Double Cervical Adjacent Hydrated Nucleus Pulposus Extrusion (HNPE) in a Yorkshire Terrier
Abstract
Simple Summary
Abstract
1. Introduction
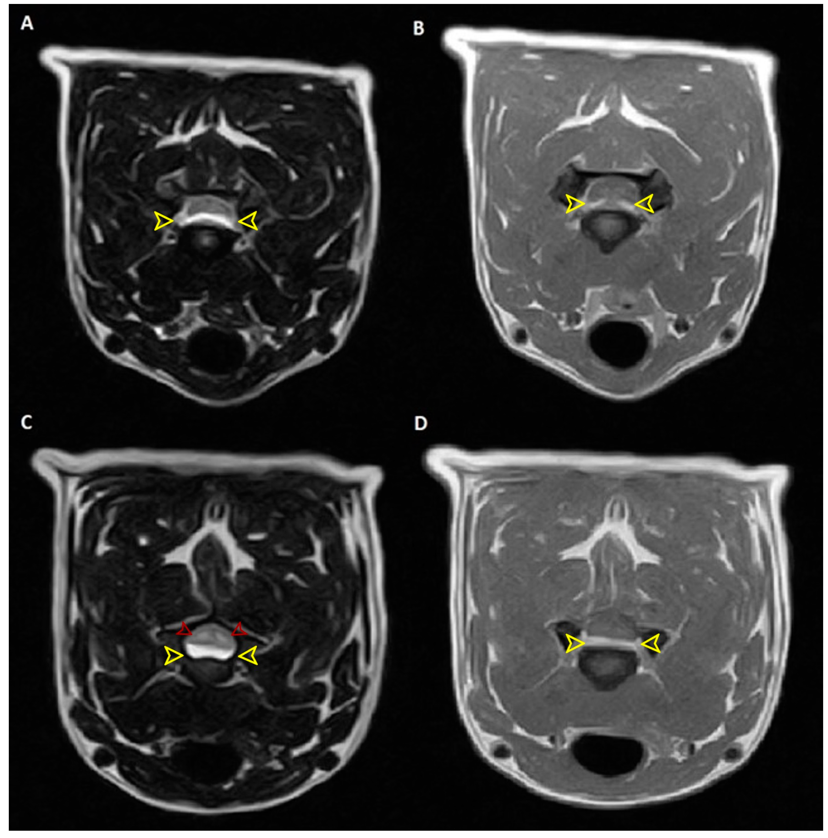
2. Case Description
3. Discussion
4. Conclusions
Author Contributions
Funding
Institutional Review Board Statement
Informed Consent Statement
Data Availability Statement
Acknowledgments
Conflicts of Interest
References
- De Decker, S.; Fenn, J. Acute Herniation of Nondegenerate Nucleus Pulposus: Acute Noncompressive Nucleus Pulposus Extrusion and Compressive Hydrated Nucleus Pulposus Extrusion. Vet. Clin. N. Am. Small Anim. Pract. 2018, 48, 95–109. [Google Scholar] [CrossRef] [PubMed]
- Fenn, J.; Olby, N.J.; Canine Spinal Cord Injury Consortium (CANSORT-SCI). Classification of Intervertebral Disc Disease. Front. Vet. Sci. 2020, 7, 579025. [Google Scholar] [CrossRef] [PubMed]
- Manunta, M.L.; Evangelisti, M.A.; Bergknut, N.; Grinwis, G.C.; Ballocco, I.; Meij, B.P. Hydrated nucleus pulposus herniation in seven dogs. Vet. J. 2015, 203, 342–344. [Google Scholar] [CrossRef]
- Kristiansen, K.V.; Schmökel, H.; Vermeire, S. Hydrated Nucleus Pulposus Extrusion in Dogs: Thoracolumbar Compared to Cervical Cases. Vet. Comp. Orthop. Traumatol. 2022, 35, 152–156. [Google Scholar] [CrossRef]
- Falzone, C. Canine acute cervical myelopathy: Hydrated nucleus pulposus extrusion or intraspinal discal cysts? Vet. Surg. 2017, 46, 376–380. [Google Scholar] [CrossRef]
- Royaux, E.; Martlé, V.; Kromhout, K.; Van der Vekens, E.; Broeckx, B.J.; Van Ham, L.; Gielen, I. Detection of compressive hydrated nucleus pulposus extrusion in dogs with multislice computed tomography. Vet. J. 2016, 216, 202–206. [Google Scholar] [CrossRef]
- Nessler, J.; Flieshardt, C.; Tünsmeyer, J.; Dening, R.; Tipold, A. Comparison of surgical and conservative treatment of hydrated nucleus pulposus extrusion in dogs. J. Vet. Intern. Med. 2018, 32, 1989–1995, Erratum in J. Vet. Intern. Med. 2021, 35, 2081. https://doi.org/10.1111/jvim.16219. [Google Scholar] [CrossRef] [PubMed]
- Dolera, M.; Malfassi, L.; Marcarini, S.; Mazza, G.; Sala, M.; Carrara, N.; Facchini, R.V.; Finesso, S. Hydrated nucleus pulposus extrusion in dogs: Correlation of magnetic resonance imaging and microsurgical findings. Acta Vet. Scand. 2015, 57, 58. [Google Scholar] [CrossRef]
- Hamilton, T.; Glass, E.; Drobatz, K.; Agnello, K.A. Severity of spinal cord dysfunction and pain associated with hydrated nucleus pulposus extrusion in dogs. Vet. Comp. Orthop. Traumatol. 2014, 27, 313–318. [Google Scholar] [CrossRef]
- Borlace, T.; Gutierrez-Quintana, R.; Taylor-Brown, F.E.; De Decker, S. Comparison of medical and surgical treatment for acute cervical compressive hydrated nucleus pulposus extrusion in dogs. Vet. Rec. 2017, 181, 625. [Google Scholar] [CrossRef]
- Farré Mariné, A.; López Beltran, M.; Ortiz Nisa, S.; Luján Feliu-Pascual, A. Myelo-CT imaging findings in 15 dogs with surgically-treated cervical acute compressive hydrated nucleus pulposus extrusion. Vet. Radiol. Ultrasound. 2024, 65, 187–192. [Google Scholar] [CrossRef] [PubMed]
- Konar, M.; Lang, J.; Flühmann, G.; Forterre, F. Ventral intraspinal cysts associated with the intervertebral disc: Magnetic resonance imaging observations in seven dogs. Vet. Surg. 2008, 37, 94–101. [Google Scholar] [CrossRef] [PubMed]
- da Costa, R.C.; De Decker, S.; Lewis, M.J.; Volk, H.; Canine Spinal Cord Injury Consortium (CANSORT-SCI). Diagnostic Imaging in Intervertebral Disc Disease. Front. Vet. Sci. 2020, 7, 588338. [Google Scholar] [CrossRef] [PubMed]
- Beltran, E.; Dennis, R.; Doyle, V.; de Stefani, A.; Holloway, A.; de Risio, L. Clinical and magnetic resonance imaging features of canine compressive cervical myelopathy with suspected hydrated nucleus pulposus extrusion. J. Small Anim. Pract. 2012, 53, 101–107. [Google Scholar] [CrossRef] [PubMed]
- Kent, M.; Glass, E.N.; Song, R.B.; Warren, J.D.; de Lahunta, A. Anatomic description and clinical relevance of the meningovertebral ligament in dogs. J. Am. Vet. Med. Assoc. 2019, 255, 687–694. [Google Scholar] [CrossRef]
- Tabbì, M.; Barillaro, G.; Interlandi, C.D.; Di Pietro, S.; Fugazzotto, D.; Costa, G.L.; Iannelli, N.M.; Macrì, D.; Ferrantelli, V.; Macrì, F. Treatment of Canine Disc-Associated Cervical Spondylomyelopathy with a Cervical Distraction–Stabilization Technique (C-LOX Combined with LCP Plate) and Clinical Outcomes. Animals 2023, 13, 2549. [Google Scholar] [CrossRef]
- Lowrie, M.L.; Platt, S.R.; Garosi, L.S. Extramedullary spinal cysts in dogs. Vet. Surg. 2014, 43, 650–662. [Google Scholar] [CrossRef]
- Kamishina, H.; Ogawa, H.; Katayama, M.; Yasuda, J.; Sato, R.; Tohyama, K. Spontaneous regression of a cervical intraspinal cyst in a dog. J. Vet. Med. Sci. 2010, 72, 349–352. [Google Scholar] [CrossRef]
- Brisson, B.A. Intervertebral disc disease in dogs. Vet. Clin. N. Am. Small Anim. Pract. 2010, 40, 829–858. [Google Scholar] [CrossRef]
- Cojocaru, R.G.; Sicoe, B.; Gaspar, C.; Grigoreanu, A.; Orghici, G.; Tibru, I.; Lacatus, R. Case report: Double adjacent ventral slot in two medium-sized breed dogs. Front. Vet. Sci. 2024, 11, 1346816. [Google Scholar] [CrossRef]
- Chang, Y.P.; Huang, W.H.; Lua, W.Z.; Wong, W.; Liu, I.H.; Liu, C.H. Outcomes in Dogs with Multiple Sites of Cervical Intervertebral Disc Disease Treated with Single Ventral Slot Decompression. Vet. Sci. 2023, 10, 377. [Google Scholar] [CrossRef] [PubMed]
- Guo, S.; Lu, D.; Pfeiffer, S.; Pfeiffer, D.U. Non-ambulatory dogs with cervical intervertebral disc herniation: Single versus multiple ventral slot decompression. Aust. Vet. J. 2020, 98, 148–155. [Google Scholar] [CrossRef] [PubMed]



Disclaimer/Publisher’s Note: The statements, opinions and data contained in all publications are solely those of the individual author(s) and contributor(s) and not of MDPI and/or the editor(s). MDPI and/or the editor(s) disclaim responsibility for any injury to people or property resulting from any ideas, methods, instructions or products referred to in the content. |
© 2024 by the authors. Licensee MDPI, Basel, Switzerland. This article is an open access article distributed under the terms and conditions of the Creative Commons Attribution (CC BY) license (https://creativecommons.org/licenses/by/4.0/).
Share and Cite
Fugazzotto, D.; Tabbì, M.; Lozano, P.L.; Barillaro, G.; Macrì, F.; Minato, S. Double Cervical Adjacent Hydrated Nucleus Pulposus Extrusion (HNPE) in a Yorkshire Terrier. Animals 2024, 14, 2889. https://doi.org/10.3390/ani14192889
Fugazzotto D, Tabbì M, Lozano PL, Barillaro G, Macrì F, Minato S. Double Cervical Adjacent Hydrated Nucleus Pulposus Extrusion (HNPE) in a Yorkshire Terrier. Animals. 2024; 14(19):2889. https://doi.org/10.3390/ani14192889
Chicago/Turabian StyleFugazzotto, Domenico, Marco Tabbì, Pilar Lorena Lozano, Giuseppe Barillaro, Francesco Macrì, and Simone Minato. 2024. "Double Cervical Adjacent Hydrated Nucleus Pulposus Extrusion (HNPE) in a Yorkshire Terrier" Animals 14, no. 19: 2889. https://doi.org/10.3390/ani14192889
APA StyleFugazzotto, D., Tabbì, M., Lozano, P. L., Barillaro, G., Macrì, F., & Minato, S. (2024). Double Cervical Adjacent Hydrated Nucleus Pulposus Extrusion (HNPE) in a Yorkshire Terrier. Animals, 14(19), 2889. https://doi.org/10.3390/ani14192889

