Myxobolus dabryi n. sp. (Myxozoa: Myxobolidae) Infecting the Gills of Chanodichthys dabryi, Bleeker, 1871 (Cypriniformes: Cyprinidae) in Hunan Province, China †
Abstract
Simple Summary
Abstract
1. Introduction
2. Materials and Methods
2.1. Morphological Examination
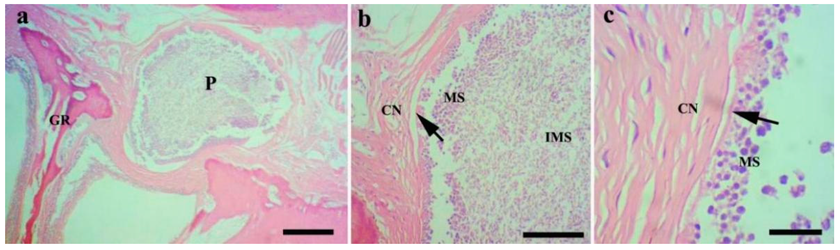
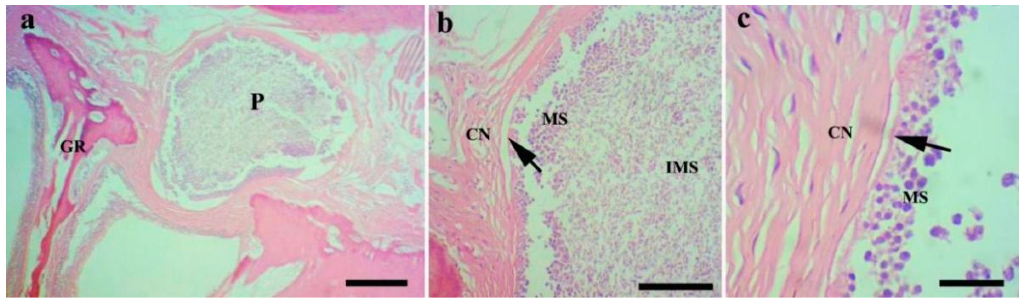
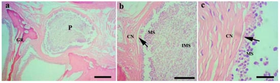
2.2. Histopathological Examination
2.3. Molecular Characterization
2.3.1. DNA Isolation and Sequencing
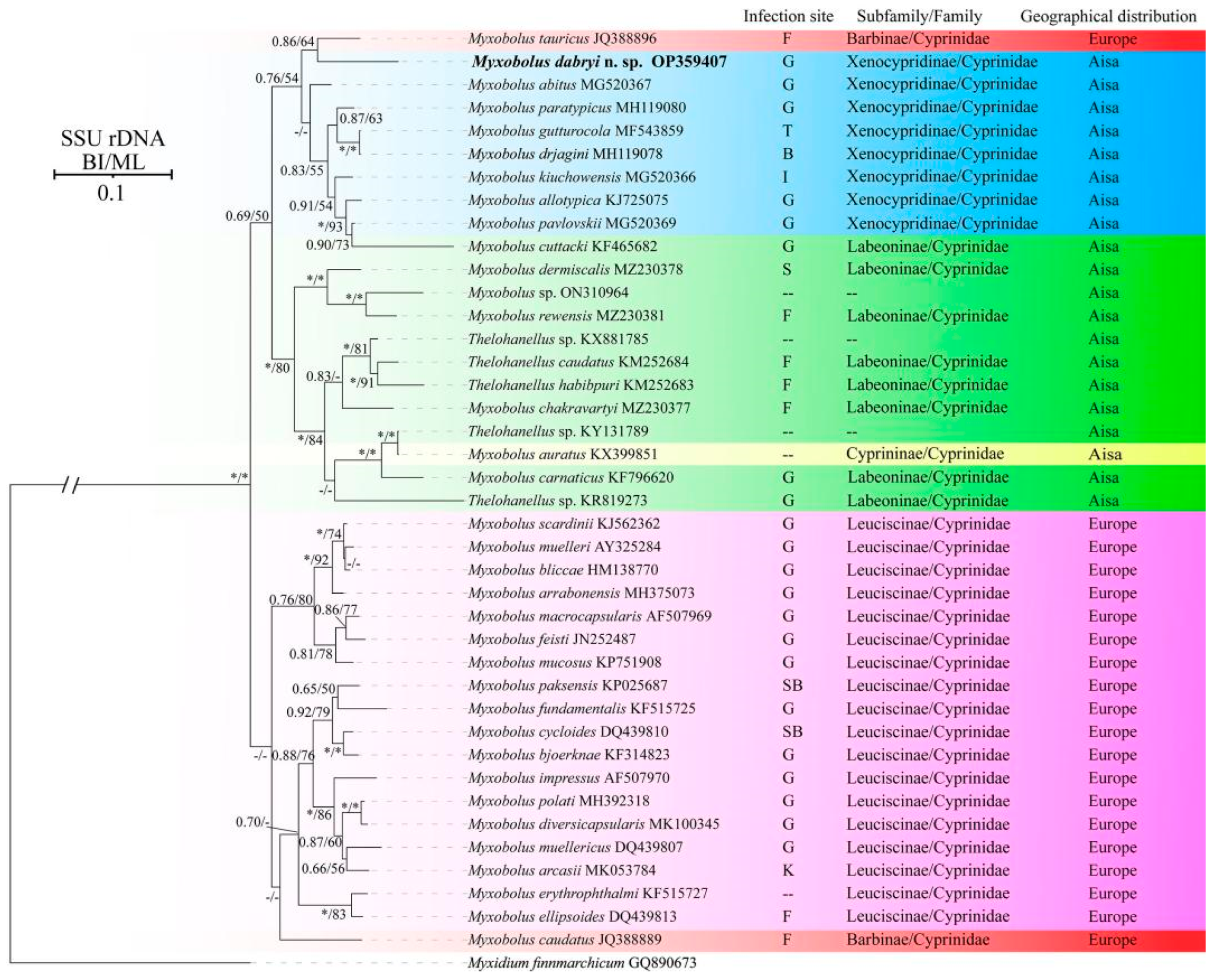
2.3.2. Phylogenetic Analysis
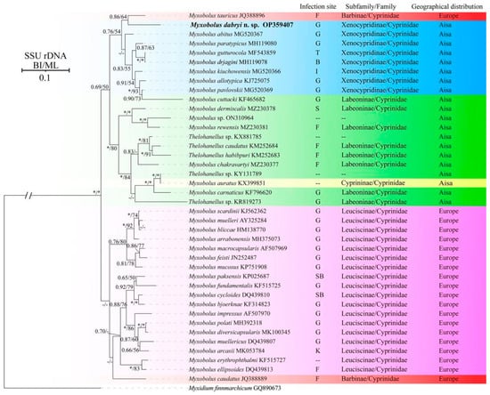
3. Results
Myxobolus dabryi n. sp. (Figure 2, Figure 3, Figure 4 and Figure 5, Table 2)



| Species | 1 | 2 | 3 | 4 | 5 | 6 | 7 | 8 | 9 | 10 | 11 | 12 | 13 | 
|---|---|---|---|---|---|---|---|---|---|---|---|---|---|
| 1 M. dabryi n. sp. OP359407 | 93.4 | 93.3 | 92.1 | 91.4 | 91.3 | 91.3 | 91.2 | 91.1 | 91.1 | 90.9 | 90.9 | 90.0 | |
| 2 M. tauricus JQ388896 | 0.066 | 95.4 | 94.8 | 91.9 | 91.2 | 91.1 | 92.3 | 91.5 | 91.2 | 91.5 | 91.7 | 90.0 | |
| 3 M. abitus MG520367 | 0.067 | 0.046 | 96.0 | 90.8 | 92.8 | 92.8 | 92.0 | 92.5 | 91.4 | 92.6 | 91.5 | 90.5 | |
| 4 M. drjagini MW577455 | 0.079 | 0.052 | 0.040 | 91.3 | 91.3 | 91.3 | 92.1 | 92.0 | 90.2 | 92.0 | 91.0 | 90.2 | |
| 5 M. erythrophthalmi KF515728 | 0.086 | 0.081 | 0.092 | 0.087 | 92.5 | 92.6 | 95.7 | 93.7 | 90.5 | 93.6 | 92.4 | 91.5 | |
| 6 M. scardinii KJ562362 | 0.087 | 0.088 | 0.072 | 0.087 | 0.075 | 99.6 | 93.5 | 93.4 | 90.5 | 93.3 | 0.919 | 0.914 | |
| 7 M. bliccae HM138770 | 0.087 | 0.089 | 0.072 | 0.087 | 0.074 | 0.004 | 93.5 | 93.4 | 90.8 | 93.3 | 92.0 | 91.5 | |
| 8 M. zaikae MT141124 | 0.088 | 0.077 | 0.080 | 0.079 | 0.043 | 0.065 | 0.065 | 94.1 | 90.5 | 93.8 | 92.9 | 91.6 | |
| 9 M. polati MH392318 | 0.089 | 0.085 | 0.075 | 0.080 | 0.063 | 0.066 | 0.066 | 0.059 | 91.6 | 99.5 | 95.6 | 94.5 | |
| 10 M. chakravartyi MZ230377 | 0.089 | 0.088 | 0.086 | 0.098 | 0.095 | 0.095 | 0.092 | 0.095 | 0.084 | 91.3 | 90.3 | 89.5 | |
| 11 M. diversicapsularis GU968199 | 0.091 | 0.085 | 0.074 | 0.080 | 0.064 | 0.067 | 0.067 | 0.062 | 0.005 | 0.087 | 95.8 | 94.9 | |
| 12 M. impressus AF507970 | 0.091 | 0.083 | 0.085 | 0.090 | 0.076 | 0.081 | 0.080 | 0.071 | 0.044 | 0.097 | 0.042 | 96.1 | |
| 13 M. lamellobasis KF314824 | 0.100 | 0.100 | 0.095 | 0.098 | 0.085 | 0.086 | 0.085 | 0.084 | 0.055 | 0.105 | 0.051 | 0.039 | 

4. Discussion
5. Conclusions
Author Contributions
Funding
Institutional Review Board Statement
Informed Consent Statement
Data Availability Statement
Conflicts of Interest
References
- Lisnerová, M.; Martinek, I.N.; Alama-Bermejo, G.; Bouberlová, K.; Schaeffner, B.C.; Nkabi, N.; Holzer, A.S.; Bartošová-Sojková, P. An ancient alliance: Matching evolutionary patterns of cartilaginous fishes (Elasmobranchii) and chloromyxid parasites (Myxozoa). Infect. Genet. Evol. 2022, 103, 105346. [Google Scholar] [CrossRef] [PubMed]
 - Lom, J.; Dyková, I. Myxozoan genera: Definition and notes on taxonomy, life-cycle terminology and pathogenic species. Folia. Parasitol. 2006, 53, 1–36. [Google Scholar] [CrossRef]
 - Fiala, I.; Bartošová-Sojková, P.; Whipps, C.M. Classification and phylogenetics of Myxozoa. In Myxozoan Evolution, Ecology and Development; Okumura, B., Gruhl, A., Bartholomew, J.L., Eds.; Springer: Cham, Germany, 2015; pp. 85–105. [Google Scholar]
 - Chen, Q.L.; Ma, C.L. Fauna Sinica, Myxozoa: Myxosporea, 1st ed.; Science Press: Beijing, China, 1998. [Google Scholar]
 - Eiras, J.C.; Cruz, C.F.; Saraiva, A.; Adriano, E.A. Synopsis of the species of Myxobolus (Cnidaria, Myxozoa, Myxosporea) described between 2014 and 2020. Folia. Parasitol. 2021, 68, 012–030. [Google Scholar] [CrossRef]
 - Zhao, Y.J.; Li, N.N.; Tang, F.H.; Dong, J. Remarks on the validity of Myxobolus ampullicapsulatus and Myxobolus honghuensis (Myxozoa: Myxosporea) based on SSU rDNA sequences. Parasitol. Res. 2013, 112, 3817–3823. [Google Scholar] [CrossRef]
 - Zhang, J.Y.; Yokoyama, H.; Wang, J.G.; Li, A.H.; Gong, X.N.; Ryu-Hasegawa, A.; Iwashita, M.; Ogawa, K. Utilization of tissue habitats by Myxobolus wulii Landsberg & Lom, 1991 in different carp hosts and disease resistance in allogynogenetic gibel carp: Redescription of M. wulii from China and Japan. J. Fish. Dis. 2010, 33, 57–68. [Google Scholar] [CrossRef]
 - Liu, Y.; Yuan, J.; Jia, L.; Huang, M.; Zhou, Z.; Gu, Z. Supplemental description of Thelohanellus wuhanensis Xiao & Chen, 1993 (Myxozoa: Myxosporea) infecting the skin of Carassius auratus gibelio (Bloch): Ultrastructural and histological data. Parasitol. Int. 2014, 63, 489–491. [Google Scholar]
 - Liu, T.; Wei, W.Y.; Wang, K.Y.; Yang, Q.; Wang, E.L. Pathological and immunological analyses of Thelohanellus kitauei (Myxozoa: Myxosporea) infection in the scattered mirror carp, Cyprinus carpio. Sci. Rep. 2019, 9, 20014. [Google Scholar] [CrossRef]
 - Zhang, X.G. Comparative Studies on Morphology and Growth of Four Culters in Lake Poyang. Ph.D. Thesis, Huazhong Agricultural University, Wuhan, China, 2008. [Google Scholar]
 - Liu, X.H.; Weng, M.Q.; Song, R.; Zhao, Y.L.; Li, A.L.; Zhang, J.Y. Redescription and phylogenetic analysis of Myxobolus tricostatus (Myxozoa: Myxobolidae). J. Fish. China 2021, 45, 1340–1349. [Google Scholar] [CrossRef]
 - Zhang, J.Y.; Wang, M.M.; Tan, L.Q.; Zhao, Y.J. Myxobolus xiushanensis n. sp. (Myxozoa: Myxobolidae) infecting the gill arches of Yellowhead Catfish Tachysurus fulvidraco from China. J. Aquat. Anim. Health 2023, 35, 211–222. [Google Scholar] [CrossRef] [PubMed]
 - Lom, J.; Arthur, J.R. 1989: A guideline for the preparation of species descriptions in Myxosporea. J. Fish. Dis. 1989, 12, 151–156. [Google Scholar] [CrossRef]
 - Fiala, I. The phylogeny of Myxosporea (Myxozoa) based on small subunit ribosomal RNA gene analysis. Int. J. Parasitol. 2006, 36, 1521–1534. [Google Scholar] [CrossRef]
 - Whipps, C.M.; Adlard, R.D.; Bryant, M.S.; Lester, R.J.; Findlay, V.; Kent, M.L. First report of three Kudoa species from eastern Australia: Kudoa thyrsites from mahi mahi (Coryphaena hippurus), Kudoa amamiensis and Kudoa minithyrsites n. sp. from sweeper (Pempheris ypsilychnus). J. Eukaryot Microbiol 2003, 50, 215–219. [Google Scholar] [CrossRef]
 - Hall, T.A. BioEdit: A user-friendly biological sequence alignment editor and analysis program for Windows 95/98/NT. Nucleic. Acids. Sym. Ser. 1999, 41, 95–98. [Google Scholar]
 - Thompson, J.D.; Gibson, T.J.; Plewniak, F.; Jeanmougin, F.; Higgins, D.G. The CLUSTAL_X Windows interface: Flexible strategies for multiple sequence alignment aided by Quality Analysis Tools. Nucleic. Acids. Res. 1997, 25, 4876–4883. [Google Scholar] [CrossRef]
 - Kumar, S.; Stecher, G.; Li, M.; Knyaz, C.; Tamura, K. MEGA X: Molecular Evolutionary Genetics Analysis across Computing Platforms. Mol. Biol. Evol. 2018, 35, 1547–1549. [Google Scholar] [CrossRef] [PubMed]
 - Ronquist, F.; Teslenko, M.; van der Mark, P.; Ayres, D.L.; Darling, A.; Höhna, S.; Larget, B.; Liu, L.; Suchard, M.A.; Huelsenbeck, J.P. MrBayes 3.2: Efficient Bayesian phylogenetic inference and model choice across a large model space. Syst. Biol. 2012, 61, 539–542. [Google Scholar] [CrossRef] [PubMed]
 - Stamatakis, A. RAxML version 8: A tool for phylogenetic analysis and post-analysis of large phylogenies. Bioinformatics 2014, 30, 1312–1313. [Google Scholar] [CrossRef]
 - Darriba, D.; Taboada, G.L.; Doallo, R.; Posada, D. jModelTest 2: More models, new heuristics and high-performance computing. Nat. Methods 2012, 9, 772. [Google Scholar] [CrossRef] [PubMed]
 - FigTree v1.4.3. Available online: http://tree.bio.ed.ac.uk/software/figtree/ (accessed on 16 May 2024).
 - Chen, X.Y.; Liu, S.B.; Ding, Q.W.; Teame, T.; Yang, Y.L.; Ran, C.; Zhang, Z.; Zhou, Z.G. Research advances in the structure, function, and regulation of the gill barrier in teleost fish. Water Biol. Secur. 2023, 2, 100139. [Google Scholar] [CrossRef]
 - Eiras, J.C.; Molnár, K.; Lu, Y.S. Synopsis of the species of Myxobolus bütschli, 1882 (Myxozoa: Myxosporea: Myxobolidae). Syst. Parasitol. 2005, 61, 1–46. [Google Scholar] [CrossRef]
 - Vieira, D.H.M.D.; Agostinho, B.N.; Negrelli, D.C.; Silva, R.J.; Azevedo, R.K.; Abdallah, V.D. Taxonomy and Systematics of Two New Species of Myxobolus (Cnidaria: Myxobolidae) Parasitizing the Gills of Mugil curema (Mugilidae) from the Brazilian Coast. Acta Parasitol 2022, 67, 1206–1216. [Google Scholar] [CrossRef]
 - Molnár, K. Site preference of fish myxosporeans in the gill. Dis. Aquat. Org. 2002, 48, 197–207. [Google Scholar] [CrossRef] [PubMed]
 - Yokoyama, H.; Inoue, D.; Kumamaru, A.; Wakabayashi, H. Myxobolus koi (Myxozoa: Myxosporea) forms large-and small-type ‘cysts’ in the gills of common carp. Fish. Pathol. 1997, 32, 211–217. [Google Scholar] [CrossRef]
 - Zhang, X.Y.; Yao, X.; Zhou, F.; Yang, C.Z.; Liu, Y. Identification of Thelohanellus pseudonikolskii n. sp. and Myxobolus koi Kudo, 1920 from goldfish Carassius auratus. Aqua. Rep. 2022, 24, 101167. [Google Scholar] [CrossRef]
 - Molnár, K. Myxobolus intrachondrealis sp. n. (Myxosporea: Myxobolidae), a parasite of the gill cartilage of the common carp, Cyprinus carpio. Folia. Parasitol. 2000, 47, 167–171. [Google Scholar] [CrossRef]
 - Mathews, P.D.; Maia, A.A.M.; Adriano, E.A. Morphological and ultrastructural aspects of Myxobolus niger n. sp. (Myxozoa) gill parasite of Corydoras melini (Siluriformes: Callichthyidae) from Brazilian Amazon. Acta. Trop. 2016, 158, 214–219. [Google Scholar] [CrossRef]
 - Shin, S.P.; Nguyen, V.G.; Jeong, J.M.; Jun, J.W.; Kim, J.H.; Han, J.E.; Baeck, G.W.; Park, S.C. The phylogenetic study on Thelohanellus species (Myxosporea) in relation to host specificity and infection site tropism. Mol. Phylogenet Evol. 2014, 72, 31–34. [Google Scholar] [CrossRef] [PubMed]
 - Molnár, K. Myxobolus pavlovskii (Achmerov, 1954) (Myxosporidia) infection in the silver carp and bighead. Acta Vet. Acad. Sci. Hung 1979, 27, 207–216. [Google Scholar]
 - Zhang, B.; Gu, Z.M.; Liu, Y. Morphological, histological and molecular characterization of three Myxobolus species (Cnidaria: Myxosporea) from silver carp Hypophthalmichthys molitrix Valenciennes and bighead carp Hypophthalmichthys nobilis Richardson in China. Parasitol. Int. 2018, 67, 509–516. [Google Scholar] [CrossRef]
 - Borzák, R.; Borkhanuddin, M.H.; Cech, G.; Molnár, K.; Hallett, S.L.; Székely, C. New data on Thelohanellus nikolskii Achmerov, 1955 (Myxosporea, Myxobolidae) a parasite of the common carp (Cyprinus carpio, L.): The actinospore stage, intrapiscine tissue preference and molecular sequence. Int. J. Parasitol Parasites Wildl 2021, 15, 112–119. [Google Scholar] [CrossRef]
 - Suo, D.; Zhao, Y.J. Morphological redescription of Thelohanellus nikolskii Achmerov, 1955 (Myxozoa, Bivalvulida) and phylogenetic analysis of Thelohanellus nikolskii inferred from 18S rDNA. Acta Zootaxonomica Sin. 2010, 35, 90–95. [Google Scholar]
 - Zhang, B.; Tu, X.; Gu, Z.M. Myxobolus shuifuensis sp. n. (Myxozoa: Myxobolidae) infecting the exotic mrigal Cirrhinus mrigala feral in China. Parasitol. Int. 2023, 94, 102732. [Google Scholar] [CrossRef] [PubMed]
 - Liu, X.H.; Wei, Q.; Zhao, X.J. The preliminary investigation of myxosporean diversity of invasive fish in China. 2024; manuscript in preparation. [Google Scholar]
 - Batueva, M.D.; Vlasenko, P.; Solovyev, M.M.; Abasheev, R.Y. Myxobolus nekrasovae n. sp. (Cnidaria, Myxozoa) is a new species parasitizing the gills of the gibel carp, Carassius auratus gibelio. Microb. Pathog. 2023, 185, 106454. [Google Scholar] [CrossRef] [PubMed]
 

| Species Name | Accession Number | Host | Infected Tissue | Source | 
|---|---|---|---|---|
| Myxobolus dabryi n. sp. | OP359407 | Chanodichthys dabryi | Gills | Present study | 
| Myxobolus abitus | MG520367 | Hypophthalmichthys molitrix | Gills | GenBank | 
| Myxobolus allotypica | KJ725075 | Hypophthalmichthys molitrix | Gills | GenBank | 
| Myxobolus arcasii | MK053784 | Achondrostoma arcasii | Kidney | GenBank | 
| Myxobolus arrabonensis | MH375073 | Chondrostoma angorense | Gills | GenBank | 
| Myxobolus auratus | KX399851 | Carassius auratus auratus | Unknown | GenBank | 
| Myxobolus bjoerknae | KF314823 | Blicca bjoerkna | Gills | GenBank | 
| Myxobolus bliccae | HM138770 | Blicca bjoerkna | Gills | GenBank | 
| Myxobolus carnaticus | KF796620 | Cirrhinus mrigala | Gills | GenBank | 
| Myxobolus caudatus | JQ388889 | Barbus barbus | Fins | GenBank | 
| Myxobolus chakravartyi | MZ230377 | Labeo catla | Fins | GenBank | 
| Myxobolus cuttacki | KF465682 | Labeo bata | Gills | GenBank | 
| Myxobolus cycloides | DQ439810 | Squalius cephalus | Swim bladder | GenBank | 
| Myxobolus dermiscalis | MZ230378 | Labeo rohita | Scales | GenBank | 
| Myxobolus diversicapsularis | MK100345 | Rutilus rutilus | Gills | GenBank | 
| Myxobolus drjagini | MH119078 | Hypophthalmichys molitrix | Brain | GenBank | 
| Myxobolus ellipsoides | DQ439813 | Squalius cephalus | Fins | GenBank | 
| Myxobolus erythrophthalmi | KF515727 | Scardinius erythrophthalmus | Unknown | GenBank | 
| Myxobolus feisti | JN252487 | Rutilus rutilus | Gills | GenBank | 
| Myxobolus fundamentalis | KF515725 | Rutilus rutilus | Gills | GenBank | 
| Myxobolus gutturocola | MF543859 | Hypophthalmichthys molitrix | Throat | GenBank | 
| Myxobolus impressus | AF507970 | Abramis brama | Gills | GenBank | 
| Myxobolus kiuchowensis | MG520366 | Hypophthalmichthys nobilis | Intestine | GenBank | 
| Myxobolus macrocapsularis | AF507969 | Abramis brama | Gills | GenBank | 
| Myxobolus mucosus | KP751908 | Leuciscus leuciscus | Gills | GenBank | 
| Myxobolus muelleri | AY325284 | Squalius cephalus | Gills | GenBank | 
| Myxobolus muellericus | DQ439807 | Squalius cephalus | Gills | GenBank | 
| Myxobolus paksensis | KP025687 | Chondrostoma nasus | Swim bladder | GenBank | 
| Myxobolus paratypicus | MH119080 | Hypophthalmichys molitrix | Gills | GenBank | 
| Myxobolus pavlovskii | MG520369 | Hypophthalmichthys nobilis | Gills | GenBank | 
| Myxobolus polati | MH392318 | Chondrostoma angorense | Gills | GenBank | 
| Myxobolus rewensis | MZ230381 | Cirrhinus mrigala | Fins | GenBank | 
| Myxobolus scardinii | KJ562362 | Scardinius erythrophthalmus | Gills | GenBank | 
| Myxobolus sp. | ON310964 | Unknown | Unknown | GenBank | 
| Myxobolus tauricus | JQ388896 | Barbus barbus | Fins | GenBank | 
| Thelohanellus caudatus | KM252684 | Labeo rohita | Fins | GenBank | 
| Thelohanellus habibpuri | KM252683 | Labeo rohita | Fins | GenBank | 
| Thelohanellus sp. | KR819273 | Labeo catla | Gills | GenBank | 
| Thelohanellus sp. | KX881785 | Unknown | Unknown | GenBank | 
| Thelohanellus sp. | KY131789 | Unknown | Unknown | GenBank | 
| Myxidium finnmarchicum | GQ890673 | Gadus morhua | gall bladder | GenBank | 
| Species | IS | H | S | LS | WS | TS | LPC | WPC | CPF | Ref | 
|---|---|---|---|---|---|---|---|---|---|---|
| M. dabryi n. sp. | Gills | C. dabryi | Ellipsoide | 9.2 ± 0.4 a | 7.4 ± 0.3 | 5.2 ± 0.2 | 3.5 ± 0.1 | 2.1 ± 0.1 | 4–5 | Present study | 
| (8.3–9.9) b | (6.9–8.0) | (4.8–5.5) | (3.3–3.7) | (2.0–2.4) | ||||||
| M. chuhsienensis | Gills | C. dabryi | Ellipsoide | 8.2 c | 7.0 | 5.3 | 3.5 | 2.3 | ? | [4] | 
| (7.2–8.7) | (6.7–7.0) | (5.0–5.6) | (3.5–3.7) | (2.1–2.5) | ||||||
| M. erythroculteri | Gills | C. dabryi | Pyriform | 12.5–14.0 | 7.4–9.0 | 6.0–7.5 | 6.0–7.5 | 2.4–3.0 | ? | [4] | 
| M. changjiangensis | Gills | C. dabryi | Pyriform | 26.5–28.0 | 21.0–22.0 | 15.0 | 12.0–14.0 | 6.0–7.0 | 4–5 | [4] | 
| M. lussi | Gills | C. mongolicus | Round | 11.4 | 8.1 | 5.8 | 4.9 | 3.1 | 6–7 | [4] | 
| (10.6–12.0) | (7.4–8.4) | (4.8–6.2) | (4.6–5.2) | (2.8–3.6) | ||||||
| M. dermatobia | Kidney | C. erythropeterus | Ellipsoide | 8.1 | 6.8 | 4.9 | 3.6 | 2.3 | ? | [4] | 
| (7.4–8.4) | (6.0–7.2) | (4.8–5.0) | (3.5–3.8) | (2.0–2.4) | 
Disclaimer/Publisher’s Note: The statements, opinions and data contained in all publications are solely those of the individual author(s) and contributor(s) and not of MDPI and/or the editor(s). MDPI and/or the editor(s) disclaim responsibility for any injury to people or property resulting from any ideas, methods, instructions or products referred to in the content.  | 
© 2024 by the authors. Licensee MDPI, Basel, Switzerland. This article is an open access article distributed under the terms and conditions of the Creative Commons Attribution (CC BY) license (https://creativecommons.org/licenses/by/4.0/).
Share and Cite
Zhao, X.; Yin, Q.; Cai, J.; Wei, Q.; Li, D.; Yu, J.; Xiang, J.; Zhang, J.; Liu, X. Myxobolus dabryi n. sp. (Myxozoa: Myxobolidae) Infecting the Gills of Chanodichthys dabryi, Bleeker, 1871 (Cypriniformes: Cyprinidae) in Hunan Province, China. Animals 2024, 14, 2487. https://doi.org/10.3390/ani14172487
Zhao X, Yin Q, Cai J, Wei Q, Li D, Yu J, Xiang J, Zhang J, Liu X. Myxobolus dabryi n. sp. (Myxozoa: Myxobolidae) Infecting the Gills of Chanodichthys dabryi, Bleeker, 1871 (Cypriniformes: Cyprinidae) in Hunan Province, China. Animals. 2024; 14(17):2487. https://doi.org/10.3390/ani14172487
Chicago/Turabian StyleZhao, Xiaojing, Qi Yin, Jia Cai, Qiang Wei, Deliang Li, Jianbo Yu, Jianguo Xiang, Jinyong Zhang, and Xinhua Liu. 2024. "Myxobolus dabryi n. sp. (Myxozoa: Myxobolidae) Infecting the Gills of Chanodichthys dabryi, Bleeker, 1871 (Cypriniformes: Cyprinidae) in Hunan Province, China" Animals 14, no. 17: 2487. https://doi.org/10.3390/ani14172487
APA StyleZhao, X., Yin, Q., Cai, J., Wei, Q., Li, D., Yu, J., Xiang, J., Zhang, J., & Liu, X. (2024). Myxobolus dabryi n. sp. (Myxozoa: Myxobolidae) Infecting the Gills of Chanodichthys dabryi, Bleeker, 1871 (Cypriniformes: Cyprinidae) in Hunan Province, China. Animals, 14(17), 2487. https://doi.org/10.3390/ani14172487
        
                                                
