Effects of Different Probiotics on Laying Performance, Egg Quality, Oxidative Status, and Gut Health in Laying Hens
Simple Summary
Abstract
1. Introduction
2. Materials and Methods
2.1. Probiotic Strains
2.2. Experimental Design
2.3. Birds, Diet and Management
2.4. Sample Collection and Analytical Determination
2.4.1. Samples
2.4.2. Laying Performance
2.4.3. Egg Quality
2.4.4. Antioxidative Stress
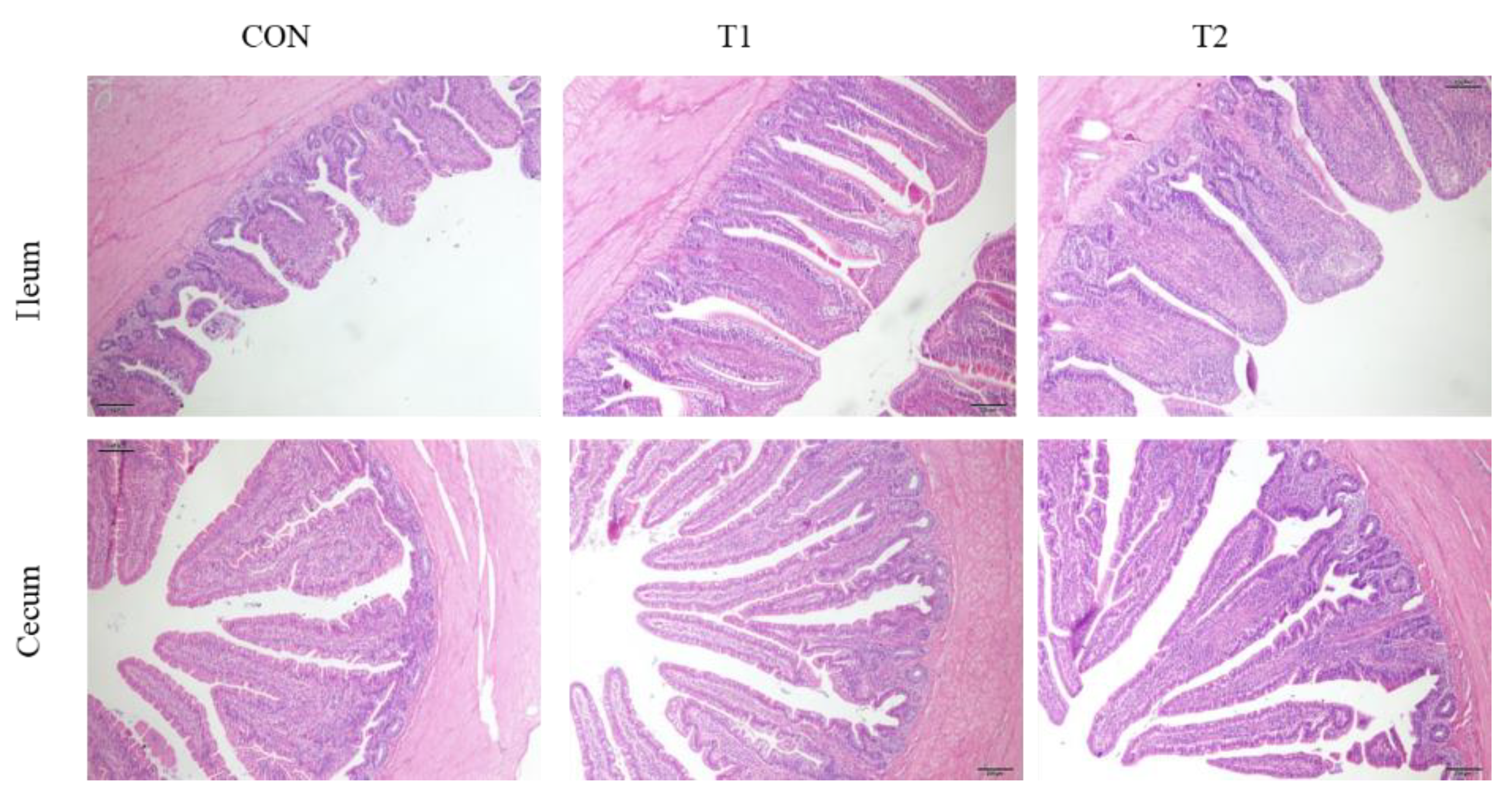
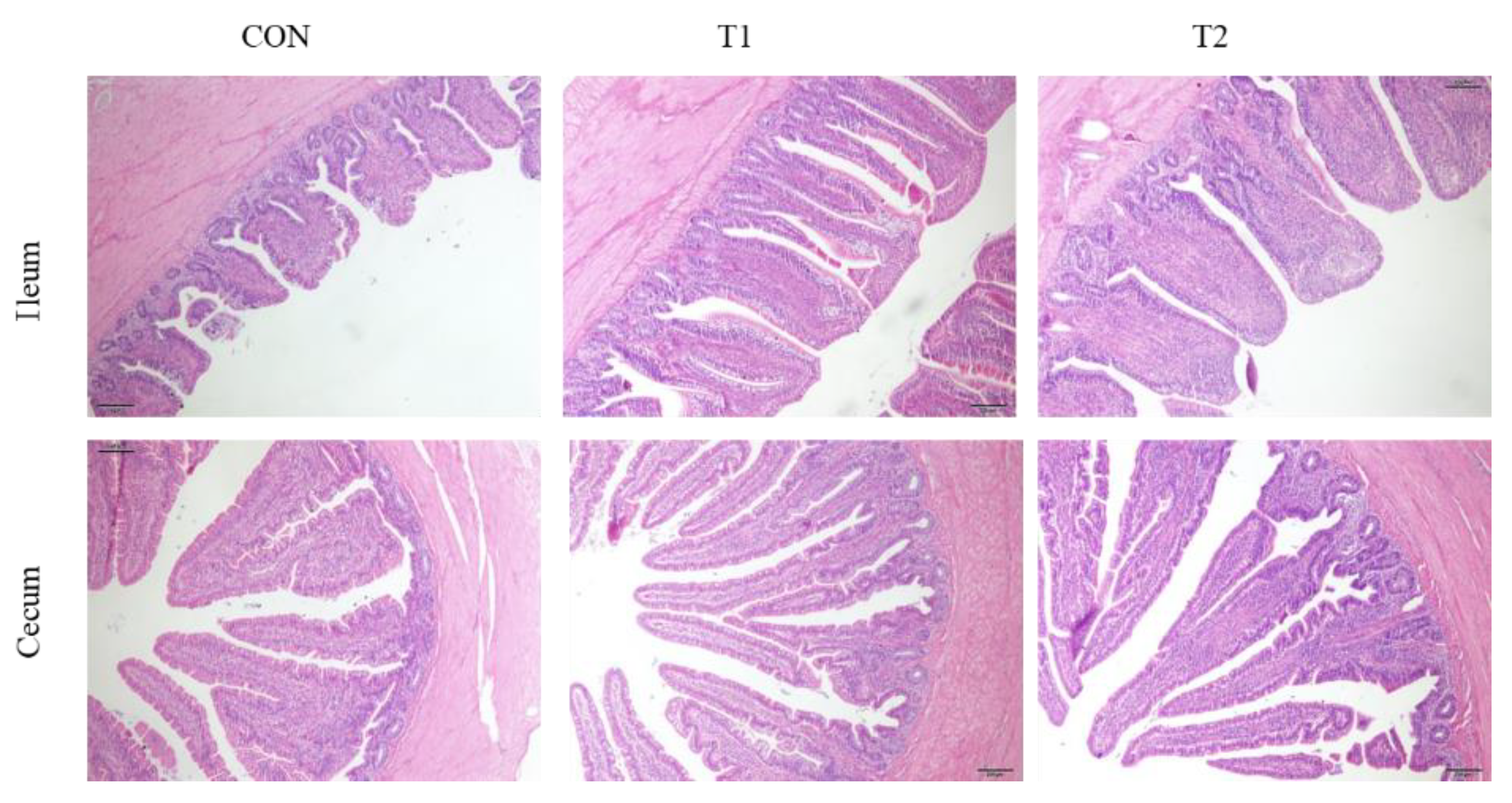
2.4.5. Gut Histological Analysis
2.5. Statistical Analysis
2.6. Ethical Statement
3. Results
3.1. Laying Performance
3.2. Egg Quality
3.3. Antioxidative Stress
3.4. Histological Analysis of the Gut
3.5. mRNA Levels of Pro-Inflammatory Cytokines in the Intestinal Tract
4. Discussion
5. Conclusions
Author Contributions
Funding
Conflicts of Interest
References
- Davies, J.; Davies, D. Origins and Evolution of Antibiotic Resistance. Microbiol. Mol. Biol. Rev. 2010, 74, 417–433. [Google Scholar] [CrossRef] [PubMed]
- Ramanan, L.; Adriano, D.; Chand, W.; Zaidi, A.K.M.; Wertheim, H.F.L.; Nithima, S.; Erika, V.; Gabriel Levy, H.; Gould, I.M.; Herman, G. Antibiotic resistance-the need for global solutions. Lancet Infect. Dis. 2013, 13, 1057–1098. [Google Scholar]
- Millet, S.; Maertens, L. The European ban on antibiotic growth promoters in animal feed: From challenges to opportunities. Vet. J. 2011, 187, 143–144. [Google Scholar] [CrossRef] [PubMed]
- Singer, R.S.; Hofacre, C.L. Potential impacts of antibiotic use in poultry production. Avian Dis. 2006, 50, 161–172. [Google Scholar] [CrossRef] [PubMed]
- Wongsuvan, G.; Wuthiekanun, V.; Hinjoy, S.; Day, N.P.; Limmathurotsakul, D. Antibiotic use in poultry: A survey of eight farms in Thailand. Bull. World Health Organ. 2018, 96, 94–100. [Google Scholar] [CrossRef] [PubMed]
- Gresse, R.; Chaucheyras-Durand, F.; Fleury, M.A.; Van de Wiele, T.; Forano, E.; Blanquet-Diot, S. Gut Microbiota Dysbiosis in Postweaning Piglets: Understanding the Keys to Health. Trends Microbiol. 2017, 25, 851–873. [Google Scholar] [CrossRef] [PubMed]
- Klein, E.Y.; Van Boeckel, T.P.; Martinez, E.M.; Pant, S.; Gandra, S.; Levin, S.A.; Goossens, H.; Laxminarayan, R. Global increase and geographic convergence in antibiotic consumption between 2000 and 2015. Proc. Natl. Acad. Sci. USA 2018, 115, E3463–E3470. [Google Scholar] [CrossRef]
- Van Boeckel, T.P.; Gandra, S.; Ashok, A.; Caudron, Q.; Grenfell, B.T.; Levin, S.A.; Laxminarayan, R. Global antibiotic consumption 2000 to 2010: An analysis of national pharmaceutical sales data. Lancet Infect. Dis. 2014, 14, 742–750. [Google Scholar] [CrossRef]
- Donoghue, D.J. Antibiotic residues in poultry tissues and eggs: Human health concerns? Poult. Sci. 2003, 82, 618–621. [Google Scholar] [CrossRef]
- Callaway, T.R.; Edrington, T.S.; Anderson, R.C.; Harvey, R.B.; Genovese, K.J.; Kennedy, C.N.; Venn, D.W.; Nisbet, D.J. Probiotics, prebiotics and competitive exclusion for prophylaxis against bacterial disease. Anim. Health Res. Rev. 2008, 9, 217–225. [Google Scholar] [CrossRef]
- Gaggia, F.; Mattarelli, P.; Biavati, B. Probiotics and prebiotics in animal feeding for safe food production. Int. J. Food Microbiol. 2010, 141, S15–S28. [Google Scholar] [CrossRef] [PubMed]
- Yörük, M.A.; Gül, M.; Hayirli, A.; Laçin, E. Laying Performance and Egg Quality of Hens Supplemented with Humate and Sodium Bicarbonate during the Late Laying Period. J. Appl. Anim. Res. 2004, 26, 17–21. [Google Scholar] [CrossRef]
- Mikulski, D.; Jankowski, J.; Naczmanski, J.; Mikulska, M.; Demey, V. Effects of dietary probiotic (Pediococcus acidilactici) supplementation on performance, nutrient digestibility, egg traits, egg yolk cholesterol, and fatty acid profile in laying hens. Poult. Sci. 2012, 91, 2691–2700. [Google Scholar] [CrossRef]
- Coillie, E.; Van Goris, J.; Cleenwerck, I.; Grijspeerdt, K.; Botteldoorn, N.; Immerseel, F.; Van Buck, J.; De Vancanneyt, M.; Swings, J.; Herman, L. Identification of lactobacilli isolated from the cloaca and vagina of laying hens and characterization for potential use as probiotics to control Salmonella Enteritidis. J. Appl. Microbiol. 2010, 102, 1095–1106. [Google Scholar] [CrossRef]
- Mahdavi, A.H.; Rahmani, H.R.; Pourreza, J. Effect of probiotic inclusion in different levels of barley substitution for corn diets on laying hen’s histological changes of duodenum. In Proceedings of the European Symposium on Poultry Nutrition, Gdańsk, Poland, 10–13 June 2019. [Google Scholar]
- Bai, S.P.; Wu, A.M.; Ding, X.M.; Lei, Y.; Bai, J.; Zhang, K.Y.; Chio, J.S. Effects of probiotic-supplemented diets on growth performance and intestinal immune characteristics of broiler chickens. Poult. Sci. 2013, 92, 663–670. [Google Scholar] [CrossRef]
- Atarashi, K.; Tanoue, T.; Shima, T.; Imaoka, A.; Kuwahara, T.; Momose, Y.; Cheng, G.; Yamasaki, S.; Saito, T.; Ohba, Y.; et al. Induction of colonic regulatory T cells by indigenous Clostridium species. Science 2011, 331, 337–341. [Google Scholar] [CrossRef]
- Zhang, L.; Cao, G.T.; Zeng, X.F.; Zhou, L.; Ferket, P.R.; Xiao, Y.P.; Chen, A.G.; Yang, C.M. Effects of Clostridium butyricum on growth performance, immune function, and cecal microflora in broiler chickens challenged with Escherichia coli K88. Poult. Sci. 2014, 93, 46–53. [Google Scholar] [CrossRef]
- Gao, J.; Zhang, H.J.; Yu, S.H.; Wu, S.G.; Yoon, I.; Quigley, J.; Gao, Y.P.; Qi, G.H. Effects of yeast culture in broiler diets on performance and immunomodulatory functions. Poult. Sci. 2008, 87, 1377–1384. [Google Scholar] [CrossRef]
- Higgins, S.E.; Higgins, J.P.; Wolfenden, A.D.; Henderson, S.N.; Torres-Rodriguez, A.; Tellez, G.; Hargis, B. Evaluation of a Lactobacillus-based probiotic culture for the reduction of Salmonella enteritidis in neonatal broiler chicks. Poult. Sci. 2008, 87, 27–31. [Google Scholar] [CrossRef]
- Liu, N.; Wang, J.Q.; Jia, S.C.; Chen, Y.K.; Wang, J.P. Effect of yeast cell wall on the growth performance and gut health of broilers challenged with aflatoxin B1 and necrotic enteritis. Poult. Sci. 2018, 97, 477–484. [Google Scholar] [CrossRef]
- Markazi, A.D.; Perez, V.; Sifri, M.; Shanmugasundaram, R.; Selvaraj, R.K. Effect of whole yeast cell product supplementation (CitriStim(R)) on immune responses and cecal microflora species in pullet and layer chickens during an experimental coccidial challenge. Poult. Sci. 2017, 96, 2049–2056. [Google Scholar] [CrossRef] [PubMed]
- De Avila, L.F.; Conceicao, F.R.; Telmo Pde, L.; Dutra, G.F.; de los Santos, D.G.; Martins, L.H.; Berne, M.E.; da Silva, P.E.; Scaini, C.J. Saccharomyces boulardii reduces infection intensity of mice with toxocariasis. Vet. Parasitol. 2012, 187, 337–340. [Google Scholar] [CrossRef] [PubMed]
- Gedek, B.; Kirchgessner, M.; Eidelsburger, U.; Wiehler, S.; Bott, A.; Roth, F.X. Influence of formic acid on the microflora in different segments of the gastrointestinal tract, 5: Investigations about the nutritive efficacy of organic acids in the rearing of piglets. Med. Wieku Rozw. 1992, 13, 260–269. [Google Scholar]
- Quarantelli, A.; Righi, F.; Agazzi, A.; Invernizzi, G.; Ferroni, M.; Chevaux, E. Effects of the administration ofPediococcus Acidilacticito laying hens on productive performance. Vet. Res. Commun. 2008, 32, 359–361. [Google Scholar] [CrossRef]
- Boeckel, T.P.V.; Pires, J.; Silvester, R.; Zhao, C.; Song, J.; Criscuolo, N.G.; Gilbert, M.; Bonhoeffer, S.; Laxminarayan, R. Global trends in antimicrobial resistance in animals in low- and middle-income countries. Science 2019, 365. [Google Scholar] [CrossRef]
- Zhao, X.; Guo, Y.; Guo, S.; Tan, J. Effects of Clostridium butyricum and Enterococcus faecium on growth performance, lipid metabolism, and cecal microbiota of broiler chickens. Appl. Microbiol. Biotechnol. 2013, 97, 6477–6488. [Google Scholar] [CrossRef]
- Liao, X.D.; Ma, G.; Cai, J.; Fu, Y.; Yan, X.Y.; Wei, X.B.; Zhang, R.J. Effects of Clostridium butyricum on growth performance, antioxidation, and immune function of broilers. Poult. Sci. 2015, 94, 662–667. [Google Scholar] [CrossRef]
- Rajput, I.R.; Li, L.Y.; Xin, X.; Wu, B.B.; Juan, Z.L.; Cui, Z.W.; Yu, D.Y.; Li, W.F. Effect of Saccharomyces boulardii and Bacillus subtilis B10 on intestinal ultrastructure modulation and mucosal immunity development mechanism in broiler chickens. Poult. Sci. 2013, 92, 956–965. [Google Scholar] [CrossRef]
- Zhan, H.Q.; Dong, X.Y.; Li, L.L.; Zheng, Y.X.; Gong, Y.J.; Zou, X.T. Effects of dietary supplementation with Clostridium butyricum on laying performance, egg quality, serum parameters, and cecal microflora of laying hens in the late phase of production. Poult. Sci. 2019, 98, 896–903. [Google Scholar] [CrossRef]
- Amerah, A.M.; Quiles, A.; Medel, P.; Sánchez, J.; Lehtinen, M.J.; Gracia, M.I. Effect of pelleting temperature and probiotic supplementation on growth performance and immune function of broilers fed maize/soy-based diets. Anim. Feed. Technol. 2013, 180, 55–63. [Google Scholar] [CrossRef]
- Abdel-Latif, M.A.; Abd El-Hack, M.E.; Swelum, A.A.; Saadeldin, I.M.; Elbestawy, A.R.; Shewita, R.S.; Ba-Awadh, H.A.; Alowaimer, A.N.; Abd El-Hamid, H.S. Single and Combined Effects of Clostridium butyricum and Saccharomyces cerevisiae on Growth Indices, Intestinal Health, and Immunity of Broilers. Animals 2018, 8, 184. [Google Scholar] [CrossRef]
- Yi, Z.; Xiang, Q.; Wang, J.; Wei, H.; Jian, P. Effects of oregano essential oil or quercetin supplementation on body weight loss, carcass characteristics, meat quality and antioxidant status in finishing pigs under transport stress. Livest. Sci. 2016, 192, 33–38. [Google Scholar]
- Zou, Y.; Wei, H.K.; Xiang, Q.H.; Wang, J.; Zhou, Y.F.; Peng, J. Protective effect of quercetin on pig intestinal integrity after transportstress is associated with regulation oxidative status and inflammation. J. Vet. Med. Sci. 2016, 78, 1487–1494. [Google Scholar] [CrossRef] [PubMed]
- Deng, W.; Dong, X.F.; Tong, J.M.; Zhang, Q. The probiotic Bacillus licheniformis ameliorates heat stress-induced impairment of egg production, gut morphology, and intestinal mucosal immunity in laying hens. Poult. Sci. 2012, 91, 575–582. [Google Scholar] [CrossRef] [PubMed]
- Sanders, M.E. Summary of conclusions from a consensus panel of experts on health attributes of lactic cultures: Significance to fluid milk products containing cultures. J. Dairy Sci. 1993, 76, 1819–1828. [Google Scholar] [CrossRef]
- Gaweł, S.; Wardas, M.; Niedworok, E.; Wardas, P. [Malondialdehyde (MDA) as a lipid peroxidation marker]. Wiad. Lek. 2004, 57, 453–455. [Google Scholar]
- Munyaka, P.M.; Echeverry, H.; Yitbarek, A.; Camelo-Jaimes, G.; Sharif, S.; Guenter, W.; House, J.D.; Rodriguez-Lecompte, J.C. Local and systemic innate immunity in broiler chickens supplemented with yeast-derived carbohydrates. Poult. Sci. 2012, 91, 2164–2172. [Google Scholar] [CrossRef]
- Kim, J.S.; Ingale, S.L.; Kim, Y.W.; Kim, K.H.; Sen, S.; Ryu, M.H.; Lohakare, J.D.; Kwon, I.K.; Chae, B.J. Effect of supplementation of multi-microbe probiotic product on growth performance, apparent digestibility, cecal microbiota and small intestinal morphology of broilers. J. Anim. Physiol. Anim. Nutr. 2012, 96, 618–626. [Google Scholar] [CrossRef]
- Sen, S.; Ingale, S.L.; Kim, Y.W.; Kim, J.S.; Kim, K.H.; Lohakare, J.D.; Kim, E.K.; Kim, H.S.; Ryu, M.H.; Kwon, I.K. Effect of supplementation of Bacillus subtilis LS 1-2 to broiler diets on growth performance, nutrient retention, caecal microbiology and small intestinal morphology. Res. Vet. Sci. 2012, 93, 264–268. [Google Scholar] [CrossRef]


| Items | Content | Items | Content |
|---|---|---|---|
| Ingredients | % | Nutrient levels | |
| Corn | 63 | ME/(MJ/kg) | 10.92 |
| Soybean meal | 24 | Crude protein, % | 15.73 |
| Limestone | 8 | Lysine, % | 0.82 |
| Premix 2 | 5 | Methionine, % | 0.41 |
| Total | 100 | Calcium, % | 3.32 |
| Item | CON | T1 | T2 | p-Value |
|---|---|---|---|---|
| ADFI | 105.5 ± 1.80 a | 104.1 ± 1.14 b | 105.2 ± 1.61 ab | 0.083 |
| Average egg weights (g) | 57.2 ± 0.42 | 57.1 ± 0.46 | 57.3 ± 0.34 | 0.4923 |
| Feed conversion (g of feed/g of egg) | 1.97 ± 0.04 a | 1.92 ± 0.03 b | 1.95 ± 0.03 ab | 0.0341 |
| Laying rate (%) | 93.8 | 94.4 | 94.5 | 0.4777 |
| Mortality (%) | 2.01 | 1.83 | 2.44 | 0.3445 |
| Average cracked egg percent/% | 0.10 | 0.07 | 0.09 | 0.0957 |
| Item | CON | T1 | T2 | p-Value |
|---|---|---|---|---|
| Egg shape index | 77.81 ± 1.15 | 76.44 ± 3.01 | 77.07 ± 0.90 | 0.234 |
| Eggshell strength, kg/cm2 | 4.77 ± 0.27 a | 4.41 ± 0.33 b | 4.86 ± 0.37 a | 0.0044 |
| Haugh unit | 83.20 ± 5.94 | 82.65 ± 5.82 | 82.98 ± 4.09 | 0.9678 |
| Albumen height, mm | 7.08 ± 0.89 | 6.93 ± 0.78 | 6.95 ± 0.58 | 0.8791 |
| Yolk color | 7.33 ± 0.26 a | 7.07 ± 0.27 b | 7.11 ± 0.29 ab | 0.055 |
| Eggshell thickness, um | 346.42 ± 8.16 | 347.57 ± 11.66 | 344.68 ± 8.28 | 0.7569 |
| Yolk percentage, % | 25.80 ± 0.72 | 26.46 ± 1.53 | 26.14 ± 0.93 | 0.3553 |
| Yolk CP%/DM | 30.53 ± 0.55 | 31.49 ± 1.48 | 30.57 ± 1.48 | 0.3479 |
| Albumen CP%/DM | 81.06 ± 1.63 b | 82.65 ± 0.91 a | 82.27 ± 0.57 ab | 0.0809 |
| Yolk Fat%/DM | 55.97 ± 1.89 | 54.52 ± 1.77 | 55.77 ± 1.64 | 0.1091 |
| Cholesterol content of yolk, % | 3.16 ± 0.65 | 2.90 ± 0.17 | 2.94 ± 0.21 | 0.3046 |
| Item | CON | T1 | T2 | p | |
|---|---|---|---|---|---|
| Serum | ROS (U/mL) | 5.64 ± 1.25 | 6.60 ± 2.39 | 6.09 ± 3.28 | 0.7313 |
| T-SOD (U/mL) | 80.37 ± 12.01 | 81.79 ± 8.09 | 82.83 ± 10.8 | 0.4654 | |
| MDA (nmol/mL) | 16.82 ± 4.57 a | 13.40 ± 3.86 b | 15.80 ± 5.56 ab | 0.0386 | |
| Ileum | ROS (U/mL) | 4.12 ± 0.47 a | 3.57 ± 0.34 b | 3.94 ± 0.48 a | 0.0017 |
| T-SOD (U/mL) | 101.27 ± 13.4 | 88.04 ± 23.69 | 111.56 ± 22.96 | 0.3091 | |
| GSH-PX (U/mL) | 132.00 ± 103.96 | 159.34 ± 103.71 | 67.75 ± 42.2 | 0.1613 | |
| Cecum | ROS (U/mL) | 3.81 ± 0.41 a | 3.08 ± 0.24 b | 3.64 ± 0.34 a | 0.0009 |
| T-SOD (U/mL) | 57.87 ± 16.16 | 52.09 ± 15.97 | 55.00 ± 14.44 | 0.5541 | |
| GSH-PX (U/mL) | 117.08 ± 74.91 | 57.74 ± 30.00 | 143.12 ± 160.82 | 0.3833 |
| Intestinal Segment | Item | CON | T1 | T2 | p-Value |
|---|---|---|---|---|---|
| ileum | villus height | 488.51 ± 92.18 b | 650.60 ± 169.29 a | 649.47 ± 191.44 a | <0.0001 |
| crypt depth | 187.10 ± 37.92 b | 196.18 ± 49.84 ab | 207.74 ± 54.222 a | 0.0008 | |
| villus width | 317.38 ± 115.76 | 310.19 ± 77.30 | 354.11 ± 109.75 | 0.508 | |
| villus/crypt | 2.77 ± 0.78 b | 3.58 ± 1.33 a | 3.24 ± 1.01 a | 0.0026 | |
| cecum | villus height | 1178.39 ± 187.56 c | 1531.50 ± 287.69 a | 1310.61 ± 238.16 b | <0.0001 |
| crypt depth | 197.16 ± 38.93 | 186.64 ± 36.45 | 193.73 ± 36.09 | 0.3794 | |
| villus width | 322.65 ± 80.66 a | 282.21 ± 91.54 b | 293.17 ± 85.75 ab | 0.0338 | |
| villus/crypt | 6.20 ± 1.60 b | 8.76 ± 2.38 a | 7.06 ± 2.14 b | <0.0001 |
© 2019 by the authors. Licensee MDPI, Basel, Switzerland. This article is an open access article distributed under the terms and conditions of the Creative Commons Attribution (CC BY) license (http://creativecommons.org/licenses/by/4.0/).
Share and Cite
Xiang, Q.; Wang, C.; Zhang, H.; Lai, W.; Wei, H.; Peng, J. Effects of Different Probiotics on Laying Performance, Egg Quality, Oxidative Status, and Gut Health in Laying Hens. Animals 2019, 9, 1110. https://doi.org/10.3390/ani9121110
Xiang Q, Wang C, Zhang H, Lai W, Wei H, Peng J. Effects of Different Probiotics on Laying Performance, Egg Quality, Oxidative Status, and Gut Health in Laying Hens. Animals. 2019; 9(12):1110. https://doi.org/10.3390/ani9121110
Chicago/Turabian StyleXiang, Quanhang, Chao Wang, Hong Zhang, Wen Lai, Hongkui Wei, and Jian Peng. 2019. "Effects of Different Probiotics on Laying Performance, Egg Quality, Oxidative Status, and Gut Health in Laying Hens" Animals 9, no. 12: 1110. https://doi.org/10.3390/ani9121110
APA StyleXiang, Q., Wang, C., Zhang, H., Lai, W., Wei, H., & Peng, J. (2019). Effects of Different Probiotics on Laying Performance, Egg Quality, Oxidative Status, and Gut Health in Laying Hens. Animals, 9(12), 1110. https://doi.org/10.3390/ani9121110
