Preweaning Purified Fucoidan Drench: Effects on Growth, Immune Response, and Intestinal Morphology in Weaned Piglets
Abstract
Simple Summary
Abstract
1. Introduction
2. Materials and Methods
2.1. Animal Housing and Management
2.2. Treatment Preparation
2.3. Experimental Design
2.4. Experimental Measurements
2.4.1. Growth Performance
2.4.2. Serum Sample Collection
2.4.3. Intestinal Sample Collection
2.5. Laboratory Analyses
2.5.1. Inflammatory Biomarkers
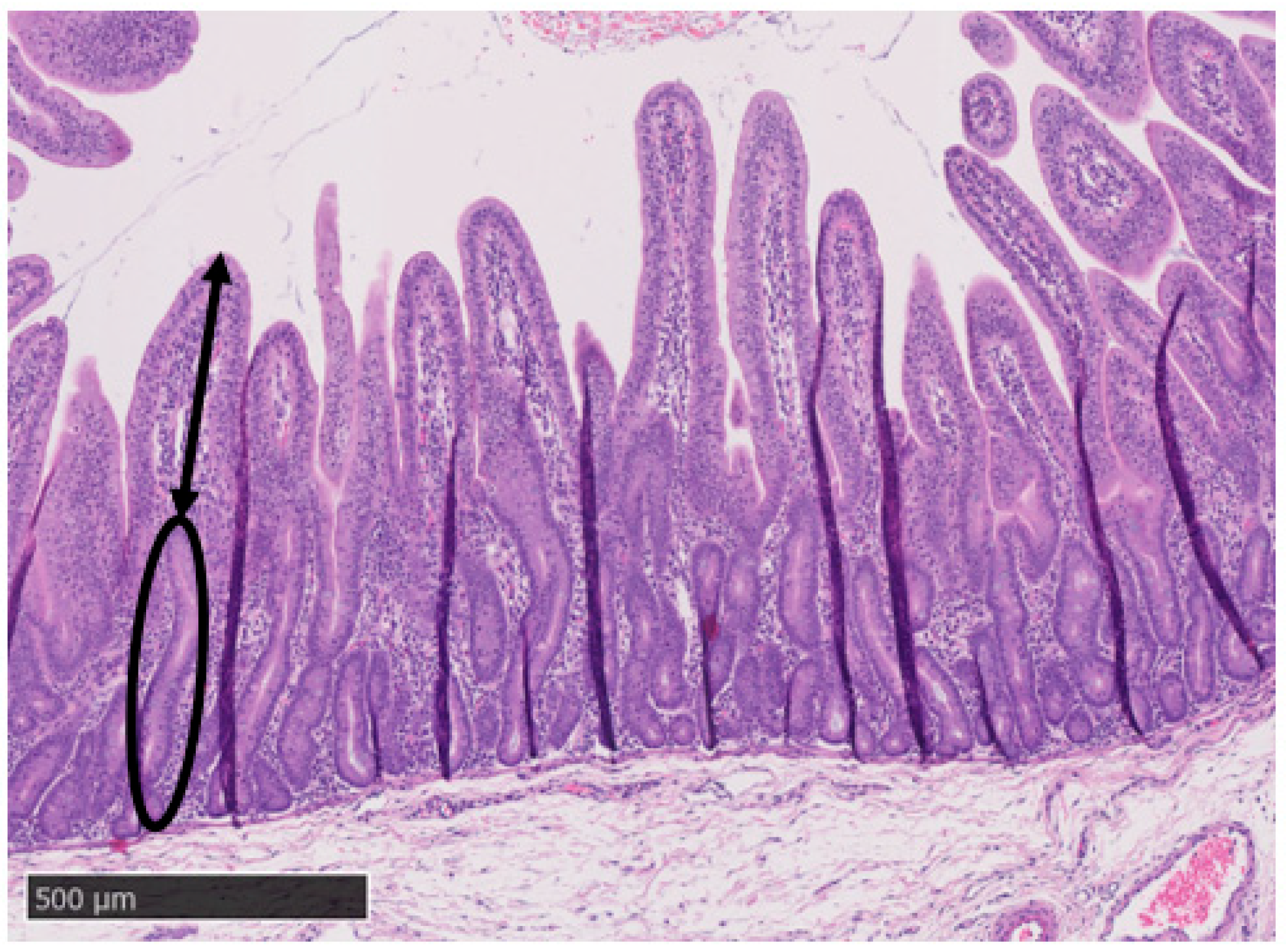
2.5.2. Intestinal Histomorphology
2.6. Statistical Analyses
2.6.1. Growth Performance
2.6.2. Inflammatory Biomarkers
2.6.3. Intestinal Histomorphology
3. Results
3.1. Growth Performance
3.2. Inflammatory Biomarkers
3.3. Intestinal Histomorphology
4. Discussion
5. Conclusions
Author Contributions
Funding
Institutional Review Board Statement
Informed Consent Statement
Data Availability Statement
Conflicts of Interest
References
- Dunshea, F.; Kerton, D.K.; Cranwell, P.D.; Campbell, R.; Mullan, B.; King, R.; Power, G.N.; Pluske, J. Lifetime and post-weaning determinants of performance indices of pigs. Aust. J. Agric. Res. 2003, 54, 363–370. [Google Scholar] [CrossRef]
- Campbell, J.M.; Crenshaw, J.D.; Polo, J. The biological stress of early weaned piglets. J. Anim. Sci. Biotechnol. 2013, 4, 19. [Google Scholar] [CrossRef] [PubMed]
- O’Doherty, J.V.; Venardou, B.; Rattigan, R.; Sweeney, T. Feeding Marine Polysaccharides to Alleviate the Negative Effects Associated with Weaning in Pigs. Animals 2021, 11, 2644. [Google Scholar] [CrossRef] [PubMed]
- Van Beers-Schreurs, H.M.; Nabuurs, M.J.; Vellenga, L.; Kalsbeek-van der Valk, H.J.; Wensing, T.; Breukink, H.J. Weaning and the weanling diet influence the villous height and crypt depth in the small intestine of pigs and alter the concentrations of short-chain fatty acids in the large intestine and blood. J. Nutr. 1998, 128, 947–953. [Google Scholar] [CrossRef] [PubMed]
- Hedemann, M.S.; Højsgaard, S.; Jensen, B.B. Small intestinal morphology and activity of intestinal peptidases in piglets around weaning. J. Anim. Physiol. Anim. Nutr. 2003, 87, 32–41. [Google Scholar] [CrossRef] [PubMed]
- Walsh, A.M.; Sweeney, T.; O’Shea, C.J.; Doyle, D.N.; O’Doherty, J.V. Effect of dietary laminarin and fucoidan on selected microbiota, intestinal morphology and immune status of the newly weaned pig. Br. J. Nutr. 2013, 110, 1630–1638. [Google Scholar] [CrossRef] [PubMed]
- Tang, X.; Xiong, K.; Fang, R.; Li, M. Weaning stress and intestinal health of piglets: A review. Front. Immunol. 2022, 13, e1042778. [Google Scholar] [CrossRef]
- Heim, G.; Sweeney, T.; O’Shea, C.J.; Doyle, D.N.; O’Doherty, J.V. Effect of maternal supplementation with seaweed extracts on growth performance and aspects of gastrointestinal health of newly weaned piglets after challenge with enterotoxigenic Escherichia coli K88. Br. J. Nutr. 2014, 112, 1955–1965. [Google Scholar] [CrossRef] [PubMed]
- Butaye, P.; Devriese, L.A.; Haesebrouck, F. Antimicrobial growth promoters used in animal feed: Effects of less well known antibiotics on gram-positive bacteria. Clin. Microbiol. Rev. 2003, 16, 175–188. [Google Scholar] [CrossRef]
- Manyi-Loh, C.; Mamphweli, S.; Meyer, E.; Okoh, A. Antibiotic Use in Agriculture and Its Consequential Resistance in Environmental Sources: Potential Public Health Implications. Molecules 2018, 23, 795. [Google Scholar] [CrossRef]
- Luthuli, S.; Wu, S.; Cheng, Y.; Zheng, X.; Wu, M.; Tong, H. Therapeutic Effects of Fucoidan: A Review on Recent Studies. Mar. Drugs 2019, 17, 487. [Google Scholar] [CrossRef] [PubMed]
- Mhadhebi, L.; Mhadhebi, A.; Robert, J.; Bouraoui, A. Antioxidant, Anti-inflammatory and Antiproliferative Effects of Aqueous Extracts of Three Mediterranean Brown Seaweeds of the Genus Cystoseira. Iran. J. Pharm. Res. 2014, 13, 207–220. [Google Scholar] [PubMed]
- Corino, C.; Di Giancamillo, A.; Modina, S.C.; Rossi, R. Prebiotic Effects of Seaweed Polysaccharides in Pigs. Animals 2021, 11, 1573. [Google Scholar] [CrossRef]
- Michiels, J.; Skrivanova, E.; Missotten, J.; Ovyn, A.; Mrazek, J.; De Smet, S.; Dierick, N. Intact brown seaweed (Ascophyllum nodosum) in diets of weaned piglets: Effects on performance, gut bacteria and morphology and plasma oxidative status. J. Anim. Physiol. Anim. Nutr. 2012, 96, 1101–1111. [Google Scholar] [CrossRef]
- Choi, Y.; Hosseindoust, A.; Goel, A.; Lee, S.; Jha, P.K.; Kwon, I.K.; Chae, B.-J. Effects of Ecklonia cava as fucoidan-rich algae on growth performance, nutrient digestibility, intestinal morphology and caecal microflora in weanling pigs. Asian-Australas. J. Anim. Sci. 2017, 30, 64–70. [Google Scholar] [CrossRef][Green Version]
- McDonnell, P.; Figat, S.; O’Doherty, J.V. The effect of dietary laminarin and fucoidan in the diet of the weanling piglet on performance, selected faecal microbial populations and volatile fatty acid concentrations. Animal 2010, 4, 579–585. [Google Scholar] [CrossRef] [PubMed]
- O’Doherty, J.V.; McDonnell, P.; Figat, S. The effect of dietary laminarin and fucoidan in the diet of the weanling piglet on performance and selected faecal microbial populations. Livest. Sci. 2010, 134, 208–210. [Google Scholar] [CrossRef]
- Lynch, M.B.; Sweeney, T.; Callan, J.J.; O’Sullivan, J.T.; O’Doherty, J.V. The effect of dietary Laminaria-derived laminarin and fucoidan on nutrient digestibility, nitrogen utilisation, intestinal microflora and volatile fatty acid concentration in pigs. J. Sci. Food Agric. 2010, 90, 430–437. [Google Scholar] [CrossRef]
- Lan, Y.; Qin, K.; Wu, S. The physiological activities of fucoidan and its application in animal breeding. Fish Shellfish Immunol. 2024, 147, 109458. [Google Scholar] [CrossRef]
- Zhang, Q.; Yu, P.Z.; Zhou, G.F.; Li, Z.E.; Xu, Z.H. Studies on antioxidant activities of fucoidan from Laminaria japonica. Chin. Tradit. Herb. Drugs 2003, 34, 824–826. [Google Scholar] [CrossRef]
- Guo, G.; Yang, W.; Fan, C.; Lan, R.; Gao, Z.; Gan, S.; Yu, H.; Yin, F.; Wang, Z. The effects of fucoidan as a dairy substitute on diarrhea rate and intestinal barrier function of the large intestine in weaned lambs. Front. Vet. Sci. 2022, 9, 1007346. [Google Scholar] [CrossRef]
- Bahar, B.; O’Doherty, J.V.; Hayes, M.; Sweeney, T.; Michiels, J.; Skrivanova, E.; Missotten, J.; Ovyn, A.; Mrazek, J.; De Smet, S.; et al. Extracts of brown seaweeds can attenuate the bacterial lipopolysaccharide-induced pro-inflammatory response in the porcine colon ex vivo. J. Anim. Sci. 2012, 90, 46–48. [Google Scholar] [CrossRef] [PubMed]
- Venardou, B.; O’Doherty, J.V.; Maher, S.; Ryan, M.T.; Gath, V.; Ravindran, R.; Kiely, C.; Rajauria, G.; Garcia-Vaquero, M.; Sweeney, T. Potential of a fucoidan-rich Ascophyllum nodosum extract to reduce Salmonella shedding and improve gastrointestinal health in weaned pigs naturally infected with Salmonella. J. Anim. Sci. Biotechnol. 2022, 13, 39. [Google Scholar] [CrossRef]
- Rattigan, R.; Sweeney, T.; Vigors, S.; Thornton, K.; Rajauria, G.; O’Doherty, A.J.V. The Effect of Increasing Inclusion Levels of a Fucoidan-Rich Extract Derived from Ascophyllum nodosum on Growth Performance and Aspects of Intestinal Health of Pigs Post-Weaning. Mar. Drugs 2019, 17, 680. [Google Scholar] [CrossRef]
- Heim, G.; Walsh, A.M.; Sweeney, T.; Doyle, D.N.; O’Shea, C.J.; Ryan, M.T.; O’Doherty, J.V. Effect of seaweed-derived laminarin and fucoidan and zinc oxide on gut morphology, nutrient transporters, nutrient digestibility, growth performance and selected microbial populations in weaned pigs. Br. J. Nutr. 2014, 111, 1577–1585. [Google Scholar] [CrossRef] [PubMed]
- Walsh, A.M.; Sweeney, T.; O’Shea, C.J.; Doyle, D.N.; O’Doherty, J.V. Effect of supplementing varying inclusion levels of laminarin and fucoidan on growth performance, digestibility of diet components, selected faecal microbial populations and volatile fatty acid concentrations in weaned pigs. Anim. Feed Sci. Technol. 2013, 183, 151–159. [Google Scholar] [CrossRef]
- Vigors, S.; O’Doherty, J.; Rattigan, R.; Sweeney, T. Effect of Supplementing Seaweed Extracts to Pigs until d35 Post-Weaning on Performance and Aspects of Intestinal Health. Mar. Drugs 2021, 19, 183. [Google Scholar] [CrossRef]
- Muns, R.; Nuntapaitoon, M.; Tummaruk, P. Non-infectious causes of pre-weaning mortality in piglets. Livest. Sci. 2016, 184, 46–57. [Google Scholar] [CrossRef]
- Rymut, H.E.; Rund, L.A.; Bolt, C.R.; Villamil, M.B.; Southey, B.R.; Johnson, R.W.; Rodriguez-Zas, S.L. The Combined Effect of Weaning Stress and Immune Activation during Pig Gestation on Serum Cytokine and Analyte Concentrations. Animals 2021, 11, 2274. [Google Scholar] [CrossRef]
- Hampson, D. Alteration in piglet small intestinal structure at weaning. Res. Vet. Sci. 1986, 40, 32–40. [Google Scholar] [CrossRef]
- Piñeiro, C.; Piñeiro, M.; Morales, J.; Andrés, M.; Lorenzo, E.; Pozo, M.D.; Alava, M.A.; Lampreave, F. Pig-MAP and haptoglobin concentration reference values in swine from commercial farms. Vet. J. 2009, 179, 78–84. [Google Scholar] [CrossRef] [PubMed]
- Pomorska-Mól, M.; Kwit, K.; Markowska-Daniel, I. Major Acute Phase Proteins in Pig Serum from Birth to Slaughter. J. Vet. Res. 2012, 56, 553–557. [Google Scholar] [CrossRef]
- De, U.; Nandi, S.; Mukherjee, R.; Gaur, G.; Verma, M.R. Identification of some plasma biomarkers associated with early weaning stress in crossbred piglets. Comp. Clin. Pathol. 2017, 26, 343–349. [Google Scholar] [CrossRef]
- Pierce, K.; Callan, J.; McCarthy, P.; O’Doherty, J. Performance of weanling pigs offered low or high lactose diets supplemented with avilamycin or inulin. Anim. Sci. 2005, 80, 313–318. [Google Scholar] [CrossRef]
- Pomorska-Mól, M.; Markowska-Daniel, I.; Kwit, K.; Stępniewska, K.; Pejsak, Z. C-reactive protein, haptoglobin, serum amyloid A and pig major acute phase protein response in pigs simultaneously infected with H1N1 swine influenza virus and Pasteurella multocida. BMC Vet. Res. 2013, 9, 14. [Google Scholar] [CrossRef] [PubMed]
- Pomorska-Mól, M.; Kwit, K.; Pejsak, Z.; Markowska-Daniel, I. Analysis of the acute-phase protein response in pigs to clinical and subclinical infection with H3N2 swine influenza virus. Influenza Other Respir. Viruses 2014, 8, 228–234. [Google Scholar] [CrossRef]
- Salamano, G.; Mellia, E.; Candiani, D.; Ingravalle, F.; Bruno, R.; Ru, G.; Doglione, L. Changes in haptoglobin, C-reactive protein and pig-MAP during a housing period following long distance transport in swine. Vet. J. 2008, 177, 110–115. [Google Scholar] [CrossRef] [PubMed]
- Asai, T.; Mori, M.; Okada, M.; Uruno, K.; Yazawa, S.; Shibata, I. Elevated serum haptoglobin in pigs infected with porcine reproductive and respiratory syndrome virus. Vet. Immunol. Immunopathol. 1999, 70, 143–148. [Google Scholar] [CrossRef]
- Leonard, S.G.; Sweeney, T.; Bahar, B.; O’Doherty, J.V. Effect of maternal seaweed extract supplementation on suckling piglet growth, humoral immunity, selected microflora, and immune response after an ex vivo lipopolysaccharide challenge. J. Anim. Sci. 2012, 90, 505–514. [Google Scholar] [CrossRef]
- Shibata, H.; Iimuro, M.; Uchiya, N.; Kawamori, T.; Nagaoka, M.; Ueyama, S.; Hashimoto, S.; Yokokura, T.; Sugimura, T.; Wakabayashi, K. Preventive effects of Cladosiphon fucoidan against Helicobacter pylori infection in Mongolian gerbils. Helicobacter 2003, 8, 59–65. [Google Scholar] [CrossRef]
- Reilly, P.; O’Doherty, J.V.; Pierce, K.M.; Callan, J.J.; O’Sullivan, J.T.; Sweeney, T. The effects of seaweed extract inclusion on gut morphology, selected intestinal microbiota, nutrient digestibility, volatile fatty acid concentrations and the immune status of the weaned pig. Animal 2008, 2, 1465–1473. [Google Scholar] [CrossRef] [PubMed]
- Gahan, D.A.; Lynch, M.B.; Callan, J.J.; O’Sullivan, J.T.; O’Doherty, J.V. Performance of weanling piglets offered low-, medium- or high-lactose diets supplemented with a seaweed extract from Laminaria spp. Animal 2009, 3, 24–31. [Google Scholar] [CrossRef] [PubMed]
- Liu, C.; Zhu, Q.; Chang, J.; Yin, Q.; Song, A.; Li, Z.; Wang, E.; Lu, F. Effects of Lactobacillus casei and Enterococcus faecalis on growth performance, immune function and gut microbiota of suckling piglets. Arch. Anim. Nutr. 2017, 71, 120–133. [Google Scholar] [CrossRef] [PubMed]
- Haupenthal, L.; Júnior, J.; Corrêa, G.; Silva, B. Oral supplementation of probiotics on the performance and gut histo-morphology of suckling piglets. Ciênc. Rural 2020, 50, e20190602. [Google Scholar] [CrossRef]
- Hou, C.; Liu, H.; Zhang, J.; Zhang, S.; Yang, F.; Zeng, X.; Thacker, P.A.; Zhang, G.; Qiao, S. Intestinal Microbiota Succession and Immunomodulatory Consequences after Introduction of Lactobacillus reuteri I5007 in Neonatal Piglets. PLoS ONE 2015, 10, e0119505. [Google Scholar] [CrossRef] [PubMed]
- Zeyner, A.; Boldt, E. Effects of a probiotic Enterococcus faecium strain supplemented from birth to weaning on diarrhoea patterns and performance of piglets. J. Anim. Physiol. Anim. Nutr. 2006, 90, 25–31. [Google Scholar] [CrossRef] [PubMed]
- Hansen, L.H.B.; Lauridsen, C.; Nielsen, B.; Jørgensen, L.; Canibe, N. Impact of early inoculation of probiotics to suckling piglets on postweaning diarrhoea—A challenge study with Enterotoxigenic E. coli F18. Animal 2022, 16, e100667. [Google Scholar] [CrossRef] [PubMed]
- Lewis, M.C.; Merrifield, C.A.; Berger, B.; Cloarec, O.; Duncker, S.; Mercenier, A.; Nicholson, J.K.; Holmes, E.; Bailey, M. Early intervention with Bifidobacterium lactis NCC2818 modulates the host-microbe interface independent of the sustained changes induced by the neonatal environment. Sci. Rep. 2017, 7, 5310. [Google Scholar] [CrossRef]
- Wang, Q.; Sun, Q.; Qi, R.; Wang, J.; Qiu, X.; Liu, Z.; Huang, J. Effects of Lactobacillus plantarum on the intestinal morphology, intestinal barrier function and microbiota composition of suckling piglets. J. Anim. Physiol. Anim. Nutr. 2019, 103, 1908–1918. [Google Scholar] [CrossRef]
- Liu, D.; Van Belleghem, J.D.; de Vries, C.R.; Burgener, E.; Chen, Q.; Manasherob, R.; Aronson, J.R.; Amanatullah, D.F.; Tamma, P.D.; Suh, G.A. The Safety and Toxicity of Phage Therapy: A Review of Animal and Clinical Studies. Viruses 2021, 13, 1268. [Google Scholar] [CrossRef]
- Greco, I.; Molchanova, N.; Holmedal, E.; Jenssen, H.; Hummel, B.D.; Watts, J.L.; Håkansson, J.; Hansen, P.R.; Svenson, J. Correlation between hemolytic activity, cytotoxicity and systemic in vivo toxicity of synthetic antimicrobial peptides. Sci. Rep. 2020, 10, 13206. [Google Scholar] [CrossRef] [PubMed]
- Villalba, J.J.; Costes-Thiré, M.; Ginane, C. Phytochemicals in animal health: Diet selection and trade-offs between costs and benefits. Proc. Nutr. Soc. 2017, 76, 113–121. [Google Scholar] [CrossRef] [PubMed]
- Rahman, M.R.T.; Fliss, I.; Biron, E. Insights in the Development and Uses of Alternatives to Antibiotic Growth Promoters in Poultry and Swine Production. Antibiotics 2022, 11, 766. [Google Scholar] [CrossRef] [PubMed]




| Control | Fucoidan * | Antimicrobial | p-Value | ||
|---|---|---|---|---|---|
| Control | Antimicrobial | ||||
| BW (kg) | |||||
| d21 | 6.7 ± 0.3 | 7.1 ± 0.3 | 6.9 ± 0.3 | 0.30 | 0.57 |
| d28 | 7.4 ± 0.3 | 7.6 ± 0.3 | 7.6 ± 0.3 | 0.58 | 0.92 |
| ADG (g/d) | |||||
| d17–d21 | 246 ± 15 | 262 ± 15 | 243 ± 15 | 0.37 | 0.27 |
| d21–d28 | 101 ± 14 | 80 ± 14 | 102 ± 14 | 0.21 | 0.18 |
| d17–d28 | 153 ± 10 | 146 ± 10 | 153 ± 10 | 0.52 | 0.54 |
| Control | Fucoidan | Antimicrobial | p-Value | ||
|---|---|---|---|---|---|
| Control | Antimicrobial | ||||
| CRP | |||||
| d21 | 0.83 (0.67–1.00) | 0.82 (0.67–1.00) σ | 0.77 (0.60–0.97) β | 0.92 | 0.75 |
| d28 | 1.00 (0.81–1.00) | 0.86 (0.67–1.00) | 0.79 (0.60–0.97) | 0.32 | 0.62 |
| Pig-MAP | |||||
| d21 | 0.86 (0.68–1.00) | 0.86 (0.67–1.00) | 0.77 (0.59–0.97) | 1.00 | 0.69 |
| d28 | 0.93 (0.74–1.00) | 0.73 (0.55–0.92) α | 0.80 (0.62–0.98) α | 0.17 | 0.50 |
| Haptoglobin | |||||
| d21 | 1.00 (0.81–1.00) | 1.00 (0.81–1.00) | 1.00 (0.81–1.00) | 1.00 | 1.00 |
| d28 | 0.50 (0.31–0.69) | 0.36 (0.17–0.55) | 0.14 (0.05–0.33) | 0.29 | 0.11 |
| Control | Fucoidan | Antimicrobial | p-Value | ||
|---|---|---|---|---|---|
| Control | Antimicrobial | ||||
| Duodenum | |||||
| Villous Height, μm | 409 ± 31 a | 411 ± 33 a,b | 463 ± 32 b | 0.92 | 0.03 |
| Crypt Depth, μm | 457 ± 17 | 424 ± 15 | 424 ± 17 | 0.14 | 0.99 |
| VH/CD | 0.95 ± 0.09 | 1.02 ± 0.11 | 1.14 ± 0.09 | 1.00 | 1.00 |
| Jejunum | |||||
| Villous Height, μm | 393 ± 22 | 399 ± 33 | 407 ± 27 | 0.80 | 0.71 |
| Crypt Depth, μm | 381 ± 17 | 360 ± 10 | 370 ± 18 | 0.37 | 0.68 |
| VH/CD | 1.06 ± 0.03 | 1.14 ± 0.11 | 1.14 ± 0.06 | 1.00 | 1.00 |
| Ileum | |||||
| Villous Height, μm | 335 ± 31 | 311 ± 21 | 370 ± 17 | 0.30 | 0.65 |
| Crypt Depth, μm | 276 ± 9 | 288 ± 9 | 270 ± 17 | 0.60 | 0.45 |
| VH/CD | 1.25 ± 0.13 | 1.11 ± 0.11 | 1.15 ± 0.08 | 1.00 | 1.00 |
Disclaimer/Publisher’s Note: The statements, opinions and data contained in all publications are solely those of the individual author(s) and contributor(s) and not of MDPI and/or the editor(s). MDPI and/or the editor(s) disclaim responsibility for any injury to people or property resulting from any ideas, methods, instructions or products referred to in the content. |
© 2024 by the authors. Licensee MDPI, Basel, Switzerland. This article is an open access article distributed under the terms and conditions of the Creative Commons Attribution (CC BY) license (https://creativecommons.org/licenses/by/4.0/).
Share and Cite
Homer, B.; Barekatain, R.; Petrovski, K.R.; Plush, K.J.; Dwan, C.; D’Souza, D.N.; Verma, P.J.; Kirkwood, R.N.; Tucker, B.S. Preweaning Purified Fucoidan Drench: Effects on Growth, Immune Response, and Intestinal Morphology in Weaned Piglets. Animals 2024, 14, 1472. https://doi.org/10.3390/ani14101472
Homer B, Barekatain R, Petrovski KR, Plush KJ, Dwan C, D’Souza DN, Verma PJ, Kirkwood RN, Tucker BS. Preweaning Purified Fucoidan Drench: Effects on Growth, Immune Response, and Intestinal Morphology in Weaned Piglets. Animals. 2024; 14(10):1472. https://doi.org/10.3390/ani14101472
Chicago/Turabian StyleHomer, Bonnie, Reza Barekatain, Kiro R. Petrovski, Kate J. Plush, Corinna Dwan, Darryl N. D’Souza, Paul J. Verma, Roy N. Kirkwood, and Bryony S. Tucker. 2024. "Preweaning Purified Fucoidan Drench: Effects on Growth, Immune Response, and Intestinal Morphology in Weaned Piglets" Animals 14, no. 10: 1472. https://doi.org/10.3390/ani14101472
APA StyleHomer, B., Barekatain, R., Petrovski, K. R., Plush, K. J., Dwan, C., D’Souza, D. N., Verma, P. J., Kirkwood, R. N., & Tucker, B. S. (2024). Preweaning Purified Fucoidan Drench: Effects on Growth, Immune Response, and Intestinal Morphology in Weaned Piglets. Animals, 14(10), 1472. https://doi.org/10.3390/ani14101472

