Protein Engineering of Mung Bean (Vigna radiata (L.) Wilczek) 8Sα Globulin with Lactostatin
Abstract
1. Introduction
2. Materials and Methods
2.1. In Silico Modification and Modelling of Mutated 8Sα Globulin
2.2. Substitution Mutagenesis of IIAEK Residues
2.3. Protein Expression
2.4. Protein Characterization
2.5. Protein Purification
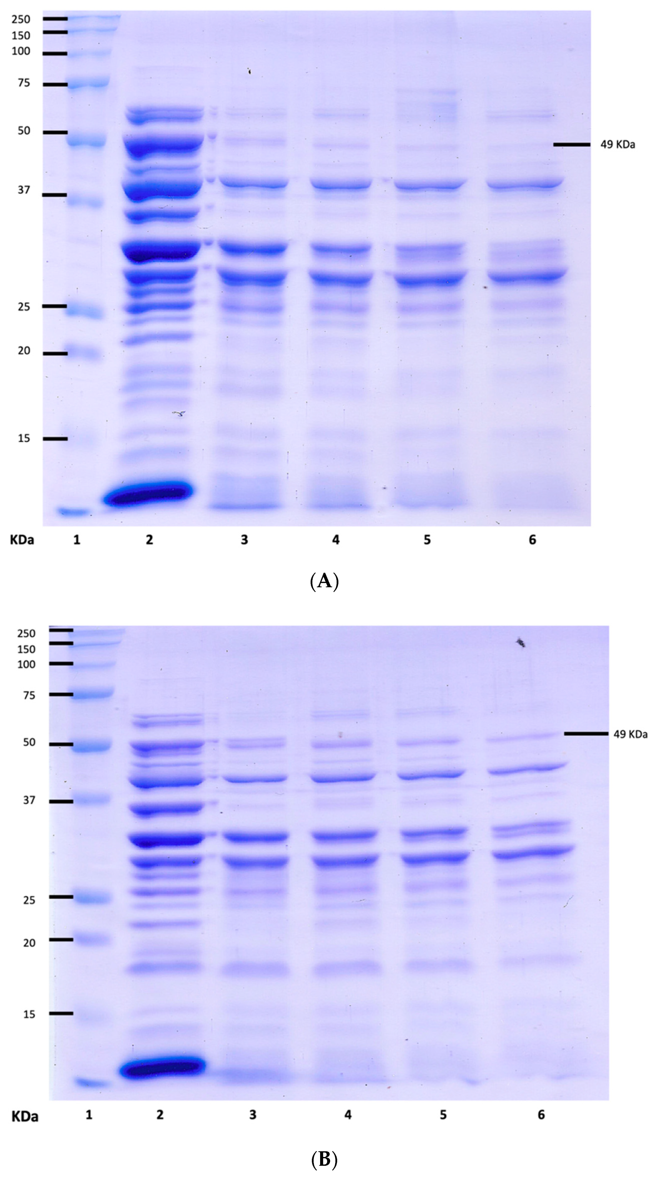
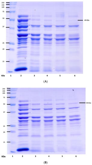
2.6. Enzymatic Digestion (Trypsin)
2.7. Densitometric Analysis
2.8. Peptide Identification using Liquid Chromatography-Mass Spectrometry (LC-MS)
2.9. Bile Acid Binding Capacity using UPLC Method
2.10. Test for Allergenicity Potential
2.11. Statistical Analysis
3. Results
3.1. In Silico Modification and Modelling of Mutated 8Sα Globulin
3.2. Substitution Mutagenesis of IIAEK Residues
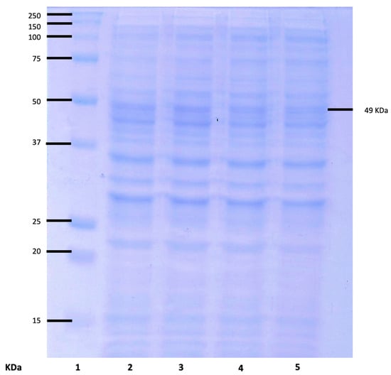
3.3. Protein Content Determination and Characterization
3.4. Protein Purification
3.5. Trypsin Digestion
3.6. IIAEK Detection and Identification
3.7. Bile Acid Binding Capacity
3.8. Allergenicity Potential
4. Discussion
5. Conclusions
Supplementary Materials
Author Contributions
Funding
Acknowledgments
Conflicts of Interest
References
- Espin, J.C.; Garcia-Coneas, M.T.; Tomas-Barberan, F.A. Nutraceticals: Facts and fiction. Phytochemistry 2007, 68, 2986–3008. [Google Scholar] [CrossRef] [PubMed]
- Tang, D.; Dong, Y.; Ren, H.; Li, L.; He, C. A review of phytochemistry, metabolite changes, and medicinal uses of the common food mung bean and its sprouts (Vigna radiata). Chem. Cent. J. 2014, 8, 4. [Google Scholar] [CrossRef] [PubMed]
- Anwar, F.; Latif, S.; Przybylski, R.; Sultana, B.; Ashraf, M. Chemical composition and antioxidant activity of seeds of different cultivars of mung bean. J. Food Sci. 2007, 72, 503–510. [Google Scholar] [CrossRef] [PubMed]
- Mendoza, E.M.T.; Adachi, M.; Bernardo, A.E.N.; Utsumi, S. Mungbean [Vigna radiate (L.) Wilczek] Globulins: Purification and Characterization. J. Agric. Food Chem. 2001, 49, 1552–1558. [Google Scholar] [CrossRef] [PubMed]
- Yi-Shen, Z.; Shuai, S.; Fitzgerald, R. Mung bean proteins and peptides: Nutritional, functional and bioactive properties. Food Nutr. Res. 2018, 62. [Google Scholar] [CrossRef]
- Turanli-Yildiz, B.; Alkım, C.; Petek, Ž.; Turanlı-Yıldız, B. Protein Engineering Methods and Applications. Protein Eng. 2012. [Google Scholar] [CrossRef]
- Prak, K.; Maruyama, Y.; Maruyama, N.; Utsumi, S. Design of genetically modified soybean proglycinin A1aB1b with multiple copies of bioactive peptide sequences. Peptides 2006, 27, 1179–1186. [Google Scholar] [CrossRef]
- Nagaoka, S.; Futamura, Y.; Miwa, K.; Awano, T.; Yamauchi, K.; Kanamaru, Y.; Tadashi, K.; Kuwata, T. Identification of Novel Hypocholesterolemic Peptides Derived from Bovine Milk β-Lactoglobulin. Biochem. Biophys. Res. Commun. 2001, 281, 11–17. [Google Scholar] [CrossRef]
- Itoh, T.; Garcia, R.N.; Adachi, M.; Maruyama, Y.; Tecson-Mendoza, E.M.; Mikami, B.; Utsumi, S. Structure of 8Sα globulin, the major seed storage protein of mung bean. Acta Crystallogr. Sect. D Biol. Crystallogr. 2006, 62, 824–832. [Google Scholar] [CrossRef]
- Pires, D.E.; Ascher, D.B.; Blundell, T.L. DUET: A server for predicting effects of mutations on protein stability using an integrated computational approach. Nucleic Acids Res. 2014, 42, W314–W319. [Google Scholar] [CrossRef]
- Torio, M.; Adachi, M.; Garcia, R.; Prak, K.; Maruyama, N.; Utsumi, S.; Tecson-Mendoza, E. Effects of engineered methionine in the 8sα globulin of mung bean on its physicochemical and functional properties and potential nutritional quality. Food Res. Int. 2011, 44, 2984–2990. [Google Scholar] [CrossRef]
- Torio, M.; Itoh, T.; Garcia, R.; Maruyama, N.; Utsumi, S.; Tecson-Mendoza, E. Introduction of sulfhydryl groups and disulfide linkage to mung bean 8sα globulin and effects on physicochemical and functional properties. Food Res. Int. 2012, 45, 277–292. [Google Scholar] [CrossRef]
- Power, O.; Fernández, A.; Norris, R.; Riera, F.; Fitzgerald, R.J. Selective enrichment of bioactive properties during ultrafiltration of a tryptic digest of β-lactoglobulin. J. Funct. Foods 2014, 9, 38–47. [Google Scholar] [CrossRef]
- Olsen, J.V.; Ong, S.-E.; Mann, M. Trypsin Cleaves Exclusively C-terminal to Arginine and Lysine Residues. Mol. Cell. Proteom. 2004, 3, 608–614. [Google Scholar] [CrossRef]
- Waterhouse, A.; Bertoni, M.; Bienert, S.; Studer, G.; Tauriello, G.; Gumienny, R.; Heer, F.T.; Beer, T.A.P.D.; Rempfer, C.; Bordoli, L.; et al. SWISS-MODEL: Homology modelling of protein structures and complexes. Nucleic Acids Res. 2018, 46, W296–W303. [Google Scholar] [CrossRef] [PubMed]
- Bienert, S.; Studer, G.; Tauriello, G.; Waterhouse, A.; De beer, T.A.P.; Bordoli, L.; Schwede, T. The swiss-model repository—New features and functionality. Nucleic Acids Res. 2017, 45, 313–319. [Google Scholar] [CrossRef] [PubMed]
- Guex, N.; Peitsch, M.C.; Schwede, T. Automated comparative protein structure modeling with SWISS-MODEL and Swiss-PdbViewer: A historical perspective. Electrophoresis 2009, 30, S162–S173. [Google Scholar] [CrossRef]
- Benkert, P.; Biasini, M.; Schwede, T. Toward the estimation of the absolute quality of individual protein structure models. Bioinformatics 2011, 27, 343–350. [Google Scholar] [CrossRef] [PubMed]
- Bertoni, M.; Kiefer, F.; Biasini, M.; Bordoli, L.; Schwede, T. Modeling protein quaternary structure of homo- and hetero-oligomers beyond binary interactions by homology. Sci. Rep. 2017, 7, 1–15. [Google Scholar] [CrossRef]
- Ye, Y.; Godzik, A. Flexible structure alignment by chaining aligned fragment pairs allowing twists. Bioinformatics 2003, 19, ii246–ii255. [Google Scholar] [CrossRef]
- Bernardo, A.E.N.; Garcia, R.N.; Adachi, M.; Angeles, J.G.C.; Kaga, A.; Ishimoto, M.; Utsumi, S.; Tecson-Mendoza, E.M. 8S Globulin of Mungbean [Vigna radiate (L.) Wilczek]: Cloning and Characterization of Its cDNA Isoforms, Expression inEscherichia coli, Purification, and Crystallization of the Major Recombinant 8S Isoform. J. Agric. Food Chem. 2004, 52, 2552–2560. [Google Scholar] [CrossRef] [PubMed]
- Bradford, M.M. A rapid and sensitive method for the quantitation of microgram quantities of protein utilizing the principle of protein-dye binding. Anal. Biochem. 1976, 72, 248–254. [Google Scholar] [CrossRef]
- Laemmli, U.K. Cleavage of Structural Proteins during the Assembly of the Head of Bacteriophage T4. Nat. Cell Biol. 1970, 227, 680–685. [Google Scholar] [CrossRef]
- Hu, Y.-B.; Wang, Z.; Xu, S.-Y. Treatment of corn bran dietary fiber with xylanase increases its ability to bind bile salts, in vitro. Food Chem. 2008, 106, 113–121. [Google Scholar] [CrossRef]
- Kongo-Dia-Moukala, J.U.; Zhang, H.; Claver, I.P. In Vitro Binding Capacity of Bile Acids by Defatted Corn Protein Hydrolysate. Int. J. Mol. Sci. 2011, 12, 1066–1080. [Google Scholar] [CrossRef] [PubMed]
- Nakamura, R.; Teshima, R.; Takagi, K.; Sawada, J.-I. Development of Allergen Database for Food Safety (ADFS): An integrated database to search allergens and predict allergenicity. Kokuritsu Iyakuhin Shokuhin Eisei Kenkyujo Hokoku Bull. Natl. Inst. Health Sci. 2005, 123, 32–36. Available online: http://allergen.nihs.go.jp/ADFS/ (accessed on 5 December 2018).
- Goodman, R.E.; Ebisawa, M.; Ferreira, F.; Sampson, H.A.; Van Ree, R.; Vieths, S.; Baumert, J.L.; Bohle, B.; Lalithambika, S.; Wise, J.; et al. AllergenOnline: A peer-reviewed, curated allergen database to assess novel food proteins for potential cross-reactivity. Mol. Nutr. Food Res. 2016, 60, 1183–1198. [Google Scholar] [CrossRef]
- Kadam, K.; Karbhal, R.; Jayaraman, V.K.; Sawant, S.; Kulkarni-Kale, U. AllerBase: A comprehensive allergen knowledgebase. Database 2017, 2017, bax066. [Google Scholar] [CrossRef]
- Fiers, M.W.E.J.; Kleter, G.; Nijland, H.; Peijnenburg, A.A.; Nap, J.-P.; Van Ham, R.C.H.J. Allermatch™, a webtool for the prediction of potential allergenicity according to current FAO/WHO Codex alimentarius guidelines. BMC Bioinform. 2004, 5, 133. [Google Scholar] [CrossRef]
- The UniProt Consortium. UniProt: A worldwide hub of protein knowledge. Nucleic Acids Res. 2018, 47, D506–D515. [Google Scholar] [CrossRef]
- Mari, A.; Rasi, C.; Palazzo, P.; Scala, E. Allergen databases: Current status and perspectives. Curr. Allergy Asthma Rep. 2009, 9, 376–383. [Google Scholar] [CrossRef]
- Mari, A.; Scala, E.; Palazzo, P.; Ridolfi, S.; Zennaro, D.; Carabella, G. Bioinformatics applied to allergy: Allergen databases, from collecting sequence information to data integration. The Allergome platform as a model. Cell. Immunol. 2006, 244, 97–100. [Google Scholar] [CrossRef]
- Mari, A.; Scala, E. Allergome: A unifying platform. Arb Paul Ehrlich Inst Bundesamt Sera Impfstoffe Frankf A M 2006, 95, 29–40. Available online: http://www.allergome.org/index.php (accessed on 25 October 2020).
- Janson, J.C.; Rydén, L. Protein Purification: Principles, High-Resolution Methods, and Applications, 2nd ed.; John Wiley & Sons: New York, NY, USA, 1997; p. 284. [Google Scholar]
- Gasteiger, E.; Hoogland, C.; Gattiker, A.; Duvaud, S.; Wilkins, M.R.; Appel, R.D.; Bairoch, A. Protein identification and analysis tools on the expasy server. In The Proteomics Protocols Handbook; Humana Press: Totowa, NJ, USA, 2005. [Google Scholar]
- Aalberse, R.C.; Akkerdaas, J.; Van Ree, R. Cross-reactivity of IgE antibodies to allergens. Allergy 2001, 56, 478–490. [Google Scholar] [CrossRef] [PubMed]
- Popescu, F.-D. Cross-reactivity between aeroallergens and food allergens. World J. Methodol. 2015, 5, 31–50. [Google Scholar] [CrossRef] [PubMed]
- McClain, S.U. Bioinformatic screening and detection of allergen cross-reactive IgE-binding epitopes. Mol. Nutr. Food Res. 2017, 61, 1600676. [Google Scholar] [CrossRef]
- Maleki, S.J.; Teuber, S.S.; Cheng, H.; Chen, D.; Comstock, S.S.; Ruan, S.; Schein, C.H. Computationally predicted IgE epitopes of walnut allergens contribute to cross-reactivity with peanuts. Allergy 2011, 66, 1522–1529. [Google Scholar] [CrossRef]
- Yao, Y.; Hao, L.; Shi, Z.; Wang, L.; Cheng, X.; Wang, S.; Ren, G. Mung Bean Decreases Plasma Cholesterol by Up-regulation of CYP7A1. Plant Foods Hum. Nutr. 2014, 69, 134–136. [Google Scholar] [CrossRef]
- Lopes, L.A.R.; Martins, M.D.C.D.C.E.; De Farias, L.M.; Brito, A.K.D.S.; Lima, G.D.M.; De Carvalho, V.B.L.; Pereira, C.F.D.C.; Conde-Júnior, A.M.; Saldanha, T.; Arêas, J.A.G.; et al. Cholesterol-Lowering and Liver-Protective Effects of Cooked and Germinated Mung Beans (Vigna radiata L.). Nutrients 2018, 10, 821. [Google Scholar] [CrossRef]
- Nagaoka, S. Structure-function properties of hypolipidemic peptides. J. Food Biochem. 2018, 43, e12539. [Google Scholar] [CrossRef]
- Matsuo, H.; Yokooji, T.; Taogoshi, T. Common food allergens and their IgE-binding epitopes. Allergol. Int. 2015, 64, 332–343. [Google Scholar] [CrossRef] [PubMed]
- Pomés, A.; Chruszcz, M.; Gustchina, A.; Wlodawer, A. Interfaces between allergen structure and diagnosis: Know your epitopes. Curr. Allergy Asthma 2015, 15, 506. [Google Scholar] [CrossRef] [PubMed]
- Lin, J.; Sampson, H.A. The role of immunoglobulin e-binding epitopes in the characterization of food allergy. Curr. Opin. Allergy Clin. Immunol. 2009, 9, 357–363. [Google Scholar] [CrossRef]
- Kanduc, D.; Shoenfeld, Y. Inter-Pathogen Peptide Sharing and the Original Antigenic Sin: Solving a Paradox. Open Immunol. J. 2018, 8, 16–27. [Google Scholar] [CrossRef]
- Kabsch, W.; Sander, C. On the use of sequence homologies to predict protein structure: Identical pentapeptides can have completely different conformations. Proc. Natl. Acad. Sci. USA 1984, 81, 1075–1078. [Google Scholar] [CrossRef]
- Kabsch, W.; Sander, C.; Kabsch, C.S.W. Identical pentapeptides with different backbones. Nat. Cell Biol. 1985, 317, 207. [Google Scholar] [CrossRef]
- Niman, H.L.; Houghten, R.A.; Walker, L.E.; Reisfeld, R.A.; Wilson, I.A.; Hogle, J.M.; Lerner, R.A. Generation of protein-reactive antibodies by short peptides is an event of high frequency: Implications for the structural basis of immune recognition. Proc. Natl. Acad. Sci. USA 1983, 80, 4949–4953. [Google Scholar] [CrossRef]
- Wilson, I.A.; Haft, D.H.; Getzoff, E.D.; Tainer, J.A.; Lerner, R.A.; Brenner, S. Identical short peptide sequences in unrelated proteins can have different conformations: A testing ground for theories of immune recognition. Proc. Natl. Acad. Sci. USA 1985, 82, 5255–5259. [Google Scholar] [CrossRef] [PubMed]
- Schulze-Gahmen, U.; Wilson, I.A. Monoclonal antibodies against an identical short peptide sequence shared by two unrelated proteins. Pept. Res. 1989, 2, 322–331. [Google Scholar]








| Time (min) | Flow Rate (mL/min) | %A | %B |
|---|---|---|---|
| Initial | 0.2 | 98.00 | 2.00 |
| 3.40 | 0.2 | 40.00 | 60.00 |
| 3.63 | 0.2 | 100.00 | 0.00 |
| 3.85 | 0.2 | 100.00 | 0.00 |
| Superimposed Structures | % Identity | % Similarity |
|---|---|---|
| Mut2, Wt | 97.23 | 98.49 |
| Mut23, Wt | 94.96 | 97.48 |
| Mut234, Wt | 93.95 | 96.73 |
| Seq. | Set | Primers | Translated Region | %GC | TM |
|---|---|---|---|---|---|
| Mut2 | A | F1 (44) 5′-gggttctgtttggaaagataatagcggagaaacagcaaggccag-3′ R1 (44) 5′-ctggccttgctgtttctccgctattatctttccaaacagaaccc-3′ | VLFGKIIAEKQQGQ | 47.72 | 69.19 |
| B | F2 (45) 5′-gataatagcggagaaaataatagccgagaagagtcagcaagaggg-3′ R2 (45) 5′-ccctcttgctgactcttctcggctattattttctccgctattatc-3′ | IIAEKIIAEKSQQE | 44.44 | 68.18 |
| Protein Sample | Percent (%) Expressed | Percent (%) Expressed/WT |
|---|---|---|
| Wt | 8.35 | 100.00 |
| Mut2 | 7.82 | 93.65 |
| Type of Sample | Retention Time (min) | Elution Volume (mL) |
|---|---|---|
| Wt | 92 | 23 |
| Mut2 | 88 | 22 |
| Type of Sample | Chromatogram Peak | Mass Spectrum (Da) | |
|---|---|---|---|
| Retention Time (min) | Molecular Size (Da) | ||
| IIAEK standard | 2.94 | 573.36 | 573.36 |
| 24-hr Wt digest | 3.07 | 496.78 | 496.78 |
| 24-hr Mut2 digest | 3.12 | 573.36 | 573.36 |
| Database/Allergens | % Identity | E-Value |
|---|---|---|
| Allermatch [29] | ||
| Lens culinaris Allergen Len c 1.0102 | 57.00 | 1.9 × 10−51 |
| Lens culinaris Allergen Len c 1.0101 | 56.40 | 2.7 × 10−51 |
| Arachis hypogaea Allergen Ara h 1, clone P17 | 50.60 | 4.4 × 10−31 |
| Arachis hypogaea Allergen Ara h 1, clone P41B | 49.20 | 2.8 × 10−26 |
| Arachis hypogaea Ara h 1 allergen | 48.40 | 1.8 × 10−17 |
| AllergenOnline [27] | ||
| Lens culinaris Allergen Len c 1.0102 | 57.00 | 2.2 × 10−60 |
| Lens culinaris Allergen Len c 1.0101 | 56.40 | 3.2 × 10−60 |
| Arachis hypogaea Allergen Ara h 1, clone P17 | 50.60 | 1.1 × 10−36 |
| Arachis hypogaea Allergen Ara h 1, clone P41B | 49.20 | 4.5 × 10−31 |
| Arachis hypogaea Ara h 1 allergen | 48.40 | 8.6 × 10−21 |
| ADFS [26] | ||
| Lupinus angustifolius conglutin beta | 56.20 | 6.2 × 10−91 |
| Lens culinaris Allergen Len c 1.0102 | 56.80 | 4.1 × 10−64 |
| Lens culinaris Allergen Len c 1.0101 | 55.90 | 5.5 × 10−64 |
| Arachis hypogaea Allergen Ara h 1, clone P17 | 50.60 | 1.5 × 10−38 |
| Arachis hypogaea Allergen Ara h 1, clone P41B | 49.80 | 3.5 × 10−33 |
| Arachis hypogaea Ara h 1 allergen | 48.50 | 4.0 × 10−21 |
| UniProt [30] | ||
| Beta-conglycinin, beta chain-like precursor (Vigna radiata var. radiata) | 99.1 | 0.0 |
| Uncharacterized protein (Vigna angularis var. angularis) | 92.4 | 0.0 |
| Beta-conglycinin, beta chain-like isoform X1 (Vigna radiata var. radiata) | 91.0 | 0.0 |
| Beta-conglycinin, beta chain-like precursor (Vigna radiata var. radiata) | 89.8 | 0.0 |
| Beta-conglycinin, beta chain-like (Vigna radiata var. radiata) | 93.6 | 0.0 |
| Allergome [31,32,33] | ||
| 10100 Vig r 2.0201—(uniport:B1NPN8 (454)) | 99.8 | 1.3 × 10−147 |
| 10099 Vig r 2.0101—(uniport:Q198W3 (453)) | 95.9 | 1.4 × 10−124 |
| 10074 Gly s 5—(uniport:A3KEY7) | 91.8 | 7.3 × 10−103 |
| 5818 Gly m 5.0201—(uniport:Q9FZP9) | 91.8 | 7.3 × 10−103 |
| 5816 Gly m 5—(uniport:Q7XXT2) | 91.8 | 8.3 × 10−103 |
| Database/ Source | Epitope Match | Amino Acid Sequence | Type |
|---|---|---|---|
| ADFS [26] | |||
| Bos taurus (bovine milk) | Bos_d_5.0101|EP00143|R00286.0 associated with the reactive patients’ group | LQKWENDECAQKK IIAEKTK | Linear |
| Bos_d_5.0101|EP00150|R00286.0 detected as 3 contiguous spots in peptide microarray | ECAQKKIIAEKTKIPAVFKIDALNEN | Linear | |
| Bos_d_5.0101|EP00074|R00286.0 | AQKKIIAEKTKI | Linear | |
| Allerbase [28] | |||
| Bos taurus (bovine milk) | Bos d 5.0101 | AQKKIIAEKTKI | Linear |
| Bos d 5.0102 | LQKWENDECAQKK IIAEKTK | Linear |
Publisher’s Note: MDPI stays neutral with regard to jurisdictional claims in published maps and institutional affiliations. |
© 2020 by the authors. Licensee MDPI, Basel, Switzerland. This article is an open access article distributed under the terms and conditions of the Creative Commons Attribution (CC BY) license (http://creativecommons.org/licenses/by/4.0/).
Share and Cite
Gamis, M.C.; Uy, L.Y.; Laurena, A.; Hurtada, W.; Torio, M.A. Protein Engineering of Mung Bean (Vigna radiata (L.) Wilczek) 8Sα Globulin with Lactostatin. Appl. Sci. 2020, 10, 8787. https://doi.org/10.3390/app10248787
Gamis MC, Uy LY, Laurena A, Hurtada W, Torio MA. Protein Engineering of Mung Bean (Vigna radiata (L.) Wilczek) 8Sα Globulin with Lactostatin. Applied Sciences. 2020; 10(24):8787. https://doi.org/10.3390/app10248787
Chicago/Turabian StyleGamis, Ma. Carla, Lawrence Yves Uy, Antonio Laurena, Wilma Hurtada, and Mary Ann Torio. 2020. "Protein Engineering of Mung Bean (Vigna radiata (L.) Wilczek) 8Sα Globulin with Lactostatin" Applied Sciences 10, no. 24: 8787. https://doi.org/10.3390/app10248787
APA StyleGamis, M. C., Uy, L. Y., Laurena, A., Hurtada, W., & Torio, M. A. (2020). Protein Engineering of Mung Bean (Vigna radiata (L.) Wilczek) 8Sα Globulin with Lactostatin. Applied Sciences, 10(24), 8787. https://doi.org/10.3390/app10248787

