Effects of Fermented Compound Chinese Herbal Feed on Gut Microbiota, Immune Response, and Disease Resistance in Chinese Soft-Shelled Turtle (Pelodiscus sinensis)
Simple Summary
Abstract
1. Introduction
2. Materials and Methods
2.1. Materials and Microorganisms
2.2. Preparation of Fermented Chinese Herbal Additive
2.3. Antimicrobial Activity Evaluation In Vitro to Fermented Chinese Herbs Additive
2.4. Feed Preparation and Breeding Design
2.5. Production Performance of Chinese Soft-Shelled Turtles
2.6. Blood Hematological Parameters of Chinese Soft-Shelled Turtle
2.7. Determination of Serum Antioxidant Immune Indexes of Chinese Soft-Shelled Turtle
2.8. Challenge Experiment of S. enteritidis, E. coli and S. flexneri
2.9. Statistical Analysis
2.10. Animal Ethics and Euthanasia Standards
2.11. Anesthesia and Euthanasia Procedures
3. Results and Discussion
3.1. Screening of Antibacterial Activities of Chinese Herbal Materials Against Intestinal Pathogens
3.2. Effects of Fermented and Unfermented Chinese Herbal Diets on Production Performance
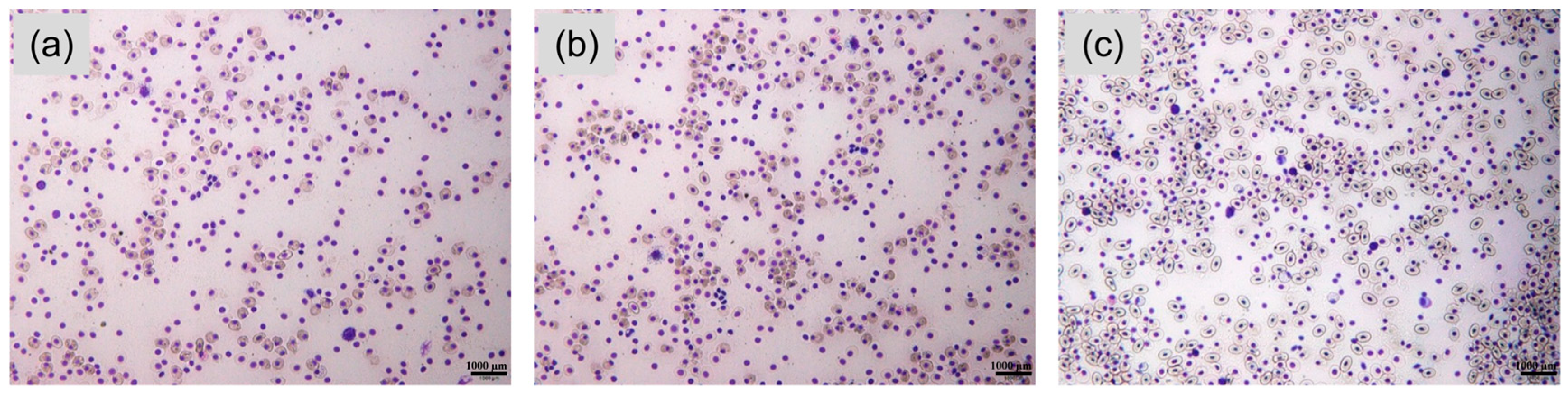
3.3. Effects of Fermented and Unfermented Chinese Herbal Diets on the Number of RBC and WBC
3.4. Effects of Fermented and Unfermented Chinese Herbal Diets on Serum Biochemical Parameters
3.5. Effects of Fermented and Unfermented Chinese Herbal Diets on Serum Immune and Antioxidant Indices
3.6. Effects of Fermented and Unfermented Chinese Medicinal Feeds on Survival Under Bacterial Challenge
3.7. Herbal Supplementation Reshapes Gut Microbial OTU Profiles
3.8. Effects of Fermented and Unfermented Chinese Medicine on Gut Microbial Composition
4. Conclusions
Supplementary Materials
Author Contributions
Funding
Institutional Review Board Statement
Informed Consent Statement
Data Availability Statement
Acknowledgments
Conflicts of Interest
References
- Cui, H.; Yuan, L.; Ma, C.; Li, C.; Lin, L. Effect of nianoliposome-encapsulated thyme oil on growth of Salmonella enteritidis in chicken. J. Food Process. Preserv. 2017, 41, e13299. [Google Scholar] [CrossRef]
- Chen, H.; Kang, L.; Li, K.; Feng, T.; Ni, Z.; Gao, E.; Fang, Z. Accurate quantification on the change of some live pathogenic microbial flora in fermented feed. Int. J. Food Sci. Technol. 2023, 58, 3552–3559. [Google Scholar] [CrossRef]
- Cui, H.; Ma, C.; Li, C.; Lin, L. Enhancing the antibacterial activity of thyme oil against Salmonella on eggshell by plasma-assisted process. Food Control 2016, 70, 183–190. [Google Scholar] [CrossRef]
- Fečkaninová, A.; Koščová, J.; Mudroňová, D.; Popelka, P.; Toropilová, J. The use of probiotic bacteria against Aeromonas infections in salmonid aquaculture. Aquaculture 2017, 469, 1–8. [Google Scholar] [CrossRef]
- Xi, W.; Zhang, X.; Zhu, X.; Wang, J.; Xue, H.; Pan, H. Distribution patterns and influential factors of pathogenic bacteria in freshwater aquaculture sediments. Environ. Sci. Pollut. Res. 2024, 31, 16028–16047. [Google Scholar] [CrossRef]
- Mohammed, E.A.; Kovács, B.; Kuunya, R.; Mustafa, E.O.; Abbo, A.S.; Pál, K. Antibiotic Resistance in Aquaculture: Challenges, Trends Analysis, and Alternative Approaches. Antibiotics 2025, 14, 598. [Google Scholar] [CrossRef]
- Sobhy, M.; Abdelkarim, E.A.; Hussein, M.A.; Aziz, T.; Al-Asmari, F.; Alabbosh, K.F.; Cui, H.; Lin, L. Essential oils as antibacterials against multidrug-resistant foodborne pathogens: Mechanisms, recent advances, and legal considerations. Food Biosci. 2025, 64, 105937. [Google Scholar] [CrossRef]
- Pu, H.; Li, X.; Du, Q.; Cui, H.; Xu, Y. Research Progress in the Application of Chinese Herbal Medicines in Aquaculture: A Review. Engineering 2017, 3, 731–737. [Google Scholar] [CrossRef]
- Su, Y.; Bai, Q.; Tao, H.; Xu, B. Prospects for the application of traditional Chinese medicine network pharmacology in food science research. J. Sci. Food Agric. 2023, 103, 5183–5200. [Google Scholar] [CrossRef]
- Awad, E.; Awaad, A. Role of medicinal plants on growth performance and immune status in fish. Fish Shellfish Immunol. 2017, 67, 40–54. [Google Scholar] [CrossRef] [PubMed]
- Ullah, H.; De Filippis, A.; Baldi, A.; Dacrema, M.; Esposito, C.; Garzarella, E.U.; Santarcangelo, C.; Tantipongpiradet, A.; Daglia, M. Beneficial Effects of Plant Extracts and Bioactive Food Components in Childhood Supplementation. Nutrients 2021, 13, 3157. [Google Scholar] [CrossRef]
- Bai, J.; Zhu, Y.; Dong, Y. Modulation of gut microbiota and gut-generated metabolites by bitter melon results in improvement in the metabolic status in high fat diet-induced obese rats. J. Funct. Foods 2018, 41, 127–134. [Google Scholar] [CrossRef]
- Heng, X.; Chen, H.; Lu, C.; Feng, T.; Li, K.; Gao, E. Study on synergistic fermentation of bean dregs and soybean meal by multiple strains and proteases. LWT 2022, 154, 112626. [Google Scholar] [CrossRef]
- T, S.K.; Subburaj, S.; Navina, B.; Abdullahi, A. Microbial Fermentation Protocols for Eco-Friendly Feedstock Conversion; Humana: New York, NY, USA, 2025. [Google Scholar]
- Chen, X.; Li, Z.; Wu, Z.; Feng, Y.; Chen, Y.; Ma, Y.; Guo, Z.; Chen, H. Spore display innovation technology for unlocking new substrates for glucose oxidase. J. Sci. Food Agric. 2025, 105, 7112–7123. [Google Scholar] [CrossRef] [PubMed]
- He, L.; Yan, M.; Naeem, M.; Chen, M.; Chen, Y.; Ni, Z.; Chen, H. Enhancing Manganese Peroxidase: Innovations in Genetic Modification, Screening Processes, and Sustainable Agricultural Applications. J. Agric. Food Chem. 2024, 72, 26040–26056. [Google Scholar] [CrossRef]
- Shi, N.; Li, S.; He, L.; Feng, Y.; Saeed, M.; Ma, Y.; Ni, Z.; Zhu, D.; Chen, H. High-throughput screening and identification of lignin peroxidase based on spore surface display of Bacillus subtilis. J. Sci. Food Agric. 2025, 105, 2179–2189. [Google Scholar] [CrossRef]
- Zhou, M.; Zhang, Y.; Song, Z.; Tang, S.; Liu, Z.; Pang, M.; Zhang, D.; Wu, X.; Yu, X.; Wang, P.; et al. Enhanced bioactivity of honeysuckle-Cassia seeds extracts through Lactobacillus acidophilus and Bacillus subtilis co-fermentation: Impact on alcoholic liver disease and gut microbiota. Food Chem. 2025, 486, 144463. [Google Scholar] [CrossRef]
- Liu, D.; Guo, Y.; Ma, H. Production, bioactivities and bioavailability of bioactive peptides derived from walnut origin by-products: A review. Crit. Rev. Food Sci. Nutr. 2023, 63, 8032–8047. [Google Scholar] [CrossRef]
- Kwaw, E.; Ma, Y.; Tchabo, W.; Apaliya, M.T.; Wu, M.; Sackey, A.S.; Xiao, L.; Tahir, H.E. Effect of lactobacillus strains on phenolic profile, color attributes and antioxidant activities of lactic-acid-fermented mulberry juice. Food Chem. 2018, 250, 148–154. [Google Scholar] [CrossRef]
- Dai, C.; Ma, H.; He, R.; Huang, L.; Zhu, S.; Ding, Q.; Luo, L. Improvement of nutritional value and bioactivity of soybean meal by solid-state fermentation with Bacillus subtilis. LWT 2017, 86, 1–7. [Google Scholar] [CrossRef]
- Liu, D.; Guo, Y.; Yolandani; Ma, H. Production of value-added peptides from agro-industrial residues by solid-state fermentation with a new thermophilic protease-producing strain. Food Biosci. 2023, 53, 102534. [Google Scholar] [CrossRef]
- Ullah, M.; Naeem, M.; Andoh, V.; Khan, M.N.; Han, J.; Rizwan, M.; Hussain, N.; Saeed, M.; Chen, Y.; Chen, H. Lactic Acid Bacteria as Biofactories: Mechanistic Insights, Engineering Strategies, and Future Horizons for Heterologous Enzyme Expression. J. Agric. Food Chem. 2025, 73, 16028–16048. [Google Scholar] [CrossRef]
- Jiang, Y.; Hua, J.; Wang, B.; Yuan, H.; Ma, H. Effects of Variety, Season, and Region on Theaflavins Content of Fermented Chinese Congou Black Tea. J. Food Qual. 2018, 2018, 5427302. [Google Scholar] [CrossRef]
- Pan, R.; Yuan, J.; Bai, J.; Zhang, J.; Zhang, J.; Gu, Y.; Xia, S.; Qu, M.; Liu, Q.; Dong, Y.; et al. Antiobesity Effect of Lactiplantibacillus plantarum Fermented Barley Extracts via the Interactions with Gut Microbiota of the Obese Adult Humans. J. Food Biochem. 2023, 2023, 5521789. [Google Scholar] [CrossRef]
- Ma, J.; Wang, J.; Wan, Y.; Wang, S.; Jiang, C. Probiotic-fermented traditional Chinese herbal medicine, a promising approach to maintaining the intestinal microecology. J. Ethnopharmacol. 2025, 337, 118815. [Google Scholar] [CrossRef]
- Betchem, G.; Dabbour, M.; Tuly, J.A.; Billong, L.F.; Ma, H. Optimization of fermentation conditions to improve the functional and structural characteristics of rapeseed meal with a mutant Bacillus subtilis species. Ind. Crops Prod. 2023, 205, 117424. [Google Scholar] [CrossRef]
- Tuly, J.A.; Ma, H. Bioconversion of food industrial waste okara by microbial fermentation: Scope of omics study and possibility. Trends Food Sci. Technol. 2024, 146, 104391. [Google Scholar] [CrossRef]
- Nualkul, M.; Yuangsoi, B.; Hongoh, Y.; Yamada, A.; Deevong, P. Improving the nutritional value and bioactivity of soybean meal in solid-state fermentation using Bacillus strains newly isolated from the gut of the termite Termes propinquus. FEMS Microbiol. Lett. 2022, 369, fnac044. [Google Scholar] [CrossRef] [PubMed]
- Kwaw, E.; Ma, Y.; Tchabo, W.; Apaliya, M.T.; Xiao, L.; Li, X.; Hu, M. Effect of fermentation parameters and their optimization on the phytochemical properties of lactic-acid-fermented mulberry juice. J. Food Meas. Charact. 2017, 11, 1462–1473. [Google Scholar] [CrossRef]
- Huang, P.; Wang, P.; Xu, J.; Sun, M.; Liu, X.; Lin, Q.; Liu, W.; Qing, Z.; Zeng, J. Fermented traditional Chinese medicine alters the intestinal microbiota composition of broiler chickens. Res. Vet. Sci. 2021, 135, 8–14. [Google Scholar] [CrossRef]
- Rubio, L.A.; Peinado, M.J.; Ruiz, R.; Suárez-Pereira, E.; Mellet, C.O.; Fernández, J.M.G. Correlations between changes in intestinal microbiota composition and performance parameters in broiler chickens. J. Anim. Physiol. Anim. Nutr. 2015, 99, 418–423. [Google Scholar] [CrossRef]
- Wu, Z.; Li, P.; Chen, Y.; Chen, X.; Feng, Y.; Guo, Z.; Zhu, D.; Yong, Y.; Chen, H. Rational Design for Enhancing Cellobiose Dehydrogenase Activity and Its Synergistic Role in Straw Degradation. J. Agric. Food Chem. 2024, 72, 24620–24631. [Google Scholar] [CrossRef]
- Chen, Y.; Li, M.; Chen, H.; Saeed, M.; Ni, Z.; Guo, Z.; Fang, Z.; Feng, Y. Directed evolution modification of the keratinase KerD21 and application in feather powder fermented feed. J. Sci. Food Agric. 2025, 105, 8171–8185. [Google Scholar] [CrossRef]
- Waitz, J.A. Methods for Dilution Antimicrobial Susceptibility Tests for Bacteria That Grow Aerobically; Approved Standard—Eighth Edition; Clinical & Laboratory Standards Institute: Wayne, PA, USA, 2002. [Google Scholar]
- Hou, X.; Dai, C.; Tang, Y.; Xing, Z.; Mintah, B.K.; Dabbour, M.; Ding, Q.; He, R.; Ma, H. Thermophilic solid-state fermentation of rapeseed meal and analysis of microbial community diversity. LWT 2019, 116, 108520. [Google Scholar] [CrossRef]
- Sarhadi, I.; Alizadeh, E.; Ahmadifar, E.; Adineh, H.; Dawood, M.A.O. Skin Mucosal, Serum Immunity and Antioxidant Capacity of Common Carp (Cyprinus carpio) Fed Artemisia (Artemisia annua). Ann. Anim. Sci. 2020, 20, 1011–1027. [Google Scholar] [CrossRef]
- Ali, Z.; Ma, H.; Rashid, M.T.; Ayim, I.; Wali, A. Reduction of body weight, body fat mass, and serum leptin levels by addition of new beverage in normal diet of obese subjects. J. Food Biochem. 2018, 42, e12554. [Google Scholar] [CrossRef]
- Muzaffar, H.; Faisal, M.N.; Anwar, H.; Hussain, A.; Khan, J.A.; Muhammad, F.; Aslam, B.; Mahmood, A.; Abdelsadik, A.; Aslam, J.; et al. Fish protein intake is a novel dietary approach for managing diabetes-associated complications in diabetic Wistar rat model. Food Sci. Nutr. 2021, 9, 1017–1024. [Google Scholar] [CrossRef] [PubMed]
- Tahir, H.E.; Xiaobo, Z.; Jiyong, S.; Mariod, A.A.; Wiliam, T. Rapid Determination of Antioxidant Compounds and Antioxidant Activity of Sudanese Karkade (Hibiscus sabdariffa L.) Using Near Infrared Spectroscopy. Food Anal. Methods 2016, 9, 1228–1236. [Google Scholar] [CrossRef]
- Alakomi, H.L. Lactic Acid Permeabilizes Gram-Negative Bacteria by Disrupting the Outer Membrane. Appl. Environ. Microbiol. 2000, 66, 2001–2005. [Google Scholar] [CrossRef]
- Giacometti, A.; Cirioni, O.; Prete, M.S.D.; Paggi, A.M.; Scalise, G. Combination studies between polycationic peptides and clinically used antibiotics against Gram-positive and Gram-negative bacteria. Peptides 2000, 21, 1155–1160. [Google Scholar] [CrossRef] [PubMed]
- Chan, K. The Pharmacology of Chinese Herbs; Kee Chang Huang Published 1993 CRC Press, Inc., Boca Raton, FL 388 pages; ISBN 0 8493 4915 X £100.00. J. Pharm. Pharmacol. 1994, 46, 159–160. [Google Scholar] [CrossRef]
- Hong, W.; Pei, G.; Yong, L.; Jing, W.; Qi-Ling, S. The studies on the transformation from baicalin into baicalein by the microbial transformation. J. Sichuan Univ. 2009, 46, 795–798. [Google Scholar]
- Yu, X.W.; Li, Y.Q.; Zheng, Z.Y.Y. Synthesis of propyl gallate by mycelium-bound tannase from Aspergillus niger in organic solvent. World J. Microbiol. Biotechnol. 2007, 23, 1091–1098. [Google Scholar] [CrossRef]
- Zou, Y.; Ai, Q.; Mai, K.; Zhang, W.; Zhang, Y.; Xu, W. Effects of brown fish meal replacement with fermented soybean meal on growth performance, feed efficiency and enzyme activities of Chinese soft-shelled turtle, Pelodiscus sinensis. J. Ocean Univ. China 2012, 11, 227–235. [Google Scholar] [CrossRef]
- Xu, L.; Wang, F.; Zhang, Z.; Terry, N. Optimization of Polysaccharide Production from Cordyceps militaris by Solid-State Fermentation on Rice and Its Antioxidant Activities. Foods 2019, 8, 590. [Google Scholar] [CrossRef]
- Li, X.; Huang, T.; Xiong, F.; Cui, P.; Gao, G.; Ye, X.; Zhai, X.; Lu, Z.; Zou, X. Dynamics in microbial communities and flavor characteristics before and after the end-point of Zhenjiang aromatic vinegar fermentation revealed by macro-transcriptomics and metabolomics. Food Res. Int. 2025, 209, 116310. [Google Scholar] [CrossRef]
- Park, I.; Mannaa, M. Fermented Foods as Functional Systems: Microbial Communities and Metabolites Influencing Gut Health and Systemic Outcomes. Foods 2025, 14, 2292. [Google Scholar] [CrossRef]
- Saeed, M.; Afzal, Z.; Afzal, F.; Khan, R.U.; Elnesr, S.S.; Alagawany, M.; Chen, H. Use of Postbiotic as Growth Promoter in Poultry Industry: A Review of Current Knowledge and Future Prospects. Food Sci. Anim. Resour. 2023, 43, 1111–1127. [Google Scholar] [CrossRef]
- Wang, P.; Zhou, Q.; Feng, J.; He, J.; Lou, Y.; Zhu, J. Effect of dietary fermented soybean meal on growth, intestinal morphology and microbiota in juvenile large yellow croaker, Larimichthys crocea. Aquac. Res. 2019, 50, 748–757. [Google Scholar] [CrossRef]
- Zhiyuan, X. Serum procalcitonin and C-reactive protein, white blood cell count diagnostic value of bacterial infection. China Mod. Dr. 2013, 51, 67–69. [Google Scholar]
- Zhang, J.; Zhang, Z.; Xu, J.; Ye, C.; Liu, Y. Protective Effects of Baicalin on Peritoneal Tight Junctions in Piglets Challenged with Glaesserella parasuis. Molecules 2021, 26, 1268. [Google Scholar] [CrossRef]
- Lin, G.; Xiao-Qing, W.; Yin, K.; Dan, Z.; Zhuang-Peng, L. Effects of one compound probiotics on growth and antioxidant function of Ctenopharyngodon idellus. Freshw. Fish. 2015, 45, 83–87. [Google Scholar]
- Zheng, J.; Peng, L.; Zhang, X.; Sun, J.; Li, W. Effects of complex probiotics on water quality and microbial communities in grass carp (Ctenopharyngodon idellus) culture. J. Fish. China 2013, 37, 457. [Google Scholar] [CrossRef]
- Shuxian, M.; Qun, Y.; Ying, L.U. Diagnostic value of serum creatinine, urea, uric acid and cystatin C in renal injury. Jiangsu Med. J. 2018, 44, 661–663. [Google Scholar] [CrossRef]
- Kuno, T.; Hirayama-Kurogi, M.; Ito, S.; Ohtsuki, S. Reduction in hepatic secondary bile acids caused by short-term antibiotic-induced dysbiosis decreases mouse serum glucose and triglyceride levels. Sci. Rep. 2018, 8, 1253. [Google Scholar] [CrossRef]
- Shabrova, E.V.; Tarnopolsky, O.; Singh, A.P.; Plutzky, J.; Vorsa, N.; Quadro, L. Insights into the Molecular Mechanisms of the Anti-Atherogenic Actions of Flavonoids in Normal and Obese Mice. PLoS ONE 2011, 6, e24634. [Google Scholar] [CrossRef]
- Kwon, M.G.; Lim, H.K.; Min, B.H.; Byun, S.G.; Kim, Y.C.; Cho, B.Y. Effects of aquaculture conditions on blood chemistry property and lysozyme activity of starry flounder: Platichthys stellatus. J. Fish Pathol. 2007, 20, 281–289. [Google Scholar]
- Sajeevan, T.P.; Philip, R.; Singh, I.S.B. Dose/frequency: A critical factor in the administration of glucan as immunostimulant to Indian white shrimp Fenneropenaeus indicus. Aquaculture 2009, 287, 248–252. [Google Scholar] [CrossRef]
- Variya, B.C.; Bakrania, A.K.; Patel, S.S. Antidiabetic potential of gallic acid from Emblica officinalis: Improved glucose transporters and insulin sensitivity through PPAR-γ and Akt signaling. Phytomedicine 2020, 73, 152906. [Google Scholar] [CrossRef]
- Droganova, T.S.; Polikarpova, L.V. Acid phosphatase as a biomarker of toxic effects on aquatic organisms. Bull. Mosc. State Reg. Univ. 2016, 8–12. [Google Scholar] [CrossRef]
- Wang, Y.; Geng, Y.; Shi, X.; Wang, S.; Yang, Z.; Zhang, P.; Liu, H. Effects of Dietary Phosphorus Levels on Growth Performance, Phosphorus Utilization and Intestinal Calcium and Phosphorus Transport-Related Genes Expression of Juvenile Chinese Soft-Shelled Turtle (Pelodiscus sinensis). Animals 2022, 12, 3101. [Google Scholar] [CrossRef]
- Pirarat, N.; Kobayashi, T.; Katagiri, T.; Maita, M.; Endo, M. Protective effects and mechanisms of a probiotic bacterium Lactobacillus rhamnosus against experimental Edwardsiella tarda infection in tilapia (Oreochromis niloticus). Vet. Immunol. Immunopathol. 2006, 113, 339–347. [Google Scholar] [CrossRef]
- Ahadu Shareef, T.; Divan Masood, M.; Navabshan, I.; Musthafa, M. Phytoconstituents profiling of indigenous herbal drugs and its in vitro microbial, in silico biological examination against Severe acute respiratory syndrome coronavirus 2. World J. Tradit. Chin. Med. 2024, 10, 121–136. [Google Scholar] [CrossRef]
- Buttó, L.F.; Haller, D. Dysbiosis in intestinal inflammation: Cause or consequence. Int. J. Med. Microbiol. IJMM 2016, 306, 302–309. [Google Scholar] [CrossRef] [PubMed]
- Potrykus, J.; White, R.L.; Bearne, S.L. Proteomic investigation of amino acid catabolism in the indigenous gut anaerobe Fusobacterium varium. Proteomics 2010, 8, 2691–2703. [Google Scholar] [CrossRef] [PubMed]
- Raza, B.; Zheng, Z.; Yang, W. A Review on Biofloc System Technology, History, Types, and Future Economical Perceptions in Aquaculture. Animals 2024, 14, 1489. [Google Scholar] [CrossRef]
- Paul, P.; Islam, M.S.; Hasanuzzaman, A.F.M. Water Quality, Nutritional, Hematological, and Growth Profiles of Ompok pabda Fish Fry Reared in Biofloc Technology and Traditional Culture System with Different Stocking Densities. Animals 2023, 14, 90. [Google Scholar] [CrossRef]



| Types of Fermented Herbs | Diameter of Inhibition Circle Before Fermentation (mm) | Diameter of Inhibition Circle After Fermentation (mm) | Types of Fermented Herbs | Diameter of Inhibition Circle Before Fermentation (mm) | Diameter of Inhibition Circle After Fermentation (mm) |
|---|---|---|---|---|---|
| Aspartame | 7.00 ± 0.10 A | 10.0 ± 0.00 B* | Herba japonica | / | 9.00 ± 0.50 A* |
| Dogwood | 7.50 ± 0.50 A | 11.0 ± 0.50 B* | Gallnut | 14.00 ± 0.50 B | 8.60 ± 1.40 A* |
| Garlic | 8.25 ± 1.25 A | 9.00 ± 0.00 A* | Wild chrysanthemum | / | 7.50 ± 0.50 A* |
| Schisandra chinensis | 11.05 ± 0.05 B | 9.00 ± 0.15 A* | Ligustrum | / | 8.00 ± 0.10 A* |
| Coptis | 18.00 ± 0.05 B | 18.00 ± 0.05 C | White atractylodes | / | 9.00 ± 0.50 A* |
| Corydalis herb | 8.00 ± 0.05 A | 7.00 ± 0.30 A* | Radix isatidis | / | 8.50 ± 0.50 A* |
| Forsythia | 8.50 ± 0.00 A | 7.00 ± 0.00 A* | Ginkgo leaf | / | 9.00 ± 0.50 A* |
| Polygonum cuspidatum | 7.25 ± 1.25 A | 8.50 ± 0.25 A* | Dandelion | / | 9.00 ± 0.50 A* |
| Purslane | 8.00 ± 0.05 A | 8.00 ± 0.15 A | Schizonepeta | / | 7.75 ± 0.25 A* |
| Catechu | 8.00 ± 0.00 A | 8.90 ± 0.10 A* | Angelica sinensis | / | 6.25 ± 0.05 A* |
| Green bark | 7.20 ± 0.20 A | 8.50 ± 0.50 A* | Eucommia ulmoides | / | 6.90 ± 0.10 A* |
| Anemarrhena | 11.00 ± 0.10 B | 8.50 ± 0.50 A* | Rhubarb | / | 7.15 ± 0.35 A* |
| Chinensis | 7.00 ± 0.20 A | 8.00 ± 0.15 A* | Red peony root | / | 7.00 ± 0.00 A* |
| Prunus chinensis | 8.50 ± 0.00 A | 7.25 ± 0.25 A* | Eucommia ulmoides leaf | / | 6.60 ± 0.40 A* |
| Sapwood | 8.20 ± 0.10 A | 8.20 ± 0.10 A | hawthorn | / | 7.00 ± 0.10 A* |
| Pulsatilla | 7.00 ± 0.10 A | 8.00 ± 0.50 A* | Rehmannia | / | 6.50 ± 0.50 A* |
| Myrobalan | / | 7.20 ± 0.50 A* | Licorice | 8.00 ± 0.00 A | 9.00 ± 0.00 A* |
| Wormwood leaf | / | 8.00 ± 0.00 A* | Sichuan dome | 7.50 ± 0.50 A | 8.50 ± 0.50 A* |
| Pomegranate peel | / | 6.50 ± 0.00 A* | honeysuckle | / | 8.50 ± 0.50 A* |
| Black plum | / | / | Green leaf | / | 7.50 ± 0.50 A* |
| Scutellaria | / | 7.80 ± 0.50 A* | Cocklebur seed | / | 8.00 ± 0.00 A* |
| Astragalus | / | 7.00 ± 0.10 A* | andrographitis | / | 7.05 ± 0.05 A* |
| Phellodendron | / | 7.60 ± 0.20 A* | Soybean meal and starch | / | 8.00 ± 0.00 A* |
| Types of Fermented Herbs | Diameter of Inhibition Circle Before Fermentation (mm) | Diameter of Inhibition Circle After Fermentation (mm) | Types of Fermented Herbs | Diameter of Inhibition Circle Before Fermentation (mm) | Diameter of Inhibition Circle After Fermentation (mm) |
|---|---|---|---|---|---|
| Aspartame | / | / | Herba japonica | / | / |
| Dogwood | / | / | Gallnut | 8.00 ± 0.35 B | 9.00 ± 0.45 B* |
| Garlic | / | / | Wild chrysanthemum | / | / |
| Schisandra chinensis | / | / | Ligustrum | / | / |
| Coptis | / | / | White atractylodes | / | / |
| Corydalis herb | / | / | Radix isatidis | / | / |
| Forsythia | / | / | Ginkgo leaf | / | / |
| Polygonum cuspidatum | / | / | Dandelion | / | / |
| Purslane | / | / | Schizonepeta | / | 8.00 ± 0.15 A* |
| Catechu | / | / | Angelica sinensis | / | 8.00 ± 0.25 A* |
| Green bark | / | 9.00 ± 0.25 B* | Eucommia ulmoides | / | 8.00 ± 0.35 A* |
| Anemarrhena | / | / | Rhubarb | / | 9.00 ± 0.30 B* |
| Chinensis | / | 9.00 ± 0.15 B* | Red peony root | / | 7.00 ± 0.15 A* |
| Prunus chinensis | / | 9.00 ± 0.30 B* | Eucommia ulmoides leaf | / | 7.00 ± 0.20 A* |
| Sapwood | / | 8.15 ± 0.15 A* | hawthorn | / | / |
| Pulsatilla | / | 8.50 ± 0.25 A* | Rehmannia | / | 7.00 ± 0.25 A* |
| Myrobalan | 6.5 ± 0.15 A | 8.50 ± 0.45 A* | Licorice | / | 9.00 ± 0.35 B* |
| Wormwood leaf | / | 8.50 ± 0.10 A* | Sichuan dome | / | / |
| Pomegranate peel | / | / | honeysuckle | / | / |
| Black plum | / | / | Green leaf | / | / |
| Scutellaria | / | 9.00 ± 0.30 B* | Cocklebur seed | / | / |
| Astragalus | / | / | Andrographitis | 6.50 ± 0.20 A | 7.00 ± 0.15 A* |
| Phellodendron | / | / | Soybean meal and starch | / | / |
| Types of Fermented Herbs | Diameter of Inhibition Circle Before Fermentation (mm) | Diameter of Inhibition Circle After Fermentation (mm) | Types of Fermented Herbs | Diameter of Inhibition Circle Before Fermentation (mm) | Diameter of Inhibition Circle After Fermentation (mm) |
|---|---|---|---|---|---|
| Aspartame | / | / | Herba japonica | / | / |
| Dogwood | / | / | Gallnut | 17.00 ± 0.00 B | 19.00 ± 0.00 A* |
| Garlic | / | / | Wild chrysanthemum | 7.50 ± 0.50 A | 7.50 ± 0.50 B* |
| Schisandra chinensis | / | / | Ligustrum | / | / |
| Coptis | / | / | White atractylodes | / | / |
| Corydalis herb | / | / | Radix isatidis | / | / |
| Forsythia | / | / | Ginkgo leaf | / | / |
| Polygonum cuspidatum | / | / | Dandelion | / | / |
| Purslane | / | / | Schizonepeta | / | / |
| Catechu | 7.00 ± 0.00 A | 7.00 ± 0.00 B* | Angelica sinensis | / | / |
| Green bark | / | / | Eucommia ulmoides | / | / |
| Anemarrhena | / | / | Rhubarb | / | / |
| Chinensis | / | / | Red peony root | / | / |
| Prunus chinensis | / | / | Eucommia ulmoides leaf | / | / |
| Sapwood | / | / | hawthorn | / | / |
| Pulsatilla | / | / | Rehmannia | / | / |
| Myrobalan | 16.50 ± 0.50 B | 14.50 ± 1.50 A* | Licorice | / | 7.50 ± 0.50 B* |
| Wormwood leaf | / | 7.00 ± 0.00 B* | Sichuan dome | / | 6.00 ± 0.00 B* |
| Pomegranate peel | / | / | honeysuckle | / | / |
| Black plum | / | / | Green leaf | / | / |
| Scutellaria | / | 8.50 ± 1.50 B* | Cocklebur seed | / | / |
| Astragalus | / | / | andrographitis | / | / |
| Phellodendron | / | / | Soybean meal and starch | / | / |
| Fermented Chinese Medicine Group (%) | Chinese Medicine Group (%) | Full Price Powder Group (%) | |
|---|---|---|---|
| Feed efficiency | 1.75 ± 0.03 b | 1.92 ± 0.07 a | 1.74 ± 0.03 b |
| WG (g) | 274.29 ± 3.6 a | 250.00 ± 4.3 b | 275.86 ± 3.4 a |
| WG (%) | 68.57 ± 0.72 a | 62.50 ± 0.85 b | 68.97 ± 0.69 a |
| FCR | 1.75 ± 0.02 a | 1.92 ± 0.03 b | 1.74 ± 0.02 a |
| FI (g) | 480.00 ± 0.4 a | 480.00 ± 0.4 a | 480.00 ± 0.4 a |
| SR (%) | 100 | 100 | 100 |
| Fermented Chinese Herbs Feed Group | The Control Group | Chinese Herbs Feed Group | |
|---|---|---|---|
| WBC (109/L) | 10.21 ± 0.05 b | 28.73 ± 0.42 a | 9.76 ± 0.14 b |
| RBC (1012/L) | 3.64 ± 0.31 c | 2.62 ± 0.37 a | 3.09 ± 0.22 b |
| Items | Fermented Chinese Medicine Group (%) | Chinese Medicine Group (%) | Basal Diet Group (%) |
|---|---|---|---|
| ALT (U/L) | 5.20 ± 0.15 b | 6.60 ± 0.33 b | 10.10 ± 0.24 a |
| AST (U/L) | 60.83 ± 0.44 c | 93.2 ± 0.45 b | 112.95 ± 3.44 a |
| UREA (mmol/L) | 0.92 ± 0.15 c | 1.23 ± 0.07 b | 2.62 ± 0.22 a |
| UA (μmol/L) | 44.00 ± 0.01 b | 50.40 ± 7.07 a | 50.50 ± 10.22 a |
| CREA (μmol/L) | 5.10 ± 0.03 b | 6.54 ± 0.07 a | 6.80 ± 0.12 a |
| TG (mmol/L) | 1.72 ± 0.02 b | 1.74 ± 0.15 b | 1.84 ± 0.11 a |
| GLU (mmol/L) | 5.22 ± 0.13 b | 5.70 ± 0.22 b | 4.24 ± 0.22 a |
| TCHO (mmol/L) | 8.55 ± 0.11 b | 5.24 ± 0.20 a | 5.60 ± 0.25 a |
| HDL-C (mmol/L) | 2.61 ± 0.14 b | 1.27 ± 0.07 a | 1.26 ± 0.06 a |
| LDL-C (mmol/L) | 5.28 ± 0.01 b | 3.68 ± 0.11 a | 3.53 ± 0.22 a |
| Items | Fermented Chinese Medicine Group | Chinese Medicine Group | Full Price Feed Group |
|---|---|---|---|
| LSM (U/mL) | 1033.22 ± 45.16 c | 817.32 ± 40.16 b | 533.1 ± 32.11 a |
| T-AOC (U/mL) | 3.54 ± 0.12 b | 3.29 ± 0.32 b | 2.30 ± 0.14 a |
| ACP (U/mL) | 1.84 ± 0.18 b | 1.84 ± 0.05 b | 1.88 ± 0.15 a |
| AKP (U/mL) | 4.49 ± 0.11 b | 4.33 ± 0.14 b | 5.55 ± 0.23 a |
| Group | Number of Experiment Turtles | Number of Surviving Turtles | Survival Rate |
|---|---|---|---|
| 10% fermented Chinese medicine feed group | 30 | 29 | 96.67% a |
| 10% unfermented Chinese medicine feed group | 30 | 20 | 66.67% b |
| Basal diet group | 30 | 10 | 33.33% c |
| Group | Number of Experiment Turtles | Number of Surviving Turtles | Survival Rate |
|---|---|---|---|
| 10% fermented Chinese medicine feed group | 30 | 27 | 90.00% a |
| 10% unfermented Chinese medicine feed group | 30 | 25 | 83.33% b |
| Basal diet group | 30 | 15 | 50.00% c |
| Group | Number of Experiment Turtles | Number of Surviving Turtles | Survival Rate |
|---|---|---|---|
| 10% fermented Chinese medicine feed group | 30 | 24 | 80.00% a |
| 10% unfermented Chinese medicine feed group | 30 | 17 | 56.66% b |
| Basal diet group | 30 | 6 | 20.00% c |
| Group | Number of Experiment Turtles | Number of Surviving Turtles | Survival Rate |
|---|---|---|---|
| 10% fermented Chinese medicine feed group | 30 | 19 | 63.33% a |
| 10% Chinese medicine feed group | 30 | 10 | 33.33% b |
| Basal diet group | 30 | 4 | 13.33% c |
Disclaimer/Publisher’s Note: The statements, opinions and data contained in all publications are solely those of the individual author(s) and contributor(s) and not of MDPI and/or the editor(s). MDPI and/or the editor(s) disclaim responsibility for any injury to people or property resulting from any ideas, methods, instructions or products referred to in the content. |
© 2026 by the authors. Licensee MDPI, Basel, Switzerland. This article is an open access article distributed under the terms and conditions of the Creative Commons Attribution (CC BY) license.
Share and Cite
Lu, C.; Cai, K.; Chen, X.; Wang, Z.; Chen, H.; Wu, P.; Guo, Z.; Feng, Y. Effects of Fermented Compound Chinese Herbal Feed on Gut Microbiota, Immune Response, and Disease Resistance in Chinese Soft-Shelled Turtle (Pelodiscus sinensis). Animals 2026, 16, 1054. https://doi.org/10.3390/ani16071054
Lu C, Cai K, Chen X, Wang Z, Chen H, Wu P, Guo Z, Feng Y. Effects of Fermented Compound Chinese Herbal Feed on Gut Microbiota, Immune Response, and Disease Resistance in Chinese Soft-Shelled Turtle (Pelodiscus sinensis). Animals. 2026; 16(7):1054. https://doi.org/10.3390/ani16071054
Chicago/Turabian StyleLu, Chenxi, Kangtao Cai, Xihua Chen, Zhen Wang, Huayou Chen, Ping Wu, Zhongjian Guo, and Yong Feng. 2026. "Effects of Fermented Compound Chinese Herbal Feed on Gut Microbiota, Immune Response, and Disease Resistance in Chinese Soft-Shelled Turtle (Pelodiscus sinensis)" Animals 16, no. 7: 1054. https://doi.org/10.3390/ani16071054
APA StyleLu, C., Cai, K., Chen, X., Wang, Z., Chen, H., Wu, P., Guo, Z., & Feng, Y. (2026). Effects of Fermented Compound Chinese Herbal Feed on Gut Microbiota, Immune Response, and Disease Resistance in Chinese Soft-Shelled Turtle (Pelodiscus sinensis). Animals, 16(7), 1054. https://doi.org/10.3390/ani16071054
