Immunohistochemical Expression Patterns of Tight Junction Proteins, Pro-Apoptotic and Anti-Apoptotic Factors on Progression of Intestinal Mucositis of Onco-Hematological Patients under Epirubicin-Based Chemotherapy
Abstract
1. Introduction
2. Materials and Methods
2.1. Oncohematological Patients—Clinical Evaluation and Colonic Biopsies
2.2. Immunohistochemistry
2.3. Statistical Data Analysis
3. Results
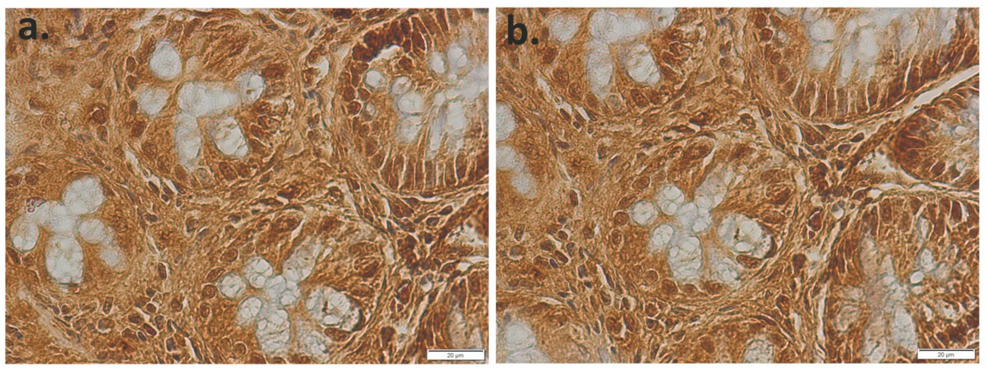
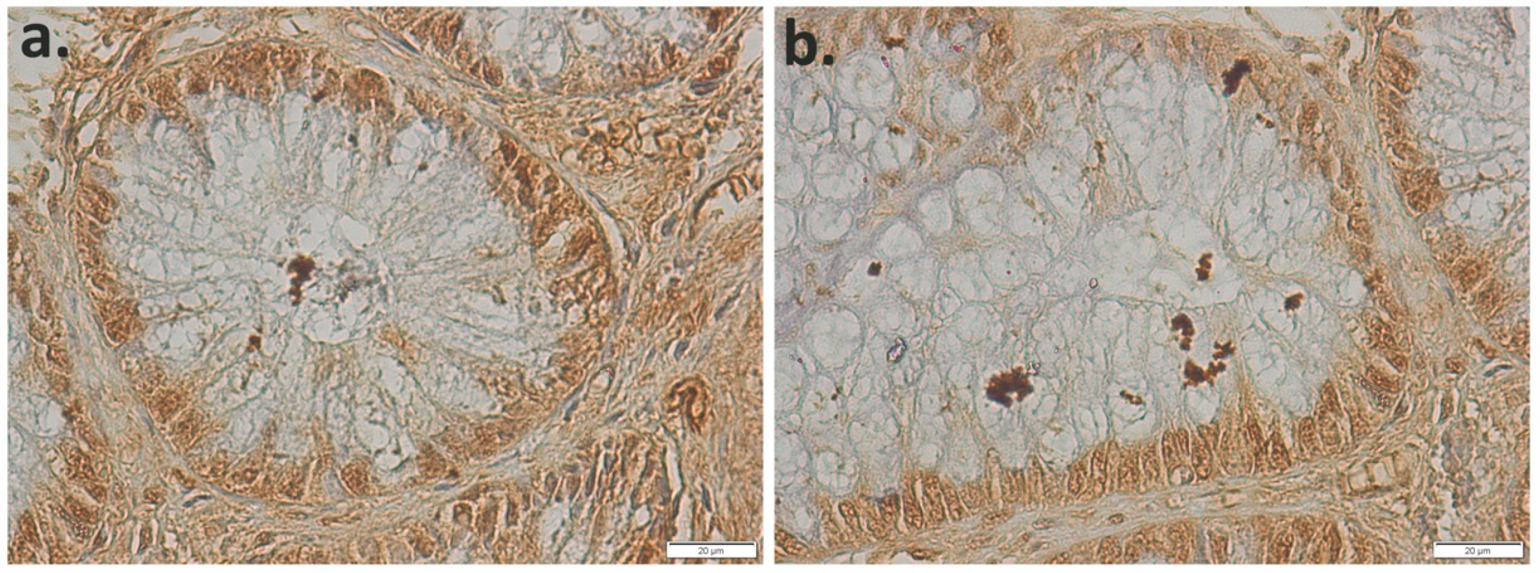
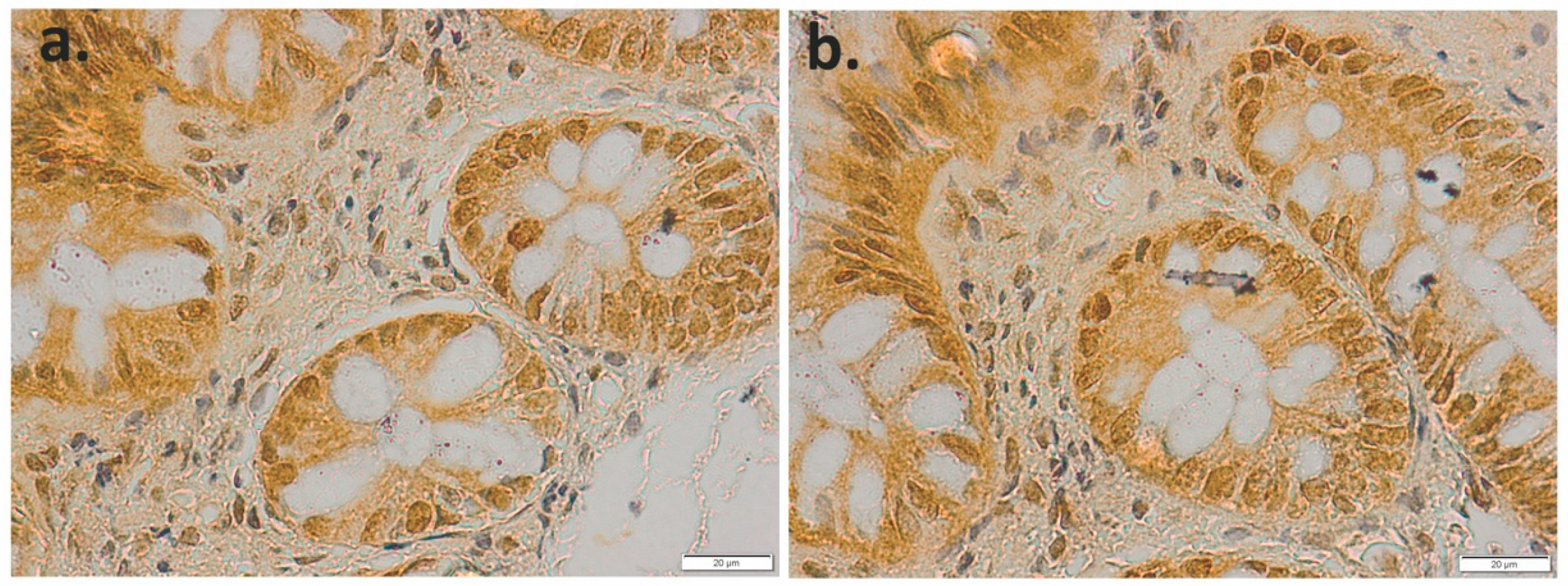
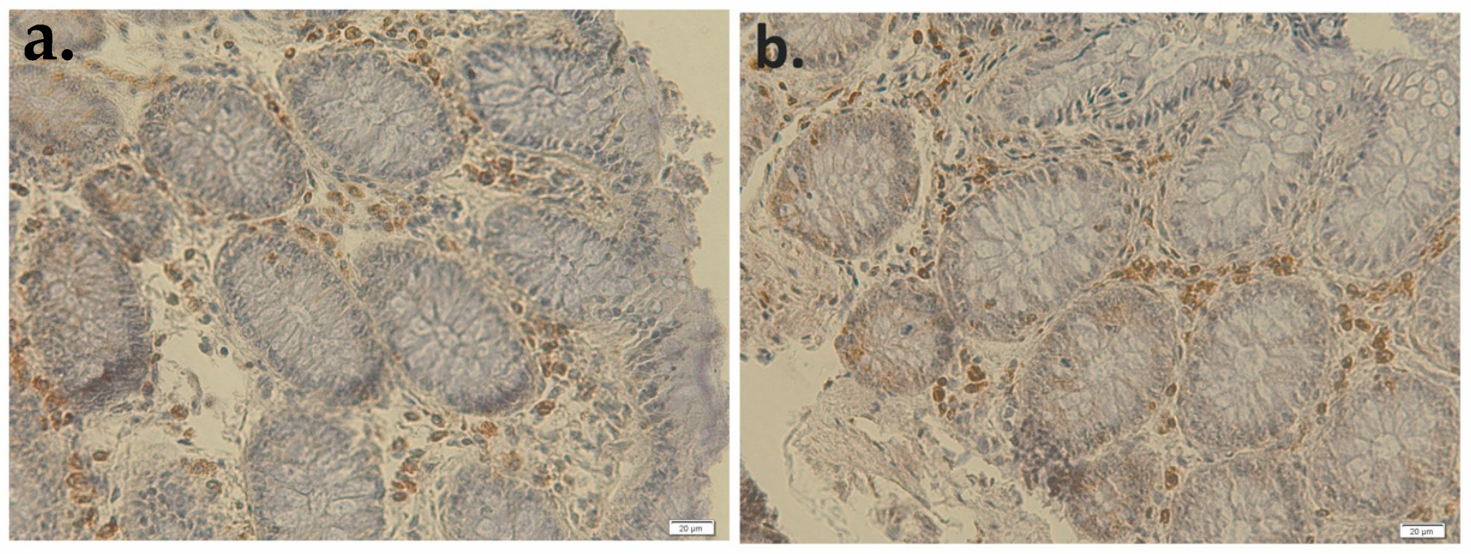
3.1. Effect of Epirubicin-Based Chemotherapy on the Expression of Tight Junction Proteins
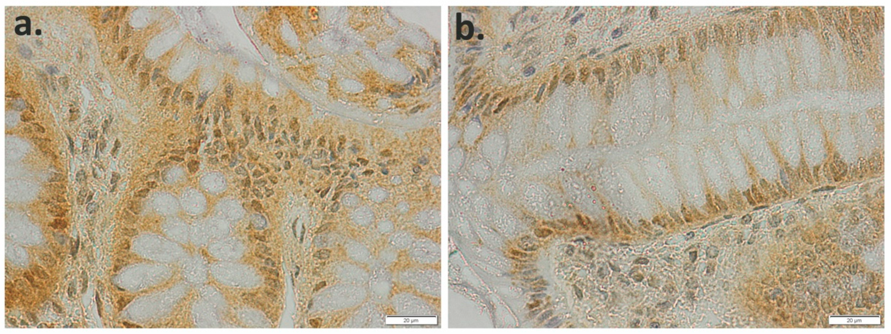
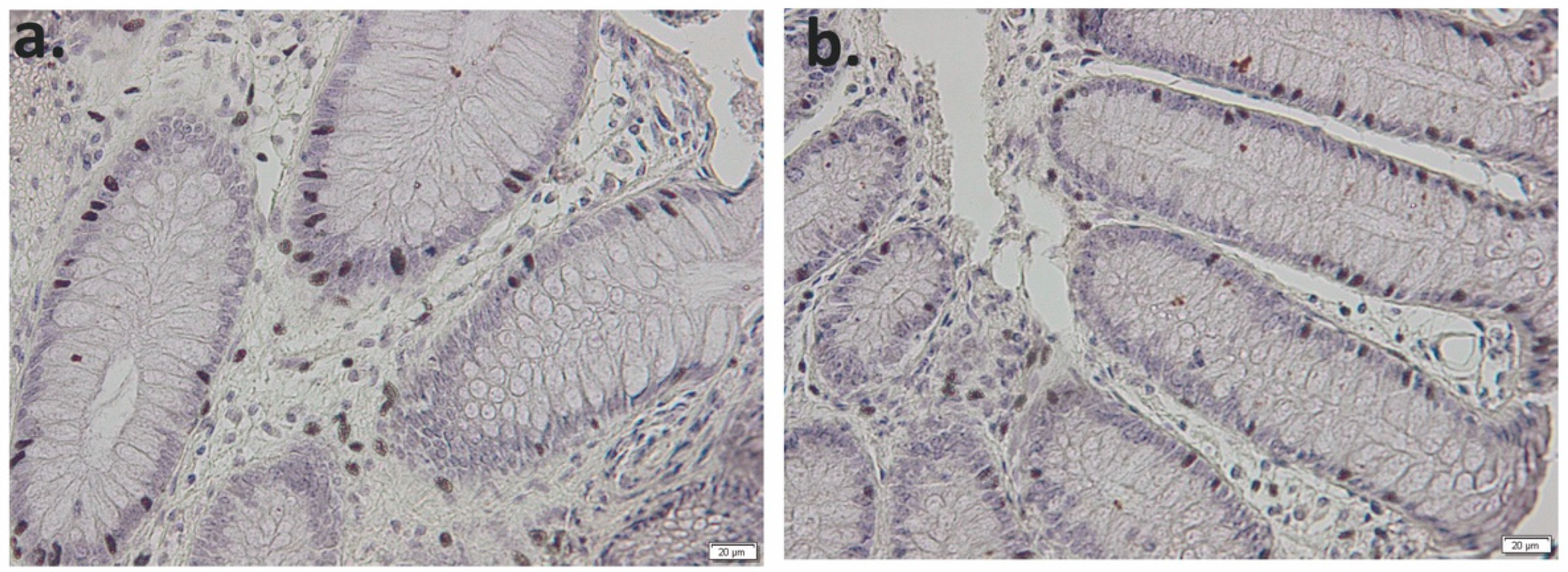
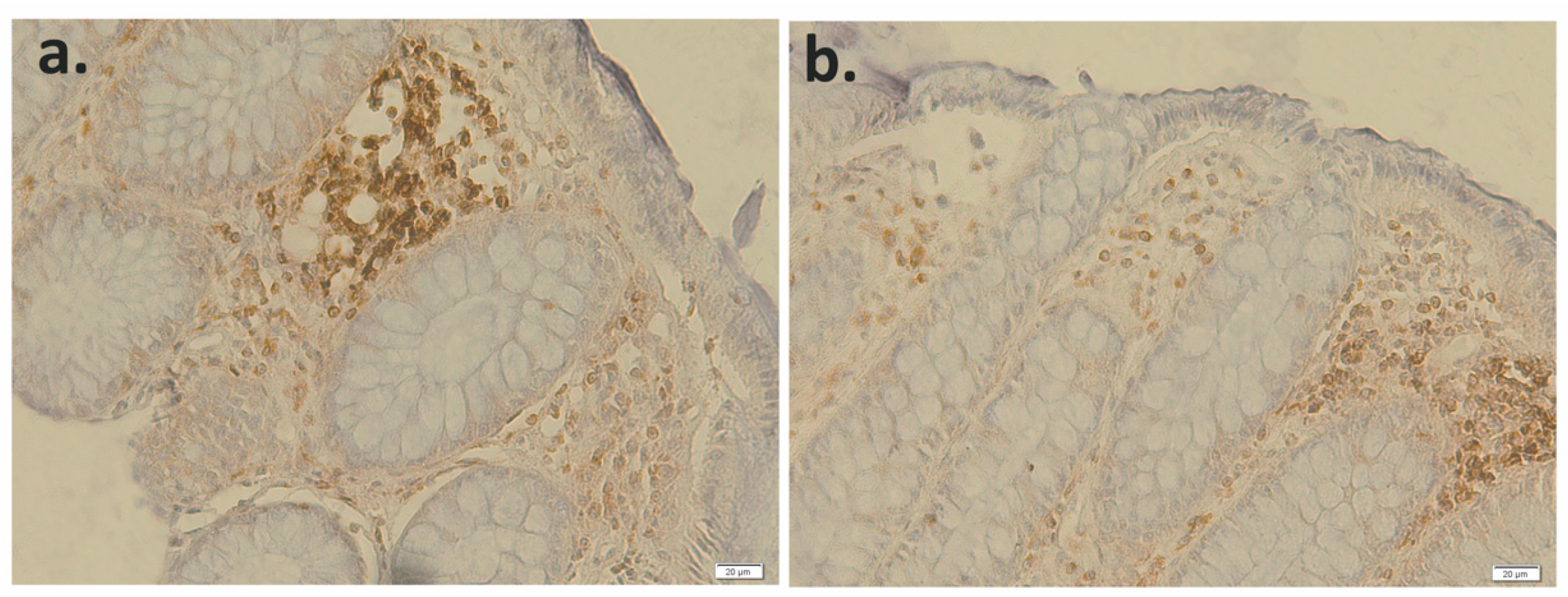
3.2. Effect of Epirubicin-Based Chemotherapy on the Expression of Apoptosis Markers
4. Discussion
5. Conclusions
Author Contributions
Funding
Institutional Review Board Statement
Informed Consent Statement
Data Availability Statement
Conflicts of Interest
References
- Beck, P.L.; Wong, J.K.; Li, Y.; Swaminathan, S.; Xavier, R.J.; Devaney, K.L.; Podolsky, D.K. Chemotherapy- and Radiotherapy-Induced Intestinal Damage Is Regulated by Intestinal Trefoil Factor. Gastroenterology 2004, 126, 796–808. [Google Scholar] [CrossRef] [PubMed]
 - Kwon, Y. Mechanism-based management for mucositis: Option for treating side effects without compromising the efficacy of cancer therapy. OncoTargets Ther. 2016, 9, 2007–2016. [Google Scholar] [CrossRef] [PubMed]
 - Birchenough, G.M.; Johansson, M.E.; Gustafsson, J.K.; Bergstrom, J.H.; Hansson, G.C. New developments in goblet cell mucus secretion and function. Mucosal Immunol. 2015, 8, 712–719. [Google Scholar] [CrossRef] [PubMed]
 - Kim, Y.S.; Ho, S.B. Intestinal goblet cells and mucins in health and disease: Recent insights and progress. Curr. Gastroenterol. Rep. 2010, 12, 319–330. [Google Scholar] [CrossRef] [PubMed]
 - Rescigno, M. The intestinal epithelial barrier in the control of homeostasis and immunity. Trends Immunol. 2011, 32, 256–264. [Google Scholar] [CrossRef]
 - Chelakkot, C.; Ghim, J.; Ryu, S.H. Mechanisms regulating intestinal barrier integrity and its pathological implications. Exp. Mol. Med. 2018, 50, 103. [Google Scholar] [CrossRef]
 - Suzuki, T. Regulation of intestinal epithelial permeability by tight junctions. Cell Mol. Life Sci. 2013, 70, 631–659. [Google Scholar] [CrossRef]
 - Maloy, K.J.; Powrie, F. Intestinal homeostasis and its breakdown in inflammatory bowel disease. Nature 2011, 474, 298–306. [Google Scholar] [CrossRef]
 - Khor, B.; Gardet, A.; Xavier, R.J. Genetics and pathogenesis of inflammatory bowel disease. Nature 2011, 474, 307–317. [Google Scholar] [CrossRef] [PubMed]
 - Feldman, G.J.; Mullin, J.M.; Ryan, M.P. Occludin: Structure, function and regulation. Adv. Drug Deliv. Rev. 2005, 57, 883–917. [Google Scholar] [CrossRef]
 - Gunzel, D.; Yu, A.S. Claudins and the modulation of tight junction permeability. Physiol. Rev. 2013, 93, 525–569. [Google Scholar] [CrossRef] [PubMed]
 - Itoh, M.; Furuse, M.; Morita, K.; Saitou, M.; Tsukita, S. Direct binding of three tight junction-associated MAGUKs, ZO-1, ZO-2, and ZO-3, with the COOH termini of claudins. J. Cell Biol. 1999, 147, 1351–1363. [Google Scholar] [CrossRef]
 - Beatch, M.; Jesaitis, L.A.; Gallin, W.J.; Goodenough, D.A.; Stevenson, B.R. The tight junction protein ZO-2 contains three PDZ (PSD-95/Discs-Large/ZO1) domains and an alternatively spliced region. J. Biol. Chem. 1996, 271, 25723–25726. [Google Scholar] [CrossRef] [PubMed]
 - Watson, A.J.M.; Pritchard, M.D. Lessons from Genetically Engineered Animal Models VII. Apoptosis in intestinal epithelium: Lessons from transgenic and knockout mice. Am. J. Physiol. Gastrointest. Liver Physiol. 2000, 278, G1–G5. [Google Scholar] [CrossRef] [PubMed]
 - Hall, P.A.; Coates, P.J.; Ansari, B.; Hopwood, D. Regulation of cell number in the mammalian gastrointestinal tract: The importance of apoptosis. J. Cell Sci. 1994, 107, 3569–3577. [Google Scholar] [CrossRef]
 - Sasu, A.; Herman, H.; Mariasiu, T.; Rosu, M.; Balta, C.; Anghel, N.; Miutescu, E.; Cotoraci, C.; Hermenean, A. Protective effects of silymarin on epirubicin—Induced mucosal barrier injury of the gastrointestinal tract. Drug Chem. Toxicol. 2015, 38, 442–451. [Google Scholar] [CrossRef]
 - Cameron, D.; Morden, J.P.; Canney, P.; Velikova, G.; Coleman, R.; Bartlett, J. Accelerated versus standard epirubicin followed by cyclophosphamide, methotrexate, and fluorouracil or capecitabine as adjuvant therapy for breast cancer in the randomised UK TACT2 trial (CRUK/05/19): A multicentre, phase 3, openlabel, randomised, controlled trial. Lancet Oncol. 2017, 18, 929–945. [Google Scholar]
 - Moretti, E.; Desmedt, C.; Biagioni, C.; Regan, M.M.; Oakman, C.; Larsimont, D.; Galardi, F.; Piccart-Gebhart, M.; Sotiriou, C.; Rimm, D.L. TOP2A protein by quantitative immunofluorescence as a predictor of response to epirubicin in the neoadjuvant treatment of breast cancer. Future Oncol. 2013, 9, 1477–1487. [Google Scholar] [CrossRef]
 - Yu, J. Intestinal stem cell injury and protection during cancer therapy. Transl. Cancer Res. 2013, 2, 384–396. [Google Scholar]
 - Will, C.; Fromm, M.; Muller, D. Claudin tight junction proteins: Novel aspects in paracellular transport. Perit. Dial. Int. 2008, 28, 577–584. [Google Scholar] [CrossRef]
 - Forster, C. Tight junctions and the modulation of barrier function in disease. Histochem. Cell Biol. 2008, 130, 55–70. [Google Scholar] [CrossRef] [PubMed]
 - Melichar, B.; Dvorak, J.; Krcmova, L.; Hyspler, R.; Urbanek, L.; Solichova, D. Intestinal permeability and vitamin A absorption in patients with chemotherapy-induced diarrhea. Am. J. Clin. Oncol. 2008, 31, 580–584. [Google Scholar] [CrossRef] [PubMed]
 - Nakao, T.; Nobuhiro, K.; Komatsu, M.; Yoshikawa, K.; Iwata, T.; Utusnomiya, T.; Shimada, M. Irinotecan injures tight junction and causes bacterial translocation in rat. J. Surg. Res. 2012, 173, 341–347. [Google Scholar] [CrossRef]
 - Poritz, L.S.; Garver, K.I.; Green, C.; Fitzpatrick, L.; Ruggiero, F.; Koltun, W.A. Loss of the tight junction protein ZO-1 in dextran sulfate sodium induced colitis. J. Surg. Res. 2007, 140, 12–19. [Google Scholar] [CrossRef] [PubMed]
 - Poritz, L.S.; Harris, L.R.; Kelly, A.A.; Koltun, W.A. Increase in the Tight Junction Protein Claudin-1 in Intestinal Inflammation. Dig. Dis. Sci. 2011, 56, 2802–2809. [Google Scholar] [CrossRef] [PubMed]
 - Wardill, H.R.; Bowen, J.M.; Gibson, R.J. Chemotherapy-induced gut toxicity: Are alterations to intestinal tight junctions pivotal? Cancer Chemother. Pharmacol. 2012, 70, 627–635. [Google Scholar] [CrossRef] [PubMed]
 - Leibowitz, B.; Yu, J. Mitochondrial signaling in cell death via the Bcl-2 family. Cancer Biol. Ther. 2010, 9, 417–422. [Google Scholar] [CrossRef]
 - Pritchard, D.M.; Potten, C.S.; Korsmeyer, S.J.; Roberts, S.; Hickman, J.A. Damage-induced apoptosis in intestinal epithelia from bcl-2-null and bax-null mice: Investigations of the mechanistic determinants of epithelial apoptosis in vivo. Oncogene 1999, 18, 7287–7293. [Google Scholar] [CrossRef]
 - Talwar, S.; House, R.; Sundaramurthy, S.; Balasubramanian, S.; Yu, H.; Palanisamy, V. Inhibition of caspases protects mice from radiation-induced oral mucositis and abolishes the cleavage of RNA-binding protein HuR. J. Biol. Chem. 2014, 289, 3487–3500. [Google Scholar] [CrossRef]
 
















Publisher’s Note: MDPI stays neutral with regard to jurisdictional claims in published maps and institutional affiliations.  | 
© 2021 by the authors. Licensee MDPI, Basel, Switzerland. This article is an open access article distributed under the terms and conditions of the Creative Commons Attribution (CC BY) license (https://creativecommons.org/licenses/by/4.0/).
Share and Cite
Cotoraci, C.; Sasu, A.; Miutescu, E.; Iovanescu, D.; Gharbia, S.; Ciceu, A.; Herman, H.; Hermenean, A. Immunohistochemical Expression Patterns of Tight Junction Proteins, Pro-Apoptotic and Anti-Apoptotic Factors on Progression of Intestinal Mucositis of Onco-Hematological Patients under Epirubicin-Based Chemotherapy. Appl. Sci. 2021, 11, 4710. https://doi.org/10.3390/app11104710
Cotoraci C, Sasu A, Miutescu E, Iovanescu D, Gharbia S, Ciceu A, Herman H, Hermenean A. Immunohistochemical Expression Patterns of Tight Junction Proteins, Pro-Apoptotic and Anti-Apoptotic Factors on Progression of Intestinal Mucositis of Onco-Hematological Patients under Epirubicin-Based Chemotherapy. Applied Sciences. 2021; 11(10):4710. https://doi.org/10.3390/app11104710
Chicago/Turabian StyleCotoraci, Coralia, Alciona Sasu, Eftimie Miutescu, Dana Iovanescu, Sami Gharbia, Alina Ciceu, Hildegard Herman, and Anca Hermenean. 2021. "Immunohistochemical Expression Patterns of Tight Junction Proteins, Pro-Apoptotic and Anti-Apoptotic Factors on Progression of Intestinal Mucositis of Onco-Hematological Patients under Epirubicin-Based Chemotherapy" Applied Sciences 11, no. 10: 4710. https://doi.org/10.3390/app11104710
APA StyleCotoraci, C., Sasu, A., Miutescu, E., Iovanescu, D., Gharbia, S., Ciceu, A., Herman, H., & Hermenean, A. (2021). Immunohistochemical Expression Patterns of Tight Junction Proteins, Pro-Apoptotic and Anti-Apoptotic Factors on Progression of Intestinal Mucositis of Onco-Hematological Patients under Epirubicin-Based Chemotherapy. Applied Sciences, 11(10), 4710. https://doi.org/10.3390/app11104710
        
                                                
