Blood Fluke Infection (Spirorchidiasis) and Systemic Granulomatous Inflammation: A Case Study of Green Sea Turtles (Chelonia mydas) on Jeju Island, South Korea
Abstract
Simple Summary
Abstract
1. Introduction
2. Materials and Methods
2.1. Specimen Information
2.2. Premortem Examination
2.3. Postmortem Examination
3. Results
3.1. Premortem Examination
3.1.1. Clinical Symptoms and Blood Analysis
3.1.2. Radiological Findings
3.2. Postmortem Examination
3.2.1. Gross Findings
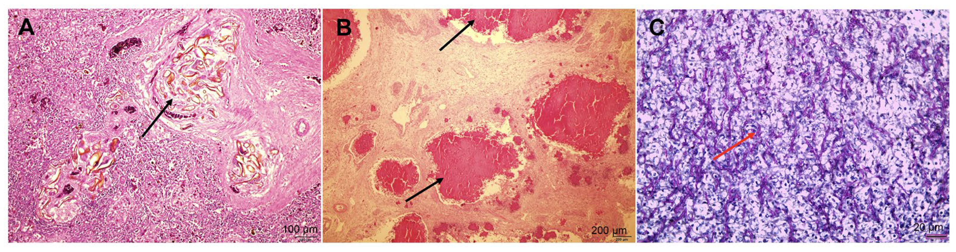
3.2.2. Histopathological Findings
4. Conclusions
Author Contributions
Funding
Institutional Review Board Statement
Informed Consent Statement
Data Availability Statement
Conflicts of Interest
References
- Chapman, P.A.; Cribb, T.H.; Flint, M.; Traub, R.J.; Blair, D.; Kyaw-Tanner, M.; Mills, P.C. Spirorchiidiasis in Marine Turtles: The Current State of Knowledge. Dis. Aquat. Org. 2019, 133, 217–245. [Google Scholar] [CrossRef] [PubMed]
- Chapman, P.A.; Owen, H.; Flint, M.; Soares Magalhães, R.J.; Traub, R.J.; Cribb, T.H.; Kyaw-Tanner, M.T.; Mills, P.C. Molecular Epidemiology and Pathology of Spirorchiid Infection in Green Sea Turtles (Chelonia mydas). Int. J. Parasitol. Parasites Wildl. 2017, 6, 39–47. [Google Scholar] [CrossRef] [PubMed]
- Glazebrook, J.S.; Campbell, R.S.F.; Blair, D. Pathological changes associated with cardiovascular trematodes (Digenea: Spirorchidae) in a green sea turtle Chelonia mydas (L). Comp. Haematol. Int. 1981, 91, 361–368. [Google Scholar] [CrossRef] [PubMed]
- Manire, C.A.; Norton, T.M.; Stacy, B.A. Sea Turtle Health & Rehabilitation; J. Ross Publishing: Fort Lauderdale, FL, USA, 2017; pp. 209–239. [Google Scholar]
- Samour, J.H.; Hewlett, J.C.; Silvanose, C.; Hasbun, C.R.; Al-Ghais, S.M. Normal haematology of free-living green sea turtles (Chelonia mydas) from the United Arab Emirates. Comp. Haematol. Int. 1998, 8, 102–107. [Google Scholar] [CrossRef]
- Lewbart, G.A.; Hirschfeld, M.; Denkinger, J.; Vasco, K.; Guevara, N.; García, J.; Muñoz, J.; Lohmann, K.J. Blood Gases, Biochemistry, and Hematology of Galapagos Green Turtles (Chelonia mydas). PLoS ONE 2014, 9, e96487. [Google Scholar] [CrossRef] [PubMed]
- Domiciano, I.G.; da Silva Gagliotti, G.F.P.; Domit, C.; Lorenzetti, E.; Bracarense, A.P.F.R.L. Bacterial and fungal pathogens in granulomatous lesions of Chelonia mydas in a significant foraging ground off southern Brazil. Vet. Res. Commun. 2022, 46, 859–870. [Google Scholar] [CrossRef] [PubMed]




| Case 1 | Case 2 | Case 3 | |
|---|---|---|---|
| Age | Juvenile | Juvenile | Juvenile |
| Sex | Unknown | Unknown | Unknown |
| Weight | 10.1 kg | 9.84 kg | 13 kg |
| Stranded Location | 33°26′13.6″ N 126°55′23.4″ E | 33°14′19.4″ N 126°36′25.1″ E | 33°14′20.9″ N 126°33′43.2″ E |
| Stranded Date | 5 July 2016 | 21 March 2021 | 23 May 2022 |
| Date of Death | 16 July 2016 | 26 June 2021 | 24 June 2022 |
| Date of Necropsy | 16 July 2016 | 26 June 2021 | 25 June 2022 |
| Hematological Parameters | Reference | Unit | Case 1 | Case 2 | Case 3 |
|---|---|---|---|---|---|
| WBC | 1.76–22.4 | 10 × 9/L | - | 2.8 | 2.2889 |
| RBC | 0.28–0.64 | 10 × 12/L | - | 0.24 | 0.248 |
| Hemoglobin | 5.8–12.9 | g/dL | 12.3 | 4.3 | 9 |
| mPCV | 17–38 | % | 37.5 | 11.5 | 24 |
| Chemistry Parameters | Reference | Unit | Case 1 | Case 2 | Case 3 |
|---|---|---|---|---|---|
| Sodium [Na+] | 157–183 | mmol/L | 157 | 143 | 151 |
| Potassium [K+] | 4.1–6.9 | mmol/L | 3.2 | 2.8 | 3.8 |
| Chloride [Cl−] | 100–130 | mmol/L | 116 | 95 | 98 |
| Calcium [Ca2+] | 1.6–12.2 | mg/dL | 6.4 | 1.5 | 6.5 |
| Phosphorus—inorganic | 3.8–10.9 | mg/dL | 10.4 | 7.8 | 10.5 |
| Magnesium [Mg2+] | 3.8–23.5 | mg/dL | 7 | 5.9 | 7 |
| Blood urea nitrogen | 2–37 | mg/dL | 140 | 199.6 | 272.9 |
| Creatinine | 0.3–0.9 | mg/dL | 0.2 | 0.11 | 0.15 |
| Uric acid | 0.5–3.5 | mg/dL | 1.2 | 2.6 | 3.3 |
| Protein—total | 2.6–6.9 | g/dL | 2.4 | 1.9 | 2 |
| Albumin | 0.6–2.1 | g/dL | 0.7 | 0.6 | 0.9 |
| Globulin | 1.9–5.2 | g/dL | 1.7 | 1.3 | 1.1 |
| Glucose | 87–167 | mg/dL | 88 | 15 | 87 |
| Cholesterol—total | 73–365 | mg/dL | 57 | 14 | 35 |
| Aspartate aminotransferase | 31–389 | U/L | 358 | 157 | 565 |
| Creatine kinase | 142–1770 | U/L | >2000 | 68,356 | 47,384 |
Disclaimer/Publisher’s Note: The statements, opinions and data contained in all publications are solely those of the individual author(s) and contributor(s) and not of MDPI and/or the editor(s). MDPI and/or the editor(s) disclaim responsibility for any injury to people or property resulting from any ideas, methods, instructions or products referred to in the content. |
© 2024 by the authors. Licensee MDPI, Basel, Switzerland. This article is an open access article distributed under the terms and conditions of the Creative Commons Attribution (CC BY) license (https://creativecommons.org/licenses/by/4.0/).
Share and Cite
Park, D.S.; Hong, W.H.; Kim, J.H.; Yuen, A.H.L.; Giri, S.S.; Lee, S.B.; Jung, W.J.; Lee, Y.M.; Jo, S.J.; Hwang, M.H.; et al. Blood Fluke Infection (Spirorchidiasis) and Systemic Granulomatous Inflammation: A Case Study of Green Sea Turtles (Chelonia mydas) on Jeju Island, South Korea. Animals 2024, 14, 1711. https://doi.org/10.3390/ani14111711
Park DS, Hong WH, Kim JH, Yuen AHL, Giri SS, Lee SB, Jung WJ, Lee YM, Jo SJ, Hwang MH, et al. Blood Fluke Infection (Spirorchidiasis) and Systemic Granulomatous Inflammation: A Case Study of Green Sea Turtles (Chelonia mydas) on Jeju Island, South Korea. Animals. 2024; 14(11):1711. https://doi.org/10.3390/ani14111711
Chicago/Turabian StylePark, Da Sol, Won Hee Hong, Jae Hoon Kim, Adams Hei Long Yuen, Sib Sankar Giri, Sung Bin Lee, Won Joon Jung, Young Min Lee, Su Jin Jo, Mae Hyun Hwang, and et al. 2024. "Blood Fluke Infection (Spirorchidiasis) and Systemic Granulomatous Inflammation: A Case Study of Green Sea Turtles (Chelonia mydas) on Jeju Island, South Korea" Animals 14, no. 11: 1711. https://doi.org/10.3390/ani14111711
APA StylePark, D. S., Hong, W. H., Kim, J. H., Yuen, A. H. L., Giri, S. S., Lee, S. B., Jung, W. J., Lee, Y. M., Jo, S. J., Hwang, M. H., Park, J. H., Park, E. J., & Park, S. C. (2024). Blood Fluke Infection (Spirorchidiasis) and Systemic Granulomatous Inflammation: A Case Study of Green Sea Turtles (Chelonia mydas) on Jeju Island, South Korea. Animals, 14(11), 1711. https://doi.org/10.3390/ani14111711

