Immunological Responses, Expression of Immune-Related Genes, and Disease Resistance of Rainbow Trout (Oncorhynchus mykiss) Fed Diets Supplied with Capsicum (Capsicum annuum) Oleoresin
Simple Summary
Abstract
1. Introduction
2. Materials and Methods
2.1. Fish and Experimental Setup
2.2. Experimental Feeds
2.3. Physical and Chemical Water Quality Analyses
2.4. Blood and Tissue Sampling
2.5. Hematological Analyses
2.6. Blood Biochemistry
2.7. Respiratory Burst Activity
2.8. Lysozyme Activity
2.9. Myeloperoxidase Activity
2.10. Gene Expression
2.11. Histological Analysis
2.12. Bacterial Challenge Test
2.13. Statistical Analyses
3. Results
3.1. Hematological Parameters
3.2. Serum Biochemical Parameters
3.3. Immune Responses
3.4. Expression Levels of Immune-Related Genes
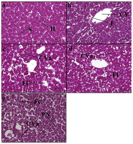
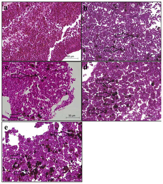
3.5. Histological Findings
3.5.1. Head Kidney Sections
3.5.2. Liver Sections
3.6. Histomorpholometric Results
3.7. Results of the Bacterial Challenge Test
4. Discussion
5. Conclusions
Author Contributions
Funding
Institutional Review Board Statement
Informed Consent Statement
Data Availability Statement
Conflicts of Interest
Appendix A
| Ingredients | Dietary Capsicum annuum Oleoresin Level (g/kg) | ||||
|---|---|---|---|---|---|
| CT (Control) | C7 | C14 | C21 | C28 | |
| Fish meal (Black Sea anchovy) a | 250 | 250 | 250 | 250 | 250 |
| Soybean meal a | 270 | 270 | 270 | 270 | 270 |
| Wheat flour a | 177.5 | 177.5 | 177.5 | 177.5 | 177.5 |
| Wheat gluten a | 100 | 100 | 100 | 100 | 100 |
| Vitamin mixture b | 10 | 10 | 10 | 10 | 10 |
| Mineral mixture c | 20 | 20 | 20 | 20 | 20 |
| BHT a | 0.01 | 0.01 | 0.01 | 0.01 | 0.01 |
| Wheat starch a | 49.99 | 49.99 | 49.99 | 49.99 | 49.99 |
| Fish oil (Black Sea anchovy) a | 120.0 | 113.0 | 106.0 | 99.0 | 92.0 |
| Lysine d | 2.5 | 2.5 | 2.5 | 2.5 | 2.5 |
| Capsicum annuum oleoresin e | 0.0 | 7.0 | 14.0 | 21.0 | 28.0 |
| Total (g) | 1000 | 1000 | 1000 | 1000 | 1000 |
| Chemical analyses (%, on DM basis) | |||||
| Crude protein (CP) | 43.01 | 43.02 | 43.01 | 43.00 | 43.05 |
| Crude lipids (CL) | 16.11 | 16.12 | 16.10 | 16.13 | 16.12 |
| Crude ash | 4.75 | 4.78 | 4.80 | 4.82 | 4.86 |
| Nitrogen-free extract (NFE) f | 25.25 | 25.32 | 25.36 | 25.30 | 25.34 |
| Gross energy (GE; Kj/g) g | 20.81 | 20.82 | 20.82 | 20.82 | 20.84 |
| Primers | Primers | Sequence (5′–3′) | NCBI GenBank Accession Numbers | Published in |
|---|---|---|---|---|
| il-1β | Forward | GGAGAGGTTAAAGGGTGGCGA | AJ223954.1 | [56] |
| Reverse | TGCCGACTCCAACTCCAACA | |||
| IgT | Forward | AACATCACCTGGCACATCAA | AY870265.1 | [57] |
| Reverse | TTCAGGTTGCCCTTTGATTC | |||
| IFN-γ | Forward | CTGTTCAACGGAAACCCTGT | NM_001160503.1 | [57] |
| Reverse | AACACCCTCCGATCACTGTC | |||
| il-8 | Forward | CTCGCAACTGGACTGACAAA | AJ279069.1 | [57] |
| Reverse | TGGCTGACATTCTGATGCTC | |||
| SAA | Forward | GGAGATGATTCAGGGTTCCA | NM_001124436.1 | [57] |
| Reverse | TTACGTCCCCAGTGGTTAGC | |||
| TGF-β | Forward | TCCGCTTCAAAATATCAGGG | X99303.1 | [57] |
| Reverse | TGATGGCATTTTCATGGCTA | |||
| β-actin | Forward | ATGGGCCAGAAAGACAGCTACGTG | NM_001124235.1 | [58] |
| Reverse | CTTCTCCATGTCGTCCCAGTTGGT |
References
- Vincent, A.T.; Gauthier, J.; Derome, N.; Charette, S.J. The Rise and Fall of Antibiotics in Aquaculture. In Microbial Communities in Aquaculture Ecosystems: Improving Productivity and Sustainability; Derome, N., Ed.; Springer International Publishing: Cham, Switzerland, 2019; pp. 1–19. [Google Scholar]
- Alderman, D.J.; Hastings, T.S. Antibiotic use in aquaculture: Development of antibiotic resistance—Potential for consumer health risks. Int. J. Food Sci. Technol. 1998, 33, 139–155. [Google Scholar] [CrossRef]
- Liu, X.; Steele, J.C.; Meng, X.-Z. Usage, residue, and human health risk of antibiotics in Chinese aquaculture: A review. Environ. Pollut. 2017, 223, 161–169. [Google Scholar] [CrossRef] [PubMed]
- Bondad-Reantaso, M.G.; MacKinnon, B.; Karunasagar, I.; Fridman, S.; Alday-Sanz, V.; Brun, E.; Le Groumellec, M.; Li, A.; Surachetpong, W.; Karunasagar, I.; et al. Review of alternatives to antibiotic use in aquaculture. Rev. Aquac. 2023, 15, 1421–1451. [Google Scholar] [CrossRef]
- Defoirdt, T.; Sorgeloos, P.; Bossier, P. Alternatives to antibiotics for the control of bacterial disease in aquaculture. Curr. Opin. Microbiol. 2011, 14, 251–258. [Google Scholar] [CrossRef]
- Wang, W.; Sun, J.; Liu, C.; Xue, Z. Application of immunostimulants in aquaculture: Current knowledge and future perspectives. Aquac. Res. 2017, 48, 1–23. [Google Scholar] [CrossRef]
- Dawood, M.A.O.; Koshio, S.; Esteban, M.Á. Beneficial roles of feed additives as immunostimulants in aquaculture: A review. Rev. Aquac. 2018, 10, 950–974. [Google Scholar] [CrossRef]
- Dügenci, S.K.; Arda, N.; Candan, A. Some medicinal plants as immunostimulant for fish. J. Ethnopharmacol. 2003, 88, 99–106. [Google Scholar] [CrossRef]
- Tadese, D.A.; Song, C.; Sun, C.; Liu, B.; Liu, B.; Zhou, Q.; Xu, P.; Ge, X.; Liu, M.; Xu, X.; et al. The role of currently used medicinal plants in aquaculture and their action mechanisms: A review. Rev. Aquac. 2022, 14, 816–847. [Google Scholar] [CrossRef]
- Vaseeharan, B.; Thaya, R. Medicinal plant derivatives as immunostimulants: An alternative to chemotherapeutics and antibiotics in aquaculture. Aquac. Int. 2014, 22, 1079–1091. [Google Scholar] [CrossRef]
- Mariappan, B.; Kaliyamurthi, V.; Binesh, A. Chapter 8—Medicinal plants or plant derived compounds used in aquaculture. In Recent Advances in Aquaculture Microbial Technology; Mathew, J., Jose, M.S., Radhakrishnan, E.K., Kumar, A., Eds.; Academic Press: Cambridge, MA, USA, 2023; pp. 153–207. [Google Scholar]
- Reverter, M.; Tapissier-Bontemps, N.; Sasal, P.; Saulnier, D. Use of Medicinal Plants in Aquaculture. In Diagnosis and Control of Diseases of Fish and Shellfish; John Wiley & Sons: Hoboken, NJ, USA, 2017; pp. 223–261. [Google Scholar]
- Van Hai, N. The use of medicinal plants as immunostimulants in aquaculture: A review. Aquaculture 2015, 446, 88–96. [Google Scholar] [CrossRef]
- Hornero-Méndez, D.; Gómez-Ladrón de Guevara, R.; Mínguez-Mosquera, M.I. Carotenoid Biosynthesis Changes in Five Red Pepper (Capsicum annuum L.) Cultivars during Ripening. Cultivar Selection for Breeding. J. Agric. Food Chem. 2000, 48, 3857–3864. [Google Scholar] [CrossRef] [PubMed]
- Batiha, G.E.; Alqahtani, A.; Ojo, O.A.; Shaheen, H.M.; Wasef, L.; Elzeiny, M.; Ismail, M.; Shalaby, M.; Murata, T.; Zaragoza-Bastida, A.; et al. Biological Properties, Bioactive Constituents, and Pharmacokinetics of Some Capsicum spp. and Capsaicinoids. Int. J. Mol. Sci. 2020, 21, 5179. [Google Scholar] [CrossRef] [PubMed]
- Li, J.; Dadmohammadi, Y.; Abbaspourrad, A. Flavor components, precursors, formation mechanisms, production and characterization methods: Garlic, onion, and chili pepper flavors. Crit. Rev. Food Sci. Nutr. 2022, 62, 8265–8287. [Google Scholar] [CrossRef] [PubMed]
- Riquelme, N.; Matiacevich, S. Characterization and evaluation of some properties of oleoresin from Capsicum annuum var. cacho de cabra. CyTA—J. Food 2017, 15, 344–351. [Google Scholar] [CrossRef]
- Matsufuji, H.; Nakamura, H.; Chino, M.; Takeda, M. Antioxidant Activity of Capsanthin and the Fatty Acid Esters in Paprika (Capsicum annuum). J. Agric. Food Chem. 1998, 46, 3468–3472. [Google Scholar] [CrossRef]
- Ahmadifar, E.; Yousefi, M.; Karimi, M.; Fadaei Raieni, R.; Dadar, M.; Yilmaz, S.; Dawood, M.A.O.; Abdel-Latif, H.M.R. Benefits of Dietary Polyphenols and Polyphenol-Rich Additives to Aquatic Animal Health: An Overview. Rev. Fish. Sci. Aquac. 2021, 29, 478–511. [Google Scholar] [CrossRef]
- Ou, B.; Huang, D.; Hampsch-Woodill, M.; Flanagan, J.A.; Deemer, E.K. Analysis of Antioxidant Activities of Common Vegetables Employing Oxygen Radical Absorbance Capacity (ORAC) and Ferric Reducing Antioxidant Power (FRAP) Assays: A Comparative Study. J. Agric. Food Chem. 2002, 50, 3122–3128. [Google Scholar] [CrossRef]
- Yilmaz, S.; Çelik, E.Ş.; Ergün, S.; Gürkan, M.; Kesbic, F.I.; Abdel-Latif, H.M.R. The effects of Capsicum annuum oleoresin, as a dietary carotenoid, on growth, gut microbiome, intestinal histomorphometry, and sensory characteristics of Oncorhynchus mykiss. J. World Aquac. Soc. 2024, 55, 149–168. [Google Scholar] [CrossRef]
- Yilmaz, S.; Ergün, S.; Yilmaz, E.; Ahmadifar, E.; Yousefi, M.; Abdel-Latif, H.M.R. Effects of a phytogenic diet on growth, haemato-immunological parameters, expression of immune- and stress-related genes, and resistance of Oncorhynchus mykiss to Lactococcus garvieae infection. Aquaculture 2024, 587, 740845. [Google Scholar] [CrossRef]
- Association of Official Analytical Chemists. Official Methods of Analysis of the Association of Official Analytical Chemists; Association of Official Analytical Chemists: Gaithersburg, MD, USA, 1998; Volume 3. [Google Scholar]
- Iversen, M.; Finstad, B.; McKinley, R.S.; Eliassen, R.A. The efficacy of metomidate, clove oil, Aqui-S™ and Benzoak® as anaesthetics in Atlantic salmon (Salmo salar L.) smolts, and their potential stress-reducing capacity. Aquaculture 2003, 221, 549–566. [Google Scholar] [CrossRef]
- Yılmaz, S.; Ergün, S. Trans-cinnamic acid application for rainbow trout (Oncorhynchus mykiss): I. Effects on haematological, serum biochemical, non-specific immune and head kidney gene expression responses. Fish Shellfish Immunol. 2018, 78, 140–157. [Google Scholar] [CrossRef] [PubMed]
- Stasiak, S.A.; Baumann, P.C. Neutrophil activity as a potential bioindicator for contaminant analysis. Fish Shellfish Immunol. 1996, 6, 537–539. [Google Scholar] [CrossRef]
- Nudo, L.P.; Catap, E.S. Immunostimulatory effects of Uncaria perrottetii (A. Rich.) Merr. (Rubiaceae) vinebark aqueous extract in Balb/C mice. J. Ethnopharmacol. 2011, 133, 613–620. [Google Scholar] [CrossRef] [PubMed]
- Quade, M.J.; Roth, J.A. A rapid, direct assay to measure degranulation of bovine neutrophil primary granules. Vet. Immunol. Immunopathol. 1997, 58, 239–248. [Google Scholar] [CrossRef]
- Livak, K.J.; Schmittgen, T.D. Analysis of Relative Gene Expression Data Using Real-Time Quantitative PCR and the 2−ΔΔCT Method. Methods 2001, 25, 402–408. [Google Scholar] [CrossRef]
- Fazio, F. Fish hematology analysis as an important tool of aquaculture: A review. Aquaculture 2019, 500, 237–242. [Google Scholar] [CrossRef]
- Campbell, T. Hematology of Lower Vertebrates; American College of Veterinary Pathologists & American Society for Veterinary Clinical Pathology: Middleton, WI, USA, 2004; pp. 1104–1108. [Google Scholar]
- Firouzbakhsh, F.; Haghparast, S.; Memarzadeh, M.R. Research Article: Study on the effects of red pepper (Capsicum annuum) extract on immune responses and resistance of rainbow trout (Oncorhynchus mykiss) juveniles against Yersinia ruckeri. IFRO 2021, 20, 1573–1588. [Google Scholar]
- Parrino, V.; Kesbiç, O.S.; Acar, Ü.; Fazio, F. Hot pepper (Capsicum sp.) oil and its effects on growth performance and blood parameters in rainbow trout (Oncorhynchus mykiss). Nat. Prod. Res. 2020, 34, 3226–3230. [Google Scholar] [CrossRef]
- Biller, J.D.; Takahashi, L.S. Oxidative stress and fish immune system: Phagocytosis and leukocyte respiratory burst activity. An. Acad. Bras. Ciênc. 2018, 90, 3403–3414. [Google Scholar] [CrossRef]
- Mashoof, S.; Criscitiello, M.F. Fish Immunoglobulins. Biology 2016, 5, 45. [Google Scholar] [CrossRef]
- Saurabh, S.; Sahoo, P.K. Lysozyme: An important defence molecule of fish innate immune system. Aquac. Res. 2008, 39, 223–239. [Google Scholar] [CrossRef]
- Song, Q.; Xiao, Y.; Xiao, Z.; Liu, T.; Li, J.; Li, P.; Han, F. Lysozymes in Fish. J. Agric. Food Chem. 2021, 69, 15039–15051. [Google Scholar] [CrossRef] [PubMed]
- Ellis, A.E. Immunity to bacteria in fish. Fish Shellfish Immunol. 1999, 9, 291–308. [Google Scholar] [CrossRef]
- Magor, B.G.; Magor, K.E. Evolution of effectors and receptors of innate immunity. Dev. Comp. Immunol. 2001, 25, 651–682. [Google Scholar] [CrossRef]
- Shah, C.; Hari-Dass, R.; Raynes, J.G. Serum amyloid A is an innate immune opsonin for Gram-negative bacteria. Blood 2006, 108, 1751–1757. [Google Scholar] [CrossRef]
- Wang, G.L.; Wang, M.C.; Zhang, X.W.; Chang, M.X.; Xie, H.X.; Nie, P. Molecular cloning, biological effect, and tissue distribution of interleukin-8 protein in mandarin fish (Siniperca chuasti) upon Flavobacterium columnare infection. Fish Shellfish Immunol. 2017, 66, 112–119. [Google Scholar] [CrossRef]
- Corripio-Miyar, Y.; Bird, S.; Tsamopoulos, K.; Secombes, C.J. Cloning and expression analysis of two pro-inflammatory cytokines, IL-1β and IL-8, in haddock (Melanogrammus aeglefinus). Mol. Immunol. 2007, 44, 1361–1373. [Google Scholar] [CrossRef]
- Li, M.O.; Wan, Y.Y.; Sanjabi, S.; Robertson, A.-K.L.; Flavell, R.A. Transforming Growth Factor-β Regulation of Immune Responses. Annu. Rev. Immunol. 2006, 24, 99–146. [Google Scholar] [CrossRef]
- Robertsen, B. The interferon system of teleost fish. Fish Shellfish Immunol. 2006, 20, 172–191. [Google Scholar] [CrossRef]
- Hong, S.; Li, R.; Xu, Q.; Secombes, C.J.; Wang, T. Two Types of TNF-α Exist in Teleost Fish: Phylogeny, Expression, and Bioactivity Analysis of Type-II TNF-α3 in Rainbow Trout Oncorhynchus mykiss. J. Immunol. 2013, 191, 5959–5972. [Google Scholar] [CrossRef]
- Bag, M.R.; Makesh, M.; Rajendran, K.V.; Mukherjee, S.C. Characterization of IgM of Indian major carps and their cross-reactivity with anti-fish IgM antibodies. Fish Shellfish Immunol. 2009, 26, 275–278. [Google Scholar] [CrossRef] [PubMed]
- Xu, J.; Zhang, X.; Luo, Y.; Wan, X.; Yao, Y.; Zhang, L.; Yu, Y.; Ai, T.; Wang, Q.; Xu, Z. IgM and IgD heavy chains of yellow catfish (Pelteobagrus fulvidraco): Molecular cloning, characterization and expression analysis in response to bacterial infection. Fish Shellfish Immunol. 2019, 84, 233–243. [Google Scholar] [CrossRef] [PubMed]
- Hansen, J.D.; Landis, E.D.; Phillips, R.B. Discovery of a unique Ig heavy-chain isotype (IgT) in rainbow trout: Implications for a distinctive B cell developmental pathway in teleost fish. Proc. Natl. Acad. Sci. USA 2005, 102, 6919–6924. [Google Scholar] [CrossRef] [PubMed]
- Buchmann, K. Immune response to Ichthyophthirius multifiliis and role of IgT. Parasite Immunol. 2020, 42, e12675. [Google Scholar] [CrossRef]
- Ibrahim, R.E.; Rhouma, N.R.; Elbealy, M.A.; Abdelwarith, A.A.; Younis, E.M.; Khalil, S.S.; Khamis, T.; Mansour, A.T.; Davies, S.J.; El-Murr, A.; et al. Effect of dietary intervention with Capsicum annuum extract on growth performance, physiological status, innate immune response, and related gene expression in Nile tilapia. Comp. Biochem. Physiol. Part B Biochem. Mol. Biol. 2024, 270, 110914. [Google Scholar] [CrossRef]
- Khieokhajonkhet, A.; Suwannalers, P.; Aeksiri, N.; Ratanasut, K.; Chitmanat, C.; Inyawilert, W.; Phromkunthong, W.; Kaneko, G. Effects of dietary red pepper extracts on growth, hematology, pigmentation, disease resistance, and growth- and immune-related gene expressions of goldfish (Carassius auratus). Anim. Feed Sci. Technol. 2023, 301, 115658. [Google Scholar] [CrossRef]
- de Oliveira Ribeiro, C.A.; Narciso, M.F. Histopathological markers in fish health assessment. In Pollution and Fish Health in Tropical Ecosystems; CRC Press: Boca Raton, FL, USA, 2013; pp. 207–242. [Google Scholar]
- Saraiva, A.; Costa, J.; Serrão, J.; Cruz, C.; Eiras, J.C. A histology-based fish health assessment of farmed seabass (Dicentrarchus labrax L.). Aquaculture 2015, 448, 375–381. [Google Scholar] [CrossRef]
- Bich Hang, B.T.; Phuong, N.T.; Kestemont, P. Can immunostimulants efficiently replace antibiotic in striped catfish (Pangasianodon hypophthalmus) against bacterial infection by Edwardsiella ictaluri? Fish Shellfish Immunol. 2014, 40, 556–562. [Google Scholar] [CrossRef]
- Diler, O.; Gormez, O.; Diler, I.; Metin, S. Effect of oregano (Origanum onites L.) essential oil on growth, lysozyme and antioxidant activity and resistance against Lactococcus garvieae in rainbow trout, Oncorhynchus mykiss (Walbaum). Aquac. Nutr. 2017, 23, 844–851. [Google Scholar] [CrossRef]
- Baba, E.; Acar, Ü.; Yılmaz, S.; Zemheri, F.; Ergün, S. Dietary olive leaf (Olea europea L.) extract alters some immune gene expression levels and disease resistance to Yersinia ruckeri infection in rainbow trout Oncorhynchus mykiss. Fish Shellfish Immunol. 2018, 79, 28–33. [Google Scholar] [CrossRef]
- Evenhuis, J.P.; Cleveland, B.M. Modulation of rainbow trout (Oncorhynchus mykiss) intestinal immune gene expression following bacterial challenge. Vet. Immunol. Immunopathol. 2012, 146, 8–17. [Google Scholar] [CrossRef]
- Ji, L.; Sun, G.; Li, J.; Wang, Y.; Du, Y.; Li, X.; Liu, Y. Effect of dietary β-glucan on growth, survival and regulation of immune processes in rainbow trout (Oncorhynchus mykiss) infected by Aeromonas salmonicida. Fish Shellfish Immunol. 2017, 64, 56–67. [Google Scholar] [CrossRef]








| Parameters | Experimental Groups | ||||
|---|---|---|---|---|---|
| CT (Control) | C7 | C14 | C21 | C28 | |
| Red blood cells (RBCs; ×106 per mm3) | 2.46 ± 0.11 a | 2.31 ± 0.06 a | 2.32 ± 0.08 a | 2.30 ± 0.09 a | 2.37 ± 0.08 a |
| Hemoglobin (Hb; g/dL) | 9.49 ± 0.68 a | 7.96 ± 0.33 ab | 7.87 ± 0.34 b | 8.01 ± 0.32 ab | 7.98 ± 0.54 ab |
| Hematocrit (Hct; %) | 34.51 ± 1.39 a | 31.96 ± 0.81 a | 33.01 ± 1.00 a | 31.91 ± 0.94 a | 33.16 ± 1.23 a |
| Tissue | Histological Changes and Measurements | Experimental Groups | ||||
|---|---|---|---|---|---|---|
| CT (Control) | C7 | C14 | C21 | C28 | ||
| Liver | Cytoplasmic vacuolization | - | + | ++ | +++ | +++ |
| Mononuclear cell infiltration | - | + | + | + | + | |
| Pyknotic nucleus | - | + | + | ++ | +++ | |
| Sinusoidal cavity | - | + | + | ++ | +++ | |
| Fatty changes | - | + | + | ++ | +++ | |
| Mean hepatocyte diameters (µm) | 8.66 ± 0.41 | 8.48 ± 0.23 | 8.42 ± 0.19 | 8.74 ± 0.33 | 8.69 ± 0.38 | |
| Head Kidney | Melanomacrophage aggregation (MMA) | + | ++ | ++ | +++ | +++ |
| Mean MMA area values | 6.21 ± 1.18 a | 12.15 ± 1.47 b | 11.87 ± 1.17 b | 22.74 ± 3.12 c | 26.14 ± 2.86 c | |
| Experimental Groups | |||||
|---|---|---|---|---|---|
| Control (CT) | C7 | C14 | C21 | C28 | |
| Total number of fish challenged | 54 | 54 | 54 | 54 | 54 |
| Number of dead fish | 38 | 13 | 15 | 29 | 36 |
| Mortality rate (MR; %) | 70.37 | 24.07 | 27.78 | 53.70 | 66.67 |
| Survival rate (SR; %) | 29.63 | 75.93 | 72.22 | 46.30 | 33.33 |
| Relative percent survival (RPS; %) | 65.79 | 60.53 | 23.68 | 5.26 | |
Disclaimer/Publisher’s Note: The statements, opinions and data contained in all publications are solely those of the individual author(s) and contributor(s) and not of MDPI and/or the editor(s). MDPI and/or the editor(s) disclaim responsibility for any injury to people or property resulting from any ideas, methods, instructions or products referred to in the content. |
© 2024 by the authors. Licensee MDPI, Basel, Switzerland. This article is an open access article distributed under the terms and conditions of the Creative Commons Attribution (CC BY) license (https://creativecommons.org/licenses/by/4.0/).
Share and Cite
Yilmaz, S.; Kenanoğlu, O.N.; Ergün, S.; Çelik, E.Ş.; Gürkan, M.; Mehana, E.E.; Abdel-Latif, H.M.R. Immunological Responses, Expression of Immune-Related Genes, and Disease Resistance of Rainbow Trout (Oncorhynchus mykiss) Fed Diets Supplied with Capsicum (Capsicum annuum) Oleoresin. Animals 2024, 14, 3402. https://doi.org/10.3390/ani14233402
Yilmaz S, Kenanoğlu ON, Ergün S, Çelik EŞ, Gürkan M, Mehana EE, Abdel-Latif HMR. Immunological Responses, Expression of Immune-Related Genes, and Disease Resistance of Rainbow Trout (Oncorhynchus mykiss) Fed Diets Supplied with Capsicum (Capsicum annuum) Oleoresin. Animals. 2024; 14(23):3402. https://doi.org/10.3390/ani14233402
Chicago/Turabian StyleYilmaz, Sevdan, Osman Nezih Kenanoğlu, Sebahattin Ergün, Ekrem Şanver Çelik, Mert Gürkan, Elsayed Eldeeb Mehana, and Hany M. R. Abdel-Latif. 2024. "Immunological Responses, Expression of Immune-Related Genes, and Disease Resistance of Rainbow Trout (Oncorhynchus mykiss) Fed Diets Supplied with Capsicum (Capsicum annuum) Oleoresin" Animals 14, no. 23: 3402. https://doi.org/10.3390/ani14233402
APA StyleYilmaz, S., Kenanoğlu, O. N., Ergün, S., Çelik, E. Ş., Gürkan, M., Mehana, E. E., & Abdel-Latif, H. M. R. (2024). Immunological Responses, Expression of Immune-Related Genes, and Disease Resistance of Rainbow Trout (Oncorhynchus mykiss) Fed Diets Supplied with Capsicum (Capsicum annuum) Oleoresin. Animals, 14(23), 3402. https://doi.org/10.3390/ani14233402

