Improvements in Blood Profiles of Canines Naturally Infected with Triple Blood Pathogens (Babesia vogeli, Ehrlichia canis, and Anaplasma platys) Subsequent to Doxycycline Monotherapy
Simple Summary
Abstract
1. Introduction
2. Materials and Methods
2.1. Ethical Statement
2.2. Animals and Blood Samples
2.3. Hematology and Serum Biochemistry Analysis
2.4. Treatment of Multiple Pathogen Infection
2.5. Detecting Blood Pathogen with Polymerase Chain Reaction (PCR)
2.6. Statistical Analysis
3. Results
3.1. Screening Blood Pathogens
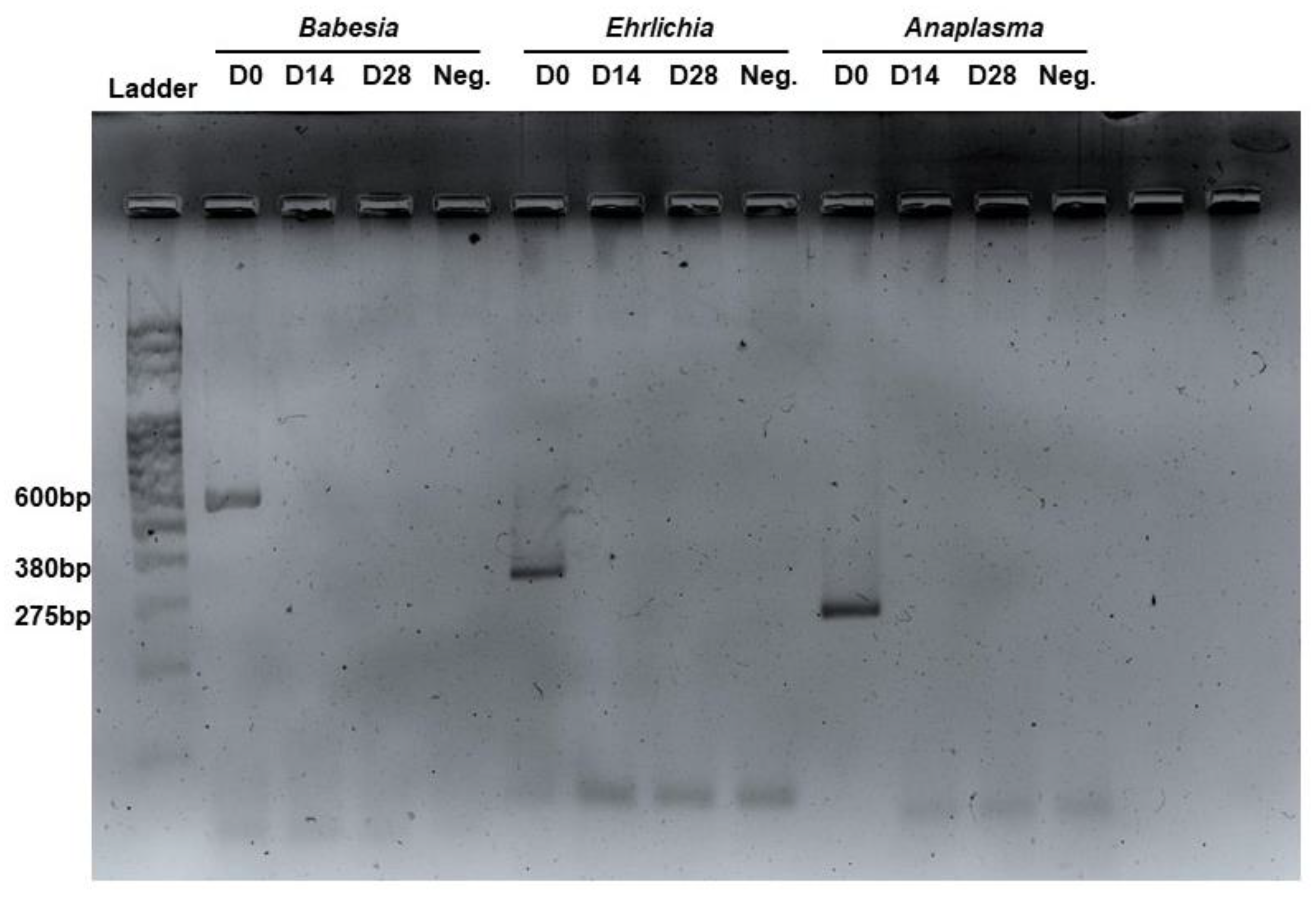
3.2. The Presence of Blood Pathogens After Treatment with Doxycycline
3.3. Red Blood Cell and Platelet Parameters of Triple Blood Pathogen Infection Before and After Treatment
3.4. Prevalence of Anemia and Thrombocytopenia Before and After Treatment
3.5. White Blood Cell Parameters of Triple Pathogen Infection Before and After Treatment
3.6. Serum Biochemistry Before and After Treatment
3.7. The Prevalence of Hepatic and Renal Injuries
3.8. Trend of Recovery
4. Discussion
4.1. Blood Pathogen Infections
4.2. Blood Profiles
4.3. Treatment and Further Studies
5. Conclusions
Author Contributions
Funding
Institutional Review Board Statement
Informed Consent Statement
Data Availability Statement
Acknowledgments
Conflicts of Interest
References
- Colella, V.; Nguyen, V.L.; Tan, D.Y.; Lu, N.; Fang, F.; Zhijuan, Y.; Wang, J.; Liu, X.; Chen, X.; Dong, J.; et al. Zoonotic vector-borne pathogens and ectoparasites of dogs and cats in Eastern and Southeast Asia. Emerg. Infect. Dis. 2020, 26, 1221. [Google Scholar] [CrossRef] [PubMed]
- Sontigun, N.; Boonhoh, W.; Fungwithaya, P.; Wongtawan, T. Multiple blood pathogen infections in apparently healthy sheltered dogs in southern Thailand. Int. J. Vet. Sci. Med. 2022, 10, 64–71. [Google Scholar] [CrossRef] [PubMed]
- Boonhoh, W.; Sontigun, N.; Fungwithaya, P.; Wongtawan, T. Hematological analysis of naturally infecting blood parasites in dogs. Vet. World 2023, 16, 681–686. [Google Scholar] [CrossRef] [PubMed]
- Boonhoh, W.; Wongtawan, T.; Sriphavatsarakom, P.; Waran, N.; Boonkaewwan, C. The validation of Thai version of canine behavioral assessment and research questionnaire (C-BARQ) and the exploration of dog ownership in Thailand. J. Vet. Behav. 2023, 68, 7–14. [Google Scholar] [CrossRef]
- Fungwithaya, P.; Boonhoh, W.; Sontigun, N.; Hayakijkosol, O.; Klangbud, W.K.; Wongtawan, T. Seroprevalence of melioidosis and its association with blood profiles and pathogens in sheltered dogs in southern Thailand. Vet. World 2024, 17, 705–711. [Google Scholar] [CrossRef]
- Sontigun, N.; Boonhoh, W.; Phetcharat, Y.; Wongtawan, T. First study on molecular detection of hemopathogens in tabanid flies (Diptera: Tabanidae) and cattle in Southern Thailand. Vet. World 2022, 15, 2089–2094. [Google Scholar] [CrossRef]
- Do, T.; Phoosangwalthong, P.; Kamyingkird, K.; Kengradomkij, C.; Chimnoi, W.; Inpankaew, T. Molecular detection of tick-borne pathogens in stray dogs and Rhipicephalus sanguineus sensu lato ticks from Bangkok, Thailand. Pathogens 2021, 10, 561. [Google Scholar] [CrossRef]
- Zhang, J.; Wang, J.; Kelly, P.J.; Zhang, Y.; Li, M.; Li, J.; Zhang, R.; Wang, Y.; Huang, K.; You, J.; et al. Experimental infection and co-infection with Chinese strains of Ehrlichia canis and Babesia vogeli in intact and splenectomized dogs: Insights on clinical, hematologic and treatment responses. Vet. Parasitol. 2023, 323, 110032. [Google Scholar] [CrossRef]
- Sainz, Á.; Roura, X.; Miró, G.; Estrada-Peña, A.; Kohn, B.; Harrus, S.; Solano-Gallego, L. Guideline for veterinary practitioners on canine ehrlichiosis and anaplasmosis in Europe. Parasit. Vectors 2015, 8, 75. [Google Scholar] [CrossRef]
- Yancey, C.B.; Diniz, P.P.V.P.; Breitschwerdt, E.B.; Hegarty, B.C.; Wiesen, C.; Qurollo, B.A. Doxycycline treatment efficacy in dogs with naturally occurring Anaplasma phagocytophilum infection. J. Small Anim. Pract. 2018, 59, 286–293. [Google Scholar] [CrossRef]
- Schulz, B.S.; Hupfauer, S.; Ammer, H.; Sauter-Louis, C.; Hartmann, K. Suspected side effects of doxycycline use in dogs-a retrospective study of 386 cases. Vet. Rec. 2011, 169, 229. [Google Scholar] [CrossRef]
- Kirk, S.K.; Levy, J.K.; Crawford, P.C. Efficacy of azithromycin and compounded atovaquone for treatment of Babesia gibsoni in dogs. J. Vet. Intern. Med. 2017, 31, 1108–1112. [Google Scholar] [CrossRef] [PubMed]
- Salant, H.; Nachum-Biala, Y.; Zivotofsky, D.; Tzur, T.E.; Baneth, G. Babesia negevi infection in dogs and response to treatment. Ticks Tick Borne Dis. 2024, 15, 102282. [Google Scholar] [CrossRef] [PubMed]
- Baneth, G. Antiprotozoal treatment of canine babesiosis. Vet. Parasitol. 2018, 254, 58–63. [Google Scholar] [CrossRef] [PubMed]
- Checa, R.; Montoya, A.; Ortega, N.; González-Fraga, J.L.; Bartolomé, A.; Gálvez, R.; Marino, V.; Miró, G. Efficacy, safety and tolerance of imidocarb dipropionate versus atovaquone or buparvaquone plus azithromycin used to treat sick dogs naturally infected with the Babesia microti-like piroplasm. Parasit. Vectors. 2017, 10, 145. [Google Scholar] [CrossRef]
- Krause, P.J.; Lepore, T.; Sikand, V.K.; Gadbaw, J.; Burke, G., Jr.; Telford, S.R., III; Brassard, P.; Pearl, D.; Azlanzadeh, J.; Christianson, D.; et al. Atovaquone and azithromycin for the treatment of babesiosis. N. Engl. J. Med. 2000, 343, 1454–1458. [Google Scholar] [CrossRef]
- Gaunt, S.D.; Beall, M.J.; Stillman, B.A.; Lorentzen, L.; Diniz, P.P.; Chandrashekar, R.; Breitschwerdt, E.B. Experimental infection and co-infection of dogs with Anaplasma platys and Ehrlichia canis: Hematologic, serologic and molecular findings. Parasit. Vectors 2010, 3, 33. [Google Scholar] [CrossRef]
- Niwetpathomwat, A. A retrospective study of the therapeutic efficacy of doxycycline on concurrent canine ehrlichiosis and babesiosis in a veterinary hospital population. Comp. Clin. Path. 2006, 15, 215–219. [Google Scholar] [CrossRef]
- Casiraghi, M.; Anderson, T.J.; Bandi, C.; Bazzocchi, C.; Genchi, C. A phylogenetic analysis of filarial nematodes: Comparison with the phylogeny of Wolbachia endosymbionts. Parasitology 2001, 122, 93–103. [Google Scholar] [CrossRef]
- Duarte, S.C.; Linhares, G.F.; Romanowsky, T.N.; da Silveira Neto, O.J.; Borges, L.M. Assessment of primers designed for the subspecies-specific discrimination among Babesia canis canis, Babesia canis vogeli and Babesia canis rossi by PCR assay. Vet. Parasitol. 2008, 152, 16–20. [Google Scholar] [CrossRef]
- Kledmanee, K.; Suwanpakdee, S.; Krajangwong, S.; Chatsiriwech, J.; Suksai, P.; Suwannachat, P.; Sariya, L.; Buddhirongawatr, R.; Charoonrut, P.; Chaichoun, K. Development of multiplex polymerase chain reaction for detection of Ehrlichia canis, Babesia spp and Hepatozoon canis in canine blood. Southeast. Asian J. Trop. Med. Public. Health 2009, 40, 35–39. [Google Scholar] [PubMed]
- Njiru, Z.K.; Constantine, C.C.; Guya, S.; Crowther, J.; Kiragu, J.M.; Thompson, R.C.; Dávila, A.M. The use of ITS1 rDNA PCR in detecting pathogenic African trypanosomes. Parasitol. Res. 2005, 95, 186–192. [Google Scholar] [CrossRef] [PubMed]
- Trotta, M.; Fogliazza, A.; Furlanello, T.; Solano-Gallego, L. A molecular and serological study of exposure to tick-borne pathogens in sick dogs from Italy. Clin Microbiol. Infect. 2009, 15, 62–63. [Google Scholar] [CrossRef] [PubMed]
- Rucksaken, R.; Maneeruttanarungroj, C.; Maswanna, T.; Sussadee, M.; Kanbutra, P. Comparison of conventional polymerase chain reaction and routine blood smear for the detection of Babesia canis, Hepatozoon canis, Ehrlichia canis, and Anaplasma platys in Buriram Province, Thailand. Vet. World. 2019, 12, 700–705. [Google Scholar] [CrossRef] [PubMed]
- Jittapalapong, S.; Rungphisutthipongse, O.; Maruyama, S.; Schaefer, J.J.; Stich, R.W. Detection of Hepatozoon canis in stray dogs and cats in Bangkok, Thailand. Ann. N. Y. Acad. Sci. 2006, 1081, 479–488. [Google Scholar] [CrossRef]
- Siriyasatien, P.; Intayot, P.; Sawaswong, V.; Preativatanyou, K.; Wacharapluesadee, S.; Boonserm, R.; Sor-Suwan, S.; Ayuyoe, P.; Cantos-Barreda, A.; Phumee, A. Description of potential vectors of zoonotic filarial nematodes, Brugia pahangi, Setaria digitata, and Setaria labiatopapillosa in Thai mosquitoes. Heliyon 2023, 9, e13255. [Google Scholar] [CrossRef]
- McCall, J.W.; Mansour, A.; DiCosty, U.; Fricks, C.; McCall, S.; Dzimianski, M.T. Long-term evaluation of viability of microfilariae and intravenously transplanted adult Dirofilaria immitis in microfilaremic dogs treated with low-dose, short- and long-treatment regimens of doxycycline and ivermectin. Parasites Vectors 2023, 16, 190. [Google Scholar] [CrossRef]
- Nguyen, V.L.; Iatta, R.; Manoj, R.R.S.; Colella, V.; Bezerra-Santos, M.A.; Mendoza-Roldan, J.A.; Otranto, D. Molecular detection of Trypanosoma evansi in dogs from India and southeast Asia. Acta Tropica 2021, 220, 105935. [Google Scholar] [CrossRef]
- Defontis, M.; Richartz, J.; Engelmann, N.; Bauer, C.; Schwierk, V.M.; Büscher, P.; Moritz, A. Canine Trypanosoma evansi infection introduced into Germany. Vet. Clin. Pathol. 2012, 41, 369–374. [Google Scholar] [CrossRef]
- Kamyingkird, K.; Chalermwong, P.; Saechan, V.; Kaewnoi, D.; Desquesnes, M.; Ngasaman, R. Investigation of Trypanosoma evansi infection in bullfighting cattle in Southern Thailand. Vet. World 2020, 13, 1674–1678. [Google Scholar] [CrossRef]
- Riana, E.; Arnuphapprasert, A.; Narapakdeesakul, D.; Ngamprasertwong, T.; Wangthongchaicharoen, M.; Soisook, P.; Bhodhibundit, P.; Kaewthamasorn, M. Molecular detection of Trypanosoma (Trypanosomatidae) in bats from Thailand, with their phylogenetic relationships. Parasitology 2022, 149, 654–666. [Google Scholar] [CrossRef] [PubMed]
- Sunantaraporn, A.T.; Phumee, A.; Sor-Suwan, S.; Boonserm, R.; Bellis, G.S. Culicoides Latreille (Diptera: Ceratopogonidae) as potential vectors for Leishmania martiniquensis and Trypanosoma sp. in northern Thailand. PLoS Negl. Trop. Dis. 2021, 15, e0010014. [Google Scholar] [CrossRef] [PubMed]
- Tanthanathipchai, N.; Mitsuwan, W.; Chaisiri, K.; Thaikoed, S.; de Lourdes Pereira, M.; Paul, A.K.; Saengsawang, P. Trypanosoma lewisi in blood of Rattus rattus complex residing in human settlements, Nakhon Si Thammarat, Thailand: Microscopic and molecular investigations. Comp. Immunol. Microbiol. Infect. Dis. 2023, 98, 102010. [Google Scholar] [CrossRef] [PubMed]
- Villaescusa, A.; Tesouro, M.A.; García-Sancho, M.; Ayllón, T.; Rodríguez-Franco, F.; Sainz, A. Evaluation of peripheral blood lymphocyte subsets in family-owned dogs naturally infected by Ehrlichia canis. Comp. Immunol. Microbiol. Infect. Dis. 2012, 35, 391–396. [Google Scholar] [CrossRef]
- LeVine, D.N.; Goggs, R.; Kohn, B.; Mackin, A.J.; Kidd, L.; Garden, O.A.; Brooks, M.B.; Eldermire, E.R.B.; Abrams-Ogg, A.; Appleman, E.H.; et al. ACVIM consensus statement on the treatment of immune thrombocytopenia in dogs and cats. J. Vet. Intern. Med. 2024, 38, 1982–2007. [Google Scholar] [CrossRef]
- Angkanaporn, K.; Sanguanwai, J.; Baiyokvichit, T.O.; Vorrachotvarittorn, P.; Wongsompong, M.; Sukhumavasi, W. Retrospective analysis of canine monocytic ehrlichiosis in Thailand with emphasis on hematological and ultrasonographic changes. Vet. World 2022, 15, 1–9. [Google Scholar] [CrossRef]
- Kottadamane, M.R.; Dhaliwal, P.S.; das Singla, L.; Bansal, B.K.; Uppal, S.K. Clinical and hematobiochemical response in canine monocytic ehrlichiosis seropositive dogs of punjab. Vet. World 2017, 10, 255–261. [Google Scholar] [CrossRef]
- Bilwal, A.K.; Mandali, G.C.; Tandel, F.B. Clinicopathological alterations in naturally occurring Babesia gibsoni infection in dogs of Middle-South Gujarat, India. Vet. World 2017, 10, 1227–1232. [Google Scholar] [CrossRef][Green Version]
- Ybañez, A.P.; Ybañez, R.H.D.; Villavelez, R.R.; Malingin, H.P.F.; Barrameda, D.N.M.; Naquila, S.V.; Olimpos, S.M.B. Retrospective analyses of dogs found serologically positive for Ehrlichia canis in Cebu, Philippines from 2003 to 2014. Vet. World 2016, 9, 43–47. [Google Scholar] [CrossRef]
- Huang, L.; Sun, Y.; Huo, D.D.; Xu, M.; Xia, L.Y.; Yang, N.; Hong, W.; Huang, L.; Nie, W.M.; Liao, R.H.; et al. Successful treatment with doxycycline monotherapy for human infection with Babesia venatorum (Babesiidae, Sporozoa) in China: A case report and proposal for a clinical regimen. Infect. Dis. Poverty 2023, 12, 67. [Google Scholar] [CrossRef]
- Almendros, A.; Burchell, R.; Wierenga, J. An alternative combination therapy with metronidazole, clindamycin and doxycycline for babesia gibsoni (Asian genotype) in dogs in Hong Kong. J. Vet. Med. Sci. 2020, 82, 1334–1340. [Google Scholar] [CrossRef] [PubMed]
- Ra, B.; Nisar, Y.; Rehman, F.; Najar, I.M.; Muhee, A.; Yatoo, M.I. Diagnosis and treatment of canine babesiosis in dogs. J. Dairy Vet. Anim. Res. 2019, 8, 139–140. [Google Scholar] [CrossRef]
- Trouillas, P.; Franck, M. Complete remission in paralytic late tick-borne neurological disease comprising mixed involvement of borrelia, babesia, anaplasma, and bartonella: Use of long-term treatments with antibiotics and antiparasitics in a series of 10 cases. Antibiotics 2023, 12, 1021. [Google Scholar] [CrossRef]
- Marcos, L.A.; Wormser, G.P. Relapsing babesiosis with molecular evidence of resistance to certain antimicrobials commonly used to treat Babesia microti infections. Open Forum Infect. Dis. 2023, 10, ofad391. [Google Scholar] [CrossRef] [PubMed]
- Papp, M.; Tóth, A.G.; Valcz, G.; Makrai, L.; Nagy, S.Á.; Farkas, R.; Solymosi, N. Antimicrobial resistance gene lack in tick-borne pathogenic bacteria. Sci. Rep. 2023, 13, 8167. [Google Scholar] [CrossRef] [PubMed]
- Shahbazi, P.; Nouri Gharajalar, S.; Mohebbi, K.; Taeb, J.; Hashemzadeh Farhang, H.; Nikvand, A.A.; Norouzi, R. First survey on the presence and distribution of oxytetracycline-resistance genes in anaplasma species. Acta Parasitol. 2021, 66, 501–507. [Google Scholar] [CrossRef]



| Pathogen | Gene | Primer | Sequences (5′ to 3′) | Product Size (bp) | Annealing Temperature |
|---|---|---|---|---|---|
| Babesia vogeli | 18S rRNA | F | GTGAACCTTATCACTTAAAGG | ~600 | 54 °C |
| R | CAACTCCTCCACGCAATCG | ||||
| Ehrlichia canis | virB9 protein gene | F | CCATAAGCATAGCTGATAACCCTGTTACAA | 380 | 54 °C |
| R | TGGATAATAAAACCGTACTATGTATGCTAG | ||||
| Hepatozoon canis | 18S rRNA | F | CCTGGCTATACATGAGCAAAATCTCAACTT | 737 | 54 °C |
| R | CCAACTGTCCCTATCAATCATTAAAGC | ||||
| Anaplasma platys | GroeL | F | TAGCTAAGGAAGCGTAGTCCGA | 275 | 58 °C |
| R | AATAGCCGCAGCGAGCGGTTCC | ||||
| Trypanosoma spp. | ITS1 | F | CCGGAAGTTCACCGATATTG | 250–700 | 58 °C |
| R | TGCTGCGTTCTTCAACGAA | ||||
| Filarial nematodes | COI | F | TGATTGGTGGTTT TGGTAA | 690 | 52 °C |
| R | ATAAGTACGAGTATCAATATC |
| N | % | |
|---|---|---|
| Negative | 214 | 57.07% |
| Single infection | 87 | 23.20% |
| E. canis | 79 | 21.07% |
| A. platys | 3 | 0.80% |
| H. canis | 2 | 0.53% |
| B. vogeli | 3 | 0.80% |
| Trypanosome spp. | 0 | 0.00% |
| Dirofilaria spp. | 0 | 0.00% |
| Double infection | 40 | 10.67% |
| E. canis + A. platys | 14 | 3.73% |
| E. canis + B. vogeli | 23 | 6.13% |
| E. canis + Trypanosome spp. | 1 | 0.27% |
| E. canis + H. canis | 2 | 0.53% |
| Triple infection A. platys + E. canis + B. vogeli | 34 | 9.07% |
| Total infection | 161 | 42.93% |
| Day | RBC ×106/µL | HCT % | HGB g/dL | RET ×103/µL | PLT ×103 cell/µL | MPV fL |
|---|---|---|---|---|---|---|
| 0 | 4.14 ± 1.44 a | 24.21 ± 7.84 a | 8.17 ± 3.21 a | 105.89 ± 125.42 | 75.35 ± 72.61 a | 16.09 ± 3.65 a |
| 14 | 5.15 ± 1.21 b | 29.83 ± 7.56 b | 10.33 ± 2.53 b | 72.87 ± 42.01 | 143.71 ± 101.36 b | 14.04 ± 2.33 b |
| 28 | 5.87 ± 1.28 c | 33.35 ± 7.08 c | 11.64 ± 2.69 c | 64.70 ± 37.23 | 162.24 ± 85.74 b | 13.73 ± 1.87 b |
| 42 | 6.28 ± 1.19 c,d | 35.41 ± 7.68 d | 12.45 ± 2.71 d | 54.05 ± 29.62 | 171.65 ± 101.21 b,c | 13.57 ± 1.68 b |
| 56 | 6.35 ± 1.27 d | 35.76 ± 7.91 d | 12.57 ± 2.77 d | 56.29 ± 28.12 | 171.32 ± 73.81 b,c | 13.73 ± 2.04 b |
| 70 | 6.49 ± 1.25 d | 36.74 ± 7.97 d | 14.22 ± 8.36 d | 66.63 ± 51.54 | 180.68 ± 106.28 c | 13.62 ± 1.61 b |
| p-value | <0.01 | <0.05 | <0.05 | >0.05 | <0.01 | <0.01 |
| Reference value | 5–8 | 35–61 | 12–20 | 10–110 | 125–400 | 8–13 |
| Anemia | Thrombocytopenia | |||
|---|---|---|---|---|
| Day | RBC < 5 × 106/µL | HCT < 35% | HGB < 12 g/dL | Platelet < 125 × 103/µL |
| 0 | 23 (67.65%) a | 30 (88.24%) a | 30 (88.24%) a | 31 (91.18%) a |
| 14 | 15 (44.12%) b | 23 (67.65%) b | 24 (70.89%) b | 16 (47.06%) b |
| 28 | 9 (26.47%) b,c | 16 (47.06%) c | 16 (47.06%) c | 13 (38.24%) b |
| 42 | 7 (20.59%) c | 14 (41.18%) c | 13 (38.24%) c | 12 (35.29%) b |
| 56 | 7 (20.59%) c | 13 (38.24%) c | 12 (35.29%) c | 11 (32.35%) b |
| 70 | 4 (11.76%) c | 12 (35.29%) c | 12 (35.29%) c | 11 (32.35%) b |
| p-value | <0.02 | <0.02 | <0.02 | <0.01 |
| Day | WBC ×103/µL | NEU ×103/µL | LYM ×103/µL | MON ×103/µL | EOS ×103/µL | BAS ×103/µL |
|---|---|---|---|---|---|---|
| 0 | 12.95 ± 6.05 | 8.40 ± 4.88 | 2.76 ± 1.78 | 1.23 ± 0.71 a | 0.49 ± 0.43 a | 0.07 ± 0.008 |
| 14 | 11.04 ± 4.56 | 6.72 ± 3.55 | 2.74 ± 1.85 | 0.84 ± 0.46 b | 0.64 ± 0.45 a | 0.11 ± 0.10 |
| 28 | 11.53 ± 3.89 | 6.73 ± 3.13 | 2.42 ± 1.31 | 0.76 ± 2.63 c | 0.87 ± 0.65 a | 0.63 ± 2.70 |
| 42 | 11.27 ± 3.74 | 6.98 ± 2.53 | 2.32 ± 1.09 | 0.75 ± 0.37 d | 1.07 ± 0.66 b | 0.15 ± 0.18 |
| 56 | 11.95 ± 4.10 | 7.31 ± 2.57 | 2.48 ± 1.18 | 0.76 ± 0.38 d | 1.29 ± 1.21 b | 0.12 ± 0.13 |
| 70 | 11.93 ± 3.91 | 7.64 ± 3.68 | 2.63 ± 1.24 | 0.72 ± 0.38 d | 1.42 ± 1.12 b | 0.09 ± 0.09 |
| p-value | >0.05 | >0.05 | >0.05 | <0.01 | <0.01 | >0.05 |
| Reference value | 5–16 | 2–11 | 1–5 | 0.1–1 | 0.06–1 | 0–0.1 |
| Day | BUN mg/dL | CRE mg/dL | AST U/L | ALT U/L | ALP U/L | TP g/dL |
|---|---|---|---|---|---|---|
| 0 | 20.29 ± 19.01 | 1.03 ± 0.67 | 34.44 ± 12.69 a | 36.03 ± 29.34 | 66.35 ± 54.07 a | 10.13 ± 14.32 |
| 14 | 17.08 ± 13.73 | 0.97 ± 0.60 | 25.06 ± 7.21 b | 30.68 ± 20.12 | 68.09 ± 52.57 a | 9.04 ± 11.76 |
| 28 | 14.40 ± 5.69 | 1.03 ± 0.53 | 24.47 ± 7.16 b | 30.97 ± 23.13 | 50.88 ± 27.11 a,b | 6.61 ± 1.25 |
| 42 | 16.02 ± 5.26 | 1.04 ± 0.40 | 26.26 ± 7.74 b | 33.38 ± 31.71 | 42.56 ± 19.04 a,b | 7.77 ± 8.78 |
| 56 | 16.27 ± 6.02 | 1.07 ± 0.42 | 25.39 ± 7.97 b | 40.88 ± 40.78 | 39.61 ± 17.97 a,b | 6.10 ± 1.13 |
| 70 | 18.72 ± 4.98 | 1.09 ± 0.49 | 29.24 ± 10.69 b | 40.15 ± 35.65 | 37.24 ± 21.07 b | 6.43 ± 1.19 |
| p-value | >0.05 | >0.05 | <0.01 | >0.05 | <0.05 | >0.05 |
| Reference value | 7–26 | 0.5–1.8 | 0–56 | 10–95 | 23–150 | 5–7 |
| Hepatic Injury | Renal Injury | ||||
|---|---|---|---|---|---|
| Day | ALT > 95 U/L | AST > 56 U/L | ALP > 150 U/L | BUN > 26 mg/dL | CRE > 1.8 mg/dL |
| 0 | 1 (2.94%) | 2 (5.88%) | 4 (11.76%) | 7 (20.59%) | 3 (8.82%) |
| 14 | 1 (2.94%) | 0 (0.00%) | 3 (8.82%) | 3 (8.82%) | 2 (5.88%) |
| 28 | 1 (2.94%) | 0 (0.00%) | 0 (0.00%) | 1 (2.94%) | 2 (5.88%) |
| 42 | 1 (2.94%) | 0 (0.00%) | 0 (0.00%) | 0 (0.00%) | 1 (2.94%) |
| 56 | 2 (5.88%) | 0 (0.00%) | 0 (0.00%) | 0 (0.00%) | 1 (2.94%) |
| 70 | 2 (5.88%) | 1 (2.94%) | 0 (0.00%) | 0 (0.00%) | 1 (2.94%) |
| p-value | >0.05 | >0.05 | >0.05 | >0.05 | >0.05 |
Disclaimer/Publisher’s Note: The statements, opinions and data contained in all publications are solely those of the individual author(s) and contributor(s) and not of MDPI and/or the editor(s). MDPI and/or the editor(s) disclaim responsibility for any injury to people or property resulting from any ideas, methods, instructions or products referred to in the content. |
© 2024 by the authors. Licensee MDPI, Basel, Switzerland. This article is an open access article distributed under the terms and conditions of the Creative Commons Attribution (CC BY) license (https://creativecommons.org/licenses/by/4.0/).
Share and Cite
Wongtawan, T.; Sontigun, N.; Boonchuay, K.; Chiawwit, P.; Wongtawan, O.; Hayakijkosol, O.; Boonhoh, W. Improvements in Blood Profiles of Canines Naturally Infected with Triple Blood Pathogens (Babesia vogeli, Ehrlichia canis, and Anaplasma platys) Subsequent to Doxycycline Monotherapy. Animals 2024, 14, 3714. https://doi.org/10.3390/ani14243714
Wongtawan T, Sontigun N, Boonchuay K, Chiawwit P, Wongtawan O, Hayakijkosol O, Boonhoh W. Improvements in Blood Profiles of Canines Naturally Infected with Triple Blood Pathogens (Babesia vogeli, Ehrlichia canis, and Anaplasma platys) Subsequent to Doxycycline Monotherapy. Animals. 2024; 14(24):3714. https://doi.org/10.3390/ani14243714
Chicago/Turabian StyleWongtawan, Tuempong, Narin Sontigun, Kanpapat Boonchuay, Phatcharaporn Chiawwit, Oraphan Wongtawan, Orachun Hayakijkosol, and Worakan Boonhoh. 2024. "Improvements in Blood Profiles of Canines Naturally Infected with Triple Blood Pathogens (Babesia vogeli, Ehrlichia canis, and Anaplasma platys) Subsequent to Doxycycline Monotherapy" Animals 14, no. 24: 3714. https://doi.org/10.3390/ani14243714
APA StyleWongtawan, T., Sontigun, N., Boonchuay, K., Chiawwit, P., Wongtawan, O., Hayakijkosol, O., & Boonhoh, W. (2024). Improvements in Blood Profiles of Canines Naturally Infected with Triple Blood Pathogens (Babesia vogeli, Ehrlichia canis, and Anaplasma platys) Subsequent to Doxycycline Monotherapy. Animals, 14(24), 3714. https://doi.org/10.3390/ani14243714

