Fluoride and Pineal Gland
Abstract
:1. Introduction
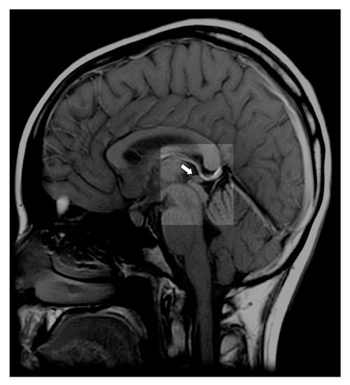
2. Pineal Gland—Anatomy and Physiology
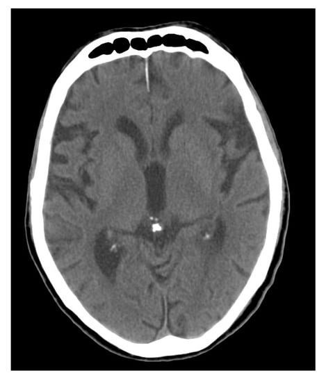
3. Calcium Accumulation in the Pineal Gland
4. Fluoride Accumulation in the Pineal Gland and Its Consequences
Author Contributions
Funding
Conflicts of Interest
References
- Kalisińska, E.; Baranowska-Bosiacka, I.; Łanocha, N.; Kosik-Bogacka, D.; Królaczyk, K.; Wilk, A.; Kavetska, K.; Budis, H.; Gutowska, I.; Chlubek, D. Fluoride concentrations in the pineal gland, brain and bone of goosander (Mergus merganser) and its prey in Odra River estuary in Poland . Environ. Geochem. Health 2014, 36, 1063–1077. [Google Scholar] [CrossRef] [PubMed] [Green Version]
- Kanduti, D.; Sterbenk, P.; Artnik, B. Fluoride: A review of use and effects on health. Mater. Sociomed. 2016, 28, 133–137. [Google Scholar] [CrossRef] [Green Version]
- Kupnicka, P.; Kojder, K.; Metryka, E.; Kapczuk, P.; Jeżewski, D.; Gutowska, I.; Goschorska, M.; Chlubek, D.; Baranowska-Bosiacka, I. Morphine-element interactions—The influence of selected chemical elements on neural pathways associated with addiction. J. Trace Elem. Med. Biol. 2020, 60, 126495. [Google Scholar] [CrossRef]
- Choi, A.L.; Sun, G.; Zhang, Y.; Grandjean, P. Developmental fluoride neurotoxicity: A systematic review and meta-analysis. Environ. Health Perspect. 2012, 10, 1362–1368. [Google Scholar] [CrossRef] [Green Version]
- Dec, K.; Łukomska, A.; Maciejewska, D.; Jakubczyk, K.; Baranowska-Bosiacka, I.; Chlubek, D.; Wąsik, A.; Gutowska, I. The influence of fluorine on the disturbances of homeostasis in the central nervous system. Biol. Trace Elem. Res. 2017, 177, 224–234. [Google Scholar] [CrossRef] [Green Version]
- Duan, Q.; Jiao, J.; Chen, X.; Wang, X. Association between water fluoride and the level of children’s intelligence: A dose-response meta-analysis. Public Health 2018, 154, 87–97. [Google Scholar] [CrossRef]
- Ghosh, A.; Mukherjee, K.; Ghosh, S.K.; Saha, B. Sources and toxicity of fluoride in the environment. Res. Chem. Intermediat. 2013, 39, 2881–2915. [Google Scholar] [CrossRef]
- Palczewska-Komsa, M.; Barczak, K.; Kotwas, A.; Sikora, M.; Chlubek, D.; Buczkowska-Radlińska, J. Fluoride concentration in dentin of human permanent teeth. Fluoride 2019, 52, 489–496. [Google Scholar]
- Waszkiel, D.; Opalko, K.; Łagocka, R.; Chlubek, D. Fluoride and magnesium content in superficial enamel layers of teeth with erosions. Fluoride 2004, 37, 285–291. [Google Scholar]
- Buzalaf, M.A.; Whitford, G.M. Fluoride metabolism. Monogr. Oral Sci. 2011, 22, 20–36. [Google Scholar] [PubMed]
- Malin, A.J.; Bose, S.; Busgang, S.A.; Gennings, C.; Thorpy, M.; Wright, R.O.; Wright, R.J.; Arora, M. Fluoride exposure and sleep patterns among older adolescents in the United States: A cross-sectional study of NHANES 2015–2016. Environ. Health 2019, 18, 106. [Google Scholar] [CrossRef] [PubMed] [Green Version]
- ten Cate, J.M.; Featherstone, J.D. Mechanistic aspects of the interactions between fluoride and dental enamel. Crit. Rev. Oral Biol. Med. 1991, 2, 283–296. [Google Scholar] [CrossRef] [PubMed]
- Mokrzyński, S.; Machoy, Z. Fluoride incorporation into fetal bone. Fluoride 1994, 27, 151–154. [Google Scholar]
- Mokrzyński, S.; Chlubek, D.; Mikulski, T.; Machoy, Z. The use of microdensitometric examinations for evaluating the influence of fluorine on bone mineralization in fetus. Pol. Przegl. Radiol. 1994, 58, 62–64. [Google Scholar]
- Mokrzyński, S.; Chlubek, D.; Machoy, Z.; Samujło, D. Fluoride in the organism of mother and fetus. II. Fluoride cumulation in the organism of fetus. Ginekol. Pol. 1994, 65, 678–681. [Google Scholar] [PubMed]
- Sikora, M.; Kwiatkowska, B.; Chlubek, D. Fluoride content in superficial enamel layers of human teeth from archeological excavations. Fluoride 2014, 47, 341–348. [Google Scholar]
- Chlubek, D.; Noceń, I.; Dąbkowska, E.; Żyluk, B.; Machoy, Z.; Kwiatkowska, B. Fluoride accumulation in human skulls in relation to chronological age. Fluoride 1996, 29, 131–134. [Google Scholar]
- Chlubek, D.; Sikora, M.; Kwiatkowska, B.; Gronkiewicz, S. Determinations of mineral composition in superficial enamel layers of human teeth from archeological excavations by means of enamel biopsy. Biul. Magnezol. 2001, 6, 110–117. [Google Scholar]
- Patil, M.M.; Lakhkar, B.B.; Patil, S.S. Course of fluorosis. Indian J. Pediatr. 2018, 85, 375–383. [Google Scholar] [CrossRef]
- Shruthi, M.N.; Anil, N.S. A comparative study of dental fluorosis and non-skeletal manifestations of fluorosis in areas with different water fluoride concentrations in rural Kolar. J. Family Med. Prim. Care. 2018, 7, 1222–1228. [Google Scholar]
- Rajapakse, P.S.; Jayawardhane, W.M.; Lokubandara, A.; Gamage, R.; Dasanayake, A.P.; Goonaratna, C. High prevalence of dental fluorosis among schoolchildren in three villages in Vavuniya District: An observational study. Ceylon Med. J. 2017, 62, 218–221. [Google Scholar] [CrossRef] [PubMed] [Green Version]
- Hewavithana, P.B.; Jayawardhane, W.M.; Gamage, R.; Goonaratna, C. Skeletal fluorosis in Vavuniya District: An observational study. Ceylon Med. J. 2018, 63, 139–142. [Google Scholar] [CrossRef] [PubMed]
- Sellami, M.; Riahi, H.; Maatallah, K.; Ferjani, H.; Bouaziz, M.C.; Ladeb, M.F. Skeletal fluorosis: Don’t miss the diagnosis! Skeletal Radiol. 2020, 49, 345–357. [Google Scholar] [CrossRef] [PubMed]
- Aoba, T.; Fejerskov, O. Dental fluorosis: Chemistry and biology. Crit. Rev. Oral Biol. Med. 2002, 13, 155–170. [Google Scholar] [CrossRef]
- Waldbott, G.L. Fluoride and calcium levels in the aorta. Exeprientia 1966, 22, 835–837. [Google Scholar] [CrossRef] [PubMed]
- Zipkin, I.; Zucas, S.M.; Lavender, D.R.; Fullmer, H.M.; Schiffmann, E.; Corcoran, B.A. Fluoride and calcification of rat aorta. Calcif. Tissue Res. 1970, 6, 173–182. [Google Scholar] [CrossRef] [PubMed]
- Susheela, A.K.; Kharb, P. Aortic calcification in chronic fluoride poisoning: Biochemical and electronmicroscopic evidence. Exp. Mol. Pathol. 1990, 53, 72–80. [Google Scholar] [CrossRef]
- Fiz, F.; Morbelli, S.; Bauckneht, M.; Piccardo, A.; Ferrarazzo, G.; Nieri, A.; Artom, N.; Cabria, M.; Marini, C.; Canepa, M.; et al. Correlation between thoracic aorta 18F-natrium fluoride uptake and cardiovascular risk. World J. Radiol. 2016, 8, 82–89. [Google Scholar] [CrossRef]
- Ericsson, Y.; Hammarström, L. Autoradiographic localization of fluoride and calcium deposition in the atherosclerotic aorta of cholesterol-fed rabbits. Gerontology 1964, 9, 150–156. [Google Scholar] [CrossRef]
- Li, Y.; Berenji, G.R.; Shaba, W.F.; Tafti, B.; Yevdayev, E.; Dadparvar, S. Association of vascular fluoride uptake with vascular calcification and coronary artery disease. Nucl. Med. Commun. 2012, 33, 14–20. [Google Scholar] [CrossRef] [Green Version]
- Chen, W.; Dilsizian, V. Targeted PET/CT imaging of vulnerable atherosclerotic plaques: Microcalcification with sodium fluoride and inflammation with fluorodeoxyglucose. Curr. Cardiol. Rep. 2013, 15, 364. [Google Scholar] [CrossRef]
- Chlubek, D.; Poręba, R.; Machaliński, B. Fluoride and calcium distribution in human placenta. Fluoride 1998, 31, 131–136. [Google Scholar]
- Chlubek, D.; Rzeuski, R. Toxic effects of fluorine compounds on the fetus and their effect on the course of pregnancy. Ginekol. Pol. 1996, 67, 141–418. [Google Scholar]
- Shen, Y.W.; Taves, D.R. Fluoride concentrations in human placenta and maternal and cord blood. Am. J. Obstet. Gynecol. 1974, 119, 205–207. [Google Scholar] [CrossRef]
- Gurumurthy, S.M.; Mohanty, S.; Vyakaranam, S.; Bhongir, A.V.; Rao, P. Transplacental transport of fluoride, calcium and magnesium. Natl. J. Integr. Res. Med. 2011, 2, 51–55. [Google Scholar]
- Gurumurthy, S.M.; Mohanty, S.; Rao, P. Role of placenta to combat fluorosis (in fetus) in endemic fluorosis area. Natl. J. Integr. Res. Med. 2010, 1, 16–19. [Google Scholar]
- Chlubek, D.; Machoy, Z.; Samujło, D. Fluoride concentration in human placenta in the region of fluorine industrial emissions. Bromat. Chem. Toksykol. 1997, 30, 299–302. [Google Scholar]
- Feltman, R.; Kosel, G. Prenatal ingestion of fluorides and their transfer to the fetus. Science 1955, 122, 560–561. [Google Scholar] [CrossRef]
- Chlubek, D.; Machoy, Z. Role of placenta in fluoride metabolism. Ginekol. Pol. 1991, 42, 568–572. [Google Scholar]
- Chlubek, D. Some aspects of prenatal fluoride metabolism in humans. Studies performed during the perinatal period. Ann. Acad. Med. Stetin. 1996, 42 (Suppl. S31), 1–99. [Google Scholar]
- Chlubek, D.; Zawierta, J.; Kaźmierczyk, A.; Kramek, J.; Olszewska, M.; Stachowska, E. Effect of different fluoride ion concentrations on malondialdehyde (MDA) formation in the mitochondrial fraction of human placental cells. Bromat. Chem. Toksykol. 1999, 32, 119–122. [Google Scholar]
- Kot, K.; Ciosek, Ż.; Łanocha-Arendarczyk, N.; Kosik-Bogacka, D.; Ziętek, P.; Karaczun, G.; Baranowska-Bosiacka, I.; Gutowska, I.; Kalisińska, E.; Chlubek, D. Fluoride concentrations in cartilage, spongy bone, anterior cruciate ligament, meniscus, and infrapatellar fat pad of patients undergoing primary knee joint arthroplasty. Fluoride 2017, 50, 175–181. [Google Scholar]
- Giachini, M.; Pierleoni, F. Fluoride toxicity. Minerva Stomatol. 2004, 53, 171–177. [Google Scholar] [PubMed]
- Fordyce, F.M.; Vrana, K.; Zhovinsky, E.; Povoroznuk, V.; Toth, G.; Hope, B.C.; Iljinsky, U.; Baker, J. A health risk assessment for fluoride in Central Europe. Environ. Geochem. Health 2007, 29, 83–102. [Google Scholar] [CrossRef] [Green Version]
- Kosik-Bogacka, D.; Łanocha-Arendarczyk, N.; Kot, K.; Ziętek, P.; Karaczun, M.; Gutowska, I.; Baranowska-Bosiacka, I.; Grzeszczak, K.; Sikora, M.; Chlubek, D. Fluoride concentration in synovial fluid, bone marrow, and cartilage in patients with osteoarthritis. Fluoride 2018, 51, 164–170. [Google Scholar]
- Dołęgowska, B.; Machoy, Z.; Chlubek, D. Changes in the content of zinc and fluoride during growth of the femur in chicken. Biol. Trace Elem. Res. 2003, 91, 67–76. [Google Scholar] [CrossRef]
- Jamal, A.; Moshfeghi, M.; Moshfeghi, S.; Mohammadi, N.; Zarean, E.; Jahangiri, N. Is preterm placental calcification related to adverse maternal and foetal outcome? J. Obstet. Gynecol. 2017, 37, 605–609. [Google Scholar] [CrossRef]
- Moran, M.; Higgins, M.; Zombori, G.; Ryan, J.; McAuliffe, F.M. Computerized assessment of placental calcification post-ultrasound: A novel software tool. Ultrasound Obstet. Gynecol. 2013, 41, 545–549. [Google Scholar] [CrossRef] [Green Version]
- Wang, W.; Kong, L.; Zhao, H.; Dong, R.; Li, J.; Jia, Z.; Ji, N.; Deng, S.; Sun, Z.; Zhou, J. Thoracic ossification of ligamentum flavum caused by skeletal fluorosis. Eur. Spine J. 2007, 16, 1119–1128. [Google Scholar] [CrossRef] [Green Version]
- Chlubek, D.; Mokrzyński, S.; Machoy, Z.; Samujło, D.; Węgrzynowski, J. Fluoride concentration in mother and fetus. I. Placental transport of fluorides. Ginekol. Pol. 1994, 65, 611–615. [Google Scholar]
- Chlubek, D.; Mokrzyński, S.; Machoy, Z.; Olszewska, M. Fluorides in the body of mother and in the fetus. III. Fluorides in amniotic fluid. Ginekol Pol. 1995, 66, 614–617. [Google Scholar]
- Luke, J. Fluoride deposition in the aged human pineal gland. Caries Res. 2001, 35, 125–128. [Google Scholar] [CrossRef]
- Tharnpanich, T.; Johns, J.; Subongkot, S.; Johns, N.P.; Kitkhuandee, A.; Toomsan, Y.; Luengpailin, S. Association between high pineal fluoride content and pineal calcification in a low fluoride area. Fluoride 2016, 49, 472–484. [Google Scholar]
- Luke, J. The Effect of Fluoride on the Physiology of the Pineal Gland. Ph.D. Thesis, University of Surrey, Guildford, UK, 1997. [Google Scholar]
- National Research Council. Fluoride in Drinking Water: A Scientific Review of EPAs Standards; Advisors of the Nation on Science Engineering and Medicine; Committee on Fluoride in Drinking Water; Board on Environmental Studies and Toxicology; The National Academies: Washington, DC, USA, 2006; pp. 262–263. [Google Scholar]
- Del Rio-Hortega, P. Cytology and cellular pathology of the nervous system. In Pineal Gland; Penfield, W., Ed.; Hoeber: New York, NY, USA, 1932; pp. 637–703. [Google Scholar]
- Golan, J.; Torres, K.; Staśkiewicz, G.J.; Opielak, G.; Maciejewski, R. Morphometric parameters of the human pineal gland in relation to age, body weight and height. Folia Morphol. 2002, 61, 111–113. [Google Scholar]
- Macchi, M.M.; Bruce, J.N. Human pineal physiology and functional significance of melatonin. Front. Neuroendocrinol. 2004, 25, 177–195. [Google Scholar] [CrossRef]
- Arendt, J. Melatonin and the Mammalian Pineal Gland, 1st ed.; Chapman & Hall: London, UK, 1995; p. 17. [Google Scholar]
- Tan, D.-X.; Manchester, L.C.; Fuentes-Broto, L.; Paredes, S.D.; Reiter, R.J. Significance and application of melatonin in the regulation of brown adipose tissue metabolism. Relation to human obesity. Obes. Rev. 2011, 12, 167–188. [Google Scholar] [CrossRef]
- Kunz, D.; Schmitz, S.; Mahlberg, R.; Mohr, A.; Stöter, C.; Wolf, K.J.; Herrmann, W.M. A new concept for melatonin deficit: On pineal calcification and melatonin excretion. Neuropsychopharmacology 1999, 21, 765–772. [Google Scholar] [CrossRef]
- Mahlberg, R.; Kienast, T.; Hödel, S.; Heidenreich, J.O.; Schmitz, S.; Kunz, D. Degree of pineal calcification (DOC) is associated with polysomnographic sleep measures in primary insomnia patients. Sleep Med. 2009, 10, 439–445. [Google Scholar] [CrossRef]
- Patel, S.; Rahmani, B.; Gandhi, J.; Seyam, O.; Joshi, G.; Reid, I.; Smith, N.L.; Waltzer, W.C.; Khan, S.A. Revisiting the pineal gland: A review of calcification, masses, precocious puberty, and melatonin functions. Int. J. Neurosci. 2020, 25, 1–12. [Google Scholar] [CrossRef]
- Tan, D.-X.; Xu, B.; Zhou, X.; Reiter, R.J. Calcification, melatonin production, aging, associated health consequences and rejuvenation of the pineal gland. Molecules 2018, 23, 301. [Google Scholar] [CrossRef] [Green Version]
- Kiroğlu, Y.; Çalli, C.; Karabulut, N.; Oncel, C. Intracranial calcifications on CT. Diagn. Interv. Radiol. 2010, 16, 263–269. [Google Scholar]
- McKinney, A.M. Atlas of Normal Imaging Variations of the Brain, Skull, and Craniocervical Vasculature; Springer International Publishing: Cham, Switzerland, 2017. [Google Scholar]
- Demmel, U.; Höck, A.; Kasperek, K.; Feinendegen, L.E. Trace element concentration in the human pineal body. Activation analysis of cobalt, iron, rubidium, selenium, zinc, antimony and cesium. Sci. Total Environ. 1982, 24, 135–146. [Google Scholar] [CrossRef]
- Reiter, R.J.; Mayo, J.C.; Tan, D.-X.; Sainz, R.M.; Alatorre-Jimenez, M.; Qin, I. Melatonin as an antioxidant: Under promises but over delivers. J. Pineal Res. 2016, 61, 253–278. [Google Scholar] [CrossRef]
- Reiter, R.J. Oxidative damage in the central nervous system: Protection by melatonin. Prog. Neurobiol. 1998, 56, 359–384. [Google Scholar] [CrossRef]
- Pandi-Perumal, S.R.; BaHammam, A.S.; Brown, G.M.; Spence, D.W.; Bharti, W.K.; Kaur, C.; Hardeland, R.; Cardinali, D.P. Melatonin antioxidative defense: Therapeutical implications for aging and neurodegenerative processes. Neurotox. Res. 2013, 23, 267–300. [Google Scholar] [CrossRef] [Green Version]
- Liu, Z.; Gan, L.; Xu, Y.; Luo, D.; Ren, Q.; Wu, S.; Sun, C. Melatonin alleviates inflammasome-induced pyroptosis through inhibiting NF-κB/GSDMD signal in mice adipose tissue. J. Pineal Res. 2017, 63, e12414. [Google Scholar] [CrossRef]
- Hardeland, R.; Cardinali, D.P.; Brown, G.M.; Pandi-Perumal, S.R. Melatonin and brain inflammaging. Prog. Neurobiol. 2015, 127–128, 46–63. [Google Scholar] [CrossRef] [Green Version]
- Slominski, A.T.; Zmijewski, M.A.; Semak, I.; Kim, T.K.; Janjetovic, Z.; Slominski, R.M.; Zmijewski, J.W. Melatonin, mitochondria, and the skin. Cell. Mol. Life Sci. 2017, 74, 3913–3925. [Google Scholar] [CrossRef]
- Reiter, R.J.; Rosales-Corral, S.; Boga, J.A.; Tan, D.-X.; Davis, J.M.; Konturek, P.C.; Konturek, S.J.; Brzozowski, T. The photoperiod, circadian regulation and chronodisruption: The requisite interplay between the suprachiasmatic nuclei and the pineal and gut melatonin. J. Physiol. Pharmacol. 2011, 62, 269–274. [Google Scholar]
- Conti, A.; Conconi, S.; Hertens, E.; Skwarlo-Sonta, K.; Markowska, M.; Maestroni, J.M. Evidence for melatonin synthesis in mouse and human bone marrow cells. J. Pineal Res. 2000, 28, 193–202. [Google Scholar] [CrossRef]
- Tijmes, M.; Pedraza, R.; Valladares, I. Melatonin in the rat testis: Evidence for local synthesis. Steroids 1996, 61, 65–68. [Google Scholar] [CrossRef]
- Itoh, M.T.; Ishizuka, B.; Kudo, Y.; Fusama, S.; Amemiya, A.; Sumi, Y. Detection of melatonin and serotonin N-acetyltransferase and hydroxyindole-O-methyltransferase activities in rat ovary. Mol. Cell. Endocrinol. 1997, 136, 7–13. [Google Scholar] [CrossRef]
- Soliman, A.; Lacasse, A.-A.; Lanoix, D.; Sagrillo-Fagundes, L.; Boulard, V.; Vaillancourt, C. Placental melatonin system is present throughout pregnancy and regulates villous trophoblast differentiation. J. Pineal Res. 2015, 59, 38–46. [Google Scholar] [CrossRef] [PubMed] [Green Version]
- Mrvelj, A.; Womble, M.D. Fluoride-free diet stimulates pineal growth in aged male rats. Biol. Trace Elem. Res. 2020. (In press) [Google Scholar] [CrossRef]
- Ibañez Rodriguez, M.P.; Noctor, S.C.; Muñoz, E.M. Cellular basis of pineal gland development: Emerging role of microglia as phenotype regulator. PLoS ONE 2016, 11, e0167063. [Google Scholar] [CrossRef] [Green Version]
- Murcia Garcia, J.; Muñoz Hovos, A.; Molina Carballo, A.; Fernández Garcia, J.M.; Narbona López, E.; Uberos Fernández, J. Puberty and melatonin. An. Esp. Pediatr. 2002, 57, 121–126. [Google Scholar] [CrossRef]
- Lewy, A.J.; Cutler, N.L.; Sack, R.L. The endogenous melatonin profile as a marker for circadian phase position. J. Biol. Rhythms 1999, 14, 227–236. [Google Scholar] [CrossRef]
- Selmaoui, B.; Touitou, Y. Reproducibility of the circadian rhythms of serum cortisol and melatonin in healthy subjects: A study of three different 24-h cycles over six weeks. Life Sci. 2003, 73, 3339–3349. [Google Scholar] [CrossRef]
- Van Someren, E.; Nagtegaal, E. Improving melatonin circadian phase estimates. Sleep Med. 2007, 8, 590–601. [Google Scholar] [CrossRef]
- Bocchi, G.V.G. Physical, chemical, and mineralogical characterization of carbonatehydroxyapatite concretions of the human pineal gland. J. Inorg. Biochem. 1993, 49, 209–220. [Google Scholar] [CrossRef]
- Mabie, C.P.; Wallace, M.M. Optical, physical and chemical properties of pineal gland calcifications. Calcif. Tissue Res. 1974, 16, 59–71. [Google Scholar] [CrossRef] [PubMed]
- Baconnier, S.; Lang, S.B.; Polomska, M.; Hilczer, B.; Berkovic, G.; Meshulam, G. Calcite microcrystals in the pineal gland of the human brain: First physical and chemical studies. Bioelectromagnetics 2002, 23, 488–495. [Google Scholar] [CrossRef] [PubMed]
- Doyle, A.J.; Anderson, G.D. Physiologic calcification of the pineal gland in children on computed tomography: Prevalence, observer reliability and association with choroid plexus calcification. Acad. Radiol. 2006, 13, 822–826. [Google Scholar] [CrossRef] [PubMed]
- Winkler, P.; Helmke, K. Age-related incidence of pineal gland calcification in children: A roentgenological study of 1044 skull films and a review of the literature. J. Pineal Res. 1987, 4, 247–252. [Google Scholar] [CrossRef]
- Maślińska, D.; Laure-Kamionowska, M.; Deręgowski, K.; Maśliński, S. Association of mast cells with calcification in the human pineal gland. Folia Neuropathol. 2010, 48, 276–282. [Google Scholar]
- Kay, S.R.; Sandyk, R. Experimental models of schizophrenia. Int. J. Neurosci. 1991, 58, 69–82. [Google Scholar] [CrossRef]
- Sandyk, R.; Kay, S.R. Abnormal EEG and calcification of the pineal gland in schizophrenia. Int. J. Neurosci. 1992, 62, 107–111. [Google Scholar] [CrossRef]
- Sandyk, R.; Pardeshi, R. The relationship between ECT nonresponsiveness and calcification of the pineal gland in bipolar patients. Int. J. Neurosci. 1990, 54, 301–306. [Google Scholar] [CrossRef]
- Friedland, R.P.; Luxenberg, J.S.; Koss, E.A. A quantitative study of intracranial calcification in dementia of the Alzheimer type. Int. Psychogeriatr. 1990, 2, 36–43. [Google Scholar] [CrossRef]
- Mahlberg, L.; Walther, S.; Kalus, P.; Bohner, G.; Haedel, S.; Reischies, F.M.; Kuhl, K.P.; Hellweg, R.; Kunz, D. Pineal calcification in Alzheimer’s disease: An in vivo study using computed tomography. Neurobiol. Aging 2008, 29, 203–209. [Google Scholar] [CrossRef]
- Tuntapakul, S.; Kitkhuandee, A.; Kanpittaya, J.; Johns, J.; Johns, N.P. Pineal calcification is associated with pediatric primary brain tumor. Asia Pac. J. Clin. Oncol. 2016, 12, e405–e410. [Google Scholar] [CrossRef] [PubMed]
- Kitkhuandee, A.; Sawanyawisuth, K.; Johns, N.P.; Kanpittaya, J.; Johns, J. Pineal calcification is associated with symptomatic cerebral infarction. J. Stroke Cerebrovasc. Dis. 2014, 23, 249–253. [Google Scholar] [CrossRef] [PubMed]
- Ozlece, H.K.; Akyuz, O.; Huseyinoglu, N.; Aydin, S.; Can, S.; Serim, V.A. Is there a correlation between the pineal gland calcification and migraine? Eur. Rev. Med. Pharmacol. Sci. 2015, 19, 3861–3864. [Google Scholar] [PubMed]
- Kunz, D.; Bes, F.; Schlattmann, P.; Herrmann, W.M. On pineal calcification and its relation to subjective sleep perception: A hypothesis-driven pilot study. Psychiatry Res. 1998, 82, 187–191. [Google Scholar] [CrossRef]
- Mori, R.; Kodaka, T.; Sano, T. Preliminary report on the correlation among pineal concretions, prostatic calculi and age in human adult males. Anat. Sci. Int. 2003, 78, 181–184. [Google Scholar] [CrossRef]
- Liebrich, L.S.; Schredl, M.; Findeisen, P.; Groden, C.; Bumb, J.M.; Nölte, I.S. Morphology and function: MR pineal volume and melatonin level in human saliva are correlated. J. Magn. Reson. Imaging 2014, 40, 966–971. [Google Scholar] [CrossRef]
- Tan, D.-X.; Manchester, L.C.; Reiter, R.J. CSF generation by pineal gland results in a robust melatonin circadian rhythm in the third ventricle as a unique light/dark signal. Med. Hypotheses 2016, 86, 3–9. [Google Scholar] [CrossRef]
- Reiter, R.J.; Tan, D.-X.; Kim, S.J.; Cruz, M.H.C. Delivery of pineal melatonin to the brain and SCN: Role of canaliculi, cerebrospinal fluid, tanycytes and Virchow-Robin perivascular spaces. Brain Struct. Funct. 2014, 219, 1873–1887. [Google Scholar] [CrossRef]
- Zhou, J.-N.; Liu, R.-Y.; Kamphorst, W.; Hofman, M.A.; Swaab, D.F. Early neuropathological Alzheimer’s changes in aged individuals are accompanied by decreased cerebrospinal fluid melatonin levels. J. Pineal Res. 2003, 35, 125–130. [Google Scholar] [CrossRef]
- Michotte, Y.; Lowenthal, A.; Knaepen, L.; Colland, M.; Massart, D.L. A morphological and chemical study of calcification of the pineal gland. J. Neurol. 1977, 215, 209–219. [Google Scholar] [CrossRef]
- Bharti, V.K.; Srivastava, R.S. Effect of pineal proteins at different dose level on fluoride-induced changes in plasma biochemicals and blood antioxidants enzymes in rats. Biol. Trace Elem. Res. 2011, 141, 275–282. [Google Scholar] [CrossRef]
- Bharti, V.K.; Srivastava, R.S. Fluoride-induced oxidative stress in rat’s brain and its amelioration by buffalo (Bubalus bubalis) pineal proteins and melatonin. Biol. Trace Elem. Res. 2009, 130, 131–140. [Google Scholar] [CrossRef]
- Chlubek, D. Fluoride and oxidative stress. Fluoride 2003, 36, 217–228. [Google Scholar]
- Rzeuski, R.; Chlubek, D.; Machoy, Z. Interactions between fluoride and biological free radical reactions. Fluoride 1998, 31, 43–45. [Google Scholar]
- Chlubek, D.; Machoy, Z. Significance of the effect of fluorine dose on enzymes activity in in vivo and in vitro studies. Bromat. Chem. Toksykol. 1989, 22, 235–245. [Google Scholar]




© 2020 by the authors. Licensee MDPI, Basel, Switzerland. This article is an open access article distributed under the terms and conditions of the Creative Commons Attribution (CC BY) license (http://creativecommons.org/licenses/by/4.0/).
Share and Cite
Chlubek, D.; Sikora, M. Fluoride and Pineal Gland. Appl. Sci. 2020, 10, 2885. https://doi.org/10.3390/app10082885
Chlubek D, Sikora M. Fluoride and Pineal Gland. Applied Sciences. 2020; 10(8):2885. https://doi.org/10.3390/app10082885
Chicago/Turabian StyleChlubek, Dariusz, and Maciej Sikora. 2020. "Fluoride and Pineal Gland" Applied Sciences 10, no. 8: 2885. https://doi.org/10.3390/app10082885

