An Assessment of the Impact of Insect Meal in Dry Food on a Dog with a Food Allergy: A Case Report
Abstract
Simple Summary
Abstract
1. Introduction
2. Material and Methods
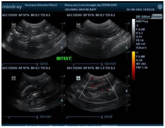
3. Case Report
4. Results
5. Discussion
6. Conclusions
Author Contributions
Funding
Institutional Review Board Statement
Data Availability Statement
Acknowledgments
Conflicts of Interest
References
- Hensel, P.; Santoro, D.; Favrot, C.; Hill, P.; Griffin, C. Canine atopic dermatitis: Detailed guidelines for diagnosis and allergen identification. BMC Vet. Res. 2015, 11, 196. [Google Scholar] [CrossRef] [PubMed]
- de Oliveira Campos Campos, M.C.; Silva, M.R.; de Siqueira, M.S.; Silva, T.J.F.; Muniz, V.E.D.; Lima, L.S.; Silva, J.M.; Ferreira, F.C.G.; Santos, J.R.; Lung, V.E.; et al. Hipersensibilidade alimentar em cão: Breve revisão e relato de caso. CLCS 2023, 16, 4891–24914. [Google Scholar] [CrossRef]
- Scott, D.W.; Miller, W.H., Jr.; Griffin, C.E. Food Hypersensitivity. In Small Animal Dermatology, 4th ed.; Hnilica, K.A., Patterson, A.P., Eds.; Saunders: Philadelphia, PA, USA, 2017; pp. 624–627. [Google Scholar]
- Olivry, T.; Mueller, R.S. Critically appraised topic on adverse food reactions of companion animals (3): Prevalence of cutaneous adverse food reactions in dogs and cats. BMC Vet. Res. 2016, 13, 51. [Google Scholar] [CrossRef]
- Mueller, R.S.; Olivry, T.; Prélaud, P. Critically appraised topic on adverse food reactions of companion animals (2): Common food allergen sources in dogs and cats. BMC Vet. Res. 2016, 12, 9. [Google Scholar] [CrossRef]
- Mandigers, P.J.; Biourge, V.; van den Ingh, T.S.; Ankringa, N.; German, A.J. A randomized, open-label, positively-controlled field trial of a hydrolyzed protein diet in dogs with chronic small bowel enteropathy. J. Vet. Intern. Med. 2010, 24, 1350–1357. [Google Scholar] [CrossRef] [PubMed]
- Tiffany, S.; Parr, J.M.; Templeman, J.; Shoveller, A.K.; Manjos, R.; Yu, A.; Verbrugghe, A. Assessment of dog owners’ knowledge relating to the diagnosis and treatment of canine food allergies. Can. Vet. J. 2019, 60, 268–274. [Google Scholar]
- Kępińska-Pacelik, J.; Biel, W. Insects in Pet Food Industry—Hope or Threat? Animals 2022, 12, 1515. [Google Scholar] [CrossRef]
- Beynen, A.C. Insect-based petfood. Creator Companion 2018, 8, 40–41. [Google Scholar]
- Skotnicka, M.; Karwowska, K.; Kłobukowski, F.; Borkowska, A.; Pieszko, M. Possibilities of the Development of Edible Insect-Based Foods in Europe. Foods 2021, 10, 766. [Google Scholar] [CrossRef]
- Bosch, G.; Swanson, K.S. Effect of using insects as feed on animals: Pet dogs and cats. J. Insects Food Feed 2021, 7, 795–805. [Google Scholar] [CrossRef]
- Ribeiro, J.C.; Cunha, L.M.; Sousa-Pinto, B.; Fonseca, J. Allergic risks of consuming edible insects: A systematic review. Mol. Nutr. Food Res. 2018, 62, 1700030. [Google Scholar] [CrossRef] [PubMed]
- Broekman, H.C.H.P.; Knulst, A.C.; De Jong, G.; Gaspari, M.; Jager, C.F.D.H.; Houben, G.F.; Verhoeckx, K.C.M. Is mealworm or shrimp allergy indicative for food allergy to insects? Mol. Nutr. Food Res. 2017, 61, 1601061. [Google Scholar] [CrossRef] [PubMed]
- Broekman, H.; Knulst, A.; Jager, S.D.H.; Monteleone, F.; Gaspari, M.; De Jong, G.; Houben, G.; Verhoeckx, K.C.M. Effect of thermal processing on mealworm allergenicity. Mol. Nutr. Food Res. 2015, 59, 1855–1864. [Google Scholar] [CrossRef] [PubMed]
- De Marchi, L.; Wangorsch, A.; Zoccatelli, G. Allergens from Edible Insects: Cross-reactivity and Effects of Processing. Curr. Allergy Asthma Rep. 2021, 21, 35. [Google Scholar] [CrossRef]
- van Huis, A. Potential of insects as food and feed in assuring food security. Annu. Rev. Entomol. 2013, 58, 563–583. [Google Scholar] [CrossRef]
- Oonincx, D.G.A.B.; Van Huis, A.; Van Loon, J.J.A. Nutrient utilisation by black soldier flies fed with chicken, pig, or cow manure. J. Insects Food Feed 2015, 1, 131–139. [Google Scholar] [CrossRef]
- Bosch, G.; Zhang, S.; Oonincx, D.G.; Hendriks, W.H. Protein quality of insects as potential ingredients for dog and cat foods. J. Nutr. Sci. 2014, 25, 3–29. [Google Scholar] [CrossRef]
- Bosch, G.; Vervoort, J.; Hendriks, W. In vitro digestibility and fermentability of selected insects for dog foods. Anim. Feed. Sci. Technol. 2016, 221, 174–184. [Google Scholar] [CrossRef]
- Huang, C.; Feng, W.L.; Xiong, J.; Wang, T.L.; Wang, W.G.; Wang, C.W.; Yang, F. Impact of drying method on the nutritional value of the edible insect protein from black soldier fly (Hermetia illucens L.) larvae: Amino acid composition, nutritional value evaluation, in vitro digestibility, and thermal properties. Eur. Food Res. Technol. 2019, 245, 11–21. [Google Scholar] [CrossRef]
- Lu, S.; Taethaisong, N.; Meethip, W.; Surakhunthod, J.; Sinpru, B.; Sroichak, T.; Archa, P.; Thongpea, S.; Paengkoum, S.; Purba, R.A.P.; et al. Nutritional Composition of Black Soldier Fly Larvae (Hermetia illucens L.) and Its Potential Uses as Alternative Protein Sources in Animal Diets: A Review. Insects 2022, 13, 831. [Google Scholar] [CrossRef]
- Freel, T.A.; McComb, A.; Koutsos, E.A. Digestibility and safety of dry black soldier fly larvae meal and black soldier fly larvae oil in dogs. J. Anim. Sci. 2021, 99, skab047. [Google Scholar] [CrossRef]
- Laflamme, D.P. Development and validation of a body condition score system for cats: A clinical tool. Feline Pract. 1997, 25, 13–21. [Google Scholar]
- Michel, K.E.; Anderson, W.; Cupp, C.; Laflamme, D.P. Correlation of a feline muscle mass score with body composition determined by dual-energy X-ray absorptiometry. Br. J. Nutr. 2011, 106, 57–59. [Google Scholar] [CrossRef][Green Version]
- National Research Council. Nutrient Requirements of Dogs and Cats; National Academies Press: Washington, DC, USA, 2006. [Google Scholar]
- EFSA Scientifc Committee. Scientifc Opinion on a risk profle related to production and consumption of insects as food and feed. EFSA J. 2015, 13, 4257. [Google Scholar] [CrossRef]
- Ji, K.; Chen, J.; Li, M.; Liu, Z.; Wang, C.; Zhan, Z.; Wu, X.; Xia, Q. Anaphylactic shock and lethal anaphylaxis caused by food consumption in China. Trends Food Sci. Technol. 2009, 20, 227–231. [Google Scholar] [CrossRef]
- van der Fels-Klerx, H.J.; Camenzuli, L.; Belluco, S.; Meijer, N.; Ricci, A. Food Safety Issues Related to Uses of Insects for Feeds and Foods. Compr. Rev. Food Sci. Food Saf. 2018, 17, 1172–1183. [Google Scholar] [CrossRef] [PubMed]
- Premrov Bajuk, B.; Zrimšek, P.; Kotnik, T.; Leonardi, A.; Križaj, I.; Jakovac Strajn, B. Insect Protein-Based Diet as Potential Risk of Allergy in Dogs. Animals 2021, 11, 1942. [Google Scholar] [CrossRef]
- Delfino, D.; Prandi, B.; Ridolo, E.; Dellafiora, L.; Pedroni, L.; Nicoletta, F.; Cavazzini, D.; Sforza, S.; Tedeschi, T.; Folli, C. Allergenicity of tropomyosin variants identified in the edible insect Hermetia illucens (black soldier fly). Food Chem. 2024, 437, 137849. [Google Scholar] [CrossRef]
- Leni, G.; Tedeschi, T.; Faccini, A.; Pratesi, F.; Folli, C.; Puxeddu, I.; Migliorini, P.; Gianotten, N.; Jacobs, J.; Depraetere, S.; et al. Shotgun proteomics, in-silico evaluation and immunoblotting assays for allergenicity assessment of lesser mealworm, black soldier fly and their protein hydrolysates. Sci. Rep. 2020, 10, 1228. [Google Scholar] [CrossRef]
- Truzzi, C.; Annibaldi, A.; Girolametti, F.; Giovannini, L.; Riolo, P.; Ruschioni, S.; Olivotto, I.; Illuminati, S. A chemically safe way to produce insect biomass for possible application in feed and food production. Int. J. Environ. Res. Public Health 2020, 17, 2121. [Google Scholar] [CrossRef]
- Bessa, L.W.; Pieterse, E.; Marais, J.; Dhanani, K.; Hoffman, L.C. Food Safety of Consuming Black Soldier Fly (Hermetia illucens) Larvae: Microbial, Heavy Metal and Cross-Reactive Allergen Risks. Foods 2021, 10, 1934. [Google Scholar] [CrossRef] [PubMed]




| Item | Diets | |
|---|---|---|
| Control Diet 3 | BSFL Diet 4 | |
| Dry matter (%) | 94.66 | 94.76 |
| Chemical composition in DM (%) | ||
| Organic matter | 93.25 | 92.87 |
| Crude protein | 32.26 | 30.79 |
| Fat | 13.91 | 13.24 |
| Ash | 6.65 | 7.13 |
| Crude fiber | 1.85 | 4.84 |
| Nitrogen-free extract 1 | 45.33 | 44.00 |
| Metabolizable energy 2 (kcal/g)2 | 4.06 | 4.00 |
Disclaimer/Publisher’s Note: The statements, opinions and data contained in all publications are solely those of the individual author(s) and contributor(s) and not of MDPI and/or the editor(s). MDPI and/or the editor(s) disclaim responsibility for any injury to people or property resulting from any ideas, methods, instructions or products referred to in the content. |
© 2024 by the authors. Licensee MDPI, Basel, Switzerland. This article is an open access article distributed under the terms and conditions of the Creative Commons Attribution (CC BY) license (https://creativecommons.org/licenses/by/4.0/).
Share and Cite
Cesar, C.G.L.; Marchi, P.H.; Amaral, A.R.; Príncipe, L.d.A.; Carmo, A.A.d.; Zafalon, R.V.A.; Miyamoto, N.N.; Garcia, N.A.C.R.; Balieiro, J.C.d.C.; Vendramini, T.H.A. An Assessment of the Impact of Insect Meal in Dry Food on a Dog with a Food Allergy: A Case Report. Animals 2024, 14, 2859. https://doi.org/10.3390/ani14192859
Cesar CGL, Marchi PH, Amaral AR, Príncipe LdA, Carmo AAd, Zafalon RVA, Miyamoto NN, Garcia NACR, Balieiro JCdC, Vendramini THA. An Assessment of the Impact of Insect Meal in Dry Food on a Dog with a Food Allergy: A Case Report. Animals. 2024; 14(19):2859. https://doi.org/10.3390/ani14192859
Chicago/Turabian StyleCesar, Cinthia Gonçalves Lenz, Pedro Henrique Marchi, Andressa Rodrigues Amaral, Leonardo de Andrade Príncipe, Adrielly Aparecida do Carmo, Rafael Vessecchi Amorim Zafalon, Nelson Nobuhiro Miyamoto, Nury Aymée Collona Rodriguez Garcia, Júlio Cesar de Carvalho Balieiro, and Thiago Henrique Annibale Vendramini. 2024. "An Assessment of the Impact of Insect Meal in Dry Food on a Dog with a Food Allergy: A Case Report" Animals 14, no. 19: 2859. https://doi.org/10.3390/ani14192859
APA StyleCesar, C. G. L., Marchi, P. H., Amaral, A. R., Príncipe, L. d. A., Carmo, A. A. d., Zafalon, R. V. A., Miyamoto, N. N., Garcia, N. A. C. R., Balieiro, J. C. d. C., & Vendramini, T. H. A. (2024). An Assessment of the Impact of Insect Meal in Dry Food on a Dog with a Food Allergy: A Case Report. Animals, 14(19), 2859. https://doi.org/10.3390/ani14192859

