Comparative Analysis of Muscle Fibers in Selected Muscles of Working and Companion Dog Breeds
Simple Summary
Abstract
1. Introduction
2. Materials and Methods
2.1. Animals and Samples Collection
2.2. Samples Preparation
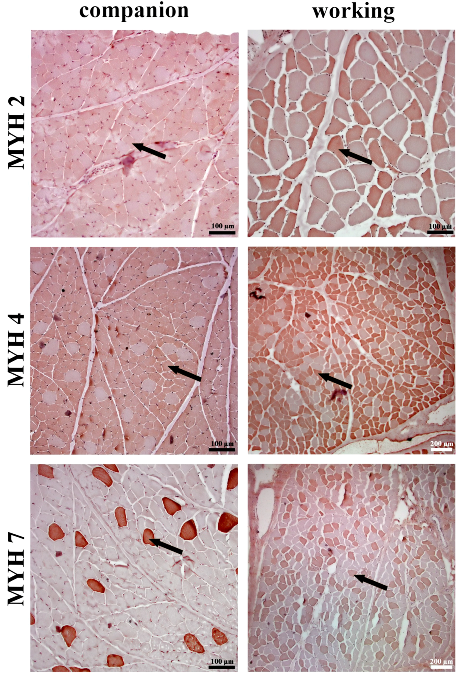
2.3. Immunohistochemistry
2.4. Morphometric Analysis
2.5. Statistical Analysis
3. Results
3.1. Triceps Brachii
3.2. Biceps Femoris
3.3. Fibers Distribution
3.4. Companion Breeds’ Muscle Comparison
3.5. Working Breeds’ Muscle Comparison
4. Discussion
5. Conclusions
Author Contributions
Funding
Institutional Review Board Statement
Informed Consent Statement
Data Availability Statement
Acknowledgments
Conflicts of Interest
References
- Frontera, W.R.; Ochala, J. Skeletal Muscle: A Brief Review of Structure and Function. Calcif. Tissue Int. 2015, 96, 183–195. [Google Scholar] [CrossRef] [PubMed]
- Daugaard, J.R.; Nielsen, J.N.; Kristiansen, S.; Andersen, J.L.; Hargreaves, M.; Richter, E.A. Fiber Type-Specific Expression of GLUT4 in Human Skeletal Muscle: Influence of Exercise Training. Diabetes 2000, 49, 1092–1095. [Google Scholar] [CrossRef]
- Van Boom, K.M.; Schoeman, J.P.; Steyl, J.C.A.; Kohn, T.A. Fiber Type and Metabolic Characteristics of Skeletal Muscle in 16 Breeds of Domestic Dogs. Anat. Rec. 2023, 306, 2572–2586. [Google Scholar] [CrossRef] [PubMed]
- Bradshaw, J.W.S. The Evolutionary Basis for the Feeding Behavior of Domestic Dogs (Canis familiaris) and Cats (Felis catus). J. Nutr. 2006, 136, 1927S–1931S. [Google Scholar] [CrossRef] [PubMed]
- Maxwell, L.C.; Barclay, J.K.; Mohrman, D.E.; Faulkner, J.A. Physiological Characteristics of Skeletal Muscles of Dogs and Cats. Am. J. Physiol. 1977, 233, C14–C18. [Google Scholar] [CrossRef]
- Schatz, K.Z.; Engelke, E.; Pfarrer, C. Comparative Morphometric Study of the Mimic Facial Muscles of Brachycephalic and Dolichocephalic Dogs. Anat. Histol. Embryol. 2021, 50, 863–875. [Google Scholar] [CrossRef]
- Kaminski, J.; Waller, B.M.; Diogo, R.; Hartstone-Rose, A.; Burrows, A.M. Evolution of Facial Muscle Anatomy in Dogs. Proc. Natl. Acad. Sci. USA 2019, 116, 14677–14681. [Google Scholar] [CrossRef]
- Hämäläinen, N.; Pette, D. Patterns of Myosin Isoforms in Mammalian Skeletal Muscle Fibres. Microsc. Res. Tech. 1995, 30, 381–389. [Google Scholar] [CrossRef]
- Schiaffino, S.; Reggiani, C. Fiber Types in Mammalian Skeletal Muscles. Physiol. Rev. 2011, 91, 1447–1531. [Google Scholar] [CrossRef]
- Bottinelli, R. Functional Heterogeneity of Mammalian Single Muscle Fibres: Do Myosin Isoforms Tell the Whole Story? Pflugers Arch. 2001, 443, 6–17. [Google Scholar] [CrossRef]
- Delp, M.D.; Duan, C. Composition and Size of Type I, IIA, IID/X, and IIB Fibers and Citrate Synthase Activity of Rat Muscle. J. Appl. Physiol. 1996, 80, 261–270. [Google Scholar] [CrossRef] [PubMed]
- Wang, C.; Yue, F.; Kuang, S. Muscle Histology Characterization Using H&E Staining and Muscle Fiber Type Classification Using Immunofluorescence Staining. Bio-protocol 2017, 7, e2279. [Google Scholar] [CrossRef]
- De Diego, M.; Casado, A.; Gómez, M.; Ciurana, N.; Rodríguez, P.; Avià, Y.; Cuesta-Torralvo, E.; García, N.; San José, I.; Barbosa, M.; et al. Elbow Extensor Muscles in Humans and Chimpanzees: Adaptations to Different Uses of the Upper Extremity in Hominoid Primates. Animals 2022, 12, 2987. [Google Scholar] [CrossRef]
- Tiwana, M.S.; Sinkler, M.A.; Bordoni, B. Anatomy, Shoulder and Upper Limb, Triceps Muscle; StatPearls Publishing: Treasure Island, FL, USA, 2024. [Google Scholar]
- Talbot, J.; Maves, L. Skeletal Muscle Fiber Type: Using Insights from Muscle Developmental Biology to Dissect Targets for Susceptibility and Resistance to Muscle Disease. Wiley Interdiscip. Rev. Dev. Biol. 2016, 5, 518. [Google Scholar] [CrossRef]
- Long, K.; Su, D.; Li, X.; Li, H.; Zeng, S.; Zhang, Y.; Zhong, Z.; Lin, Y.; Li, X.; Lu, L.; et al. Identification of Enhancers Responsible for the Coordinated Expression of Myosin Heavy Chain Isoforms in Skeletal Muscle. BMC Genom. 2022, 23, 519. [Google Scholar] [CrossRef] [PubMed]
- Toniolo, L.; Maccatrozzo, L.; Patruno, M.; Pavan, E.; Caliaro, F.; Rossi, R.; Rinaldi, C.; Canepari, M.; Reggiani, C.; Mascarello, F. Fiber Types in Canine Muscles: Myosin Isoform Expression and Functional Characterization. Am. J. Physiol. Cell Physiol. 2007, 292, C1915–C1926. [Google Scholar] [CrossRef]
- Andersen, P.; Henriksson, J. Training Induced Changes in the Subgroups of Human Type II Skeletal Muscle Fibres. Acta Physiol. Scand. 1977, 99, 123–125. [Google Scholar] [CrossRef]
- Guy, P.S.; Snow, D.H. Skeletal Muscle Fibre Composition in the Dog and Its Relationship to Athletic Ability. Res. Vet. Sci. 1981, 31, 244–248. [Google Scholar] [CrossRef]
- Acevedo, L.M.; Rivero, J.-L.L. New Insights into Skeletal Muscle Fibre Types in the Dog with Particular Focus towards Hybrid Myosin Phenotypes. Cell Tissue Res. 2006, 323, 283–303. [Google Scholar] [CrossRef]
- Agüera, E.; Diz, A.; Vazquez-Auton, J.M.; Vivo, J.; Monterde, J.G. Muscle Fibre Morphometry in Three Dog Muscles of Different Functional Purpose in Different Breeds. Anat. Histol. Embryol. 1990, 19, 289–293. [Google Scholar] [CrossRef]
- Kumar, A.; Accorsi, A.; Rhee, Y.; Girgenrath, M. Do’s and Don’ts in the Preparation of Muscle Cryosections for Histological Analysis. J. Vis. Exp. 2015, 99, e52793. [Google Scholar] [CrossRef]
- Sawano, S.; Mizunoya, W. History and Development of Staining Methods for Skeletal Muscle Fiber Types. Histol. Histopathol. 2022, 37, 493–503. [Google Scholar] [CrossRef]
- Arbatowska, L.; Osiak-Wicha, C.; Kras, K.; Woźniak, K.; Szymańczyk, S.; Tajchman, K.; Tomaszewska, E.; Muszyński, S.; Arciszewski, M.B. Noradrenergic, Galaninergic and Nitrergic Innervation of the Jejunum of Fallow Deer (Dama dama) Fed with Basket Willow (Salix viminali). Med. Weter. 2024, 80, 493–499. [Google Scholar]
- Schneider, C.A.; Rasband, W.S.; Eliceiri, K.W. NIH Image to ImageJ: 25 Years of Image Analysis. Nat. Methods 2012, 9, 671–675. [Google Scholar] [CrossRef]
- Kohn, T.A.; Burroughs, R.; Hartman, M.J.; Noakes, T.D. Fiber Type and Metabolic Characteristics of Lion (Panthera leo), Caracal (Caracal caracal) and Human Skeletal Muscle. Comp. Biochem. Physiol. A. Mol. Integr. Physiol. 2011, 159, 125–133. [Google Scholar] [CrossRef]
- Kuzon, W.M.; Rosenblatt, J.D.; Pynn, B.R.; Marchetti, P.J.; Plyley, M.J.; McKee, N.H. A Comparative Histochemical and Morphometric Study of Canine Skeletal Muscle. Can. J. Vet. Res. 1989, 53, 125–132. [Google Scholar]
- Lovell, A.J. No Matter the Type, When It Comes to Recovery All Fibres Are Similar. J. Physiol. 2021, 599, 1737–1738. [Google Scholar] [CrossRef]
- Relaix, F.; Zammit, P.S. Satellite Cells Are Essential for Skeletal Muscle Regeneration: The Cell on the Edge Returns Centre Stage. Dev. Camb. Engl. 2012, 139, 2845–2856. [Google Scholar] [CrossRef]
- Liu, W.; Klose, A.; Forman, S.; Paris, N.D.; Wei-LaPierre, L.; Cortés-Lopéz, M.; Tan, A.; Flaherty, M.; Miura, P.; Dirksen, R.T.; et al. Loss of Adult Skeletal Muscle Stem Cells Drives Age-Related Neuromuscular Junction Degeneration. eLife 2017, 6, e26464. [Google Scholar] [CrossRef]
- Buckley, K.H.; Nestor-Kalinoski, A.L.; Pizza, F.X. Positional Context of Myonuclear Transcription During Injury-Induced Muscle Regeneration. Front. Physiol. 2022, 13, 845504. [Google Scholar] [CrossRef] [PubMed]
- Spinella, G.; Arcamone, G.; Valentini, S. Cranial Cruciate Ligament Rupture in Dogs: Review on Biomechanics, Etiopathogenetic Factors and Rehabilitation. Vet. Sci. 2021, 8, 186. [Google Scholar] [CrossRef] [PubMed]
- Brioschi, V.; Arthurs, G.I. Cranial Cruciate Ligament Rupture in Small Dogs (<15 Kg): A Narrative Literature Review. J. Small Anim. Pract. 2021, 62, 1037–1050. [Google Scholar] [CrossRef] [PubMed]
- Qaisar, R.; Bhaskaran, S.; Van Remmen, H. Muscle Fiber Type Diversification during Exercise and Regeneration. Free Radic. Biol. Med. 2016, 98, 56–67. [Google Scholar] [CrossRef]
- Cornachione, A.S.; Benedini-Elias, P.C.O.; Polizello, J.C.; Carvalho, L.C.; Mattiello-Sverzut, A.C. Characterization of Fiber Types in Different Muscles of the Hindlimb in Female Weanling and Adult Wistar Rats. Acta Histochem. Cytochem. 2011, 44, 43. [Google Scholar] [CrossRef]
- Sewell, D.A.; Harris, R.C.; Marlin, D.J. Skeletal Muscle Characteristics in 2 Year-Old Race-Trained Thoroughbred Horses. Comp. Biochem. Physiol. Comp. Physiol. 1994, 108, 87–96. [Google Scholar] [CrossRef]
- Szarska, E.; Cywińska, A.; Ostaszewski, P.; Kowalska, A. Effectiveness of Training Programmes Used in Two Stables of Thoroughbred Race Horses. Pol. J. Vet. Sci. 2014, 17, 681–685. [Google Scholar] [CrossRef]
- Kohn, T.A.; Hoffman, L.C.; Myburgh, K.H. Identification of Myosin Heavy Chain Isoforms in Skeletal Muscle of Four Southern African Wild Ruminants. Comp. Biochem. Physiol. A. Mol. Integr. Physiol. 2007, 148, 399–407. [Google Scholar] [CrossRef]
- Curry, J.W.; Hohl, R.; Noakes, T.D.; Kohn, T.A. High Oxidative Capacity and Type IIx Fibre Content in Springbok and Fallow Deer Skeletal Muscle Suggest Fast Sprinters with a Resistance to Fatigue. J. Exp. Biol. 2012, 215, 3997. [Google Scholar] [CrossRef]
- Essén-Gustavsson, B.; Rehbinder, C. Skeletal Muscle Characteristics of Reindeer (Rangifer tarandus L.). Comp. Biochem. Physiol. A 1985, 82, 675–679. [Google Scholar] [CrossRef]
- Granatosky, M.C.; Fitzsimons, A.; Zeininger, A.; Schmitt, D. Mechanisms for the Functional Differentiation of the Propulsive and Braking Roles of the Forelimbs and Hindlimbs during Quadrupedal Walking in Primates and Felines. J. Exp. Biol. 2018, 221, jeb162917. [Google Scholar] [CrossRef]
- Thorpe, S.K.S.; Crompton, R.H.; Günther, M.M.; Ker, R.F.; McNeill Alexander, R. Dimensions and Moment Arms of the Hind- and Forelimb Muscles of Common Chimpanzees (Pan troglodytes). Am. J. Phys. Anthropol. 1999, 110, 179–199. [Google Scholar] [CrossRef]
- Braund, K.G.; McGuire, J.A.; Lincoln, C.E. Observations on Normal Skeletal Muscle of Mature Dogs: A Cytochemical, Histochemical, and Morphometric Study. Vet. Pathol. 1982, 19, 577–595. [Google Scholar] [CrossRef]
- De A Braga, S.; Padilha, F.G.F.; Ferreira, A.M.R. Evaluation of Muscle Fiber Types in German Shepherd Dogs of Different Ages. Anat. Rec. 2016, 299, 1540–1547. [Google Scholar] [CrossRef] [PubMed]







| Breed | Age (Years) | Weight (kg) | Sex |
|---|---|---|---|
| Companion Breeds | |||
| Miniature Pinscher | 8 | 5 | F |
| Shih Tzu | 7 | 7 | M |
| Pekingese | 9 | 6 | M |
| English Bulldog | 7 | 23 | F |
| French Bulldog | 6 | 14 | M |
| Yorkshire Terrier | 10 | 3 | F |
| Working Breeds | |||
| Labrador Retriever | 10 | 27 | F |
| Labrador Retriever | 8 | 30 | M |
| Golden Retriever | 7 | 31 | M |
| Dachshund Wirehaired | 10 | 11 | F |
| Border Collie | 11 | 12 | F |
| Jack Russel Terrier | 10 | 7 | F |
| Antibody | Host | Catalog Number | Dilution | Manufacturer |
|---|---|---|---|---|
| Primary antibody | ||||
| Anti–MYH2 | rabbit | 55069-1-AP | 1:50 | ProteinTech Group, Chicago, IL, USA |
| Anti–MYH4 | rabbit | 20140-1-AP | 1:200 | ProteinTech Group, Chicago, IL, USA |
| Anti–MYH7 | rabbit | DF12122 | 1:200 | Affinity Biosciences, Changzhou, China |
| Secondary antibody | ||||
| Anti-mouse/Anti-rabbit | goat | DPVB-HRP | RTU 1 | ImmunoLogic, Duiven, The Netherlands |
Disclaimer/Publisher’s Note: The statements, opinions and data contained in all publications are solely those of the individual author(s) and contributor(s) and not of MDPI and/or the editor(s). MDPI and/or the editor(s) disclaim responsibility for any injury to people or property resulting from any ideas, methods, instructions or products referred to in the content. |
© 2024 by the authors. Licensee MDPI, Basel, Switzerland. This article is an open access article distributed under the terms and conditions of the Creative Commons Attribution (CC BY) license (https://creativecommons.org/licenses/by/4.0/).
Share and Cite
Osiak-Wicha, C.; Kras, K.; Arciszewski, M.B. Comparative Analysis of Muscle Fibers in Selected Muscles of Working and Companion Dog Breeds. Animals 2024, 14, 3576. https://doi.org/10.3390/ani14243576
Osiak-Wicha C, Kras K, Arciszewski MB. Comparative Analysis of Muscle Fibers in Selected Muscles of Working and Companion Dog Breeds. Animals. 2024; 14(24):3576. https://doi.org/10.3390/ani14243576
Chicago/Turabian StyleOsiak-Wicha, Cezary, Katarzyna Kras, and Marcin B. Arciszewski. 2024. "Comparative Analysis of Muscle Fibers in Selected Muscles of Working and Companion Dog Breeds" Animals 14, no. 24: 3576. https://doi.org/10.3390/ani14243576
APA StyleOsiak-Wicha, C., Kras, K., & Arciszewski, M. B. (2024). Comparative Analysis of Muscle Fibers in Selected Muscles of Working and Companion Dog Breeds. Animals, 14(24), 3576. https://doi.org/10.3390/ani14243576

