Sand Substrate Thickness Regulates Growth Performance, Intestinal Antioxidant Defense, and Gut Microbiota in an Experimental Culture of Marsupenaeus japonicus
Simple Summary
Abstract
1. Introduction
2. Material and Methods
2.1. Ethical Considerations
2.2. Animals Acquisition and Rearing Conditions
2.3. Culture System and Experimental Design
2.4. Collection of Samples
2.5. Basal Growth Index
2.6. Observations of Intestine Structure and Apoptosis
2.7. Analysis of Antioxidant Enzyme Activity
2.8. Gene Expression Analysis of Antioxidant Capacity and Energy (Carbohydrate, Lipid and Protein) Metabolism by Real-Time Quantitative PCR (qPCR)
2.9. Gut Microbiota Profiling
2.10. Statistical Analysis
3. Results
3.1. Growth Performance
3.2. Analysis of Oxidative Stress
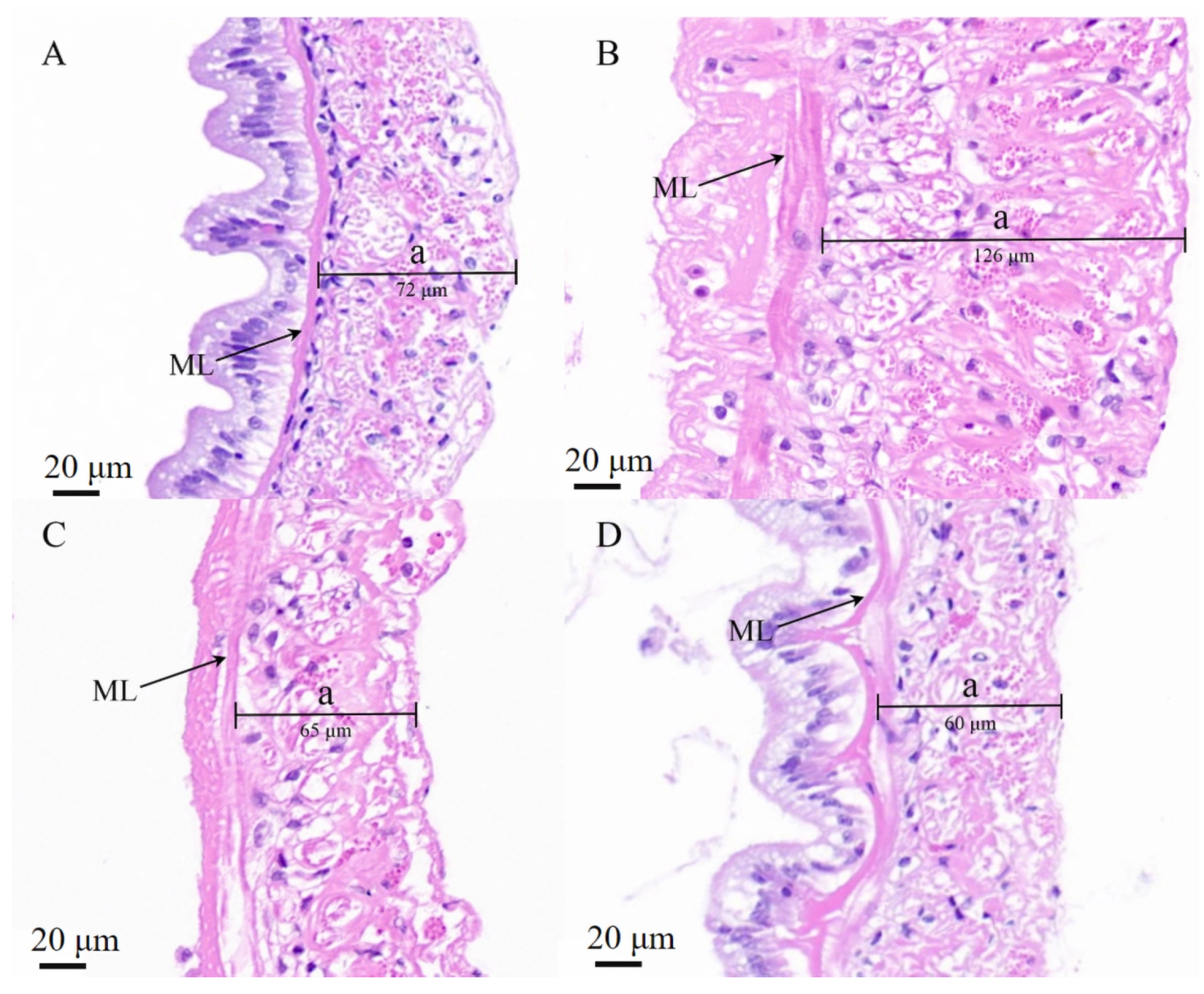
3.3. Changes of the Intestine Histological Structure of M. japonicus
3.4. Gut Microbiota
3.4.1. Diversity
3.4.2. Key Species Responsible for Differences in Gut Microbiota Across Sand Thicknesses
3.4.3. Effect of Sand Thickness on the Function of Gut Microbiota
4. Discussion
4.1. Effects of Different Sand Laying Thicknesses on the Shrimp Growth Performances
4.2. Effects of Different Sand Thicknesses on the Antioxidant Defense System
4.3. Effects of Different Sand Thicknesses on Apoptosis
4.4. Effects of Different Sand Thickness on the Intestinal Bacteria
5. Conclusions
Supplementary Materials
Author Contributions
Funding
Institutional Review Board Statement
Informed Consent Statement
Data Availability Statement
Conflicts of Interest
References
- Kawato, S.; Nishitsuji, K.; Arimoto, A.; Hisata, K.; Kawamitsu, M.; Nozaki, R.; Kondo, H.; Shinzato, C.; Ohira, T.; Satoh, N.; et al. Genome and transcriptome assemblies of the kuruma shrimp, Marsupenaeus japonicus. G3 2021, 11, jkab268. [Google Scholar] [CrossRef] [PubMed]
- Zhong, S.; Mao, Y.; Wang, J.; Liu, M.; Zhang, M.; Su, Y. Transcriptome analysis of Kuruma shrimp (Marsupenaeus japonicus) hepatopancreas in response to white spot syndrome virus (WSSV) under experimental infection. Fish Shellfish Immunol. 2017, 70, 710–719. [Google Scholar] [CrossRef] [PubMed]
- Ministry of Agriculture of the People’s Republic of China. China Agriculture Yearbook; China Agricultural Press: Beijing, China, 2025. [Google Scholar]
- Anand, P.S.; Aravind, R.; Balasubramanian, C.P.; Francis, B.; Rajan, R.V.; Vinay, T.N.; Kumar, S.; Sudheer, N.; Antony, J.; Rajamanickam, S.; et al. Reproductive and nursery performance of Kuruma shrimp Penaeus (Marsupenaeus) japonicus Form II: Effect of sandy bottom and light intensity in the rearing system. Aquac. Int. 2024, 32, 8009–8033. [Google Scholar] [CrossRef]
- Rajeev, R.; Adithya, K.K.; Kiran, G.S.; Selvin, J. Healthy microbiome: A key to successful and sustainable shrimp aquaculture. Rev. Aquac. 2021, 13, 238–258. [Google Scholar] [CrossRef]
- Capowiez, Y.; Bottinelli, N.; Sammartino, S.; Michel, E.; Jouquet, P. Morphological and functional characterisation of the burrow systems of six earthworm species (Lumbricidae). Biol. Fertil. Soils 2015, 51, 869–877. [Google Scholar] [CrossRef]
- Capowiez, Y.; Gilbert, F.; Vallat, A.; Poggiale, J.C.; Bonzom, J.M. Depth distribution of soil organic matter and burrowing activity of earthworms-mesocosm study using X-ray tomography and luminophores. Biol. Fertil. Soils 2021, 57, 337–346. [Google Scholar] [CrossRef]
- Zhao, J.; Liu, X.; Liao, X.; He, Z.; Chen, X.; Sun, C.; Ni, Z. Transcriptome analysis reveals the effects of sand substrate removal and body colour change of kuruma shrimp, Marsupenaeus japonicus. Aquac. Res. 2021, 52, 577–588. [Google Scholar] [CrossRef]
- Du, Y.; Song, A.; Chu, L.; Shan, H. The application of different bottom substrates in Penaeus japonicus culture: Impact on growth, environmental factors, the microbial community and the hepatopancreas transcriptome. Aquaculture 2025, 598, 742067. [Google Scholar] [CrossRef]
- Gao, Y.; Zhang, X.; Wei, J.; Sun, X.; Yuan, J.; Li, F.; Xiang, J. Whole transcriptome analysis provides insights into molecular mechanisms for molting in Litopenaeus vannamei. PLoS ONE 2015, 10, e0144350. [Google Scholar] [CrossRef]
- Zhao, K.; Jia, S.; Wang, J.; Bian, X.; Chen, S.; Li, J.; Liu, P.; Li, J.; Cai, Y.; Ren, X. Effects of sand substrate removal on the intestinal antioxidant and metabolism in Marsupenaeus japonicus. Fish Shellfish Immunol. 2024, 152, 109786. [Google Scholar] [CrossRef]
- Bradford, M.M. A rapid and sensitive method for the quantitation of microgram quantities of protein utilizing the principle of protein-dye binding. Anal. Biochem. 1976, 72, 248–254. [Google Scholar] [CrossRef] [PubMed]
- Zhang, X.; Li, M.; Tao, X.; Yang, Y.; Sun, P.; Jin, M.; Zhou, Q.; Jiao, L. Effects of dietary montmorillonite supplementation on the growth performance, antioxidant capacity, intestinal barrier and microbiota composition in Marsupenaeus japonicus. Aquaculture 2022, 557, 738330. [Google Scholar] [CrossRef]
- Livak, K.J.; Schmittgen, T.D. Analysis of relative gene expression data using real-time quantitative PCR and the 2−ΔΔCT method. Methods 2001, 25, 402–408. [Google Scholar] [CrossRef] [PubMed]
- Jee, J.H.; Koo, J.G.; Keum, Y.H.; Kang, J.S.; Park, K.H.; Kang, J.C. Effects of diet and sediment type on survival, growth and moulting of juvenile tiger crab, Orithyia sinica L. Aquac. Res. 2007, 38, 26–35. [Google Scholar] [CrossRef]
- Zhang, X.; Yuan, J.; Sun, Y.; Li, S.; Gao, Y.I.; Yu, Y.; Liu, C.; Wang, Q.; Lv, X.; Zhang, X.; et al. Penaeid shrimp genome provides insights into benthic adaptation and frequent molting. Nat. Commun. 2019, 10, 356. [Google Scholar] [CrossRef]
- Ding, L.; Yu, J.; Peng, X.; Yang, G.; Du, T.; Tang, Q.; Yi, S. Changes in molting frequency and expression patterns of molting-related genes in Macrobrachium rosenbergii with exogenous calcium supplement in water. Aquaculture 2024, 586, 740761. [Google Scholar] [CrossRef]
- Anand, P.S.; Balasubramanian, C.P.; Christina, L.; Kumar, S.; Biswas, G.; De, D.; Ghoshal, T.; Vijayan, K.K. Substrate based black tiger shrimp, Penaeus monodon culture: Stocking density, aeration and their effect on growth performance, water quality and periphyton development. Aquaculture 2019, 507, 411–418. [Google Scholar] [CrossRef]
- Türkmen, G. Pond Culture of Penaeus semisulcatus and Marsupenaeus japonicus (Decapoda, Penaeidae) on the West coast of Turkey. Turk. J. Fish. Aquat. Sci. 2007, 7, 7–11. [Google Scholar]
- Zheng, C.; Zhao, Q.; Li, E.; Zhao, D.; Sun, S. Role of hypoxia in the behaviour, physiology, immunity and response mechanisms of crustaceans: A review. Rev. Aquac. 2022, 14, 676–687. [Google Scholar] [CrossRef]
- Hu, X.; Ma, W.; Zhang, D.; Tian, Z.; Yang, Y.; Huang, Y.; Hong, Y. Application of natural antioxidants as feed additives in aquaculture: A review. Biology 2025, 14, 87. [Google Scholar] [CrossRef]
- Fan, J.; Li, B.; Hong, Q.; Yan, Z.; Yang, X.; Lu, K.; Chen, G.; Wang, L.; Chen, Y. A glutathione peroxidase gene from Litopenaeus vannamei is involved in oxidative stress responses and pathogen infection resistance. Int. J. Mol. Sci. 2022, 23, 567. [Google Scholar] [CrossRef] [PubMed]
- Siddique, Q.; Xie, X.; Yin, F. An integrated metabolomics and proteomics analysis reveals copper-zinc alloy surface contact-mediated metabolic disruption, lipid peroxidation, and osmotic imbalance of Cryptocaryon irritans tomonts. Aquaculture 2025, 595, 741713. [Google Scholar] [CrossRef]
- Demirci-Çekiç, S.; Özkan, G.; Avan, A.N.; Uzunboy, S.; Çapanoğlu, E.; Apak, R. Biomarkers of oxidative stress and antioxidant defense. J. Pharm. Biomed. 2022, 209, 114477. [Google Scholar] [CrossRef] [PubMed]
- Zdybicka-Barabas, A.; Stączek, S.; Kunat-Budzyńska, M.; Cytryńska, M. Innate Immunity in Insects: The Lights and Shadows of Phenoloxidase System Activation. Int. J. Mol. Sci. 2025, 26, 1320. [Google Scholar] [CrossRef]
- Xu, Y.; Xu, W.; Hu, X.; Su, H.; Wen, G.; Yang, K.; Cao, Y. Toxicity of the microcystin-producing cyanobacteria Microcystis aeruginosa to shrimp Litopenaeus vannamei. Ecotoxicology 2022, 31, 1403–1412. [Google Scholar] [CrossRef]
- Chen, Z.; Tayyab, M.; Yao, D.; Aweya, J.J.; Zheng, Z.; Zhao, X.; Lin, Z.; Zhang, Y. Cell death in crustacean immune defense. Rev. Aquacult. 2025, 17, e12976. [Google Scholar] [CrossRef]
- Ali, M.J.; Tao, Y.; Li, Y.; Sayouh, M.A.; Lu, S.; Qiang, J.; Xu, P. Modulation of chronic hypoxia on ovarian structure, oxidative stress, and apoptosis in female Nile Tilapia (Oreochromis niloticus). Aquaculture 2024, 590, 741081. [Google Scholar] [CrossRef]
- Zhao, M.; Yao, D.; Li, S.; Zhang, Y.; Aweya, J.J. Effects of ammonia on shrimp physiology and immunity: A review. Rev. Aquacult. 2025, 12, 2194–2211. [Google Scholar] [CrossRef]
- Wang, P.; Liu, H.; Zhao, S.; Yu, S.; Xie, S.; Hua, S.; Yan, B.; Xing, C.; Gao, H. Hypoxia stress affects the physiological responses, apoptosis and innate immunity of Kuruma shrimp, Marsupenaeus japonicus. Fish Shellfish Immunol. 2022, 122, 206–214. [Google Scholar] [CrossRef]
- Guo, J.; Chen, Y.; Zhang, Y.; Zhang, R.; Inaba, K.; Osato, T.; Zhao, X.; Han, Y.; Ren, T. Oxygen nanobubble-induced hyperoxia: Effects on growth, digestive enzyme activity, intestinal morphology, and biochemical parameters in kuruma prawn (Penaeus japonicus). Aquac. Rep. 2025, 43, 102882. [Google Scholar] [CrossRef]
- Chen, H.; Pan, J.; Wang, Y.; Qiao, Y.; Han, F.; Xu, C.; Farhadi, A.; Li, E. Growth, health status and gut microbiota of the scalloped spiny lobster (Panulirus homarus) at different salinities. Aquaculture 2023, 562, 738779. [Google Scholar] [CrossRef]
- Medina-Félix, D.; Garibay-Valdez, E.; Vargas-Albores, F.; Martínez-Porchas, M. Fish disease and intestinal microbiota: A close and indivisible relationship. Rev. Aquac. 2022, 15, 820–839. [Google Scholar] [CrossRef]
- Lynn, D.J.; Benson, S.C.; Lynn, M.A.; Pulendran, B. Modulation of immune responses to vaccination by the microbiota: Implications and potential mechanisms. Nat. Rev. Immunol. 2022, 22, 33–46. [Google Scholar] [CrossRef] [PubMed]
- Chen, W.; Zhang, S.; Sun, Y.; Tian, B.; Song, L.; Xu, Y.; Liu, T. Effects of substrate on the physiological characteristics and intestinal microbiota of Echiura worm (Urechis unicinctus) juveniles. Aquaculture 2021, 530, 735710. [Google Scholar] [CrossRef]
- Sun, S.; Yang, M.; Fu, H.; Ge, X.; Zou, J. Altered intestinal microbiota induced by chronic hypoxia drives the effects on lipid metabolism and the immune response of oriental river prawn Macrobrachium nipponense. Aquaculture 2020, 526, 735431. [Google Scholar] [CrossRef]
- Sha, H.; Lu, J.; Chen, J.; Xiong, J. A meta-analysis study of the robustness and universality of gut microbiota–shrimp diseases relationship. Environ. Microbiol. 2022, 24, 3924–3938. [Google Scholar] [CrossRef]
- Gao, C.H.; Zhang, S.; Wei, M.Y.; Ding, Q.S.; Ma, D.N.; Li, J.; Wen, C.; Li, H.; Zhao, Z.-Z.; Wang, C.-H.; et al. Effects of shrimp pond effluent on functional traits and functional diversity of mangroves in Zhangjiang Estuary. Environ. Pollut. 2022, 297, 118762. [Google Scholar] [CrossRef]
- Zhou, L.; Qu, Y.; Qin, J.G.; Chen, L.; Han, F.; Li, E. Deep insight into bacterial community characterization and relationship in the pond water, sediment and the gut of shrimp (Penaeus japonicus). Aquaculture 2021, 539, 736658. [Google Scholar] [CrossRef]
- Song, M.; Pan, L.; Zhang, M.; Huang, F.; Gao, S.; Tian, C. Changes of water, sediment, and intestinal bacterial communities in Penaeus japonicus cultivation and their impacts on shrimp physiological health. Aquac. Int. 2020, 28, 1847–1865. [Google Scholar] [CrossRef]
- Cornejo-Granados, F.; Lopez-Zavala, A.A.; Gallardo-Becerra, L.; Mendoza-Vargas, A.; Sánchez, F.; Vichido, R.; Brieba, L.G.; Viana, M.T.; Sotelo-Mundo, R.R.; Ochoa-Leyva, A. Microbiome of Pacific Whiteleg shrimp reveals differential bacterial community composition between Wild, Aquacultured and AHPND/EMS outbreak conditions. Sci. Rep. 2017, 7, 11783. [Google Scholar] [CrossRef]
- Sun, Y.; Han, W.; Liu, J.; Huang, X.; Zhou, W.; Zhang, J.; Cheng, Y. Bacterial community compositions of crab intestine, surrounding water, and sediment in two different feeding modes of Eriocheir sinensis. Sci. Rep. 2020, 16, 100236. [Google Scholar] [CrossRef]
- Duan, Y.; Wang, Y.; Liu, Q.; Dong, H.; Li, H.; Xiong, D.; Zhang, J. Changes in the intestine microbial, digestion and immunity of Litopenaeus vannamei in response to dietary resistant starch. Sci. Rep. 2019, 9, 6464. [Google Scholar] [CrossRef] [PubMed]
- Tao, J.H.; Duan, J.A.; Jiang, S.; Feng, N.N.; Qiu, W.Q.; Ling, Y. Polysaccharides from Chrysanthemum morifolium Ramat ameliorate colitis rats by modulating the intestinal microbiota community. Oncotarget 2017, 8, 80790–80803. [Google Scholar] [CrossRef] [PubMed]
- Kesarcodi-Watson, A.; Kaspar, H.; Lategan, M.J.; Gibson, L. Probiotics in aquaculture: The need, principles and mechanisms of action and screening processes. Aquaculture 2008, 274, 1–14. [Google Scholar] [CrossRef]
- Fan, L.; Li, Q.X. Characteristics of intestinal microbiota in the Pacific white shrimp Litopenaeus vannamei differing growth performances in the marine cultured environment. Aquaculture 2019, 505, 450–461. [Google Scholar] [CrossRef]
- Fan, L.; Wang, Z.; Chen, M.; Qu, Y.; Li, J.; Zhou, A.; Xie, S.; Zeng, F.; Zou, J. Microbiota comparison of Pacific white shrimp intestine and sediment at freshwater and marine cultured environment. Sci. Total Environ. 2019, 657, 1194–1204. [Google Scholar] [CrossRef]
- Gouife, M.; Chen, S.; Huang, K.; Nawaz, M.; Jin, S.; Ma, R.; Wang, Y.; Xue, L.; Xie, J. Photobacterium damselae subsp. damselae in mariculture. Aquac. Int. 2022, 30, 1453–1480. [Google Scholar] [CrossRef]
- Zhu, T.; Xu, L.; Yang, L.; Zhao, P.; Zhu, X.; Wu, Z.; Song, Z. Microbiologically influenced corrosion inhibition of carbon steel by a novel bacterium, Photobacterium sp., in simulated marine environment. Environ. Res. 2025, 264, 120298. [Google Scholar]
- Dai, W.; Yu, W.; Xuan, L.; Tao, Z.; Xiong, J. Integrating molecular and ecological approaches to identify potential polymicrobial pathogens over a shrimp disease progression. Appl. Microbiol. Biotechnol. 2018, 102, 3755–3764. [Google Scholar] [CrossRef]
- Xiong, J.; Wang, K.; Wu, J.; Qiuqian, L.; Yang, K.; Qian, Y.; Zhang, D. Changes in intestinal bacterial communities are closely associated with shrimp disease severity. Appl. Microbiol. Biotechnol. 2015, 99, 6911–6919. [Google Scholar] [CrossRef]
- Li, H.; Gu, S.; Wang, L.; Shi, W.; Jiang, Q.; Wan, X. Dynamic changes of environment and gut microbial community of Litopenaeus vannamei in greenhouse farming and potential mechanism of gut microbial community construction. Fishes 2024, 9, 155. [Google Scholar] [CrossRef]
- Wan, R.; Zhang, C.; Tang, Y.; Zhu, J.; Yang, N.; Su, S. Effects of Different Sources of Culture Substrate on the Growth and Immune Performance of the Red Swamp Crayfish (Procambarus clarkii). Int. J. Mol. Sci. 2023, 24, 14098. [Google Scholar] [CrossRef]





| Gene Name | Forward Primer (5′-3′) | Reverse Primer (5′-3′) | Amplification Efficiencies (%) |
|---|---|---|---|
| SOD | TCAATCCTCTCCCACACA | CACAGACAGGCAGAGCAGT | 96 |
| CAT | GCCTCAGGAGAACGTTGTTG | TGAGCTTGTCTGAGAGTGGG | 92 |
| Hsp70 | ACAAGTCCATCAACCCCGAT | GGTGAAGGTCTGAGTCTGCT | 90 |
| Lzm | CAGTAGTGGCTGTGTCATGC | AGGTATGCACGGACAGTCTC | 110 |
| Caspase-3 | CTCTCACGACGCCTACAT | TTCCCTGTTGTTCCTGTTT | 97 |
| β-actin | TCCACGAGACCACATACAAC | CACTTCCTGAACGATTGA | 100 |
| Growth Indicators (%) | Control | LG | MG | TG |
|---|---|---|---|---|
| 30 d Length growth rate | 61.11 ± 0.82 a | 86.90 ± 1.74 b | 95.69 ± 2.42 c | 91.29 ± 2.27 bc |
| 60 d Length growth rate | 128.94 ± 2.95 a | 155.08 ± 4.31 b | 155.16 ± 3.10 b | 160.18 ± 0.76 b |
| 90 d Length growth rate | 184.98 ± 1.15 a | 197.02 ± 1.25 b | 204.98 ± 1.18 c | 203.17 ± 0.88 c |
| 120 d Length growth rate | 216.05 ± 2.54 a | 227.17 ± 0.96 b | 237.31 ± 0.56 c | 237.48 ± 3.34 c |
| 30 d Weight gain rate | 381.36 ± 14.70 a | 633.51 ± 47.90 b | 802.69 ± 14.95 c | 718.64 ± 19.77 d |
| 60 d Weight gain rate | 1308.96 ± 13.69 a | 1836.92 ± 108.47 b | 1910.57 ± 67.67 bc | 2030.82 ± 33.45 c |
| 90 d Weight gain rate | 2205.56 ± 52.46 a | 3448.03 ± 191.60 b | 3832.80 ± 85.41 c | 3607.89 ± 124.69 bc |
| 120 d Weight gain rate | 4534.59 ± 60.57 a | 4772.76 ± 59.81 b | 5148.21 ± 18.50 c | 5318.46 ± 114.30 c |
| 30 d Specific growth rate | 5.31 ± 0.01 a | 6.64 ± 0.22 b | 7.33 ± 0.06 c | 7.05 ± 0.008 c |
| 60 d Specific growth rate | 4.41 ± 0.02 a | 4.94 ± 0.09 b | 5.00 ± 0.06 b | 5.10 ± 0.03 b |
| 90 d Specific growth rate | 3.49 ± 0.03 a | 3.96 ± 0.06 b | 4.08 ± 0.02 c | 4.01 ± 0.04 bc |
| 120 d Specific growth rate | 3.20 ± 0.01 a | 3.24 ± 0.01 b | 3.30 ± 0.003 c | 3.33 ± 0.02 c |
| Survival rate | 20.57 ± 2.63 a | 78.54 ± 1.26 b | 85.71 ± 0.91 c | 87.32 ± 0.56 c |
| Parameters (%) | Control | LG | MG | TG |
|---|---|---|---|---|
| 60 d T-AOC activity | 1.71 ± 0.02 a | 1.71 ± 0.03 a | 1.56 ± 0.04 b | 1.28 ± 0.03 c |
| 90 d T-AOC activity | 0.42 ± 0.03 a | 0.67 ± 0.02 b | 0.53 ± 0.03 c | 0.68 ± 0.02 b |
| 120 d T-AOC activity | 0.41 ± 0.01 a | 0.38 ± 0.02 b | 0.45 ± 0.008 c | 0.46 ± 0.008 c |
| 60 d SOD activity | 29.52 ± 0.48 a | 25.04 ± 0.35 b | 23.31 ± 0.68 c | 27.05 ± 3.38 d |
| 90 d SOD activity | 43.44 ± 0.44 a | 32.37 ± 0.40 b | 34.42 ± 0.49 c | 33.48 ± 0.60 d |
| 120 d SOD activity | 30.24 ± 0.48 a | 29.55 ± 0.98 ab | 28.11 ± 0.39 c | 28.61 ± 0.25 bc |
| 60 d CAT activity | 0.22 ± 0.007 a | 0.09 ± 0.007 b | 0.16 ± 0.006 c | 0.17 ± 0.004 c |
| 90 d CAT activity | 0.25 ± 0.007 a | 0.21 ± 0.005 b | 0.29 ± 0.004 c | 0.32 ± 0.005 d |
| 120 d CAT activity | 0.27 ± 0.007 a | 0.15 ± 0.002 b | 0.26 ± 0.009 a | 0.31 ± 0.004 c |
| 60 d GSH content | 29.47 ± 0.73 a | 31.42 ± 0.57 b | 25.76 ± 1.15 c | 27.88 ± 0.83 a |
| 90 d GSH content | 16.62 ± 0.72 a | 21.46 ± 0.97 b | 31.46 ± 0.67 c | 22.15 ± 0.97 b |
| 120 d GSH content | 24.37 ± 0.94 a | 22.01 ± 1.09 b | 41.22 ± 0.75 c | 52.36 ± 0.90 d |
| 60 d GSH-PX activity | 34.92 ± 0.58 a | 37.17 ± 0.71 b | 38.11 ± 1.01 b | 35.62 ± 0.41 a |
| 90 d GSH-PX activity | 18.12 ± 0.95 a | 34.99 ± 0.87 b | 33.92 ± 0.71 b | 45.93 ± 0.34 c |
| 120 d GSH-PX activity | 13.21 ± 0.73 a | 19.42 ± 0.62 b | 8.51 ± 0.66 c | 14.61 ± 1.03 a |
| 60 d MDA content | 1.75 ± 0.03 a | 1.76 ± 0.03 a | 1.70 ± 0.04 b | 1.39 ± 0.02 c |
| 90 d MDA content | 0.39 ± 0.05 a | 0.50 ± 0.03 b | 0.79 ± 0.03 c | 0.57 ± 0.04 d |
| 120 d MDA content | 0.46 ± 0.02 a | 0.41 ± 0.02 b | 0.32 ± 0.02 c | 0.37 ± 0.03 b |
| Groups | Shannon Index | Simpson Index | ACE Index | Chao Index |
|---|---|---|---|---|
| Control | 4.05 ± 0.16 a | 0.07 ± 0.002 a | 417.18 ± 13.30 a | 419.68 ± 14.99 a |
| LG | 4.38 ± 0.18 b | 0.05 ± 0.002 b | 546.56 ± 14.99 b | 546.81 ± 12.66 b |
| MG | 3.99 ± 0.15 a | 0.09 ± 0.003 c | 441.81 ± 18.32 c | 442.39 ± 17.46 c |
| TG | 4.37 ± 0.12 b | 0.04 ± 0.003 d | 512.59 ± 18.14 d | 513.96 ± 17.15 d |
Disclaimer/Publisher’s Note: The statements, opinions and data contained in all publications are solely those of the individual author(s) and contributor(s) and not of MDPI and/or the editor(s). MDPI and/or the editor(s) disclaim responsibility for any injury to people or property resulting from any ideas, methods, instructions or products referred to in the content. |
© 2026 by the authors. Licensee MDPI, Basel, Switzerland. This article is an open access article distributed under the terms and conditions of the Creative Commons Attribution (CC BY) license.
Share and Cite
Ren, X.; Zhao, K.; Bian, X.; Jia, S.; Liu, P.; Li, J.; Cai, Y.; Li, J. Sand Substrate Thickness Regulates Growth Performance, Intestinal Antioxidant Defense, and Gut Microbiota in an Experimental Culture of Marsupenaeus japonicus. Animals 2026, 16, 586. https://doi.org/10.3390/ani16040586
Ren X, Zhao K, Bian X, Jia S, Liu P, Li J, Cai Y, Li J. Sand Substrate Thickness Regulates Growth Performance, Intestinal Antioxidant Defense, and Gut Microbiota in an Experimental Culture of Marsupenaeus japonicus. Animals. 2026; 16(4):586. https://doi.org/10.3390/ani16040586
Chicago/Turabian StyleRen, Xianyun, Kuangcheng Zhao, Xueqiong Bian, Shaoting Jia, Ping Liu, Jian Li, Yuefeng Cai, and Jitao Li. 2026. "Sand Substrate Thickness Regulates Growth Performance, Intestinal Antioxidant Defense, and Gut Microbiota in an Experimental Culture of Marsupenaeus japonicus" Animals 16, no. 4: 586. https://doi.org/10.3390/ani16040586
APA StyleRen, X., Zhao, K., Bian, X., Jia, S., Liu, P., Li, J., Cai, Y., & Li, J. (2026). Sand Substrate Thickness Regulates Growth Performance, Intestinal Antioxidant Defense, and Gut Microbiota in an Experimental Culture of Marsupenaeus japonicus. Animals, 16(4), 586. https://doi.org/10.3390/ani16040586

