A Comparison of Contrast-Enhanced Voiding Urosonography (CE-VUS) and Contrast Retrograde Cystourethrography (RCUG) for the Detection of Vesicoureteral Reflux in Young Dogs
Simple Summary
Abstract
1. Introduction
2. Materials and Methods
2.1. Animals
2.2. Procedure—Dog Preparation
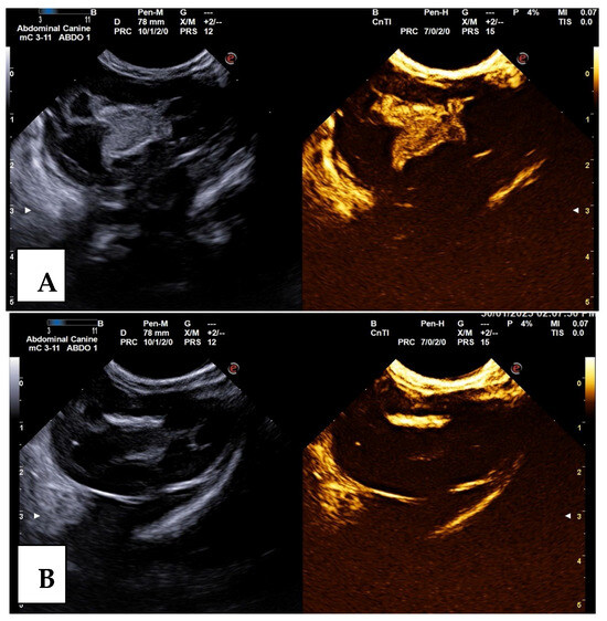
2.2.1. Contrast-Enhanced Voiding Ultrasonography (CE-VUS)
Pre-Contrast US of the Abdomen
Urethral Catheterization
Preparation of UCA
Intravesical Administration of UCA
Post-Contrast US
2.2.2. Contrast Retrograde Cystourethrography (RCUG)
2.3. VUR Assessment
2.4. Statistical Analysis
3. Results
4. Discussion
5. Conclusions
Author Contributions
Funding
Institutional Review Board Statement
Informed Consent Statement
Data Availability Statement
Acknowledgments
Conflicts of Interest
References
- Tekgül, S.; Riedmiller, H.; Hoebeke, P.; Kočvara, R.; Nijman, R.J.M.; Radmayr, C.; Stein, R.; Dogan, H.S. EAU Guidelines on Vesicoureteral Reflux in Children. Eur. Urol. 2012, 62, 534–542. [Google Scholar] [CrossRef] [PubMed]
- Sargent, M.A. What Is the Normal Prevalence of Vesicoureteral Reflux? Pediatr. Radiol. 2000, 30, 587–593. [Google Scholar] [CrossRef] [PubMed]
- Papadopoulou, F.; Anthopoulou, A.; Siomou, E.; Efremidis, S.; Tsamboulas, C.; Darge, K. Harmonic Voiding Urosonography with a Second-Generation Contrast Agent for the Diagnosis of Vesicoureteral Reflux. Pediatr. Radiol. 2009, 39, 239–244. [Google Scholar] [CrossRef] [PubMed]
- Özkanlar, Y.; Şahal, M.; Börkü, M.K.; Kibar, M. Detection of vesicoureteral reflux in healthy puppies. Ank. Üniversitesi Vet. Fakültesi Derg. 2006, 50, 41–45. [Google Scholar] [CrossRef]
- Chertin, B.; Puri, P. Familial Vesicoureteral Reflux. J. Urol. 2003, 169, 1804–1808. [Google Scholar] [CrossRef]
- Radmayr, C.; Schwentner, C.; Lunacek, A.; Karatzas, A.; Oswald, J. Embryology and Anatomy of the Vesicoureteric Junction with Special Reference to the Etiology of Vesicoureteral Reflux. Ther. Adv. Urol. 2009, 1, 243–250. [Google Scholar] [CrossRef]
- Arena, S.; Iacona, R.; Impellizzeri, P.; Russo, T.; Marseglia, L.; Gitto, E.; Romeo, C. Physiopathology of Vesico-Ureteral Reflux. Ital. J. Pediatr. 2016, 42, 103. [Google Scholar] [CrossRef]
- Nino, F.; Ilari, M.; Noviello, C.; Santoro, L.; Ratsch, I.M.; Martino, A.; Cobellis, G. Genetics of Vesicoureteral Reflux. Curr. Genom. 2015, 17, 70–79. [Google Scholar] [CrossRef][Green Version]
- Lenaghan, D.; Cass, A.S.; Stephens, F.D. The Influence of Partial Division of the Intravesical Ureter on the Occurrence of Vesicoureteral Reflux in Dogs. J. Urol. 1972, 107, 580–581. [Google Scholar] [CrossRef]
- Goulden, B.E. Vesico-Ureteral Reflux in the Dog. N. Z. Vet. J. 1968, 16, 167–175. [Google Scholar] [CrossRef]
- Ntoulia, A.; Aguirre Pascual, E.; Back, S.J.; Bellah, R.D.; Beltrán Salazar, V.P.; Chan, P.K.J.; Chow, J.S.; Coca Robinot, D.; Darge, K.; Duran, C.; et al. Contrast-Enhanced Voiding Urosonography, Part 1: Vesicoureteral Reflux Evaluation. Pediatr. Radiol. 2021, 51, 2351–2367. [Google Scholar] [CrossRef] [PubMed]
- Papadopoulou, F.; Ntoulia, A.; Siomou, E.; Darge, K. Contrast-Enhanced Voiding Urosonography with Intravesical Administration of a Second-Generation Ultrasound Contrast Agent for Diagnosis of Vesicoureteral Reflux: Prospective Evaluation of Contrast Safety in 1,010 Children. Pediatr. Radiol. 2014, 44, 719–728. [Google Scholar] [CrossRef] [PubMed]
- Christie, B.A. Vesicoureteral Reflux in Dogs. J. Am. Vet. Med. Assoc. 1973, 162, 772–775. [Google Scholar] [CrossRef] [PubMed]
- Newman, L.; Bucy, J.G.; McAlister, W.H. Incidence of Naturally Occurring Vesicoureteral Reflux in Mongrel Dogs. Investig. Radiol. 1973, 8, 354–356. [Google Scholar] [CrossRef] [PubMed]
- Darge, K.; Papadopoulou, F.; Ntoulia, A.; Bulas, D.I.; Coley, B.D.; Fordham, L.A.; Paltiel, H.J.; McCarville, B.; Volberg, F.M.; Cosgrove, D.O.; et al. Safety of Contrast-Enhanced Ultrasound in Children for Non-Cardiac Applications: A Review by the Society for Pediatric Radiology (SPR) and the International Contrast Ultrasound Society (ICUS). Pediatr. Radiol. 2013, 43, 1063–1073. [Google Scholar] [CrossRef]
- Darge, K. Voiding Urosonography with Ultrasound Contrast Agents for the Diagnosis of Vesicoureteric Reflux in Children: I. Procedure. Pediatr. Radiol. 2008, 38, 40–53. [Google Scholar] [CrossRef]
- Hübner, W.A.; Plas, E.G.; Trigo-Rocha, F.; Tanagho, E.A. Drainage and Reflux Characteristics of Antireflux Ureteral Double-J Stents*. J. Endourol. 1993, 7, 497–499. [Google Scholar] [CrossRef]
- Essman, S.C. Contrast Cystography. Clin. Tech. Small Anim. Pract. 2005, 20, 46–51. [Google Scholar] [CrossRef]
- Trikoupi, G.; Papadopoulou, P.; Papadopoulou, F.; Theodoridis, A.; Papazoglou, L.; Patsikas, M. Contrast-enhanced Voiding Urosonography: A New, Radiation-free, Alternative Method for Imaging of Urinary Bladder and Urethra in Healthy Dogs. Vet. Radiol. Ultrasound 2020, 61, 453–460. [Google Scholar] [CrossRef]
- Darge, K.; Troeger, J. Vesicoureteral Reflux Grading in Contrast-Enhanced Voiding Urosonography. Eur. J. Radiol. 2002, 43, 122–128. [Google Scholar] [CrossRef]
- Trikoupi, G.; Papadopoulou, P.; Adamama-Moraitou, K.; Papazoglou, L. Diagnosis of Traumatic Urethral Stricture in a Canine Patient with Contrast-enhanced Voiding Urosonography: A Case Report. Vet. Radiol. Ultrasound 2024, 65, 10–13. [Google Scholar] [CrossRef] [PubMed]
- Kiruluta, H.G.; Fraser, K.; Owen, L. The Significance of the Adrenergic Nerves in the Etiology of Vesicoureteral Reflux. J. Urol. 1986, 136, 232–235. [Google Scholar] [CrossRef]
- Wennerström, M.; Hansson, S.; Jodal, U.; Stokland, E. Disappearance of Vesicoureteral Reflux in Children. Arch. Pediatr. Adolesc. Med. 1998, 152, 879. [Google Scholar] [CrossRef]
- Zhang, W.; Cai, B.; Zhang, X.; Zhou, J.; Qiu, L.; Yi, H. Contrast-enhanced Voiding Urosonography with Intravesical Administration of Ultrasound Contrast Agent for the Diagnosis of Pediatric Vesicoureteral Reflux. Exp. Ther. Med. 2018, 16, 4546–4552. [Google Scholar] [CrossRef]
- Darge, K. Voiding Urosonography with US Contrast Agents for the Diagnosis of Vesicoureteric Reflux in Children: II. Comparison with Radiological Examinations. Pediatr. Radiol. 2008, 38, 54–63. [Google Scholar] [CrossRef]
- Ren, J.; Ma, T.; Huang, S.; Chen, G.; Dietrich, C.F.; Peng, Y.; Cui, X. A Narrative Review on the Applications of Intracavitary Contrast-Enhanced Ultrasonography in Pediatric Lower Genitourinary Anomalies. Front. Pediatr. 2023, 11, 984643. [Google Scholar] [CrossRef]
- Mentzel, H.J.; Vogt, S.; Patzer, L.; Schubert, R.; John, U.; Misselwitz, J.; Kaiser, W.A. Contrast-Enhanced Sonography of Vesicoureterorenal Reflux in Children: Preliminary Results. Am. J. Roentgenol. 1999, 173, 737–740. [Google Scholar] [CrossRef] [PubMed]
- Mane, N.; Patil, A.; Gadekar, C.; Andankar, M.; Pathak, H. Comparison of Contrast-Enhanced Voiding Urosonography with Voiding Cystourethrography in Pediatric Vesicoureteral Reflux. Türk Ürol. DergisiTurkish J. Urol. 2018, 44, 261–267. [Google Scholar] [CrossRef] [PubMed]
- Ključevšek, D.; Battelino, N.; Tomažič, M.; Kersnik Levart, T. A Comparison of Echo-enhanced Voiding Urosonography with X-ray Voiding Cystourethrography in the First Year of Life. Acta Paediatr. 2012, 101, e235–e239. [Google Scholar] [CrossRef]
- Chua, M.E.; Mendoza, J.S.; Ming, J.M.; Dy, J.S.; Gomez, O. Diagnostic Accuracy of Contrast-Enhanced Voiding Urosonogram Using Second-Generation Contrast with Harmonic Imaging (CEVUS-HI) Study for Assessment of Vesicoureteral Reflux in Children: A Meta-Analysis. World J. Urol. 2019, 37, 2245–2255. [Google Scholar] [CrossRef]
- Woźniak, M.M.; Pawelec, A.; Wieczorek, A.P.; Zajączkowska, M.M.; Borzęcka, H.; Nachulewicz, P. 2D/3D/4D Contrast-Enhanced Voiding Urosonography in the Diagnosis and Monitoring of Treatment of Vesicoureteral Reflux in Children—Can It Replace Voiding Cystourethrography? J. Ultrason. 2013, 13, 394–407. [Google Scholar] [CrossRef] [PubMed]
- Wong, L.S.; Tse, K.S.; Fan, T.W.; Kwok, K.Y.; Tsang, T.K.; Fung, H.S.; Chan, W.; Lee, K.W.; Leung, M.W.Y.; Chao, N.S.Y.; et al. Voiding Urosonography with Second-Generation Ultrasound Contrast versus Micturating Cystourethrography in the Diagnosis of Vesicoureteric Reflux. Eur. J. Pediatr. 2014, 173, 1095–1101. [Google Scholar] [CrossRef]
- Jottrand, Z.; Metens, T.; Cassart, M.; Avni, F.; D’Hondt, A. Contrast Media Viscosity and Its Potential Effect on the Diagnosis of Vesicoureteral Reflux in Children. Eur. Radiol. 2024, 35, 1615–1622. [Google Scholar] [CrossRef]
- Bartges, J.W.; Callens, A.J. Congenital Diseases of the Lower Urinary Tract. Vet. Clin. N. Am. Small Anim. Pract. 2015, 45, 703–719. [Google Scholar] [CrossRef]
- De La Cruz, J.E.; Fernández, I.; Sanz-Migueláñez, J.L.; Fernández-Aparicio, T.; Sánchez-Margallo, F.M.; Soria, F. Assessment of the Grades of Vesicoureteral Reflux in Stented Ureters: An Experimental Study. Urol. Int. 2021, 105, 554–559. [Google Scholar] [CrossRef] [PubMed]
- Barnewolt, C.E.; Acharya, P.T.; Aguirre Pascual, E.; Back, S.J.; Beltrán Salazar, V.P.; Chan, P.K.J.; Chow, J.S.; Coca Robinot, D.; Darge, K.; Duran, C.; et al. Contrast-Enhanced Voiding Urosonography Part 2: Urethral Imaging. Pediatr. Radiol. 2021, 51, 2368–2386. [Google Scholar] [CrossRef]
- Seiler, G.S.; Brown, J.C.; Reetz, J.A.; Taeymans, O.; Bucknoff, M.; Rossi, F.; Ohlerth, S.; Alder, D.; Rademacher, N.; Drost, W.T.; et al. Safety of Contrast-Enhanced Ultrasonography in Dogs and Cats: 488 Cases (2002–2011). J. Am. Vet. Med. Assoc. 2013, 242, 1255–1259. [Google Scholar] [CrossRef] [PubMed]
- Haers, H.; Saunders, J.H. Review of Clinical Characteristics and Applications of Contrast-Enhanced Ultrasonography in Dogs. J. Am. Vet. Med. Assoc. 2009, 234, 460–470. [Google Scholar] [CrossRef]
- Lee, D.; Yoon, S.; Kim, C.; Choi, J. A Comparative Study of Sono-urethrography Using Saline, Agitated Saline, and an Ultrasound Contrast Agent in Normal Beagles. Vet. Radiol. Ultrasound 2021, 62, 342–349. [Google Scholar] [CrossRef]


| VUR Grading | |
|---|---|
| Grade I | Refluxing microbubbles in the ureter, which is not dilated. |
| Grade II | Refluxing microbubbles in the kidney collecting system, which is not dilated. |
| Grade III | Refluxing microbubbles fill the kidney collecting system with mild dilation and without change in its morphology. |
| Grade IV | Refluxing microbubbles fill the kidney collecting system, with moderate dilation and blunting of the renal fornices but with papillary impressions still visible. |
| Grade V | Refluxing microbubbles fill the kidney collecting system with marked dilation and loss of papillary impressions and tortuous course of the dilated ureter. |
| Dog | CE-VUS (Grade I–V) | RCUG (Grade I–V) | ||
|---|---|---|---|---|
| Right UU | Left UU | Right UU | Left UU | |
| 1 | Grade II | Grade II | Grade II | Grade II |
| 2 | Grade II | No VUR | No VUR | No VUR |
| 3 | No VUR | Grade II | No VUR | Grade II |
| 4 | No VUR | Grade II | No VUR | Grade II |
| 5 | Grade II * | Grade III * | Grade II * | Grade III * |
| 6 | Grade II | Grade II * | Grade II | Grade II * |
| 7 | Grade II | Grade II | Grade II | Grade II |
| 8 | Grade II | Grade II | Grade II | Grade II |
| 9 | Grade II | Grade II | Grade II | No VUR |
| 10 | Grade II | Grade II | No VUR | No VUR |
| 11 | Grade II | Grade II | No VUR | No VUR |
| 12 | Grade II | Grade II | Grade II | Grade II |
| 13 | Grade IV * | No VUR | Grade IV * | Grade II |
| Variable | CE-VUS − n (%) | CE-VUS + n (%) | p | |
|---|---|---|---|---|
| Age (months) | <6 months | 26 (53%) | 7 (54%) | 1 |
| ≥6 months | 23 (47%) | 6 (46%) | ||
| Breed | Mixed | 21 (43%) | 3 (23%) | 0.53 |
| Purebred | 28 (57%) | 10 (77%) | ||
| Sex | Male | 30 (61%) | 4 (31%) | 0.03 |
| Female | 19 (39%) | 9 (69%) | ||
| Body weight | <5 kg | 16 (33%) | 5 (38,5%) | 0.63 |
| ≥5 kg to 10 kg | 17 (34%) | 5 (38,5%) | ||
| ≥10 kg | 16 (33%) | 3 (23%) | ||
| Reason of presentation | Health check | 47 (96%) | 8 (62%) | <0.01 |
| Second opinion diagnostic investigation | 2 (4%) | 5 (38%) | ||
| US findings | No | 43 (88%) | 10 (77%) | 0.19 |
| Yes | 6 (12%) | 3 (23%) | ||
| Sedation | No | 30 (61%) | 6 (46%) | 0.23 |
| Yes | 19 (39%) | 7 (54%) | ||
Disclaimer/Publisher’s Note: The statements, opinions and data contained in all publications are solely those of the individual author(s) and contributor(s) and not of MDPI and/or the editor(s). MDPI and/or the editor(s) disclaim responsibility for any injury to people or property resulting from any ideas, methods, instructions or products referred to in the content. |
© 2025 by the authors. Licensee MDPI, Basel, Switzerland. This article is an open access article distributed under the terms and conditions of the Creative Commons Attribution (CC BY) license (https://creativecommons.org/licenses/by/4.0/).
Share and Cite
Trikoupi, G.; Papadopoulou, P.; Adamama-Moraitou, K.K.; Filippitzi, M.E.; Deftereos, S.; Koutinas, C.; Patsikas, M.; Papadopoulou, F. A Comparison of Contrast-Enhanced Voiding Urosonography (CE-VUS) and Contrast Retrograde Cystourethrography (RCUG) for the Detection of Vesicoureteral Reflux in Young Dogs. Animals 2025, 15, 1918. https://doi.org/10.3390/ani15131918
Trikoupi G, Papadopoulou P, Adamama-Moraitou KK, Filippitzi ME, Deftereos S, Koutinas C, Patsikas M, Papadopoulou F. A Comparison of Contrast-Enhanced Voiding Urosonography (CE-VUS) and Contrast Retrograde Cystourethrography (RCUG) for the Detection of Vesicoureteral Reflux in Young Dogs. Animals. 2025; 15(13):1918. https://doi.org/10.3390/ani15131918
Chicago/Turabian StyleTrikoupi, Georgia, Paraskevi Papadopoulou, Katerina K. Adamama-Moraitou, Maria Eleni Filippitzi, Savvas Deftereos, Christos Koutinas, Michail Patsikas, and Frederica Papadopoulou. 2025. "A Comparison of Contrast-Enhanced Voiding Urosonography (CE-VUS) and Contrast Retrograde Cystourethrography (RCUG) for the Detection of Vesicoureteral Reflux in Young Dogs" Animals 15, no. 13: 1918. https://doi.org/10.3390/ani15131918
APA StyleTrikoupi, G., Papadopoulou, P., Adamama-Moraitou, K. K., Filippitzi, M. E., Deftereos, S., Koutinas, C., Patsikas, M., & Papadopoulou, F. (2025). A Comparison of Contrast-Enhanced Voiding Urosonography (CE-VUS) and Contrast Retrograde Cystourethrography (RCUG) for the Detection of Vesicoureteral Reflux in Young Dogs. Animals, 15(13), 1918. https://doi.org/10.3390/ani15131918

