Complications Following Masseteric Nerve Neurectomy with Radiofrequency for the Treatment of Temporomandibular Disorders—A Case Series and Literature Review
Abstract
:1. Introduction
2. Case Series
2.1. Case 1
2.1.1. Clinical Examinations
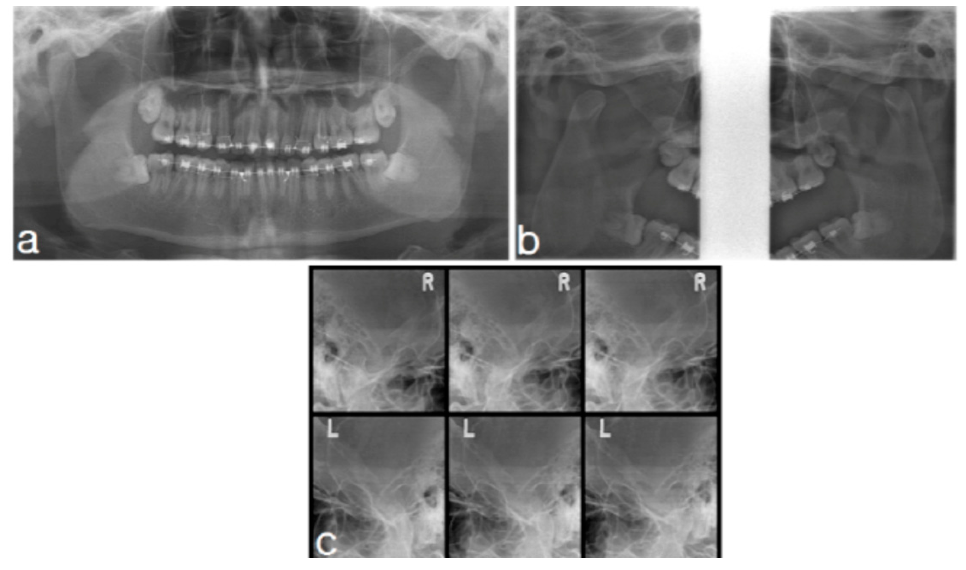
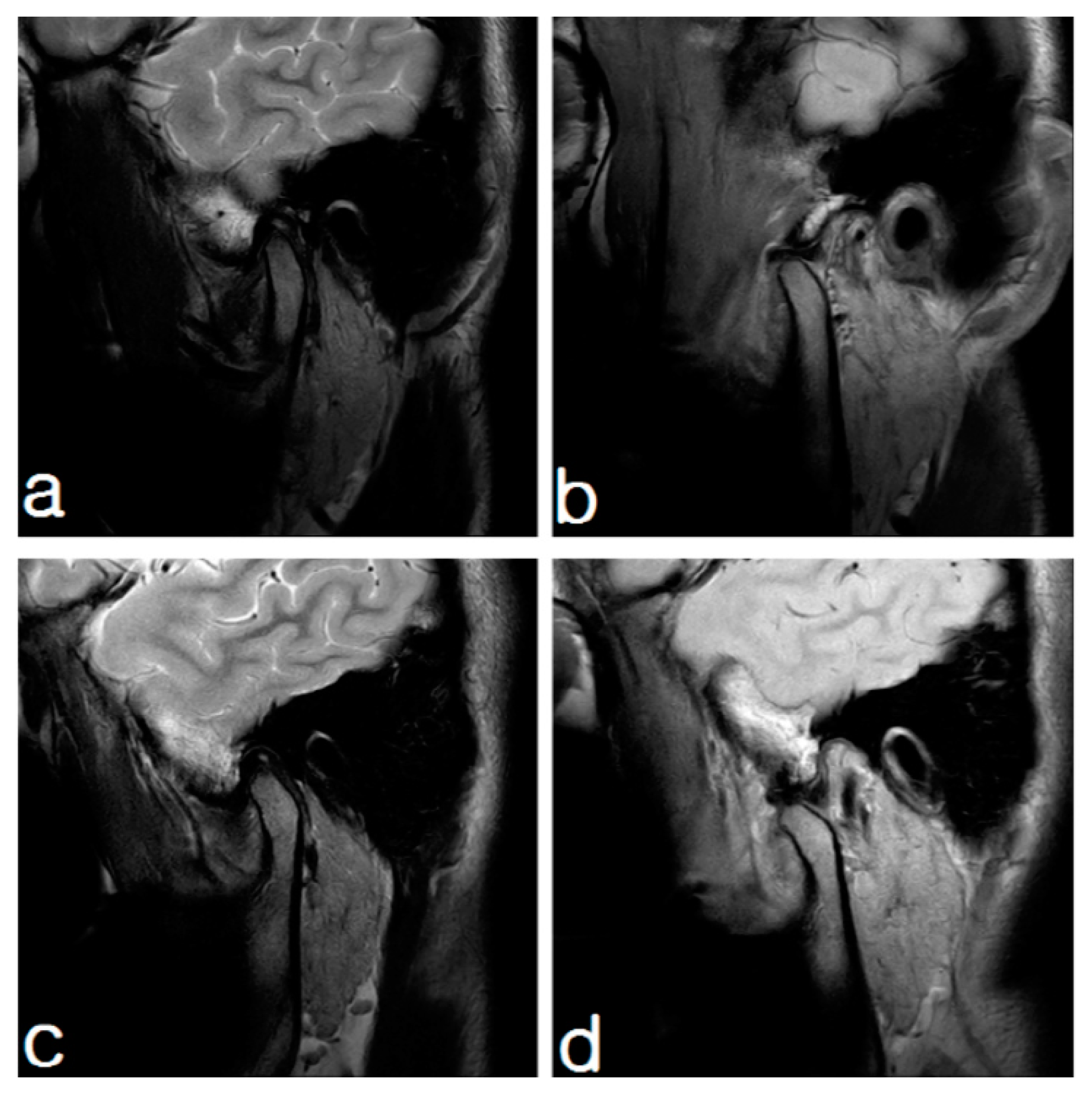
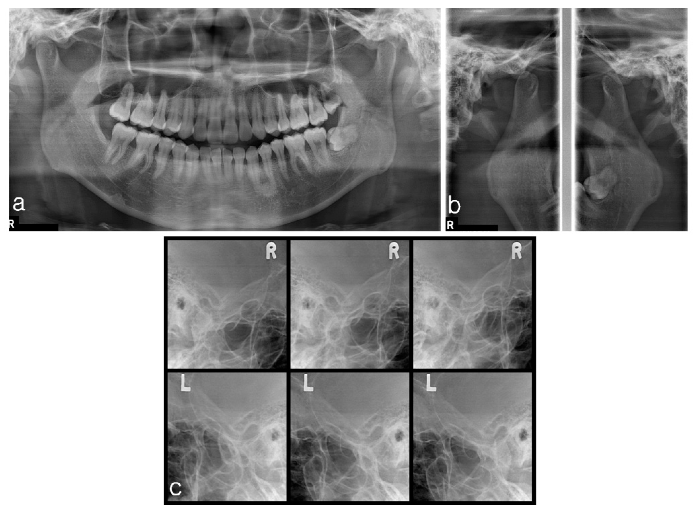
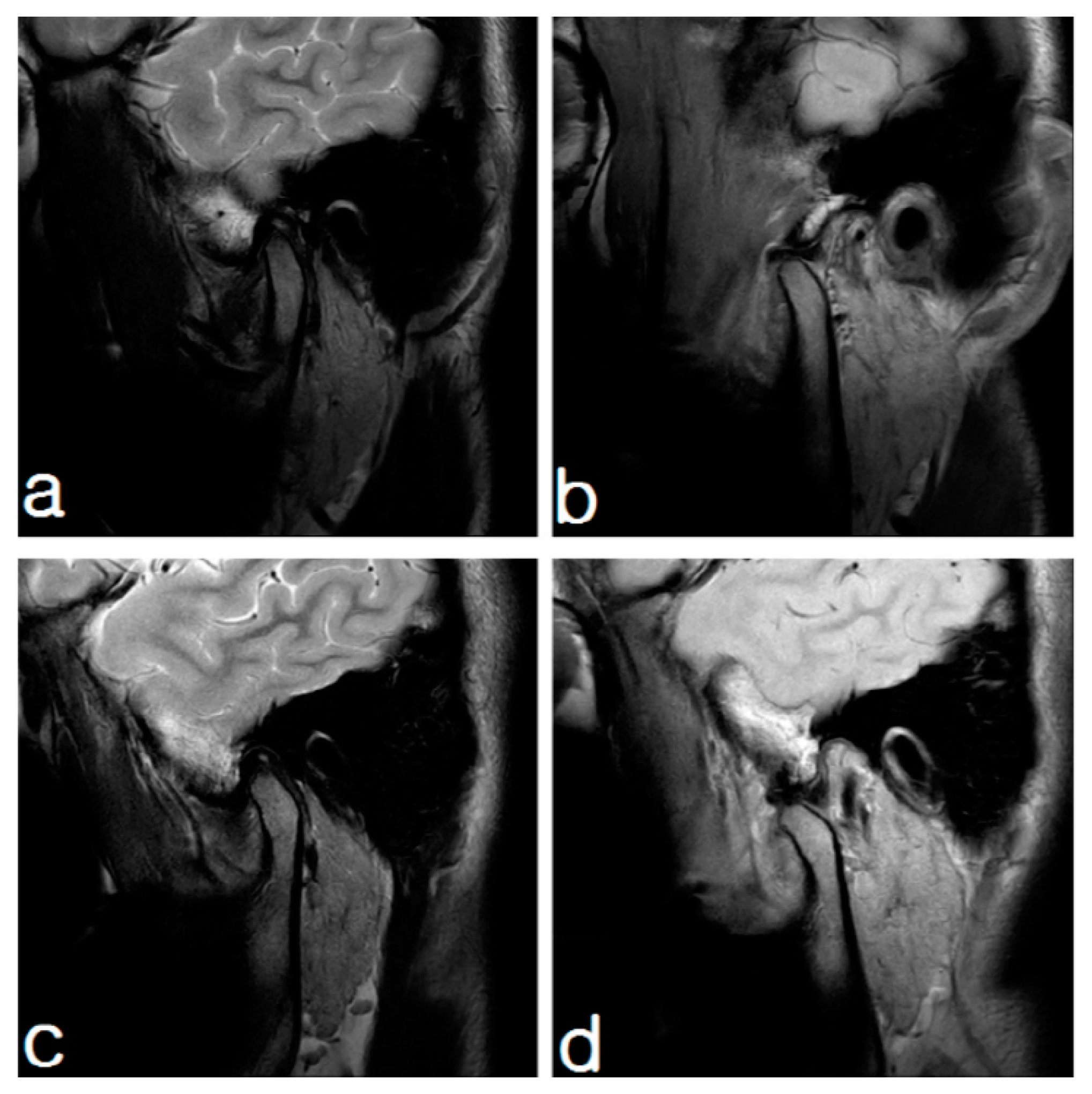
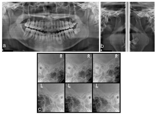
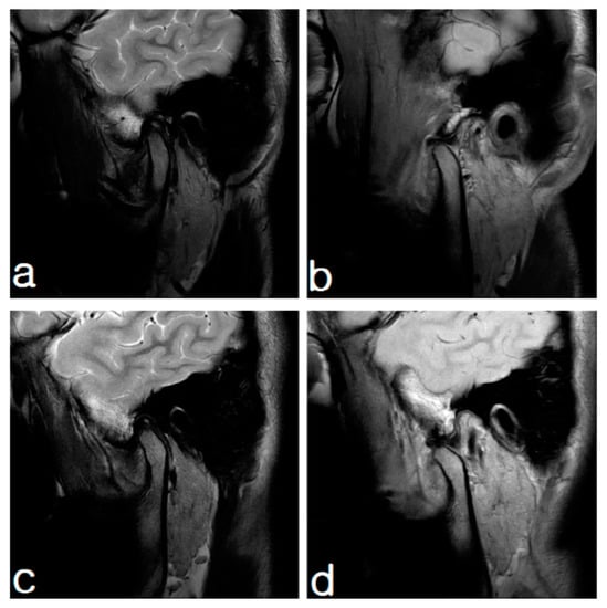
2.1.2. Imaging
2.1.3. Treatment
2.2. Case 2
2.2.1. Clinical Examinations
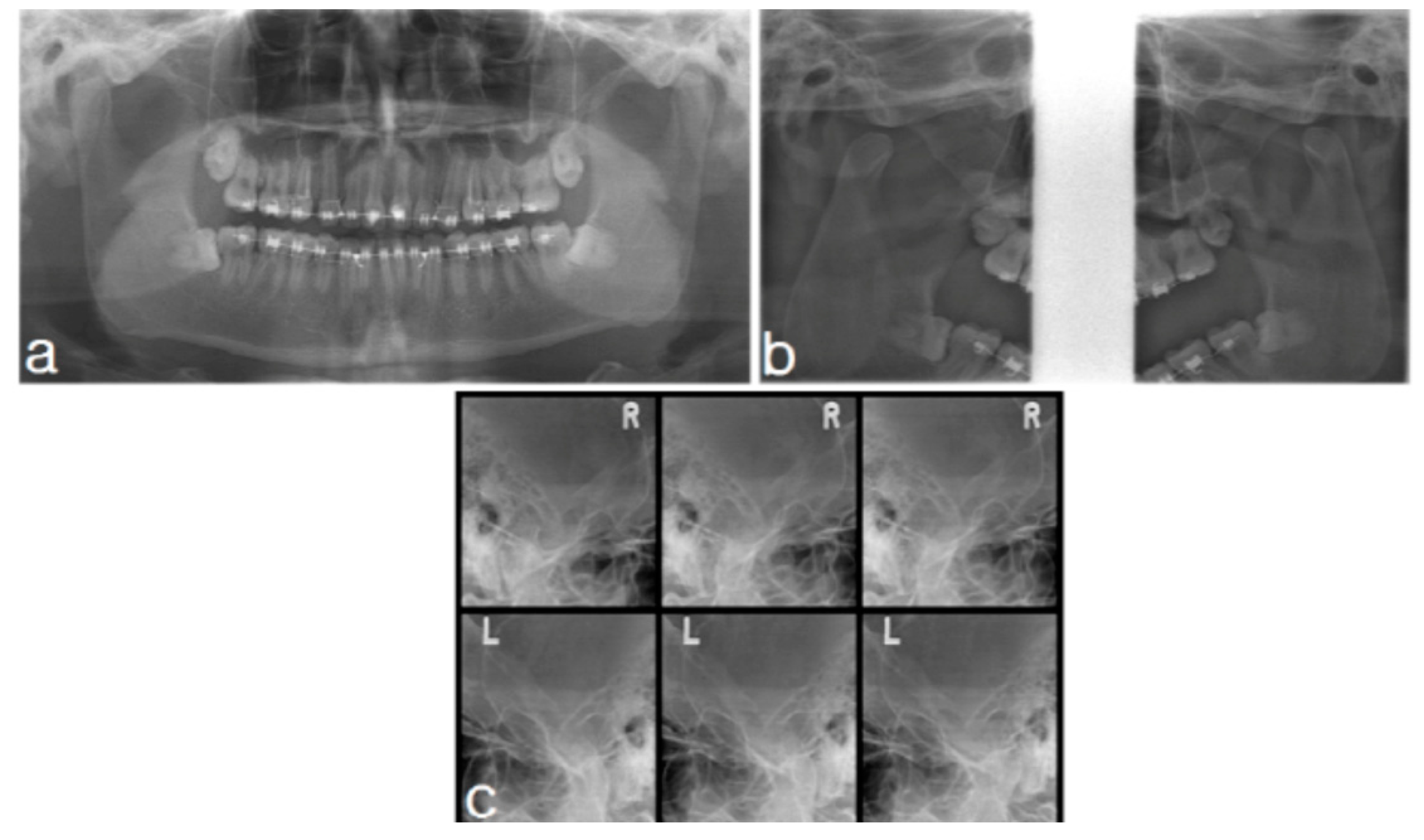
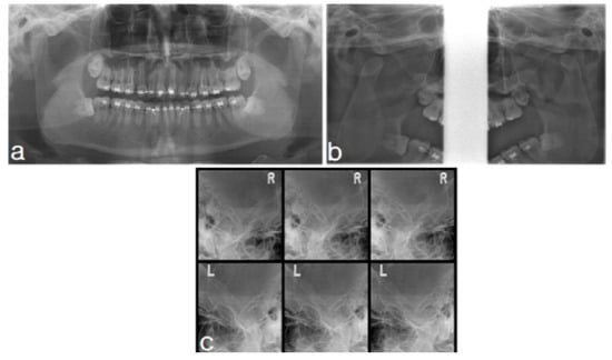
2.2.2. Imaging
2.2.3. Treatment
3. Discussion
4. Conclusions
Author Contributions
Funding
Institutional Review Board Statement
Informed Consent Statement
Data Availability Statement
Conflicts of Interest
References
- Yoon, J.S. Medical Dispute Mediation and Arbitration Case Book 2018/2019; Korea Medical Dispute Mediation and Arbitration Agency: Seoul, Korea, 2020; pp. 439–443. [Google Scholar]
- Kwon, J.O.; Lee, M.J.; Lee, K.H.; Choi, M.H. Masseter muscle reduction using radiofrequency rhizotomy. J. Korean Soc. Aesth. Plast. Surg. 2008, 14, 43–48. Available online: https://www.ksaps.or.kr/journal/view.php?sid=432 (accessed on 17 June 2021).
- Sweet, W.H.; Wepsic, J.G. Controlled thermocoagulation of trigeminal ganglion and rootlets for differential destruction of pain fibers Part 1: Trigeminal neuralgia. J. Neurosurg. 1974, 40, 143–156. [Google Scholar] [CrossRef]
- Nugent, G.R.; Berry, B. Trigeminal neuralgia treated by differential percutaneous radiofrequency coagulation of the Gasserian ganglion. J. Neurosurg. 1974, 40, 517–523. [Google Scholar] [CrossRef]
- Kasdon, D.L.; Lathi, E.S. A prospective study of radiofrequency rhizotomy in the treatment of posttraumatic spasticity. Neurosurgery 1984, 15, 526–529. [Google Scholar] [CrossRef] [PubMed]
- Sluijter, M.; Racz, G. Technical aspects of radiofrequency. Pain Pract. 2000, 2, 195–200. [Google Scholar] [CrossRef] [PubMed]
- Schiffman, E.; Ohrbach, R.; Truelove, E.; Look, J.; Anderson, G.; Goulet, J.P.; List, T.; Svensson, P.; Gonzalez, Y.; Lobbezoo, F.; et al. Diagnostic criteria for temporomandibular disorders (DC/TMD) for clinical and research applications: Recommendations of the International RDC/TMD Consortium Network and Orofacial Pain Special Interest Group. J. Oral Facial Pain Headache 2014, 28, 6–27. [Google Scholar] [CrossRef]
- Ko, M.Y. Psychological analysis of TMD patients through the SCL-90-R. J. Oral Med. Pain 1999, 24, 59–67. [Google Scholar]
- Kim, C. Conservative treatment modalities for patients with temporomandibular joint (TMJ) disorders. J. Korean Dent. Assoc. 2013, 51, 74–83. [Google Scholar]
- Kim, J.H.; Park, J.S.; Ko, M.Y. The effects of low level laser therapy on current perception threshold in orofacial region. J. Oral Med. Pain 2002, 27, 391–400. [Google Scholar]
- Dworkin, S.F.; Von Korff, M.R.; LeResche, L. Epidemiologic studies of chronic pain: A dynamic-ecologic perspective. Ann. Behav. Med. 1992, 14, 3–11. [Google Scholar] [CrossRef]
- List, T.; Axelsson, S. Management of TMD: Evidence from systematic reviews and meta-analyses. J. Oral Rehabil. 2010, 37, 430–451. [Google Scholar] [CrossRef]
- de Resende, C.; de Oliveira Medeiros, F.; de Figueiredo Rêgo, C.R.; Bispo, A.; Barbosa, G.; de Almeida, E.O. Short-term effectiveness of conservative therapies in pain, quality of life, and sleep in patients with temporomandibular disorders: A randomized clinical trial. Cranio 2019, 1–9. [Google Scholar] [CrossRef]
- Mena, M.; Dalbah, L.; Levi, L.; Padilla, M.; Enciso, R. Efficacy of topical interventions for temporomandibular disorders compared to placebo or control therapy: A systematic review with meta-analysis. J. Dent. Anesth. Pain Med. 2020, 20, 337–356. [Google Scholar] [CrossRef]
- Ebrahim, S.; Montoya, L.; Busse, J.W.; Carrasco-Labra, A.; Guyatt, G.H. The effectiveness of splint therapy in patients with temporomandibular disorders: A systematic review and meta-analysis. J. Am. Dent. Assoc. 2012, 143, 847–857. [Google Scholar] [CrossRef]
- Deregibus, A.; Ferrillo, M.; Grazia Piancino, M.; Chiara Domini, M.; de Sire, A.; Castroflorio, T. Are occlusal splints effective in reducing myofascial pain in patients with muscle-related temporomandibular disorders? A randomized-controlled trial. Turk. J. Phys. Med. Rehabil. 2021, 67, 32–40. [Google Scholar] [CrossRef]
- Melis, M.; Di Giosia, M.; Zawawi, K.H. Oral myofunctional therapy for the treatment of temporomandibular disorders: A systematic review. Cranio 2019, 17, 1–7. [Google Scholar] [CrossRef]
- Park, Y.J.; Jo, Y.W.; Bang, S.I.; Kim, H.J.; Lim, S.Y.; Mun, G.H.; Hyon, W.S.; Oh, K.S. Radiofrequency volume reduction of gastrocnemius muscle hypertrophy for cosmetic purposes. Aesth. Plast. Surg. 2007, 31, 53–61. [Google Scholar] [CrossRef] [PubMed]
- Lee, A. Calf reduction using radiofrequency (RF) directed to the gastrocnemius muscle. J. Korean Soc. Aesth. Plast. Surg. 2007, 13, 105–110. Available online: https://www.ksaps.or.kr/journal/view.php?sid=399 (accessed on 17 June 2021).
- Hwang, C.H. Excessive gastrocnemius fibrosis developed after radiofrequency-induced cosmetic volume reduction. Aesth. Plast. Surg. 2011, 35, 1172–1175. [Google Scholar] [CrossRef]
- Foster, K.W.; Fincher, E.F.; Moy, R.L. Radiofrequency ablation of facial nerve branches controlling glabellar frowning. Dermatol. Surg. 2009, 35, 1908–1917. [Google Scholar] [CrossRef] [PubMed]
- Newman, J. Radiofrequency (GFXTM) ablation for the reduction of glabellar frowning. Facial Plast. Surg. 2010, 26, 266–273. [Google Scholar] [CrossRef]
- Kanpolat, Y.; Savas, A.; Bekar, A.; Berk, C. Percutaneous controlled radiofrequency trigeminal rhizotomy for the treatment of idiopathic trigeminal neuralgia: 25-year experience with 1,600 patients. Neurosurgery 2001, 48, 524–534. [Google Scholar] [CrossRef] [PubMed]
- Roccuzzo, A.; Molinero-Mourelle, P.; Ferrillo, M.; Cobo-Vázquez, C.; Sanchez-Labrador, L.; Ammendolia, A.; Migliario, M.; de Sire, A. Type I collagen-based devices to treat nerve injuries after oral surgery procedures. A systematic review. Appl. Sci. 2021, 11, 3927. [Google Scholar] [CrossRef]
- Park, Y.J.; Jo, Y.W.; Bang, S.I.; Kim, H.J.; Lim, S.Y.; Mun, G.H.; Hyon, W.S.; Oh, K.S. Radiofrequency volumetric reduction for masseteric hypertrophy. Aesth. Plast. Surg. 2007, 31, 42–52. [Google Scholar] [CrossRef] [PubMed]
- Ham, J.W. Masseter muscle reduction procedure with radiofrequency coagulation. J. Oral Maxillofac. Surg. 2009, 67, 457–463. [Google Scholar] [CrossRef] [PubMed]
- Huang, J.L.; Chen, G.; Chen, X.D.; Zhou, B.R.; Luo, D. A comparative study of the efficacy and safety of radiofrequency ablation and botulinum toxin A in treating masseteric hypertrophy. Exp. Ther. Med. 2014, 7, 1203–1208. [Google Scholar] [CrossRef] [PubMed] [Green Version]
- Nam, H.; Ko, D.; Kang, J.K.; Shim, Y.J. Myofascial orofacial pain exacerbated after masseteric nerve neurectomy. J. Oral Med. Pain 2020, 45, 110–114. [Google Scholar] [CrossRef]
- Song, K.H.; Kim, M.H.; Jung, J.W.; Kim, A.S.; Hong, S.P.; Kim, S.G. The change in dimension of the masseter muscle in rabbits after radiofrequency therapy. J. Oral Maxillorfac. Surg. 2009, 67, 485–490. [Google Scholar] [CrossRef]
- Valesan, L.F.; Da-Cas, C.D.; Reus, J.C.; Denardin, A.C.S.; Garanhani, R.R.; Bonotto, D.; Januzzi, E.; de Souza, B.D.M. Prevalence of temporomandibular joint disorders: A systematic review and meta-analysis. Clin. Oral Investig. 2021, 25, 441–453. [Google Scholar] [CrossRef]
- Tanaka, E.; Detamore, M.S.; Mercuri, L.G. Degenerative disorders of the temporomandibular joint: Etiology, diagnosis, and treatment. J. Dent. Res. 2008, 87, 296–307. [Google Scholar] [CrossRef]
- Paolucci, T.; Agostini, F.; Paoloni, M.; de Sire, A.; Verna, S.; Pesce, M.; Ribecco, L.; Mangone, M.; Bernetti, A.; Saggini, R. Efficacy of TENS in cervical pain syndromes: An umbrella review of systematic reviews. Appl. Sci. 2021, 11, 3423. [Google Scholar] [CrossRef]
- Manfredini, D.; Guarda-Nardini, L.; Winocur, E.; Piccotti, F.; Ahlberg, J.; Lobbezoo, F. Research diagnostic criteria for temporomandibular disorders: A systematic review of axis I epidemiologic findings. Oral Surg. Oral Med. Oral Pathol. Oral Radiol. Endod. 2011, 112, 453–462. [Google Scholar] [CrossRef] [PubMed]
- Benoliel, R.; Svensson, P.; Heir, G.M.; Sirois, D.; Zakrzewska, J.; Oke-Nwosu, J.; Torress, S.R.; Greenberg, M.S.; Klasser, G.D.; Katz, J.; et al. Persistent orofacial muscle pain. Oral Dis. 2011, 17, 23–41. [Google Scholar] [CrossRef] [PubMed]
- Poveda-Roda, R.; Moreno, P.; Bagan, J.; Margaix, M. Myofascial pain: Ultrasound width of the masseter muscle. J. Oral Facial Pain Headache 2018, 32, 298–303. [Google Scholar] [CrossRef] [PubMed]
- Sarlani, E.; Grace, E.G.; Reynolds, M.A.; Greenspan, J.D. Evidence for up-regulated central nociceptive processing in patients with masticatory myofascial pain. J. Orofac. Pain 2004, 18, 41–55. [Google Scholar]






Publisher’s Note: MDPI stays neutral with regard to jurisdictional claims in published maps and institutional affiliations. |
© 2021 by the authors. Licensee MDPI, Basel, Switzerland. This article is an open access article distributed under the terms and conditions of the Creative Commons Attribution (CC BY) license (https://creativecommons.org/licenses/by/4.0/).
Share and Cite
Cho, I.-S.; Jo, J.H.; Park, J.W. Complications Following Masseteric Nerve Neurectomy with Radiofrequency for the Treatment of Temporomandibular Disorders—A Case Series and Literature Review. Appl. Sci. 2021, 11, 5824. https://doi.org/10.3390/app11135824
Cho I-S, Jo JH, Park JW. Complications Following Masseteric Nerve Neurectomy with Radiofrequency for the Treatment of Temporomandibular Disorders—A Case Series and Literature Review. Applied Sciences. 2021; 11(13):5824. https://doi.org/10.3390/app11135824
Chicago/Turabian StyleCho, Il-San, Jung Hwan Jo, and Ji Woon Park. 2021. "Complications Following Masseteric Nerve Neurectomy with Radiofrequency for the Treatment of Temporomandibular Disorders—A Case Series and Literature Review" Applied Sciences 11, no. 13: 5824. https://doi.org/10.3390/app11135824
APA StyleCho, I.-S., Jo, J. H., & Park, J. W. (2021). Complications Following Masseteric Nerve Neurectomy with Radiofrequency for the Treatment of Temporomandibular Disorders—A Case Series and Literature Review. Applied Sciences, 11(13), 5824. https://doi.org/10.3390/app11135824

