Pathological Changes and CYP1A1 Expression as Biomarkers of Pollution in Sarpa Salpa and Diplodus Sargus
Simple Summary
Abstract
1. Introduction
2. Materials and Methods
2.1. Sampling and Fish Examination
2.2. Chemical Analysis
2.2.1. Non-Dioxin-like Polychlorinated Biphenyls (NDL-PCBs)
2.2.2. Heavy Metals
2.3. Histopathological Examination
- Score 0 (absent): 1 to 5;
- Score 1 (mild): 6 to 10;
- Score 2 (moderate): 11 to 49;
- Score 3 (severe): >50.
2.4. Immunohistochemistry
2.5. Statistical Analysis
3. Results
3.1. Chemical
3.1.1. NDL-PCBs


3.1.2. Heavy Metals
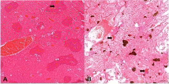
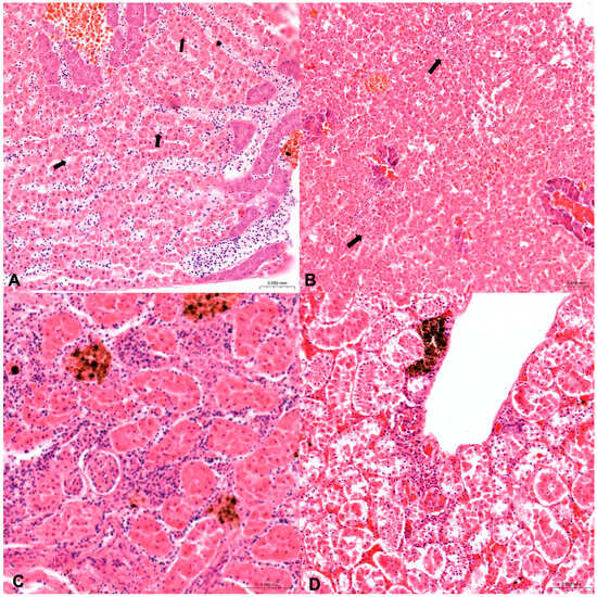
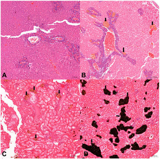
3.2. Histopathological Examination




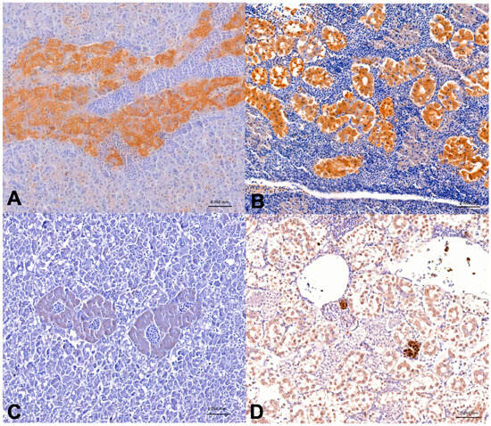
3.3. Immunohistochemical Examination
3.4. Statistical Analysis
4. Discussion
5. Conclusions
Author Contributions
Funding
Institutional Review Board Statement
Informed Consent Statement
Data Availability Statement
Conflicts of Interest
References
- Available online: https://www.fao.org/one-health/en (accessed on 22 July 2022).
- Costa, C.; Teixeira, J.P. Biomonitoring. In Encyclopedia of Toxicology, 3rd ed.; Elsevier: Amsterdam, The Netherlands, 2014; p. 483-48. [Google Scholar]
- Pasparakis, C.; Esbaugh, A.J.; Burggren, W.; Grosell, M. Physiological impacts of Deepwater Horizon oil on fish. Comp. Biochem. Physiol. Part C Toxicol. Pharmacol. 2019, 224, 108558. [Google Scholar] [CrossRef] [PubMed]
- Pinto, P.I.; Anjos, L.; Estêvão, M.D.; Santos, S.; Santa, C.; Manadas, B.; Monsinjon, T.; Canário, A.V.M.; Power, D.M. Proteomics of sea bass skin-scales exposed to the emerging pollutant fluoxetine compared to estradiol. Sci. Total Environ. 2022, 8, 97. [Google Scholar]
- Bottari, T.; Savoca, S.; Mancuso, M.; Capillo, G.; Panarello, G.; Bonsignore, M.; Crupi, R.; Sanfilippo, M.; D’Urso, L.; Compagnini, G.; et al. Plastics occurrence in the gastrointestinal tract of Zeus faber and Lepidopus caudatus from the Tyrrhenian Sea. Mar. Pollut. Bull. 2019, 146, 408–416. [Google Scholar] [CrossRef]
- Martyniuk, C.J.; Alvarez, S.; Denslow, N.D. DIGE and iTRAQ as biomarker discovery tools in aquatic toxicology. Ecotoxicol. Environ. Saf. 2012, 76, 3–10. [Google Scholar] [CrossRef][Green Version]
- Gold, Z.; Sprague, J.; Kushner, D.J.; Zerecero Marin, E.; Barber, P.H. eDNA metabarcoding as a biomonitoring tool for marine protected areas. PLoS ONE 2021, 16, e0238557. [Google Scholar] [CrossRef]
- Henderson, R.H. Biomarkers. Human Health. In Encyclopedia of Toxicology, 2nd ed.; Wexler, P., Anderson, B.D., Eds.; Elsevier: Amsterdam, The Netherlands, 2005; pp. 290–294. [Google Scholar]
- Whyte, J.J.; Jung, R.E.; Schmitt, C.J.; Tillitt, D.E. Ethoxyresorufin-O-deethylase (EROD) activity in fish as a biomarker of chemical exposure. Crit. Rev. Toxicol. 2000, 30, 347–570. [Google Scholar] [CrossRef]
- Weber, L.P.; Diamond, S.L.; Bandiera, S.M.; Janz, D.M. Expression of HSP70 and CYP1A protein in ovary and liver of juvenile rainbow trout exposed to beta-naphthoflavone. Comp. Biochem. Physiol. C Toxicol. Pharmacol. 2002, 3, 387–394. [Google Scholar] [CrossRef]
- Sarasquete, C.; Segner, H. Cytochrome P4501A (CYP1A) in teleostean fishes. A review of immunohistochemical studies. Sci. Total Environ. 2000, 247, 313–332. [Google Scholar] [CrossRef] [PubMed]
- Alexander, C.R.; Hooper, M.J.; Cacela, D.; Smelker, K.; Calvin, C.; Dean, K.; Bursian, S.; Cunningham, F.; Hanson-Dorr, K.; Horak, K.; et al. CYP1A protein expression and catalytic activity in double-crested cormorants experimentally exposed to Deepwater Horizon Mississippi Canyon 252 oil. Ecotoxicol. Environ. Saf. 2017, 146, 68–75. [Google Scholar] [CrossRef]
- Van der Oost, R.; Beyer, J.; Vermeulen, N.P. Fish bioaccumulation and biomarkers in environmental risk assessment: A review. Environ. Toxicol. Pharmacol. 2003, 13, 57–149. [Google Scholar] [CrossRef]
- Oliva, M.; Gravato, C.; Guilhermino, L.; Galindo-Riaño, M.D.; Perales, J.A. EROD activity and cytochrome P4501A induction in liver and gills of Senegal sole Solea senegalensis from a polluted Huelva estuary (SW Spain). Comp. Biochem. Physiol. C Toxicol. Pharmacol. 2014, 166, 134–144. [Google Scholar] [CrossRef] [PubMed]
- Ranasinghe, P.; Thorn, R.J.; Seto, R.; Creton, R.; Bridges, W.C.; Chapman, S.C.; Lee, C.M. Embryonic Exposure to 2,2′,3,5′,6-pentachlorobiphenyl (PCB-95) Causes Developmental Malformations in Zebrafish. Environ. Toxicol. Chem. 2020, 39, 162–170. [Google Scholar] [CrossRef] [PubMed]
- Singleman, C.; Zimmerman, A.; Harrison, E.; Roy, N.K.; Wirgin, I.; Holtzman, N.G. Toxic Effects of Polychlorinated Biphenyl Congeners and Aroclors on Embryonic Growth and Development. Environ. Toxicol. Chem. 2021, 40, 87–201. [Google Scholar] [CrossRef] [PubMed]
- Monosson, E. Reproductive and developmental effects of PCBs in fish: A synthesis of laboratory and field studies. Rev. Toxicol. 2000, 3, 27–28. [Google Scholar]
- Lee, J.W.; Choi, H.; Hwang, U.K.; Kang, J.C.; Kang, Y.J.; Kim, K.I.; Kim, J.H. Toxic effects of lead exposure on bioaccumulation, oxidative stress, neurotoxicity, and immune responses in fish: A review. Environ. Toxicol. Pharmacol. 2019, 68, 101–108. [Google Scholar] [CrossRef]
- Järup, L. Hazards of heavy metal contamination. Br. Med. Bull. 2003, 68, 167–182. [Google Scholar] [CrossRef]
- EFSA Panel on Biological Hazards (BIOHAZ). Scientific Opinion on the public health hazards to be covered by inspection of meat from sheep and goats. EFSA J. 2013, 11, 3265. [Google Scholar] [CrossRef]
- Vidal-Liñán, L.; Bellas, J.; Soriano, J.A.; Concha-Graña, E.; Muniategui, S.; Beiras, R. Bioaccumulation of PCB-153 and effects on molecular biomarkers acetylcholinesterase, glutathione-S-transferase and glutathione peroxidase in Mytilus galloprovincialis mussels. Environ. Pollut. 2016, 214, 885–891. [Google Scholar] [CrossRef]
- Milićević, T.; Romanić, S.H.; Popović, A.; Mustać, B.; Đinović-Stojanović, J.; Jovanović, G.; Relić, D. Human health risks and benefits assessment based on OCPs, PCBs, toxic elements and fatty acids in the pelagic fish species from the Adriatic Sea. Chemosphere 2022, 287, 132068. [Google Scholar] [CrossRef]
- Santoro, M.; Iaccarino, D.; Bellisario, B. Host biological factors and geographic locality influence predictors of parasite communities in sympatric sparid fishes off the southern Italian coast. Sci. Rep. 2020, 10, 13283. [Google Scholar] [CrossRef]
- Available online: https://www.arpacampania.it/marino-costiero (accessed on 22 July 2022).
- Serpe, F.P.; Russo, R.; Simone, A.D.; Florio, S.; Esposito, M.; Severino, L. Levels of heavy metals in liver and kidney of dogs from urban environment. Open Vet. J. 2012, 2, 15–18. [Google Scholar] [CrossRef] [PubMed]
- Couillard, C.M.; Williams, P.J.; Courtenay, S.C.; Rawn, G.P. Histopathological evaluation of Atlantic tomcod (Microgadus tomcod) collected at estuarine sites receiving pulp and paper mill effluent. Aquat. Toxicol. 1999, 44, 263–278. [Google Scholar] [CrossRef]
- Pacheco, M.; Santos, M.A. Biotransformation, genotoxic, and histopathological effects of environmental contaminants in European eel (Anguilla anguilla L.). Ecotoxicol. Environ. Saf. 2002, 53, 331–347. [Google Scholar] [CrossRef]
- Fournie, J.W.; Summers, J.K.; Courtney, L.A.; Engle, V.D.; Blazer, V.S. Utility of Splenic Macrophage Aggregates as an Indicator of Fish Exposure to Degraded Environments. J. Aquat. Anim. Health 2001, 13, 105–116. [Google Scholar] [CrossRef]
- Carreras-Colom, E.; Constenla, M.; Dallarés, S.; Carrassón, M. Natural variability and potential use of melanomacrophage centres as indicators of pollution in fish species from the NW Mediterranean Sea. Mar. Pollut. Bull. 2022, 176, 113441. [Google Scholar] [CrossRef] [PubMed]
- Shinkafi, B.; Ipinjolu, J.K.; Hassan, W. Gonad Maturation Stages of Auchenoglanis occidentalis (Valenciennes 1840) in River Rima, North-Western Nigeria. J. Fish. Aquat. Sci. 2011, 6, 236–246. [Google Scholar] [CrossRef][Green Version]
- Available online: http://chm.pops.int (accessed on 20 August 2024).
- Hugula, J.L.; Philippart, J.C.; Kremers, P.; Goffinet, G.; Thomé, J.P. PCB contamination of the common barbel, Barbus barbus (pisces, cyprinidae) in the river Meuse in relation to hepatic monooxygenase activity and ultrastructural liver change. Netherland J. Aquat. Ecol. 1995, 29, 135–145. [Google Scholar] [CrossRef]
- Afonso, A.; Gutiérrez, Á.J.; Lozano, G.; González-Weller, D.; Lozano-Bilbao, E.; Rubio, C.; Caballero, J.M.; Revert, C.; Hardisson, A. Metals in Diplodus sargus cadenati and Sparisoma cretense-a risk assessment for consumers. Environ. Sci. Pollut. Res. Int. 2018, 25, 2630–2642. [Google Scholar] [CrossRef]
- Chouvelon, T.; Strady, E.; Harmelin-Vivien, M.; Radakovitch, O.; Brach-Papa, C.; Crochet, S.; Knoery, J.; Rozuel, E.; Thomas, B.; Tronczynski, J.; et al. Patterns of trace metal bioaccumulation and trophic transfer in a phytoplankton-zooplankton-small pelagic fish marine food web. Mar. Pollut. Bull. 2019, 146, 1013–1030. [Google Scholar] [CrossRef]
- Giandomenico, S.; Cardellicchio, N.; Spada, L.; Annicchiarico, C.; Di Leo, A. Metals and PCB levels in some edible marine organisms from the Ionian Sea: Dietary intake evaluation and risk for consumers. Environ. Sci. Pollut. Res. Int. 2016, 23, 12596–12612. [Google Scholar] [CrossRef]
- Cardellicchio, N.; Covelli, S.; Cibic, T. Integrated environmental characterization of the contaminated marine coastal area of Taranto, Ionian Sea (southern Italy). Environ. Sci. Pollut. Res. 2016, 23, 12491–12494. [Google Scholar] [CrossRef] [PubMed][Green Version]
- Figueiredo, M.; Morato, T.; Barreiros, J.P.; Afonso, P.; Santos, R.S. Feeding ecology of the white seabream, Diplodus sargus, and the ballan wrasse, Labrus bergylta, in the Azores. Fish. Res. 2005, 75, 107–119. [Google Scholar] [CrossRef]
- Havelange, S.; Lepoint, G.; Dauby, P.; Bouquegneau, J.M. Feeding of the Sparid Fish Sarpa salpa in a Seagrass Ecosystem: Diet and Carbon Flux. Mar. Ecol. 1997, 18, 289–297. [Google Scholar] [CrossRef]
- Bellassoued, K.; Hamza, A.; van Pelt, J.; Elfeki, A. Seasonal variation of Sarpa salpa fish toxicity, as related to phytoplankton consumption, accumulation of heavy metals, lipids peroxidation level in fish tissues and toxicity upon mice. Environ. Monit. Assess. 2013, 185, 1137–1150. [Google Scholar] [CrossRef] [PubMed]
- Herut, B.; Hornung, H.; Kress, N.; Cohen, Y. Environmental relaxation in response to reduced contaminant input: The case of mercury pollution in Haifa Bay, Israel. Mar. Pollut. Bull. 1996, 32, 366–373. [Google Scholar] [CrossRef]
- Mustafa, T.; Aysun, T.; Yalçın, T.; Alpaslan, A.; Kutalmış, G. Determination of metal contaminations in sea foods from Marmara, Aegean and Mediterranean seas: Twelve Fish Species. Food Chem. 2008, 2, 794–800. [Google Scholar]
- Ferreira, M.; Caetano, M.; Costa, J.; Pousão-Ferreira, P.; Vale, C.; Reis-Henriques, M.A. Metal accumulation and oxidative stress responses in cultured and wild, white seabream from Northwest Atlantic. Sci. Total Environ. 2008, 407, 638–646. [Google Scholar] [CrossRef]
- Caçador, I.; Costa, J.L.; Duarte, B.; Silva, G.; Medeiros, J.P.; Azeda, C.; Castro, N.; Freitas, J.; Pedro, S.; Almeida, P.R. Macroinvertebrates and fishes as biomonitors of heavy metal concentration in the Seixal Bay (Tagus estuary): Which species perform better? Ecol. Indic. 2012, 19, 184–190. [Google Scholar] [CrossRef]
- Storelli, M.M.; Giacominelli-Stuffler, R.; Storelli, A.; Marcotrigiano, G.O. Polychlorinated biphenyls in seafood: Contamination levels and human dietary exposure. Food Chem. 2003, 82, 491–496. [Google Scholar] [CrossRef]
- van Dyk, J.C.; Cochrane, M.J.; Wagenaar, G.M. Liver histopathology of the sharptooth catfish Clarias gariepinus as a biomarker of aquatic pollution. Chemosphere 2012, 87, 301–311. [Google Scholar] [CrossRef]
- Steinel, N.C.; Bolnick, D.I. Melanomacrophage Centers As a Histological Indicator of Immune Function in Fish and Other Poikilotherms. Front. Immunol. 2017, 8, 827. [Google Scholar] [CrossRef] [PubMed]
- Souza, I.; Morozesk, M.; Bonomo, M.; Azevedo, V.; Sakuragui, M.; Elliott, M.; Matsumoto, S.; Wunderlin, D.; Baroni, M.; Monferrán, M.; et al. Differential biochemical responses to metal/metalloid accumulation in organs of an edible fish (Centropomus parallelus) from Neotropical estuaries. Ecotoxicol. Environ. Saf. 2018, 161, 260–269. [Google Scholar] [CrossRef] [PubMed]
- Yu, J.; Ji, X.; Wang, X.; Li, T.; Wang, H.; Zeng, Q. Identification and characterization of differentially expressed genes in hepatopancreas of oriental river prawn Macrobrachium nipponense under nitrite stress. Shellfish Immunol. 2019, 87, 14511. [Google Scholar] [CrossRef] [PubMed]
- Mouine, N.; Francour, P.; Ktari, M.; Marzouk, N. The reproductive biology of Diplodus sargus sargus inthe Gulf of Tunis (central Mediterranean). Sci. Mar. 2007, 71, 461–469. [Google Scholar] [CrossRef]
- Gonçalves, J.M.S.; Erzini, K. The reproductive biology of the two-banded sea bream (Diplodus vulgaris) from the southwest coast of Portugal. J. Appl. Ichthyol. 2000, 16, 110–116. [Google Scholar] [CrossRef]
- Criscoli, A.; Colloca, F.; Carpentieri, P.; Belluscio, A.; Ardizzone, G. Observations on the reproductive cycle, age and growth of the salema, Sarpa salpa (Osteichthyes: Sparidae) along the western central coast of Italy. Sci. Mar. 2006, 70, 131–138. [Google Scholar] [CrossRef][Green Version]
- Villamil, M.M.; Pajuelo, J.G.; Lorenzo, J.M.; Ramos, A.G. Age and growth of the salema, Sarpa salpa (Osteichthyes, Sparidae), off the Canary Islands (East-Central Atlantic). Arch. Fish. Mar. Res. 2000, 49, 139–148. [Google Scholar]




| Sample Number | Value |
|---|---|
| ID.1 | 0.032 |
| ID.2 | <0.020 |
| ID.3 | 0.224 |
| ID.4 | 0.03 |
| ID.5 | 0.063 |
| ID.6 | <0.020 |
| ID.7 | 0.022 |
| ID.8 | 0.041 |
| ID.9 | 0.034 |
| ID.10 | 0.034 |
| ID.13 | 0.052 |
| ID.14 | <0.020 |
| ID.15 | <0.020 |
| ID.16 | 0.032 |
| ID.17 | 0.046 |
| ID.18 | <0.020 |
| ID.19 | <0.020 |
| ID.20 | 0.049 |
| ID.21 | <0.020 |
| ID.22 | <0.020 |
| ID.23 | 0.171 |
| Sample Number | Value |
|---|---|
| ID.8 | <0.020 |
| ID.9 | <0.020 |
| ID.10 | <0.020 |
| ID.11 | 0.035 |
| ID.12 | <0.020 |
| ID.13 | <0.020 |
| ID.14 | <0.020 |
| ID.15 | <0.020 |
| ID.16 | <0.020 |
| ID.17 | 0.037 |
| Species/Area | Organ | Circulatory Disturbances | MMs MMCs | Inflammation |
|---|---|---|---|---|
| Diplodus s. Na | Hepatopancreas | 16.70% | 1.70% | 18.30% |
| Kidney | 21.70% | 8.30% | 25% | |
| Diplodus s. Sa | Hepatopancreas | 37.50% | 15% | 30% |
| Kidney | 37.50% | 15% | 22.50% | |
| Sarpa s. Na | Hepatopancreas | 11.10% | 3.70% | 11.20% |
| Kidney | 18.50% | 0% | 53.70% | |
| Sarpa s. Sa | Hepatopancreas | 22.20% | 11.20% | 11.10% |
| Kidney | 11.10% | 6.70% | 2.20% |
| Species/Area | Score | Hepatopancreas | % | Kidney | % |
|---|---|---|---|---|---|
| Diplodus s. Na | 0 | 59 | 98.3 | 55 | 91.7 |
| 1 | 1 | 1.7 | 1 | 1.7 | |
| 2 | 0 | 0 | 2 | 3.3 | |
| 3 | 0 | 0 | 2 | 3.3 | |
| Diplodus s. Sa | 0 | 34 | 85 | 34 | 85 |
| 1 | 3 | 7.5 | 3 | 7.5 | |
| 2 | 1 | 2.5 | 1 | 2.5 | |
| 3 | 2 | 5 | 2 | 5 | |
| Sarpa s. Na | 0 | 96.3 | 54 | 100 | |
| 1 | 0 | 0 | 0 | 0 | |
| 2 | 2 | 3.7 | 0 | 0 | |
| 3 | 0 | 0 | 0 | 0 | |
| Sarpa s. Sa | 0 | 40 | 88.9 | 42 | 93.4 |
| 1 | 1 | 2.2 | 1 | 2.2 | |
| 2 | 3 | 6.7 | 2 | 4.4 | |
| 3 | 1 | 2.2 | 0 | 0 |
Disclaimer/Publisher’s Note: The statements, opinions and data contained in all publications are solely those of the individual author(s) and contributor(s) and not of MDPI and/or the editor(s). MDPI and/or the editor(s) disclaim responsibility for any injury to people or property resulting from any ideas, methods, instructions or products referred to in the content. |
© 2024 by the authors. Licensee MDPI, Basel, Switzerland. This article is an open access article distributed under the terms and conditions of the Creative Commons Attribution (CC BY) license (https://creativecommons.org/licenses/by/4.0/).
Share and Cite
Dimatteo, M.; Di Napoli, E.; Paciello, O.; d’Aquino, I.; Iaccarino, D.; D’amore, M.; Guida, M.; Cozzolino, L.; Serpe, F.P.; Fusco, G.; et al. Pathological Changes and CYP1A1 Expression as Biomarkers of Pollution in Sarpa Salpa and Diplodus Sargus. Animals 2024, 14, 3160. https://doi.org/10.3390/ani14213160
Dimatteo M, Di Napoli E, Paciello O, d’Aquino I, Iaccarino D, D’amore M, Guida M, Cozzolino L, Serpe FP, Fusco G, et al. Pathological Changes and CYP1A1 Expression as Biomarkers of Pollution in Sarpa Salpa and Diplodus Sargus. Animals. 2024; 14(21):3160. https://doi.org/10.3390/ani14213160
Chicago/Turabian StyleDimatteo, Maria, Evaristo Di Napoli, Orlando Paciello, Ilaria d’Aquino, Doriana Iaccarino, Marianna D’amore, Mariangela Guida, Luciana Cozzolino, Francesco Paolo Serpe, Giovanna Fusco, and et al. 2024. "Pathological Changes and CYP1A1 Expression as Biomarkers of Pollution in Sarpa Salpa and Diplodus Sargus" Animals 14, no. 21: 3160. https://doi.org/10.3390/ani14213160
APA StyleDimatteo, M., Di Napoli, E., Paciello, O., d’Aquino, I., Iaccarino, D., D’amore, M., Guida, M., Cozzolino, L., Serpe, F. P., Fusco, G., De Carlo, E., & degli Uberti, B. (2024). Pathological Changes and CYP1A1 Expression as Biomarkers of Pollution in Sarpa Salpa and Diplodus Sargus. Animals, 14(21), 3160. https://doi.org/10.3390/ani14213160

