Osteoma in a Domestic Goose: Radiological and Histopathological Evaluation
Simple Summary
Abstract
1. Introduction
2. Materials and Methods
3. Results
3.1. Results of Radiological Examination
3.2. Results of Macroscopic Examination
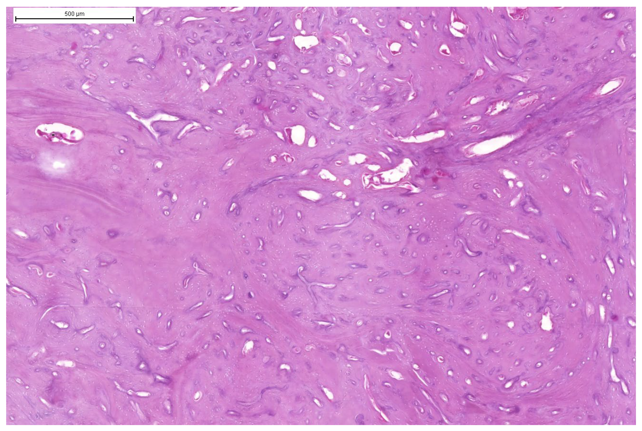
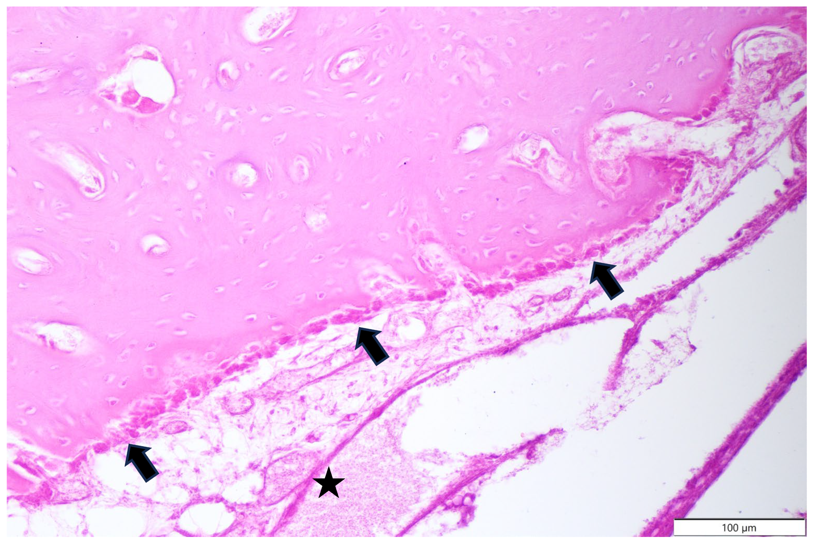
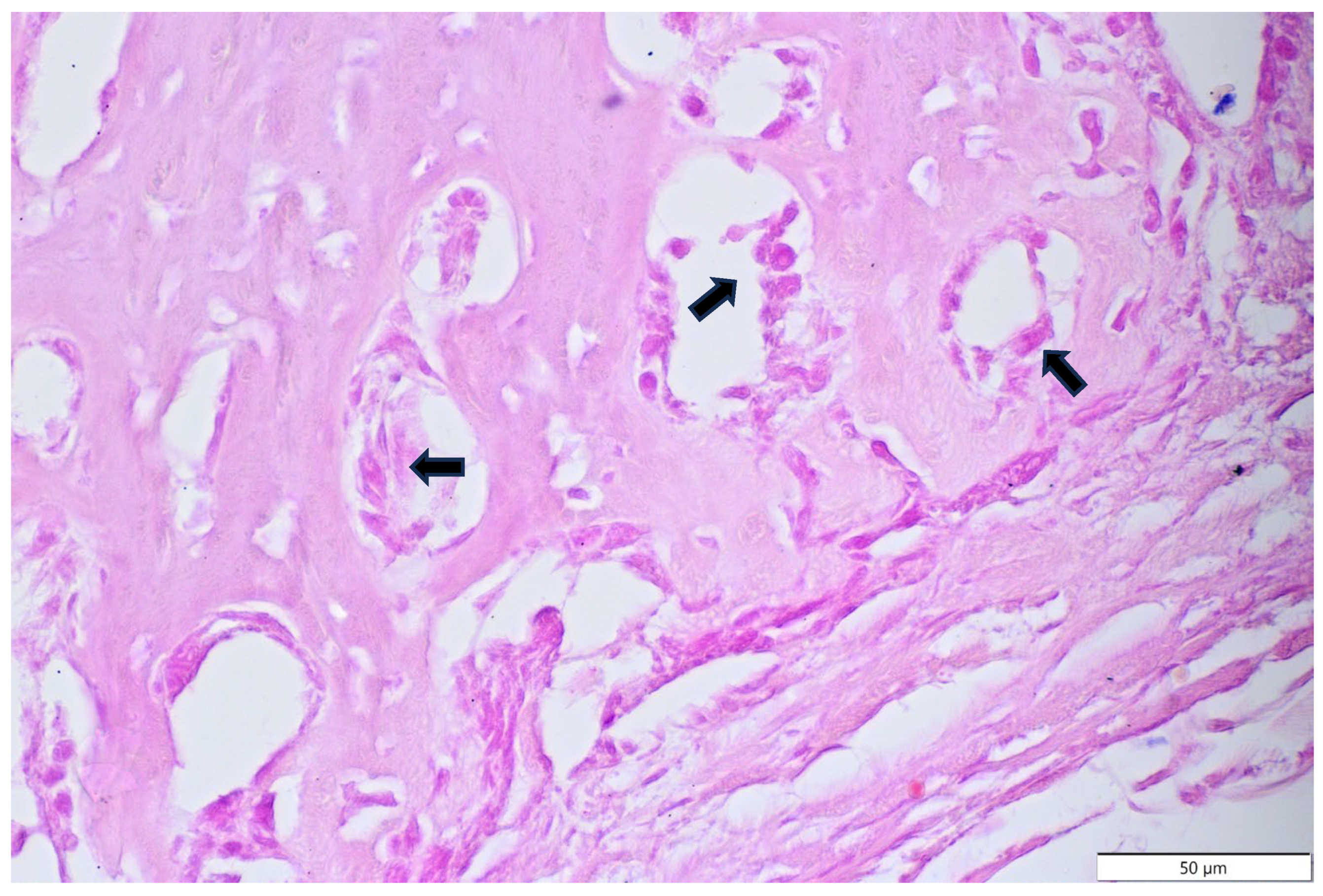
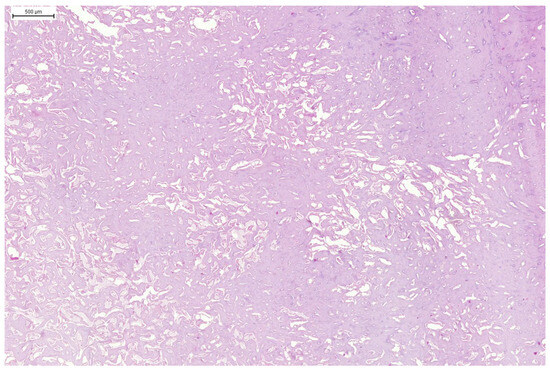
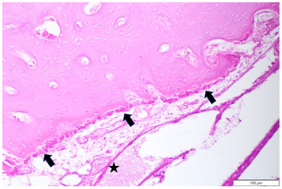
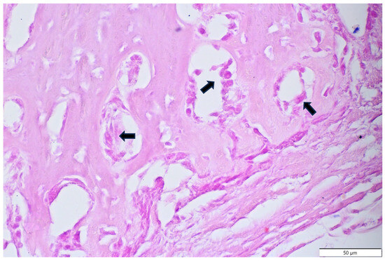
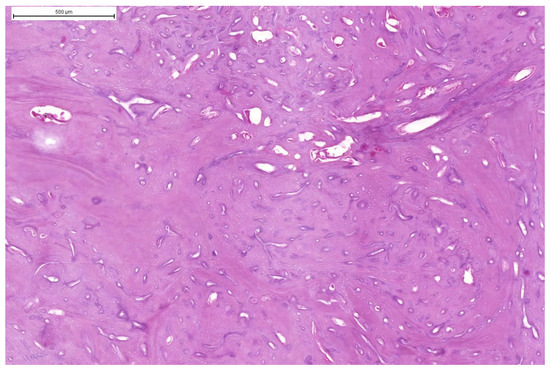
3.3. Results of Microscopic Examination
4. Discussion
5. Conclusions
Author Contributions
Funding
Institutional Review Board Statement
Informed Consent Statement
Data Availability Statement
Conflicts of Interest
References
- Sánchez-Godoy, F.; Ledesma-Ramírez, I.; Morales-Salina, E. A retrospective study of neoplasms in ornamental and pet birds diagnosed at the Hospital de Aves of the Universidad Nacional Autónoma de México (2007–2014). Braz. J. Vet. Pathol. 2020, 13, 1–11. [Google Scholar] [CrossRef]
- Cagnini, D.Q.; do Carmo Moraes, W.K.; Dias, M.C.; Bonfim, L.S.; Franca, F.M.; Regalin, D. Osteoma in Agapornis roseicollis. Acta Vet. Bras. 2022, 16, 342–345. [Google Scholar] [CrossRef]
- Pinzón-Osorio, C.A.; Gomez, A.P.; Alvarez-Mira, D.M. Bilateral osteoma cutis in a Peach-Faced Lovebird (Agapornis roseicollis). J. Vet. Med. Sci. 2020, 82, 536–540. [Google Scholar] [CrossRef] [PubMed]
- Cardoso, J.F.R.; Levy, M.G.B.; Liparisi, F.; Romao, M.A.P. Osteoma in a blue-fronted amazon parrot (Amazona aestiva). J. Avian Med. Surg. 2013, 27, 218–221. [Google Scholar] [CrossRef] [PubMed]
- Barbosa, L.; Tom, D.; Han, S. Successful resection of an osteoma in a great horned owl (Bubo virginianus) with subsequent lack of reginal feather regrowth. Vet. Rec. Case Rep. 2019, 7, e000887. [Google Scholar] [CrossRef]
- Hahn, K.A.; Jones, M.P.; Petersen, M.G.; Patterson, M.M. Clinical and pathological characterization of an osteoma in a barred owl. Avian Pathol. 1998, 27, 306–308. [Google Scholar] [CrossRef] [PubMed]
- Javdani, M.; Hashemnia, M.; Nikousefat, Z.; Ghasemi, M. Extraskeletal osteoma in a canary (Serinus canaria). Vet. Res. Forum 2017, 8, 265–268. [Google Scholar] [PubMed]
- Reece, R.L. Some observations on naturally occurring neoplasms in domestic fowl in the state of Victoria, Australia. Avian Pathol. 1996, 25, 407–447. [Google Scholar] [CrossRef] [PubMed][Green Version]
- Campbell, J.G.; Appleby, E.C. Tumours in young chickens bred for rapid body growth (broiler chickens): A study of 351 cases. J. Pathol. Bacteriol. 1966, 92, 77–90. [Google Scholar] [CrossRef]
- Reece, R.L. Observations on naturally occurring neoplasms in birds in the state of Victoria, Australia. Avian Pathol. 1992, 2, 3–32. [Google Scholar] [CrossRef]
- Cowan, M.L.; Yang, P.J.; Monks, D.J.; Raidal, S.R. Suspected Osteoma in an Eclectus Parrot (Eclectus roratus roratus). J. Avian Med. Surg. 2011, 25, 281–285. [Google Scholar] [CrossRef] [PubMed]
- Siller, W.G. An osteogenic sarcoma in the fowl. Br. J. Cancer 1959, 13, 642–646. [Google Scholar] [PubMed]
- Dittmer, K.E.; French, A.F.; Thompson, D.J.; Buckle, K.N.; Thompson, K.G. Primary bone tumors in birds: A review and description of two new cases. Avian Dis. 2012, 56, 422–426. [Google Scholar] [CrossRef] [PubMed]
- Mawdesley-Thomas, L.E.; Solden, D.H. Osteogenic sarcoma in a domestic goose (Anser anser). Avian Dis. 1967, 11, 365–370. [Google Scholar] [PubMed]
- Thompson, K.G.; Dittmer, K.E. Tumors of bone. In Tumors in Domestic Animals, 5th ed.; Meuten, D.J., Ed.; Wiley & Sons: Hoboken, NJ, USA, 2017; pp. 356–424. [Google Scholar]
- Kiupel, M. Surgical Pathology of Tumors of Domestic Animals. Volume 4: Tumors of Bone, Cartilage and Other Hard Tissues; Davis-Thompson DVM Foundation: Gurnee, IL, USA, 2021; pp. 89–91. [Google Scholar]











Disclaimer/Publisher’s Note: The statements, opinions and data contained in all publications are solely those of the individual author(s) and contributor(s) and not of MDPI and/or the editor(s). MDPI and/or the editor(s) disclaim responsibility for any injury to people or property resulting from any ideas, methods, instructions or products referred to in the content. |
© 2025 by the authors. Licensee MDPI, Basel, Switzerland. This article is an open access article distributed under the terms and conditions of the Creative Commons Attribution (CC BY) license (https://creativecommons.org/licenses/by/4.0/).
Share and Cite
Gesek, M.; Michniewicz, A.; Łukaszuk, E. Osteoma in a Domestic Goose: Radiological and Histopathological Evaluation. Animals 2025, 15, 942. https://doi.org/10.3390/ani15070942
Gesek M, Michniewicz A, Łukaszuk E. Osteoma in a Domestic Goose: Radiological and Histopathological Evaluation. Animals. 2025; 15(7):942. https://doi.org/10.3390/ani15070942
Chicago/Turabian StyleGesek, Michał, Adrianna Michniewicz, and Ewa Łukaszuk. 2025. "Osteoma in a Domestic Goose: Radiological and Histopathological Evaluation" Animals 15, no. 7: 942. https://doi.org/10.3390/ani15070942
APA StyleGesek, M., Michniewicz, A., & Łukaszuk, E. (2025). Osteoma in a Domestic Goose: Radiological and Histopathological Evaluation. Animals, 15(7), 942. https://doi.org/10.3390/ani15070942

