Extracorporeal Membrane Oxygenation for Acute Respiratory Failure in a Dog †
Simple Summary
Abstract
1. Introduction
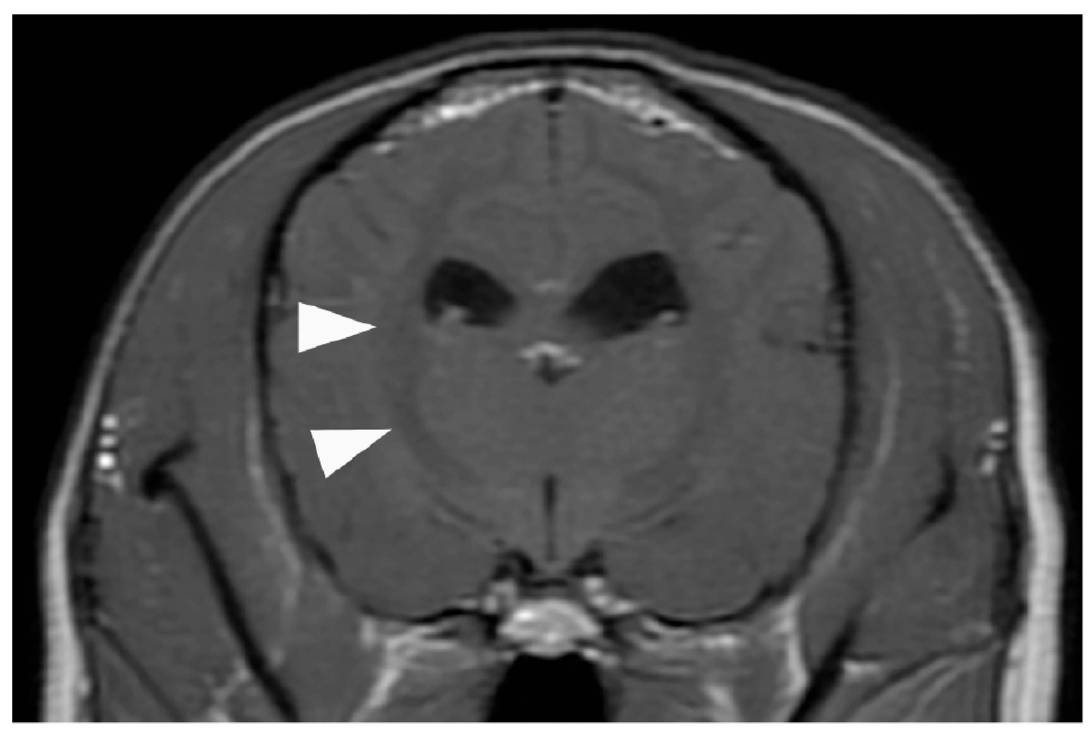
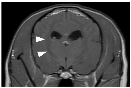
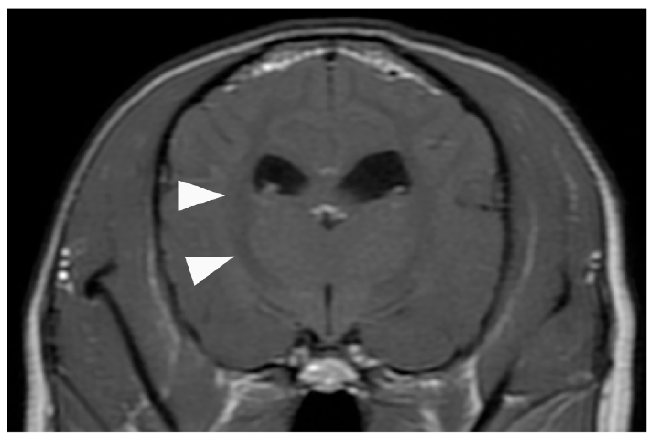
2. Case Presentation
3. Discussion
4. Conclusions
Supplementary Materials
Author Contributions
Funding
Institutional Review Board Statement
Informed Consent Statement
Data Availability Statement
Acknowledgments
Conflicts of Interest
Abbreviations
| ECMO | Extracorporeal membrane oxygenation |
| EEG | Electroencephalography |
| ETCO2 | End-tidal carbon dioxide |
| FiO2 | Fraction of inspired oxygen |
| FFP | Fresh frozen plasma |
| HIBI | Hypoxic–ischemic brain injury |
| MGCS | Modified Glasgow Coma Scale |
| MRI | Magnetic resonance imaging |
| pCO2 | Partial pressure of carbon dioxide |
| PEEP | Positive end-expiratory pressure |
| PIP | Peak inspiratory pressure |
| pO2 | Partial pressure of oxygen |
| RR | Respiration rate |
| SpO2 | Oxygen saturation |
| VA-ECMO | Venoarterial extracorporeal membrane oxygenation |
| VV-ECMO | Venovenous extracorporeal membrane oxygenation |
References
- Brodie, D.; Bacchetta, M. Extracorporeal membrane oxygenation for ARDS in adults. N. Engl. J. Med. 2011, 365, 1905–1914. [Google Scholar] [CrossRef]
- Barbaro, R.P.; MacLaren, G.; Boonstra, P.S.; Iwashyna, T.J.; Slutsky, A.S.; Fan, E.; Bartlett, R.H.; Tonna, J.E.; Hyslop, R.; Fanning, J.J.; et al. Extracorporeal membrane oxygenation support in COVID-19: An international cohort study of the Extracorporeal Life Support Organization registry. Lancet 2020, 396, 1071–1078. [Google Scholar] [CrossRef] [PubMed]
- Millar, J.E.; Fanning, J.P.; McDonald, C.I.; McAuley, D.F.; Fraser, J.F. The inflammatory response to extracorporeal membrane oxygenation (ECMO): A review of the pathophysiology. Crit. Care 2016, 20, 387. [Google Scholar] [CrossRef]
- Mehta, H.; Eisen, H.J.; Cleveland, J.C., Jr. Indications and complications for VA-ECMO for cardiac failure; American College of Cardiologists. Available online: https://www.acc.org/latest-in-cardiology/articles/2015/07/14/09/27/indications-and-complications-for-va-ecmo-for-cardiac-failure (accessed on 18 April 2022).
- Han, S.J.; Han, W.; Song, H.-J.; Kim, C.-S.; Jeong, S.-M.; Kang, M.W. Validation of nafamostat mesilate as an anticoagulant in extracorporeal membrane oxygenation: A large-animal experiment. Korean J. Thorac. Cardiovasc. Surg. 2018, 51, 114–121. [Google Scholar] [CrossRef]
- Kamimura, T.; Sakamoto, H.; Misumi, K. Regional blood flow distribution from the proximal arterial cannula during veno-arterial extracorporeal membrane oxygenation in neonatal dog. J. Vet. Med. Sci. 1999, 61, 311–315. [Google Scholar] [CrossRef]
- Lee, K.H.; Kim, K.W. Extracorporeal membrane oxygenation support for dogs in acute respiratory failure: Comparison of venovenous extracorporeal lung assist using a double lumen tube with venoarterial extracorporeal lung assist. Korean J. Anesthesiol. 1991, 24, 299–308. [Google Scholar] [CrossRef]
- Mizuno, T.; Sasaki, K.; Suzuki, S.; Nagao, I.; Isayama, N. Case report: Tricuspid annuloplasty for right-sided congestive heart failure secondary to pulmonary hypertension in a dog. Front. Vet. Sci. 2022, 9, 843792. [Google Scholar] [CrossRef]
- ELSO General Guidelines for All ECLS Cases, 1st ed.; ELSO: Ann Arbor, MI, USA, 2017; Volume 4, Available online: https://www.elso.org/Portals/0/ELSO%20Guidelines%20General%20All%20ECLS%20Version%201_4.pdf (accessed on 28 June 2022).
- Cai, J.; Abudou, H.; Chen, Y.; Wang, H.; Wang, Y.; Li, W.; Li, D.; Niu, Y.; Chen, X.; Liu, Y.; et al. The effects of ECMO on neurological function recovery of critical patients: A double-edged sword. Front. Med. 2023, 10, 1117214. [Google Scholar] [CrossRef]
- Khan, I.R.; Gu, Y.; George, B.P.; Malone, L.; Conway, K.S.; Francois, F.; Donlon, J.; Quazi, N.; Reddi, A.; Ho, C.-Y.; et al. Brain histopathology of adult decedents after extracorporeal membrane oxygenation. Neurology 2021, 96, e1278–e1289. [Google Scholar] [CrossRef]
- Chalela, J.A.; Wolf, R.L.; Maldjian, J.A.; Kasner, S.E. MRI identification of early white matter injury in anoxic-ischemic encephalopathy. Neurology 2001, 56, 481–485. [Google Scholar] [CrossRef]
- Lorusso, R.; Belliato, M.; Mazzeffi, M.; Di Mauro, M.; Taccone, F.S.; Parise, O.; Albanawi, A.; Nandwani, V.; McCarthy, P.; Kon, Z.; et al. Neurological complications during veno-venous extracorporeal membrane oxygenation: Does the configuration matter? A retrospective analysis of the ELSO database. Crit Care 2021, 25, 107. [Google Scholar] [CrossRef]
- Bosarge, P.L.; Raff, L.A.; McGwin, G., Jr.; Carroll, S.L.; Bellot, S.C.; Diaz-Guzman, E.; Kerby, J.D. Early initiation of extracorporeal membrane oxygenation improves survival in adult trauma patients with severe adult respiratory distress syndrome. J. Trauma Acute Care Surg. 2016, 81, 236–243. [Google Scholar] [CrossRef]
- Smood, B.; Vasquez, C.R.; Olia, S.E.; Han, J.J.; Iyengar, A.; Patrick, W.L.; Helmers, M.R.; Kelly, J.J.; Richards, T.; Usman, A.; et al. Early extracorporeal membrane oxygenation initiation may improve outcomes in select patients with primary pulmonary hypertension: An Extracorporeal Life Support Organization Registry Analysis. ASAIO J. 2025, 71, 611–620. [Google Scholar] [CrossRef]
- Li, X.; Hu, M.; Zheng, R.; Wang, Y.; Kang, H.; Jiang, L.; Zhong, M.; Sang, L.; Zheng, X.; Pan, C.; et al. Delayed initiation of ECMO is associated with poor outcomes in patients with severe COVID-19: A multicenter retrospective cohort study. Front. Med. 2021, 8, 716086. [Google Scholar] [CrossRef]
- Jentzer, J.C.; Drakos, S.G.; Selzman, C.H.; Owyang, C.; Teran, F.; Tonna, J.E. Timing of initiation of extracorporeal membrane oxygenation support and outcomes among patients with cardiogenic shock. J. Am. Heart Assoc. 2024, 13, e032288. [Google Scholar] [CrossRef]
- Saha, A.; Kurlansky, P.; Ning, Y.; Sanchez, J.; Fried, J.; Witer, L.J.; Kaku, Y.; Takayama, H.; Naka, Y.; Takeda, K. Early venoarterial extracorporeal membrane oxygenation improves outcomes in post-cardiotomy shock. J. Artif. Organs 2021, 24, 7–14. [Google Scholar] [CrossRef]
- Lee, H.H.; Kim, H.C.; Ahn, C.M.; Lee, S.J.; Hong, S.J.; Yang, J.H.; Kim, J.S.; Kim, B.K.; Ko, Y.G.; Choi, D.; et al. Association between timing of extracorporeal membrane oxygenation and clinical outcomes in refractory cardiogenic shock. JACC Cardiovasc. Interv. 2021, 14, 1109–1119. [Google Scholar] [CrossRef] [PubMed]
- Gajkowski, E.F.; Herrera, G.; Hatton, L.; Velia Antonini, M.; Vercaemst, L.; Cooley, E. ELSO guidelines for adult and pediatric extracorporeal membrane oxygenation circuits. ASAIO J. 2022, 68, 133–152. [Google Scholar] [CrossRef]
- Maratta, C.; Potera, R.M.; van Leeuwen, G.; Castillo Moya, A.; Raman, L.; Annich, G.M. Extracorporeal Life Support Organization (ELSO): 2020 pediatric respiratory ELSO guideline. ASAIO J. 2020, 66, 975–979. [Google Scholar] [CrossRef]
- Brogan, T.V.; Lequier, L.; Lorusso, R.; MacLaren, G.; Peek, G. (Eds.) Extracorporeal Cardiopulmonary Support in Critical Care, 5th ed.; ELSO: Ann Arbor, MI, USA, 2017. [Google Scholar]
- Zangrillo, A.; Landoni, G.; Biondi-Zoccai, G.; Greco, M.; Greco, T.; Frati, G.; Patroniti, N.; Antonelli, M.; Pesenti, A.; Pappalardo, F. A meta-analysis of complications and mortality of extracorporeal membrane oxygenation. Crit. Care Resusc. 2013, 15, 172–178. [Google Scholar] [CrossRef] [PubMed]
- Lindén, V.; Palmér, K.; Reinhard, J.; Westman, R.; Ehrén, H.; Granholm, T.; Frenckner, B. High survival in adult patients with acute respiratory distress syndrome treated by extracorporeal membrane oxygenation, minimal sedation, and pressure supported ventilation. Intensive Care Med. 2000, 26, 1630–1637. [Google Scholar] [CrossRef] [PubMed]
- Bridges, B.C.; Dhar, A.; Ramanathan, K.; Steflik, H.J.; Schmidt, M.; Shekar, K. Extracorporeal life support organization guidelines for fluid overload, acute kidney injury, and electrolyte management. ASAIO J. 2022, 68, 611–618. [Google Scholar] [CrossRef]
- Barshatskyi, A.; Vicha, M.; Klementova, O.; Zapletalova, J.; Zuscik, O.; Santavy, P.; Juchelka, J.; Konecny, J.; Simek, M. Short-term and mid-term survival of VA-ECMO patients: A single-center experience. Pol. J. Cardio-Thorac. Surg. 2025, 22, 8–13. [Google Scholar] [CrossRef]
- Rottmann, F.A.; Zotzmann, V.; Supady, A.; Noe, C.; Wengenmayer, T.; Staudacher, D.L. Awake venovenous extracorporeal membrane oxygenation and survival. Front. Med. 2024, 11, 1394698. [Google Scholar] [CrossRef] [PubMed]
- Cui, L.; Zha, Y.; Zhang, C.; Zhang, H.; Yu, C.; Rui, H.; Shao, M.; Liu, N. Exploration of a nomogram prediction model of 30-day survival in adult ECMO patients. Front. Med. 2023, 10, 1062918. [Google Scholar] [CrossRef] [PubMed]




| Time (hour) | Intubate | 0.5 h | 1 h | 1.5 h | 2.5 h | 4 h Start ECMO | 5 h Post Lavage | 6 h Beginning of Weaning | 7 h Wean Off ECMO | 24 h from ECMO | 26 h from ECMO | |
|---|---|---|---|---|---|---|---|---|---|---|---|---|
| pH | 7.003 | 6.790 | 7.121 | 7.043 | 7.073 | 7.236 | 7.488 | 7.357 | 7.344 | 7.305 | 7.338 | |
| PCO2 | 120.0 | 130.0 | 91.0 | 122.6 | 118.5 | 70.3 | 23.1 | 30.1 | 43.7 | 51 | 47 | |
| PO2 | 61 | 85 | 44 | 46 | 46 | 43 | 112 | 75 | 215 | 187 | 126 | |
| SPO2 | 77 | 88 | 70 | 79 | 80 | 90 | 100 | 88 | 99 | 100 | 100 | |
| ETCO2 | 67.0 | 39.0 | 60.0 | 81.0 | 84.0 | 45.0 | 20.0 | 30.0 | 39.0 | 54 | 37 | |
| P/F | 61 | 85 | 44 | 46 | 46 | 43 | 186 | 107 | 305 | 311 | 315 | |
| RR | 60 | 30 | 40 | 50 | 50 | 40 | 10 | 30 | 25 | 32 | 20 | |
| PEEP | 2 | 5–10 | 6–20< | 6–15 | 6 | 6 | 6 | 6 | 6 | 6 | ||
| PIP | 20 | 25 | 25–35 | 35–45 | 35–45 | 36 | 26 | 26 | 26 | 20 | 15 |
Disclaimer/Publisher’s Note: The statements, opinions and data contained in all publications are solely those of the individual author(s) and contributor(s) and not of MDPI and/or the editor(s). MDPI and/or the editor(s) disclaim responsibility for any injury to people or property resulting from any ideas, methods, instructions or products referred to in the content. |
© 2025 by the authors. Licensee MDPI, Basel, Switzerland. This article is an open access article distributed under the terms and conditions of the Creative Commons Attribution (CC BY) license (https://creativecommons.org/licenses/by/4.0/).
Share and Cite
Isayama, N.; Uchimura, Y.; Sasaki, K.; Maeda, E.; Takahashi, T.; Watanabe, M.; Hamamoto, Y.; Mizuno, T.; Suzuki, S. Extracorporeal Membrane Oxygenation for Acute Respiratory Failure in a Dog. Animals 2025, 15, 3247. https://doi.org/10.3390/ani15223247
Isayama N, Uchimura Y, Sasaki K, Maeda E, Takahashi T, Watanabe M, Hamamoto Y, Mizuno T, Suzuki S. Extracorporeal Membrane Oxygenation for Acute Respiratory Failure in a Dog. Animals. 2025; 15(22):3247. https://doi.org/10.3390/ani15223247
Chicago/Turabian StyleIsayama, Noriko, Yusuke Uchimura, Kenta Sasaki, Erika Maeda, Toshihisa Takahashi, Megumi Watanabe, Yuji Hamamoto, Takeshi Mizuno, and Sayaka Suzuki. 2025. "Extracorporeal Membrane Oxygenation for Acute Respiratory Failure in a Dog" Animals 15, no. 22: 3247. https://doi.org/10.3390/ani15223247
APA StyleIsayama, N., Uchimura, Y., Sasaki, K., Maeda, E., Takahashi, T., Watanabe, M., Hamamoto, Y., Mizuno, T., & Suzuki, S. (2025). Extracorporeal Membrane Oxygenation for Acute Respiratory Failure in a Dog. Animals, 15(22), 3247. https://doi.org/10.3390/ani15223247

