Anxiolytic, Antidepressant-Like Proprieties and Impact on the Memory of the Hydro-Ethanolic Extract of Origanum majorana L. on Mice
Abstract
:1. Introduction
2. Materials and Methods
2.1. Plant
2.2. Hydro-Ethanolic Extract Preparation
2.3. Animals
2.4. Antidepression Tests
2.4.1. Forced Swimming Test
2.4.2. Tail Suspension Test
2.5. Anxiety Tests
2.5.1. Open Field Test
2.5.2. Light–Dark Box Test
2.6. Memory Tests
2.6.1. Morris Water Maze
2.6.2. Novel Object Recognition Test
2.7. Acute and Sub-Acute Toxicity Studies
2.7.1. Acute Toxicity
2.7.2. Sub-Acute Toxicity Test
2.8. Extract HPLC Analysis
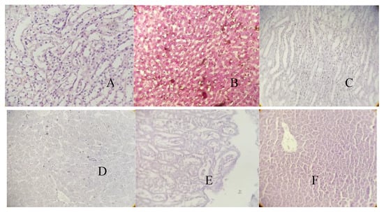
2.9. Histological Examination
2.10. Statistical Analysis
3. Results
3.1. Tail Suspension Test
3.2. Forced Swimming Test
3.3. Open Field Test
3.4. Light–Dark Box Test
3.5. Morris Water Maze (MWM)
3.6. Novel Object Recognition Test
3.7. Toxicity Studies
3.7.1. Acute Oral Toxicity Study
3.7.2. Sub-Acute Oral Toxicity Study
3.8. Extract Biochemical Analysis
3.9. Histological Examination
4. Discussion
5. Conclusions
Author Contributions
Funding
Acknowledgments
Conflicts of Interest
References
- Griffin, C.E.; Kaye, A.M.; Bueno, F.R.; Kaye, A.D. Benzodiazepine pharmacology and central nervous system-mediated effects. Ochsner J. 2013, 13, 214–223. [Google Scholar] [PubMed]
- Luscher, C.; Malenka, R.C. NMDA Receptor-Dependent Long-Term Potentiation and Long-Term Depression (LTP/LTD). Cold Spring Harb. Perspect. Biol. 2012, 4, a005710. [Google Scholar] [CrossRef] [PubMed] [Green Version]
- Elhwuegi, A.S. Central monoamines and their role in major depression. Prog. Neuropsychopharmacol. Biol. Psychiatry 2004, 28, 435–451. [Google Scholar] [CrossRef]
- Es-Safi, I.; Mechchate, H.; Amaghnouje, A.; El Moussaoui, A.; Cerruti, P.; Avella, M.; Grafov, A.; Bousta, D. Marketing and legal status of phytomedicines and food supplements in Morocco. J. Complement. Integr. Med. 2020. [Google Scholar] [CrossRef]
- Mechchate, H.; Es-Safi, I.; Bourhia, M.; Kyrylchuk, A.; El Moussaoui, A.; Conte, R.; Ullah, R.; Ezzeldin, E.; Mostafa, G.A.; Grafov, A.; et al. In-Vivo Antidiabetic Activity and In-Silico Mode of Action of LC/MS-MS Identified Flavonoids in Oleaster Leaves. Molecules 2020, 25, 5073. [Google Scholar] [CrossRef] [PubMed]
- Deans, S.G.; Svoboda, K.P. The antimicrobial properties of marjoram (Origanum majorana L.) volatile oil. Flavour Fragr. J. 1990, 5, 187–190. [Google Scholar] [CrossRef]
- Jin Jun, W.; Kyung Han, B.; Won Yu, K.; Sung Kim, M.; Seop Chang, I.; Yun Kim, H.; Yon Cho, H. Antioxidant effects of Origanum majorana L. on superoxide anion radicals. Food Chem. 2001, 75, 439–444. [Google Scholar] [CrossRef]
- Olfa, B.; Mariem, A.; Salah, A.M.; Mouhiba, B.A. Chemical content, antibacterial and antioxidant properties of essential oil extract from Tunisian Origanum majorana L. cultivated under saline condition. Pak. J. Pharm. Sci. 2016, 29, 1951–1958. [Google Scholar]
- Bina, F.; Rahimi, R. Sweet Marjoram: A Review of Ethnopharmacology, Phytochemistry, and Biological Activities. J. Evid. Based Complement. Altern. Med. 2017, 22, 175–185. [Google Scholar] [CrossRef]
- Al-Howiriny, T.; Alsheikh, A.; Alqasoumi, S.; Al-Yahya, M.; ElTahir, K.; Rafatullah, S. Protective Effect of Origanum majorana L. “Marjoram” on Various Models of Gastric Mucosal Injury in Rats. Am. J. Chin. Med. 2009, 37, 531–545. [Google Scholar] [CrossRef]
- Abdel-Massih, R.M.; Fares, R.; Bazzi, S.; El-Chami, N.; Baydoun, E. The apoptotic and anti-proliferative activity of Origanum majorana extracts on human leukemic cell line. Leuk. Res. 2010, 34, 1052–1056. [Google Scholar] [CrossRef]
- Münte, T.F.; Gehde, E.; Johannes, S.; Seewald, M.; Heinze, H.-J. Effects of Alprazolam and Bromazepam on Visual Search and Verbal Recognition Memory in Humans: A Study with Event-Related Brain Potentials. Neuropsychobiology 1996, 34, 49–56. [Google Scholar] [CrossRef] [PubMed]
- Pae, C.-U.; Patkar, A.A. Paroxetine: Current status in psychiatry. Expert Rev. Neurother. 2007, 7, 107–120. [Google Scholar] [CrossRef] [PubMed]
- Porsolt, R.D.; Bertin, A.; Jalfre, M. Behavioral despair in mice: A primary screening test for antidepressants. Arch. Int. Pharmacodyn. Ther. 1977, 229, 327–336. [Google Scholar]
- Cryan, J.; Markou, A.; Lucki, I.; Cryan, J.F.; Markou, A.; Lucki, I. Assessing antidepressant activity in rodents: Recent developments and future needs. Trends Pharmacol. Sci. 2002, 23, 238–245. [Google Scholar] [CrossRef]
- Rodríguez-Landa, J.F.; Cueto-Escobedo, J.; Flores-Aguilar, L.Á.; Rosas-Sánchez, G.U.; Rovirosa-Hernández, M.D.J.; García-Orduña, F.; Carro-Juarez, M. The Aqueous Crude Extracts of Montanoa frutescens and Montanoa grandiflora Reduce Immobility Faster Than Fluoxetine Through GABAA Receptors in Rats Forced to Swim. J. Evid. Based Integr. Med. 2018, 23, 2515690X18762953. [Google Scholar] [CrossRef] [Green Version]
- Detke, M.J.; Lucki, I. Detection of serotonergic and noradrenergic antidepressants in the rat forced swimming test: The effects of water depth. Behav. Brain Res. 1996, 73, 43–46. [Google Scholar] [CrossRef]
- Yan, B.; Wang, D.; Xing, D.; Ding, Y.; Wang, R.; Lei, F.; Du, L. The antidepressant effect of ethanol extract of radix puerariae in mice exposed to cerebral ischemia reperfusion. Pharmacol. Biochem. Behav. 2004, 78, 319–325. [Google Scholar] [CrossRef] [PubMed]
- Maurmann, N.; Reolon, G.K.; Rech, S.B.; Fett-Neto, A.G.; Roesler, R. A Valepotriate Fraction of Valeriana glechomifolia Shows Sedative and Anxiolytic Properties and Impairs Recognition but Not Aversive Memory in Mice. Evid. Based Complement. Altern. Med. 2011, 2011. [Google Scholar] [CrossRef] [PubMed] [Green Version]
- Choleris, E.; Thomas, A.W.; Kavaliers, M.; Prato, F.S. A detailed ethological analysis of the mouse open field test: Effects of diazepam, chlordiazepoxide and an extremely low frequency pulsed magnetic field. Neurosci. Biobehav. Rev. 2001, 25, 235–260. [Google Scholar] [CrossRef]
- Lazaros, C.; Triarhou, M. Dopaminergic Neuron Transplantation in the Weaver Mouse Model of Parkinson’s; Springer: New York, NY, USA, 2012. [Google Scholar]
- Walsh, R.N.; Cummins, R.A. The open-field test: A critical review. Psychol. Bull. 1976, 83, 482–504. [Google Scholar] [CrossRef] [PubMed]
- Linck, V.M.; da Silva, A.L.; Figueiró, M.; Caramão, E.B.; Moreno, P.R.H.; Elisabetsky, E. Effects of inhaled Linalool in anxiety, social interaction and aggressive behavior in mice. Phytomed. Int. J. Phytother. Phytopharm. 2010, 17, 679–683. [Google Scholar] [CrossRef] [PubMed]
- Doukkali, Z.; Kamal, R.; Jemelif, M.E.; Nadjmouddine, M.; Zellou, A.; Cherrah, Y.; Alaoui, K.; Taghzouti, K. Anti-Anxiety Effects of Mercurialis annua Aqueous Extract in the Elevated Plus Maze Test. Pharm. Bioprocess. 2016, 4, 56–61. [Google Scholar]
- Walesiuk, A.; Braszko, J.J. Preventive action of Ginkgo biloba in stress- and corticosterone-induced impairment of spatial memory in rats. Phytomedicine 2009, 16, 40–46. [Google Scholar] [CrossRef] [PubMed]
- Ennaceur, A. Tests of unconditioned anxiety—Pitfalls and disappointments. Physiol. Behav. 2014, 135, 55–71. [Google Scholar] [CrossRef]
- Rezaie, A.; Jafari, B.; Mousavi, G.; Ebadi, A.R.; Ahmadizadeh, C.; Shishegar, R.; Pashazadeh, M. Study of anxiolytic effect of herbal extract of Origanum majorana L. in comparison with diazepam in rat. Iran. J. Med. Aromat. Plants 2014, 30, 134–141. [Google Scholar]
- Willner, P. Validity, reliability and utility of the chronic mild stress model of depression: A 10-year review and evaluation. Psychopharmacology 1997, 134, 319–329. [Google Scholar] [CrossRef]
- Li, G.; Ruan, L.; Chen, R.; Wang, R.; Xie, X.; Zhang, M.; Chen, L.; Yan, Q.; Reed, M.; Chen, J.; et al. Synergistic antidepressant-like effect of ferulic acid in combination with piperine: Involvement of monoaminergic system. Metab. Brain Dis. 2015, 30, 1505. [Google Scholar] [CrossRef] [Green Version]
- Karković Marković, A.; Torić, J.; Barbarić, M.; Jakobušić Brala, C. Hydroxytyrosol, Tyrosol and Derivatives and Their Potential Effects on Human Health. Molecules 2019, 24, 2001. [Google Scholar] [CrossRef] [Green Version]
- Freitas, J.G.; Fletcher, B.; Aravena, R.; Barker, J.F. Methane Production and Isotopic Fingerprinting in Ethanol Fuel Contaminated Sites. Groundwater 2010, 48, 844–857. [Google Scholar] [CrossRef]
- Li, F.; Zaslavsky, A.M.; Landrum, M.B. Propensity score weighting with multilevel data. Stat. Med. 2013, 32, 3373–3387. [Google Scholar] [CrossRef] [PubMed]








| Normal Control | OM 500 | OM 250 | |
|---|---|---|---|
| Liver | 8.95 ± 0.73 | 7.58 ± 0.56 | 7.60 ± 0.97 |
| Kidney | 1.79 ± 0.24 | 1.39 ± 0.212 | 1.35 ± 0.16 |
| Spleen | 0.74 ± 0.63 | 0.62 ± 0.79 | 0.68 ± 0.15 |
| Normal Control | OM 250 mg/kg | OM 500 mg/kg | |
|---|---|---|---|
| UREA | 0.28 ± 0.02 | 0.26 ± 0.01 | 0.27 ± 0.017 |
| CREATININE | 3.40 ± 0.31 | 4 ± 0.6 | 3.333 ± 0.33 |
| ALT | 36.80 ± 1.11 | 22.33 ± 1.2 * | 32.12 ± 0.57 |
| AST | 307.7 ± 30.37 | 311 ± 65.68 | 344.7 ± 23.85 |
| Extract | Molecules | Standard Retention Time | Retention Time | Concentration µg/mL |
|---|---|---|---|---|
| Hydroethanolic extract Origanum majorana L. | Ferulic acid Naringin Hydroxytyrosol Geraniol Quercetin | 21.630 24.634 8.555 28.561 23.359 | 21.661 24.611 8.317 28.475 23.272 | 198.22 11.66 8.28 3.08 3.06 |
Publisher’s Note: MDPI stays neutral with regard to jurisdictional claims in published maps and institutional affiliations. |
© 2020 by the authors. Licensee MDPI, Basel, Switzerland. This article is an open access article distributed under the terms and conditions of the Creative Commons Attribution (CC BY) license (http://creativecommons.org/licenses/by/4.0/).
Share and Cite
Amaghnouje, A.; Mechchate, H.; Es-safi, I.; Alotaibi, A.A.; Noman, O.M.; Nasr, F.A.; Al-zharani, M.; Cerruti, P.; Calarco, A.; EL Fatemi, H.; et al. Anxiolytic, Antidepressant-Like Proprieties and Impact on the Memory of the Hydro-Ethanolic Extract of Origanum majorana L. on Mice. Appl. Sci. 2020, 10, 8420. https://doi.org/10.3390/app10238420
Amaghnouje A, Mechchate H, Es-safi I, Alotaibi AA, Noman OM, Nasr FA, Al-zharani M, Cerruti P, Calarco A, EL Fatemi H, et al. Anxiolytic, Antidepressant-Like Proprieties and Impact on the Memory of the Hydro-Ethanolic Extract of Origanum majorana L. on Mice. Applied Sciences. 2020; 10(23):8420. https://doi.org/10.3390/app10238420
Chicago/Turabian StyleAmaghnouje, Amal, Hamza Mechchate, Imane Es-safi, Amal A. Alotaibi, Omar M. Noman, Fahd A. Nasr, Mohammed Al-zharani, Pierfrancesco Cerruti, Anna Calarco, Hinde EL Fatemi, and et al. 2020. "Anxiolytic, Antidepressant-Like Proprieties and Impact on the Memory of the Hydro-Ethanolic Extract of Origanum majorana L. on Mice" Applied Sciences 10, no. 23: 8420. https://doi.org/10.3390/app10238420
APA StyleAmaghnouje, A., Mechchate, H., Es-safi, I., Alotaibi, A. A., Noman, O. M., Nasr, F. A., Al-zharani, M., Cerruti, P., Calarco, A., EL Fatemi, H., Grafov, A., & Bousta, D. (2020). Anxiolytic, Antidepressant-Like Proprieties and Impact on the Memory of the Hydro-Ethanolic Extract of Origanum majorana L. on Mice. Applied Sciences, 10(23), 8420. https://doi.org/10.3390/app10238420

