Computer-Aided Diagnosis of Alzheimer’s Disease via Deep Learning Models and Radiomics Method
Abstract
:1. Introduction
1.1. Alzheimer’s Disease
1.1.1. Status of Alzheimer’s Disease
1.1.2. Multimodality Diagnosis of Alzheimer’s Disease
1.2. Multimodal Image Fusion Technology
1.3. Deep Learning and Convolution Neural Networks
2. Research Contents and Methods
2.1. Image Data
2.2. Image Preprocessing
2.3. Image Registration
2.4. Multimodal Pixel-Level Image Fusion
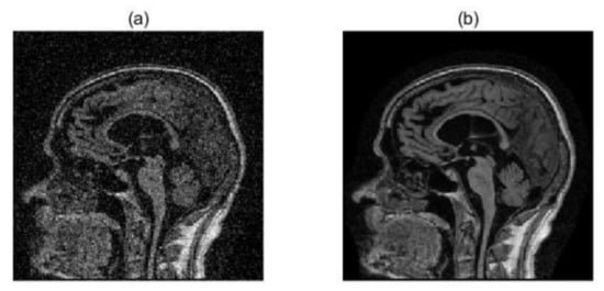
2.4.1. Traditional Wavelet Weighting Algorithm
2.4.2. Frequency Weighted Wavelet Fusion Algorithm
3. Multi-Mode Image Fusion Results and Objective Evaluation
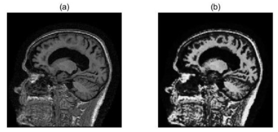
3.1. Multimodal Image Fusion Results
3.2. Evaluation and Analysis of Fused Images
4. Convolution Neural Network Assisting Diagnose
4.1. Construction of Convolution Neural Network
4.1.1. Convolution Neural Network Structure
4.1.2. Improved Deformable U-Net (DeU-Net)
4.2. Performance Testing of Convolutional Neural Networks
4.3. Training and Testing Process
4.3.1. Single Modality Image Training Model
4.3.2. Fusion Image Training Model
5. Diagnosis Results and Analysis
5.1. Convolution Neural Network Diagnostic Results
5.1.1. Single Modality Training Model
5.1.2. Fusion Image Training Model
5.1.3. Comparison between Single Modality and Fusion Modality
6. Discussion
7. Conclusions
Author Contributions
Funding
Institutional Review Board Statement
Informed Consent Statement
Data Availability Statement
Conflicts of Interest
References
- 2021 Alzheimer’s disease facts and figures. Alzheimers Dement. 2021, 17, 327–406. [CrossRef]
- Wang, S.H.; Phillips, P.; Sui, Y.X.; Liu, B.; Yang, M.; Cheng, H. Classification of Alzheimer’s Disease Based on Eight-Layer Convolutional Neural Network with Leaky Rectified Linear Unit and Max Pooling. J. Med. Syst. 2018, 42. [Google Scholar] [CrossRef] [PubMed]
- Guy, M.M.; David, S.K.; Howard, C.; Bradley, T.H.; Clifford, R.J.; Claudia, R.J.; Claudia, H.K.; Williams, E.K.; Walter, J.K.; Jennifer, J.M.; et al. The diagnosis of dementia due to Alzheimer’s disease: Recommendations from the National Institute on Aging-Alzheimer’s Association workgroups on diagnostic guidelines for Alzheimer’s disease. Alzheimer’s Dement. 2011, 7, 263–269. [Google Scholar]
- Gao, T.L.; Chen, K.P. Common diagnostic methods of Alzheimer’s disease. Mod. Med. 2016, 44, 415–419. [Google Scholar]
- Yu, Z.; Fu, W.L. Alzheimer’s disease and diagnostic research progress. J. Clin. Lab. 2016, 34, 49–51. [Google Scholar]
- Saraiva, C.; Praça, C.; Ferreira, R.; Santos, T.; Ferreira, L.; Bernardino, L. Nanoparticle-mediated brain drug delivery: Overcoming blood–brain barrier to treat neurodegenerative diseases. J. Control. Release 2016, 235, 34–47. [Google Scholar] [CrossRef] [PubMed] [Green Version]
- Perrin, R.J.; Fagan, A.M.; Holtzman, D.M. Multimodal techniques for diagnosis and prognosis of Alzheimer’s disease. Nature 2009, 461, 916–922. [Google Scholar] [CrossRef] [PubMed]
- Zhou, T.; Thung, K.; Zhu, X.; Shen, D. Effective feature learning and fusion of multimodality data using stage wise deep neural network for dementia diagnosis. Hum. Brain Mapp. 2019, 40, 1001–1016. [Google Scholar] [CrossRef] [PubMed] [Green Version]
- Liu, Y.B.; Fan, L.X.; Zhang, C.Q.; Zhou, T.; Xiao, Z.T.; Geng, L.; Shen, D.G. Incomplete multi-modal representation learning for Alzheimer’s disease diagnosis. Med. Image Anal. 2021, 69. [Google Scholar] [CrossRef] [PubMed]
- Handels, R.; Vermunt, L.; Sikkes, S.; Potashman, M. Predicting the health economic impact of early treatment in pre-dementia alzheimer’s disease. Alzheimer’s Dement. 2017, 13, 1457. [Google Scholar] [CrossRef]
- Ece, B.; Caldwell, J.Z.K.; Banks, S.J. Current understanding of magnetic resonance imaging biomarkers and memory in Alzheimer’s disease. Alzheimers Dement. Transl. Res. Clin. Interv. 2018, 4, 395–413. [Google Scholar]
- Yang, W.; Liu, J. Research and development of medical image fusion. In Proceedings of the 2013 IEEE International Conference on Medical Imaging Physics and Engineering, Shenyang, China, 19–20 October 2013; pp. 307–309. [Google Scholar] [CrossRef]
- Anwar, S.M.; Majid, M.; Qayyum, A.; Awais, M.; Alnowami, M.; Khan, M.K. Medical Image Analysis using Convolutional Neural Networks: A Review. J. Med. Syst. 2017, 42, 226. [Google Scholar] [CrossRef] [PubMed] [Green Version]
- Gautam, R.; Sharma, M. Prevalence and Diagnosis of Neurological Disorders Using Different Deep Learning Techniques: AMeta-Analysis. J. Med. Syst. 2020, 44, 1–24. [Google Scholar] [CrossRef] [PubMed]
- Tustison, N.J.; Avants, B.B.; Gee, J.C. Learning image-based spatial transformations via convolutional neural networks: A review. Magn. Reson. Imaging 2019, 64, 142–153. [Google Scholar] [CrossRef]
- Hubel, D.H.; Wiesel, T.N. Receptive fields, binocular interaction and functional architecture in the cat’s visual cortex. J. Physiol. 1962, 160, 106–154. [Google Scholar] [CrossRef]
- Fukushima, K. Nleocognitron: A self-organizing neural network model for a mechanism of pattern recognition unaffected by shift in position. Biol. Cybern. 1980, 36, 193–202. [Google Scholar] [CrossRef]
- Lecun, Y.; Bottou, L.; Bengio, Y.; Haffner, P. Gradient-Based Learning Applied to Document Recognition. Proc. IEEE 1998, 86, 2278–2324. [Google Scholar] [CrossRef] [Green Version]
- Islam, M.; Poly, T.N.; Yang, H.C.; Atique, S.; Li, Y.-C.J. Deep Learning for Accurate Diagnosis of Glaucomatous Optic Neuropathy Using Digital Fundus Image: A Meta-Analysis. Stud Health Technol. Inform. 2020, 270, 153–157. [Google Scholar]
- Wang, X.; Zhuang, C. A TE Process Fault Diagnosis Method Based on Improved Wavelet Threshold Denoising and Principal Component Analysis. In Proceedings of the 2018 IEEE 4th International Conference on Computer and Communications (ICCC), Chengdu, China, 7–10 December 2018. [Google Scholar]
- Ma, J.; Jiang, J.; Zhou, H.; Zhao, J.; Guo, X. Guided Locality Preserving Feature Matching for Remote Sensing Image Registration. IEEE Trans. Geosci. Remote Sens. 2018, 56, 4435–4447. [Google Scholar] [CrossRef]
- Uss, M.L.; Vozel, B.; Lukin, V.V.; Chehdi, K. Efficient Rotation-Scaling-Translation Parameter Estimation Based on the Fractal Image Model. IEEE Trans. Geoence Remote Sens. 2015, 54, 197–212. [Google Scholar] [CrossRef] [Green Version]
- Pan, T.-T.; Ji, Z. Research on Medical Image Registration Based on QPSO and Powell Algorithm. In Proceedings of the International Symposium on Distributed Computing & Applications for Business Engineering & Science, Guiyang, China, 18–24 August 2015. [Google Scholar]
- Jim, J.; Yan, W.; Yi, W.; Zhao, S.G.; Gao, X. Maximum mutual information regularized classification. Eng. Appl. Artif. Intell. 2015, 37, 1–8. [Google Scholar]
- Ronneberger, O.; Fischer, P.; Brox, T. U-Net: Convolutional Networks for Biomedical Image Segmentation. In Proceedings of the International Conference on Medical Image Computing & Computer-Assisted Intervention, Munich, Germany, 5–9 October 2015. [Google Scholar]
- Dai, Y.; Tang, Z.; Wang, Y.; Xu, Z.A. Data Driven Intelligent Diagnostics for Parkinson’s Disease. IEEE Access 2019, 7, 106040–106049. [Google Scholar] [CrossRef]
- Farabet, C.; Couprie, C.; Najman, L.; LeCun, Y. Learning hierarchical features for scene labeling. IEEE Trans. Pattern Anal. Mach. Intell. 2013, 35, 1915–1929. [Google Scholar] [CrossRef] [PubMed] [Green Version]
- Zhihua, Z. Machine Learning; Tsinghua University Press: Beijing, China, 2016. [Google Scholar]


















| Parameter | Definition | Formula | Evaluation Criteria |
|---|---|---|---|
| Spatial Frequency (SF) | Spatial frequency reflects the overall activity level of an image space and evaluates the degree of image clarity. | Larger SF refers to more active image and better fusion effect. | |
| Information Entropy (IE) | Information entropy refers to the probability distribution of pixels of different gray levels in space, and describes its detail expressive force. | Bigger IE refers to richer details and better quality of the fused image. | |
| Mean Gradient (MG) | The average gradient represents the mean value of image gradient, which reflects the change of the gray level of image. | Higher MG refers to higher image contrast. | |
| Cross Entropy (CERF) | Cross entropy is used to measure the difference of information between two images, which reflects the difference between the two-pixel levels. | Smaller CERF difference refers to more information the fusion method extracts | |
| Peak Signal-to-Noise Ratio (PSNR) | The peak signal-to-noise ratio measures the realistic degree of the image. | Higher PSNR refers to smaller distortion and better fusion effect. |
| SE | TE | MG | MI | CERF | PSNR | |
|---|---|---|---|---|---|---|
| Traditional Wavelet Fusion | 6.7249 | 4.8320 | 2.8021 | 0.3543 | 1.3224 | 26.5542 |
| Improved Wavelet Fusion | 8.3019 | 4.9741 | 3.4290 | 0.3117 | 1.2041 | 32.0910 |
| p-value | <0.001 | 0.011 | <0.001 | 0.005 | <0.001 | 0.017 |
| K-Fold | CNN | DeU-Net | GoogLeNet | InceptionV3 | MobileNetV2 | VGG16 |
|---|---|---|---|---|---|---|
| 1 | 92.35% | 92.78% | 91.02% | 93.04% | 92.84% | 92.99% |
| 2 | 95.32% | 95.32% | 95.66% | 95.46% | 95.10% | 93.56% |
| 3 | 96.52% | 96.52% | 96.78% | 96.43% | 96.32% | 96.73% |
| 4 | 96.97% | 96.97% | 97.01% | 96.99% | 96.57% | 96.81% |
| 5 | 97.45% | 97.45% | 97.62% | 97.41% | 97.28% | 97.39% |
| 6 | 97.52% | 97.74% | 97.81% | 97.76% | 97.86% | 97.68% |
| 7 | 97.76% | 97.88% | 97.92% | 97.81% | 97.95% | 97.89% |
| 8 | 97.83% | 97.92% | 97.92% | 97.92% | 97.98% | 98.00% |
| 9 | 97.96% | 98.01% | 98.01% | 97.99% | 98.04% | 98.03% |
| 10 | 98.03% | 98.05% | 98.02% | 98.01% | 98.06% | 98.08% |
| CNN | DeU-Net | InceptionV3 | MobileNetV2 | VGG16 | |
|---|---|---|---|---|---|
| Train | 0.914 ± 0.072 | 0.962 ± 0.075 | 0.815 ± 0.145 | 0.970 ± 0.013 | 0.955 ± 0.012 |
| Test | 0.922 ± 0.075 | 0.926 ± 0.029 | 0.827 ± 0.151 | 0.908 ± 0.017 | 0.917 ± 0.018 |
| Validation | 0.899 ± 0.048 | 0.906 ± 0.028 | 0.809 ± 0.127 | 0.920 ± 0.064 | 0.905 ± 0.019 |
| AUC | ACC (%) | SENS (%) | SPEC (%) | PPV (%) | NPV (%) | ||
|---|---|---|---|---|---|---|---|
| CNN | Train | 0.914 | 87.1 | 90.2 | 91.4 | 94.5 | 89.7 |
| Test | 0.922 | 89.6 | 91.4 | 90.5 | 91.2 | 88.7 | |
| Validation | 0.899 | 84.5 | 88.7 | 89.1 | 86.9 | 84.4 | |
| DeU-Net | Train | 0.962 | 89.9 | 98.1 | 89.9 | 92.1 | 87.1 |
| Test | 0.926 | 90.4 | 94.1 | 83.2 | 94.3 | 83.6 | |
| Validation | 0.906 | 89.5 | 92.6 | 81.9 | 97.9 | 87.3 | |
| GoogLeNet | Train | 0.852 | 79.6 | 83.6 | 80.1 | 82.4 | 84.7 |
| Test | 0.871 | 77.5 | 85.4 | 79.7 | 81.6 | 83.5 | |
| Validation | 0.839 | 80.0 | 78.1 | 80.5 | 80.0 | 79.1 | |
| InceptionV3 | Train | 0.815 | 78.8 | 80.8 | 90.3 | 80.8 | 79.0 |
| Test | 0.827 | 79.7 | 81.0 | 89.1 | 81.0 | 73.5 | |
| Validation | 0.809 | 77.3 | 78.7 | 92.1 | 88.1 | 81.2 | |
| MobileNetV2 | Train | 0.970 | 95.9 | 98.4 | 96.5 | 98.2 | 94.2 |
| Test | 0.908 | 88.4 | 94.7 | 90.2 | 94.7 | 82.5 | |
| Validation | 0.920 | 81.0 | 96.3 | 91.9 | 95.4 | 87.1 | |
| VGG16 | Train | 0.955 | 86.4 | 95.3 | 97.1 | 95.3 | 94.9 |
| Test | 0.917 | 87.7 | 91.5 | 93.2 | 91.5 | 86.2 | |
| Validation | 0.905 | 81.1 | 90.1 | 91.0 | 89.7 | 84.1 |
| CNN | GoogLeNet | DeU-Net | InceptionV3 | MobileNetV2 | VGG16 | |
|---|---|---|---|---|---|---|
| Train | 0.935 ± 0.042 | 0.916 ± 0.053 | 0.967 ± 0.022 | 0.891 ± 0.038 | 0.945 ± 0.050 | 0.949 ± 0.040 |
| Test | 0.927 ± 0.046 | 0.909 ± 0.017 | 0.929 ± 0.037 | 0.922 ± 0.046 | 0.909 ± 0.065 | 0.928 ± 0.010 |
| Validation | 0.916 ± 0.053 | 0.897 ± 0.013 | 0.941 ± 0.017 | 0.849 ± 0.043 | 0.899 ± 0.063 | 0.856 ± 0.027 |
| AUC | ACC (%) | SENS (%) | SPEC (%) | PPV (%) | NPV (%) | ||
|---|---|---|---|---|---|---|---|
| CNN | Train | 0.935 | 89.4 | 93.1 | 95.2 | 88.2 | 88.2 |
| Test | 0.927 | 91.5 | 92.5 | 93.4 | 91.0 | 93.3 | |
| Validation | 0.916 | 90.9 | 90.9 | 90.9 | 89.5 | 89.5 | |
| DeU-Net | Train | 0.967 | 95.7 | 97.9 | 94.8 | 90.2 | 88.2 |
| Test | 0.929 | 91.6 | 95.1 | 87.1 | 95.1 | 85.6 | |
| Validation | 0.941 | 90.5 | 92.4 | 84.0 | 99.7 | 84.9 | |
| GoogLeNet | Train | 0.916 | 91.1 | 88.5 | 86.4 | 84.9 | 77.3 |
| Test | 0.909 | 88.4 | 86.1 | 82.3 | 87.6 | 71.5 | |
| Validation | 0.897 | 86.0 | 79.2 | 81.7 | 77.5 | 82.1 | |
| InceptionV3 | Train | 0.891 | 85.1 | 78.4 | 95.1 | 85.3 | 85.2 |
| Test | 0.922 | 89.3 | 85.0 | 90.7 | 82.0 | 71.5 | |
| Validation | 0.849 | 81.2 | 82.3 | 94.0 | 89.0 | 91.2 | |
| MobileNetV4 | Train | 0.945 | 91.4 | 94.3 | 96.0 | 96.9 | 93.0 |
| Test | 0.909 | 89.7 | 92.5 | 90.2 | 97.2 | 86.7 | |
| Validation | 0.899 | 88.1 | 99.2 | 88.9 | 94.9 | 82.0 | |
| VGG16 | Train | 0.949 | 89.9 | 94.2 | 97.2 | 98.2 | 92.9 |
| Test | 0.928 | 88.5 | 92.5 | 93.1 | 97.3 | 89.6 | |
| Validation | 0.856 | 84.2 | 83.9 | 87.0 | 84.9 | 83.9 |
| Dataset Modality | ACC (%) | AUC (%) | |
|---|---|---|---|
| CNN | Single | 84.5 | 89.9 |
| Fusion | 90.9 | 91.6 | |
| DeU-Net | Single | 89.5 | 90.6 |
| Fusion | 90.5 | 94.1 | |
| GoogLeNet | Single | 80.0 | 83.9 |
| Fusion | 86.0 | 89.7 | |
| InceptionV3 | Single | 77.3 | 80.9 |
| Fusion | 81.2 | 84.9 | |
| MobileNetV2 | Single | 81.0 | 92.0 |
| Fusion | 88.1 | 89.9 | |
| VGG16 | Single | 81.1 | 90.5 |
| Fusion | 84.2 | 85.6 |
Publisher’s Note: MDPI stays neutral with regard to jurisdictional claims in published maps and institutional affiliations. |
© 2021 by the authors. Licensee MDPI, Basel, Switzerland. This article is an open access article distributed under the terms and conditions of the Creative Commons Attribution (CC BY) license (https://creativecommons.org/licenses/by/4.0/).
Share and Cite
Dai, Y.; Bai, W.; Tang, Z.; Xu, Z.; Chen, W. Computer-Aided Diagnosis of Alzheimer’s Disease via Deep Learning Models and Radiomics Method. Appl. Sci. 2021, 11, 8104. https://doi.org/10.3390/app11178104
Dai Y, Bai W, Tang Z, Xu Z, Chen W. Computer-Aided Diagnosis of Alzheimer’s Disease via Deep Learning Models and Radiomics Method. Applied Sciences. 2021; 11(17):8104. https://doi.org/10.3390/app11178104
Chicago/Turabian StyleDai, Yin, Wenhe Bai, Zheng Tang, Zian Xu, and Weibing Chen. 2021. "Computer-Aided Diagnosis of Alzheimer’s Disease via Deep Learning Models and Radiomics Method" Applied Sciences 11, no. 17: 8104. https://doi.org/10.3390/app11178104
APA StyleDai, Y., Bai, W., Tang, Z., Xu, Z., & Chen, W. (2021). Computer-Aided Diagnosis of Alzheimer’s Disease via Deep Learning Models and Radiomics Method. Applied Sciences, 11(17), 8104. https://doi.org/10.3390/app11178104

