An Innovative Bioceramic Bone Graft with Platelet-Rich Plasma for Rapid Bone Healing and Regeneration in a Rabbit Model
Abstract
1. Introduction
2. Materials and Methods
2.1. Materials
2.2. Animal Study
2.2.1. PRP Preparation
2.2.2. Implantation Protocol
2.3. Micro-Computed Tomographic (µ-CT) Analysis
2.4. Hystopathological Analysis
2.5. Statistical Analysis
3. Results
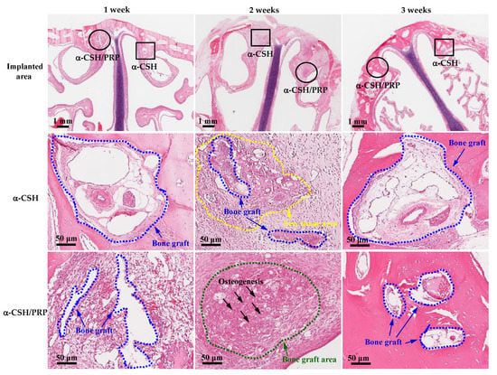
3.1. Bone Healing Characteristics of the Grafted Materials
3.2. Bone Regeneration Properties of the Grafted Materials
4. Discussion
5. Conclusions
Author Contributions
Funding
Institutional Review Board Statement
Informed Consent Statement
Data Availability Statement
Conflicts of Interest
References
- Solakoglu, O.; Steinbach, B.; Gotz, W.; Heydecke, G.; Pantel, K.; Schwarzenbach, H. Characterization of circulating DNA in plasma of patients after allogeneic bone grafting. Clin. Oral Investig. 2019, 23, 4243–4253. [Google Scholar] [CrossRef]
- Yu, T.; Pan, H.; Hu, Y.; Tao, H.; Wang, K.; Zhang, C. Autologous platelet-rich plasma induces bone formation of tissue-engineered bone with bone marrow mesenchymal stem cells on beta-tricalcium phosphate ceramics. J. Orthop. Surg. Res. 2017, 12, 178. [Google Scholar] [CrossRef] [PubMed]
- Liu, Y.; Sun, X.; Yu, J.; Wang, J.; Zhai, P.; Chen, S.; Liu, M.; Zhou, Y. Platelet-Rich Fibrin as a Bone Graft Material in Oral and Maxillofacial Bone Regeneration: Classification and Summary for Better Application. Biomed. Res. Int. 2019, 2019, 3295756. [Google Scholar] [CrossRef]
- Oryan, A.; Alidadi, S.; Moshiri, A. Platelet-rich plasma for bone healing and regeneration. Expert Opin. Biol. Ther. 2016, 16, 213–232. [Google Scholar] [CrossRef]
- Jolly, S.J.; Hegde, C.; Shetty, N.S. Assessment of Maxillary and Mandibular Bone Density in Controlled Type II Diabetes: A Computed Tomography Study. J. Oral Implantol. 2015, 41, 400–405. [Google Scholar] [CrossRef] [PubMed]
- Rocha, C.A.; Arantes, R.V.N.; Cestari, T.M.; Santos, P.S.; Assis, G.F.; Taga, R. Maxillary sinus lift response to platelet-rich plasma associated with autogenous bone, ceramic biphasic HA/beta-TCP (70:30), or deproteinized bovine bone. Int. J. Implant. Dent. 2020, 6, 79. [Google Scholar] [CrossRef]
- Choi, W.H.; Kim, Y.D.; Song, J.M.; Shin, S.H. Comparative study of bone regeneration using fibrin sealant with xenograft in rabbit sinus: Pilot study. Maxillofac. Plast Reconstr. Surg. 2021, 43, 5. [Google Scholar] [CrossRef] [PubMed]
- Ohya, M.; Yamada, Y.; Ozawa, R.; Ito, K.; Takahashi, M.; Ueda, M. Sinus floor elevation applied tissue-engineered bone. Comparative study between mesenchymal stem cells/platelet-rich plasma (PRP) and autogenous bone with PRP complexes in rabbits. Clin. Oral Implant. Res. 2005, 16, 622–629. [Google Scholar] [CrossRef] [PubMed]
- Nagata, M.J.; Melo, L.G.; Messora, M.R.; Bomfim, S.R.; Fucini, S.E.; Garcia, V.G.; Bosco, A.F.; Okamoto, T. Effect of platelet-rich plasma on bone healing of autogenous bone grafts in critical-size defects. J. Clin. Periodontol. 2009, 36, 775–783. [Google Scholar] [CrossRef]
- Trisi, P.; Berardini, M.; Falco, A.; Podaliri Vulpiani, M. New Osseodensification Implant Site Preparation Method to Increase Bone Density in Low-Density Bone: In Vivo Evaluation in Sheep. Implant. Dent. 2016, 25, 24–31. [Google Scholar] [CrossRef]
- Soares, M.Q.S.; van Dessel, J.; Jacobs, R.; Yaedu, R.Y.F.; Sant’Ana, E.; da Silva Correa, D.; Madeira, M.F.C.; Duarte, M.A.H.; Rubira-Bullen, I.R.F. Morphometric evaluation of bone regeneration in segmental mandibular bone defects filled with bovine bone xenografts in a split-mouth rabbit model. Int. J. Implant. Dent. 2019, 5, 32. [Google Scholar] [CrossRef]
- Ou, K.-L.; Hou, P.-J.; Huang, B.-H.; Chou, H.-H.; Yang, T.-S.; Huang, C.-F.; Ueno, T. Bone Healing and Regeneration Potential in Rabbit Cortical Defects Using an Innovative Bioceramic Bone Graft Substitute. Appl. Sci. 2020, 10, 6239. [Google Scholar] [CrossRef]
- Rodriguez, I.A.; Growney Kalaf, E.A.; Bowlin, G.L.; Sell, S.A. Platelet-rich plasma in bone regeneration: Engineering the delivery for improved clinical efficacy. Biomed. Res. Int. 2014, 2014, 392398. [Google Scholar] [CrossRef] [PubMed]
- Joo, M.W.; Chung, S.J.; Shin, S.H.; Chung, Y.G. The Effect of Autologous Platelet-Rich Plasma on Bone Regeneration by Autologous Mesenchymal Stem Cells Loaded onto Allogeneic Cancellous Bone Granules. Cells Tissues Organs 2017, 203, 327–338. [Google Scholar] [CrossRef]
- Tebyanian, H.; Norahan, M.H.; Eyni, H.; Movahedin, M.; Mortazavi, S.J.; Karami, A.; Nourani, M.R.; Baheiraei, N. Effects of collagen/β-tricalcium phosphate bone graft to regenerate bone in critically sized rabbit calvarial defects. J. Appl. Biomater. Funct. Mater. 2019, 17, 10. [Google Scholar] [CrossRef] [PubMed]
- Amini, A.R.; Laurencin, C.T.; Nukavarapu, S.P. Bone Tissue Engineering: Recent Advances and Challenges. Crit Rev. Biomed. Eng. 2012, 40, 59. [Google Scholar] [CrossRef]
- Henkel, J.; Woodruff, M.A.; Epari, D.R.; Steck, R.; Glatt, V.; Dickinson, I.C.; Choong, P.F.; Schuetz, M.A.; Hutmacher, D.W. Bone Regeneration Based on Tissue Engineering Conceptions A 21st Century Perspective. Bone Res. 2013, 1, 216–248. [Google Scholar] [CrossRef] [PubMed]
- Huang, X.; Liu, X.; Shang, Y.; Qiao, F.; Chen, G. Current Trends in Research on Bone Regeneration: A Bibliometric Analysis. Biomed. Res. Int. 2020, 2020, 8787394. [Google Scholar] [CrossRef]
- Grassi, F.R.; Grassi, R.; Vivarelli, L.; Dallari, D.; Govoni, M.; Nardi, G.M.; Kalemaj, Z.; Ballini, A. Design Techniques to Optimize the Scaffold Performance: Freeze-dried Bone Custom-made Allografts for Maxillary Alveolar Horizontal Ridge Augmentation. Materials 2020, 13, 1393. [Google Scholar] [CrossRef]
- Checchi, V.; Mazzoni, A.; Breschi, L.; Felice, P. Reconstruction of an atrophied posterior mandible with the inlay technique and allograft block versus allograft particulate: A case report. Int. J. Periodontics Restor. Dent. 2015, 35, e20–e27. [Google Scholar] [CrossRef] [PubMed][Green Version]
- Misch, C.M. Comparison of Intraoral Donor Sites for Onlay Grafting Prior to Implant Placement. Int. J. Oral Maxillofac. Implant. 1997, 12, 10. [Google Scholar]
- Scattarella, A.; Ballini, A.; Grassi, F.R.; Carbonara, A.; Ciccolella, F.; Dituri, A.; Nardi, G.M.; Cantore, S.; Pettini, F. Treatment of oroantral fistula with autologous bone graft and application of a non-reabsorbable membrane. Int. J. Med. Sci. 2010, 7, 5. [Google Scholar] [CrossRef][Green Version]
- Scarano, A.; Carinci, F.; Assenza, B.; Piattelli, M.; Murmura, G.; Piattelli, A. Vertical ridge augmentation of atrophic posterior mandible using an inlay technique with a xenograft without miniscrews and miniplates: Case series. Clin. Oral Implant. Res. 2011, 22, 1125–1130. [Google Scholar] [CrossRef]
- Syam, S.; Cho, Y.-C.; Liu, C.-M.; Huang, M.-S.; Lan, W.-C.; Huang, B.-H.; Ueno, T.; Tsai, C.-H.; Saito, T.; Chen, M.-S.; et al. An Innovative Bioceramic Bone Graft Substitute for Bone Defect Treatment: In Vivo Evaluation of Bone Healing. Appl. Sci. 2020, 10, 8303. [Google Scholar] [CrossRef]
- Ballini, A.; Capodiferro, S.; Tola, M.; Cantore, S.; Favia, G.; de Frenza, G.; Grassi, F.R. Evidence-Based Dentistry: What’s New? Int. J. Med. Sci. 2007, 4, 5. [Google Scholar] [CrossRef][Green Version]
- Yoshikawa, H.; Myoui, A. Bone tissue engineering with porous hydroxyapatite ceramics. J. Artif Organs 2005, 8, 131–136. [Google Scholar] [CrossRef] [PubMed]
- Nelms, L.; Palmer, W.J. Tissue engineering in mandibular reconstruction: Osteogenesis-inducing scaffolds. Plast. Aesthetic Res. 2019, 2019. [Google Scholar] [CrossRef]
- Griffin, K.S.; Davis, K.M.; McKinley, T.O.; Anglen, J.O.; Chu, T.-M.G.; Boerckel, J.D.; Kacena, M.A. Evolution of Bone Grafting: Bone Grafts and Tissue Engineering Strategies for Vascularized Bone Regeneration. Clin. Rev. Bone Miner. Metab. 2015, 13, 232–244. [Google Scholar] [CrossRef]
- Cantore, S.; Crincoli, V.; Boccaccio, A.; Uva, A.E.; Fiorentino, M.; Monno, G.; Bollero, P.; Derla, C.; Fabiano, F.; Ballini, A.; et al. Recent Advances in Endocrine, Metabolic and Immune Disorders: Mesenchymal Stem Cells (MSCs) and Engineered Scaffolds. Endocr. Metab. Immune. Disord. Drug Targets 2018, 18, 466–469. [Google Scholar] [CrossRef] [PubMed]
- Ruga, E.; Gallesio, C.; Chiusa, L.; Boffano, P. Clinical and histologic outcomes of calcium sulfate in the treatment of postextraction sockets. J. Craniofac. Surg. 2011, 22, 494–498. [Google Scholar] [CrossRef] [PubMed]
- Hsu, H.-J.; Waris, R.A.; Ruslin, M.; Lin, Y.-H.; Chen, C.-S.; Ou, K.-L. An innovative α-calcium sulfate hemihydrate bioceramic as a potential bone graft substitute. J. Am. Ceram. Soc. 2018, 101, 419–427. [Google Scholar] [CrossRef]
- Albanese, A.; Licata, M.E.; Polizzi, B.; Campisi, G. Platelet-rich plasma (PRP) in dental and oral surgery: From the wound healing to bone regeneration. Immun. Ageing 2013, 10, 10. [Google Scholar] [CrossRef]
- Butterfield, K.J.; Bennett, J.; Gronowicz, G.; Adams, D. Effect of platelet-rich plasma with autogenous bone graft for maxillary sinus augmentation in a rabbit model. J. Oral Maxillofac. Surg. 2005, 63, 370–376. [Google Scholar] [CrossRef]
- DeNicolo, P.J.; Guyton, M.K.; Cuenin, M.F.; Hokett, S.D.; Sharawy, M.; Borke, J.; McPherson, J.C., 3rd. Histologic Evaluation of Osseous Regeneration Following Combination Therapy with Platelet-Rich Plasma and Bio-Oss in a Rat Calvarial Critical-Size Defect Model. J. Oral Implantol. 2015, 41, 543–549. [Google Scholar] [CrossRef] [PubMed]
- Yamamoto, M.K.; Novelli, M.D.; Correa, L.; de Sousa, S.C.M.; Luz, J.G.C. Evaluation of the Effect of Platelet-Rich Plasma on Alveolar Wound Healing in Rats. Int. J. Morphol. 2017, 35, 8. [Google Scholar] [CrossRef][Green Version]
- Bennardo, F.; Liborio, F.; Barone, S.; Antonelli, A.; Buffone, C.; Fortunato, L.; Giudice, A. Efficacy of platelet-rich fibrin compared with triamcinolone acetonide as injective therapy in the treatment of symptomatic oral lichen planus: A pilot study. Clin. Oral Investig. 2021. [Google Scholar] [CrossRef] [PubMed]
- Brancaccio, Y.; Antonelli, A.; Barone, S.; Bennardo, F.; Fortunato, L.; Giudice, A. Evaluation of local hemostatic efficacy after dental extractions in patients taking antiplatelet drugs: A randomized clinical trial. Clin. Oral Investig. 2021, 25, 1159–1167. [Google Scholar] [CrossRef]
- Wong, C.C.; Ou, K.L.; Lin, Y.H.; Lin, M.F.; Yang, T.L.; Chen, C.H.; Chan, W.P. Platelet-rich fibrin facilitates one-stage cartilage repair by promoting chondrocytes viability, migration, and matrix synthesis. Int. J. Mol. Sci. 2020, 21, 577. [Google Scholar] [CrossRef] [PubMed]
- Simonpieri, A.; del Corso, M.; Vervelle, A.; Jimbo, R.; Inchingolo, F.; Sammartino, G.; Dohan Ehrenfest, D.M. Current knowledge and perspectives for the use of platelet-rich plasma (PRP) and platelet-rich fibrin (PRF) in oral and maxillofacial surgery part 2: Bone graft, implant and reconstructive surgery. Curr. Pharm. Biotechnol. 2012, 13, 1231–1256. [Google Scholar] [CrossRef] [PubMed]
- Fortunato, L.; Bennardo, F.; Buffone, C.; Giudice, A. Is the application of platelet concentrates effective in the prevention and treatment of medication-related osteonecrosis of the jaw? A systematic review. J. Craniomaxillofac. Surg. 2020, 48, 268–285. [Google Scholar] [CrossRef]
- Lee, S.; Chung, C.K.; Oh, S.H.; Park, S.B. Correlation between Bone Mineral Density Measured by Dual-Energy X-Ray Absorptiometry and Hounsfield Units Measured by Diagnostic CT in Lumbar Spine. J. Korean Neurosurg. Soc. 2013, 54, 384–389. [Google Scholar] [CrossRef]
- Loveless, T.P.; Kilinc, Y.; Altay, M.A.; Flores-Hidalgo, A.; Baur, D.A.; Quereshy, F.A. Hounsfield unit comparison of grafted versus non-grafted extraction sockets. J. Oral Sci. 2015, 57, 195–200. [Google Scholar] [CrossRef] [PubMed]
- Wang, E.; Han, J.; Zhang, X.; Wu, Y.; Deng, X.L. Efficacy of a mineralized collagen bone-grafting material for peri-implant bone defect reconstruction in mini pigs. Regen. Biomater. 2019, 6, 107–111. [Google Scholar] [CrossRef]
- Stahli, A.; Strauss, F.J.; Gruber, R. The use of platelet-rich plasma to enhance the outcomes of implant therapy: A systematic review. Clin. Oral Implant. Res. 2018, 29 (Suppl. S18), 20–36. [Google Scholar] [CrossRef]
- Stumbras, A.; Krukis, M.M.; Januzis, G.; Juodzbalys, G. Regenerative bone potential after sinus floor elevation using various bone graft materials: A systematic review. Quintessence Int. 2019, 50, 548–558. [Google Scholar] [CrossRef] [PubMed]
- Wang, W.; Yeung, K.W.K. Bone grafts and biomaterials substitutes for bone defect repair: A review. Bioact Mater. 2017, 2, 224–247. [Google Scholar] [CrossRef]
- Atasoy, A.; Kose, G.T. Biology of Cancellous Bone Graft Materials and their Usage for Bone Regeneration. JSM Biotechnol. Bioeng. 2016, 3, 6. [Google Scholar]
- Hankenson, K.D.; Dishowitz, M.; Gray, C.; Schenker, M. Angiogenesis in bone regeneration. Injury 2011, 42, 556–561. [Google Scholar] [CrossRef] [PubMed]
- Saran, U.; Gemini Piperni, S.; Chatterjee, S. Role of angiogenesis in bone repair. Arch. Biochem. Biophys. 2014, 561, 109–117. [Google Scholar] [CrossRef] [PubMed]
- Ghassemi, T.; Shahroodi, A.; Ebrahimzadeh, M.H.; Mousavian, A.; Movaffagh, J. Current Concepts in Scaffolding for Bone Tissue Engineering. Arch. Bone Jt. Surg. 2018, 6, 10. [Google Scholar] [CrossRef]
- Marsell, R.; Einhorn, T.A. The biology of fracture healing. Injury 2011, 42, 551–555. [Google Scholar] [CrossRef] [PubMed]
- Ghiasi, M.S.; Chen, J.; Vaziri, A.; Rodriguez, E.K.; Nazarian, A. Bone fracture healing in mechanobiological modeling: A review of principles and methods. Bone Rep. 2017, 6, 87–100. [Google Scholar] [CrossRef]
- Chaushu, L.; Naishlos, S.; Rosner, O.; Zenziper, E.; Glikman, A.; Lavi, D.; Kupershmidt, I.; Zelikman, H.; Chaushu, G.; Nissan, J. Changing Preference of One- Vs. Two-Stage Implant Placement in Partially Edentulous Individuals: An 18-Year Retrospective Study. Appl. Sci. 2020, 10, 7060. [Google Scholar] [CrossRef]
- Ng, M.H.; Duski, S.; Tan, K.K.; Yusof, M.R.; Low, K.C.; Rose, I.M.; Mohamed, Z.; Bin Saim, A.; Idrus, R.B. Repair of segmental load-bearing bone defect by autologous mesenchymal stem cells and plasma-derived fibrin impregnated ceramic block results in early recovery of limb function. Biomed. Res. Int. 2014, 2014, 345910. [Google Scholar] [CrossRef]
- Roberts, T.T.; Rosenbaum, A.J. Bone grafts, bone substitutes and orthobiologics: The bridge between basic science and clinical advancements in fracture healing. Organogenesis 2012, 8, 114–124. [Google Scholar] [CrossRef] [PubMed]





Publisher’s Note: MDPI stays neutral with regard to jurisdictional claims in published maps and institutional affiliations. |
© 2021 by the authors. Licensee MDPI, Basel, Switzerland. This article is an open access article distributed under the terms and conditions of the Creative Commons Attribution (CC BY) license (https://creativecommons.org/licenses/by/4.0/).
Share and Cite
Syam, S.; Chang, C.-W.; Lan, W.-C.; Ou, K.-L.; Huang, B.-H.; Lin, Y.-Y.; Saito, T.; Tsai, H.-Y.; Chuo, Y.-C.; Yang, T.-S.; et al. An Innovative Bioceramic Bone Graft with Platelet-Rich Plasma for Rapid Bone Healing and Regeneration in a Rabbit Model. Appl. Sci. 2021, 11, 5271. https://doi.org/10.3390/app11115271
Syam S, Chang C-W, Lan W-C, Ou K-L, Huang B-H, Lin Y-Y, Saito T, Tsai H-Y, Chuo Y-C, Yang T-S, et al. An Innovative Bioceramic Bone Graft with Platelet-Rich Plasma for Rapid Bone Healing and Regeneration in a Rabbit Model. Applied Sciences. 2021; 11(11):5271. https://doi.org/10.3390/app11115271
Chicago/Turabian StyleSyam, Syamsiah, Chun-Wei Chang, Wen-Chien Lan, Keng-Liang Ou, Bai-Hung Huang, Yu-Yeong Lin, Takashi Saito, Hsin-Yu Tsai, Yen-Chun Chuo, Tzu-Sen Yang, and et al. 2021. "An Innovative Bioceramic Bone Graft with Platelet-Rich Plasma for Rapid Bone Healing and Regeneration in a Rabbit Model" Applied Sciences 11, no. 11: 5271. https://doi.org/10.3390/app11115271
APA StyleSyam, S., Chang, C.-W., Lan, W.-C., Ou, K.-L., Huang, B.-H., Lin, Y.-Y., Saito, T., Tsai, H.-Y., Chuo, Y.-C., Yang, T.-S., Liu, C.-M., & Hou, P.-J. (2021). An Innovative Bioceramic Bone Graft with Platelet-Rich Plasma for Rapid Bone Healing and Regeneration in a Rabbit Model. Applied Sciences, 11(11), 5271. https://doi.org/10.3390/app11115271

