The Detection of Physiological Changes Using a Triaxial Accelerometer and Temperature Sensor-Equipped Bolus-Type Biosensor in Calves
Abstract
Simple Summary
Abstract
1. Introduction
2. Materials and Methods
2.1. Animals
2.2. Biosensor
2.3. Acceleration Data Conversion
2.4. Statistical Analysis
3. Results
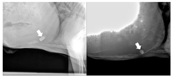
3.1. Retention and Location of the Biosensor
3.2. Changes in the Biosensor Data throughout the Day
3.2.1. Representative Triaxial Accelerometer Data in a Beef Calf on Days 10 and 100
3.2.2. Frequency Distribution and Central Tendency Analysis of Accelerometer Data across Axes and Calculated Metrics on Days 10 and 100
3.2.3. Developmental Changes in Dynamic Metrics and Stress Responses in Beef and Dairy Calves over Time
3.3. Changes in the Biosensor Data in the Peri-Weaning Period
4. Discussion
5. Conclusions
Author Contributions
Funding
Institutional Review Board Statement
Informed Consent Statement
Data Availability Statement
Acknowledgments
Conflicts of Interest
References
- Schuster, J.C.; Barkema, H.W.; De Vries, A.; Kelton, D.F.; Orsel, K. Invited review: Academic and applied approach to evaluating longevity in dairy cows. J. Dairy Sci. 2020, 103, 11008–11024. [Google Scholar] [CrossRef] [PubMed]
- VandeHaar, M.J.; St-Pierre, N. Major Advances in Nutrition: Relevance to the Sustainability of the Dairy Industry. J. Dairy Sci. 2006, 89, 1280–1291. [Google Scholar] [CrossRef] [PubMed]
- Lee, M.; Seo, S. Wearable Wireless Biosensor Technology for Monitoring Cattle: A Review. Animals 2021, 11, 2779. [Google Scholar] [CrossRef] [PubMed]
- Stygar, A.H.; Gómez, Y.; Berteselli, G.V.; Dalla Costa, E.; Canali, E.; Niemi, J.K.; Llonch, P.; Pastell, M. A Systematic Review on Commercially Available and Validated Sensor Technologies for Welfare Assessment of Dairy Cattle. Front. Vet. Sci. 2021, 8, 634338. [Google Scholar] [CrossRef]
- Nogami, H.; Arai, S.; Okada, H.; Zhan, L.; Itoh, T. Minimized Bolus-Type Wireless Sensor Node with a Built-In Three-Axis Acceleration Meter for Monitoring a Cow’s Rumen Conditions. Sensors 2017, 17, 687. [Google Scholar] [CrossRef]
- Arai, S.; Okada, H.; Sawada, H.; Takahashi, Y.; Kimura, K.; Itoh, T. Evaluation of ruminal motility in cattle by a bolus-type wireless sensor. J. Vet. Med. Sci. 2019, 81, 1835–1841. [Google Scholar] [CrossRef] [PubMed]
- Hur, T.-Y.; Jung, Y.-H.; Choe, C.-Y.; Cho, Y.-I.; Kang, S.-J.; Lee, H.-J.; Ki, K.-S.; Baek, K.-S.; Suh, G.-H. The dairy calf mortality: The causes of calf death during ten years at a large dairy farm in Korea. Korean J. Vet. Res. 2013, 53, 103–108. [Google Scholar] [CrossRef]
- Kim, U.-H.; Jung, Y.-H.; Choe, C.; Kang, S.-J.; Chang, S.-S.; Cho, S.-R.; Yang, B.-C.; Hur, T.-Y. Korean native calf mortality: The causes of calf death in a large breeding farm over a 10-year period. Korean J. Vet. Res. 2015, 55, 75–80. [Google Scholar] [CrossRef]
- Sasaki, S.; Miki, Y.; Ibi, T.; Wakaguri, H.; Yoshida, Y.; Sugimoto, Y.; Suzuki, Y. A 44-kb deleted-type copy number variation is associated with decreasing complement component activity and calf mortality in Japanese Black cattle. BMC Genom. 2021, 22, 107. [Google Scholar] [CrossRef]
- Zhang, H.; Wang, Y.; Chang, Y.; Luo, H.; Brito, L.F.; Dong, Y.; Shi, R.; Wang, Y.; Dong, G.; Liu, L. Mortality-Culling Rates of Dairy Calves and Replacement Heifers and Its Risk Factors in Holstein Cattle. Animals 2019, 9, 730. [Google Scholar] [CrossRef] [PubMed]
- Lowe, G.L.; Sutherland, M.A.; Waas, J.R.; Schaefer, A.L.; Cox, N.R.; Stewart, M. Physiological and behavioral responses as indicators for early disease detection in dairy calves. J. Dairy Sci. 2019, 102, 5389–5402. [Google Scholar] [CrossRef] [PubMed]
- Lorenz, I.; Mee, J.F.; Earley, B.; More, S.J. Calf health from birth to weaning. I. General aspects of disease prevention. Ir. Vet. J. 2011, 64, 10. [Google Scholar] [CrossRef] [PubMed]
- Silva, F.G.; Conceição, C.; Pereira, A.M.F.; Cerqueira, J.L.; Silva, S.R. Literature Review on Technological Applications to Monitor and Evaluate Calves’ Health and Welfare. Animals 2023, 13, 1148. [Google Scholar] [CrossRef] [PubMed]
- Choi, W.; Ro, Y.; Hong, L.; Ahn, S.; Kim, H.; Choi, C.; Kim, H.; Kim, D. Evaluation of ruminal motility using an indwelling 3-axis accelerometer in the reticulum in cattle. J. Vet. Med. Sci. 2020, 82, 1750–1756. [Google Scholar] [CrossRef] [PubMed]
- Bowen, J.M.; Haskell, M.J.; Miller, G.A.; Mason, C.S.; Bell, D.J.; Duthie, C.A. Early prediction of respiratory disease in preweaning dairy calves using feeding and activity behaviors. J. Dairy Sci. 2021, 104, 12009–12018. [Google Scholar] [CrossRef] [PubMed]
- Sutherland, M.A.; Lowe, G.L.; Huddart, F.J.; Waas, J.R.; Stewart, M. Measurement of dairy calf behavior prior to onset of clinical disease and in response to disbudding using automated calf feeders and accelerometers. J. Dairy Sci. 2018, 101, 8208–8216. [Google Scholar] [CrossRef] [PubMed]
- Timsit, E.; Assié, S.; Quiniou, R.; Seegers, H.; Bareille, N. Early detection of bovine respiratory disease in young bulls using reticulo-rumen temperature boluses. Vet. J. 2011, 190, 136–142. [Google Scholar] [CrossRef]
- Voss, B.; Laue, H.J.; Hoedemaker, M.; Wiedemann, S. Field-trial evaluation of an automatic temperature measurement device placed in the reticulo-rumen of pre-weaned male calves. Livest. Sci. 2016, 189, 78–81. [Google Scholar] [CrossRef]
- Caja, G.; Conill, C.; Nehring, R.; Ribó, O. Development of a ceramic bolus for the permanent electronic identification of sheep, goat and cattle. Comput. Electron. Agric. 1999, 24, 45–63. [Google Scholar] [CrossRef]
- Fallon, R.J. The development and use of electronic ruminal boluses as a vehicle for bovine identification. Rev. Sci. Tech. 2001, 20, 480–490. [Google Scholar] [CrossRef]
- Fallon, R.J.; Rogers, P.A.M. Evaluation of Rumen Boluses as a Method of Electronic Animal Identification. Ir. J. Agric. Food Res. 2001, 40, 161–168. [Google Scholar]
- Ghirardi, J.J.; Caja, G.; Garín, D.; Casellas, J.; Hernández-Jover, M. Evaluation of the retention of electronic identification boluses in the forestomachs of cattle. J. Anim. Sci. 2006, 84, 2260–2268. [Google Scholar] [CrossRef] [PubMed]
- Antonini, C.; Trabalza-Marinucci, M.; Franceschini, R.; Mughetti, L.; Acuti, G.; Faba, A.; Asdrubali, G.; Boiti, C. In vivo mechanical and in vitro electromagnetic side-effects of a ruminal transponder in cattle. J. Anim. Sci. 2006, 84, 3133–3142. [Google Scholar] [CrossRef] [PubMed]
- Diao, Q.; Zhang, R.; Fu, T. Review of Strategies to Promote Rumen Development in Calves. Animals 2019, 9, 490. [Google Scholar] [CrossRef] [PubMed]
- Schwarzkopf, S.; Kinoshita, A.; Hüther, L.; Salm, L.; Kehraus, S.; Südekum, K.-H.; Huber, K.; Dänicke, S.; Frahm, J. Weaning age influences indicators of rumen function and development in female Holstein calves. BMC Vet. Res. 2022, 18, 102. [Google Scholar] [CrossRef] [PubMed]
- Haley, D.B.; Bailey, D.W.; Stookey, J.M. The effects of weaning beef calves in two stages on their behavior and growth rate. J. Anim. Sci. 2005, 83, 2205–2214. [Google Scholar] [CrossRef] [PubMed]
- Lynch, E.M.; Earley, B.; McGee, M.; Doyle, S. Effect of abrupt weaning at housing on leukocyte distribution, functional activity of neutrophils, and acute phase protein response of beef calves. BMC Vet. Res. 2010, 6, 39. [Google Scholar] [CrossRef]
- Weary, D.M.; Jasper, J.; Hötzel, M.J. Understanding weaning distress. Appl. Anim. Behav. Sci. 2008, 110, 24–41. [Google Scholar] [CrossRef]
- Morrison, S.J.; Wicks, H.C.; Fallon, R.J.; Twigge, J.; Dawson, L.E.; Wylie, A.R.; Carson, A.F. Effects of feeding level and protein content of milk replacer on the performance of dairy herd replacements. Animal 2009, 3, 1570–1579. [Google Scholar] [CrossRef] [PubMed]
- O’Loughlin, A.; McGee, M.; Doyle, S.; Earley, B. Biomarker responses to weaning stress in beef calves. Res. Vet. Sci. 2014, 97, 458–463. [Google Scholar] [CrossRef]
- Buckham Sporer, K.R.; Weber, P.S.; Burton, J.L.; Earley, B.; Crowe, M.A. Transportation of young beef bulls alters circulating physiological parameters that may be effective biomarkers of stress. J. Anim. Sci. 2008, 86, 1325–1334. [Google Scholar] [CrossRef] [PubMed]
- Rutherford, N.H.; Gordon, A.W.; Lively, F.O.; Arnott, G. The Effect of Behaviour and Diet on the Rumen Temperature of Holstein Bulls. Animals 2019, 9, 1000. [Google Scholar] [CrossRef]
- Lees, A.M.; Lees, J.C.; Lisle, A.T.; Sullivan, M.L.; Gaughan, J.B. Effect of heat stress on rumen temperature of three breeds of cattle. Int. J. Biometeorol. 2018, 62, 207–215. [Google Scholar] [CrossRef] [PubMed]
- Lees, A.M.; Sejian, V.; Lees, J.C.; Sullivan, M.L.; Lisle, A.T.; Gaughan, J.B. Evaluating rumen temperature as an estimate of core body temperature in Angus feedlot cattle during summer. Int. J. Biometeorol. 2019, 63, 939–947. [Google Scholar] [CrossRef] [PubMed]
- Rose-Dye, T.K.; Burciaga-Robles, L.O.; Krehbiel, C.R.; Step, D.L.; Fulton, R.W.; Confer, A.W.; Richards, C.J. Rumen temperature change monitored with remote rumen temperature boluses after challenges with bovine viral diarrhea virus and Mannheimia haemolytica. J. Anim. Sci. 2011, 89, 1193–1200. [Google Scholar] [CrossRef]
- Enríquez, D.; Hötzel, M.J.; Ungerfeld, R. Minimising the stress of weaning of beef calves: A review. Acta Vet. Scand. 2011, 53, 28. [Google Scholar] [CrossRef] [PubMed]
- Price, E.O.; Harris, J.E.; Borgward, R.E.; Sween, M.L.; Connor, J.M. Fenceline contact of beef calves with their dams at weaning reduces the negative effects of separation on behavior and growth rate. J. Anim. Sci. 2003, 81, 116–121. [Google Scholar] [CrossRef] [PubMed]
- Loberg, J.M.; Hernandez, C.E.; Thierfelder, T.; Jensen, M.B.; Berg, C.; Lidfors, L. Weaning and separation in two steps—A way to decrease stress in dairy calves suckled by foster cows. Appl. Anim. Behav. Sci. 2008, 111, 222–234. [Google Scholar] [CrossRef]
- Adriaan Bouwknecht, J.; Olivier, B.; Paylor, R.E. The stress-induced hyperthermia paradigm as a physiological animal model for anxiety: A review of pharmacological and genetic studies in the mouse. Neurosci. Biobehav. Rev. 2007, 31, 41–59. [Google Scholar] [CrossRef] [PubMed]
- Vinkers, C.H.; Penning, R.; Hellhammer, J.; Verster, J.C.; Klaessens, J.H.; Olivier, B.; Kalkman, C.J. The effect of stress on core and peripheral body temperature in humans. Stress 2013, 16, 520–530. [Google Scholar] [CrossRef]
- Scoley, G.; Gordon, A.; Morrison, S. Performance and Behavioural Responses of Group Housed Dairy Calves to Two Different Weaning Methods. Animals 2019, 9, 895. [Google Scholar] [CrossRef] [PubMed]
- Beatty, D.T.; Barnes, A.; Taylor, E.; Maloney, S.K. Do changes in feed intake or ambient temperature cause changes in cattle rumen temperature relative to core temperature? J. Therm. Biol. 2008, 33, 12–19. [Google Scholar] [CrossRef]






Disclaimer/Publisher’s Note: The statements, opinions and data contained in all publications are solely those of the individual author(s) and contributor(s) and not of MDPI and/or the editor(s). MDPI and/or the editor(s) disclaim responsibility for any injury to people or property resulting from any ideas, methods, instructions or products referred to in the content. |
© 2024 by the authors. Licensee MDPI, Basel, Switzerland. This article is an open access article distributed under the terms and conditions of the Creative Commons Attribution (CC BY) license (https://creativecommons.org/licenses/by/4.0/).
Share and Cite
Hong, L.; Ro, Y.; Kimura, A.; Choi, W.; Kim, D. The Detection of Physiological Changes Using a Triaxial Accelerometer and Temperature Sensor-Equipped Bolus-Type Biosensor in Calves. Animals 2024, 14, 2815. https://doi.org/10.3390/ani14192815
Hong L, Ro Y, Kimura A, Choi W, Kim D. The Detection of Physiological Changes Using a Triaxial Accelerometer and Temperature Sensor-Equipped Bolus-Type Biosensor in Calves. Animals. 2024; 14(19):2815. https://doi.org/10.3390/ani14192815
Chicago/Turabian StyleHong, Leegon, Younghye Ro, Atsushi Kimura, Woojae Choi, and Danil Kim. 2024. "The Detection of Physiological Changes Using a Triaxial Accelerometer and Temperature Sensor-Equipped Bolus-Type Biosensor in Calves" Animals 14, no. 19: 2815. https://doi.org/10.3390/ani14192815
APA StyleHong, L., Ro, Y., Kimura, A., Choi, W., & Kim, D. (2024). The Detection of Physiological Changes Using a Triaxial Accelerometer and Temperature Sensor-Equipped Bolus-Type Biosensor in Calves. Animals, 14(19), 2815. https://doi.org/10.3390/ani14192815

