Postmortem Findings in Free-Ranging North American Beavers (Castor canadensis) Reveal Potential Threats to California’s Freshwater Ecosystems
Simple Summary
Abstract
1. Introduction
2. Materials and Methods
2.1. Study Design
2.2. Demographic Data and Clinical Information
2.3. Postmortem Examination
2.4. Histology
2.5. Immunohistochemistry
2.6. Virology
2.7. Bacteriology
2.8. Parasitology
2.9. Molecular Analysis
3. Results
3.1. Animals and Clinical Information
3.2. Mortality and Pathological Features
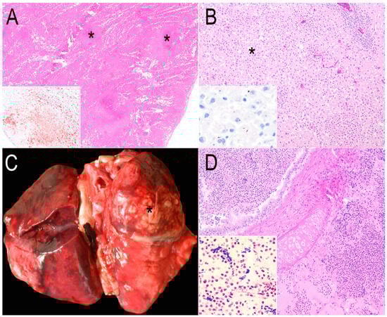
3.2.1. Baylisascariasis or Baylisascaris spp.-Suspected Encephalitis
3.2.2. Bacterial Infections
- Tularemia
- Listeria monocytogenes encephalitis
- Staphylococcus aureus bronchopneumonia
- Bacterial bronchopneumonia
- Bacterial encephalitis
- Bacterial myofascitis
3.2.3. Non-Infectious Causes
- Cutaneous squamous cell carcinoma
- Trauma
- Capture cardiomyopathy
3.3. Comorbidities
4. Discussion
5. Conclusions
Supplementary Materials
Author Contributions
Funding
Institutional Review Board Statement
Informed Consent Statement
Data Availability Statement
Acknowledgments
Conflicts of Interest
References
- Wetzel, R.G. Freshwater ecosystems. In Encyclopedia of Biodiversity; Levin, S.A., Ed.; Elsevier: New York, NY, USA, 2001; pp. 560–569. [Google Scholar]
- Naiman, R.J.; Turner, M.G. A future perspective of North America’s freshwater ecosystems. Ecol. Appl. 2000, 10, 958–970. [Google Scholar] [CrossRef]
- Derne, B.T.; Weinstein, P.; Lau, C.L. Wetlands as sites of exposure to water-borne infectious diseases. In Wetlands and Human Health; Finlayson, C.M., Horwitz, P., Weinstein, P., Eds.; Springer: New York, NY, USA, 2015; pp. 45–74. [Google Scholar]
- Poulin, R.; Paterson, R.A.; Townsend, C.R.; Tompkins, D.M.; Kelly, D.W. Biological invasions and the dynamics of endemic diseases in freshwater ecosystems. Freshw. Biol. 2011, 56, 676–688. [Google Scholar] [CrossRef]
- Finlayson, C.M.; Horwitz, P.; Weinstein, P. (Eds.) A synthesis: Wetlands as settings for human health. In Wetlands and Human Health; Springer: New York, NY, USA, 2015; pp. 251–263. [Google Scholar]
- Dodds, W.K. (Ed.) Animals. In Freshwater Ecology; Elsevier: New York, NY, USA, 2002; pp. 152–180. [Google Scholar]
- Peterson, E.K.; Schulte, B.A. Impacts of pollutants on beavers and otters with implications for ecosystem ramifications. J. Contemp. Water Res. Educ. 2016, 157, 33–45. [Google Scholar] [CrossRef]
- Johnston, C.A. Beavers: Boreal Ecosystem Engineers, 1st ed.; Springer: New York, NY, USA, 2017. [Google Scholar]
- Brazier, R.E.; Puttock, A.; Graham, H.A.; Auster, R.E.; Davies, K.H.; Brown, C.M.L. Beaver: Nature’s ecosystem engineers. WIREs Water 2021, 8, e1494. [Google Scholar] [CrossRef] [PubMed]
- Johnson-Bice, S.M.; Gable, T.D.; Windels, S.K.; Host, G.E. Relics of beaver past: Time and population density drive scale-dependent patterns of ecosystem engineering. Ecography 2022, 2022, e05814. [Google Scholar] [CrossRef]
- Gabriele-Rivet, V.; Ogden, N.; Massé, A.; Antonation, K.; Corbett, C.; Dibernardo, A.; Lindsay, L.R.; Leighton, P.A.; Arsenault, J. Eco-epizootiologic study of Francisella tularensis, the agent of tularemia, in Québec wildlife. J. Wildl. Dis. 2016, 52, 217–229. [Google Scholar] [CrossRef] [PubMed]
- Hacking, M.A.; Sileo, L. Yersinia enterocolitica and Yersinia pseudotuberculosis from wildlife in Ontario. J. Wildl. Dis. 1974, 10, 452–457. [Google Scholar] [CrossRef] [PubMed][Green Version]
- Gaydos, J.K.; Zabek, E.; Raverty, S. Yersinia pseudotuberculosis septicemia in a beaver from Washington State. J. Wildl. Dis. 2009, 45, 1182–1186. [Google Scholar] [CrossRef][Green Version]
- Fayer, R.; Santín, M.; Trout, J.M.; DeStefano, S.; Koenen, K.; Kaur, T. Prevalence of microsporidia, Cryptosporidium spp., and Giardia spp. in beavers (Castor canadensis) in Massachusetts. J. Wildl. Dis. 2006, 37, 492–497. [Google Scholar] [CrossRef]
- Roug, A.; Doden, E.; Griffin, T.; Young, J.; Walden, X.; Norman, N.; Budy, P.; Van Wettere, A.J. Health screening of American beavers (Castor canadensis) in Utah, USA. J. Wildl. Dis. 2022, 58, 902–908. [Google Scholar] [CrossRef] [PubMed]
- French, S.K.; Pearl, D.L.; Stevens, B.; Peregrine, A.S.; Jardine, C.M. Morbidity and mortality in Ontario rodents and lagomorphs: A 30-year retrospective review. J. Wildl. Dis. 2021, 57, 874–883. [Google Scholar] [CrossRef] [PubMed]
- Morgan, S.M.D.; Pouliott, C.E.; Rudd, R.J.; Davis, A.D. Antigen detection, rabies virus isolation, and q-PCR in the quantification of viral load in natural infection of the North American beaver (Castor canadensis). J. Wildl. Dis. 2015, 51, 287–289. [Google Scholar] [CrossRef]
- Nolet, B.A.; Dijkstra, V.A.A.; Heideckie, D. Cadmium in beavers translocated from the Elbe River to the Rhine/Meuse estuary, and the possible effect on population growth rate. Arch. Environ. Contam. Toxicol. 1994, 27, 154–161. [Google Scholar] [CrossRef] [PubMed]
- Giżejewska, A.; Spodniewska, A.; Barski, D. Concentration of lead, cadmium, and mercury in tissues of European beaver (Castor fiber) from the north-eastern Poland. Bull. Vet. Inst. Puławy 2014, 58, 77–80. [Google Scholar] [CrossRef]
- Bush, A.O.; Samuel, W.M. The genus Travassosius Khalil, 1922 (Nematoda, Trichostrongyloidea) in beaver, Castor spp.: A review and suggestion for speciation. Can. J. Zool. 1978, 56, 1471–1474. [Google Scholar] [CrossRef] [PubMed]
- Jones, A.; Bray, R.A.; Gibson, D.I. Keys to the Trematoda; CABI Publishing and The Natural History Museum: Wallingford, UK, 2005; Volume 2. [Google Scholar]
- Anderson, R.C.; Chabaud, A.G.; Willmott, S. Keys to the Nematode Parasites of Vertebrates: Archival Volume; CAB International: Wallingford, UK, 2009. [Google Scholar]
- Rejmanek, D.; Vanwormer, E.; Miller, M.A.; Mazet, J.A.K.; Nichelasen, A.E.; Melli, A.C.; Packham, A.E.; Jessup, D.A.; Conrad, P.A. Prevalence and risk factors associated with Sarcocystis neurona infections in opossums (Didelphis virginiana) from central California. Vet. Parasitol. 2009, 166, 8–14. [Google Scholar] [CrossRef] [PubMed]
- Shapiro, K.; VanWormer, E.; Packham, A.; Dodd, E.; Conrad, P.A.; Miller, M. Type X strains of Toxoplasma gondii are virulent for southern sea otters (Enhydra lutris nereis) and present in felids from nearby watersheds. Proc. R. Soc. B 2019, 186, 20191334. [Google Scholar] [CrossRef] [PubMed]
- Camp, L.E.; Radke, M.R.; Shihabi, D.M.; Pagan, C.; Yang, G.; Nadler, S.A. Molecular phylogenetics and species-level systematics of Baylisascaris. Int. J. Parasitol. Parasites Wildl. 2018, 7, 450–462. [Google Scholar] [CrossRef] [PubMed]
- Worth a Dam. In Martinez Beavers [Internet]. Santa Rosa, California. Available online: https://martinezbeavers.org/ (accessed on 29 April 2024).
- Stallknecht, D.E. Impediments to wildlife disease surveillance, research, and diagnostics. Curr. Top. Microbiol. Immunol. 2007, 315, 445–461. [Google Scholar] [PubMed]
- Fitzgerald, S.D.; White, M.R.; Kazacos, K.R. Encephalitis in two porcupines due to Baylisascaris larval migration. J. Vet. Diagn. Investig. 1991, 3, 359–362. [Google Scholar] [CrossRef]
- Kazacos, K.R. Baylisascaris procyonis and related species. In Parasitic Diseases of Wild Mammals; Samuel, W.M., Pybus, M.J., Kocan, A.A., Eds.; Iowa State University Press: Ames, IA, USA, 2001; pp. 301–341. [Google Scholar]
- Kazacos, K.R. Baylisascaris larva migrans. In US Geological Survey Circular 1412; US Geological Survey: Reston, VA, USA, 2016. [Google Scholar]
- Gavin, P.J.; Kazacos, K.R.; Shulman, S.T. Baylisascariasis. Clin. Microbiol. Rev. 2005, 18, 703–718. [Google Scholar] [CrossRef] [PubMed]
- Desprez, I.; Yabsley, M.J.; Fogelson, S.B.; Hicks, J.A.; Barber, R.; Sladakovic, I.; Secrest, S.A.; Divers, S.J.; Mayer, J. Baylisascaris procyonis larva migrans in two captive North American beavers (Castor canadensis). J. Zoo Wildl. Med. 2017, 48, 232–236. [Google Scholar] [CrossRef]
- Mckown, R.D.; Veatch, J.K.; Robel, R.J.; Upton, S.J. Endoparasites of beaver (Castor canadensis) from Kansas. Proc. Helminthol. Soc. Wash. 1995, 62, 89–93. [Google Scholar]
- Kaufmann, J.H. Raccoon and allies. In Wild Mammals of North America: Biology, Management, and Economics; Chapman, J.A., Feldhamer, G.A., Eds.; Johns Hopkins University Press: Baltimore, MD, USA, 1982; pp. 567–585. [Google Scholar]
- Fox, A.S.; Kazacos, K.R.; Gould, N.S.; Heydemann, P.T.; Thomas, C.; Boyer, K.M. Fatal eosinophilic meningoencephalitis and visceral larva migrans caused by the raccoon ascarid Baylisascaris procyonis. N. Engl. J. Med. 1985, 312, 1619–1623. [Google Scholar] [CrossRef]
- Preston, D.L.; Orlofske, S.A.; Lambden, J.P.; Johnson, P.T. Biomass and productivity of trematode parasites in pond ecosystems. J. Anim. Ecol. 2013, 82, 509–517. [Google Scholar] [CrossRef] [PubMed]
- Lopez-Ureña, N.M.; Chaudhryt, U.; Calero Bernal, R.; Cano Alsua, S.; Messina, D.; Evangelista, F.; Betson, M.; Lalle, M.; Jokelainen, P.; Ortega Mora, L.M.; et al. Contamination of soil, water, fresh produce, and bivalve mollusks with Toxoplasma gondii oocysts: A systematic review. Microorganisms 2022, 10, 517. [Google Scholar] [CrossRef] [PubMed]
- Jellison, W.L.; Owen, C.R.; Bell, J.F.; Kohls, G.M. Tularemia and animal populations: Ecology and epizootiology. J. Wildl. Dis. 1961, 17, 1–22. [Google Scholar]
- Eliasson, H.; Broman, T.; Forsman, M.; Back, E. Tularemia: Current epidemiology and disease management. Infect. Dis. Clin. N. Am. 2006, 20, 289–311. [Google Scholar] [CrossRef] [PubMed]
- Gilliland, M.W.; Clark, B.D. The Lake Tahoe basin: A systems analysis of its characteristics and human carrying capacity. Environ. Manag. 1981, 5, 397–407. [Google Scholar] [CrossRef]
- Chen, T.; Orsi, R.H.; Chen, R.; Gunderson, M.; Roof, S.; Wiedmann, M.; Childs-Sanford, S.E.; Cummings, K.J. Characterization of Listeria monocytogenes isolated from wildlife in central New York. Vet. Med. Sci. 2022, 8, 1319–1329. [Google Scholar] [CrossRef]
- Bagatella, S.; Tavares-Gomes, L.; Oevermann, A. Listeria monocytogenes at the interface between ruminants and humans: A comparative pathology and pathogenesis review. Vet. Pathol. 2022, 59, 186–210. [Google Scholar] [CrossRef]
- Lyautey, E.; Hartmann, A.; Pagotto, F.; Tyler, K.; Lapen, D.R.; Wilkes, G.; Piveteau, P.; Rieu, A.; Robertson, W.J.; Medeiros, D.T. Characteristics and frequency of detection of fecal Listeria monocytogenes shed by livestock, wildlife, and humans. Can. J. Microbiol. 2007, 53, 1158–1167. [Google Scholar] [CrossRef] [PubMed]
- Cullen, C.L. Normal ocular features, conjunctival microflora, and intraocular pressure in the Canadian beaver (Castor canadensis). Vet. Ophthalmol. 2003, 6, 279–284. [Google Scholar] [CrossRef] [PubMed]
- Plommet, M.G.; Wilson, J.B. Serological typing of Staphylococcus aureus from wild animals. J. Comp. Pathol. 1969, 79, 425–433. [Google Scholar] [CrossRef]
- Monecke, S.; Febler, A.T.; Burgold-Voigt, S.; Kruger, H.; Muhldorfer, K.; Wibbelt, G.; Liebler-Tenorio, E.M.; Reinicke, M.; Braun, S.D.; Hanke, D.; et al. Staphylococcus aureus isolates from Eurasian beavers (Castor fiber) carry a novel phage-borne bicomponent leucocidin related to the Panton-Valentine leucocidin. Sci. Rep. 2021, 11, 24394. [Google Scholar] [CrossRef] [PubMed]
- Chang CLJeong, J.; Shin, J.H.; Lee, E.Y.; Son, H.C. Rahnella aquatilis sepsis in an immunocompetent adult. J. Clin. Microbiol. 1999, 37, 4161–4162. [Google Scholar] [CrossRef]
- Emde, K.M.E.; Finch, G.R. Detection and occurrence of waterborne bacterial and viral pathogens. J. Water Pollut. Control Fed. 1991, 63, 730–735. [Google Scholar] [CrossRef]
- Ardeleanu, A.; Rosca, O.; Cialma, M.; Desaga, D.; Deak, I. Severe sepsis with Hafnia alvei and dual pulmonary infection with Mycobacterium tuberculosis and Pneumocystis carinii in a late presenter patient infected with HIV—Case presentation. BMC Infect. Dis. 2014, 14, 21. [Google Scholar] [CrossRef]
- Sherwin, V.E.; Green, M.J.; Leigh, J.A.; Egan, S.A. Assessment of the prevalence of Streptococcus uberis in dairy cow feces and implications for herd health. J. Dairy Sci. 2021, 104, 12042–12052. [Google Scholar] [CrossRef] [PubMed]
- Carr, E.L.; Kampfer, P.; Patel, B.K.C.; Gurtler, V.; Seviour, R.J. Seven novel species of Acinetobacter isolated from activated sludge. Int. J. Syst. Evol. Microbiol. 2003, 53, 953–963. [Google Scholar] [CrossRef] [PubMed]
- Ma, J.; Wang, J.; Feng, J.; Liu, Y.; Yang, B.; Li, R.; Bai, L.; He, T.; Wang, X.; Yang, Z. Characterization of three porcine Acinetobacter towneri strains co-harboring tet(X3) and blaOXA-58. Front. Cell. Infect. Microbiol. 2020, 10, 586507. [Google Scholar] [CrossRef] [PubMed]
- Visca, P.; Seifert, H.; Towner, K.J. Acinetobacter infection—An emerging threat to human health. IUBMB Life 2011, 63, 1048–1054. [Google Scholar] [CrossRef]
- Kozinska, A.; Figueras, M.J.; Chacon, M.R.; Soler, L. Phenotypic characteristics and pathogenicity of Aeromonas genomospecies isolated from common carp (Cyprinus carpio L.). J. Appl. Microbiol. 2002, 93, 1034–1041. [Google Scholar] [CrossRef] [PubMed]
- Dias, C.; Borges, A.; Saavedra, M.J.; Simoes, M. Biofilm and multidrug-resistant Aeromonas spp. from wild animals. J. Glob. Antimicrob. Resist. 2018, 12, 227–234. [Google Scholar] [CrossRef] [PubMed]
- Anderson, W.I.; Schlafer, D.H.; Vesely, K.R. Thyroid follicular carcinoma with pulmonary metastases in a beaver (Castor canadensis). J. Wildl. Dis. 1989, 25, 599–600. [Google Scholar] [CrossRef]
- Kawase, K.; Fuji, Y.; Akagami, M.; Masatou, H.; Iida, S.; Namae, N. A case of esophageal squamous cell carcinoma in an American beaver (Castor canadensis). Jpn. J. Zoo Wildl. Med. 2022, 27, 153–156. [Google Scholar] [CrossRef]
- Navas-Suarez, P.E.; Diaz-Delgado, J.; Caiaffa, M.G.; da Silva, M.C.; Yogui, D.R.; Alves, M.H.; Cereda, J.F.; da Silva, M.P.; Cremer, M.J.; Ascensão, F.; et al. Characterization of traumatic injuries due to motor vehicle collisions in neotropical wild mammals. J. Comp. Pathol. 2022, 197, 1–18. [Google Scholar] [CrossRef]
- Máca, O.; Pavlasek, I.; Vorel, A. Stichorchis subtriquetrus (Digenea: Paramphistomatidae) from Eurasian beaver (Castor fiber) in the Czech Republic. Parasitol. Res. 2015, 114, 2933–2939. [Google Scholar] [CrossRef]
- Seguel, M.; Paredes, E.; Paves, H.; Gottdenker, N.L. Capture-induced stress cardiomyopathy in South American fur seal pups (Arctophoca australis gracilis). Mar. Mammal Sci. 2014, 30, 1149–1157. [Google Scholar] [CrossRef]
- Breed, D.; Meyer, L.C.R.; Steyl, J.C.A.; Goddard, A.; Burroughs, R.; Kohn, T.A. Conserving wildlife in a changing world: Understanding capture myopathy-a malignant outcome of stress during capture and translocation. Conserv. Physiol. 2019, 7, coz027. [Google Scholar] [CrossRef] [PubMed]
- Herraez, P.; Espinosa de los Monteros, A.; Fernandez, A.; Edwards, J.F.; Sacchini, S.; Sierra, E. Capture myopathy in live-stranded cetaceans. Vet. J. 2013, 196, 181–188. [Google Scholar] [CrossRef]
- Brenner, F.J. Observations of the helminth parasites in beavers. J. Mammal. 1970, 51, 171–173. [Google Scholar] [CrossRef] [PubMed]
- Fedynich, A.M.; Pence, D.B.; Urubek, R.L. Helminth fauna of beaver from Central Texas. J. Wildl. Dis. 1986, 22, 579–582. [Google Scholar] [CrossRef]
- Gardiner, C.H.; Poynton, S.L. An Atlas of Metazoan Parasites in Animal Tissues, 2nd ed.; Armed Forces Institute of Pathology: Washington, DC, USA, 2006. [Google Scholar]
- Chitwood, B.G. Capillaria hepatica from the liver of Castor canadensis. Proc. Helminthol. Soc. Wash. 1934, 1, 10. [Google Scholar]
- Read, C.P. Studies on North American helminths of the genus Capillaria Zeder, 1800 (Nematoda): I. Capillarids from mammals. J. Parasitol. 1949, 35, 223–230. [Google Scholar] [CrossRef] [PubMed]
- Fuehrer, H.S. An overview of the host spectrum and distribution of Calodium hepaticum (syn. Capillaria hepatica): Part 1-Muroidea. Parasitol. Res. 2014, 113, 619–640. [Google Scholar]
- Dubey, J.P. Toxoplasma gondii infection in rodents and insectivores from Montana. J. Wildl. Dis. 1983, 19, 149–150. [Google Scholar] [CrossRef][Green Version]
- Forzan, M.; Frasca, S. Systemic toxoplasmosis in a five-month-old beaver, (Castor canadensis). J. Zoo Wildl. Med. 2004, 35, 113–115. [Google Scholar] [CrossRef]
- Miller, M.A.; Gardner, I.A.; Kreuder, C.; Paradies, D.M.; Worcester, K.R.; Jessup, D.A.; Dodd, E.; Harris, M.D.; Ames, J.A.; Packham, A.E.; et al. Coastal freshwater runoff is a risk factor for Toxoplasma gondii infection of southern sea otters (Enhydra lutris nereis). Int. J. Parasitol. 2002, 32, 997–1006. [Google Scholar] [CrossRef] [PubMed]
- Shapiro, K.; Bahia-Oliveira, L.; Dixon, B.; Demetre, A.; de Wit, L.A.; Van Wormer, E.; Villena, I. Environmental transmission of Toxoplasma gondii oocysts in water, soil and food. Food Waterborne Parasitol. 2019, 15, e00049. [Google Scholar] [CrossRef]
- De Moura, L.; Bahia-Oliveira, L.; Wada, M.Y.; Jones, J.L.; Tuboi, S.H.; Carmo, E.H.; Ramalho, W.M.; Camargo, N.J.; Trevisan, R.; Graça, R.M.T.; et al. Waterborne toxoplasmosis, Brazil, from field to gene. Emerg. Infect. Dis. 2006, 12, 326–329. [Google Scholar] [CrossRef] [PubMed]
- Bowie, W.R.; King, A.S.; Werker, D.H.; Isaac-Renton, J.L.; Bell, S.B.; Eng, S.B.; Marion, S.A. Outbreak of toxoplasmosis associated with municipal drinking water. Lancet 1997, 350, 173–177. [Google Scholar] [CrossRef]
- Minuzzi, C.E.; Fernandes, F.D.; Portella, L.P.; Braunig, P.; Sturza, A.E.F.; Giacomini, L.; Salvagni, E.; Ribeiro, J.D.S.; Silva, C.R.; Difante, C.M.; et al. Contaminated wáter confirmed as source of infection by bioassay in an outbreak of toxoplasmosis in South Brazil. Transbound. Emerg. Dis. 2021, 68, 767–772. [Google Scholar] [CrossRef]
- Wallis, P.M.; Buchanan-Mappin, J.M.; Faubert, G.M.; Belosevic, M. Reservoirs of Giardia spp. in Southwestern Alberta. J. Wildl. Dis. 1984, 20, 279–283. [Google Scholar] [CrossRef][Green Version]
- Monzingo, D.L.; Hibler, C.P. Prevalence of Giardia sp. in a beaver colony and the resulting environmental contamination. J. Wildl. Dis. 1987, 23, 576–585. [Google Scholar] [CrossRef] [PubMed]
- Dunlap, B.G.; Thies, M.L. Giardia in beaver (Castor canadensis) and nutria (Myocastor coypus) from East Texas. J. Parasitol. 2002, 88, 1254–1258. [Google Scholar] [CrossRef] [PubMed]
- Goldstein, E.J.C. Anaerobic bacteremia. Clin. Infect. Dis. 1996, 23, 97–101. [Google Scholar] [CrossRef] [PubMed]
- Mitchell, M.; Nguyen, S.V.; Connor, M.; Fairley, D.J.; Donoghue, O.; Marshall, H.; Koolman, L.; McMullan, G.; Schaffer, K.E.; McGrath, J.W.; et al. Terrisporobacter hibernicus sp. nov., isolated from bovine feces in Northern Ireland. Int. J. Syst. Evol. Microbiol. 2023, 73, 005667. [Google Scholar] [CrossRef]
- Dietrich, R. Tumors. In Alaskan Wildlife Diseases; Dietrich, R., Ed.; University of Alaska: Fairbanks, AK, USA, 1981; pp. 236–239. [Google Scholar]
- Bossart, G.D. Marine mammals as sentinel species for oceans and human health. Vet. Pathol. 2011, 48, 676–690. [Google Scholar] [CrossRef] [PubMed]
- Hazen, E.L.; Savoca, M.S.; Clark-Wolf, T.J.; Czapanskiy, M.; Rabinowitz, P.M.; Abrahms, B. Ecosystem sentinels as early-warning indicators in the Anthropocene. Annu. Rev. Environ. Resour. 2024, 49, 4.1–4.26. [Google Scholar] [CrossRef]
- Doden, E.; Budy, P.; Conner, M.; Young, J.K. Comparing translocated beavers used as passive restoration tools to resident beavers in degraded desert rivers. Anim. Conserv. 2023, 26, 573586. [Google Scholar] [CrossRef]
- Nolet, B.A.; Broekhuisen, S.; Dorrestein, G.M.; Rienks, K.M. Infectious diseases as main causes of mortality to beavers Castor fiber after translocation to the Netherlands. J. Zool. 1997, 241, 35–42. [Google Scholar] [CrossRef]





| Beaver | Sex | Age | Location | Cause of Death or Reason for Euthanasia | Pathological Findings |
|---|---|---|---|---|---|
| 1 | Male | Juvenile | Martinez, Contra Costa County | Baylisascariasis | Severe multifocal necrotizing and eosinophilic granulomatous encephalitis with intralesional neural larva migrans. Disseminated Baylisascaris sp. migration with granulomatous thymitis, pneumonia, myocarditis, hepatitis, glossitis, omentitis, enteritis, and diaphragmatic myositis. |
| 2 | Female | Juvenile (1 y) | Martinez, Contra Costa County | Baylisascaris sp.-suspected encephalitis | Moderate multifocal glial scars with mild nonsuppurative meningoencephalitis and plexus choroiditis. Pulmonary edema and congestion with intra-alveolar hemorrhages. Mild interstitial nephritis, hepatitis, and myocarditis. |
| 3 | Female | Juvenile (1 y) | Martinez, Contra Costa County | Baylisascaris sp.-suspected encephalitis | Moderate multifocal glial scars with moderate non-suppurative encephalitis. Hepatocellular swelling with intracytoplasmic eosinophilic vacuoles. |
| 4 | Female | Adult (6 y) | Martinez, Contra Costa County | Baylisascaris sp.-suspected encephalitis | Multifocal glial scars. Eosinophilic and histiocytic interstitial pneumonia with vascular thrombi. Malocclusion with secondary ulcerative proliferative gingivitis. Lymphocytic polyneuritis. Lymphocytic and neutrophilic conjunctivitis. |
| 5 | Male | Juvenile (1 y) | Pittsburg, Contra Costa County | Baylisascariasis | Severe multifocal eosinophilic granulomatous encephalitis with intralesional neural larva migrans, disseminated Baylisascaris sp. migration with granulomatous lymphadenitis, myocarditis, enteritis and nephritis with visceral larva migrans. |
| 6 | Female | Adult | Winters, Yolo County | Baylisascaris sp.-suspected encephalitis | Moderate multifocal glial scars. Moderate multifocal nonsuppurative, eosinophilic encephalitis. Disseminated Baylisascaris sp. migration with granulomatous hepatitis, lymphadenitis, omentitis, and splenitis with visceral larva migrans. Cholangiocellular adenoma. Papillary renal adenoma. Gastric nematodiasis. Cecal trematodiasis. |
| 7 | Female | Adult | Martinez, Contra Costa County | Baylisascaris sp.-suspected encephalitis | Moderate multifocal glial scars and non-suppurative, eosinophilic encephalitis. Disseminated Baylisascaris sp. migration with granulomatous myocarditis, hepatitis, splenitis, gastritis, enteritis and colitis with visceral larva migrans. Moderate chronic interstitial pneumonia. Emaciation. Cecal trematodiasis. |
| 8 | Female | Adult | Palo Alto, Santa Clara County | Baylisascariasis | Severe multifocal granulomatous encephalitis with neural larva migrans. Severe multifocal glial scars. Severe diffuse chronic proliferative and lymphohistiocytic interstitial pneumonia with pneumocyte type II hyperplasia, fibrosis, smooth muscle hyperplasia, and rare plant-induced granulomas. Moderate multifocal fibrotic and papillary pleural hyperplasia. Mild multifocal lymphoplasmacytic tracheitis. Moderate multifocal fibrinonecrotizing colitis with mix-shaped bacteria. |
| 9 | Female | Juvenile | Discovery Park, Sacramento County | Baylisascariasis | Severe multifocal eosinophilic granulomatous encephalitis with intralesional neural larva migrans, axonal degeneration, and multifocal glial scars. Disseminated Baylisascaris sp. migration with granulomatous pneumonia, enteritis, myocarditis, and lymphonodular capsulitis with visceral larva migrans. Skin, subcutis, and latissimus dorsi muscle (right side of the thorax): Severe focally extensive chronic active necrotizing dermatitis, cellulitis, and polyphasic myositis with mix-shaped bacteria. Subcutis and muscles (right scapula and humerus): Severe multifocal chronic active necrosuppurative cellulitis and myositis with mix-shaped bacteria. Severe diffuse acute superficial necrotizing colitis with mix-shaped bacteria. |
| 10 | Male | Adult | Lake Tahoe, El Dorado County | Tularemia | Severe acute random necrotizing serositis, hepatitis, interstitial pneumonia, splenitis, orchitis, myocarditis, choroiditis, and enteritis. Gastric nematodiasis. |
| 11 | Male | Adult | Napa Valley, Napa County | Listeria monocytogenes encephalitis | Severe necrotizing and histiocytic meningoencephalitis, ependymitis, and choroiditis with gram-positive rods. Multifocal glial scars. Cerebral Toxoplasma gondii cysts. Ulcerative keratitis, conjunctivitis with mix-shaped bacteria and yeasts. Severe pleocellular colitis and crypt necrosis. Mild focal granulomatous typhlitis with visceral larva migrans. |
| 12 | Female | Juvenile | Tanzanite Park, Sacramento County | Staphylococcus aureus bronchopneumonia | Severe multifocal to coalescing subacute necrosuppurative bronchopneumonia and fibrinosuppurative pleuritis with Gram-positive bacterial colonies. |
| 13 | Male | Adult | Pismo State beach, San Luis Obispo County | Bacterial bronchopneumonia | Severe multifocal to coalescing suppurative bronchopneumonia with gram-negative rods, gram-positive cocci, and rare foreign material. Minimal multifocal lymphoplasmacytic tracheitis. Moderate multifocal granulomatous lymphadenitis with mineralization and bacteria. Cecal trematodiasis. |
| 14 | Male | Adult | Napa Valley, Napa County | Bacterial encephalitis | Moderate multifocal suppurative meningoencephalitis and fibrinosuppurative choroiditis with gram-negative coccobacilli. Focal glial scar and mineralization. Moderate multifocal neutrophilic and histiocytic pneumonia with foreign material (plant) and bacteria. Mild focal granulomatous colitis with visceral larva migrans. |
| 15 | Male | Adult | Oakley, Contra Costa County | Bacterial myofascitis | Skeletal muscle, fascia, salivary gland, and adipose tissue (pectoral region): Severe diffuse chronic-active fibrinonecrotizing myofascitis, cellulitis, and sialadenitis with fibrinoid vasculitis, thrombi, and gram-negative bacterial colonies. Severe diffuse edema with thrombi and embolic interstitial pneumonia and fibrinous pleuritis. Heart (right atrium): Thrombus. Cecal trematodiasis. |
| 16 | Female | Adult | Sacramento County | Squamous cell carcinoma | Skin: Squamous cell carcinoma. Severe diffuse acute neutrophilic endometritis with bacteria. Castor gland: Severe diffuse neutrophilic and lymphoplasmacytic adenitis with squamous metaplasia. |
| 17 | Male | Adult | Courtland, Sacramento County | Trauma | Multiple and complete pelvic fractures, myofascial hemorrhages, and edema. Subcutaneous hemorrhages and edema in the head and inguinal region. Mild granulomatous hepatitis with mineralization and Capillaria sp. Sarcocystis sp. in tongue. Gastric nematodiasis. |
| 18 | Male | Adult | Sutter County | Capture cardiomyopathy | The pericardial sac contains fibrin and hemorrhage. Moderate multifocal monophasic myocardial necrosis and degeneration. Moderate multifocal glial “track” scars with mild adjacent non-suppurative encephalitis. Mild multifocal granulocytic and histiocytic pneumonia. |
| Beaver | Cause of Death | Brain | GI Tract | Lung | Heart | Liver | Lymph Node | Spleen | Tongue | Kidney | Omentum | Diaphragm | Thymus |
|---|---|---|---|---|---|---|---|---|---|---|---|---|---|
| 1 | Baylisascaris spp. | G * | G | G | G * | G * | NE | NE | G | - | G * | G | G * |
| 2 | Baylisascaris spp.-suspected encephalitis | G | - | - | - | - | - | - | - | - | NE | - | NE |
| 3 | Baylisascaris spp.-suspected encephalitis | G | - | - | - | - | - | - | NE | - | NE | NE | - |
| 4 | Baylisascaris spp.-suspected encephalitis | G | - | G | - | - | - | - | - | - | NE | - | NE |
| 5 | Baylisascaris spp. | G * | G | - | G | - | G | NE | NE | G | NE | - | NE |
| 6 | Baylisascaris spp.-suspected encephalitis | G | - | - | - | G * | G * | G | - | - | G | - | NE |
| 7 | Baylisascaris spp.-suspected encephalitis | G | G * | - | G * | G | NE | G | - | - | NE | - | NE |
| 8 | Baylisascaris spp. | G * | - | G | - | - | - | - | - | - | - | - | NE |
| 9 | Baylisascaris spp. | G * | - | G * | G * | - | - | - | - | - | G * | - | - |
| 11 | Listeria monocytogenes encephalitis | G | G * | - | - | - | - | - | - | - | - | - | NE |
| 14 | Bacterial encephalitis | G | G * | - | - | - | - | - | - | - | - | - | NE |
| 18 | Capture cardiomyopathy | G | - | - | - | - | NE | - | - | - | NE | - | NE |
| Total | 12 | 5 | 4 | 4 | 3 | 2 | 2 | 1 | 1 | 1 | 1 | 1 | |
Disclaimer/Publisher’s Note: The statements, opinions and data contained in all publications are solely those of the individual author(s) and contributor(s) and not of MDPI and/or the editor(s). MDPI and/or the editor(s) disclaim responsibility for any injury to people or property resulting from any ideas, methods, instructions or products referred to in the content. |
© 2025 by the authors. Licensee MDPI, Basel, Switzerland. This article is an open access article distributed under the terms and conditions of the Creative Commons Attribution (CC BY) license (https://creativecommons.org/licenses/by/4.0/).
Share and Cite
Gonzales-Viera, O.A.; Woods, L.W.; Mete, A.; Fritz, H.; Armien, A.G.; Lantz, E.; Gomez-Puerta, L.A.; Famini, D.; Sherman, J.; Rudd, J.L.; et al. Postmortem Findings in Free-Ranging North American Beavers (Castor canadensis) Reveal Potential Threats to California’s Freshwater Ecosystems. Animals 2025, 15, 338. https://doi.org/10.3390/ani15030338
Gonzales-Viera OA, Woods LW, Mete A, Fritz H, Armien AG, Lantz E, Gomez-Puerta LA, Famini D, Sherman J, Rudd JL, et al. Postmortem Findings in Free-Ranging North American Beavers (Castor canadensis) Reveal Potential Threats to California’s Freshwater Ecosystems. Animals. 2025; 15(3):338. https://doi.org/10.3390/ani15030338
Chicago/Turabian StyleGonzales-Viera, Omar A., Leslie W. Woods, Aslı Mete, Heather Fritz, Anibal G. Armien, Emma Lantz, Luis A. Gomez-Puerta, Daniel Famini, Jaime Sherman, Jaime L. Rudd, and et al. 2025. "Postmortem Findings in Free-Ranging North American Beavers (Castor canadensis) Reveal Potential Threats to California’s Freshwater Ecosystems" Animals 15, no. 3: 338. https://doi.org/10.3390/ani15030338
APA StyleGonzales-Viera, O. A., Woods, L. W., Mete, A., Fritz, H., Armien, A. G., Lantz, E., Gomez-Puerta, L. A., Famini, D., Sherman, J., Rudd, J. L., Camp, L. E., Shapiro, K., & Clifford, D. L. (2025). Postmortem Findings in Free-Ranging North American Beavers (Castor canadensis) Reveal Potential Threats to California’s Freshwater Ecosystems. Animals, 15(3), 338. https://doi.org/10.3390/ani15030338

