Full Digital Surgery-First, Skeletal Anchorage and Aligners Approach to Correct a Gummy Smile and Class II Malocclusion with Mandibular Retrusion and Deviation
Abstract
Featured Application
Abstract
1. Introduction
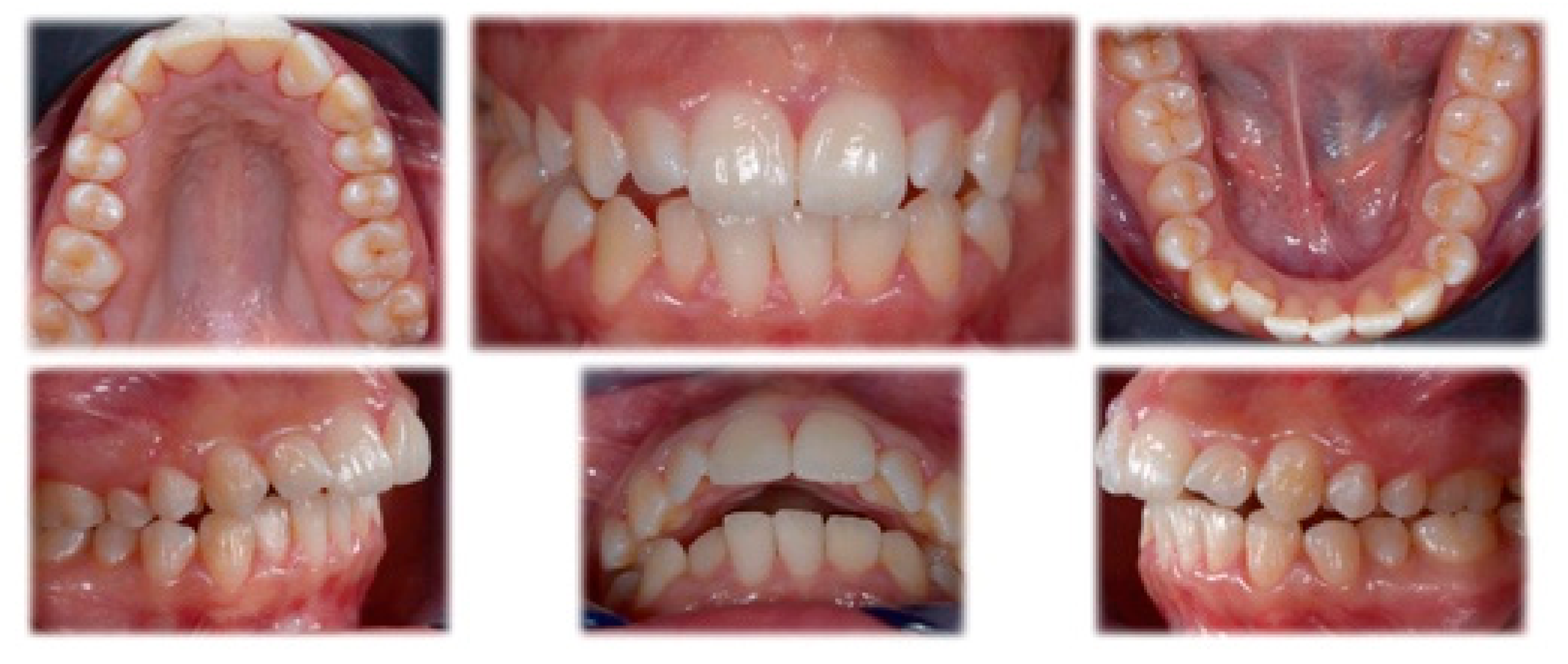
2. Case Report
2.1. Diagnosis and Treatment Plan
2.2. Treatment Progress
3. Results
4. Discussion
5. Conclusions
Author Contributions
Funding
Institutional Review Board Statement
Informed Consent Statement
Data Availability Statement
Conflicts of Interest
References
- Elnagar, M.H.; Aronovich, S.; Kusnoto, B. Digital workflow for combined orthodontics and orthognathic surgery. Oral Maxillofac. Surg. Clin. N. Am. 2020, 32, 1–14. [Google Scholar] [CrossRef] [PubMed]
- Lecocq, G. Digital impression-taking: Fundamentals and benefits in orthodontics. Int. Orthod. 2016, 14, 184–194. [Google Scholar] [CrossRef]
- Nagasaka, H.; Sugawara, J.; Kawamura, H.; Nanda, R. “Surgery first” skeletal class III correction using the skeletal anchorage system. J. Clin. Orthod. 2009, 43, 97–105. [Google Scholar] [PubMed]
- Poulton, D.R.; Taylor, R.C.; Ware, W.H. Cephalometric X-ray evaluation of the vertical osteotomy correction of mandibular prognathism. Oral Surg. Oral Med. Oral Pathol. 1963, 16, 807–820. [Google Scholar] [CrossRef]
- Bell, W.H.; Creekmore, T.D. Surgical-orthodontic correction of mandibular prognathism. Am. J. Orthod. 1973, 63, 256–270. [Google Scholar] [CrossRef]
- Proffit, W.R.; Miguel, J.A.M. The duration and sequencing of surgical-orthodontic treatment. Int. J. Adult Orthod. Orthognath. Surg. 1995, 10, 35–42. [Google Scholar]
- Proffit, W.R.; White, R.P. Development of surgeon-orthodontist interaction in orthognathic surgery. Semin. Orthod. 2011, 17, 183–185. [Google Scholar] [CrossRef]
- Lee, Y.C.; Sohn, H.-B.; Kim, S.K.; Bae, O.Y.; Lee, J.H. A novel method for the management of proximal segment using computer assisted simulation surgery: Correct condyle head positioning and better proximal segment placement. Maxillofac. Plast. Reconstr. Surg. 2015, 37, 21. [Google Scholar] [CrossRef][Green Version]
- Lombardo, L.; Arreghini, A.; Ramina, F.; Huanca Ghislanzoni, L.T.; Siciliani, G. Predictability of orthodontic movement with or-thodontic aligners: A retrospective study. Prog. Orthod. 2017, 18, 35. [Google Scholar] [CrossRef]
- Savignano, R.; Valentino, R.; Razionale, A.V.; Michelotti, A.; Barone, S.; D’Antò, V. Biomechanical effects of different auxilia-ry-aligner designs for the extrusion of an upper central incisor: A finite element analysis. J. Healthc. Eng. 2019, 2019, 9687127. [Google Scholar] [CrossRef]
- Huang, C.S.; Chen, Y.R. Orthodontic principles and guidelines for the surgery-first approach to orthognathic surgery. Int. J. Oral Maxillofac. Surg. 2015, 44, 1457–1462. [Google Scholar] [CrossRef] [PubMed]
- Wilcko, W.M.; Wilcko, M.T.; Bouquot, J.E.; Ferguson, D.J. Rapid orthodontics with alveolar reshaping: Two case reports of decrowding. Int. J. Periodontics Restor. Dent. 2001, 21, 9–19. [Google Scholar]
- Liou, E.J.; Chen, P.H.; Wang, Y.C.; Yu, C.C.; Huang, C.S.; Chen, Y.R. Surgery-first accelerated orthognathic surgery: Postoperative rapid orthodontic tooth movement. J. Oral Maxillofac. Surg. 2011, 69, 781–785. [Google Scholar] [CrossRef]
- Schiffman, E.; Ohrbach, R.; Truelove, E.; Look, J.; Anderson, G.; Goulet, J.P.; List, T.; Svensson, P. Diagnostic criteria for temporomandibular disorders (DC/TMD) for clinical and research applications: Recommendations of the international RDC/TMD consortium network and orofacial pain special interest group. J. Oral Facial Pain Headache 2014, 28, 6–27. [Google Scholar] [CrossRef]
- Poggio, P.M.; Incorvati, C.; Velo, S.; Carano, A. “Safe zones”: A guide for miniscrew positioning in the maxillary and mandibular arch. Angle Orthod. 2006, 76, 191–197. [Google Scholar]
- Chang, J.; Steinbacher, D.; Nanda, R.; Uribe, F. “Surgery-First” approach with invisalign therapy to correct a class II maloc-clusion and severe mandibular retrognathism. J. Clin. Orthod. 2019, 53, 397–404. [Google Scholar]
- Chen, S.; Lei, J.; Wang, X.; Fu, K.Y.; Farzad, P.; Yi, B. Short- and long-term changes of condylar position after bilateral sagittal split ramus osteotomy for mandibular advancement in combination with Le Fort I osteotomy evaluated by cone-beam computed tomography. J. Oral Maxillofac. Surg. 2013, 71, 1956–1966. [Google Scholar] [CrossRef] [PubMed]
- Choi, J.W.; Bradley, J.P. Surgery first orthognathic approach without presurgical orthodontic treatment: Questions and answers. J. Craniofac. Surg. 2017, 28, 1330–1333. [Google Scholar] [CrossRef] [PubMed]
- Kang, S.H.; Kim, M.K.; Park, W.S.; Lee, S.H. Accurate computerized mandibular simulation in orthognathic surgery: A new method for integrating the planned postoperative occlusion model. Br. J. Oral Maxillofac. Surg. 2010, 48, 305–307. [Google Scholar] [CrossRef]
- Choi, J.Y.; Hwang, J.M.; Baek, S.H. Virtual model surgery and wafer fabrication using 2-dimensional cephalograms, 3-dimensional virtual dental models, and stereolithographic technology. Oral Surg. Oral Med. Oral Pathol. Oral Radiol. 2012, 113, 193–200. [Google Scholar] [CrossRef] [PubMed]
- Liou, E.J.; Chen, P.H.; Wang, Y.C.; Yu, C.C.; Huang, C.; Chen, Y.R. Surgery-first accelerated orthognathic surgery: Orthodontic guidelines and setup for model surgery. J. Oral Maxillofac. Surg. 2011, 69, 771–780. [Google Scholar] [CrossRef] [PubMed]
- Rossini, G.; Parrini, S.; Castroflorio, T.; Deregibus, A.; Debernardi, C.L. Efficacy of clear aligners in controlling orthodontic tooth movement: A systematic review. Angle Orthod. 2015, 85, 881–889. [Google Scholar] [CrossRef]
- Tepedino, M.; Paoloni, V.; Cozza, P.; Chimenti, C. Movement of anterior teeth using clear aligners: A three-dimensional, retrospective evaluation. Prog. Orthod. 2018, 19, 9. [Google Scholar] [CrossRef] [PubMed]
- Jambi, S.; Walsh, T.; Sandler, J.; Benson, P.E.; Skeggs, R.M.; O’Brien, K.D. Reinforcement of anchorage during orthodontic brace treatment with implants or other surgical methods. Cochrane Database Syst. Rev. 2014, 19, 8. [Google Scholar] [CrossRef]
- Peiró-Guijarro, M.A.; Guijarro-Martínez, R.; Hernández-Alfaro, F. Surgery first in orthognathic surgery: A systematic review of the literature. Am. J. Orthod. Dentofac. Orthop. 2016, 149, 448–462. [Google Scholar] [CrossRef]
- Yao, K.; Zhu, G.; Chen, M.; Zhang, B.; Wu, Y.; Li, P. Effect of surgery-first orthognathic approach on oral health-related quality of life: A systematic review. Angle Orthod. 2020, 90, 723–733. [Google Scholar] [CrossRef]
- Wei, H.; Liu, Z.; Zang, J.; Wang, X. Surgery-first/early-orthognathic approach may yield poorer postoperative stability than conventional orthodontics-first approach: A systematic review and meta-analysis. Oral Surg. Oral Med. Oral Pathol. Oral Radiol. 2018, 126, 107–116. [Google Scholar] [CrossRef] [PubMed]
- Soverina, D.; Gasparini, G.; Pelo, S.; Doneddu, P.; Todaro, M.; Boniello, R.; Azzuni, C.; Grippaudo, C.; Saponaro, G.; D’Amato, G.; et al. Skeletal stability in orthognathic surgery with the surgery first approach: A systematic review. Int. J. Oral Maxillofac. Surg. 2019, 48, 930–940. [Google Scholar] [CrossRef]
- Ko, E.W.C.; Hsu, S.S.P.; Hsieh, H.Y.; Wang, Y.C.; Huang, C.S.; Chen, Y.R. Comparison of progressive cephalometric changes and postsurgical stability of skeletal class III correction with and without presurgical orthodontic treatment. J. Oral Maxillofac. Surg. 2011, 69, 1469–1477. [Google Scholar] [CrossRef]
- Hernández-Alfaro, F.; Guijarro-Martínez, R.; Peiró-Guijarro, M.A. Surgery first in orthognathic surgery: What have we learned? A comprehensive workflow based on 45 consecutive cases. J. Oral Maxillofac. Surg. 2014, 72, 376–390. [Google Scholar] [CrossRef]
- Liao, Y.F.; Chiu, Y.T.; Huang, C.S.; Ko, E.W.C.; Chen, Y.R. Presurgical orthodontics versus no presurgical orthodontics: Treatment out-come of surgical- orthodontic correction for skeletal class III open bite. Plast. Reconstr. Surg. 2010, 126, 2074–2083. [Google Scholar] [CrossRef] [PubMed]






Publisher’s Note: MDPI stays neutral with regard to jurisdictional claims in published maps and institutional affiliations. |
© 2021 by the authors. Licensee MDPI, Basel, Switzerland. This article is an open access article distributed under the terms and conditions of the Creative Commons Attribution (CC BY) license (https://creativecommons.org/licenses/by/4.0/).
Share and Cite
Iodice, G.; Tartaro, G.; Santagata, M.; D’Amato, S. Full Digital Surgery-First, Skeletal Anchorage and Aligners Approach to Correct a Gummy Smile and Class II Malocclusion with Mandibular Retrusion and Deviation. Appl. Sci. 2021, 11, 9985. https://doi.org/10.3390/app11219985
Iodice G, Tartaro G, Santagata M, D’Amato S. Full Digital Surgery-First, Skeletal Anchorage and Aligners Approach to Correct a Gummy Smile and Class II Malocclusion with Mandibular Retrusion and Deviation. Applied Sciences. 2021; 11(21):9985. https://doi.org/10.3390/app11219985
Chicago/Turabian StyleIodice, Giorgio, Gianpaolo Tartaro, Mario Santagata, and Salvatore D’Amato. 2021. "Full Digital Surgery-First, Skeletal Anchorage and Aligners Approach to Correct a Gummy Smile and Class II Malocclusion with Mandibular Retrusion and Deviation" Applied Sciences 11, no. 21: 9985. https://doi.org/10.3390/app11219985
APA StyleIodice, G., Tartaro, G., Santagata, M., & D’Amato, S. (2021). Full Digital Surgery-First, Skeletal Anchorage and Aligners Approach to Correct a Gummy Smile and Class II Malocclusion with Mandibular Retrusion and Deviation. Applied Sciences, 11(21), 9985. https://doi.org/10.3390/app11219985

