Gia, Yei-Jin Kang, Ji-Hyeon Oh, Seong-Gon Kim, Young-Wook Park, You-Young Jo, HaeYong Kweon, and Horatiu Rotaru. 2021. "The Effect of Sericin on Bone Regeneration in a Streptozotocin-Induced Type I Diabetes Animal Model" Applied Sciences 11, no. 4: 1369. https://doi.org/10.3390/app11041369
APA StyleHong, K. D. G., Kang, Y.-J., Oh, J.-H., Kim, S.-G., Park, Y.-W., Jo, Y.-Y., Kweon, H., & Rotaru, H. (2021). The Effect of Sericin on Bone Regeneration in a Streptozotocin-Induced Type I Diabetes Animal Model. Applied Sciences, 11(4), 1369. https://doi.org/10.3390/app11041369

