Iron and Potassium Fertilization Improve Rocket Growth without Affecting Tilapia Growth and Histomorphology Characteristics in Aquaponics
Abstract
1. Introduction
2. Material and Methods
2.1. Aquaponic Systems Description
2.2. Experimental Design, Fish Rearing, and Plant Growth Conditions
2.3. Water Physicochemical Parameters and Quality Indicators
2.4. Growth Indicators of Fish and Plants at the Final Harvest
- Specific growth rate (SGR, %/day) = [(ln Wfin − ln Wi)/Δt] × 100
- Weight gain (WG, g) = Wfin − Wi
- Feed conversion ratio (FCR) = feed consumed/WG
- Fresh leaves weight (g)
- Total fresh biomass yield (g/m2) = total fresh weight of aerial part/cultivated area
2.5. Fish Histopathology
2.6. Gill EDX Analysis
2.7. Statistical Analysis
3. Results
3.1. Water Physicochemical Parameters and Quality Indicators
3.2. Fish Growth Performance
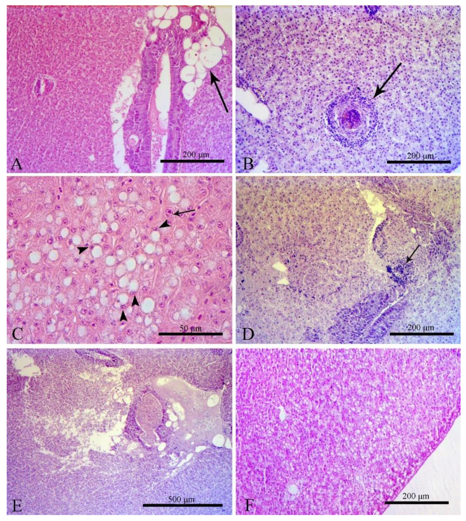
3.3. Fish Histopathology
3.3.1. Liver
3.3.2. Midgut
3.3.3. Gills
3.4. Gills EDX Analysis
3.5. Plant Growth Performance
4. Discussion
4.1. Abiotic Factors
4.2. Fish Growth Performance
4.3. Fish Histopathology
4.4. Gills EDX Analysis
4.5. Plant Growth Performance
5. Conclusions
Author Contributions
Funding
Institutional Review Board Statement
Informed Consent Statement
Data Availability Statement
Conflicts of Interest
References
- Rakocy, J.E.; Bailey, D.S.; Shultz, R.C.; Thoman, E.S. Update on tilapia and vegetable production in the UVI aquaponic system. In Proceedings of the Sixth International Symposium on Tilapia in Aquaculture, Manila, Philippines, 11 July 2004. [Google Scholar]
- Somerville, C.; Cohen, M.; Pantanella, E.; Stankus, A.; Lovatelli, A. Small-Scale Aquaponic Food Production: Integrated Fish and Plant Farming; FAO Fisheries and Aquaculture Technical Paper; FAO: Rome, Italy, 2014; Volume I, p. 589. [Google Scholar]
- Cebron, A.; Garnier, J. Nitrobacter and Nitrospira genera as representatives of nitrite-oxidizing bacteria: Detection, quantification and growth along the lower Seine River (France). Water Res. 2005, 39, 4979–4992. [Google Scholar] [CrossRef]
- Tyson, R.V.; Treadwell, D.D.; Simonne, E.H. Opportunities and challenges to sustainability in aquaponic systems. Hortechnology 2011, 21, 6–13. [Google Scholar] [CrossRef]
- Blidariu, F.; Grozea, A. Increasing the economic efficiency and sustainability of indoor fish farming by means of aquaponics—review. Anim. Sci. Biotechnol. 2011, 44, 1–8. [Google Scholar]
- Love, D.C.; Fry, J.P.; Li, X.; Hill, E.S.; Genello, L.; Semmens, K.; Thompson, R.E. Commercial aquaponics production and profitability: Findings from an international survey. Aquaculture 2015, 435, 67–74. [Google Scholar] [CrossRef]
- Love, D.C.; Uhl, M.S.; Genello, L. Energy and water use of a small-scale raft aquaponics system in Baltimore, Maryland, United States. Aquac. Eng. 2015, 68, 19–27. [Google Scholar] [CrossRef]
- Yavuzcan Yildiz, H.; Robaina, L.; Pirhonen, J.; Mente, E.; Domínguez, D.; Parisi, G. Fish Welfare in Aquaponic Systems: Its Relation to Water Quality with an Emphasis on Feed and Faeces—A Review. Water 2017, 9, 13. [Google Scholar] [CrossRef]
- Bittsanszky, A.; Uzinger, N.; Gyulai, G.; Mathis, A.; Junge, R.; Villarroel, M.; Kotzen, B.; Kőmíves, T. Nutrient supply of plants in aquaponic systems. Ecocycles 2016, 2, 17–20. [Google Scholar] [CrossRef]
- Nuwansi, K.K.T.; Verma, A.K.; Prakash, C.; Tiwari, V.K.; Chandrakant, M.H.; Shete, A.P.; Prabhath, G.P.W.A. Effect of water flow rate on polyculture of koi carp (Cyprinus carpio var. koi) and goldfish (Carassius auratus) with water spinach (Ipomoea aquatica) in recirculating aquaponic system. Aquac. Int. 2016, 24, 385–393. [Google Scholar] [CrossRef]
- Andriani, Y.; Dhahiyat, Y.; Zahidah, Z.; Zidni, I. The effect of stocking density ratio of fish on water plant productivity in aquaponics culture system. Nusant. Biosci. 2017, 9, 31–35. [Google Scholar] [CrossRef]
- Diver, S.; Rinehart, L. Aquaponics-Integration of Hydroponics with Aquaculture; Attra: Butte, MT, USA, 2000; pp. 1–16. [Google Scholar]
- Saha, S.; Monroe, A.; Day, M.R. Growth, yield, plant quality and nutrition of basil (Ocimum basilicum L.) under soilless agricultural systems. Ann. Agricult. Sci. 2016, 61, 181–186. [Google Scholar] [CrossRef]
- Global Invasive Species Database. Species Profile: Oreochromis Mossambicus. 2021. Available online: http://www.iucngisd.org/gisd/species.php?sc=131 (accessed on 10 May 2021).
- FAO. The State of World Fisheries and Aquaculture 2020; Sustainability in Action; FAO: Rome, Italy, 2020. [Google Scholar] [CrossRef]
- Knaus, U.; Palm, H.W. Effects of the fish species choice on vegetables in aquaponics under spring-summer conditions in northern Germany (Mecklenburg Western Pomerania). Aquaculture 2017, 473, 62–73. [Google Scholar] [CrossRef]
- Goddek, S.; Joyce, A.; Wuertz, S.; Körner, O.; Bläser, I.; Reuter, M.; Keesman, K.J. Decoupled aquaponics systems. In Aquaponics Food Production Systems; Goddek, S., Joyce, A., Kotzen, B., Burnell, G.M., Eds.; Springer: Cham, Switzerland, 2019; pp. 201–229. [Google Scholar]
- Boxman, S. Resource Recovery through Halophyte Production in Marine Aquaponics: An Evaluation of the Nutrient Cycling and the Environmental Sustainability of Aquaponics. Ph.D. Thesis, University of South Florida, Tampa, FL, USA, 2015. [Google Scholar]
- Vlahos, N.; Levizou, E.; Stathopoulou, P.; Berillis, P.; Antonopoulou, E.; Bekiari, V.; Krigas, N.; Kormas, K.; Mente, E. An Experimental Brackish Aquaponic System Using Juvenile Gilthead Sea Bream (Sparus aurata) and Rock Samphire (Crithmum maritimum). Sustainability 2019, 11, 4820. [Google Scholar] [CrossRef]
- Endut, A.; Jusoh, A.; Ali, N.; Wan Nik, W.B.; Hassan, A. A study on the optimal hydraulic loading rate and plant ratios in recirculation aquaponic system. Bioresour. Technol. 2010, 101, 1511–1517. [Google Scholar] [CrossRef]
- Palm, W.H.; Bissa, K.; Knaus, U. Significant factors a ecting the economic sustainability of closed aquaponics systems. Part II: Fish and plant growth. AACL Bioflux 2014, 7, 162–175. [Google Scholar]
- Khater, E.G.; Bahnasawy, A.H.; Shams, A.E.S.; Hassaan, M.S.; Hassan, Y.A. Utilization of effuent fishfarms in tomato cultivation. Ecol. Eng. 2015, 83, 199–207. [Google Scholar] [CrossRef]
- Rakocy, J.E. Ten Guidelines for Aquaponic Systems. Aquaponics J. 2007, 1, 14–17. [Google Scholar]
- Hirayama, K. Water control by filtration in closed culture systems. Aquaculture 1974, 4, 369–385. [Google Scholar] [CrossRef]
- Delaide, B.; Goddek, S.; Gott, J.; Soyeurt, H.; Jijakli, M.H. Lettuce (Lactuca sativa L. var. Sucrine) growth performance in complemented aquaponic solution outperforms hydroponics. Water 2016, 8, 467. [Google Scholar] [CrossRef]
- Nicoletto, C.; Maucieri, C.; Mathis, A.; Schmautz, Z.; Komives, T.; Sambo, P.; Junge, R. Extension of aquaponic water use for NFT baby-leaf production: Mizuna and rocket salad. Agronomy 2018, 8, 75. [Google Scholar] [CrossRef]
- Johnson, R.; Wolf, J.; Braunbeck, T. Guidance Document on the Diagnosis of Endocrine-Related Histopathology in Fish Gonads; Organisation for Economic Co-operation and Development: Paris, France, 2009; p. 96. [Google Scholar]
- Philippart, J.C.; Ruwet, J.C. Ecology and distribution of tilapias. In The Biology and Culture of Tilapias; ICLARM Conference Proceedings 7; ICLARM-International Center for Living Aquatic Resources Management: Abbassa, Egypt, 1982; pp. 15–59. [Google Scholar]
- El-Sayed, A.F.M. Effects of stocking density and feeding levels on growth and feed efficiency of Nile tilapia (Oreochromis niloticus L.) fry. Aquaculture research 2002, 33, 621–626. [Google Scholar] [CrossRef]
- Al-Hafedh, Y.S.; Alam, A.; Beltagi, M.S. Food production and water conservation in a recirculating aquaponic system in Saudi Arabia at different ratios of fish feed to plants. J. World Aquac. Soc. 2008, 39, 510–520. [Google Scholar] [CrossRef]
- García-Trejo, J.F.; Peña-Herrejon, G.A.; Soto-Zarazúa, G.M.; Mercado-Luna, A.; Alatorre-Jácome, O.; Rico-García, E. Effect of stocking density on growth performance and oxygen consumption of Nile tilapia (Oreochromis niloticus) under greenhouse conditions. Lat. Am. J. Aquat. Res. 2016, 44, 177–183. [Google Scholar] [CrossRef]
- da Silva Cerozi, B.; Fitzsimmons, K. The effect of pH on phosphorus availability and speciation in an aquaponics nutrient solution. Bioresour. Technol. 2016, 219, 778–781. [Google Scholar] [CrossRef] [PubMed]
- Ru, D.; Liu, J.; Hu, Z.; Zou, Y.; Jiang, L.; Cheng, X.; Lv, Z. Improvement of aquaponic performance through micro-and macro-nutrient addition. Environ. Sci. Pollut. Res. 2017, 24, 16328–16335. [Google Scholar] [CrossRef] [PubMed]
- Lennard, W.; Goddek, S. Aquaponics: The basics. In Aquaponics Food Production Systems; Goddek, S., Joyce, A., Kotzen, B., Burnell, G.M., Eds.; Springer: Cham, Switzerland, 2019; pp. 113–143. [Google Scholar]
- Tyson, R.; Simonne, E.; White, J.; Lamb, E. Reconciling water quality parameters impacting nitrification in aquaponics: The pH levels. Proc. Fla. State Horticult. Soc. 2004, 117, 79–83. [Google Scholar]
- Abdel-Tawwab, M.; Hagras, A.E.; Elbaghdady, H.A.M.; Monier, M.N. Effects of dissolved oxygen and fish size on Nile tilapia, Oreochromis niloticus (L.): Growth performance, whole-body composition, and innate immunity. Aquac. Int. 2015, 23, 1261–1274. [Google Scholar] [CrossRef]
- Wedemeyer, G.A. Physiology of Fish in Intensive Culture Systems; Springer: Boston, MA, USA, 1996. [Google Scholar]
- Lennard, W. Aquaponic System Design Parameters: Basic System Water Chemistry; Aquaponic Fact Sheet Series—System Water Chemistry; Aquaponic Solutions: Melbourne, Australia, 2012. [Google Scholar]
- Dunwoody, R.K. Aquaponics and Hydroponics: The Effects of Nutrient Source and Hydroponic Subsystem Design on Sweet Basil Production. Master’s Thesis, Department of Biology and Agriculture, University of Central Missouri, Warrensburg, MO, USA, 2013. [Google Scholar]
- Rakocy, J.E.; Masser, M.P.; Losordo, T.M. Recirculating Aquaculture Tank Production Systems: Aquaponics—Integrating Fish and Plant Culture; SRAC Publication No. 454; Southern Regional Aquaculture Center: Stoneville, MS, USA, 2006. [Google Scholar]
- Lennard, W. Commercial Aquaponic Systems: Integrating Recirculating Fish Culture with Hydroponic Plant Production; Wilson Lennard Ed: Blackrock, VIC, Australia, 2017. [Google Scholar]
- Eck, M.; Körner, O.; Jijakli, M.H. Nutrient cycling in aquaponics systems. In Aquaponics Food Production Systems; Goddek, S., Joyce, A., Kotzen, B., Burnell, G.M., Eds.; Springer: Cham, Switzerland, 2019; pp. 231–246. [Google Scholar]
- Santamaria, P.; Elia, A.; Papa, G.; Serio, F. Nitrate and ammonium nutrition in chicory and rocket salad plants. J. Plant Nutr. 1998, 21, 1779–1789. [Google Scholar] [CrossRef]
- Rafiee, G.R.; Ros Saad, C.; Kamarudin, M.S.; Ismail, M.R.; Sijam, K. Effects of supplementary nutrient in an aquaponic system for production of ornamental red tilapia (Oreochromis Sp.) and lettuce (Lactuca sativa var longifolia). Surv. Fish. Sci. 2019, 5, 65–75. [Google Scholar] [CrossRef]
- Nozzi, V.; Strofaldi, S.; Piquer, I.F.; Di Crescenzo, D.; Olivotto, I.; Carnevali, O. Amyloodinum ocellatum in Dicentrarchus labrax: Study of infection in salt water and freshwater aquaponics. Fish Shellfish. Immunol. 2016, 57, 179–185. [Google Scholar] [CrossRef]
- Valaroutsou, E.; Voudanta, E.; Mente, E.; Berillis, P. A microscope and image analysis study of the liver and exocrine pancreas of sea bream Sparus aurata fed different diets. Int. J. Zool. Res. 2013, 3, 54. [Google Scholar]
- Wootton, R.J.; Evans, G.W.; Mills, L.A. Annual cycle in female three-spined sticklebacks (Gasterosteus aculeatus L.) from an upland and lowland population. J. Fish Biol. 1978, 12, 331–343. [Google Scholar] [CrossRef]
- Campbell, S.; Love, R.M. Energy reserves of male and female haddock (Melanogrunzmus aeglefinus L.) from the Moray Firth. J. Du Cons. Int. Pour L’explorution De Lu Mer 1978, 38, 120–121. [Google Scholar] [CrossRef]
- Singh, S.; Srivastava, A. Variations in hepatosomatic index (HSI) and gonadosomatic index (GSI) in fish heteropneustes fossilis exposed to higher sub-lethal concentration to arsenic and copper. J. Ecophysiol. Occup. Health 2017, 15, 89–93. [Google Scholar]
- Ng, W.K.; Lim, H.A.; Lim, S.L.; Ibrahim, C.O. Nutritive value of palm kernel meal pretreated with enzyme or fermented with Trichoderma koningii (Oudemans) as a dietary ingredient for red hybrid tilapia (Oreochromis sp.). Aquac. Res. 2002, 33, 1199–1207. [Google Scholar] [CrossRef]
- Ng, W.K.; Koh, C.B.; Sudesh, K.; Siti-Zahrah, A. Effects of dietary organic acids on growth, nutrient digestibility and gut microflora of red hybrid tilapia, Oreochromis sp., and subsequent survival during a challenge test with Streptococcus agalactiae. Aquac. Res. 2009, 40, 1490–1500. [Google Scholar] [CrossRef]
- Low, K.H.; Zain, S.M.; Abas, M.R. Evaluation of metal concentrations in red tilapia (Oreochromis spp) from three sampling sites in Jelebu, Malaysia using principal component analysis. Food Anal. Methods 2011, 4, 276–285. [Google Scholar] [CrossRef]
- Wan-Mohtar, W.A.A.Q.I.; Taufek, N.M.; Yerima, G.; Rahman, J.; Thiran, J.P.; Subramaniam, K.; Sabaratnam, V. Effect of bioreactor-grown biomass from Ganoderma lucidum mycelium on growth performance and physiological response of red hybrid tilapia (Oreochromis sp.) for sustainable aquaculture. Org. Agric. 2021, 11, 327–335. [Google Scholar] [CrossRef]
- McCormick, J.H.; Jensen, K.M.; Leino, R.L. Survival, blood osmolality and gill morphology of juvenile yellow perch, rock bass, black crappie, and largemouth bass exposed to acidified soft water. Trans. Am. Fish. Soc. 1989, 118, 386–399. [Google Scholar] [CrossRef]
- Leino, R.L.; McCormick, J.H. Responses of juvenile largemouth bass to different pH and aluminum levels at overwintering temperatures—effects on gill morphology, electrolyte balance, scale calcium, liver glycogen, and depot fat. Can. J. Zool. 1993, 71, 531–543. [Google Scholar] [CrossRef]
- Lappivaara, J.; Nikinmaa, M.; Tuurala, H. Arterial oxygentension and the structure of the secondary lamellae of the gills in rainbow-trout (Oncorhynchus mykiss) after acute exposure to zinc and during recovery. Aquat. Toxicol. 1995, 32, 321–331. [Google Scholar] [CrossRef]
- Haaparanta, A.; Valtonen, E.T.; Hoffmann, R.W. Gill anomalies of perch and roach from four lakes differing in water quality. J. Fish Biol. 1997, 50, 575–591. [Google Scholar] [CrossRef]
- Sollid, J.; De Angelis, P.; Gundersen, K.; Nilsson, G.E. Hypoxia induces adaptive and reversible gross-morphological changes in crucian carp gills. J. Exp. Biol. 2003, 206, 3667–3673. [Google Scholar] [CrossRef] [PubMed]
- Berillis, P.; Mente, E.; Nikouli, E.; Makridis, P.; Grundvig, H.; Bergheim, A.; Gausen, M. Improving aeration for efficient oxygenation in sea bass sea cages. Blood, brain and gill histology. Open Life Sci. 2016, 11, 270–279. [Google Scholar] [CrossRef]
- Palaniappan, P.R.; Sabhanayakam, S.; Krishnakumar, N.; Vadivelu, M. Morphological changes due to lead exposure and the influence of DMSA on the gill tissues of the freshwater fish, Catla catla. Food Chem. Toxicol. 2008, 46, 2440–2444. [Google Scholar] [CrossRef] [PubMed]
- Aldoghachi, M.A.; Azirun, M.S.; Yusoff, I.; Ashraf, M.A. Ultrastructural effects on gill tissues induced in red tilapia Oreochromis sp. by a waterborne lead exposure. Saudi J. Biol. Sci. 2016, 23, 634–641. [Google Scholar] [CrossRef]
- Lehtinen, K.; Klingstedt, G. X-ray microanalysis in the scanning electron microscope on fish gills affected by acidic, heavy metal containing industrial effluents. Aquat. Toxicol. 1983, 3, 93–102. [Google Scholar] [CrossRef]
- Wepener, V.; Van Vuren, J.H.J.; Du Preez, H.H. Uptake and distribution of a copper, iron and zinc mixture in gill, liver and plasma of a freshwater teleost, Tilapia sparrmanii. Water SA 2001, 27, 99–108. [Google Scholar] [CrossRef]
- Evans, D.H. Teleost fish osmoregulation: What have we learned since August Krogh, Homer Smith, and Ancel Keys. Am. J. Physiol.-Regul. Integr. Comp. Physiol. 2008, 295, 704–713. [Google Scholar] [CrossRef]
- Opoku-Okrah, C.; Acquah, B.K.S.; Dogbe, E.E. Changes in potassium and sodium concentrations in stored blood. Pan Afr. Med. J. 2015, 20. [Google Scholar] [CrossRef]
- Borvinskaya, E.V.; Sukhovskaya, I.V.; Vasil’eva, O.B.; Nazarova, M.A.; Smirnov, L.P.; Svetov, S.A.; Krutskikh, N.V. Whitefish (Coregonus lavaretus) Response to Varying Potassium and Sodium Concentrations: A Model of Mining Water Toxic Response. Mine Water Environ. 2016, 36, 393–400. [Google Scholar] [CrossRef]
- Mount, D.R.; Gulley, D.D.; Hockett, J.R.; Garrison, T.D.; Evans, J.M. Statistical models to predict the toxicity of major ions to Ceriodaphnia dubia, Daphnia magna and Pimephales promelas (fathead minnows). Environ. Toxicol. Chem. 1997, 16, 2009–2019. [Google Scholar] [CrossRef]
- Davidson, J.; Good, C.; Welsh, C.; Summerfelt, S.T. Abnormal swimming behavior and increased deformities in rainbow trout Oncorhynchus mykiss cultured in low exchange water recirculating aquaculture systems. Aquac. Eng. 2011, 45, 109–117. [Google Scholar] [CrossRef]
- Maucieri, C.; Forchino, A.A.; Nicoletto, C.; Junge, R.; Pastres, R.; Sambo, P.; Borin, M. Life cycle assessment of a micro aquaponic system for educational purposes built using recovered material. J. Clean. Prod. 2018, 172, 3119–3127. [Google Scholar] [CrossRef]
- Chen, P.; Zhu, G.; Kim, H.J.; Brown, P.B.; Huang, J.Y. Comparative life cycle assessment of aquaponics and hydroponics in the Midwestern United States. J. Clean. Prod. 2020, 275, 122888. [Google Scholar] [CrossRef]
- Barbosa, P.T.L.; Povh, J.A.; Silva, A.; do Nascimento, L.; Ventura, A.S.; Stringhetta, G.R.; Laice, L.M.; de Oliveira, A.F.; de Carvalho, T. Performance of Nile Tilapia and vegetables Grown in Different Aquaponic Volumes. J. Agric. Stud. 2020, 8, 497–506. [Google Scholar] [CrossRef]
- Lennard, W.; Ward, J. A comparison of plant growth rates between an NFT hydroponic system and an NFT aquaponic System. Horticulturae 2019, 5, 27. [Google Scholar] [CrossRef]




| Control | Fe | Fe + K | |
|---|---|---|---|
| T (°C) | 22.79 ± 0.042 | 22.79 ± 0.063 | 22.89 ± 0.056 |
| pH | 7.49 ± 0.020 | 7.50 ± 0.014 | 7.54 ± 0.012 |
| EC (mS/cm) | 1.29 ± 0.024 a | 1.28 ± 0.034 a | 1.64 ± 0.044 b |
| O2 (mg/L) | 8.41 ± 0.042 | 8.36 ± 0.032 | 8.32 ± 0.036 |
| Control | Fe | Fe + K | |
|---|---|---|---|
| NH4+ (mg/L) | 0.24 ± 0.058 | 0.27 ± 0.057 | 0.30 ± 0.060 |
| NO3− (mg/L) | 122.56 ± 7.367 | 120.82 ± 5.911 | 120.32 ± 8.584 |
| K (mg/L) | 3.81 ± 1.022 a | 4.44 ± 1.173 a | 112.00 ± 9.953 b |
| Fe (mg/L) | 0.09 ± 0.009 a | 3.61 ± 0.338 b | 3.55 ± 0.354 b |
| Control | Fe | Fe + K | |
|---|---|---|---|
| Survival (%) | 100 | 100 | 99 |
| Initial weight (Wi, g) | 8.79 ± 0.283 | 8.72 ± 0.253 | 8.72 ± 0.263 |
| Final weight (Wfin, g) | 23.81 ± 0.900 | 22.45 ± 0.817 | 22.99 ± 0.932 |
| Weight gain (WG, g) | 15.02 ± 0.660 | 13.73 ± 0.624 | 14.32 ± 0.699 |
| Specific growth rate (SGR, %/day) | 3.25 ± 0.067 | 3.07 ± 0.076 | 3.13 ± 0.069 |
| Daily offered food (g) | 14.03 ± 0.569 | 13.47 ± 0.565 | 13.44 ± 0.536 |
| Feed conversion ratio (FCR) | 0.94 ± 0.054 | 0.97 ± 0.058 | 0.98 ± 0.063 |
| Initial length (Li, cm) | 8.28 ± 0.091 | 8.30 ± 0.080 | 8.31 ± 0.083 |
| Final length (Lfin, cm) | 11.16 ± 0.140 | 11.00 ± 0.128 | 11.03 ± 0.134 |
| Hepatosomatic index (%) | 1.14 ± 0.039 a | 1.45 ± 0.095 b | 1.45 ± 0.093 b |
| Liver | Midgut | Gills | |
|---|---|---|---|
| Control | 1 | 0 | 2 |
| Fe addition | 1 | 0 | 2 |
| Fe + K addition | 2 | 0 | 2 |
| Control | Fe | Fe + K | |
|---|---|---|---|
| K (At%) | 4.81 ± 0.787 a | 3.85 ± 0.538 a | 27.96 ± 2.1627 b |
| Fe (At%) | N.D. | N.D. | N.D. |
| Control | Fe | Fe + K | |
|---|---|---|---|
| Leaves fresh weight (g) | 92.54 ± 10.816 a | 150.02 ± 9.175 b | 125.00 ± 8.746 b |
| Produced biomass (g/m2) | 1110.44 ± 475.032 | 1725.25 ± 137.877 | 1500.01 ± 307.719 |
Publisher’s Note: MDPI stays neutral with regard to jurisdictional claims in published maps and institutional affiliations. |
© 2021 by the authors. Licensee MDPI, Basel, Switzerland. This article is an open access article distributed under the terms and conditions of the Creative Commons Attribution (CC BY) license (https://creativecommons.org/licenses/by/4.0/).
Share and Cite
Stathopoulou, P.; Tsoumalakou, E.; Levizou, E.; Vanikiotis, T.; Zaoutsos, S.; Berillis, P. Iron and Potassium Fertilization Improve Rocket Growth without Affecting Tilapia Growth and Histomorphology Characteristics in Aquaponics. Appl. Sci. 2021, 11, 5681. https://doi.org/10.3390/app11125681
Stathopoulou P, Tsoumalakou E, Levizou E, Vanikiotis T, Zaoutsos S, Berillis P. Iron and Potassium Fertilization Improve Rocket Growth without Affecting Tilapia Growth and Histomorphology Characteristics in Aquaponics. Applied Sciences. 2021; 11(12):5681. https://doi.org/10.3390/app11125681
Chicago/Turabian StyleStathopoulou, Paraskevi, Evangelia Tsoumalakou, Efi Levizou, Theofilos Vanikiotis, Stefanos Zaoutsos, and Panagiotis Berillis. 2021. "Iron and Potassium Fertilization Improve Rocket Growth without Affecting Tilapia Growth and Histomorphology Characteristics in Aquaponics" Applied Sciences 11, no. 12: 5681. https://doi.org/10.3390/app11125681
APA StyleStathopoulou, P., Tsoumalakou, E., Levizou, E., Vanikiotis, T., Zaoutsos, S., & Berillis, P. (2021). Iron and Potassium Fertilization Improve Rocket Growth without Affecting Tilapia Growth and Histomorphology Characteristics in Aquaponics. Applied Sciences, 11(12), 5681. https://doi.org/10.3390/app11125681

