Histological Aspects Regarding Dental Pulp of Diabetic Patients
Abstract
1. Introduction
2. Materials and Methods
- −
- the onset of diabetes from minimum 5 year period;
- −
- patient was following daily antidiabetic treatment;
- −
- no other known systemic pathology was reported;
- −
- lack of bone loss due to periodontal disease to the selected teeth;
- −
- the presence of extended carious lesions, without any clinical sign of pulpitis;
- −
- the treatment plan of those carious teeth was vital extirpation for coronal reconstruction.
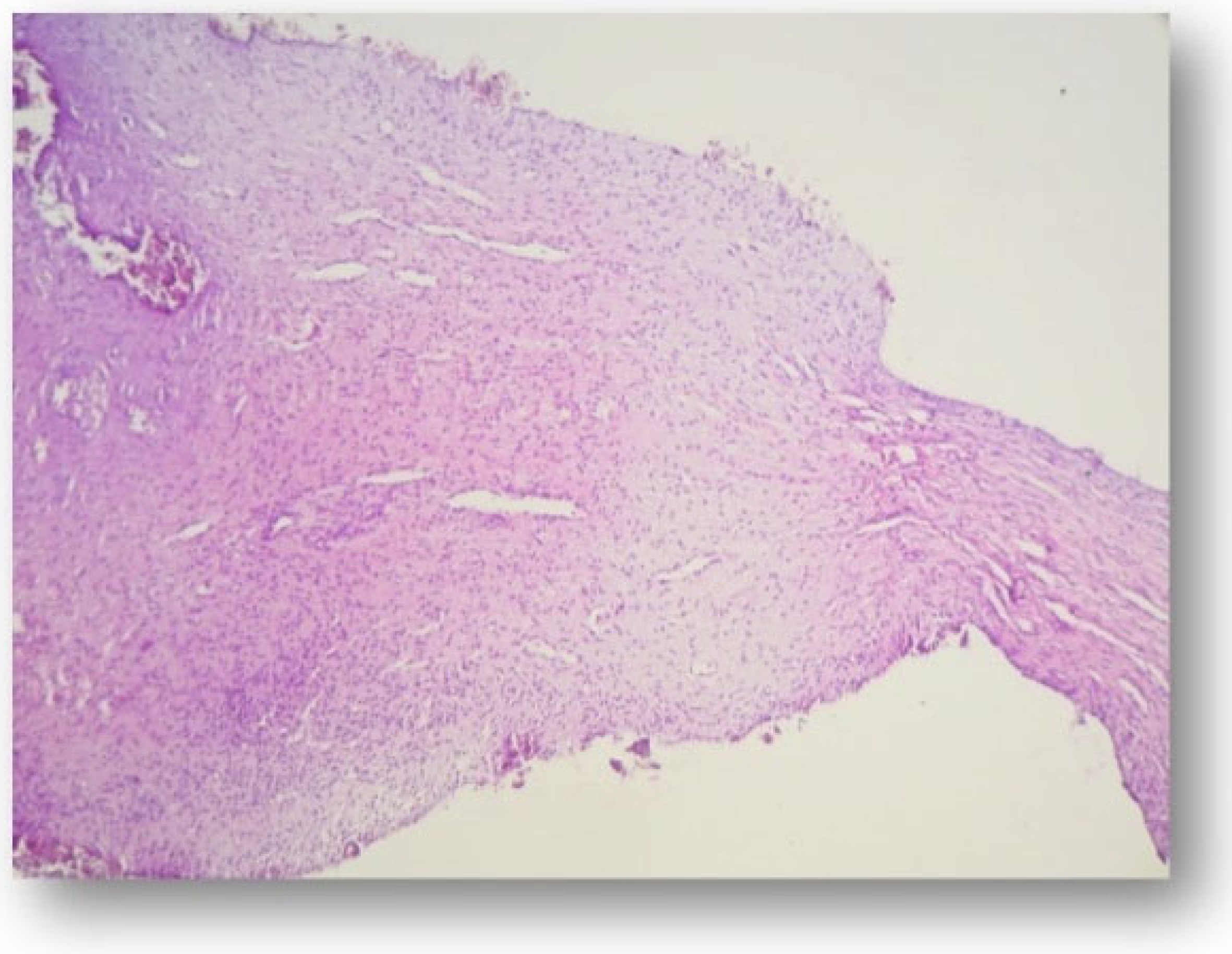
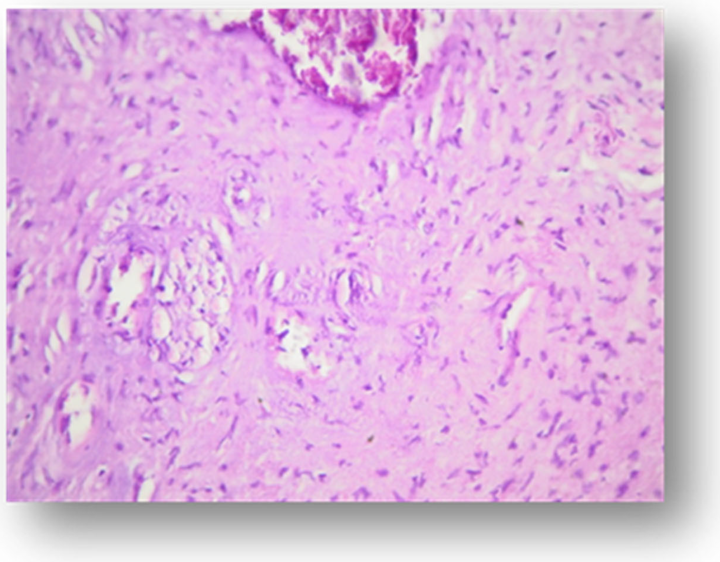
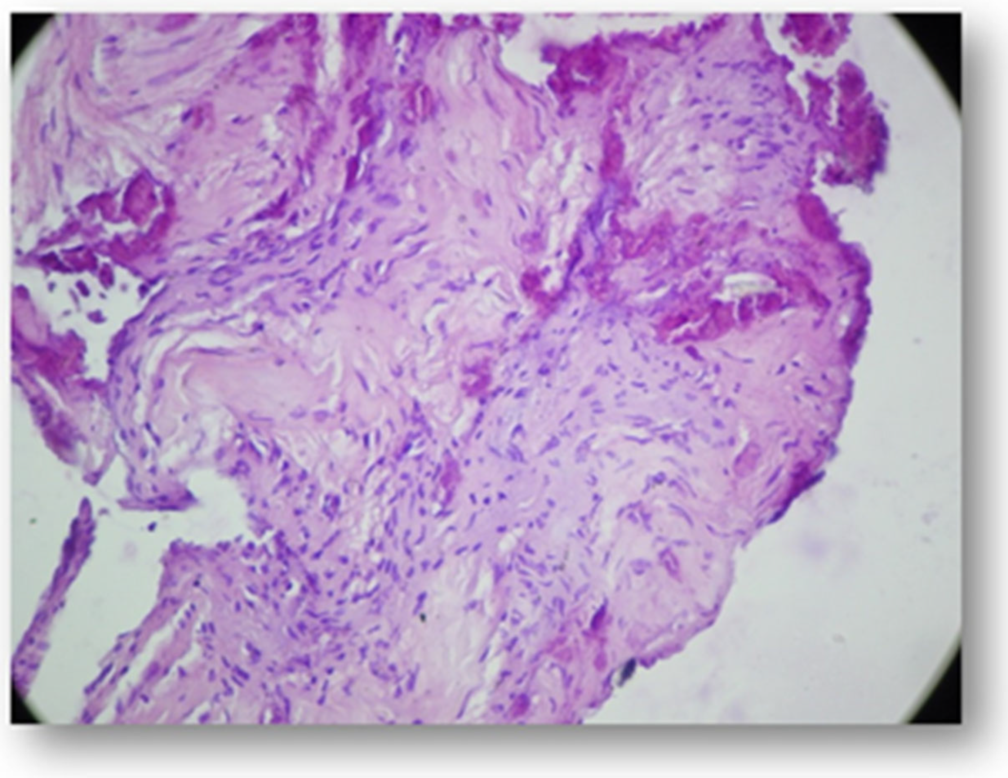
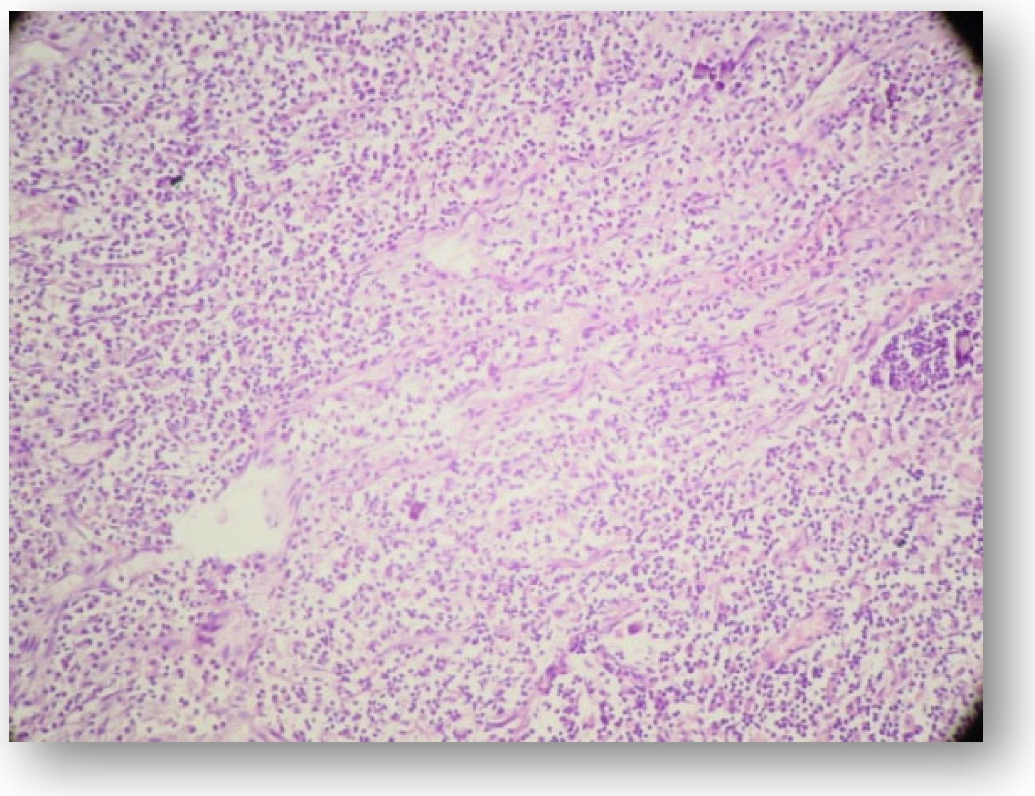
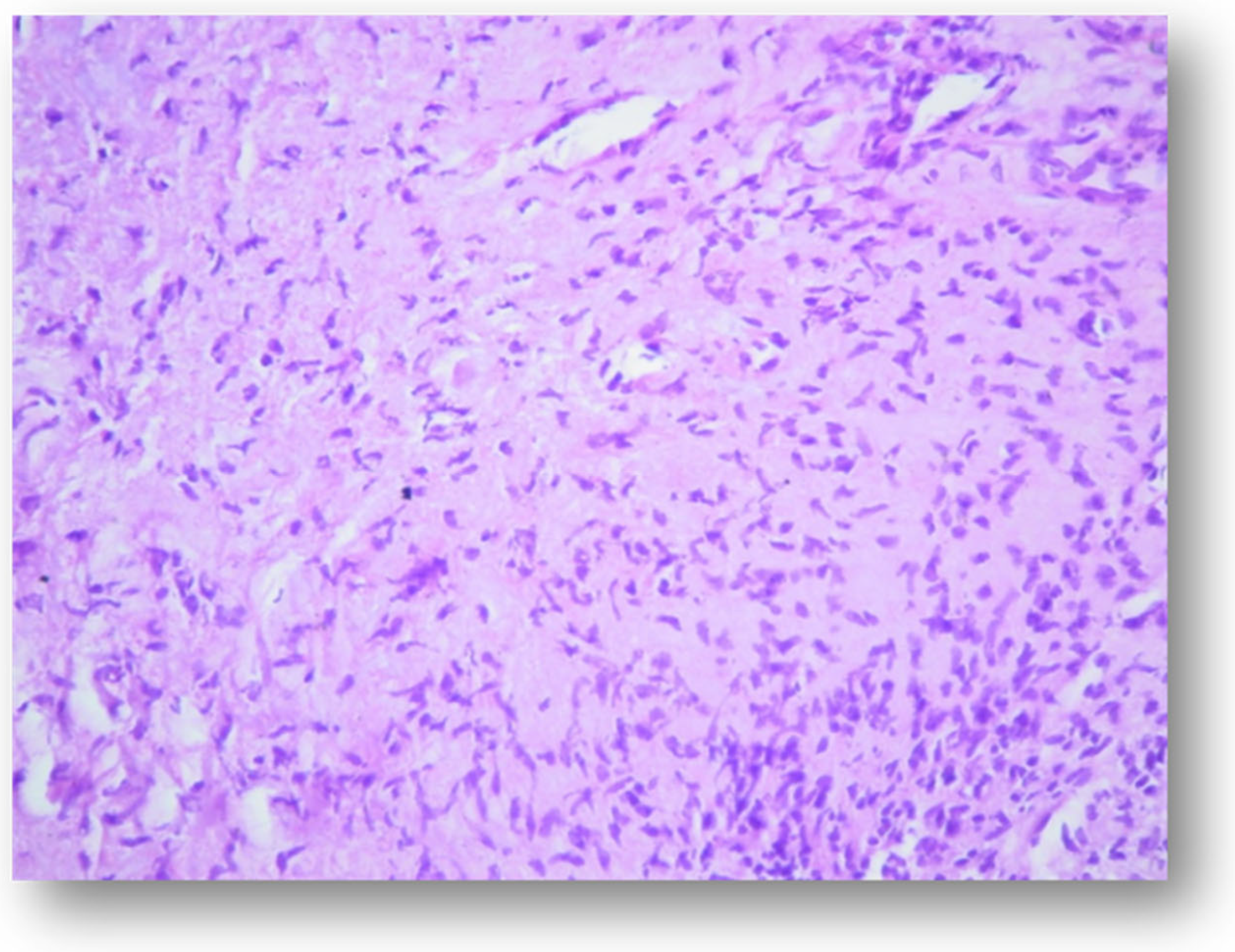
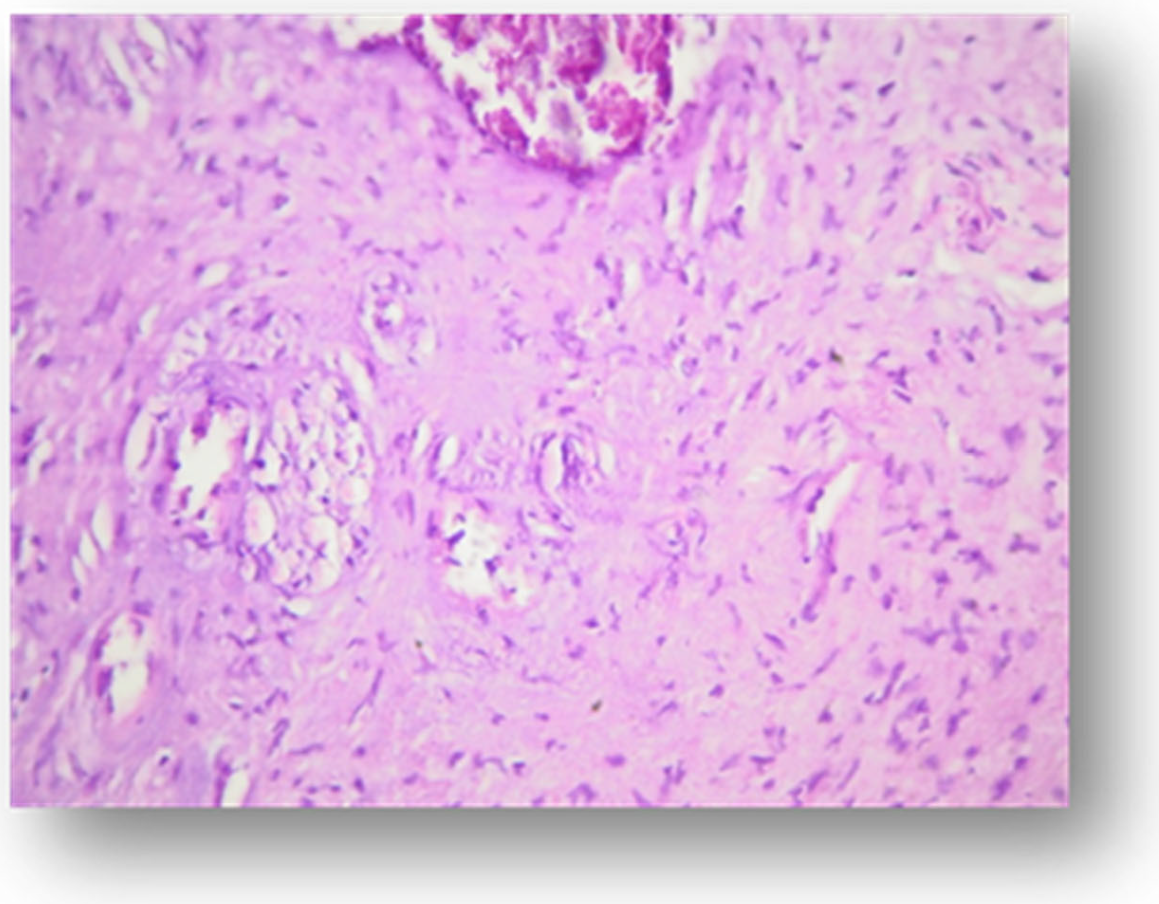
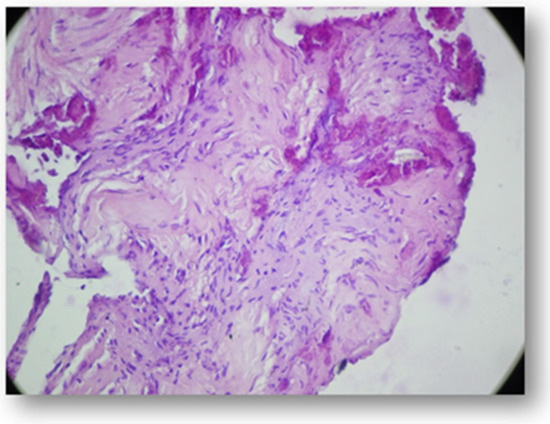
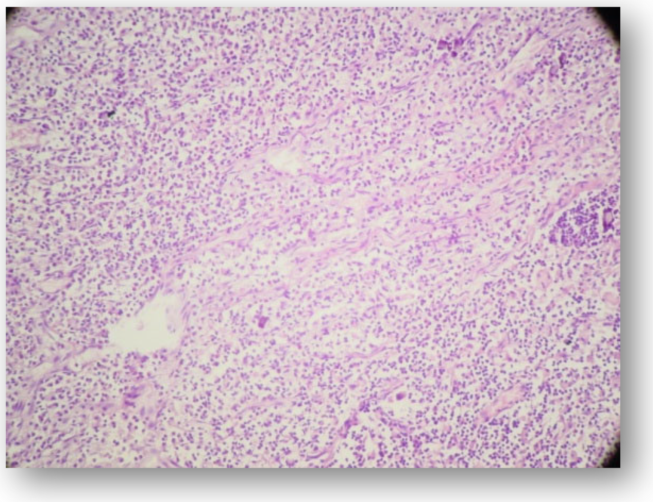
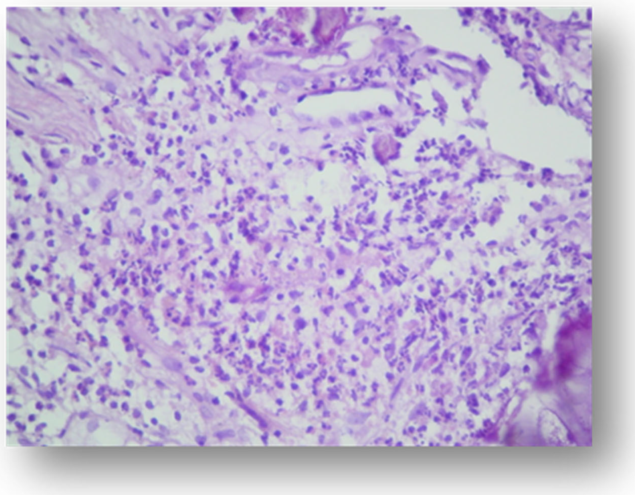
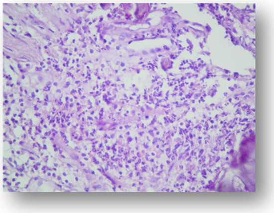
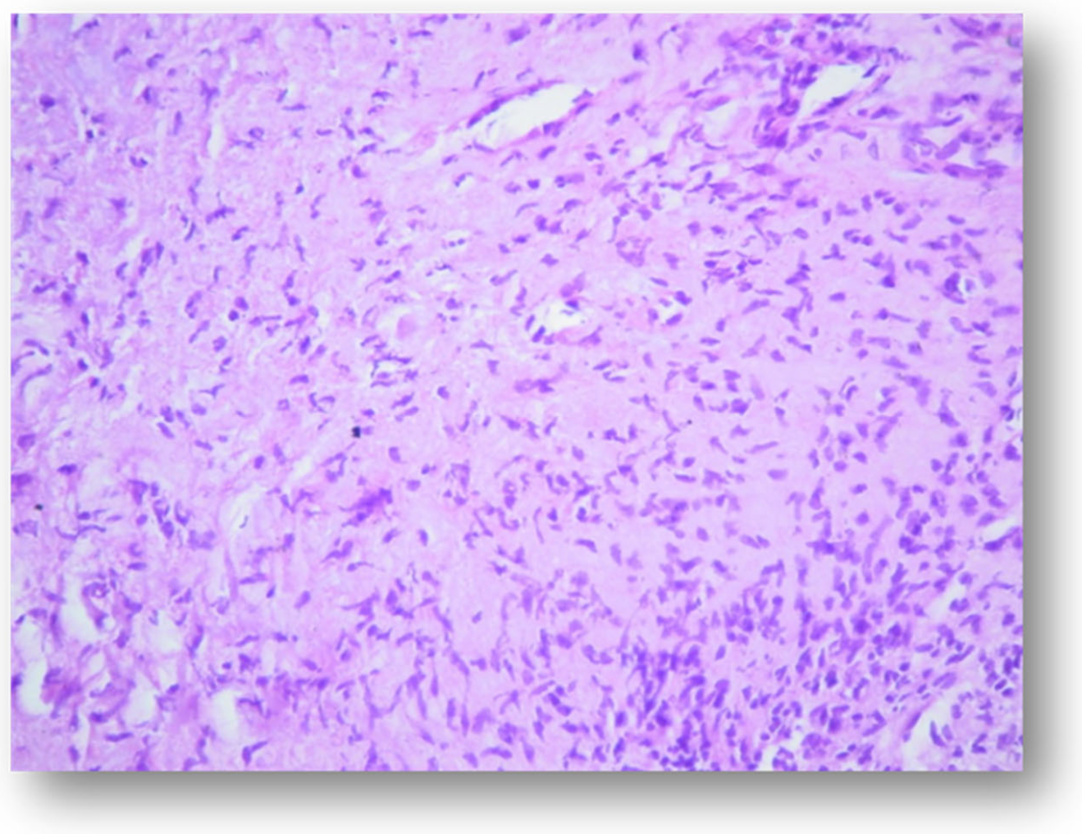
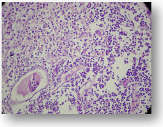
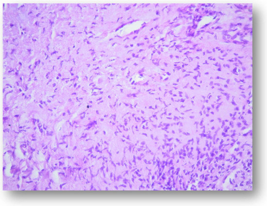
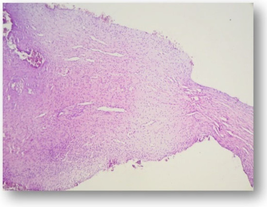
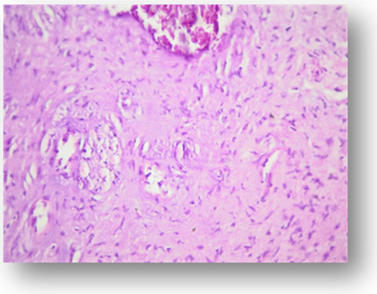
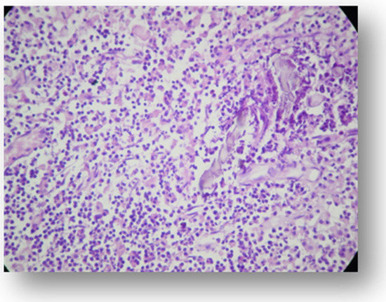
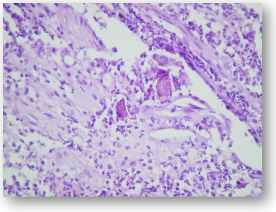
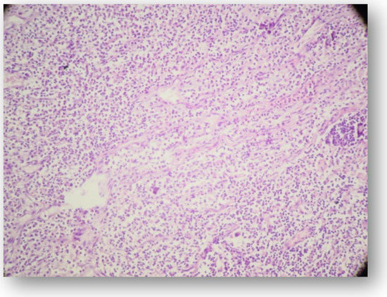
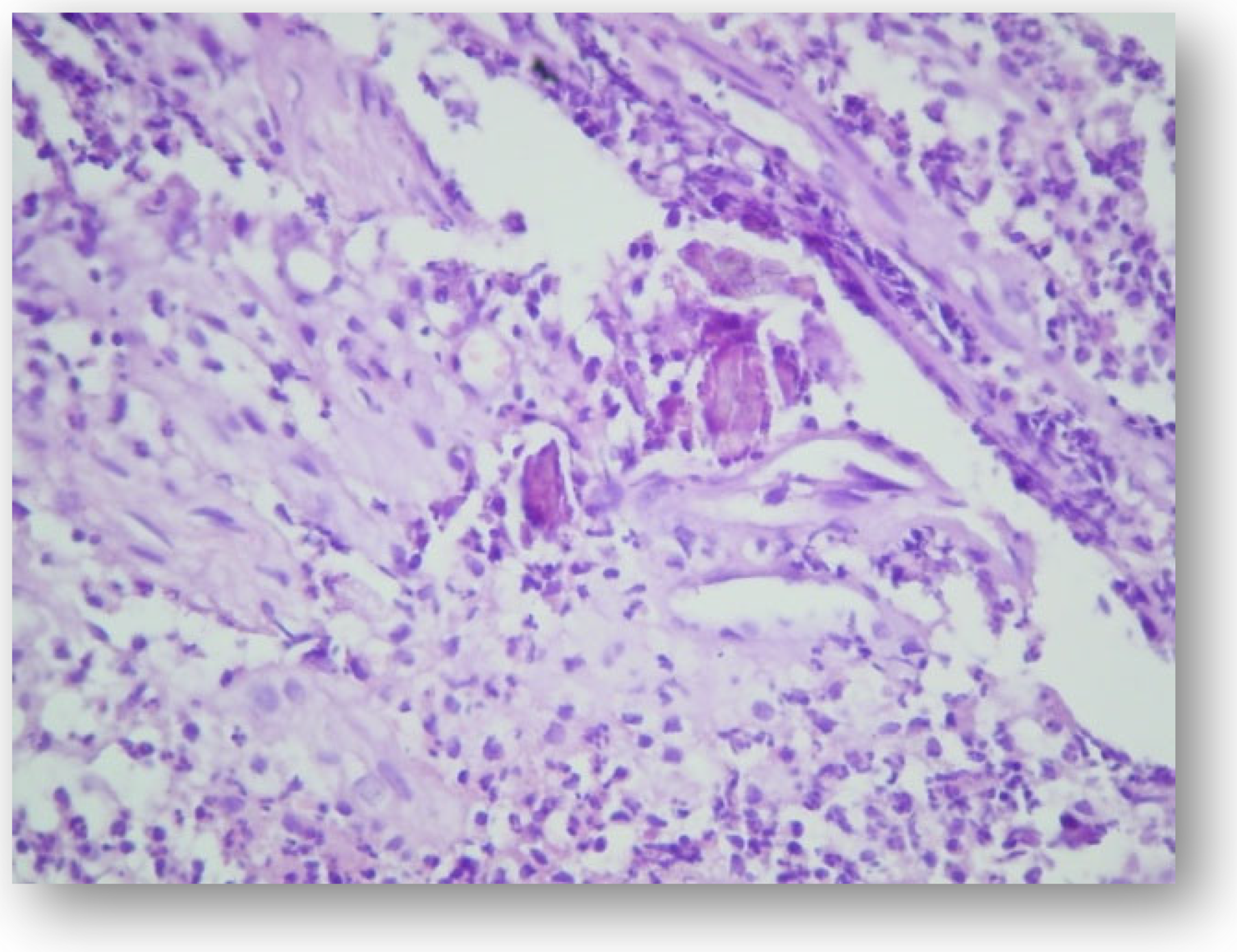
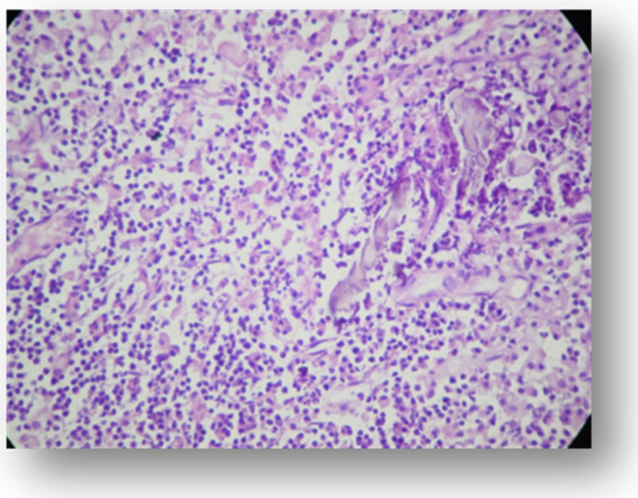
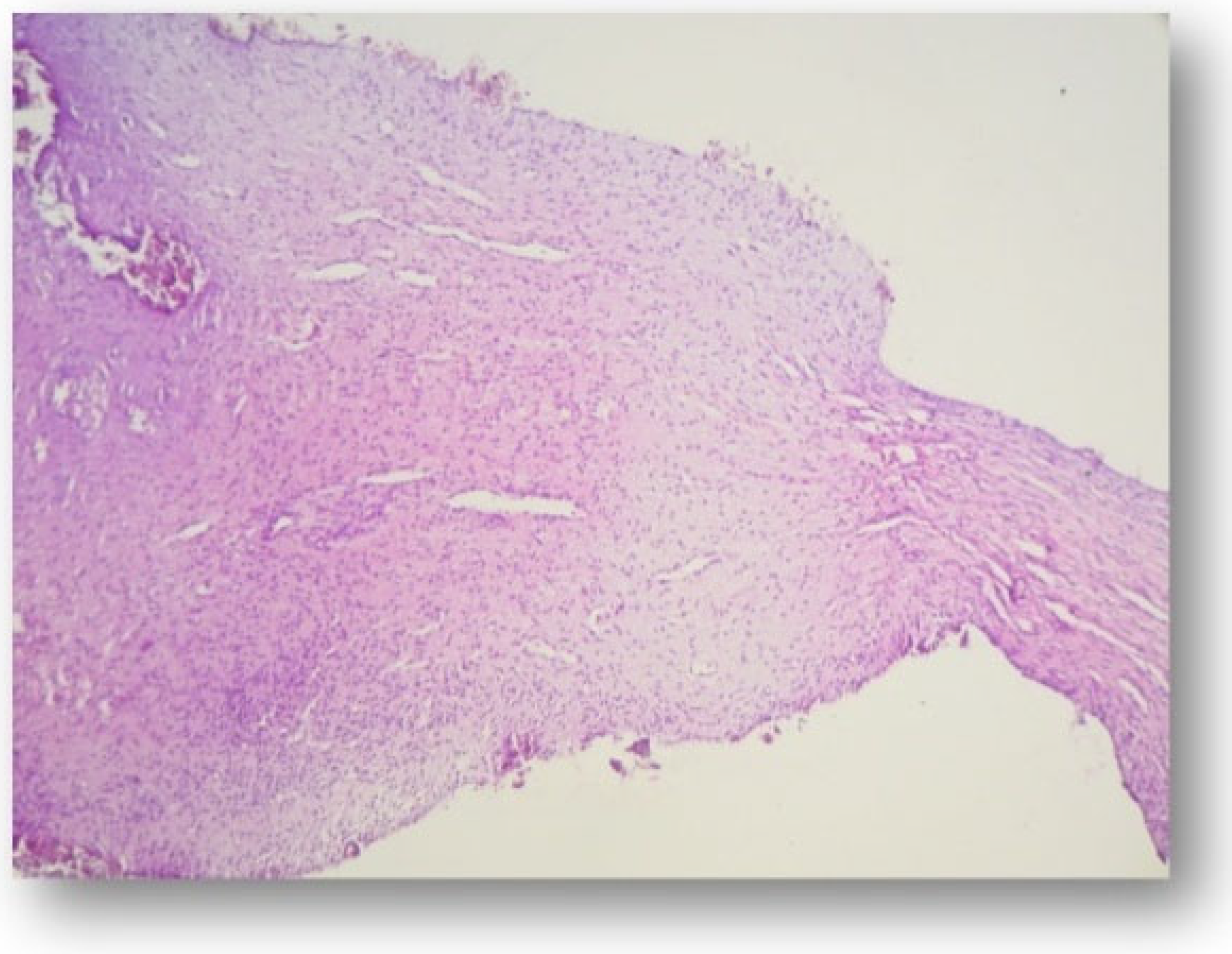
3. Results
4. Discussion
5. Conclusions
Author Contributions
Funding
Institutional Review Board Statement
Informed Consent Statement
Data Availability Statement
Conflicts of Interest
References
- Taylor, G.W. Bidirectional Interrelationships between Diabetes and Periodontal Diseases: An Epidemiologic Perspective. Ann. Periodontol. 2001, 6, 99–112. [Google Scholar] [CrossRef]
- Silvestre, F.-J.; Miralles, L.; Llambes, F.; Bautista, D.; Solá-Izquierdo, E.; Hernández-Mijares, A. Type 1 diabetes mellitus and periodontal disease: Relationship to different clinical variables. Med. Oral Patol. Oral Cir. Bucal. 2009, 14, E175–E179. [Google Scholar]
- Carranza, F.A.; Newman, M.G.; Klokkevold, P.R.; Takei, H.H. Clinical Periodontoloy, 12th ed.; Elsevier: Amsterdam, The Netherlands, 2015. [Google Scholar]
- Rattik, S.; Engelbertsen, D.; Wigren, M.; Ljungcrantz, I.; Östling, G.; Persson, M.; Fredrikson, G.N.; Bengtsson, E.; Nilsson, J.; Björkbacka, H. Elevated circulating effector memory T cells but similar levels of regulatory T cells in patients with type 2 diabetes mellitus and cardiovascular disease. Diabetes Vasc. Dis. Res. 2018, 16, 270–280. [Google Scholar] [CrossRef] [PubMed]
- Mihaela, I.; Denisa, M.; Eva, K.; Constanta, G.; Pencea, C.; Vladica, M.; Daniela, G.; Niculina, M.; Dan, B. Quercetin and epigallocatechin gallate effect on the lipid order parameter of peripheral blood mononuclear cells from diabetes patients. Rom. Biotechnol. Lett. 2009, 14, 4804–4811. [Google Scholar]
- Forbes, J.; Cooper, M.E. Mechanisms of Diabetic Complications. Physiol. Rev. 2013, 93, 137–188. [Google Scholar] [CrossRef] [PubMed]
- Hjortkjær, H.; Jensen, T.; Hilsted, J.; Mogensen, U.M.; Rossing, P.; Køber, L.; Kofoed, K.F. Generalised arterial calcification in normoalbuminuric patients with type 1 diabetes with and without cardiovascular autonomic neuropathy. Diabetes Vasc. Dis. Res. 2018, 16, 98–102. [Google Scholar] [CrossRef] [PubMed]
- Fowler, M.J. Microvascular and Macrovascular Complications of Diabetes. Clin. Diabetes 2008, 26, 77–82. [Google Scholar] [CrossRef]
- Catanzaro, O.; Dziubecki, D.; Lauria, L.C.; Martinez-Ceron, M.C.; Rodriguez, R.R. Diabetes and its effects on dental pulp. J. Oral Sci. 2006, 48, 195–199. [Google Scholar] [CrossRef]
- Lima, S.M.D.F.; Grisi, D.C.; Kogawa, E.M.; Franco, O.; Peixoto, V.C.; Gonçalves-Júnior, J.F.; Arruda, M.P.; Rezende, T. Diabetes mellitus and inflammatory pulpal and periapical disease: A review. Int. Endod. J. 2013, 46, 700–709. [Google Scholar] [CrossRef]
- Almudever-Garcia, A.; Forner, L.; Sanz, J.; Llena, C.; Rodríguez-Lozano, F.; Guerrero-Gironés, J.; Melo, M. Pulse Oximetry as a Diagnostic Tool to Determine Pulp Vitality: A Systematic Review. Appl. Sci. 2021, 11, 2747. [Google Scholar] [CrossRef]
- Claudino, M.; Nunes, I.S.; Gennaro, G.; Cestari, T.M.; Spadella, C.T.; Garlet, G.P.; de Assis, G.F. Diabetes triggers the loss of tooth structure associated to radiographical and histological dental changes and its evolution to progressive pulp and periapical lesions in rats. Arch. Oral Biol. 2015, 60, 1690–1698. [Google Scholar] [CrossRef] [PubMed]
- Vibhute, N.K.; Anikhet, H.V.; Rajendra, T.D.; Puja, P.B.; Aditi, M. Hard facts about stones: Pulpal calcifications: A review. J. Pat. Care 2016, 2, 105. [Google Scholar] [CrossRef]
- Inagaki, Y.; Yoshida, K.; Ohba, H.; Seto, H.; Kido, J.-I.; Haneji, T.; Nagata, T. High Glucose Levels Increase Osteopontin Production and Pathologic Calcification in Rat Dental Pulp Tissues. J. Endod. 2010, 36, 1014–1020. [Google Scholar] [CrossRef]
- Bender, I.B.; Bender, A. Diabetes Mellitus and the Dental Pulp. J. Endod. 2003, 29, 383–389. [Google Scholar] [CrossRef] [PubMed]
- Muruganandhan, J.; Sujatha, G.; Poorni, S.; Srinivasan, M.; Boreak, N.; Al-Kahtani, A.; Mashyakhy, M.; Chohan, H.; Bhandi, S.; Raj, A.; et al. Comparison of Four Dental Pulp-Capping Agents by Cone-Beam Computed Tomography and Histological Techniques—A Split-Mouth Design Ex Vivo Study. Appl. Sci. 2021, 11, 3045. [Google Scholar] [CrossRef]
- Almeshari, A.; Khounganian, R.; Mahdi, W.; Aljarbou, F.; Bhandi, S.; Alsubait, S. Pulpal Response to the Combined Use of Mineral Trioxide Aggregate and Iloprost for Direct Pulp Capping. Appl. Sci. 2021, 11, 3702. [Google Scholar] [CrossRef]
- Abuarqoub, D.; Zaza, R.; Aslam, N.; Jafar, H.; Zalloum, S.; Atoom, R.; Awidi, A. The Role of BiodentineTM on the Odontogenic/Osteogenic Differentiation of Human Dental Pulp Stem Cells. Appl. Sci. 2021, 11, 7563. [Google Scholar] [CrossRef]
- Albandar, J.M.; Susin, C.; Hughes, F.J. Manifestations of systemic diseases and conditions that affect the periodontal attachment apparatus: Case definitions and diagnostic considerations. J. Clin. Periodontol. 2018, 45, S171–S189. [Google Scholar] [CrossRef] [PubMed]
- Fenn, S.M.; Narayanan, M.; Jacob, M. Insidious Role of Diabetes Mellitus on Nerves and Dental Pulp Tooth Innervation and Diabetes Mellitus Type 2. J. Clin. Diagn. Res. 2019, 13, ZE05–ZE07. [Google Scholar]
- Ferreira, M.M.; Carrilho, E.; Carrilho, F. Diabetes mellitus and its influence on the success of endodontic treatment: A retrospective clinical study. Acta Med. Port. 2014, 27, 15–22. [Google Scholar] [CrossRef][Green Version]
- Krupińska, A.; Skośkiewicz-Malinowska, K.; Staniowski, T. Different Approaches to the Regeneration of Dental Tissues in Regenerative Endodontics. Appl. Sci. 2021, 11, 1699. [Google Scholar] [CrossRef]
- Chang, J.-H.; Kim, D.-W.; Kim, S.-G.; Kim, T.-W. Alleviation of Oxidative Stress in Dental Pulp Cells Following 4-Hexylresorcinol Administration in a Rat Model. Appl. Sci. 2021, 11, 3637. [Google Scholar] [CrossRef]
- Vacaru, R.-P.; Per, S.; Stanciu, I.-A.; Munteanu, A.; Miricescu, D.; Totan, A.; Tănase, M.; Didilescu, A.C. Clinical and microbiological features of carious dentin in immature permanent molars. Rom. Biotechnol. Lett. 2021, 26, 2340–2346. [Google Scholar] [CrossRef]
- Dumitru, A.I.; Kozma, A. Oro-Dental Aspects in a Pediatric Case with Type 1 Family Neurofibromatosis with Nephrogenic Diabetes Insipidus. Acta Endocrinol. (Bucharest) 2019, 15, 131–132. [Google Scholar] [CrossRef] [PubMed]
- Sachelarie, L.; Farcas, D.M.; Dartu, L.; Vasiliu, M.; Daraba, O.; Nazarie, S.; Mocanu, C.; Burlui, V. Comparative study of diseases of the stomatognathic system and specific parameters of osteoporosis. Osteoporos. Int. 2015, 27, 845–848. [Google Scholar] [CrossRef]
- Moraru, A.I.; Gheorghiţă, L.M.; Dascălu, I.T.; Bătăiosu, M.; Manolea, H.O.; Forna, D.A.; Râcă, A.M.; Raţiu, C.A.; Diaconu, O.A. Histological and immunohistochemical study on the dental pulp of patients with diabetes mellitus. Rom. J. Morphol. Embryol. = Rev. Roum. Morphol. Embryol. 2017, 58, 493–499. [Google Scholar]
- Ilguy, D.; Ilguy, M.; Bayirly, G. The size of dental pulp chamber in adult diabetic patients. Oral Health Dental Manag. 2004, 3, 38–41. [Google Scholar]
- Shetty, P.; Mulay, S.; Singh, M.; Singh, M.; Reddy, M.; Chawla, M.; Shaikh, M. Histological changes in dental pulp of diabetes mellitus (type II). Int. J. Curr. Res. 2017, 9, 57815–57818. [Google Scholar]









Publisher’s Note: MDPI stays neutral with regard to jurisdictional claims in published maps and institutional affiliations. |
© 2021 by the authors. Licensee MDPI, Basel, Switzerland. This article is an open access article distributed under the terms and conditions of the Creative Commons Attribution (CC BY) license (https://creativecommons.org/licenses/by/4.0/).
Share and Cite
Puşcaşu, C.G.; Ștefănescu, C.L.; Murineanu, R.M.; Grigorian, M.; Petcu, L.C.; Dumea, E.; Sachelarie, L.; Puşcaşu, R.A. Histological Aspects Regarding Dental Pulp of Diabetic Patients. Appl. Sci. 2021, 11, 9440. https://doi.org/10.3390/app11209440
Puşcaşu CG, Ștefănescu CL, Murineanu RM, Grigorian M, Petcu LC, Dumea E, Sachelarie L, Puşcaşu RA. Histological Aspects Regarding Dental Pulp of Diabetic Patients. Applied Sciences. 2021; 11(20):9440. https://doi.org/10.3390/app11209440
Chicago/Turabian StylePuşcaşu, Cristina Gabriela, Corina Laura Ștefănescu, Rodica Maria Murineanu, Mircea Grigorian, Lucian Cristian Petcu, Elena Dumea, Liliana Sachelarie, and Radu Andrei Puşcaşu. 2021. "Histological Aspects Regarding Dental Pulp of Diabetic Patients" Applied Sciences 11, no. 20: 9440. https://doi.org/10.3390/app11209440
APA StylePuşcaşu, C. G., Ștefănescu, C. L., Murineanu, R. M., Grigorian, M., Petcu, L. C., Dumea, E., Sachelarie, L., & Puşcaşu, R. A. (2021). Histological Aspects Regarding Dental Pulp of Diabetic Patients. Applied Sciences, 11(20), 9440. https://doi.org/10.3390/app11209440

