Mandibular Coronoid Process Hypertrophy: Diagnosis and 20-Year Follow-Up with CBCT, MRI and EMG Evaluations
Abstract
1. Introduction
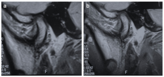
2. Clinical Case
3. Discussion
4. Conclusions
Author Contributions
Funding
Informed Consent Statement
Data Availability Statement
Conflicts of Interest
References
- Farronato, M.; Lucchina, A.G.; Mortellaro, C.; Fama, A.; Galbiati, G.; Farronato, G.; Maspero, C. Bilateral hyperplasia of the coronoid process in pediatric patients: What is the gold standard for treatment? J. Craniofac. Surg. 2019, 30, 1058–1063. [Google Scholar] [CrossRef]
- Fernández Ferro, M.; Fernandez Sanroman, J.; Sandoval Gutierrez, J.; Costas López, A.; López de Sánchez, A.; Etayo Pérez, A. Treatment of bilateral hyperplasia of the coronoid process of the mandible. Presentation of a case and review of the literature. Med. Oral Patol. Oral Cir. Bucal. 2008, 13, 595–598. [Google Scholar]
- Lehman, H.; Fleissig, Y.; Abid-El-Raziq, D.; Nitzan, D. Limited mouth opening of unknown cause cured by diagnostic coronoidectomy: A new clinical entity? Br. J. Oral Maxillofac. Surg. 2015, 53, 230–234. [Google Scholar] [CrossRef] [PubMed]
- Capote, A.; Rodríguez, F.J.; Blasco, A.; Muñoz, M.F. Jacob’s disease associated with temporomandibular joint dysfunction: A case report. Med. Oral Patol. Oral Cir. Bucal 2005, 10, 210–214. [Google Scholar] [PubMed]
- Minervini, G.; Lucchese, A.; Perillo, L.; Serpico, R.; Minervini, G. Unilateral superior condylar neck fracture with dislocation in a child treated with an acrylic splint in the upper arch for functional repositioning of the mandible. CRANIO 2016, 35, 337–341. [Google Scholar] [CrossRef]
- Bravo-Hammett, S.; Nucci, L.; Christou, T.; Aristizabal, J.F.; Kau, C.H. 3D Analysis of Facial Morphology of a Colombian Population Compared to Adult Caucasians. Eur. J. Dent. 2020, 14, 342–351. [Google Scholar]
- Kubota, Y.; Takenoshita, Y.; Takamori, K.; Kanamoto, M.; Shirasuna, K. Levandoski panographic analysis in the diagnosis of hyperplasia of the coronoid process. Br. J. Oral Maxillofac. Surg. 1999, 37, 409–411. [Google Scholar] [CrossRef]
- Wang, W.; Xu, B.; Zhang, B.; Lou, H. Temporomandibular joint ankylosis contributing to coronoid process hyperplasia. Int. J. Oral Maxillofac. Surg. 2016, 45, 1229–1233. [Google Scholar] [CrossRef]
- Chen, S.; He, Y.; An, J.-G.; Zhang, Y. Recurrence-Related Factors of Temporomandibular Joint Ankylosis: A 10-Year Experience. J. Oral Maxillofac. Surg. 2019, 77, 2512–2521. [Google Scholar] [CrossRef]
- Maspero, C.; Giannini, L.; Terzi, L.; Sesso, G. Bilateral hyperplasia of the coronoid process in pediatric patients. Dent. Cadmos. 2012, 80, 559–563. [Google Scholar] [CrossRef]
- Satoh, K.; Ohno, S.; Aizawa, T.; Imamura, M.; Mizutani, H. Bilateral Coronoid Hyperplasia in an Adolescent: Report of a Case and Review of the Literature. J. Oral Maxillofac. Surg. 2006, 64, 334–338. [Google Scholar] [CrossRef]
- Mano, T.; Ueyama, Y.; Koyama, T.; Nishiyama, A.; Matsumura, T. Trismus due to bilateral coronoid hyperplasia in a child: Case report. J. Oral Maxillofac. Surg. 2005, 63, 399–401. [Google Scholar] [CrossRef]
- Çorumlu, U.; Kopuz, C.; Demir, M.T.; Pirzirenli, M.E. Bilateral elongated mandibular coronoid process in an Anatolian skull. Anat. Cell Biol. 2016, 49, 217–220. [Google Scholar] [CrossRef][Green Version]
- McLoughlin, P.M.; Hopper, C.; Bowley, N.B. Hyperplasia of the mandibular coronoid process: An analysis of 31 cases and a review of the literature. J. Oral Maxillofac. Surg. 1995, 53, 250–255. [Google Scholar] [CrossRef]
- Marji, F.P.; Anstadt, E.; Davit, A.; Goldstein, J.A.; Losee, J.E. Pediatric Mandibular Condylar Fractures With Concomitant Cervical Spine Injury: A Treatment Protocol for Prevention of Temporomandibular Joint Ankylosis. J. Craniofac. Surg. 2020, 31, e248–e250. [Google Scholar] [CrossRef]
- Fariña, R.; Canto, L.; Gunckel, R.; Alister, J.P.; Uribe, F. Temporomandibular Joint Ankylosis: Algorithm of Treatment. J. Craniofac. Surg. 2018, 29, 427–431. [Google Scholar] [CrossRef]
- Ghazizadeh, M.; Sheikhi, M.; Salehi, M.M.; Khaleghi, A. Bilateral coronoid hyperplasia causing painless limitation of mandibular movement. Radiol. Case Rep. 2018, 13, 112–117. [Google Scholar] [CrossRef]
- Minervini, G.; Nucci, L.; Lanza, A.; Femiano, F.; Contaldo, M.; Grassia, V. Temporomandibular disc displacement with reduction treated with anterior repositioning splint: A 2-year clinical and magnetic resonance imaging (MRI) follow-up. J. Biol. Regul. Homeost. Agents 2020, 34, 151–160. [Google Scholar]
- Chang, C.C.; Allori, A.C.; Wang, E.; Fariña, R.; Warren, S.M.; Grayson, B.H.; McCarthy, J.G. A Quantitative Three-Dimensional Analysis of Coronoid Hypertrophy in Pediatric Craniofacial Malformations. Plast. Reconstr. Surg. 2012, 129, 312e–318e. [Google Scholar] [CrossRef]
- Anthwal, N.; Peters, H.; Tucker, A.S. Species-specific modifications of mandible shape reveal independent mechanisms for growth and initiation of the coronoid. EvoDevo 2015, 6, 35. [Google Scholar] [CrossRef]
- Moccia, S.; Nucci, L.; Spagnuolo, C.; D’Apuzzo, F.; Piancino, M.G.; Minervini, G. Polyphenols as Potential Agents in the Management of Temporomandibular Disorders. Appl. Sci. 2020, 10, 5305. [Google Scholar] [CrossRef]
- Costello, B.J.; Edwards, S.P. Pediatric Mandibular Hypomobility: Current Management and Controversies. Oral Maxillofac. Surg. Clin. N. Am. 2005, 17, 455–466. [Google Scholar] [CrossRef] [PubMed]
- Gibbons, A.; Abulhoul, S. Use of a Therabite appliance in the management of bilateral mandibular coronoid hyperplasia. Br. J. Oral Maxillofac. Surg. 2007, 45, 505–506. [Google Scholar] [CrossRef] [PubMed]
- Contaldo, M.; Della Vella, F.; Raimondo, E.; Minervini, G.; Buljubasic, M.; Ogodescu, A.; Sinescu, C.; Serpico, R. Early Childhood Oral Health Impact Scale (ECOHIS): Literature review and Italian validation. Int. J. Dent. Hyg. 2020, 18, 396–402. [Google Scholar] [CrossRef]
- Yang, Y.; Li, Y.; Jiang, N.; Bi, R.; Zhu, S. Grafts of autogenous coronoid process to reconstruct the mandibular condyle in children with unilateral ankylosis of the temporomandibular joint: Long-term effects on mandibular growth. Br. J. Oral Maxillofac. Surg. 2018, 56, 107–112. [Google Scholar] [CrossRef]
- Bianchini, E.M.; De Andrade, C.R. A Model of Mandibular Movements during Speech: Normative Pilot Study for the Brazilian Portuguese Language. CRANIO 2006, 24, 197–206. [Google Scholar] [CrossRef]
- Brown, T. Mandibular Movements. Monogr. Oral Sci. 1975, 4, 126–150. [Google Scholar]
- Armijo-Olivo, S.; Pitance, L.; Singh, V.; Neto, F.; Thie, N.; Michelotti, A. Effectiveness of Manual Therapy and Therapeutic Exercise for Temporomandibular Disorders: Systematic Review and Meta-Analysis. Phys. Ther. 2016, 96, 9–25. [Google Scholar] [CrossRef]
- Mazzetto, M.O.; Hotta, T.H. Hypertrophy of the mandibular coronoid process and structural alterations of the condyles associated with limited buccal opening: Case report. Braz. Dent. J. 2007, 18, 171–174. [Google Scholar] [CrossRef]
- Kumar, P.; Singh, V.; Agrawal, A.; Bhagol, A.; Bali, R. Incremental increase in percentage mouth opening after coronoidectomy in temporomandibular joint ankylosis. Int. J. Oral Maxillofac. Surg. 2015, 44, 859–863. [Google Scholar] [CrossRef]
- Okeson, J.P. Management of Temporomandibular Disorders and Occlusion, 8th ed.; Elsevier Health Sciences: Amsterdam, The Netherlands, 2019; pp. 1–23. [Google Scholar]
- Dekel, E.; Nucci, L.; Weill, T.; Flores-Mir, C.; Becker, A.; Perillo, L.; Chaushu, S. Impaction of maxillary canines and its effect on the position of adjacent teeth and canine development: A cone-beam computed tomography study. Am. J. Orthod. Dentofac. Orthop. 2021, 159, e135–e147. [Google Scholar] [CrossRef]
- Grassia, V.; D’Apuzzo, F.; Ferrulli, V.E.; Matarese, G.; Femiano, F.; Perillo, L. Dento-skeletal effects of mixed palatal expansion evaluated by postero-anterior cephalometric analysis. Eur. J. Paediatr. Dent. 2014, 15, 59–62. [Google Scholar]











Publisher’s Note: MDPI stays neutral with regard to jurisdictional claims in published maps and institutional affiliations. |
© 2021 by the authors. Licensee MDPI, Basel, Switzerland. This article is an open access article distributed under the terms and conditions of the Creative Commons Attribution (CC BY) license (https://creativecommons.org/licenses/by/4.0/).
Share and Cite
d’Apuzzo, F.; Minervini, G.; Grassia, V.; Rotolo, R.P.; Perillo, L.; Nucci, L. Mandibular Coronoid Process Hypertrophy: Diagnosis and 20-Year Follow-Up with CBCT, MRI and EMG Evaluations. Appl. Sci. 2021, 11, 4504. https://doi.org/10.3390/app11104504
d’Apuzzo F, Minervini G, Grassia V, Rotolo RP, Perillo L, Nucci L. Mandibular Coronoid Process Hypertrophy: Diagnosis and 20-Year Follow-Up with CBCT, MRI and EMG Evaluations. Applied Sciences. 2021; 11(10):4504. https://doi.org/10.3390/app11104504
Chicago/Turabian Styled’Apuzzo, Fabrizia, Giuseppe Minervini, Vincenzo Grassia, Rossana Patricia Rotolo, Letizia Perillo, and Ludovica Nucci. 2021. "Mandibular Coronoid Process Hypertrophy: Diagnosis and 20-Year Follow-Up with CBCT, MRI and EMG Evaluations" Applied Sciences 11, no. 10: 4504. https://doi.org/10.3390/app11104504
APA Styled’Apuzzo, F., Minervini, G., Grassia, V., Rotolo, R. P., Perillo, L., & Nucci, L. (2021). Mandibular Coronoid Process Hypertrophy: Diagnosis and 20-Year Follow-Up with CBCT, MRI and EMG Evaluations. Applied Sciences, 11(10), 4504. https://doi.org/10.3390/app11104504

