Variation in the Caprine KAP24-1 Gene Affects Cashmere Fibre Diameter
Simple Summary
Abstract
1. Introduction
2. Materials and Methods
2.1. Goats Investigated and Cashmere Data Collection
2.2. Search for the Caprine KAP24-1 Gene
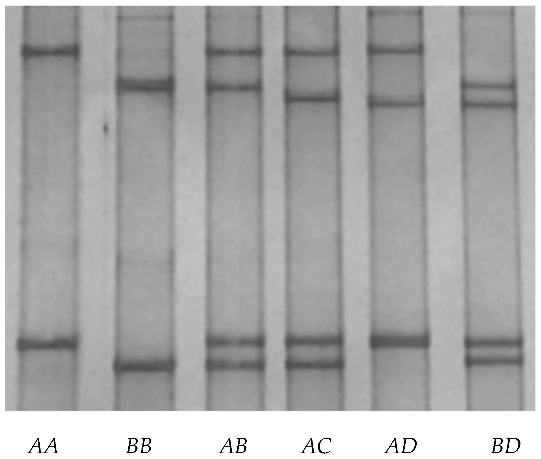
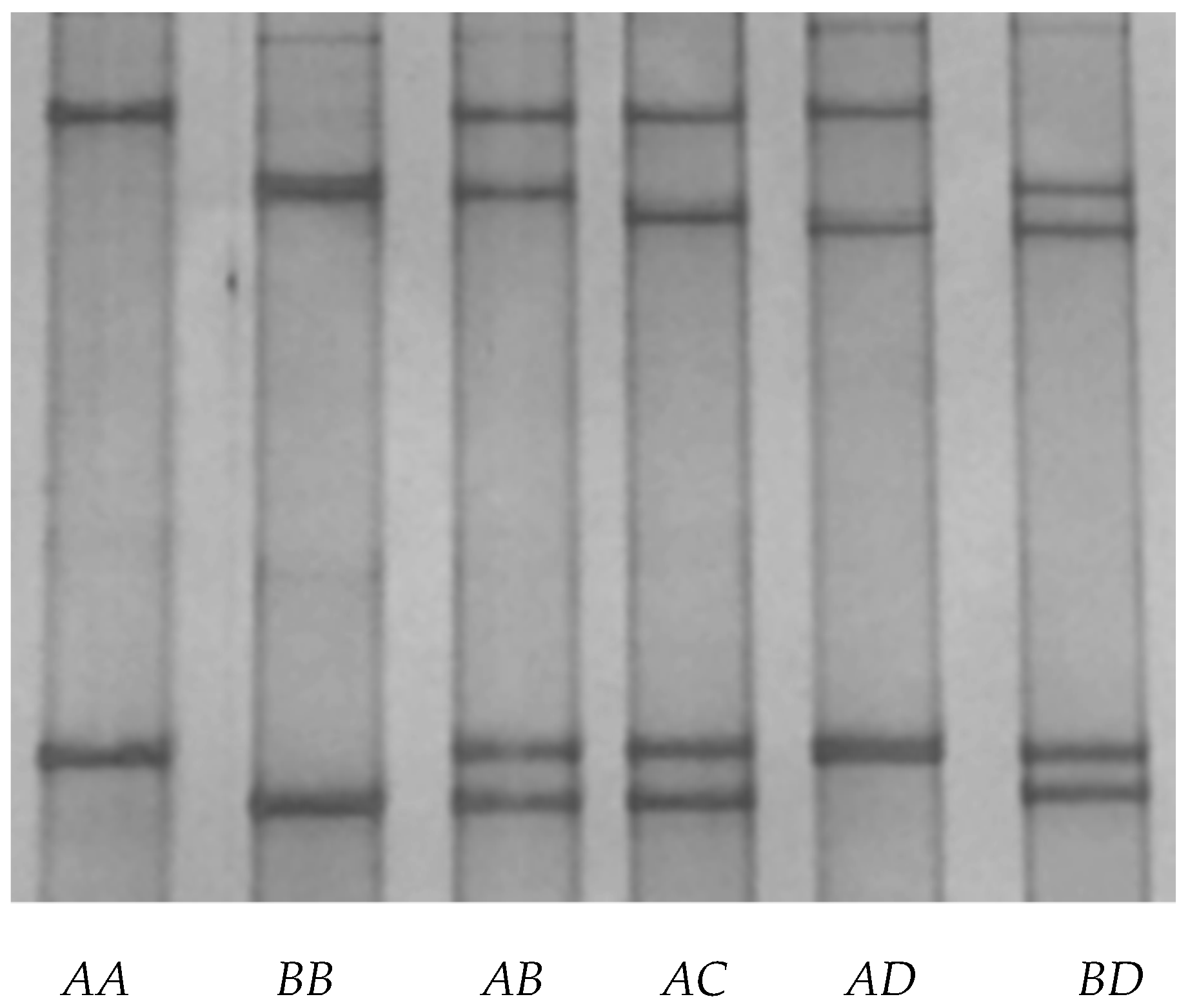
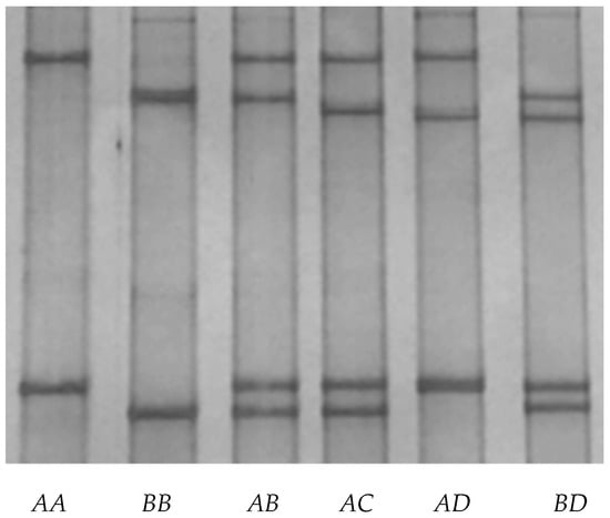
2.3. Polymerase Chain Reaction Single-Strand Conformation Polymorphism (PCR-SSCP) Analysis of Caprine KRTAP24-1
2.4. Sequencing of Allelic Variants and Sequence Analyses
2.5. Statistical Analyses
3. Results
3.1. Identification of Caprine KRTAP24-1
3.2. Variation in Caprine KRTAP24-1
3.3. Association between Variation in KRTAP24-1 and Cashmere Traits
4. Discussion
5. Conclusions
Author Contributions
Funding
Conflicts of Interest
References
- Franck, R.R. Appendix 10: Quality Assessment of Goat Hair for Textile Use. In Silk, Mohair, Cashmere and Other Luxury Fibres; Woodhead Publishing Limited: Cambridge, UK; CRC Press: Boca Raton, FL, USA; Textile Institute: Cambridge, UK, 2001; pp. 227–233. [Google Scholar]
- Gong, H.; Zhou, H.; Forrest, R.H.; Li, S.; Wang, J.; Dyer, J.M.; Luo, Y.; Hickford, J.G. Wool keratin-associated protein genes in Sheep-A Review. Genes 2016, 7, 24. [Google Scholar] [CrossRef] [PubMed]
- Gong, H.; Zhou, H.; McKenzie, G.W.; Yu, Z.; Clerens, S.; Dyer, J.M.; Plowman, J.E.; Wright, M.W.; Arora, R.; Bawden, C.S.; et al. An updated nomenclature for keratin-associated proteins (KAPs). Int. J. Biol. Sci. 2012, 8, 258–264. [Google Scholar] [CrossRef] [PubMed]
- Li, S.; Zhou, H.; Gong, H.; Zhao, F.; Hu, J.; Luo, Y.; Hickford, J.G.H. Identification of the ovine keratin-associated protein 26-1 gene and its association with variation in wool traits. Genes 2017, 8, 225. [Google Scholar] [CrossRef] [PubMed]
- Li, S.; Zhou, H.; Gong, H.; Zhao, F.; Wang, J.; Liu, X.; Luo, Y.; Hickford, J.G. Identification of the ovine keratin-associated protein 22-1 (KAP22-1) gene and its effect on wool traits. Genes 2017, 8, 27. [Google Scholar] [CrossRef] [PubMed]
- Parris, D.; Swart, L.S. Studies on the high-sulphur proteins of reduced mohair. The isolation and amino acid sequence of protein scmkb-m1.2. Biochem. J. 1975, 145, 459–467. [Google Scholar] [CrossRef] [PubMed]
- Wang, J.; Che, L.; Hickford, J.G.; Zhou, H.; Hao, Z.; Luo, Y.; Hu, J.; Liu, X.; Li, S. Identification of the caprine keratin-associated protein 20-2 (KAP20-2) gene and its effect on cashmere traits. Genes 2017, 8, 328. [Google Scholar] [CrossRef] [PubMed]
- Wang, J.; Hao, Z.; Zhou, H.; Luo, Y.; Hu, J.; Liu, X.; Li, S.; Hickford, J.G.H. A keratin-associated protein (KAP) gene that is associated with variation in cashmere goat fleece weight. Small. Ruminant. Res. 2018, 167, 104–109. [Google Scholar] [CrossRef]
- Liu, H.; Li, N.; Jia, C.; Zhu, X.; Jia, Z. Effect of the polymorphisms of keratin associated protein 8.2 gene on fibre traits in Inner Mongolia cashmere goats. Asian Australas. J. Anim. Sci. 2007, 20, 821–826. [Google Scholar] [CrossRef]
- Fang, Y.; Liu, W.J.; Zhang, F.Q.; Shao, Y.G.; Yu, S.G. The polymorphism of a novel mutation of KAP13.1 gene and its associations with cashmere traits on Xinjiang local goat breed in China. Asian. J. Anim. Vet. Adv. 2010, 5, 34–42. [Google Scholar]
- Gong, H.; Zhou, H.; Hodge, S.; Dyer, J.M.; Hickford, J.G.H. Association of wool traits with variation in the ovine KAP1-2 gene in Merino cross lambs. Small. Ruminant. Res. 2015, 124, 24–29. [Google Scholar] [CrossRef]
- Zhou, H.; Gong, H.; Li, S.; Luo, Y.; Hickford, J.G.H. A 57-bp deletion in the ovine KAP6-1 gene affects wool fibre diameter. J. Anim. Breed. Genet. 2015, 132, 301–307. [Google Scholar] [CrossRef] [PubMed]
- Tao, J.; Zhou, H.; Gong, H.; Yang, Z.; Ma, Q.; Cheng, L.; Ding, W.; Li, Y.; Hickford, J.G. Variation in the KAP6-1 gene in Chinese Tan sheep and associations with variation in wool traits. Small. Ruminant. Res. 2015, 154, 129–132. [Google Scholar] [CrossRef]
- Li, S.; Zhou, H.; Gong, H.; Zhao, F.; Wang, J.; Luo, Y.; Hickford, J.G. Variation in the ovine KAP6-3 gene (KRTAP6-3) is associated with variation in mean fibre diameter-associated wool traits. Genes 2017, 8, 204. [Google Scholar] [CrossRef] [PubMed]
- Tao, J.; Zhou, H.; Yang, Z.; Gong, H.; Ma, Q.; Ding, W.; Li, Y.; Hickford, J.G.H. Variation in the KAP8-2 gene affects crimping and grow rate of wool in Chinese Tan sheep. Small. Ruminant. Res. 2017, 149, 77–80. [Google Scholar] [CrossRef]
- Rogers, M.A.; Winter, H.; Langbein, L.; Wollschläger, A.; Praetzel-Wunder, S.; Jave-Suarez, L.F.; Schweizer, J. Characterization of human KAP24.1, a cuticular hair keratin-associated protein with unusual amino-acid composition and repeat structure. J. Invest. Dermatol. 2007, 127, 1197–1204. [Google Scholar] [CrossRef] [PubMed]
- Zhou, H.; Gong, H.; Yan, W.; Luo, Y.; Hickford, J.G.H. Identification and sequence analysis of the keratin-associated protein 24-1 (KAP24-1) gene homologue in sheep. Gene 2012, 511, 62–65. [Google Scholar] [CrossRef] [PubMed]
- Zhou, H.; Hickford, J.G.; Fang, Q. A two-step procedure for extracting genomic DNA from dried blood spots on filter paper for polymerase chain reaction amplification. Anal. Biochem. 2006, 354, 159–161. [Google Scholar] [CrossRef]
- GCF_001704415.1. Available online: https://www.ncbi.nlm.nih.gov/assembly/GCF_001704415.1 (accessed on 12 October 2017).
- Byun, S.O.; Fang, Q.; Zhou, H.; Hickford, J.G.H. An effective method for silver-staining DNA in large numbers of polyacrylamide gels. Anal. Biochem. 2009, 385, 174–175. [Google Scholar] [CrossRef]
- Gong, H.; Zhou, H.; Hickford, J.G. Diversity of the glycine/tyrosine-rich keratin-associated protein 6 gene (KAP6) family in sheep. Mol. Biol. Rep. 2011, 38, 31–35. [Google Scholar] [CrossRef]
- Sequence Variant Nomenclature. Available online: http://varnomen.hgvs.org/ (accessed on 12 October 2017).
- Powell, B.C.; Rogers, G.E. The Role of Keratin Proteins and Their Genes in the Growth, Structure and Properties of Hair. In Formation and Structure of Human Hair; Jollès, P., Zahn, H., Höcker, H., Eds.; Birkhäuser Verlag: Basel, Switzerland, 1997; pp. 59–148. [Google Scholar]
- Matsunaga, R.; Abe, R.; Ishii, D.; Watanabe, S.; Kiyoshi, M.; Nöcker, B.; Tsuchiya, M.; Tsumoto, K. Bidirectional binding property of high glycine-tyrosine keratin-associated protein contributes to the mechanical strength and shape of hair. J. Struct. Biol. 2013, 183, 484–494. [Google Scholar] [CrossRef]
- Gong, H.; Zhou, H.; Dyer, J.M.; Hickford, J.G. Identification of the ovine KAP11-1 gene (KRTAP11-1) and genetic variation in its coding sequence. Mol. Biol. Rep. 2011, 38, 5429–5433. [Google Scholar] [CrossRef] [PubMed]
- Gong, H.; Zhou, H.; Dyer, J.M.; Plowman, J.E.; Hickford, J.G.H. Identification of the keratin-associated protein 13-3 (KAP13-3) gene in sheep. Open J. Genet. 2011, 1, 60–64. [Google Scholar] [CrossRef]
- Ku, N.O.; Liao, J.; Chou, C.F.; Omary, M.B. Implications of intermediate filament protein phosphorylation. Cancer. Metastasis. Rev. 1996, 15, 429–444. [Google Scholar] [CrossRef] [PubMed]
- Li, M.; Liu, X.; Wang, J.; Li, S.; Luo, Y. Molecular characterization of caprine KRTAP13-3 in Liaoning cashmere goat in China. J. Appl. Anim. Res. 2014, 42, 140–144. [Google Scholar] [CrossRef]
- Gong, H.; Zhou, H.; McKenzie, G.W.; Hickford, J.G.; Yu, Z.; Clerens, S.; Dyer, J.M.; Plowman, J.E. Emerging issues with the current keratin-associated protein nomenclature. Int. J. Trichol. 2010, 2, 104–105. [Google Scholar] [CrossRef]
- Zhou, H.; Gong, H.; Wang, J.; Dyer, J.M.; Luo, Y.; Hickford, J.G. Identification of four new gene members of the KAP6 gene family in sheep. Sci. Rep. 2016, 6, 24074. [Google Scholar] [CrossRef] [PubMed]
- Rogers, G.R.; Hickford, J.G.H.; Bickerstaffe, R. Polymorphisms in two genes for B2 high sulfur proteins of wool. Anim. Genet. 1994, 25, 407–415. [Google Scholar] [CrossRef]
- Wang, J.; Zhou, H.; Zhu, J.; Hu, J.; Liu, X.; Li, S.; Luo, Y.; Hickford, J.G. Identification of the ovine keratin-associated protein 15-1 gene (KRTAP15-1) and genetic variation in its coding sequence. Small. Ruminant. Res. 2017, 153, 131–136. [Google Scholar] [CrossRef]
- Smith, G.R. Homologous recombination near and far from DNA breaks: Alternative roles and contrasting views. Annu. Rev. Genet. 2001, 35, 243–274. [Google Scholar] [CrossRef]
- Reis, P.J.; Tunks, D.A.; Munro, S.G. Effects of the infusion of amino acids into the abomasum of sheep, with emphasis on the relative value of methionine, cysteine and homocysteine for wool growth. J. Agr. Sci. 1990, 114, 59–68. [Google Scholar] [CrossRef]
- Duan, J.; Wainwright, M.S.; Comeron, J.M.; Saitou, N.; Sanders, A.R.; Gelernter, J.; Gejman, P.V. Synonymous mutations in the human dopamine receptor D2 (DRD2) affect mRNA stability and synthesis of the receptor. Hum. Mol. Genet. 2003, 12, 205–216. [Google Scholar] [CrossRef] [PubMed]
- Kimchi-Sarfaty, C.; Oh, J.M.; Kim, I.W.; Sauna, Z.E.; Calcagno, A.M.; Ambudkar, S.V.; Gottesman, M.M. A “silent” polymorphism in the MDR1 gene changes substrate specificity. Science 2007, 315, 525–528. [Google Scholar] [CrossRef] [PubMed]
- Kozak, M. At least six nucleotides preceding the AUG initiator codon enhance translation in mammalian cells. J. Mol. Biol. 1987, 196, 947–950. [Google Scholar] [CrossRef]
- Kozak, M. Point mutations define a sequence flanking the AUG initiator codon that modulates translation by eukaryotic ribosomes. Cell 1986, 44, 283–292. [Google Scholar] [CrossRef]




| Cashmere Trait (Unit) | Mean ± SE | p Value | ||
|---|---|---|---|---|
| AA (n = 109) | AB (n = 160) | BB (n = 60) | ||
| Cashmere weight (g) | 414 ± 4.6 | 418 ± 3.8 | 411 ± 5.4 | 0.457 | 
| Mean fibre diameter (μm) | 13.4 ± 0.04 C | 13.6 ± 0.04 B | 13.8 ± 0.05 A | <0.001 | 
| Crimped fibre length (cm) | 4.2 ± 0.05 | 4.3 ± 0.04 | 4.2 ± 0.06 | 0.301 | 
© 2019 by the authors. Licensee MDPI, Basel, Switzerland. This article is an open access article distributed under the terms and conditions of the Creative Commons Attribution (CC BY) license (http://creativecommons.org/licenses/by/4.0/).
Share and Cite
Wang, J.; Zhou, H.; Luo, Y.; Zhao, M.; Gong, H.; Hao, Z.; Hu, J.; Hickford, J.G.H. Variation in the Caprine KAP24-1 Gene Affects Cashmere Fibre Diameter. Animals 2019, 9, 15. https://doi.org/10.3390/ani9010015
Wang J, Zhou H, Luo Y, Zhao M, Gong H, Hao Z, Hu J, Hickford JGH. Variation in the Caprine KAP24-1 Gene Affects Cashmere Fibre Diameter. Animals. 2019; 9(1):15. https://doi.org/10.3390/ani9010015
Chicago/Turabian StyleWang, Jiqing, Huitong Zhou, Yuzhu Luo, Mengli Zhao, Hua Gong, Zhiyun Hao, Jiang Hu, and Jon G.H. Hickford. 2019. "Variation in the Caprine KAP24-1 Gene Affects Cashmere Fibre Diameter" Animals 9, no. 1: 15. https://doi.org/10.3390/ani9010015
APA StyleWang, J., Zhou, H., Luo, Y., Zhao, M., Gong, H., Hao, Z., Hu, J., & Hickford, J. G. H. (2019). Variation in the Caprine KAP24-1 Gene Affects Cashmere Fibre Diameter. Animals, 9(1), 15. https://doi.org/10.3390/ani9010015
 
        


 
       